JavaScript is disabled in your browser. Please enable JavaScript to view this website.
AB128997

Anti-Rab3D antibody [EPR8106]

  • BOND RX™ Validated
  • 20ul selling size
  • RabMAb
  • Advanced Validation
  • Recombinant
  • What is this?

5

(6 Reviews)

|

(4 Publications)

Rabbit Recombinant Monoclonal RAB3D antibody. Suitable for mIHC, IHC-P, WB and reacts with Human samples. Cited in 4 publications.

View Alternative Names

GOV, RAB16, RAB3D, Ras-related protein Rab-3D

6 Images
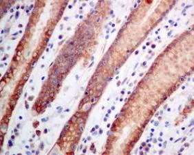
Immunohistochemistry (Formalin/PFA-fixed paraffin-embedded sections) - Anti-Rab3D antibody [EPR8106] (AB128997)
  • IHC-P

Unknown

Immunohistochemistry (Formalin/PFA-fixed paraffin-embedded sections) - Anti-Rab3D antibody [EPR8106] (AB128997)

ab128997 at a 1/250 dilution staining Human Rab3D in stomach using Immunohistochemistry Formalin/PFA-fixed paraffin-emebedded tissue

Perform heat mediated antigen retrieval before commencing with IHC staining protocol.

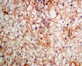
Immunohistochemistry (Formalin/PFA-fixed paraffin-embedded sections) - Anti-Rab3D antibody [EPR8106] (AB128997)
  • IHC-P

Unknown

Immunohistochemistry (Formalin/PFA-fixed paraffin-embedded sections) - Anti-Rab3D antibody [EPR8106] (AB128997)

ab128997 at a 1/250 dilution staining Human Rab3D in clear cell carcinoma using Immunohistochemistry Formalin/PFA-fixed paraffin-emebedded tissue.

Perform heat mediated antigen retrieval before commencing with IHC staining protocol.

Multiplex immunohistochemistry - Anti-Rab3D antibody [EPR8106] (AB128997)
  • mIHC

Lab

Multiplex immunohistochemistry - Anti-Rab3D antibody [EPR8106] (AB128997)

Fluorescence multiplex immunohistochemical analysis of the human stomach (Formalin/PFA-fixed paraffin-embedded sections). Panel A : merged staining of anti-Chromogranin A (ab254557, gray; Opal™690), anti-MUC-6 (ab223846, green; Opal™520) and anti-Rab3D (ab128997, red; Opal™570) on human stomach. Panel B : anti-MUC-6 stained on mucous neck cells. Panel C : anti-Chromogranin A stained on neuroendocrine cells. Panel D : anti-Rab3D stained on Chief cells. Rabbit specific IHC polymer detection kit HRP/DAB (ab209101) was used as a secondary antibody. The immunostaining was performed on a Leica Biosystems BOND® RX instrument with an Opal™ 4-color kit. The section was incubated in three rounds of staining : in the order of ab254557 (1/5000), ab223846 (1/1000), and ab128997 (1/10000) for 30 mins at room temperature. Each round was followed by a separate fluorescent tyramide signal amplification system. Heat mediated antigen retrieval with Tris-EDTA buffer (pH 9.0, epitope retrieval solution2) for 20 mins. DAPI (blue) was used as a nuclear counter stain. Image acquisition was performed with Leica SP8 confocal microscope.

Multiplex immunohistochemistry - Anti-Rab3D antibody [EPR8106] (AB128997)
  • mIHC

Lab

Multiplex immunohistochemistry - Anti-Rab3D antibody [EPR8106] (AB128997)

Fluorescence multiplex immunohistochemical analysis of the human stomach (Formalin/PFA-fixed paraffin-embedded sections). Panel A : merged staining of anti-Mucin 5AC (ab3649 gray; Opal™690) anti-MUC-6 (ab223846 green; Opal™520) and anti-Rab3D (ab128997 red; Opal™570) on human stomach. Panel B : anti-MUC-6 stained on mucous neck cells. Panel C : anti-Mucin 5AC stained on surface mucous cells. Panel D : anti-Rab3D stained on Chief cells. Opal Polymer HRP Ms + Rb was used as a secondary antibody. The immunostaining was performed on a Leica Biosystems BOND® RX instrument with an Opal™ 4-color kit. The section was incubated in three rounds of staining : in the order of ab3649 (1/5000 dilution) ab223846 (1/1000 dilution) and ab128997 (1/10000 dilution) for 30 mins at room temperature. Each round was followed by a separate fluorescent tyramide signal amplification system. Heat mediated antigen retrieval with Tris-EDTA buffer (pH 9.0 epitope retrieval solution2) was used for 20 mins. DAPI (blue) was used as a nuclear counter stain. Image acquisition was performed with Leica SP8 confocal microscope.

