JavaScript is disabled in your browser. Please enable JavaScript to view this website.
AB317265

Anti-RAB27B antibody [EPR28647-45] - BSA and Azide free

Be the first to review this product! Submit a review

|

(0 Publication)

Rabbit Recombinant Monoclonal RAB27B antibody. Carrier free. Suitable for Dot, WB, ICC/IF, IP, IHC-P, IHC-Fr, Flow Cyt (Intra) and reacts with Recombinant full length protein - Human, Human, Mouse, Rat samples.

View Alternative Names

Ras-related protein Rab-27B, C25KG, RAB27B

17 Images
Immunohistochemistry (Formalin/PFA-fixed paraffin-embedded sections) - Anti-RAB27B antibody [EPR28647-45] - BSA and Azide free (AB317265)
  • IHC-P

Supplier Data

Immunohistochemistry (Formalin/PFA-fixed paraffin-embedded sections) - Anti-RAB27B antibody [EPR28647-45] - BSA and Azide free (AB317265)

This data was developed using ab317264, the same antibody clone in a different buffer formulation.

Immunohistochemical analysis of paraffin-embedded Human liver tissue labeling RAB27B with ab317264 at 1/2000 (0.255 ug/ml) dilution, followed by a ready to use LeicaDS9800 (Bond™ Polymer Refine Detection).

Low expression : positive staining on platelets of human liver. The section was incubated with ab317264 for 30 mins at room temperature.
The immunostaining was performed on a Leica Biosystems BOND® RX instrument

Counterstained with Hematoxylin.

Secondary antibody only control : Secondary antibody is a ready to use LeicaDS9800 (Bond™ Polymer Refine Detection).

Heat mediated antigen retrieval was performed with Tris-EDTA buffer (pH 9.0, Epitope Retrieval Solution2) for 20 mins

Immunohistochemistry (Formalin/PFA-fixed paraffin-embedded sections) - Anti-RAB27B antibody [EPR28647-45] - BSA and Azide free (AB317265)
  • IHC-P

Supplier Data

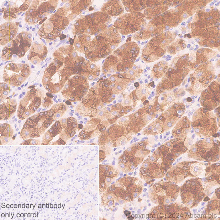
Immunohistochemistry (Formalin/PFA-fixed paraffin-embedded sections) - Anti-RAB27B antibody [EPR28647-45] - BSA and Azide free (AB317265)

This data was developed using ab317264, the same antibody clone in a different buffer formulation.

Immunohistochemical analysis of paraffin-embedded Human stomach tissue labeling RAB27B with ab317264 at 1/2000 (0.255 ug/ml) dilution, followed by a ready to use LeicaDS9800 (Bond™ Polymer Refine Detection).

Positive staining on human stomach (PMID : 22811270). The section was incubated with ab317264 for 30 mins at room temperature.
The immunostaining was performed on a Leica Biosystems BOND® RX instrument

Counterstained with Hematoxylin.

Secondary antibody only control : Secondary antibody is a ready to use LeicaDS9800 (Bond™ Polymer Refine Detection).

Heat mediated antigen retrieval was performed with Tris-EDTA buffer (pH 9.0, Epitope Retrieval Solution2) for 20 mins

Flow Cytometry (Intracellular) - Anti-RAB27B antibody [EPR28647-45] - BSA and Azide free (AB317265)
  • Flow Cyt (Intra)

Supplier Data

Flow Cytometry (Intracellular) - Anti-RAB27B antibody [EPR28647-45] - BSA and Azide free (AB317265)

This data was developed using ab317264, the same antibody clone in a different buffer formulation.

Flow cytometric analysis of 4% paraformaldehyde fixed 90% methanol permeabilized U-87 MG (human glioblastoma-astrocytoma epithelial cell) (Right) / A-673 (human muscle Ewings sarcoma cell line) (Left) cells labelling RAB27B with ab317264 at 1/5000 dilution (0.01ug) (Red) compared with a Rabbit monoclonal IgG (ab172730) (Black) isotype control and an unlabelled control (cells without incubation with primary antibody and secondary antibody) (Blue).

Goat Anti-Rabbit IgG (Alexa Fluor® 488, ab150081) at 1/5000 dilution was used as the secondary antibody.

Negative control : A-673

Immunocytochemistry/ Immunofluorescence - Anti-RAB27B antibody [EPR28647-45] - BSA and Azide free (AB317265)
  • ICC/IF

Supplier Data

Immunocytochemistry/ Immunofluorescence - Anti-RAB27B antibody [EPR28647-45] - BSA and Azide free (AB317265)

This data was developed using ab317264, the same antibody clone in a different buffer formulation.

Immunofluorescent analysis of 4% Paraformaldehyde-fixed, 0.1% TritonX-100 permeabilized U-87 MG (human glioblastoma-astrocytoma epithelial cell) cells labelling RAB27B with ab317264 at 1/50 (10.18 ug/ml) dilution, followed by ab150081 Goat Anti-Rabbit IgG H&L (Alexa Fluor® 488) preadsorbed antibody at 1/1000 2 ug/ml dilution (Green).

