JavaScript is disabled in your browser. Please enable JavaScript to view this website.
AB316770

Anti-RAB12 antibody [EPR28814-81]

Be the first to review this product! Submit a review

|

(0 Publication)

Rabbit Recombinant Monoclonal RAB12 antibody. Suitable for WB and reacts with Human, Rat samples.

View Alternative Names

Ras-related protein Rab-12, RAB12

4 Images
Western blot - Anti-RAB12 antibody [EPR28814-81] (AB316770)
  • WB

Supplier Data

Western blot - Anti-RAB12 antibody [EPR28814-81] (AB316770)

Low expression : liver (PMID : 8575079).

Samples are non-boiled as boiling may cause protein aggregation.

In Western blot, Anti-GAPDH antibody [EPR16891] - Loading Control (ab181602) staining at 1/200000 dilution.

All lanes:

Western blot - Anti-RAB12 antibody [EPR28814-81] (ab316770) at 1/1000 dilution

Lane 1:

Human adrenal gland tissue lysate at 40 µg

Lane 2:

Human testis tissue lysate at 40 µg

Lane 3:

Human lung tissue lysate at 40 µg

Lane 4:

Human liver tissue lysate at 40 µg

Secondary

All lanes:

Goat Anti-Rabbit IgG (HRP) with minimal cross-reactivity with human IgG at 1/2000 dilution

Observed band size: 27 kDa,36 kDa

false

Exposure time: 180s

Western blot - Anti-RAB12 antibody [EPR28814-81] (AB316770)
  • WB

Supplier Data

Western blot - Anti-RAB12 antibody [EPR28814-81] (AB316770)

Low expression : HaCat (PMID : 33718142).

Samples are non-boiled as boiling may cause protein aggregation.

In Western blot, Anti-Vinculin antibody [EPR8185] (ab129002) staining at 1/10000 dilution.

All lanes:

Western blot - Anti-RAB12 antibody [EPR28814-81] (ab316770) at 1/1000 dilution

Lane 1:

SiHa (human cervical epithelial cell) whole cell lysate at 40 µg

Lane 2:

HaCaT (human skin keratinocyte) whole cell lysate at 40 µg

Secondary

All lanes:

Western blot - Goat Anti-Rabbit IgG H&L (HRP) (<a href='/en-us/products/secondary-antibodies/goat-rabbit-igg-h-l-hrp-ab97051'>ab97051</a>) at 1/20000 dilution

Observed band size: 27 kDa,124 kDa

false

Exposure time: 59s

Western blot - Anti-RAB12 antibody [EPR28814-81] (AB316770)
  • WB

Supplier Data

Western blot - Anti-RAB12 antibody [EPR28814-81] (AB316770)

Low expression : liver (PMID : 8575079).

Samples are non-boiled as boiling may cause protein aggregation.

In Western blot, Anti-GAPDH antibody [EPR16891] - Loading Control (ab181602) staining at 1/200000 dilution.

All lanes:

Western blot - Anti-RAB12 antibody [EPR28814-81] (ab316770) at 1/1000 dilution

Lane 1:

Rat testis tissue lysate at 40 µg

Lane 2:

Rat liver tissue lysate at 40 µg

Secondary

All lanes:

Western blot - Goat Anti-Rabbit IgG H&L (HRP) (<a href='/en-us/products/secondary-antibodies/goat-rabbit-igg-h-l-hrp-ab97051'>ab97051</a>) at 1/20000 dilution

Observed band size: 27 kDa,36 kDa

false

Exposure time: 59s

Western blot - Anti-RAB12 antibody [EPR28814-81] (AB316770)
  • WB

Lab

Western blot - Anti-RAB12 antibody [EPR28814-81] (AB316770)

Blocking and diluting buffer and concentration : 5% NFDM/TBST.

In Western blot, Anti-GAPDH antibody [EPR16891] - Loading Control (ab181602) (1 : 200000) (36KDa);Anti-6X His tag® antibody [EPR20547] - ChIP Grade (ab213204) (1 : 5000)(20-300KDa).

Blocking and diluting buffer and concentration : 5% NFDM/TBST.

In Western blot, Anti-GAPDH antibody [EPR16891] - Loading Control (ab181602) (1 : 200000) (36KDa);
Anti-6X His tag® antibody [EPR20547] - ChIP Grade (ab213204) (1 : 5000)(20-300KDa);
Anti-RAB12 antibody (ab316770) (1 : 1000) (27KDa).

