JavaScript is disabled in your browser. Please enable JavaScript to view this website.
AB288775

Anti-Rab5 antibody [1/Rab5] - BSA and Azide free

Be the first to review this product! Submit a review

|

(1 Publication)

Knockout Tested Mouse Recombinant Monoclonal RAB5A antibody. Carrier free. Suitable for WB, IHC-P and reacts with Human samples. Cited in 1 publication.

View Alternative Names

RAB5, RAB5A, Ras-related protein Rab-5A

7 Images
Immunohistochemistry (Formalin/PFA-fixed paraffin-embedded sections) - Anti-Rab5 antibody [1/Rab5] - BSA and Azide free (AB288775)
  • IHC-P

Supplier Data

Immunohistochemistry (Formalin/PFA-fixed paraffin-embedded sections) - Anti-Rab5 antibody [1/Rab5] - BSA and Azide free (AB288775)

This data was developed using ab288769 the same antibody clone in a different buffer formulation.

Immunohistochemical analysis of paraffin-embedded human placenta tissue labeling Rab5 with ab288769 at 1/100 (8.35 μg/ml) dilution followed by a ready to use LeicaDS9800 (BOND™ Polymer Refine Detection). Positive staining on human placenta. The section was incubated with ab288769 for 30 mins at room temperature and followed by specific mouse IgG2a antibody for 8mins. The immunostaining was performed on a Leica Biosystems BOND® RX instrument. The sample was counterstained with Hematoxylin.

Secondary antibody only control : Secondary antibody is a ready to use LeicaDS9800 (BOND™ Polymer Refine Detection).

Heat mediated antigen retrieval with Tris-EDTA buffer (pH 9.0, epitope retrieval solution2) for 20 mins.

Immunohistochemistry (Formalin/PFA-fixed paraffin-embedded sections) - Anti-Rab5 antibody [1/Rab5] - BSA and Azide free (AB288775)
  • IHC-P

