JavaScript is disabled in your browser. Please enable JavaScript to view this website.
AB256526

Anti-RAB29 antibody [MJF-R30-124]

Be the first to review this product! Submit a review

|

(5 Publications)

Rabbit Recombinant Monoclonal RAB29 antibody. Suitable for IP, WB and reacts with Human, Mouse samples. Cited in 5 publications.

View Alternative Names

RAB7L1, RAB29, Ras-related protein Rab-7L1, Rab-7-like protein 1, Ras-related protein Rab-29

6 Images
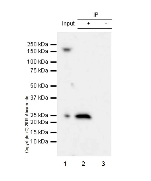
Immunoprecipitation - Anti-RAB29 antibody [MJF-R30-124] (AB256526)
  • IP

Unknown

Immunoprecipitation - Anti-RAB29 antibody [MJF-R30-124] (AB256526)

RAB29 was immunoprecipitated from 0.35 mg A549 (human lung carcinoma epithelial cell) whole cell lysate with ab256526 at 1/30 dilution (2ug in 0.35mg lysates). Western blot was performed on the immunoprecipitate using ab256526 at 1/1000 dilution. VeriBlot for IP Detection Reagent (HRP) (ab131366) was used at 1/5000 dilution.

Lane 1 : A549 (human lung carcinoma epithelial cell) whole cell lysate 10ug

Lane 2 : ab256526 IP in A549 whole cell lysate

Lane 3 : Rabbit monoclonal IgG (ab172730) instead of ab256526 in A549 whole cell lysate

Blocking and dilution buffer and concentration : 5% NFDM/TBST

Exposure time : 30 seconds

All lanes:

Immunoprecipitation - Anti-RAB29 antibody [MJF-R30-124] (ab256526)

Predicted band size: 23 kDa

false

Western blot - Anti-RAB29 antibody [MJF-R30-124] (AB256526)
  • WB

Lab

Western blot - Anti-RAB29 antibody [MJF-R30-124] (AB256526)

False colour image of Western blot : Anti-RAB29 antibody [MJF-R30-124] staining at 1/1000 dilution, shown in green; Mouse anti-Alpha Tubulin [DM1A] (ab7291) loading control staining at 1/20000 dilution, shown in red. In Western blot, ab256526 was shown to bind specifically to RAB29. A band was observed at 23 kDa in wild-type A549 cell lysates with no signal observed at this size in RAB29 knockout cell line ab280040 (knockout cell lysate ab280099). To generate this image, wild-type and RAB29 knockout A549 cell lysates were analysed. First, samples were run on an SDS-PAGE gel then transferred onto a nitrocellulose membrane. Membranes were blocked in 3 % milk in TBS-0.1 % Tween® 20 (TBS-T) before incubation with primary antibodies overnight at 4 °C. Blots were washed four times in TBS-T, incubated with secondary antibodies for 1 h at room temperature, washed again four times then imaged.Secondary antibodies used were Goat anti-Rabbit IgG H&L (IRDye® 800CW) preabsorbed (ab216773) and Goat anti-Mouse IgG H&L (IRDye® 680RD) preabsorbed (ab216776) at 1/20000 dilution.

All lanes:

Western blot - Anti-RAB29 antibody [MJF-R30-124] (ab256526) at 1/1000 dilution

Lane 1:

Wild-type A549 cell lysate at 20 µg

Lane 2:

RAB29 knockout A549 cell lysate at 20 µg

Lane 2:

Western blot - Human RAB29 knockout A549 cell line (<a href='/en-us/products/cell-lines/human-rab29-knockout-a549-cell-line-ab280040'>ab280040</a>)

Lane 2:

Western blot - Human RAB29 knockout A549 cell lysate (<a href='/en-us/products/cell-lysates/human-rab29-knockout-a549-cell-lysate-ab280099'>ab280099</a>)

Lane 3:

MCF-7 cell lysate at 20 µg

Lane 4:

Caco-2 cell lysate at 20 µg

Predicted band size: 23 kDa

Observed band size: 23 kDa

false

Western blot - Anti-RAB29 antibody [MJF-R30-124] (AB256526)
  • WB

Lab

Western blot - Anti-RAB29 antibody [MJF-R30-124] (AB256526)

This antibody reacts with an unidentifiable protein around 150 kDa. This image was kindly provided by Dr. Mark Cookson, NIH.