Confocal image showing cytoplasmic staining in U-87 MG cell line (shown in green). The counterstain was observed in magenta. Nuclear DNA was labeled with DAPI (shown in blue).
Negative control : A-673.
Image was taken with a confocal microscope(Leica-Microsystems, TCS SP8).

ab195889 Anti-alpha Tubulin mouse monoclonal antibody - Microtubule Marker (Alexa Fluor® 594) was used to counterstain tubulin at 1/200 2.5ug/ml dilution (Magenta). The Nuclear counterstain was DAPI (Blue).

Secondary antibody only control : Secondary antibody is ab150081 Goat Anti-Rabbit IgG H&L (Alexa Fluor® 488) preadsorbed at 1/1000 2 ug/ml dilution.

Immunoprecipitation - Anti-RAB27B antibody [EPR28647-45] - BSA and Azide free (AB317265)
  • IP

Supplier Data

Immunoprecipitation - Anti-RAB27B antibody [EPR28647-45] - BSA and Azide free (AB317265)

This data was developed using ab317264, the same antibody clone in a different buffer formulation.

RAB27B was immunoprecipitated from 0.35 mg U-87 MG (human glioblastoma-astrocytoma epithelial cell) whole cell lysate with ab317264 at 1/30 dilution (2ug in 0.35mg lysates). Western blot was performed on the immunoprecipitate using ab317264 at 1/1000 dilution. VeriBlot for IP secondary antibody(HRP)(ab131366) was used at 1/5000 dilution.

Lane 1 : U-87 MG (human glioblastoma-astrocytoma epithelial cell) whole cell lysate
Lane 2 : ab317264 IP in U-87 MG (human glioblastoma-astrocytoma epithelial cell) whole cell lysate
Lane 3 : Rabbit monoclonal IgG (ab172730) instead of ab317264 in U-87 MG whole cell lysate

All lanes:

Immunoprecipitation - Anti-RAB27B antibody [EPR28647-45] (<a href='/en-us/products/primary-antibodies/rab27b-antibody-epr28647-45-ab317264'>ab317264</a>) at 1/30 dilution

All lanes:

U-87 MG (human glioblastoma-astrocytoma epithelial cell) whole cell lysate at 10 µg with NFDM/TBST

Secondary

All lanes:

Immunoprecipitation - VeriBlot for IP Detection Reagent (HRP) (<a href='/en-us/products/reagents/veriblot-for-ip-detection-reagent-hrp-ab131366'>ab131366</a>) at 1/5000 dilution

false

Exposure time: 6s

Immunohistochemistry (Frozen sections) - Anti-RAB27B antibody [EPR28647-45] - BSA and Azide free (AB317265)
  • IHC-Fr

Supplier Data

Immunohistochemistry (Frozen sections) - Anti-RAB27B antibody [EPR28647-45] - BSA and Azide free (AB317265)

This data was developed using ab317264, the same antibody clone in a different buffer formulation.

Immunohistochemical analysis of 4% PFA-fixed, 0.2% Triton X-100 permeabilized frozen Mouse liver (fresh frozen) tissue labeling RAB27B with ab317264 at 1/500 (1.018 ug/ml) dilution followed by ab150081 Goat Anti-Rabbit IgG H&L (Alexa Fluor® 488) preadsorbed at 1/1000 2 ug/mL dilution (Green).

Low expression : confocal image showing no staining on mouse liver. The nuclear counterstain was DAPI (Blue). The section was incubated with ab317264 for 60 mins at room temperature. The section was then mounted using Fluoromount®.The immunostaining was performed on a Leica Biosystems BOND® RX instrument. Image was taken with a confocal microscope (Leica-Microsystems, TCS SP8).

Secondary antibody control : Secondary antibody is ab150081 Goat Anti-Rabbit IgG H&L (Alexa Fluor® 488) preadsorbedat 1/1000 2 ug/mL dilution.

Immunohistochemistry (Frozen sections) - Anti-RAB27B antibody [EPR28647-45] - BSA and Azide free (AB317265)
  • IHC-Fr

Supplier Data

Immunohistochemistry (Frozen sections) - Anti-RAB27B antibody [EPR28647-45] - BSA and Azide free (AB317265)

This data was developed using ab317264, the same antibody clone in a different buffer formulation.

Immunohistochemical analysis of 4% PFA-fixed, 0.2% Triton X-100 permeabilized frozen Mouse stomach (fresh frozen) tissue labeling RAB27B with ab317264 at 1/500 (1.018 ug/ml) dilution followed by ab150081 Goat Anti-Rabbit IgG H&L (Alexa Fluor® 488) preadsorbed at 1/1000 2 ug/mL dilution (Green).

Confocal image showing positive staining on epithelium of mouse stomach. The nuclear counterstain was DAPI (Blue). The section was incubated with ab317264 for 60 mins at room temperature. The section was then mounted using Fluoromount®.The immunostaining was performed on a Leica Biosystems BOND® RX instrument. Image was taken with a confocal microscope (Leica-Microsystems, TCS SP8).

