JavaScript is disabled in your browser. Please enable JavaScript to view this website.
AB251279

Anti-Rab5 antibody [EPR17321] - BSA and Azide free

Be the first to review this product! Submit a review

|

(1 Publication)

Rabbit Recombinant Monoclonal RAB5A antibody. Carrier free. Suitable for WB, ICC/IF, IHC-P and reacts with Human samples. Cited in 1 publication.

View Alternative Names

RAB5, RAB5A, Ras-related protein Rab-5A

6 Images
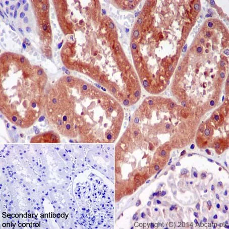
Immunohistochemistry (Formalin/PFA-fixed paraffin-embedded sections) - Anti-Rab5 antibody [EPR17321] - BSA and Azide free (AB251279)
  • IHC-P

Supplier Data

Immunohistochemistry (Formalin/PFA-fixed paraffin-embedded sections) - Anti-Rab5 antibody [EPR17321] - BSA and Azide free (AB251279)

This data was developed using ab199530, the same antibody clone in a different buffer formulation.

Immunohistochemical analysis of paraffin-embedded Human kidney tissue labeling RAB5C/RABL with ab199530 at 1/250 dilution, followed by Goat Anti-Rabbit IgG H&L (HRP) (ab97051) secondary antibody at 1/500 dilution. Cytoplasm staining of Human kidney tissue is observed. Counter stained with Hematoxylin.

Secondary antibody only control : Used PBS instead of primary antibody and secondary antibody Goat Anti-Rabbit IgG H&L (HRP) (ab97051) at 1/500 dilution.

Perform heat mediated antigen retrieval with Tris/EDTA buffer pH 9.0 before commencing with IHC staining protocol.

Immunocytochemistry/ Immunofluorescence - Anti-Rab5 antibody [EPR17321] - BSA and Azide free (AB251279)
  • ICC/IF

Lab

Immunocytochemistry/ Immunofluorescence - Anti-Rab5 antibody [EPR17321] - BSA and Azide free (AB251279)

This data was developed using ab199530, the same antibody clone in a different buffer formulation.

ab199530 staining RAB5C/RABL in HepG2 cells (Human hepatocellular carcinoma epithelial cell) by Immunocytochemistry/Immunofluorescence (ICC/IF). Cells were fixed with 100% Methanol. Samples were incubated with primary antibody at 1 : 500 dilution (2.2μg/ml). An AlexaFluor®488 Goat anti-Rabbit (ab150077) was used as a secondary antibody at 1 : 1000 dilution (2μg/ml). An Anti-Alpha Tubulin antibody [DM1A] - Microtubule Marker (Alexa Fluor® 594), ab195889 was used as a counterstain antibody at 1 : 200 dilution (2.5μg/ml). DAPI was used as a nuclear counterstain. Confocal image showing cytoplasmic staining in HepG2 cells.

Western blot - Anti-Rab5 antibody [EPR17321] - BSA and Azide free (AB251279)
  • WB

Supplier Data

Western blot - Anti-Rab5 antibody [EPR17321] - BSA and Azide free (AB251279)

This data was developed using ab199530, the same antibody clone in a different buffer formulation.

Blocking and dilution buffer : 5% NFDM/TBST.

All lanes:

Western blot - Anti-Rab5 antibody [EPR17321] - Early Endosome Marker (<a href='/en-us/products/primary-antibodies/rab5-antibody-epr17321-early-endosome-marker-ab199530'>ab199530</a>) at 1/1000 dilution

Lane 1:

HEK293 (Human embryonic kidney) cell lysate at 20 µg

Lane 2:

HepG2 (Human liver hepatocellular carcinoma) cell lysate at 20 µg

Secondary

All lanes:

Goat Anti-Rabbit IgG, (H+L), Peroxidase conjugated at 1/1000 dilution

Predicted band size: 24 kDa

Observed band size: 23 kDa

false

Exposure time: 10s

Western blot - Anti-Rab5 antibody [EPR17321] - BSA and Azide free (AB251279)
  • WB

Supplier Data

Western blot - Anti-Rab5 antibody [EPR17321] - BSA and Azide free (AB251279)

This data was developed using ab199530, the same antibody clone in a different buffer formulation.

Blocking and dilution buffer : 5% NFDM/TBST.

All lanes:

Western blot - Anti-Rab5 antibody [EPR17321] - Early Endosome Marker (<a href='/en-us/products/primary-antibodies/rab5-antibody-epr17321-early-endosome-marker-ab199530'>ab199530</a>) at 1/1000 dilution

All lanes:

Human fetal heart tissue lysate at 10 µg

Secondary

All lanes:

Anti-Rabbit IgG (HRP), specific to the non-reduced form of IgG at 1/1000 dilution

Predicted band size: 24 kDa

Observed band size: 23 kDa

false

Exposure time: 3min

Western blot - Anti-Rab5 antibody [EPR17321] - BSA and Azide free (AB251279)
  • WB

Supplier Data

Western blot - Anti-Rab5 antibody [EPR17321] - BSA and Azide free (AB251279)

This data was developed using ab199530, the same antibody clone in a different buffer formulation.

