JavaScript is disabled in your browser. Please enable JavaScript to view this website.
AB231095

Anti-Rab5 antibody [EPR21801] - BSA and Azide free

Be the first to review this product! Submit a review

|

(1 Publication)

Knockout Tested Rabbit Recombinant Monoclonal RAB5A antibody. Carrier free. Suitable for IP, WB, ICC/IF, Flow Cyt (Intra), IHC-P and reacts with Human, Mouse, Rat samples. Cited in 1 publication.

View Alternative Names

RAB5, RAB5A, Ras-related protein Rab-5A

13 Images
Immunocytochemistry/ Immunofluorescence - Anti-Rab5 antibody [EPR21801] - BSA and Azide free (AB231095)
  • ICC/IF

Lab

Immunocytochemistry/ Immunofluorescence - Anti-Rab5 antibody [EPR21801] - BSA and Azide free (AB231095)

ab218624 was shown to react with RAB5A in wild-type HAP1 cells in immunocytochemistry with loss of signal observed in a RAB5A knockout cell line. Wild-type and knockout cells were mixed and pelleted at a 1 : 1 ratio on coverslips. The cells were fixed with 4% paraformaldehyde (15 min) then permeabilized with 0.1% Triton X-100 (10min) and then blocked with 1x PBS, 0.01% Triton X-100, 5% BSA, 5% NGS. The cells were then incubated with ab218624 overnight at 4°C followed by a further incubation at room temperature for 1h with a goat anti-rabbit secondary antibody to (Alexa Fluor® 555) at 0.5 µg/ml. Acquisition of the green (wild-type), red (antibody staining) and far-red (knockout) channels was performed. Representative grayscale images of the red channel are shown. Wild-type and knockout cells are outlined with yellow and magenta dashed line, respectively. Schematic representation of the mosaic strategy used is shown on the bottom-right panel. Image was acquired with a Zeiss(LSM-880).

These data were provided by YCharOS Inc., an open science company with the mission of characterizing commercially available antibody reagents for all human proteins. Abcam and YCharOS are working together to help address the reproducibility crisis by enabling the life science community to better evaluate commercially available antibodies.

Immunocytochemistry/ Immunofluorescence - Anti-Rab5 antibody [EPR21801] - BSA and Azide free (AB231095)
  • ICC/IF

Supplier Data

Immunocytochemistry/ Immunofluorescence - Anti-Rab5 antibody [EPR21801] - BSA and Azide free (AB231095)

Immunofluorescent analysis of 4% paraformaldehyde-fixed, 0.1% Triton X-100 permeabilzed  HeLa (human epithelial cell line from cervix adenocarcinoma) cells labeling Rab5 with ab218624 at 1/1000 dilution, followed by Goat Anti-Rabbit IgG H&L (Alexa Fluor® 488) (ab150077) secondary antibody at 1/1000 dilution (green). Confocal image showing granular cytoplasmic staining in HeLa cell line.

The nuclear counter stain is DAPI (blue). Tubulin is detected with Anti-alpha Tubulin antibody [DM1A] - Microtubule Marker (Alexa Fluor® 594) (ab195889) (red) at 1/200 dilution.

Secondary antibody only control : Used PBS instead of primary antibody, secondary antibody is Goat Anti-Rabbit IgG H&L (Alexa Fluor® 488) (ab150077) secondary antibody at 1/1000 dilution.

This data was developed using the same antibody clone in a different buffer formulation containing PBS, BSA, glycerol, and sodium azide (ab218624).

Flow Cytometry (Intracellular) - Anti-Rab5 antibody [EPR21801] - BSA and Azide free (AB231095)
  • Flow Cyt (Intra)

Supplier Data

Flow Cytometry (Intracellular) - Anti-Rab5 antibody [EPR21801] - BSA and Azide free (AB231095)

Intracellular flow cytometric analysis of 4% paraformaldehyde-fixed, 90% methanol permeabilized MCF7 (human breast adenocarcinoma cell line) cell line labelling Rab5 with ab218624 at 1/50 dilution (red) compared with a Rabbit IgG, monoclonal [EPR25A] - Isotype Control (ab172730) (black) and an unlabeled control (cells without incubation with primary antibody and secondary antibody) (blue). Goat anti rabbit IgG (Alexa Fluor� 488, ab150077) at 1/2000 dilution was used as the secondary antibody.

