JavaScript is disabled in your browser. Please enable JavaScript to view this website.
AB110462

Anti-RAB3GAP2 antibody

Be the first to review this product! Submit a review

|

(1 Publication)

Rabbit Polyclonal RAB3GAP2 antibody. Suitable for WB, IHC-P and reacts with African green monkey, Human samples. Cited in 1 publication. Immunogen corresponding to Synthetic Peptide within Human RAB3GAP2.

View Alternative Names

KIAA0839, RAB3GAP2, Rab3 GTPase-activating protein non-catalytic subunit, RGAP-iso, Rab3 GTPase-activating protein 150 kDa subunit, Rab3-GAP p150, Rab3-GAP regulatory subunit, Rab3-GAP150

2 Images
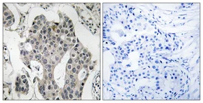
Immunohistochemistry (Formalin/PFA-fixed paraffin-embedded sections) - Anti-RAB3GAP2 antibody (AB110462)
  • IHC-P

Unknown

Immunohistochemistry (Formalin/PFA-fixed paraffin-embedded sections) - Anti-RAB3GAP2 antibody (AB110462)

ab110462, at a 1/50 dilution, staining RAB3GAP2 in paraffin embedded Human breast carcinoma tissue by Immunohistochemistry, in the absence (left image) or presence (right image) of the synthesized peptide.

Western blot - Anti-RAB3GAP2 antibody (AB110462)
  • WB

Unknown

Western blot - Anti-RAB3GAP2 antibody (AB110462)

All lanes:

Western blot - Anti-RAB3GAP2 antibody (ab110462) at 1/500 dilution

Lane 1:

Extracts from COS cells at 30 µg

Lane 2:

Extracts from COS cells, treated with the synthesized peptide at 30 µg

Predicted band size: 156 kDa

Observed band size: 155 kDa

false

Key facts

Host species

Rabbit

Clonality

Polyclonal

Isotype

IgG

Carrier free

No

Reacts with

Human, African green monkey

Applications

WB, IHC-P

applications

Immunogen

Synthetic Peptide within Human RAB3GAP2. The exact immunogen used to generate this antibody is proprietary information.

Q9H2M9

Reactivity data

{ "title": "Reactivity Data", "filters": { "stats": ["", "Species", "Dilution Info", "Notes"], "tabs": { "all-applications": {"fullname" : "All Applications", "shortname": "All Applications"}, "WB" : {"fullname" : "Western blot", "shortname":"WB"}, "IHCP" : {"fullname" : "Immunohistochemistry (Formalin/PFA-fixed paraffin-embedded sections)", "shortname":"IHC-P"} }, "product-promise": { "all": "all", "testedAndGuaranteed": "tested", "guaranteed": "expected", "predicted": "predicted", "notRecommended": "not-recommended" } }, "values": { "Human": { "WB-species-checked": "guaranteed", "WB-species-dilution-info": "", "WB-species-notes": "", "IHCP-species-checked": "testedAndGuaranteed", "IHCP-species-dilution-info": "1/50 - 1/100", "IHCP-species-notes": "<p>Antigen retrieval is heat-mediated, citrate buffer pH 6.0. A pressure cooker was used for about 5 minutes.</p>" }, "Rat": { "WB-species-checked": "predicted", "WB-species-dilution-info": "", "WB-species-notes": "", "IHCP-species-checked": "predicted", "IHCP-species-dilution-info": "", "IHCP-species-notes": "" }, "African green monkey": { "WB-species-checked": "testedAndGuaranteed", "WB-species-dilution-info": "1/500 - 1/1000", "WB-species-notes": "<p></p>", "IHCP-species-checked": "guaranteed", "IHCP-species-dilution-info": "", "IHCP-species-notes": "" } } }

Properties and storage information

Form
Liquid
Purification technique
Affinity purification Immunogen
Purification notes
ab110462 was affinity purified from rabbit antiserum by affinity chromatography using epitope specific immunogen.
Storage buffer
pH: 7.4 Preservative: 0.02% Sodium azide Constituents: PBS, 50% Glycerol (glycerin, glycerine), 0.88% Sodium chloride
Shipped at conditions
Blue Ice
Appropriate short-term storage conditions
+4°C
Appropriate long-term storage conditions
-20°C
Storage information
Stable for 12 months at -20°C

Supplementary information

This supplementary information is collated from multiple sources and compiled automatically.