Supplier Data

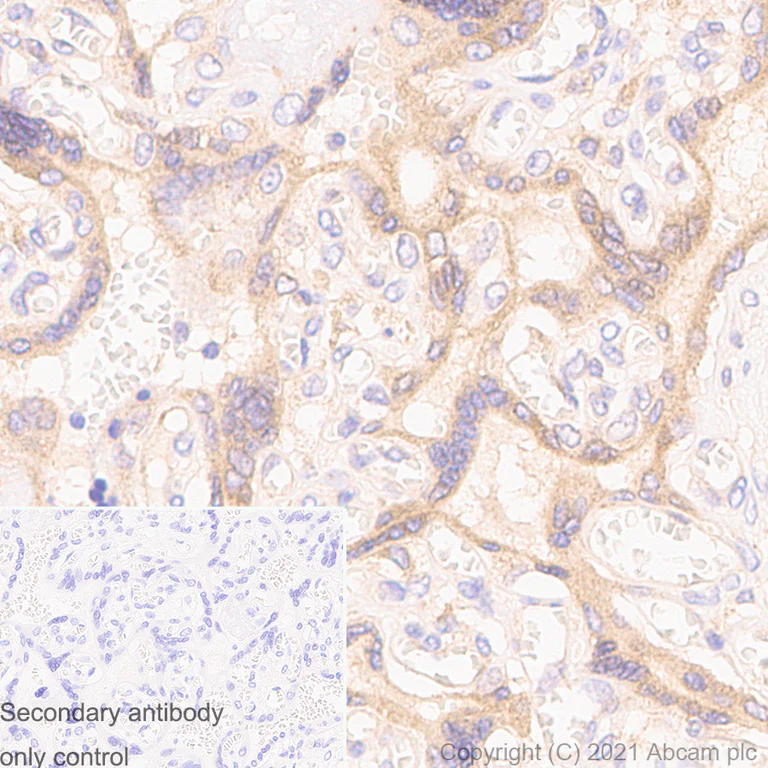
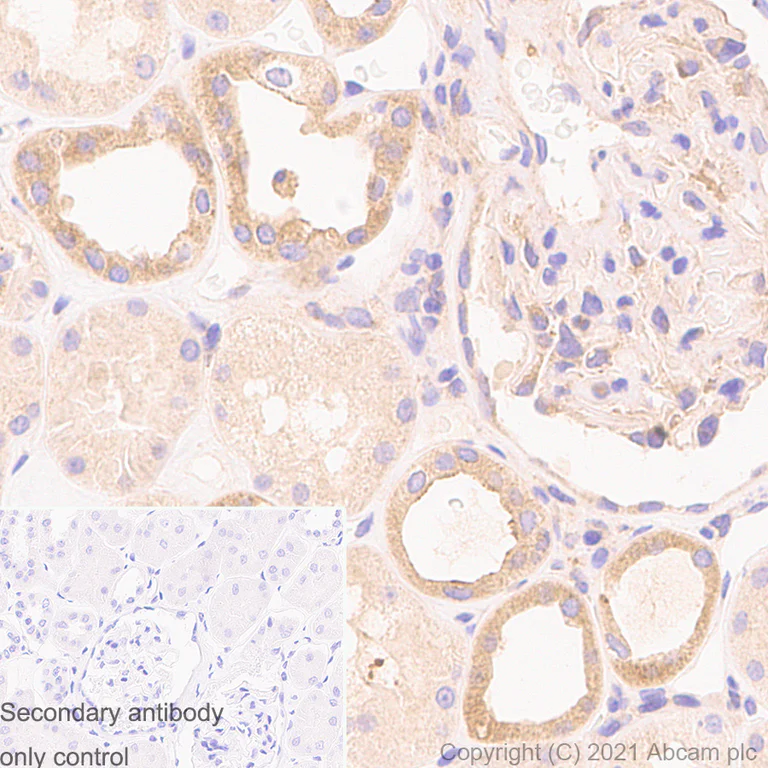
Immunohistochemistry (Formalin/PFA-fixed paraffin-embedded sections) - Anti-Rab5 antibody [1/Rab5] - BSA and Azide free (AB288775)

This data was developed using ab288769 the same antibody clone in a different buffer formulation.

Immunohistochemical analysis of paraffin-embedded human kidney tissue labeling Rab5 with ab288769 at 1/100 (8.35 μg/ml) dilution followed by a ready to use LeicaDS9800 (BOND™ Polymer Refine Detection). Positive staining on human kidney. The section was incubated with ab288769 for 30 mins at room temperature and followed by specific mouse IgG2a antibody for 8mins. The immunostaining was performed on a Leica Biosystems BOND® RX instrument. The sample was counterstained with Hematoxylin.

Secondary antibody only control : Secondary antibody is a ready to use LeicaDS9800 (BOND™ Polymer Refine Detection).

Heat mediated antigen retrieval with Tris-EDTA buffer (pH 9.0, epitope retrieval solution2) for 20 mins.

Immunohistochemistry (Formalin/PFA-fixed paraffin-embedded sections) - Anti-Rab5 antibody [1/Rab5] - BSA and Azide free (AB288775)
  • IHC-P

Supplier Data

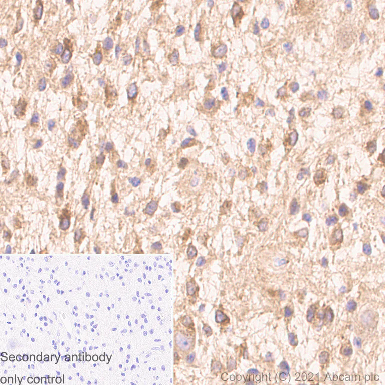
Immunohistochemistry (Formalin/PFA-fixed paraffin-embedded sections) - Anti-Rab5 antibody [1/Rab5] - BSA and Azide free (AB288775)

This data was developed using ab288769 the same antibody clone in a different buffer formulation.