Western blot - Anti-Rab3D antibody [EPR8106] (AB128997)
  • WB

Unknown

Western blot - Anti-Rab3D antibody [EPR8106] (AB128997)

All lanes:

Western blot - Anti-Rab3D antibody [EPR8106] (ab128997) at 1/10000 dilution

Lane 1:

BxPC-3 cell lysate at 10 µg

Lane 2:

T.T cell lysate at 10 µg

Lane 3:

A549 cell lysate at 10 µg

Lane 4:

HT-29 cell lysate at 10 µg

Secondary

All lanes:

Standard HRP labelled goat anti-rabbit at 1/2000 dilution

Predicted band size: 24 kDa

Observed band size: 25 kDa

false

OI-RD Scanning - Anti-Rab3D antibody [EPR8106] (AB128997)
  • OI-RD Scanning

Unknown

OI-RD Scanning - Anti-Rab3D antibody [EPR8106] (AB128997)

We have systematically measured KD (the equilibrium dissociation constant between the antibody and its antigen), of more than 840 recombinant antibodies to assess not only their individual KD values but also to see the average affinity of antibody. Based on the comparison with published literature values for mouse monoclonal antibodies, Recombinant antibodies appear to be on average 1-2 order of magnitude higher affinity.

Key facts

Host species

Rabbit

Clonality

Monoclonal

Clone number

EPR8106

Isotype

IgG

Carrier free

No

Reacts with

Human

Applications

WB, IHC-P, mIHC

applications

Immunogen

The exact immunogen used to generate this antibody is proprietary information.

Reactivity data

{ "title": "Reactivity Data", "filters": { "stats": ["", "Species", "Dilution Info", "Notes"], "tabs": { "all-applications": {"fullname" : "All Applications", "shortname": "All Applications"}, "mIHC" : {"fullname" : "Multiplex immunohistochemistry", "shortname":"mIHC"}, "IHCP" : {"fullname" : "Immunohistochemistry (Formalin/PFA-fixed paraffin-embedded sections)", "shortname":"IHC-P"}, "ICCIF" : {"fullname" : "Immunocytochemistry/ Immunofluorescence", "shortname":"ICC/IF"}, "IP" : {"fullname" : "Immunoprecipitation", "shortname":"IP"}, "FlowCyt" : {"fullname" : "Flow Cytometry", "shortname":"Flow Cyt"}, "WB" : {"fullname" : "Western blot", "shortname":"WB"} }, "product-promise": { "all": "all", "testedAndGuaranteed": "tested", "guaranteed": "expected", "predicted": "predicted", "notRecommended": "not-recommended" } }, "values": { "Human": { "mIHC-species-checked": "testedAndGuaranteed", "mIHC-species-dilution-info": "", "mIHC-species-notes": "<p></p>", "IHCP-species-checked": "testedAndGuaranteed", "IHCP-species-dilution-info": "1/250 - 1/500", "IHCP-species-notes": "<p></p>", "ICCIF-species-checked": "notRecommended", "ICCIF-species-dilution-info": "", "ICCIF-species-notes": "<p></p>", "IP-species-checked": "notRecommended", "IP-species-dilution-info": "", "IP-species-notes": "<p></p>", "FlowCyt-species-checked": "notRecommended", "FlowCyt-species-dilution-info": "", "FlowCyt-species-notes": "<p></p>", "WB-species-checked": "testedAndGuaranteed", "WB-species-dilution-info": "1/10000 - 1/50000", "WB-species-notes": "<p></p>" } } }

Product details

Species reactivity
Mouse, Rat: We have preliminary internal testing data to indicate this antibody may not react with these species.
Please contact us for more information.

Patented technology
Our RabMAb® technology is a patented hybridoma-based technology for making rabbit monoclonal antibodies. For details on our patents, please refer to RabMAb® patents.

What are the advantages of a recombinant monoclonal antibody?
This product is a recombinant monoclonal antibody, which offers several advantages including:

  • - High batch-to-batch consistency and reproducibility
  • - Improved sensitivity and specificity
  • - Long-term security of supply
  • - Animal-free batch production

For more information, read more on recombinant antibodies.