Blocking/Diluting buffer and concentration : 50% TBST, 50% Odyssey Blocking buffer

Exposure Time : 3 min

All lanes:

Western blot - Anti-RAB29 antibody [MJF-R30-124] (ab256526) at 1/3000 dilution

Lane 1:

HEK293T cells (human embryonic kidney epithelial cell) transiently transfected with non-target siRNA control whole cell lysate at 15 µg

Lane 2:

HEK293T cells (human embryonic kidney epithelial cell) transiently transfected with siRNA against Rab29 whole cell lysate at 15 µg

Secondary

All lanes:

IR Dye 800CW Goat anti-rabbit IgG (#926-32211) at 1/10000 dilution

Predicted band size: 23 kDa

Observed band size: 23 kDa

false

Western blot - Anti-RAB29 antibody [MJF-R30-124] (AB256526)
  • WB

Lab

Western blot - Anti-RAB29 antibody [MJF-R30-124] (AB256526)

The lysates were kindly provided by Dr. Dario Alessi, University of Dundee.

Blocking/Diluting buffer and concentration : 5% NFDM/TBST

Exposure Time : 3 min

All lanes:

Western blot - Anti-RAB29 antibody [MJF-R30-124] (ab256526) at 1/1000 dilution

Lane 1:

Wild type A549 (human lung carcinoma epithelial cell) whole cell lysate at 20 µg

Lane 2:

A549 (human lung carcinoma epithelial cell) Rab29 KO whole cell lysate at 20 µg

Secondary

All lanes:

Western blot - Goat Anti-Rabbit IgG H&L (HRP) (<a href='/en-us/products/secondary-antibodies/goat-rabbit-igg-h-l-hrp-ab97051'>ab97051</a>)

Predicted band size: 23 kDa

Observed band size: 23 kDa

false

Western blot - Anti-RAB29 antibody [MJF-R30-124] (AB256526)
  • WB

Lab

Western blot - Anti-RAB29 antibody [MJF-R30-124] (AB256526)

Western blot : Rabbit Monoclonal[MJF-R30-124] to RAB29 ab256526 staining at 1/1000 dilution, shown in green; Mouse anti alpha Tubulin (ab7291) loading control staining at 1/20,000 dilution, shown in magenta. A band was observed at 23 kDa in Wild-type U-87 MG ab278079 cell lysates with no signal observed at this size in RAB29 knockout U-87 MG ab306765 cell line. To generate this image, samples were run on an SDS-PAGE gel then transferred onto a nitrocellulose membrane. Membranes were blocked in 3pc Milk in TBS-0.1 % Tween® 20 (TBS-T) before incubation with primary antibodies overnight at 4 °C. Blots were washed four times in TBS-T, incubated with secondary antibodies for 1 h at room temperature, washed again four times then imaged. Secondary antibodies used were Goat anti-Rabbit 800CW & Goat anti-Mouse 680RD at 1/20,000 dilution.

All lanes:

Western blot - Anti-RAB29 antibody [MJF-R30-124] (ab256526) at 1/1000 dilution

Lane 1:

Wild-type U-87 MG ab278079 at 20 µg

Lane 2:

RAB29 knockout U-87 MG ab306765 at 20 µg

Lane 3:

MCF7 at 20 µg

Lane 4:

Caco-2 at 20 µg

Secondary

All lanes:

Goat anti-Rabbit 800CW & Goat anti-Mouse 680RD at 1/20000 dilution

Predicted band size: 23 kDa

Observed band size: 23 kDa

false

Western blot - Anti-RAB29 antibody [MJF-R30-124] (AB256526)
  • WB

Lab

Western blot - Anti-RAB29 antibody [MJF-R30-124] (AB256526)

This antibody reacts with unidentifiable proteins around 30,75 and 150 kDa. This image was kindly provided by Dr. Mark Cookson, NIH.

Blocking/Diluting buffer and concentration : 50% TBST, 50% Odyssey Blocking buffer.

Exposure Time : 3 minutes.

All lanes:

Western blot - Anti-RAB29 antibody [MJF-R30-124] (ab256526) at 1/3000 dilution

Lane 1:

wildtype C57BL6 mouse lung tissue lysate at 15 µg

Lane 2:

Rab29 knock-out C57BL6 mouse lung tissue lysate at 15 µg

Secondary

All lanes:

IR Dye 800CW Goat anti-rabbit IgG (#926-32211) at 1/10000 dilution

Predicted band size: 23 kDa

Observed band size: 23 kDa

false

  • Carrier free

    Anti-RAB29 antibody [MJF-R30-124] - BSA and Azide free

Key facts

Host species

Rabbit

Clonality

Monoclonal

Clone number

MJF-R30-124

Isotype

IgG

Carrier free

No

Reacts with

Mouse, Human

Applications

IP, WB

applications

Immunogen

The exact immunogen used to generate this antibody is proprietary information.