Immunohistochemical analysis of paraffin-embedded human astrocytoma tissue labeling Rab5 with ab288769 at 1/100 (8.35 μg/ml) dilution followed by a ready to use LeicaDS9800 (Bond™ Polymer Refine Detection). Positive staining on human astrocytoma.

The section was incubated with ab288769 for 30 mins at room temperature and followed by specific mouse IgG2a antibody for 8mins. The immunostaining was performed on a Leica Biosystems BOND® RX instrument. Counterstained with Hematoxylin.

Secondary antibody only control : Secondary antibody is a ready to use LeicaDS9800 (BOND™ Polymer Refine Detection).

Heat mediated antigen retrieval with Tris-EDTA buffer (pH 9.0, epitope retrieval solution2) for 20 mins.

Immunohistochemistry (Formalin/PFA-fixed paraffin-embedded sections) - Anti-Rab5 antibody [1/Rab5] - BSA and Azide free (AB288775)
  • IHC-P

Supplier Data

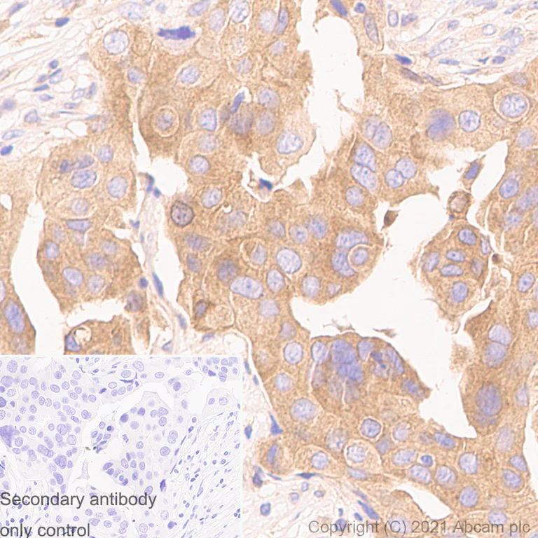
Immunohistochemistry (Formalin/PFA-fixed paraffin-embedded sections) - Anti-Rab5 antibody [1/Rab5] - BSA and Azide free (AB288775)

This data was developed using ab288769 the same antibody clone in a different buffer formulation.

Immunohistochemical analysis of paraffin-embedded human breast carcinoma tissue labeling Rab5 with ab288769 at 1/100 (8.35 μg/ml) dilution followed by a ready to use LeicaDS9800 (BOND™ Polymer Refine Detection). Positive staining on human breast carcinoma. The section was incubated with ab288769 for 30 mins at room temperature and followed by specific mouse IgG2a antibody for 8mins. The immunostaining was performed on a Leica Biosystems BOND® RX instrument. The sample was counterstained with Hematoxylin.

Secondary antibody only control : Secondary antibody is a ready to use LeicaDS9800 (BOND™ Polymer Refine Detection).

Heat mediated antigen retrieval with Tris-EDTA buffer (pH 9.0, epitope retrieval solution2) for 20 mins.

Western blot - Anti-Rab5 antibody [1/Rab5] - BSA and Azide free (AB288775)
  • WB

Supplier Data

Western blot - Anti-Rab5 antibody [1/Rab5] - BSA and Azide free (AB288775)

This data was developed using ab288769, the same antibody clone in a different buffer formulation.

Blocking and diluting buffer : Intercept® (TBS) Blocking Buffer diluted with an equal volume of 0.1% TBS

Performed under reducing conditions.

False colour image of Western blot : Anti-Rab5 antibody (ab288769) staining at 1/1000 dilution, shown in green; Rabbit anti-GAPDH antibody [EPR16891] (ab181602) loading control staining at 1/20000 dilution, shown in red. In Western blot, ab288769 was shown to bind specifically to Rab5. A band was observed at 24 kDa in wild-type HAP1 cell lysates with no signal observed at this size in Rab5 knockout cell lysates. To generate this image, wild-type and Rab5 knockout HAP1 cell lysates were analyzed. First, samples were run on an SDS-PAGE gel then transferred onto an immobilon-FL PVDF membrane. Membranes were blocked in Intercept® (TBS) Blocking Buffer diluted with an equal volume of 0.1% TBS before incubation with primary antibodies overnight at 4°C. Blots were washed four times in TBS-T, incubated with secondary antibodies for 1 h at room temperature, washed again four times then imaged. Secondary antibodies used were Goat Anti-Mouse IgG H&L (IRDye® 800CW) (ab216772) and Goat Anti-Rabbit IgG H&L (IRDye® 680RD) (ab216777) at 1/10000 dilution.

