JavaScript is disabled in your browser. Please enable JavaScript to view this website.
AB302702

Anti-RAB29 (phospho S72) antibody [EPR25173-80]

Be the first to review this product! Submit a review

|

(0 Publication)

Rabbit Recombinant Monoclonal RAB29 phospho S72 antibody. Suitable for WB, IP, Dot and reacts with Human samples.

View Alternative Names

RAB7L1, RAB29, Ras-related protein Rab-7L1, Rab-7-like protein 1, Ras-related protein Rab-29

3 Images
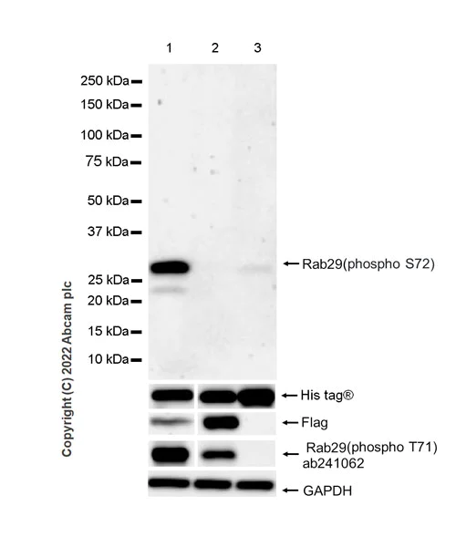
Western blot - Anti-RAB29 (phospho S72) antibody [EPR25173-80] (AB302702)
  • WB

Lab

Western blot - Anti-RAB29 (phospho S72) antibody [EPR25173-80] (AB302702)

Blocking and diluting buffer and concentration : 5% NFDM/TBST.

Rab29-S72 is phosphorylated by LRRK2 (PMID : 29125462).

Two bands detect in OE cell was due to endogenous expression Rab29 in HEK293 and overexpression Rab29 (PMID : 33135724).

All lanes:

Western blot - Anti-RAB29 (phospho S72) antibody [EPR25173-80] (ab302702) at 1/1000 dilution

Lane 1:

HEK-293T cells co-transfected with a human RAB29 expression vector containing a Myc-his tag and a human LRRK2 (Y1699C mutant) expression vector containing a flag tag, whole cell lysate at 20 µg

Lane 2:

HEK-293T cellls co-transfected with a human RAB29 (S72A mutant) expression vector containing a Myc-his tag and a human LRRK2 (Y1699C mutant) expression vector containing a flag tag, whole cell lysate at 20 µg

Lane 3:

HEK-293T cells transfected with a human RAB29 expression vector containing a Myc-his tag, whole cell lysate at 20 µg

Secondary

All lanes:

Western blot - Goat Anti-Rabbit IgG H&L (HRP) (<a href='/en-us/products/secondary-antibodies/goat-rabbit-igg-h-l-hrp-ab97051'>ab97051</a>) at 1/20000 dilution

Observed band size: 20-30 kDa

false

Exposure time: 180s

Immunoprecipitation - Anti-RAB29 (phospho S72) antibody [EPR25173-80] (AB302702)
  • IP

Lab

Immunoprecipitation - Anti-RAB29 (phospho S72) antibody [EPR25173-80] (AB302702)

RAB29 (phospho S72) was immunoprecipitated from 0.35 mg HEK-293T cells co-transfected with a human RAB29 expression vector containing a Myc-his tag and a human LRRK2 (Y1699C mutant) expression vector containing a flag tag whole cell lysate with ab302702 at 1/30 dilution (2 µg in 0.35 mg lysates). Western blot was performed on the immunoprecipitate using ab302702 at 1/1000 dilution. VeriBlot for IP secondary antibody(HRP)(ab131366) was used at 1/5000 dilution.

Blocking and diluting buffer and concentration : 5% NFDM/TBST.

All lanes:

Immunoprecipitation - Anti-RAB29 (phospho S72) antibody [EPR25173-80] (ab302702) at 1/1000 dilution

Lane 1:

HEK-293T cells co-transfected with a human RAB29 expression vector containing a Myc-his tag and a human LRRK2(Y1699C mutant) expression vector containing a flag tag, whole cell lysate at 10 µg

Lane 2:

ab302702 at 1/30 IP in HEK-293T cells co-transfected with a human RAB29 expression vector containing a Myc-his tag and a human LRRK2(Y1699C mutant) expression vector containing a flag tag whole cell lysate at 10 µg

Lane 3:

Rabbit monoclonal IgG (<a href='/en-us/products/primary-antibodies/rabbit-igg-monoclonal-epr25a-isotype-control-ab172730'>ab172730</a>) instead of ab302702 in HEK-293T cells co-transfected with a human RAB29 expression vector containing a Myc-his tag and a human LRRK2(Y1699C mutant) expression vector containing a flag tag whole cell lysate at 10 µg

Secondary

All lanes:

Immunoprecipitation - VeriBlot for IP Detection Reagent (HRP) (<a href='/en-us/products/reagents/veriblot-for-ip-detection-reagent-hrp-ab131366'>ab131366</a>) at 1/5000 dilution

Observed band size: 20-30 kDa

false

Exposure time: 67s

Dot Blot - Anti-RAB29 (phospho S72) antibody [EPR25173-80] (AB302702)
  • Dot

Lab

Dot Blot - Anti-RAB29 (phospho S72) antibody [EPR25173-80] (AB302702)

Blocking and diluting buffer and concentration : 5% NFDM/TBST.

