JavaScript is disabled in your browser. Please enable JavaScript to view this website.
AB256548

Anti-RAB29 antibody [MJF-R30-104] - BSA and Azide free

Be the first to review this product! Submit a review

|

(1 Publication)

Rabbit Recombinant Monoclonal RAB29 antibody. Carrier free. Suitable for IP, WB and reacts with Human samples. Cited in 1 publication.

View Alternative Names

RAB7L1, RAB29, Ras-related protein Rab-7L1, Rab-7-like protein 1, Ras-related protein Rab-29

4 Images
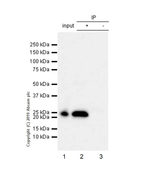
Immunoprecipitation - Anti-RAB29 antibody [MJF-R30-104] - BSA and Azide free (AB256548)
  • IP

Unknown

Immunoprecipitation - Anti-RAB29 antibody [MJF-R30-104] - BSA and Azide free (AB256548)

RAB29 was immunoprecipitated from 0.35 mg A549 (human lung carcinoma epithelial cell) whole cell lysate with ab256527 at 1/30 dilution (2ug in 0.35mg lysates). Western blot was performed on the immunoprecipitate using ab256527 at 1/1000 dilution. VeriBlot for IP Detection Reagent (HRP) (ab131366) was used at 1/5000 dilution.

Lane 1 : A549 (human lung carcinoma epithelial cell) whole cell lysate 10ug

Lane 2 : ab256527 IP in A549 whole cell lysate

Lane 3 : Rabbit monoclonal IgG (ab172730) instead of ab256527 in A549 whole cell lysate

Blocking and dilution buffer and concentration : 5% NFDM/TBST

Exposure time : 30 seconds

This data was developed using the same antibody clone in a different buffer formulation containing PBS, BSA, glycerol, and sodium azide (ab256527).

All lanes:

Immunoprecipitation - Anti-RAB29 antibody [MJF-R30-104] (<a href='/en-us/products/primary-antibodies/rab29-antibody-mjf-r30-104-ab256527'>ab256527</a>)

Predicted band size: 23 kDa

false

Western blot - Anti-RAB29 antibody [MJF-R30-104] - BSA and Azide free (AB256548)
  • WB

Lab

Western blot - Anti-RAB29 antibody [MJF-R30-104] - BSA and Azide free (AB256548)

False colour image of Western blot : Anti-RAB29 antibody [MJF-R30-104] staining at 1/1000 dilution, shown in green; Mouse anti-Alpha Tubulin [DM1A] (ab7291) loading control staining at 1/20000 dilution, shown in red. In Western blot, ab256527 was shown to bind specifically to RAB29. A band was observed at 23 kDa in wild-type A549 cell lysates with no signal observed at this size in RAB29 knockout cell line ab280040 (knockout cell lysate None). To generate this image, wild-type and RAB29 knockout A549 cell lysates were analysed. First, samples were run on an SDS-PAGE gel then transferred onto a nitrocellulose membrane. Membranes were blocked in 3 % milk in TBS-0.1 % Tween® 20 (TBS-T) before incubation with primary antibodies overnight at 4°C. Blots were washed four times in TBS-T, incubated with secondary antibodies for 1 h at room temperature, washed again four times then imaged.Secondary antibodies used were Goat anti-Rabbit IgG H&L (IRDye® 800CW) preabsorbed (ab216773) and Goat anti-Mouse IgG H&L (IRDye® 680RD) preabsorbed (ab216776) at 1/20000 dilution.

All lanes:

Western blot - Anti-RAB29 antibody [MJF-R30-104] (<a href='/en-us/products/primary-antibodies/rab29-antibody-mjf-r30-104-ab256527'>ab256527</a>) at 1/1000 dilution

Lane 1:

Wild-type A549 cell lysate at 20 µg

Lane 2:

RAB29 knockout A549 cell lysate at 20 µg

Lane 2:

Western blot - Human RAB29 knockout A549 cell line (<a href='/en-us/products/cell-lines/human-rab29-knockout-a549-cell-line-ab280040'>ab280040</a>)

Lane 2:

Western blot - Human RAB29 knockout A549 cell lysate (<a href='/en-us/products/cell-lysates/human-rab29-knockout-a549-cell-lysate-ab280099'>ab280099</a>)

Lane 3:

MCF-7 cell lysate at 20 µg

Lane 4:

Caco-2 cell lysate at 20 µg

Predicted band size: 23 kDa

Observed band size: 23 kDa

false

Western blot - Anti-RAB29 antibody [MJF-R30-104] - BSA and Azide free (AB256548)
  • WB

Lab

Western blot - Anti-RAB29 antibody [MJF-R30-104] - BSA and Azide free (AB256548)

The lysates were kindly provided by Dr. Dario Alessi, University of Dundee.

Blocking/Diluting buffer and concentration : 5% NFDM/TBST

Exposure Time : 59 seconds

This data was developed using the same antibody clone in a different buffer formulation containing PBS, BSA, glycerol, and sodium azide (ab256527).