Properties and storage information

Form
Liquid
Purification technique
Affinity purification Protein A
Storage buffer
pH: 7.2 - 7.4 Preservative: 0.01% Sodium azide Constituents: PBS, 50% Tissue culture supernatant, 40% Glycerol (glycerin, glycerine), 0.05% BSA
Shipped at conditions
Blue Ice
Appropriate short-term storage conditions
+4°C
Appropriate long-term storage conditions
-20°C
Storage information
Stable for 12 months at -20°C

Supplementary information

This supplementary information is collated from multiple sources and compiled automatically.

Rab3D also known as Ras-related protein Rab-3D belongs to the Rab family of small GTPases. It has a mass of approximately 25 kDa. Rab3D functions as a molecular switch that cycles between an inactive GDP-bound state and an active GTP-bound state regulating membrane trafficking processes. This protein is highly expressed in secretory tissues such as exocrine pancreas salivary glands and osteoclasts where it plays a role in the secretory pathway.
Biological function summary

Rab3D plays an essential role in vesicle exocytosis modulating the secretion of enzymes hormones and other secretory products. Much of Rab3D's function depends on its interaction with other vesicle-associated proteins including Rab3-interacting molecules (RIMs) which are part of the secretory complex. Rab3D ensures proper docking and fusion of secretory vesicles with the plasma membrane.

Pathways

The Rab3D protein influences the exocytosis and endocytic pathways. It closely interacts with other members of the Rab family especially Rab27 and Rab8 which orchestrate various sub-tasks in vesicle trafficking. These pathways are vital for vesicle-mediated transport and require the regulated activity of Rab3D for proper cellular communication and secretion.

Rab3D links to bone resorption disorders specifically related to osteoclast function and bone density diseases like osteoporosis. Dysregulation in Rab3D activity can influence osteoclast function where Rab3D works alongside proteins such as Rab27a contributing to the excessive bone resorption noted in osteoporosis. Additionally altered Rab3D function may have implications in disorders related to exocrine gland secretion impacting conditions like Sjögren's syndrome.

Product protocols

For this product, it's our understanding that no specific protocols are required. You can visit:

Target data

The small GTPases Rab are key regulators of intracellular membrane trafficking, from the formation of transport vesicles to their fusion with membranes. Rabs cycle between an inactive GDP-bound form and an active GTP-bound form that is able to recruit to membranes different sets of downstream effectors directly responsible for vesicle formation, movement, tethering and fusion (By similarity). RAB3D may be involved in the insulin-induced exocytosis of GLUT4-containing vesicles in adipocytes (By similarity).
See full target information RAB3D

Publications (4)

Recent publications for all applications. Explore the full list and refine your search

Autophagy 20:1537-1558 PubMed38591519

2024

Alcohol-induced Golgiphagy is triggered by the downregulation of Golgi GTPase RAB3D.

Applications

Unspecified application

Species

Unspecified reactive species

Amanda J Macke,Taylor E Divita,Artem N Pachikov,Sundararajan Mahalingam,Ramesh Bellamkonda,Karuna Rasineni,Carol A Casey,Armen Petrosyan

Frontiers in oncology 10:170 PubMed32154171

2020

Lcn2-derived Circular RNA (hsa_circ_0088732) Inhibits Cell Apoptosis and Promotes EMT in Glioma via the miR-661/RAB3D Axis.

Applications

Unspecified application

Species

Unspecified reactive species

Tao Jin,Mingfa Liu,Yan Liu,Yuanzhi Li,Zhennan Xu,Haoqi He,Jie Liu,Yuxuan Zhang,Yiquan Ke

Cancer management and research 11:4505-4518 PubMed31191012

2019

The lncRNA HOXA11-AS regulates Rab3D expression by sponging miR-125a-5p promoting metastasis of osteosarcoma.

Applications

Unspecified application

Species

Unspecified reactive species

Kun Cao,Yueyang Fang,Hao Wang,Zheng Jiang,Li Guo,Yong Hu

Experimental and therapeutic medicine 17:1841-1846 PubMed30783458

2019

MicroRNA-761 is downregulated in colorectal cancer and regulates tumor progression by targeting Rab3D.

Applications

Unspecified application

Species

Unspecified reactive species

Yupeng Ren,Gang Shi,Peng Jiang,Qingkai Meng
View all publications

Product promise

We are committed to supporting your work with high-quality reagents, and we're here for you every step of the way. In the unlikely event that one of our products does not perform as expected, you're protected by our Product Promise.
For full details, please see our Terms & Conditions

Please note: All products are 'FOR RESEARCH USE ONLY. NOT FOR USE IN DIAGNOSTIC OR THERAPEUTIC PROCEDURES'.

For licensing inquiries, please contact partnerships@abcam.com