All lanes:

Western blot - Anti-Rab5 antibody [1/Rab5] - Early Endosome Marker (<a href='/en-us/products/primary-antibodies/rab5-antibody-1-rab5-early-endosome-marker-ab288769'>ab288769</a>) at 1/1000 dilution

Lane 1:

Wild-type HAP1 (human chronic myelogenous leukemia near-haploid cell) whole cell lysate at 20 µg

Lane 2:

Rab5 knockout HAP1 whole cell lysate at 20 µg

Lane 3:

HeLa (human cervix adenocarcinoma epithelial cell), whole cell lysate at 20 µg

Lane 4:

MCF7 (human breast adenocarcinoma epithelial cell), whole cell lysate at 20 µg

Secondary

All lanes:

Goat Anti-Mouse IgG H&L (IRDye® 800CW) (<a href='/en-us/products/secondary-antibodies/goat-mouse-igg-h-l-irdye-800cw-preadsorbed-ab216772'>ab216772</a>) and Goat Anti-Rabbit IgG H&L (IRDye® 680RD) (<a href='/en-us/products/secondary-antibodies/goat-rabbit-igg-h-l-irdye-680rd-preadsorbed-ab216777'>ab216777</a>) at 1/10000 dilution

Predicted band size: 24 kDa

Observed band size: 23 kDa

false

Western blot - Anti-Rab5 antibody [1/Rab5] - BSA and Azide free (AB288775)
  • WB

Lab

Western blot - Anti-Rab5 antibody [1/Rab5] - BSA and Azide free (AB288775)

This data was developed using the same antibody clone in a different buffer formulation (ab288769)

ab288769 was shown to react with RAB5A in wild-type HAP1 cells in Western blot with loss of signal observed in a RAB5A knockout cell line. Wild-type HAP1 and RAB5A knockout cell lysates were subjected to SDS-PAGE. Membranes were blocked in 5% milk in TBST for 1 hr before incubation with ab288769 overnight at 4 °C at a 1/1000 dilution. Blots were incubated with secondary antibodies at 0.2ug/mL before imaging.

This data was provided by YCharOS Inc., an open science company with the mission of characterizing commercially available antibody reagents for all human proteins. Abcam and YCharOS are working together to help address the reproducibility crisis by enabling the life science community to better evaluate commercially available antibodies.

All lanes:

Western blot - Anti-Rab5 antibody [1/Rab5] - Early Endosome Marker (<a href='/en-us/products/primary-antibodies/rab5-antibody-1-rab5-early-endosome-marker-ab288769'>ab288769</a>) at 1/1000 dilution

Lane 1:

Wild-type HAP1 lysate at 20 µg

Lane 2:

RAB5A knock-out HAP1 lysate at 20 µg

false

Western blot - Anti-Rab5 antibody [1/Rab5] - BSA and Azide free (AB288775)
  • WB

Supplier Data

Western blot - Anti-Rab5 antibody [1/Rab5] - BSA and Azide free (AB288775)

This data was developed using ab288769, the same antibody clone in a different buffer formulation.

Blocking and diluting buffer : 5% NFDM/TBST.

Exposure time : 70 seconds.