Dot blot analysis of RAB29 (phospho S72) using ab302702 at 1/1000 followed by a Goat Anti-Rabbit IgG, (H+L), Peroxidase conjugated (ab97051) at 1/100,000 dilution.

All lanes:

Dot Blot - Anti-RAB29 (phospho S72) antibody [EPR25173-80] (ab302702) at 1/1000 dilution

Lane 1:

RAB29 (phospho S72) peptide

Lane 2:

RAB29 non-phospho peptide

Lane 3:

RAB29 (phospho S72/T71) peptide

Lane 4:

RAB29 (phospho T71) peptide

Secondary

All lanes:

Dot Blot - Goat Anti-Rabbit IgG H&L (HRP) (<a href='/en-us/products/secondary-antibodies/goat-rabbit-igg-h-l-hrp-ab97051'>ab97051</a>) at 1/100000 dilution

false

Exposure time: 180s

  • Carrier free

    Anti-RAB29 (phospho S72) antibody [EPR25173-80] - BSA and Azide free

Key facts

Host species

Rabbit

Clonality

Monoclonal

Clone number

EPR25173-80

Isotype

IgG

Carrier free

No

Reacts with

Human

Applications

Dot, IP, WB

applications

Immunogen

The exact immunogen used to generate this antibody is proprietary information.

Reactivity data

{ "title": "Reactivity Data", "filters": { "stats": ["", "Species", "Dilution Info", "Notes"], "tabs": { "all-applications": {"fullname" : "All Applications", "shortname": "All Applications"}, "WB" : {"fullname" : "Western blot", "shortname":"WB"}, "IHCP" : {"fullname" : "Immunohistochemistry (Formalin/PFA-fixed paraffin-embedded sections)", "shortname":"IHC-P"}, "ICCIF" : {"fullname" : "Immunocytochemistry/ Immunofluorescence", "shortname":"ICC/IF"}, "FlowCytIntra" : {"fullname" : "Flow Cytometry (Intracellular)", "shortname":"Flow Cyt (Intra)"}, "IP" : {"fullname" : "Immunoprecipitation", "shortname":"IP"}, "Dot" : {"fullname" : "Dot Blot", "shortname":"Dot"} }, "product-promise": { "all": "all", "testedAndGuaranteed": "tested", "guaranteed": "expected", "predicted": "predicted", "notRecommended": "not-recommended" } }, "values": { "Human": { "WB-species-checked": "testedAndGuaranteed", "WB-species-dilution-info": "1/1000", "WB-species-notes": "<p></p>", "IHCP-species-checked": "notRecommended", "IHCP-species-dilution-info": "", "IHCP-species-notes": "<p></p>", "ICCIF-species-checked": "notRecommended", "ICCIF-species-dilution-info": "", "ICCIF-species-notes": "<p></p>", "FlowCytIntra-species-checked": "notRecommended", "FlowCytIntra-species-dilution-info": "", "FlowCytIntra-species-notes": "<p></p>", "IP-species-checked": "testedAndGuaranteed", "IP-species-dilution-info": "1/30", "IP-species-notes": "<p></p>", "Dot-species-checked": "testedAndGuaranteed", "Dot-species-dilution-info": "1/1000", "Dot-species-notes": "<p></p>" }, "Mouse": { "WB-species-checked": "notRecommended", "WB-species-dilution-info": "", "WB-species-notes": "", "IHCP-species-checked": "notRecommended", "IHCP-species-dilution-info": "", "IHCP-species-notes": "<p></p>", "ICCIF-species-checked": "notRecommended", "ICCIF-species-dilution-info": "", "ICCIF-species-notes": "", "FlowCytIntra-species-checked": "notRecommended", "FlowCytIntra-species-dilution-info": "", "FlowCytIntra-species-notes": "", "IP-species-checked": "notRecommended", "IP-species-dilution-info": "", "IP-species-notes": "", "Dot-species-checked": "notRecommended", "Dot-species-dilution-info": "", "Dot-species-notes": "" }, "Rat": { "WB-species-checked": "notRecommended", "WB-species-dilution-info": "", "WB-species-notes": "", "IHCP-species-checked": "notRecommended", "IHCP-species-dilution-info": "", "IHCP-species-notes": "<p></p>", "ICCIF-species-checked": "notRecommended", "ICCIF-species-dilution-info": "", "ICCIF-species-notes": "", "FlowCytIntra-species-checked": "notRecommended", "FlowCytIntra-species-dilution-info": "", "FlowCytIntra-species-notes": "", "IP-species-checked": "notRecommended", "IP-species-dilution-info": "", "IP-species-notes": "", "Dot-species-checked": "notRecommended", "Dot-species-dilution-info": "", "Dot-species-notes": "" }, "Transfected cell line - Human": { "WB-species-checked": "notRecommended", "WB-species-dilution-info": "", "WB-species-notes": "", "IHCP-species-checked": "notRecommended", "IHCP-species-dilution-info": "", "IHCP-species-notes": "<p></p>", "ICCIF-species-checked": "notRecommended", "ICCIF-species-dilution-info": "", "ICCIF-species-notes": "", "FlowCytIntra-species-checked": "notRecommended", "FlowCytIntra-species-dilution-info": "", "FlowCytIntra-species-notes": "", "IP-species-checked": "notRecommended", "IP-species-dilution-info": "", "IP-species-notes": "", "Dot-species-checked": "notRecommended", "Dot-species-dilution-info": "", "Dot-species-notes": "" } } }