Secondary antibody control : Secondary antibody is ab150081 Goat Anti-Rabbit IgG H&L (Alexa Fluor® 488) preadsorbedat 1/1000 2 ug/mL dilution.

Immunohistochemistry (Formalin/PFA-fixed paraffin-embedded sections) - Anti-RAB27B antibody [EPR28647-45] - BSA and Azide free (AB317265)
  • IHC-P

Supplier Data

Immunohistochemistry (Formalin/PFA-fixed paraffin-embedded sections) - Anti-RAB27B antibody [EPR28647-45] - BSA and Azide free (AB317265)

This data was developed using ab317264, the same antibody clone in a different buffer formulation.

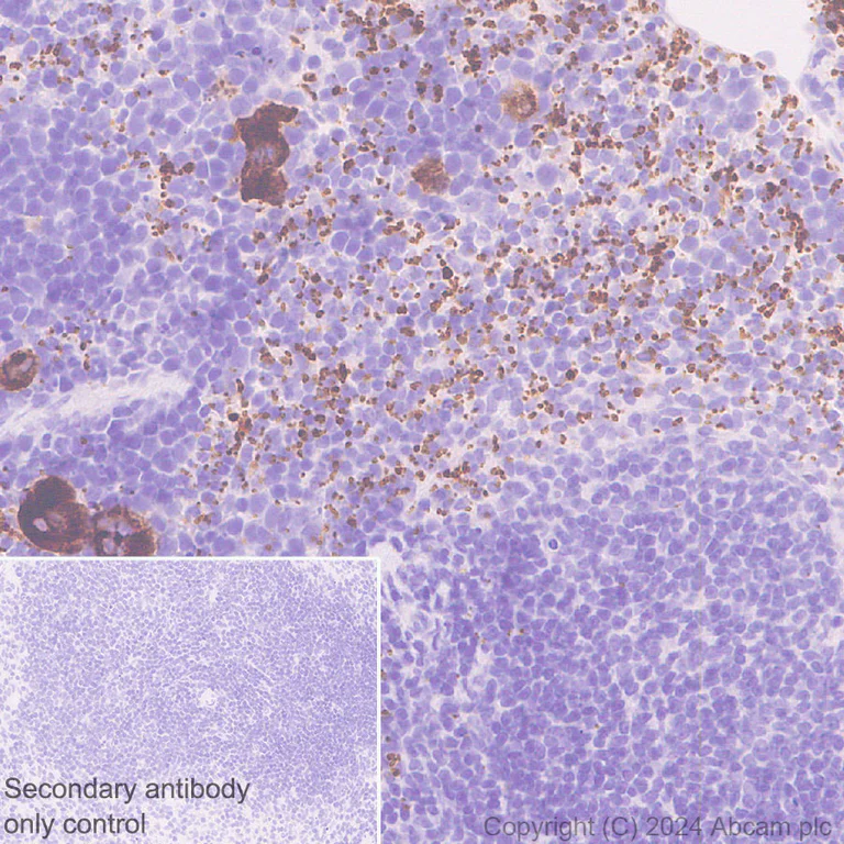
Immunohistochemical analysis of paraffin-embedded Rat spleen tissue labeling RAB27B with ab317264 at 1/2000 (0.255 ug/ml) dilution, followed by a ready to use LeicaDS9800 (Bond™ Polymer Refine Detection).

Positive staining on megakaryocytes and platelets in rat spleen. The section was incubated with ab317264 for 30 mins at room temperature.
The immunostaining was performed on a Leica Biosystems BOND® RX instrument

Counterstained with Hematoxylin.

Secondary antibody only control : Secondary antibody is a ready to use LeicaDS9800 (Bond™ Polymer Refine Detection).

Heat mediated antigen retrieval was performed with Tris-EDTA buffer (pH 9.0, Epitope Retrieval Solution2) for 20 mins

Immunohistochemistry (Formalin/PFA-fixed paraffin-embedded sections) - Anti-RAB27B antibody [EPR28647-45] - BSA and Azide free (AB317265)
  • IHC-P

Supplier Data

Immunohistochemistry (Formalin/PFA-fixed paraffin-embedded sections) - Anti-RAB27B antibody [EPR28647-45] - BSA and Azide free (AB317265)

This data was developed using ab317264, the same antibody clone in a different buffer formulation.