All lanes:

Western blot - Anti-Rab5 antibody [1/Rab5] - Early Endosome Marker (<a href='/en-us/products/primary-antibodies/rab5-antibody-1-rab5-early-endosome-marker-ab288769'>ab288769</a>) at 1/1000 dilution

Lane 1:

Human brain tissue lysate at 20 µg

Lane 2:

Human heart tissue lysate at 20 µg

Lane 3:

Human kidney tissue lysate at 20 µg

Secondary

All lanes:

Peroxidase-Conjugated Goat anti-Mouse IgG (H+L) at 1/10000 dilution

Predicted band size: 24 kDa

Observed band size: 23 kDa

false

  • Unconjugated

    Anti-Rab5 antibody [1/Rab5] - Early Endosome Marker

Key facts

Host species

Mouse

Clonality

Monoclonal

Clone number

1/Rab5

Isotype

IgG2a

Carrier free

Yes

Reacts with

Human

Applications

IHC-P, WB

applications

Immunogen

The exact immunogen used to generate this antibody is proprietary information.

Reactivity data

{ "title": "Reactivity Data", "filters": { "stats": ["", "Species", "Dilution Info", "Notes"], "tabs": { "all-applications": {"fullname" : "All Applications", "shortname": "All Applications"}, "WB" : {"fullname" : "Western blot", "shortname":"WB"}, "IHCP" : {"fullname" : "Immunohistochemistry (Formalin/PFA-fixed paraffin-embedded sections)", "shortname":"IHC-P"}, "ICCIF" : {"fullname" : "Immunocytochemistry/ Immunofluorescence", "shortname":"ICC/IF"} }, "product-promise": { "all": "all", "testedAndGuaranteed": "tested", "guaranteed": "expected", "predicted": "predicted", "notRecommended": "not-recommended" } }, "values": { "Human": { "WB-species-checked": "testedAndGuaranteed", "WB-species-dilution-info": "", "WB-species-notes": "<p></p>", "IHCP-species-checked": "testedAndGuaranteed", "IHCP-species-dilution-info": "", "IHCP-species-notes": "<p></p>", "ICCIF-species-checked": "notRecommended", "ICCIF-species-dilution-info": "", "ICCIF-species-notes": "<p></p>" }, "Mouse": { "WB-species-checked": "notRecommended", "WB-species-dilution-info": "", "WB-species-notes": "", "IHCP-species-checked": "notRecommended", "IHCP-species-dilution-info": "", "IHCP-species-notes": "<p></p>", "ICCIF-species-checked": "notRecommended", "ICCIF-species-dilution-info": "", "ICCIF-species-notes": "<p></p>" }, "Rat": { "WB-species-checked": "notRecommended", "WB-species-dilution-info": "", "WB-species-notes": "", "IHCP-species-checked": "notRecommended", "IHCP-species-dilution-info": "", "IHCP-species-notes": "<p></p>", "ICCIF-species-checked": "notRecommended", "ICCIF-species-dilution-info": "", "ICCIF-species-notes": "" } } }

Product details

ab288775 is the carrier-free version of ab288769

What are the advantages of a recombinant monoclonal antibody?
This product is a recombinant monoclonal antibody, which offers several advantages including:

  • - High batch-to-batch consistency and reproducibility
  • - Improved sensitivity and specificity
  • - Long-term security of supply
  • - Animal-free batch production

For more information, read more on recombinant antibodies.

Want a custom formulation?
This antibody clone is manufactured by Abcam. If you require a custom buffer formulation or conjugation for your experiments, please contact orders@abcam.com

Conjugation ready
Our carrier-free antibodies are typically supplied in a PBS-only formulation, purified and free of BSA, sodium azide and glycerol. This conjugation-ready format is designed for use with fluorochromes, metal isotopes, oligonucleotides, and enzymes, which makes them ideal for antibody labelling, functional and cell-based assays, flow-based assays (e.g. mass cytometry) and Multiplex Imaging applications.

Use our conjugation kits for antibody conjugates that are ready-to-use in as little as 20 minutes with 1 minute hands-on-time and 100% antibody recovery: available for fluorescent dyes, HRP, biotin and gold.

Compatibility
This product is compatible with the Maxpar® Antibody Labeling Kit from Fluidigm, without the need for antibody preparation. Maxpar® is a trademark of Fluidigm Canada Inc.