All lanes:

Western blot - Anti-RAB29 antibody [MJF-R30-104] (<a href='/en-us/products/primary-antibodies/rab29-antibody-mjf-r30-104-ab256527'>ab256527</a>) at 1/1000 dilution

Lane 1:

Wild type A549 (human lung carcinoma epithelial cell) whole cell lysate at 20 µg

Lane 2:

A549 (human lung carcinoma epithelial cell) Rab29 KO whole cell lysate at 20 µg

Secondary

All lanes:

Western blot - Goat Anti-Rabbit IgG H&L (HRP) (<a href='/en-us/products/secondary-antibodies/goat-rabbit-igg-h-l-hrp-ab97051'>ab97051</a>) at 1/100000 dilution

Predicted band size: 23 kDa

Observed band size: 23 kDa

false

Western blot - Anti-RAB29 antibody [MJF-R30-104] - BSA and Azide free (AB256548)
  • WB

Lab

Western blot - Anti-RAB29 antibody [MJF-R30-104] - BSA and Azide free (AB256548)

This data was developed using ab256527, the same antibody clone in a different buffer formulation.

Western blot : Rabbit Monoclonal[MJF-R30-104] to RAB29 ab256527 staining at 1/1000 dilution, shown in green; Mouse anti alpha Tubulin (ab7291) loading control staining at 1/20,000 dilution, shown in magenta. A band was observed at 23 kDa in Wild-type U-87 MG ab278079 cell lysates with no signal observed at this size in RAB29 knockout U-87 MG ab306765 cell line. To generate this image, samples were run on an SDS-PAGE gel then transferred onto a nitrocellulose membrane. Membranes were blocked in 3pc Milk in TBS-0.1 % Tween® 20 (TBS-T) before incubation with primary antibodies overnight at 4 °C. Blots were washed four times in TBS-T, incubated with secondary antibodies for 1 h at room temperature, washed again four times then imaged. Secondary antibodies used were Goat anti-Rabbit 800CW & Goat anti-Mouse 680RD at 1/20,000 dilution.

All lanes:

Western blot - Anti-RAB29 antibody [MJF-R30-104] (<a href='/en-us/products/primary-antibodies/rab29-antibody-mjf-r30-104-ab256527'>ab256527</a>) at 1/1000 dilution

Lane 1:

Wild-type U-87 MG ab278079 at 20 µg

Lane 2:

RAB29 knockout U-87 MG ab306765 at 20 µg

Lane 3:

MCF7 at 20 µg

Lane 4:

Caco-2 at 20 µg

Secondary

All lanes:

Goat anti-Rabbit 800CW & Goat anti-Mouse 680RD at 1/20000 dilution

Predicted band size: 23 kDa

Observed band size: 23 kDa

false

Key facts

Host species

Rabbit

Clonality

Monoclonal

Clone number

MJF-R30-104

Isotype

IgG

Carrier free

Yes

Reacts with

Human

Applications

WB, IP

applications

Immunogen

The exact immunogen used to generate this antibody is proprietary information.

Reactivity data

{ "title": "Reactivity Data", "filters": { "stats": ["", "Species", "Dilution Info", "Notes"], "tabs": { "all-applications": {"fullname" : "All Applications", "shortname": "All Applications"}, "IP" : {"fullname" : "Immunoprecipitation", "shortname":"IP"}, "FlowCyt" : {"fullname" : "Flow Cytometry", "shortname":"Flow Cyt"}, "WB" : {"fullname" : "Western blot", "shortname":"WB"}, "IHCP" : {"fullname" : "Immunohistochemistry (Formalin/PFA-fixed paraffin-embedded sections)", "shortname":"IHC-P"}, "ICCIF" : {"fullname" : "Immunocytochemistry/ Immunofluorescence", "shortname":"ICC/IF"} }, "product-promise": { "all": "all", "testedAndGuaranteed": "tested", "guaranteed": "expected", "predicted": "predicted", "notRecommended": "not-recommended" } }, "values": { "Human": { "IP-species-checked": "testedAndGuaranteed", "IP-species-dilution-info": "", "IP-species-notes": "<p></p>", "FlowCyt-species-checked": "notRecommended", "FlowCyt-species-dilution-info": "", "FlowCyt-species-notes": "<p></p>", "WB-species-checked": "testedAndGuaranteed", "WB-species-dilution-info": "", "WB-species-notes": "<p></p>", "IHCP-species-checked": "notRecommended", "IHCP-species-dilution-info": "", "IHCP-species-notes": "<p></p>", "ICCIF-species-checked": "notRecommended", "ICCIF-species-dilution-info": "", "ICCIF-species-notes": "<p></p>" } } }

Product details

ab256548 is the carrier-free version of ab256527.

Patented technology
Our RabMAb® technology is a patented hybridoma-based technology for making rabbit monoclonal antibodies. For details on our patents, please refer to RabMAb® patents.