RAB3GAP2 also known as component of Rab3 GTPase activating protein subunit 2 is an essential component involved in the regulation of membrane trafficking. This protein has a molecular weight of about 150 kDa. It primarily localizes in the cytoplasm and the Golgi apparatus. The expression of RAB3GAP2 is found widely across various tissues but shows higher levels in the brain where it plays a significant role in neuronal activities.
Biological function summary

RAB3GAP2 functions as part of the RAB3GAP complex which includes the catalytic subunit RAB3GAP1. This complex acts as a GTPase-activating protein specifically for the RAB3 subfamily. The RAB3GAP complex regulates the conversion of RAB3-GTP to RAB3-GDP modulating the activity of RAB3 proteins that are critical in vesicle trafficking especially in neurotransmitter release at the synapses. This precise role in synaptic function highlights its importance in nervous system operations.

Pathways

Experts link RAB3GAP2 to neurosecretory pathways and synaptic vesicle cycling. The RAB3GAP complex through its interaction with members of the RAB3 family proteins like RAB3A ensures proper vesicle docking and neurotransmitter release facilitating effective synaptic transmission. These interactions place RAB3GAP2 in the broader context of cellular communication and neuronal signaling pathways impacting fast precise neuroexocytosis.

Mutations in RAB3GAP2 are associated with the development of Warburg Micro syndrome a rare genetic disorder characterized by developmental delay and eye abnormalities. Warburg Micro syndrome involves impaired neuronal interactions. The disorder connects to the impaired functioning of RAB3GAP2 and its partner protein RAB3GAP1 highlighting the critical role of RAB3GAP2 in maintaining normal neuronal function and development.

Product protocols

For this product, it's our understanding that no specific protocols are required. You can visit:

Target data

Regulatory subunit of the Rab3 GTPase-activating (Rab3GAP) complex composed of RAB3GAP1 and RAB3GAP2, which has GTPase-activating protein (GAP) activity towards various Rab3 subfamily members (RAB3A, RAB3B, RAB3C and RAB3D), RAB5A and RAB43, and guanine nucleotide exchange factor (GEF) activity towards RAB18 (PubMed : 24891604, PubMed : 9733780). As part of the Rab3GAP complex, acts as a GAP for Rab3 proteins by converting active RAB3-GTP to the inactive form RAB3-GDP (By similarity). Rab3 proteins are involved in regulated exocytosis of neurotransmitters and hormones (By similarity). The Rab3GAP complex, acts as a GEF for RAB18 by promoting the conversion of inactive RAB18-GDP to the active form RAB18-GTP (PubMed : 24891604). Required for recruiting and activating RAB18 at the endoplasmic reticulum (ER) membrane where it maintains proper ER structure (PubMed : 24891604). Required for normal eye and brain development (By similarity). May participate in neurodevelopmental processes such as proliferation, migration and differentiation before synapse formation, and non-synaptic vesicular release of neurotransmitters (By similarity).
See full target information RAB3GAP2

Publications (1)

Recent publications for all applications. Explore the full list and refine your search

PloS one 11:e0154531 PubMed27140416

2016

Conserved Senescence Associated Genes and Pathways in Primary Human Fibroblasts Detected by RNA-Seq.

Applications

Unspecified application

Species

Unspecified reactive species

S Marthandan,M Baumgart,S Priebe,M Groth,J Schaer,C Kaether,R Guthke,A Cellerino,M Platzer,S Diekmann,P Hemmerich
View all publications

Product promise

We are committed to supporting your work with high-quality reagents, and we're here for you every step of the way. In the unlikely event that one of our products does not perform as expected, you're protected by our Product Promise.
For full details, please see our Terms & Conditions

Please note: All products are 'FOR RESEARCH USE ONLY. NOT FOR USE IN DIAGNOSTIC OR THERAPEUTIC PROCEDURES'.

For licensing inquiries, please contact partnerships@abcam.com