JavaScript is disabled in your browser. Please enable JavaScript to view this website.
AB325632

Anti-RAB12 (phospho S106) antibody [MJF-D29764-507] - BSA and Azide free

Be the first to review this product! Submit a review

|

(0 Publication)

Rabbit Recombinant Monoclonal RAB12 phospho S106 antibody. Carrier free. Suitable for WB, IP and reacts with Transfected cell lysate - Human samples.

View Alternative Names

Ras-related protein Rab-12, RAB12

2 Images
Immunoprecipitation - Anti-RAB12 (phospho S106) antibody [MJF-D29764-507] - BSA and Azide free (AB325632)
  • IP

Lab

Immunoprecipitation - Anti-RAB12 (phospho S106) antibody [MJF-D29764-507] - BSA and Azide free (AB325632)

This data was developed using ab325602, the same antibody clone in a different buffer formulation.

RAB12 (phospho S106) was immunoprecipitated from 0.35 mg 293T cells transfected with a human LRRK2 (G2019S mutant) expression vector containing a his-tag and a human wildtype RAB12 expression vector containing a his-tag were treated with 100nM Calyculin A for 30min, whole cell lysate with ab325602 at 1/30 dilution (2µg in 0.35mg lysates). Western blot was performed on the immunoprecipitate using ab325602 at 1/325602 1000 dilution. VeriBlot for IP secondary antibody(HRP)(ab131366) was used at 1/5000 dilution.

Lane 1 : 293T cells transfected with a human LRRK2 (G2019S mutant) expression vector containing a his-tag and a human wildtype RAB12 expression vector containing a his-tag were treated with 100nM Calyculin A for 30min, whole cell lysate
Lane 2 : ab325602 at 1/30 IP in 293T cells transfected with a human LRRK2 (G2019S mutant) expression vector containing a his-tag and a human wildtype RAB12 expression vector containing a his-tag were treated with 100nM Calyculin A for 30min, whole cell lysate
Lane 3 : Rabbit monoclonal IgG (ab172730) instead of ab325602 in 293T cells transfected with a human LRRK2 (G2019S mutant) expression vector containing a his-tag and a human wildtype RAB12 expression vector containing a his-tag were treated with 100nM Calyculin A for 30min, whole cell lysate

Blocking and dilution buffer and concentration : 5% NFDM/TBST.

Exposure time : 3 seconds.

All lanes:

Immunoprecipitation - Anti-RAB12 (phospho S106) antibody [MJF-D29764-507] (<a href='/en-us/products/primary-antibodies/rab12-phospho-s106-antibody-mjf-d29764-507-ab325602'>ab325602</a>) at 1/30 dilution

Lane 1:

293T cells transfected with a human LRRK2 (G2019S mutant) expression vector containing a his-tag and a human wildtype RAB12 expression vector containing a his-tag were treated with 100nM Calyculin A for 30min, whole cell lysate at 10 µg

Lane 2:

<a href='/en-us/products/primary-antibodies/rab12-phospho-s106-antibody-mjf-d29764-507-ab325602'>ab325602</a> at 1/30 IP in 293T cells transfected with a human LRRK2 (G2019S mutant) expression vector containing a his-tag and a human wildtype RAB12 expression vector containing a his-tag were treated with 100nM Calyculin A for 30min, whole cell lysate

Lane 3:

Rabbit monoclonal IgG (<a href='/en-us/products/primary-antibodies/rabbit-igg-monoclonal-epr25a-isotype-control-ab172730'>ab172730</a>) instead of <a href='/en-us/products/primary-antibodies/rab12-phospho-s106-antibody-mjf-d29764-507-ab325602'>ab325602</a> in 293T cells transfected with a human LRRK2 (G2019S mutant) expression vector containing a his-tag and a human wildtype RAB12 expression vector containing a his-tag were treated with 100nM Calyculin A for 30min, whole cell lysate

Secondary

All lanes:

Immunoprecipitation - VeriBlot for IP Detection Reagent (HRP) (<a href='/en-us/products/reagents/veriblot-for-ip-detection-reagent-hrp-ab131366'>ab131366</a>) at 1/5000 dilution