What are the advantages of a recombinant monoclonal antibody?
This product is a recombinant monoclonal antibody, which offers several advantages including:

  • - High batch-to-batch consistency and reproducibility
  • - Improved sensitivity and specificity
  • - Long-term security of supply
  • - Animal-free batch production

For more information, read more on recombinant antibodies.

Conjugation ready
Our carrier-free antibodies are typically supplied in a PBS-only formulation, purified and free of BSA, sodium azide and glycerol. This conjugation-ready format is designed for use with fluorochromes, metal isotopes, oligonucleotides, and enzymes, which makes them ideal for antibody labelling, functional and cell-based assays, flow-based assays (e.g. mass cytometry) and Multiplex Imaging applications.

Use our conjugation kits for antibody conjugates that are ready-to-use in as little as 20 minutes with 1 minute hands-on-time and 100% antibody recovery: available for fluorescent dyes, HRP, biotin and gold.

Compatibility
This product is compatible with the Maxpar® Antibody Labeling Kit from Fluidigm, without the need for antibody preparation. Maxpar® is a trademark of Fluidigm Canada Inc.

Collaborations
This antibody was developed with support from The Michael J. Fox Foundation.

Properties and storage information

Form
Liquid
Purification technique
Affinity purification Protein A
Storage buffer
pH: 7.2 - 7.4 Constituents: PBS
Shipped at conditions
Blue Ice
Appropriate short-term storage conditions
+4°C
Appropriate long-term storage conditions
+4°C
Storage information
Do Not Freeze

Supplementary information

This supplementary information is collated from multiple sources and compiled automatically.

RAB29 also known as Rab7L1 is a member of the RAB family of small GTPases. This protein is involved in vesicle trafficking processes within cells. RAB29 has an approximate mass of 23 kDa. It is expressed in various tissues but shows higher expression levels in brain and testis. In cellular functions it acts mainly within the endosomal-lysosomal system to regulate membrane trafficking events.
Biological function summary

RAB29 plays an important role in ensuring the proper transport and sorting of proteins within cells. It associates with certain effector proteins to form complexes which facilitate movement between endosomes and other intracellular compartments. It coordinates with other RAB proteins to maintain cellular homeostasis and ensure effective intracellular transport. This coordination is significant for neural cells suggesting a specific importance in neurological environments.

Pathways

RAB29 engages in intracellular trafficking pathways that include the endocytic pathway and Golgi-lysosomal trafficking. In these pathways it cooperates closely with proteins like LRRK2 to regulate autophagy and the maintenance of the endosomal membrane system. Through these pathways it maintains cellular organelle distribution and affects lysosome functionality impacting overall cell health and metabolism.

RAB29 exhibits connections to neurodegenerative disorders such as Parkinson’s disease. Mutations or dysfunctions in RAB29 along with its interaction partner LRRK2 have been linked to the pathogenesis of this disorder implicating it in the degeneration of dopaminergic neurons. Additionally aberrant RAB29 activity has been associated with complications in lysosomal storage diseases suggesting its broader implications in cellular waste handling and turnover.

Product protocols

For this product, it's our understanding that no specific protocols are required. You can visit:

Target data

The small GTPases Rab are key regulators in vesicle trafficking (PubMed : 24788816). Essential for maintaining the integrity of the endosome-trans-Golgi network structure (By similarity). Together with LRRK2, plays a role in the retrograde trafficking pathway for recycling proteins, such as mannose 6 phosphate receptor (M6PR), between lysosomes and the Golgi apparatus in a retromer-dependent manner (PubMed : 24788816). Recruits LRRK2 to the Golgi complex and stimulates LRRK2 kinase activity (PubMed : 29212815, PubMed : 38127736). Stimulates phosphorylation of RAB10 'Thr-73' by LRRK2 (PubMed : 38127736). Regulates neuronal process morphology in the intact central nervous system (CNS) (By similarity). May play a role in the formation of typhoid toxin transport intermediates during Salmonella enterica serovar Typhi (S.Typhi) epithelial cell infection (PubMed : 22042847).
See full target information RAB29

Publications (1)

Recent publications for all applications. Explore the full list and refine your search

Cell reports. Medicine 5:101791 PubMed39426375

2024

Schwann cell-secreted frizzled-related protein 1 dictates neuroinflammation and peripheral nerve degeneration after neurotrauma.

Applications

Unspecified application

Species

Unspecified reactive species

Xiangyun Yao,Lingchi Kong,Yi Qiao,David Brand,Juehong Li,Zhiwen Yan,Song Guo Zheng,Yun Qian,Cunyi Fan
View all publications

Product promise

We are committed to supporting your work with high-quality reagents, and we're here for you every step of the way. In the unlikely event that one of our products does not perform as expected, you're protected by our Product Promise.
For full details, please see our Terms & Conditions

Please note: All products are 'FOR RESEARCH USE ONLY. NOT FOR USE IN DIAGNOSTIC OR THERAPEUTIC PROCEDURES'.

For licensing inquiries, please contact partnerships@abcam.com