Properties and storage information

Form
Liquid
Purification technique
Affinity purification Protein A
Storage buffer
pH: 7.2 - 7.4 Constituents: PBS
Shipped at conditions
Blue Ice
Appropriate short-term storage conditions
+4°C
Appropriate long-term storage conditions
+4°C
Storage information
Do Not Freeze

Supplementary information

This supplementary information is collated from multiple sources and compiled automatically.

Rab5 also known as Ras-related protein Rab-5A is a small GTPase of approximately 24 kDa. It is part of the Rab family of proteins and functions as an endosomal marker in cells. Rab5 is ubiquitously expressed but shows enriched expression in tissues with a high rate of endocytosis like the brain and liver. This protein plays a significant role in early endosome fusion and trafficking acting as an essential regulator of vesicular transport processes within the cell.
Biological function summary

Rab5 regulates the early endocytic pathway by mediating vesicle docking and fusion processes. It is not a part of a large complex but interacts with a range of effector proteins that facilitate endosome maturation. Rab5's role as an endosomal marker makes it important for membrane trafficking receptor recycling and signal transduction. Researchers often identify Rab5 in cellular studies using endosome staining techniques or specific antibodies like Drosophila antibodies to visualize its function and distribution.

Pathways

The endocytic network heavily involves Rab5 particularly influencing the endocytosis and endosomal signaling pathways. It frequently interacts with proteins such as EEA1 (Early Endosome Antigen 1) and Rabaptin-5 which are critical for endosomal membrane fusion. This mechanistic involvement ensures the correct transfer and processing of endocytic vesicles facilitating the continual cycle of membrane and receptor turnover in cells.

Rab5 dysfunction associates with neurological conditions such as Alzheimer's disease and cancer. Alterations in Rab5 levels or function can disrupt normal endosomal trafficking leading to amyloid beta peptide accumulation in Alzheimer's. Additionally Rab5's role in cancer relates to its regulation of growth factor receptors where its interaction with proteins like the PE marker influences tumor progression. Understanding Rab5 pathways and interactions paves the way for developing targeted therapeutics in these disorders.

Product protocols

For this product, it's our understanding that no specific protocols are required. You can visit:

Target data

Small GTPase which cycles between active GTP-bound and inactive GDP-bound states. In its active state, binds to a variety of effector proteins to regulate cellular responses such as of intracellular membrane trafficking, from the formation of transport vesicles to their fusion with membranes. Active GTP-bound form is able to recruit to membranes different sets of downstream effectors directly responsible for vesicle formation, movement, tethering and fusion. RAB5A is required for the fusion of plasma membranes and early endosomes (PubMed : 10818110, PubMed : 14617813, PubMed : 15378032, PubMed : 16410077). Contributes to the regulation of filopodia extension (PubMed : 14978216). Required for the exosomal release of SDCBP, CD63, PDCD6IP and syndecan (PubMed : 22660413). Regulates maturation of apoptotic cell-containing phagosomes, probably downstream of DYN2 and PIK3C3 (By similarity).
See full target information RAB5A

Publications (1)

Recent publications for all applications. Explore the full list and refine your search

Experimental and therapeutic medicine 5:777-782 PubMed23403801

2013

Octreotide and celecoxib synergistically encapsulate VX2 hepatic allografts following transcatheter arterial embolisation.

Applications

Unspecified application

Species

Unspecified reactive species

Huan Tong,Xiao Li,Chun-LE Zhang,Jin-Hang Gao,Shi-Lei Wen,Zhi-Yin Huang,Cheng-Wei Tang
View all publications

Product promise

We are committed to supporting your work with high-quality reagents, and we're here for you every step of the way. In the unlikely event that one of our products does not perform as expected, you're protected by our Product Promise.
For full details, please see our Terms & Conditions

Please note: All products are 'FOR RESEARCH USE ONLY. NOT FOR USE IN DIAGNOSTIC OR THERAPEUTIC PROCEDURES'.

For licensing inquiries, please contact partnerships@abcam.com