Observed band size: 27 kDa

false

Exposure time: 3s

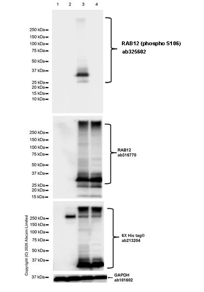
Western blot - Anti-RAB12 (phospho S106) antibody [MJF-D29764-507] - BSA and Azide free (AB325632)
  • WB

Lab

Western blot - Anti-RAB12 (phospho S106) antibody [MJF-D29764-507] - BSA and Azide free (AB325632)

This data was developed using ab325602, the same antibody clone in a different buffer formulation.

Blocking and diluting buffer and concentration : 5% NFDM/TBST.

In Western blot, Anti-GAPDH antibody [EPR16891] - Loading Control (ab181602) (1 : 200000) (36KDa);
Anti-6X His tag® antibody [EPR20547] - ChIP Grade (ab213204) (1 : 5000)(20-300KDa);
Anti-RAB12 antibody (ab316770) (1 : 1000) (27KDa).

All lanes:

Western blot - Anti-RAB12 (phospho S106) antibody [MJF-D29764-507] (<a href='/en-us/products/primary-antibodies/rab12-phospho-s106-antibody-mjf-d29764-507-ab325602'>ab325602</a>) at 1/1000 dilution

Lane 1:

293T cells transfected with an empty vector containing a his-tag were treated with 100nM Calyculin A for 30min, whole cell lysate at 20 µg

Lane 2:

293T cells transfected with a human LRRK2 (G2019S mutant) expression vector containing a his-tag were treated with 100nM Calyculin A for 30min, whole cell lysate at 20 µg

Lane 3:

293T cells transfected with a human LRRK2 (G2019S mutant) expression vector containing a his-tag and a human wildtype RAB12 expression vector containing a his-tag were treated with 100nM Calyculin A for 30min, whole cell lysate at 20 µg

Lane 4:

293T cells transfected with a human LRRK2 (G2019S mutant) expression vector containing a his-tag and a human RAB12 (S106A mutant) expression vector containing a his-tag were treated with 100nM Calyculin A for 30min, whole cell lysate at 20 µg

Secondary

All lanes:

Western blot - Goat Anti-Rabbit IgG H&L (HRP) (<a href='/en-us/products/secondary-antibodies/goat-rabbit-igg-h-l-hrp-ab97051'>ab97051</a>) at 1/20000 dilution

Observed band size: 27 kDa,36 kDa,20-300 kDa

false

Exposure time: 1s

  • Unconjugated

    Anti-RAB12 (phospho S106) antibody [MJF-D29764-507]

Key facts

Host species

Rabbit

Clonality

Monoclonal

Clone number

MJF-D29764-507

Isotype

IgG

Carrier free

Yes

Reacts with

Human

Applications

WB, IP

applications

Immunogen

The exact immunogen used to generate this antibody is proprietary information.