Blocking and dilution buffer : 5% NFDM/TBST.

All lanes:

Western blot - Anti-Rab5 antibody [EPR17321] - Early Endosome Marker (<a href='/en-us/products/primary-antibodies/rab5-antibody-epr17321-early-endosome-marker-ab199530'>ab199530</a>) at 1/10000 dilution

All lanes:

U937 (Human histiocytic lymphoma cells) cell lysate at 20 µg

Secondary

All lanes:

Goat Anti-Rabbit IgG, (H+L), Peroxidase conjugated at 1/1000 dilution

Predicted band size: 24 kDa

Observed band size: 23 kDa

false

Exposure time: 3min

Western blot - Anti-Rab5 antibody [EPR17321] - BSA and Azide free (AB251279)
  • WB

Lab

Western blot - Anti-Rab5 antibody [EPR17321] - BSA and Azide free (AB251279)

This data was developed using ab199530, the same antibody clone in a different buffer formulation.

Blocking/Dilution buffer : 5% NFDM/TBST.

All lanes:

Western blot - Anti-Rab5 antibody [EPR17321] - Early Endosome Marker (<a href='/en-us/products/primary-antibodies/rab5-antibody-epr17321-early-endosome-marker-ab199530'>ab199530</a>) at 1/1000 dilution

Lane 1:

Western blot - Recombinant Human Rab5A protein (<a href='/en-us/products/proteins-peptides/recombinant-human-rab5a-protein-ab62956'>ab62956</a>)

Lane 2:

Western blot - Recombinant Human Rab5b protein (<a href='/en-us/products/proteins-peptides/recombinant-human-rab5b-protein-ab104545'>ab104545</a>)

Lane 3:

Western blot - Recombinant Human RAB5C/RABL protein (<a href='/en-us/products/proteins-peptides/recombinant-human-rab5c-rabl-protein-ab156358'>ab156358</a>)

Secondary

All lanes:

Western blot - Goat Anti-Rabbit IgG H&L (HRP) (<a href='/en-us/products/secondary-antibodies/goat-rabbit-igg-h-l-hrp-ab97051'>ab97051</a>) at 1/20000 dilution

Predicted band size: 24 kDa

Observed band size: 26 kDa

false

  • Unconjugated

    Anti-Rab5 antibody [EPR17321] - Early Endosome Marker

  • HRP

    HRP Anti-Rab5 antibody [EPR17321] - Early Endosome Marker

  • 519 Alexa Fluor® 488

    Alexa Fluor® 488 Anti-Rab5 antibody [EPR17321] - Early Endosome Marker

Key facts

Host species

Rabbit

Clonality

Monoclonal

Clone number

EPR17321

Isotype

IgG

Carrier free

Yes

Reacts with

Human

Applications

WB, ICC/IF, IHC-P

applications

Immunogen

The exact immunogen used to generate this antibody is proprietary information.

Reactivity data

{ "title": "Reactivity Data", "filters": { "stats": ["", "Species", "Dilution Info", "Notes"], "tabs": { "all-applications": {"fullname" : "All Applications", "shortname": "All Applications"}, "WB" : {"fullname" : "Western blot", "shortname":"WB"}, "ICCIF" : {"fullname" : "Immunocytochemistry/ Immunofluorescence", "shortname":"ICC/IF"}, "IHCP" : {"fullname" : "Immunohistochemistry (Formalin/PFA-fixed paraffin-embedded sections)", "shortname":"IHC-P"} }, "product-promise": { "all": "all", "testedAndGuaranteed": "tested", "guaranteed": "expected", "predicted": "predicted", "notRecommended": "not-recommended" } }, "values": { "Human": { "WB-species-checked": "testedAndGuaranteed", "WB-species-dilution-info": "", "WB-species-notes": "<p></p>", "ICCIF-species-checked": "testedAndGuaranteed", "ICCIF-species-dilution-info": "", "ICCIF-species-notes": "<p></p>", "IHCP-species-checked": "testedAndGuaranteed", "IHCP-species-dilution-info": "", "IHCP-species-notes": "<p></p>" } } }

Product details

ab251279 is the carrier-free version of ab199530.

Patented technology
Our RabMAb® technology is a patented hybridoma-based technology for making rabbit monoclonal antibodies. For details on our patents, please refer to RabMAb® patents.