Reactivity data

{ "title": "Reactivity Data", "filters": { "stats": ["", "Species", "Dilution Info", "Notes"], "tabs": { "all-applications": {"fullname" : "All Applications", "shortname": "All Applications"}, "IP" : {"fullname" : "Immunoprecipitation", "shortname":"IP"}, "FlowCyt" : {"fullname" : "Flow Cytometry", "shortname":"Flow Cyt"}, "WB" : {"fullname" : "Western blot", "shortname":"WB"}, "IHCP" : {"fullname" : "Immunohistochemistry (Formalin/PFA-fixed paraffin-embedded sections)", "shortname":"IHC-P"}, "ICCIF" : {"fullname" : "Immunocytochemistry/ Immunofluorescence", "shortname":"ICC/IF"} }, "product-promise": { "all": "all", "testedAndGuaranteed": "tested", "guaranteed": "expected", "predicted": "predicted", "notRecommended": "not-recommended" } }, "values": { "Human": { "IP-species-checked": "testedAndGuaranteed", "IP-species-dilution-info": "1/30", "IP-species-notes": "<p></p>", "FlowCyt-species-checked": "notRecommended", "FlowCyt-species-dilution-info": "", "FlowCyt-species-notes": "<p></p>", "WB-species-checked": "testedAndGuaranteed", "WB-species-dilution-info": "1/1000", "WB-species-notes": "<p></p>", "IHCP-species-checked": "notRecommended", "IHCP-species-dilution-info": "", "IHCP-species-notes": "<p></p>", "ICCIF-species-checked": "notRecommended", "ICCIF-species-dilution-info": "", "ICCIF-species-notes": "<p></p>" }, "Mouse": { "IP-species-checked": "guaranteed", "IP-species-dilution-info": "", "IP-species-notes": "", "FlowCyt-species-checked": "notRecommended", "FlowCyt-species-dilution-info": "", "FlowCyt-species-notes": "", "WB-species-checked": "testedAndGuaranteed", "WB-species-dilution-info": "1/1000", "WB-species-notes": "<p></p>", "IHCP-species-checked": "notRecommended", "IHCP-species-dilution-info": "", "IHCP-species-notes": "<p></p>", "ICCIF-species-checked": "notRecommended", "ICCIF-species-dilution-info": "", "ICCIF-species-notes": "" } } }

Product details

Patented technology
Our RabMAb® technology is a patented hybridoma-based technology for making rabbit monoclonal antibodies. For details on our patents, please refer to RabMAb® patents.

What are the advantages of a recombinant monoclonal antibody?
This product is a recombinant monoclonal antibody, which offers several advantages including:

  • - High batch-to-batch consistency and reproducibility
  • - Improved sensitivity and specificity
  • - Long-term security of supply
  • - Animal-free batch production

For more information, read more on recombinant antibodies.

Collaborations
This antibody was developed with support from The Michael J. Fox Foundation.

Properties and storage information

Form
Liquid
Purification technique
Affinity purification Protein A
Storage buffer
pH: 7.2 - 7.4 Preservative: 0.01% Sodium azide Constituents: PBS, 40% Glycerol (glycerin, glycerine), 0.05% BSA
Shipped at conditions
Blue Ice
Appropriate short-term storage duration
1-2 weeks
Appropriate short-term storage conditions
+4°C
Appropriate long-term storage conditions
-20°C
Aliquoting information
Upon delivery aliquot
Storage information
Avoid freeze / thaw cycle

Supplementary information

This supplementary information is collated from multiple sources and compiled automatically.

RAB29 also known as Rab7L1 is a member of the RAB family of small GTPases. This protein is involved in vesicle trafficking processes within cells. RAB29 has an approximate mass of 23 kDa. It is expressed in various tissues but shows higher expression levels in brain and testis. In cellular functions it acts mainly within the endosomal-lysosomal system to regulate membrane trafficking events.
Biological function summary

RAB29 plays an important role in ensuring the proper transport and sorting of proteins within cells. It associates with certain effector proteins to form complexes which facilitate movement between endosomes and other intracellular compartments. It coordinates with other RAB proteins to maintain cellular homeostasis and ensure effective intracellular transport. This coordination is significant for neural cells suggesting a specific importance in neurological environments.