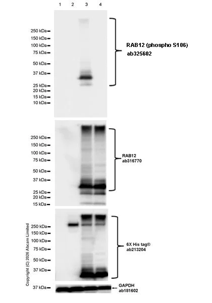
All lanes:

Western blot - Anti-RAB12 (phospho S106) antibody [MJF-D29764-507] (<a href='/en-us/products/primary-antibodies/rab12-phospho-s106-antibody-mjf-d29764-507-ab325602'>ab325602</a>) at 1/1000 dilution

Lane 1:

293T cells transfected with an empty vector containing a his-tag were treated with 100nM Calyculin A for 30min, whole cell lysate at 20 µg

Lane 2:

293T cells transfected with a human LRRK2 (G2019S mutant) expression vector containing a his-tag were treated with 100nM Calyculin A for 30min, whole cell lysate at 20 µg

Lane 3:

293T cells transfected with a human LRRK2 (G2019S mutant) expression vector containing a his-tag and a human wildtype RAB12 expression vector containing a his-tag were treated with 100nM Calyculin A for 30min, whole cell lysate at 20 µg

Lane 4:

293T cells transfected with a human LRRK2 (G2019S mutant) expression vector containing a his-tag and a human RAB12 (S106A mutant) expression vector containing a his-tag were treated with 100nM Calyculin A for 30min, whole cell lysate at 20 µg

Secondary

All lanes:

Western blot - Goat Anti-Rabbit IgG H&L (HRP) (<a href='/en-us/products/secondary-antibodies/goat-rabbit-igg-h-l-hrp-ab97051'>ab97051</a>) at 1/20000 dilution

Observed band size: 27 kDa,36 kDa,20-300 kDa

false

Exposure time: 1s

  • Carrier free

    Anti-RAB12 antibody [EPR28814-81] - BSA and Azide free

Key facts

Host species

Rabbit

Clonality

Monoclonal

Clone number

EPR28814-81

Isotype

IgG

Carrier free

No

Reacts with

Human, Rat

Applications

WB

applications

Immunogen

The exact immunogen used to generate this antibody is proprietary information.

Reactivity data

{ "title": "Reactivity Data", "filters": { "stats": ["", "Species", "Dilution Info", "Notes"], "tabs": { "all-applications": {"fullname" : "All Applications", "shortname": "All Applications"}, "WB" : {"fullname" : "Western blot", "shortname":"WB"}, "IP" : {"fullname" : "Immunoprecipitation", "shortname":"IP"}, "ICCIF" : {"fullname" : "Immunocytochemistry/ Immunofluorescence", "shortname":"ICC/IF"}, "FlowCytIntra" : {"fullname" : "Flow Cytometry (Intracellular)", "shortname":"Flow Cyt (Intra)"}, "IHCFr" : {"fullname" : "Immunohistochemistry (Frozen sections)", "shortname":"IHC-Fr"}, "IHCP" : {"fullname" : "Immunohistochemistry (Formalin/PFA-fixed paraffin-embedded sections)", "shortname":"IHC-P"} }, "product-promise": { "all": "all", "testedAndGuaranteed": "tested", "guaranteed": "expected", "predicted": "predicted", "notRecommended": "not-recommended" } }, "values": { "Human": { "WB-species-checked": "testedAndGuaranteed", "WB-species-dilution-info": "1/1000", "WB-species-notes": "<p></p>", "IP-species-checked": "notRecommended", "IP-species-dilution-info": "", "IP-species-notes": "<p></p>", "ICCIF-species-checked": "notRecommended", "ICCIF-species-dilution-info": "", "ICCIF-species-notes": "<p></p>", "FlowCytIntra-species-checked": "notRecommended", "FlowCytIntra-species-dilution-info": "", "FlowCytIntra-species-notes": "<p></p>", "IHCFr-species-checked": "notRecommended", "IHCFr-species-dilution-info": "", "IHCFr-species-notes": "", "IHCP-species-checked": "notRecommended", "IHCP-species-dilution-info": "", "IHCP-species-notes": "<p></p>" }, "Mouse": { "WB-species-checked": "notRecommended", "WB-species-dilution-info": "", "WB-species-notes": "<p></p>", "IP-species-checked": "notRecommended", "IP-species-dilution-info": "", "IP-species-notes": "", "ICCIF-species-checked": "notRecommended", "ICCIF-species-dilution-info": "", "ICCIF-species-notes": "<p></p>", "FlowCytIntra-species-checked": "notRecommended", "FlowCytIntra-species-dilution-info": "", "FlowCytIntra-species-notes": "<p></p>", "IHCFr-species-checked": "notRecommended", "IHCFr-species-dilution-info": "", "IHCFr-species-notes": "<p></p>", "IHCP-species-checked": "notRecommended", "IHCP-species-dilution-info": "", "IHCP-species-notes": "<p></p>" }, "Rat": { "WB-species-checked": "testedAndGuaranteed", "WB-species-dilution-info": "1/1000", "WB-species-notes": "<p></p>", "IP-species-checked": "notRecommended", "IP-species-dilution-info": "", "IP-species-notes": "", "ICCIF-species-checked": "notRecommended", "ICCIF-species-dilution-info": "", "ICCIF-species-notes": "", "FlowCytIntra-species-checked": "notRecommended", "FlowCytIntra-species-dilution-info": "", "FlowCytIntra-species-notes": "", "IHCFr-species-checked": "notRecommended", "IHCFr-species-dilution-info": "", "IHCFr-species-notes": "", "IHCP-species-checked": "notRecommended", "IHCP-species-dilution-info": "", "IHCP-species-notes": "<p></p>" } } }