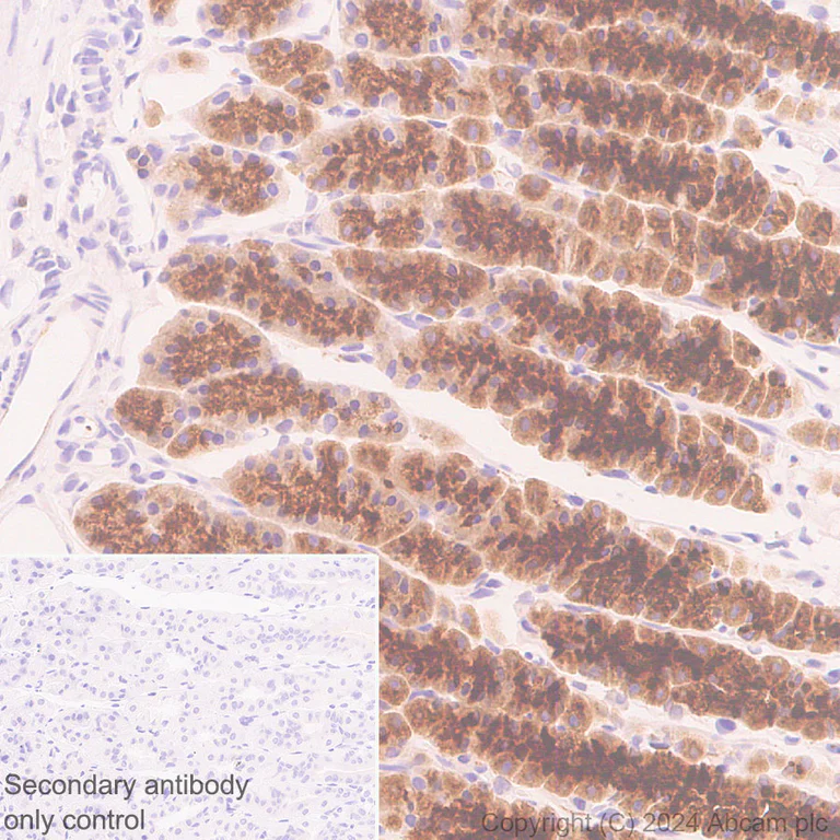
Immunohistochemical analysis of paraffin-embedded Rat stomach tissue labeling RAB27B with ab317264 at 1/2000 (0.255 ug/ml) dilution, followed by a ready to use LeicaDS9800 (Bond™ Polymer Refine Detection).

Positive staining on rat stomach. The section was incubated with ab317264 for 30 mins at room temperature.
The immunostaining was performed on a Leica Biosystems BOND® RX instrument

Counterstained with Hematoxylin.

Secondary antibody only control : Secondary antibody is a ready to use LeicaDS9800 (Bond™ Polymer Refine Detection).

Heat mediated antigen retrieval was performed with Tris-EDTA buffer (pH 9.0, Epitope Retrieval Solution2) for 20 mins

Immunohistochemistry (Formalin/PFA-fixed paraffin-embedded sections) - Anti-RAB27B antibody [EPR28647-45] - BSA and Azide free (AB317265)
  • IHC-P

Supplier Data

Immunohistochemistry (Formalin/PFA-fixed paraffin-embedded sections) - Anti-RAB27B antibody [EPR28647-45] - BSA and Azide free (AB317265)

This data was developed using ab317264, the same antibody clone in a different buffer formulation.

Immunohistochemical analysis of paraffin-embedded Mouse spleen tissue labeling RAB27B with ab317264 at 1/2000 (0.255 ug/ml) dilution, followed by a ready to use LeicaDS9800 (Bond™ Polymer Refine Detection).

Positive staining on megakaryocytes and platelets in mouse spleen. The section was incubated with ab317264 for 30 mins at room temperature.
The immunostaining was performed on a Leica Biosystems BOND® RX instrument

Counterstained with Hematoxylin.

Secondary antibody only control : Secondary antibody is a ready to use LeicaDS9800 (Bond™ Polymer Refine Detection).

Heat mediated antigen retrieval was performed with Tris-EDTA buffer (pH 9.0, Epitope Retrieval Solution2) for 20 mins

Immunohistochemistry (Formalin/PFA-fixed paraffin-embedded sections) - Anti-RAB27B antibody [EPR28647-45] - BSA and Azide free (AB317265)
  • IHC-P

Supplier Data

Immunohistochemistry (Formalin/PFA-fixed paraffin-embedded sections) - Anti-RAB27B antibody [EPR28647-45] - BSA and Azide free (AB317265)

This data was developed using ab317264, the same antibody clone in a different buffer formulation.

Immunohistochemical analysis of paraffin-embedded Mouse stomach tissue labeling RAB27B with ab317264 at 1/2000 (0.255 ug/ml) dilution, followed by a ready to use LeicaDS9800 (Bond™ Polymer Refine Detection).

Positive staining on mouse stomach. The section was incubated with ab317264 for 30 mins at room temperature.
The immunostaining was performed on a Leica Biosystems BOND® RX instrument

Counterstained with Hematoxylin.

Secondary antibody only control : Secondary antibody is a ready to use LeicaDS9800 (Bond™ Polymer Refine Detection).

Heat mediated antigen retrieval was performed with Tris-EDTA buffer (pH 9.0, Epitope Retrieval Solution2) for 20 mins

Immunohistochemistry (Formalin/PFA-fixed paraffin-embedded sections) - Anti-RAB27B antibody [EPR28647-45] - BSA and Azide free (AB317265)
  • IHC-P

Supplier Data

Immunohistochemistry (Formalin/PFA-fixed paraffin-embedded sections) - Anti-RAB27B antibody [EPR28647-45] - BSA and Azide free (AB317265)

This data was developed using ab317264, the same antibody clone in a different buffer formulation.