Reactivity data

{ "title": "Reactivity Data", "filters": { "stats": ["", "Species", "Dilution Info", "Notes"], "tabs": { "all-applications": {"fullname" : "All Applications", "shortname": "All Applications"}, "WB" : {"fullname" : "Western blot", "shortname":"WB"}, "IP" : {"fullname" : "Immunoprecipitation", "shortname":"IP"}, "ICCIF" : {"fullname" : "Immunocytochemistry/ Immunofluorescence", "shortname":"ICC/IF"}, "IHCP" : {"fullname" : "Immunohistochemistry (Formalin/PFA-fixed paraffin-embedded sections)", "shortname":"IHC-P"} }, "product-promise": { "all": "all", "testedAndGuaranteed": "tested", "guaranteed": "expected", "predicted": "predicted", "notRecommended": "not-recommended" } }, "values": { "Human": { "WB-species-checked": "notRecommended", "WB-species-dilution-info": "", "WB-species-notes": "", "IP-species-checked": "notRecommended", "IP-species-dilution-info": "", "IP-species-notes": "", "ICCIF-species-checked": "notRecommended", "ICCIF-species-dilution-info": "", "ICCIF-species-notes": "<p></p>", "IHCP-species-checked": "notRecommended", "IHCP-species-dilution-info": "", "IHCP-species-notes": "<p></p>" }, "Mouse": { "WB-species-checked": "notRecommended", "WB-species-dilution-info": "", "WB-species-notes": "<p></p>", "IP-species-checked": "notRecommended", "IP-species-dilution-info": "", "IP-species-notes": "<p></p>", "ICCIF-species-checked": "notRecommended", "ICCIF-species-dilution-info": "", "ICCIF-species-notes": "<p></p>", "IHCP-species-checked": "notRecommended", "IHCP-species-dilution-info": "", "IHCP-species-notes": "<p></p>" }, "Transfected cell lysate - Human": { "WB-species-checked": "testedAndGuaranteed", "WB-species-dilution-info": "", "WB-species-notes": "<p></p>", "IP-species-checked": "testedAndGuaranteed", "IP-species-dilution-info": "", "IP-species-notes": "<p></p>", "ICCIF-species-checked": "notRecommended", "ICCIF-species-dilution-info": "", "ICCIF-species-notes": "", "IHCP-species-checked": "notRecommended", "IHCP-species-dilution-info": "", "IHCP-species-notes": "" } } }

Product details

ab325632 is the carrier-free version of ab325602.

Patented technology
Our RabMAb® technology is a patented hybridoma-based technology for making rabbit monoclonal antibodies. For details on our patents, please refer to RabMAb® patents.

What are the advantages of a recombinant monoclonal antibody?
This product is a recombinant monoclonal antibody, which offers several advantages including:

  • - High batch-to-batch consistency and reproducibility
  • - Improved sensitivity and specificity
  • - Long-term security of supply
  • - Animal-free batch production

For more information, read more on recombinant antibodies.

Conjugation ready
Our carrier-free antibodies are typically supplied in a PBS-only formulation, purified and free of BSA, sodium azide and glycerol. This conjugation-ready format is designed for use with fluorochromes, metal isotopes, oligonucleotides, and enzymes, which makes them ideal for antibody labelling, functional and cell-based assays, flow-based assays (e.g. mass cytometry) and Multiplex Imaging applications.

Use our conjugation kits for antibody conjugates that are ready-to-use in as little as 20 minutes with 1 minute hands-on-time and 100% antibody recovery: available for fluorescent dyes, HRP, biotin and gold.

Compatibility
This product is compatible with the Maxpar® Antibody Labeling Kit from Fluidigm, without the need for antibody preparation. Maxpar® is a trademark of Fluidigm Canada Inc.

Collaborations
This antibody was developed with support from The Michael J. Fox Foundation.

Properties and storage information

Form
Liquid
Purification technique
Affinity purification Protein A
Storage buffer
pH: 7.2 - 7.4 Constituents: PBS
Shipped at conditions
Blue Ice
Appropriate short-term storage conditions
+4°C
Appropriate long-term storage conditions
+4°C

Product protocols

For this product, it's our understanding that no specific protocols are required. You can visit:

Target data

The small GTPases Rab are key regulators of intracellular membrane trafficking, from the formation of transport vesicles to their fusion with membranes. Rabs cycle between an inactive GDP-bound form and an active GTP-bound form that is able to recruit to membranes different set of downstream effectors directly responsible for vesicle formation, movement, tethering and fusion. That Rab may play a role in protein transport from recycling endosomes to lysosomes regulating, for instance, the degradation of the transferrin receptor. Involved in autophagy (By similarity).
See full target information RAB12 phospho S106

Product promise

We are committed to supporting your work with high-quality reagents, and we're here for you every step of the way. In the unlikely event that one of our products does not perform as expected, you're protected by our Product Promise.
For full details, please see our Terms & Conditions

Please note: All products are 'FOR RESEARCH USE ONLY. NOT FOR USE IN DIAGNOSTIC OR THERAPEUTIC PROCEDURES'.

For licensing inquiries, please contact partnerships@abcam.com