What are the advantages of a recombinant monoclonal antibody?
This product is a recombinant monoclonal antibody, which offers several advantages including:

  • - High batch-to-batch consistency and reproducibility
  • - Improved sensitivity and specificity
  • - Long-term security of supply
  • - Animal-free batch production

For more information, read more on recombinant antibodies.

Conjugation ready
Our carrier-free antibodies are typically supplied in a PBS-only formulation, purified and free of BSA, sodium azide and glycerol. This conjugation-ready format is designed for use with fluorochromes, metal isotopes, oligonucleotides, and enzymes, which makes them ideal for antibody labelling, functional and cell-based assays, flow-based assays (e.g. mass cytometry) and Multiplex Imaging applications.

Use our conjugation kits for antibody conjugates that are ready-to-use in as little as 20 minutes with 1 minute hands-on-time and 100% antibody recovery: available for fluorescent dyes, HRP, biotin and gold.

Compatibility
This product is compatible with the Maxpar® Antibody Labeling Kit from Fluidigm, without the need for antibody preparation. Maxpar® is a trademark of Fluidigm Canada Inc.

Properties and storage information

Form
Liquid
Storage buffer
pH: 7.2 - 7.4 Constituents: PBS
Shipped at conditions
Blue Ice
Appropriate short-term storage conditions
+4°C
Appropriate long-term storage conditions
+4°C
Storage information
Do Not Freeze

Supplementary information

This supplementary information is collated from multiple sources and compiled automatically.

Rab5 also known as Ras-related protein Rab-5A is a small GTPase of approximately 24 kDa. It is part of the Rab family of proteins and functions as an endosomal marker in cells. Rab5 is ubiquitously expressed but shows enriched expression in tissues with a high rate of endocytosis like the brain and liver. This protein plays a significant role in early endosome fusion and trafficking acting as an essential regulator of vesicular transport processes within the cell.
Biological function summary

Rab5 regulates the early endocytic pathway by mediating vesicle docking and fusion processes. It is not a part of a large complex but interacts with a range of effector proteins that facilitate endosome maturation. Rab5's role as an endosomal marker makes it important for membrane trafficking receptor recycling and signal transduction. Researchers often identify Rab5 in cellular studies using endosome staining techniques or specific antibodies like Drosophila antibodies to visualize its function and distribution.

Pathways

The endocytic network heavily involves Rab5 particularly influencing the endocytosis and endosomal signaling pathways. It frequently interacts with proteins such as EEA1 (Early Endosome Antigen 1) and Rabaptin-5 which are critical for endosomal membrane fusion. This mechanistic involvement ensures the correct transfer and processing of endocytic vesicles facilitating the continual cycle of membrane and receptor turnover in cells.

Rab5 dysfunction associates with neurological conditions such as Alzheimer's disease and cancer. Alterations in Rab5 levels or function can disrupt normal endosomal trafficking leading to amyloid beta peptide accumulation in Alzheimer's. Additionally Rab5's role in cancer relates to its regulation of growth factor receptors where its interaction with proteins like the PE marker influences tumor progression. Understanding Rab5 pathways and interactions paves the way for developing targeted therapeutics in these disorders.

Product protocols

For this product, it's our understanding that no specific protocols are required. You can visit:

Target data

Small GTPase which cycles between active GTP-bound and inactive GDP-bound states. In its active state, binds to a variety of effector proteins to regulate cellular responses such as of intracellular membrane trafficking, from the formation of transport vesicles to their fusion with membranes. Active GTP-bound form is able to recruit to membranes different sets of downstream effectors directly responsible for vesicle formation, movement, tethering and fusion. RAB5A is required for the fusion of plasma membranes and early endosomes (PubMed : 10818110, PubMed : 14617813, PubMed : 15378032, PubMed : 16410077). Contributes to the regulation of filopodia extension (PubMed : 14978216). Required for the exosomal release of SDCBP, CD63, PDCD6IP and syndecan (PubMed : 22660413). Regulates maturation of apoptotic cell-containing phagosomes, probably downstream of DYN2 and PIK3C3 (By similarity).
See full target information RAB5A

Publications (1)

Recent publications for all applications. Explore the full list and refine your search

Nutrients 16: PubMed38732558

2024

Differential Modulation by Eicosapentaenoic Acid (EPA) and Docosahexaenoic Acid (DHA) of Mesenteric Fat and Macrophages and T Cells in Adipose Tissue of Obese / Zucker Rats.

Applications

Unspecified application

Species

Unspecified reactive species

Lena Hong,Peter Zahradka,Carla G Taylor
View all publications

Product promise

We are committed to supporting your work with high-quality reagents, and we're here for you every step of the way. In the unlikely event that one of our products does not perform as expected, you're protected by our Product Promise.
For full details, please see our Terms & Conditions

Please note: All products are 'FOR RESEARCH USE ONLY. NOT FOR USE IN DIAGNOSTIC OR THERAPEUTIC PROCEDURES'.

For licensing inquiries, please contact partnerships@abcam.com