Immunohistochemical analysis of paraffin-embedded Rat liver tissue labeling RAB27B with ab317264 at 1/2000 (0.255 ug/ml) dilution, followed by a ready to use LeicaDS9800 (Bond™ Polymer Refine Detection).

Low expression : positive staining on platelets of rat liver. The section was incubated with ab317264 for 30 mins at room temperature.
The immunostaining was performed on a Leica Biosystems BOND® RX instrument

Counterstained with Hematoxylin.

Secondary antibody only control : Secondary antibody is a ready to use LeicaDS9800 (Bond™ Polymer Refine Detection).

Heat mediated antigen retrieval was performed with Tris-EDTA buffer (pH 9.0, Epitope Retrieval Solution2) for 20 mins

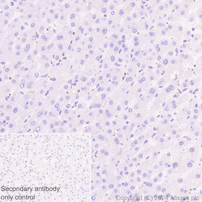
Immunohistochemistry (Formalin/PFA-fixed paraffin-embedded sections) - Anti-RAB27B antibody [EPR28647-45] - BSA and Azide free (AB317265)
  • IHC-P

Supplier Data

Immunohistochemistry (Formalin/PFA-fixed paraffin-embedded sections) - Anti-RAB27B antibody [EPR28647-45] - BSA and Azide free (AB317265)

This data was developed using ab317264, the same antibody clone in a different buffer formulation.

Immunohistochemical analysis of paraffin-embedded Mouse liver tissue labeling RAB27B with ab317264 at 1/2000 (0.255 ug/ml) dilution, followed by a ready to use LeicaDS9800 (Bond™ Polymer Refine Detection).

Low expression : positive staining on platelets of mouse liver. The section was incubated with ab317264 for 30 mins at room temperature.
The immunostaining was performed on a Leica Biosystems BOND® RX instrument

Counterstained with Hematoxylin.

Secondary antibody only control : Secondary antibody is a ready to use LeicaDS9800 (Bond™ Polymer Refine Detection).

Heat mediated antigen retrieval was performed with Tris-EDTA buffer (pH 9.0, Epitope Retrieval Solution2) for 20 mins

Western blot - Anti-RAB27B antibody [EPR28647-45] - BSA and Azide free (AB317265)
  • WB

Supplier Data

Western blot - Anti-RAB27B antibody [EPR28647-45] - BSA and Azide free (AB317265)

This data was developed using ab317264, the same antibody clone in a different buffer formulation.

Negative control : A-673

Low expression : Huh7(PMID : 22553406)

In Western blot, Anti-GAPDH antibody [EPR16891] - Loading Control (ab181602) staining at 1/200000 dilution.

Exposure time : Lane1-2 : 15 seconds, lane3-4 : 180 seconds

All lanes:

Western blot - Anti-RAB27B antibody [EPR28647-45] (<a href='/en-us/products/primary-antibodies/rab27b-antibody-epr28647-45-ab317264'>ab317264</a>) at 1/1000 dilution

Lane 1:

U-87 MG (human glioblastoma-astrocytoma epithelial cell) whole cell lysate at 20 µg with NFDM/TBST

Lane 2:

A-673 (human muscle ewing's sarcoma) whole cell lysate at 20 µg with NFDM/TBST

Lane 3:

LN-229 (human brain glioblastoma epithelial cell) whole cell lysate at 20 µg with NFDM/TBST

Lane 4:

Huh7 (human hepatocellar carcinoma epithelial cell) whole cell lysate at 20 µg with NFDM/TBST

Secondary

All lanes:

Western blot - Goat Anti-Rabbit IgG H&L (HRP) (<a href='/en-us/products/secondary-antibodies/goat-rabbit-igg-h-l-hrp-ab97051'>ab97051</a>) at 1/100000 dilution

Observed band size: 25 kDa,36 kDa

false

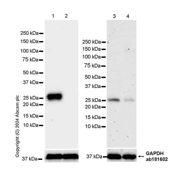
Western blot - Anti-RAB27B antibody [EPR28647-45] - BSA and Azide free (AB317265)
  • WB

Supplier Data

Western blot - Anti-RAB27B antibody [EPR28647-45] - BSA and Azide free (AB317265)

This data was developed using ab317264, the same antibody clone in a different buffer formulation.

Low expression liver(PMID : 14625374)A20, F9

Lane 3-4 were developed using a higher sensitivity ECL substrate.

In Western blot, Anti-GAPDH antibody [EPR16891] - Loading Control (ab181602) staining at 1/200000 dilution.