Pathways

RAB29 engages in intracellular trafficking pathways that include the endocytic pathway and Golgi-lysosomal trafficking. In these pathways it cooperates closely with proteins like LRRK2 to regulate autophagy and the maintenance of the endosomal membrane system. Through these pathways it maintains cellular organelle distribution and affects lysosome functionality impacting overall cell health and metabolism.

RAB29 exhibits connections to neurodegenerative disorders such as Parkinson’s disease. Mutations or dysfunctions in RAB29 along with its interaction partner LRRK2 have been linked to the pathogenesis of this disorder implicating it in the degeneration of dopaminergic neurons. Additionally aberrant RAB29 activity has been associated with complications in lysosomal storage diseases suggesting its broader implications in cellular waste handling and turnover.

Product protocols

For this product, it's our understanding that no specific protocols are required. You can visit:

Target data

The small GTPases Rab are key regulators in vesicle trafficking (PubMed : 24788816). Essential for maintaining the integrity of the endosome-trans-Golgi network structure (By similarity). Together with LRRK2, plays a role in the retrograde trafficking pathway for recycling proteins, such as mannose 6 phosphate receptor (M6PR), between lysosomes and the Golgi apparatus in a retromer-dependent manner (PubMed : 24788816). Recruits LRRK2 to the Golgi complex and stimulates LRRK2 kinase activity (PubMed : 29212815, PubMed : 38127736). Stimulates phosphorylation of RAB10 'Thr-73' by LRRK2 (PubMed : 38127736). Regulates neuronal process morphology in the intact central nervous system (CNS) (By similarity). May play a role in the formation of typhoid toxin transport intermediates during Salmonella enterica serovar Typhi (S.Typhi) epithelial cell infection (PubMed : 22042847).
See full target information RAB29

Publications (5)

Recent publications for all applications. Explore the full list and refine your search

The Journal of biological chemistry 299:105192 PubMed37625589

2023

Endogenous Rab38 regulates LRRK2's membrane recruitment and substrate Rab phosphorylation in melanocytes.

Applications

Unspecified application

Species

Unspecified reactive species

Alexandra Unapanta,Farbod Shavarebi,Jacob Porath,Yiyi Shen,Carson Balen,Albert Nguyen,Josh Tseng,Weng Si Leong,Michelle Liu,Pawel Lis,Santiago M Di Pietro,Annie Hiniker

Oncology letters 26:297 PubMed37274476

2023

Soluble NKG2D ligands impair CD8 T cell antitumor function dependent of NKG2D downregulation in neuroblastoma.

Applications

Unspecified application

Species

Unspecified reactive species

Yi Zhang,Feifei Luo,Kuiran Dong

Neurobiology of disease 170:105769 PubMed35580815

2022

Directing LRRK2 to membranes of the endolysosomal pathway triggers RAB phosphorylation and JIP4 recruitment.

Applications

Unspecified application

Species

Unspecified reactive species

Jillian H Kluss,Luis Bonet-Ponce,Patrick A Lewis,Mark R Cookson

Current biology : CB 31:2140-2154.e6 PubMed33765413

2021

Increased LRRK2 kinase activity alters neuronal autophagy by disrupting the axonal transport of autophagosomes.

Applications

Unspecified application

Species

Unspecified reactive species

C Alexander Boecker,Juliet Goldsmith,Dan Dou,Gregory G Cajka,Erika L F Holzbaur

The Biochemical journal 477:4397-4423 PubMed33135724

2020

Endogenous Rab29 does not impact basal or stimulated LRRK2 pathway activity.

Applications

Unspecified application

Species

Unspecified reactive species

Alexia F Kalogeropulou,Jordana B Freemantle,Pawel Lis,Edmundo G Vides,Nicole K Polinski,Dario R Alessi
View all publications

Product promise

We are committed to supporting your work with high-quality reagents, and we're here for you every step of the way. In the unlikely event that one of our products does not perform as expected, you're protected by our Product Promise.
For full details, please see our Terms & Conditions

Please note: All products are 'FOR RESEARCH USE ONLY. NOT FOR USE IN DIAGNOSTIC OR THERAPEUTIC PROCEDURES'.

For licensing inquiries, please contact partnerships@abcam.com