Product details

Patented technology
Our RabMAb® technology is a patented hybridoma-based technology for making rabbit monoclonal antibodies. For details on our patents, please refer to RabMAb® patents.

What are the advantages of a recombinant monoclonal antibody?
This product is a recombinant monoclonal antibody, which offers several advantages including:

  • - High batch-to-batch consistency and reproducibility
  • - Improved sensitivity and specificity
  • - Long-term security of supply
  • - Animal-free batch production

For more information, read more on recombinant antibodies.

Properties and storage information

Form
Liquid
Purification technique
Affinity purification Protein A
Storage buffer
pH: 7.2 - 7.4 Preservative: 0.01% Sodium azide Constituents: PBS, 40% Glycerol (glycerin, glycerine), 0.05% BSA
Shipped at conditions
Blue Ice
Appropriate short-term storage duration
1-2 weeks
Appropriate short-term storage conditions
+4°C
Appropriate long-term storage conditions
-20°C
Aliquoting information
Upon delivery aliquot
Storage information
Avoid freeze / thaw cycle

Supplementary information

This supplementary information is collated from multiple sources and compiled automatically.

RAB12 also known as Ras-related protein Rab-12 belongs to the Rab family of small GTPases and has a mass of approximately 25 kDa. This protein plays a role in membrane trafficking and vesicular transport. RAB12 localizes to the Golgi apparatus and other cellular membrane compartments. It expresses in various tissues with significant levels in the brain liver and skeletal muscle. This expression pattern suggests a broad role in cellular function.
Biological function summary

RAB12 regulates receptor degradation and cargo transport through endosomes and lysosomes. It participates in complex cellular processes involving endocytic recycling and autophagy. RAB12 interaction with other proteins such as RILP (Rab-interacting lysosomal protein) assists in regulating lysosome positioning. The protein modulates cellular dynamics which affects the degradation and recycling of receptor molecules.

Pathways

RAB12 plays an important part in the autophagy and endocytic recycling pathways. It cooperates with other Rab family members like RAB7 which is critical for late endosome to lysosome trafficking. In these pathways RAB12 functions as a molecular switch coordinating trafficking processes that impact cellular homeostasis. Its role in autophagy involves coordination of lysosomal degradation and its modulation influences the cellular response to nutrient availability.

RAB12 involvement connects to neurodegenerative disorders and cancer. It contributes to cellular processes that when dysfunctional lead to conditions like Parkinson's disease. Abnormal RAB12 activity can affect autophagy leading to the accumulation of protein aggregates in neurodegenerative diseases. Moreover RAB12 can interact with proteins like TBC1D10C (RABGAP-10) which influences cancer progression through its regulation of cellular growth and survival pathways.

Product protocols

For this product, it's our understanding that no specific protocols are required. You can visit:

Target data

The small GTPases Rab are key regulators of intracellular membrane trafficking, from the formation of transport vesicles to their fusion with membranes. Rabs cycle between an inactive GDP-bound form and an active GTP-bound form that is able to recruit to membranes different set of downstream effectors directly responsible for vesicle formation, movement, tethering and fusion. That Rab may play a role in protein transport from recycling endosomes to lysosomes regulating, for instance, the degradation of the transferrin receptor. Involved in autophagy (By similarity).
See full target information RAB12

Product promise

We are committed to supporting your work with high-quality reagents, and we're here for you every step of the way. In the unlikely event that one of our products does not perform as expected, you're protected by our Product Promise.
For full details, please see our Terms & Conditions

Please note: All products are 'FOR RESEARCH USE ONLY. NOT FOR USE IN DIAGNOSTIC OR THERAPEUTIC PROCEDURES'.

For licensing inquiries, please contact partnerships@abcam.com