Exposure time : Lane1-2 : 15 seconds, lane3-4 : 180 seconds

All lanes:

Western blot - Anti-RAB27B antibody [EPR28647-45] (<a href='/en-us/products/primary-antibodies/rab27b-antibody-epr28647-45-ab317264'>ab317264</a>) at 1/1000 dilution

Lane 1:

MEF (mouse embryonic fibroblast (immortalized)) whole cell lysate at 20 µg with NFDM/TBST

Lane 2:

A20 (mouse reticum sarcoma B lymphocyte) whole cell lysate at 20 µg with NFDM/TBST

Lane 3:

NIH/3T3 (mouse embryonic fibroblast) whole cell lysate at 20 µg with NFDM/TBST

Lane 4:

F9 (mouse embryonal carcinoma epithelial cell) whole cell lysate at 20 µg with NFDM/TBST

Lane 5:

Mouse stomach tissue lysate at 20 µg with NFDM/TBST

Lane 6:

Mouse brain tissue lysate at 20 µg with NFDM/TBST

Lane 7:

Mouse liver tissue lysate at 20 µg with NFDM/TBST

Secondary

All lanes:

Western blot - Goat Anti-Rabbit IgG H&L (HRP) (<a href='/en-us/products/secondary-antibodies/goat-rabbit-igg-h-l-hrp-ab97051'>ab97051</a>) at 1/100000 dilution

Observed band size: 25 kDa,36 kDa

false

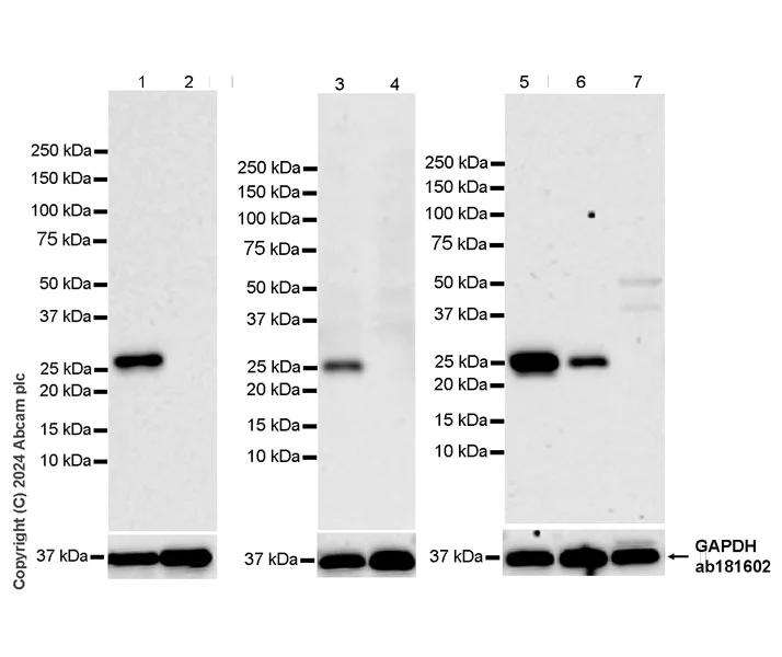
Western blot - Anti-RAB27B antibody [EPR28647-45] - BSA and Azide free (AB317265)
  • WB

Supplier Data

Western blot - Anti-RAB27B antibody [EPR28647-45] - BSA and Azide free (AB317265)

This data was developed using ab317264, the same antibody clone in a different buffer formulation.

Low expression : liver(PMID : 14625374)

In Western blot, Anti-GAPDH antibody [EPR16891] - Loading Control (ab181602) staining at 1/200000 dilution.

All lanes:

Western blot - Anti-RAB27B antibody [EPR28647-45] (<a href='/en-us/products/primary-antibodies/rab27b-antibody-epr28647-45-ab317264'>ab317264</a>) at 1/1000 dilution

Lane 1:

Rat stomach tissue lysate at 20 µg with NFDM/TBST

Lane 2:

Rat liver tissue lysate at 20 µg with NFDM/TBST

Secondary

All lanes:

Western blot - Goat Anti-Rabbit IgG H&L (HRP) (<a href='/en-us/products/secondary-antibodies/goat-rabbit-igg-h-l-hrp-ab97051'>ab97051</a>) at 1/100000 dilution

Observed band size: 25 kDa,36 kDa

false

Exposure time: 180s

Dot Blot - Anti-RAB27B antibody [EPR28647-45] - BSA and Azide free (AB317265)
  • Dot

Supplier Data

Dot Blot - Anti-RAB27B antibody [EPR28647-45] - BSA and Azide free (AB317265)

This data was developed using ab317264, the same antibody clone in a different buffer formulation.

Dot blot analysis of RAB27B using ab317264 at 1 : 1000 (0.509 ug/ml) followed by a Goat Anti-Rabbit IgG, (H+L), Peroxidase conjugated (ab97051) at 1 : 100,000 dilution.

This antibody doesn't cross-react with Human RAB27A and RAB3A.