Product details

Patented technology
Our RabMAb® technology is a patented hybridoma-based technology for making rabbit monoclonal antibodies. For details on our patents, please refer to RabMAb® patents.

What are the advantages of a recombinant monoclonal antibody?
This product is a recombinant monoclonal antibody, which offers several advantages including:

  • - High batch-to-batch consistency and reproducibility
  • - Improved sensitivity and specificity
  • - Long-term security of supply
  • - Animal-free batch production

For more information, read more on recombinant antibodies.

Properties and storage information

Form
Liquid
Purification technique
Affinity purification Protein A
Storage buffer
pH: 7.2 - 7.4 Preservative: 0.01% Sodium azide Constituents: PBS, 40% Glycerol (glycerin, glycerine), 0.05% BSA
Shipped at conditions
Blue Ice
Appropriate short-term storage duration
1-2 weeks
Appropriate short-term storage conditions
+4°C
Appropriate long-term storage conditions
-20°C
Aliquoting information
Upon delivery aliquot
Storage information
Avoid freeze / thaw cycle

Supplementary information

This supplementary information is collated from multiple sources and compiled automatically.

RAB29 also known as Rab7L1 is a member of the RAB family of small GTPases. This protein is involved in vesicle trafficking processes within cells. RAB29 has an approximate mass of 23 kDa. It is expressed in various tissues but shows higher expression levels in brain and testis. In cellular functions it acts mainly within the endosomal-lysosomal system to regulate membrane trafficking events.
Biological function summary

RAB29 plays an important role in ensuring the proper transport and sorting of proteins within cells. It associates with certain effector proteins to form complexes which facilitate movement between endosomes and other intracellular compartments. It coordinates with other RAB proteins to maintain cellular homeostasis and ensure effective intracellular transport. This coordination is significant for neural cells suggesting a specific importance in neurological environments.

Pathways

RAB29 engages in intracellular trafficking pathways that include the endocytic pathway and Golgi-lysosomal trafficking. In these pathways it cooperates closely with proteins like LRRK2 to regulate autophagy and the maintenance of the endosomal membrane system. Through these pathways it maintains cellular organelle distribution and affects lysosome functionality impacting overall cell health and metabolism.

RAB29 exhibits connections to neurodegenerative disorders such as Parkinson’s disease. Mutations or dysfunctions in RAB29 along with its interaction partner LRRK2 have been linked to the pathogenesis of this disorder implicating it in the degeneration of dopaminergic neurons. Additionally aberrant RAB29 activity has been associated with complications in lysosomal storage diseases suggesting its broader implications in cellular waste handling and turnover.

Product protocols

For this product, it's our understanding that no specific protocols are required. You can visit:

Target data

The small GTPases Rab are key regulators in vesicle trafficking (PubMed : 24788816). Essential for maintaining the integrity of the endosome-trans-Golgi network structure (By similarity). Together with LRRK2, plays a role in the retrograde trafficking pathway for recycling proteins, such as mannose 6 phosphate receptor (M6PR), between lysosomes and the Golgi apparatus in a retromer-dependent manner (PubMed : 24788816). Recruits LRRK2 to the Golgi complex and stimulates LRRK2 kinase activity (PubMed : 29212815, PubMed : 38127736). Stimulates phosphorylation of RAB10 'Thr-73' by LRRK2 (PubMed : 38127736). Regulates neuronal process morphology in the intact central nervous system (CNS) (By similarity). May play a role in the formation of typhoid toxin transport intermediates during Salmonella enterica serovar Typhi (S.Typhi) epithelial cell infection (PubMed : 22042847).
See full target information RAB29 phospho S72

Product promise

We are committed to supporting your work with high-quality reagents, and we're here for you every step of the way. In the unlikely event that one of our products does not perform as expected, you're protected by our Product Promise.
For full details, please see our Terms & Conditions

Please note: All products are 'FOR RESEARCH USE ONLY. NOT FOR USE IN DIAGNOSTIC OR THERAPEUTIC PROCEDURES'.

For licensing inquiries, please contact partnerships@abcam.com