All lanes:

Dot Blot - Anti-RAB27B antibody [EPR28647-45] (<a href='/en-us/products/primary-antibodies/rab27b-antibody-epr28647-45-ab317264'>ab317264</a>) at 1/1000 dilution

Lane 1:

His-tagged Human RAB27B protein

Lane 2:

Human RAB27A protein

Lane 3:

His-tagged Human RAB3A protein

Secondary

All lanes:

Dot Blot - Goat Anti-Rabbit IgG H&L (HRP) (<a href='/en-us/products/secondary-antibodies/goat-rabbit-igg-h-l-hrp-ab97051'>ab97051</a>) at 1/100000 dilution

false

Exposure time: 180s

Key facts

Host species

Rabbit

Clonality

Monoclonal

Clone number

EPR28647-45

Isotype

IgG

Carrier free

Yes

Reacts with

Human, Mouse, Rat

Applications

Dot, IHC-P, Flow Cyt (Intra), IHC-Fr, IP, ICC/IF, WB

applications

Immunogen

The exact immunogen used to generate this antibody is proprietary information.

Specificity

Unsuitable for mouse ICC.

Reactivity data

{ "title": "Reactivity Data", "filters": { "stats": ["", "Species", "Dilution Info", "Notes"], "tabs": { "all-applications": {"fullname" : "All Applications", "shortname": "All Applications"}, "Dot" : {"fullname" : "Dot Blot", "shortname":"Dot"}, "WB" : {"fullname" : "Western blot", "shortname":"WB"}, "ICCIF" : {"fullname" : "Immunocytochemistry/ Immunofluorescence", "shortname":"ICC/IF"}, "IP" : {"fullname" : "Immunoprecipitation", "shortname":"IP"}, "IHCP" : {"fullname" : "Immunohistochemistry (Formalin/PFA-fixed paraffin-embedded sections)", "shortname":"IHC-P"}, "IHCFr" : {"fullname" : "Immunohistochemistry (Frozen sections)", "shortname":"IHC-Fr"}, "FlowCytIntra" : {"fullname" : "Flow Cytometry (Intracellular)", "shortname":"Flow Cyt (Intra)"} }, "product-promise": { "all": "all", "testedAndGuaranteed": "tested", "guaranteed": "expected", "predicted": "predicted", "notRecommended": "not-recommended" } }, "values": { "Human": { "Dot-species-checked": "guaranteed", "Dot-species-dilution-info": "", "Dot-species-notes": "", "WB-species-checked": "testedAndGuaranteed", "WB-species-dilution-info": "", "WB-species-notes": "<p></p>", "ICCIF-species-checked": "testedAndGuaranteed", "ICCIF-species-dilution-info": "", "ICCIF-species-notes": "<p></p>", "IP-species-checked": "testedAndGuaranteed", "IP-species-dilution-info": "", "IP-species-notes": "<p></p>", "IHCP-species-checked": "testedAndGuaranteed", "IHCP-species-dilution-info": "", "IHCP-species-notes": "<p></p>", "IHCFr-species-checked": "guaranteed", "IHCFr-species-dilution-info": "", "IHCFr-species-notes": "", "FlowCytIntra-species-checked": "testedAndGuaranteed", "FlowCytIntra-species-dilution-info": "", "FlowCytIntra-species-notes": "<p></p>" }, "Mouse": { "Dot-species-checked": "guaranteed", "Dot-species-dilution-info": "", "Dot-species-notes": "", "WB-species-checked": "testedAndGuaranteed", "WB-species-dilution-info": "", "WB-species-notes": "<p></p>", "ICCIF-species-checked": "notRecommended", "ICCIF-species-dilution-info": "", "ICCIF-species-notes": "<p></p>", "IP-species-checked": "guaranteed", "IP-species-dilution-info": "", "IP-species-notes": "", "IHCP-species-checked": "testedAndGuaranteed", "IHCP-species-dilution-info": "", "IHCP-species-notes": "<p></p>", "IHCFr-species-checked": "testedAndGuaranteed", "IHCFr-species-dilution-info": "", "IHCFr-species-notes": "<p></p>", "FlowCytIntra-species-checked": "guaranteed", "FlowCytIntra-species-dilution-info": "", "FlowCytIntra-species-notes": "" }, "Rat": { "Dot-species-checked": "guaranteed", "Dot-species-dilution-info": "", "Dot-species-notes": "", "WB-species-checked": "testedAndGuaranteed", "WB-species-dilution-info": "", "WB-species-notes": "<p></p>", "ICCIF-species-checked": "guaranteed", "ICCIF-species-dilution-info": "", "ICCIF-species-notes": "", "IP-species-checked": "guaranteed", "IP-species-dilution-info": "", "IP-species-notes": "", "IHCP-species-checked": "testedAndGuaranteed", "IHCP-species-dilution-info": "", "IHCP-species-notes": "<p></p>", "IHCFr-species-checked": "guaranteed", "IHCFr-species-dilution-info": "", "IHCFr-species-notes": "", "FlowCytIntra-species-checked": "guaranteed", "FlowCytIntra-species-dilution-info": "", "FlowCytIntra-species-notes": "" }, "Recombinant full length protein - Human": { "Dot-species-checked": "testedAndGuaranteed", "Dot-species-dilution-info": "", "Dot-species-notes": "<p></p>", "WB-species-checked": "notRecommended", "WB-species-dilution-info": "", "WB-species-notes": "", "ICCIF-species-checked": "notRecommended", "ICCIF-species-dilution-info": "", "ICCIF-species-notes": "", "IP-species-checked": "notRecommended", "IP-species-dilution-info": "", "IP-species-notes": "", "IHCP-species-checked": "notRecommended", "IHCP-species-dilution-info": "", "IHCP-species-notes": "", "IHCFr-species-checked": "notRecommended", "IHCFr-species-dilution-info": "", "IHCFr-species-notes": "", "FlowCytIntra-species-checked": "notRecommended", "FlowCytIntra-species-dilution-info": "", "FlowCytIntra-species-notes": "" } } }

Product details

ab317265 is the carrier-free version of ab317264.

Patented technology
Our RabMAb® technology is a patented hybridoma-based technology for making rabbit monoclonal antibodies. For details on our patents, please refer to RabMAb® patents.

What are the advantages of a recombinant monoclonal antibody?
This product is a recombinant monoclonal antibody, which offers several advantages including:

  • - High batch-to-batch consistency and reproducibility
  • - Improved sensitivity and specificity
  • - Long-term security of supply
  • - Animal-free batch production

For more information, read more on recombinant antibodies.

Conjugation ready
Our carrier-free antibodies are typically supplied in a PBS-only formulation, purified and free of BSA, sodium azide and glycerol. This conjugation-ready format is designed for use with fluorochromes, metal isotopes, oligonucleotides, and enzymes, which makes them ideal for antibody labelling, functional and cell-based assays, flow-based assays (e.g. mass cytometry) and Multiplex Imaging applications.

Use our conjugation kits for antibody conjugates that are ready-to-use in as little as 20 minutes with 1 minute hands-on-time and 100% antibody recovery: available for fluorescent dyes, HRP, biotin and gold.

Compatibility
This product is compatible with the Maxpar® Antibody Labeling Kit from Fluidigm, without the need for antibody preparation. Maxpar® is a trademark of Fluidigm Canada Inc.

Properties and storage information

Form
Liquid
Purification technique
Affinity purification Protein A
Storage buffer
pH: 7.2 - 7.4 Constituents: PBS
Shipped at conditions
Blue Ice
Appropriate short-term storage conditions
+4°C
Appropriate long-term storage conditions
+4°C

Supplementary information

This supplementary information is collated from multiple sources and compiled automatically.

RAB27B also known as Ras-related protein Rab-27B belongs to the Rab family of small GTPases and has a molecular mass of approximately 25 kDa. RAB27B is involved in intracellular vesicle trafficking processes. It is expressed in various tissues with notable expression in platelets and secretory cells. The protein cycles between GDP-bound inactive and GTP-bound active states regulates cargo delivery and maintains distinct cellular compartments.
Biological function summary

The functional role of RAB27B includes mediating the transport and exocytosis of secretory vesicles. This protein collaborates with effector molecules such as MLPH (melanophilin) as part of a multiprotein complex that facilitates vesicle membrane docking and fusion. RAB27B's activity ensures proper cellular secretion processes impacting hormone release pigment distribution and other essential secretory pathways.

Pathways

RAB27B participates in the exosome secretion and regulated secretory pathways. It closely interacts with other proteins including RAB27A which shares similar trafficking functions. RAB27B plays a role in specialized secretory pathways affecting the maturation and docking of vesicles in cells like melanocytes and cytotoxic T lymphocytes which are essential for efficient immune responses and pigmentation respectively.

RAB27B is relevant in conditions such as cancer and Griscelli syndrome. Its dysregulation can contribute to tumor progression and metastasis due to altered vesicle trafficking and secretion dynamics. In Griscelli syndrome type 2 mutations in the related protein RAB27A although not directly in RAB27B impact melanosome transport leading to pigmentary issues and immune dysfunction. Understanding RAB27B's involvement offers insights into potential therapeutic strategies targeting these pathways.

Product protocols

For this product, it's our understanding that no specific protocols are required. You can visit:

Target data

Small GTPase which cycles between active GTP-bound and inactive GDP-bound states. In its active state, binds to a variety of effector proteins to regulate homeostasis of late endocytic pathway, including endosomal positioning, maturation and secretion (PubMed : 30771381). Plays a role in NTRK2/TRKB axonal anterograde transport by facilitating the association of NTRK2/TRKB with KLC1 (PubMed : 21775604). May be involved in targeting uroplakins to urothelial apical membranes (By similarity).
See full target information RAB27B

Product promise

We are committed to supporting your work with high-quality reagents, and we're here for you every step of the way. In the unlikely event that one of our products does not perform as expected, you're protected by our Product Promise.
For full details, please see our Terms & Conditions

Please note: All products are 'FOR RESEARCH USE ONLY. NOT FOR USE IN DIAGNOSTIC OR THERAPEUTIC PROCEDURES'.

For licensing inquiries, please contact partnerships@abcam.com