This data was developed using the same antibody clone in a different buffer formulation containing PBS, BSA, glycerol, and sodium azide (ab218624).

Immunohistochemistry (Formalin/PFA-fixed paraffin-embedded sections) - Anti-Rab5 antibody [EPR21801] - BSA and Azide free (AB231095)
  • IHC-P

Supplier Data

Immunohistochemistry (Formalin/PFA-fixed paraffin-embedded sections) - Anti-Rab5 antibody [EPR21801] - BSA and Azide free (AB231095)

Immunohistochemical analysis of paraffin-embedded human cerebrum tissue labeling Rab5 with ab218624 at 1/4000 dilution, followed by Goat Anti-Rabbit IgG H&L (HRP) Ready to use. Cytoplasmic staining in human cerebrum is observed (PMID 7789520). Counterstained with hematoxylin.

Secondary antibody only control : Used PBS instead of primary antibody, secondary antibody is Goat Anti-Rabbit IgG H&L (HRP) Ready to use.

This data was developed using the same antibody clone in a different buffer formulation containing PBS, BSA, glycerol, and sodium azide (ab218624).

Perform heat mediated antigen retrieval with Tris/EDTA buffer pH 9.0 before commencing with IHC staining protocol.

Immunocytochemistry/ Immunofluorescence - Anti-Rab5 antibody [EPR21801] - BSA and Azide free (AB231095)
  • ICC/IF

Supplier Data

Immunocytochemistry/ Immunofluorescence - Anti-Rab5 antibody [EPR21801] - BSA and Azide free (AB231095)

Immunofluorescent analysis of 4% paraformaldehyde-fixed, 0.1% Triton X-100 permeabilzed wild-type and RAB5A KO HAP1 cells labeling Rab5 with ab218624 at 1/1000 dilution, followed by Goat Anti-Rabbit IgG H&L (Alexa Fluor® 488) (ab150077) secondary antibody at 1/1000 dilution (green). Confocal image showing no staining in RAB5A KO HAP1 cell line and granular cytoplasmic staining in parental HAP1 cell line.

The nuclear counter stain is DAPI (blue). Tubulin is detected with Anti-alpha Tubulin antibody [DM1A] - Microtubule Marker (Alexa Fluor® 594) (ab195889) (red) at 1/200 dilution.

Secondary antibody only control : Used PBS instead of primary antibody, secondary antibody is Goat Anti-Rabbit IgG H&L (Alexa Fluor® 488) (ab150077) secondary antibody at 1/1000 dilution.

This data was developed using the same antibody clone in a different buffer formulation containing PBS, BSA, glycerol, and sodium azide (ab218624).

Immunohistochemistry (Formalin/PFA-fixed paraffin-embedded sections) - Anti-Rab5 antibody [EPR21801] - BSA and Azide free (AB231095)
  • IHC-P

Supplier Data

Immunohistochemistry (Formalin/PFA-fixed paraffin-embedded sections) - Anti-Rab5 antibody [EPR21801] - BSA and Azide free (AB231095)

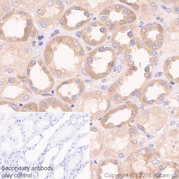
Immunohistochemical analysis of paraffin-embedded human kidney tissue labeling Rab5 with ab218624 at 1/4000 dilution, followed by Goat Anti-Rabbit IgG H&L (HRP) Ready to use. Cytoplasmic staining in human kidney is observed (PMID 7789520). Counterstained with hematoxylin.

Secondary antibody only control : Used PBS instead of primary antibody, secondary antibody is Goat Anti-Rabbit IgG H&L (HRP) Ready to use.

This data was developed using the same antibody clone in a different buffer formulation containing PBS, BSA, glycerol, and sodium azide (ab218624).

Perform heat mediated antigen retrieval with Tris/EDTA buffer pH 9.0 before commencing with IHC staining protocol.

Flow Cytometry (Intracellular) - Anti-Rab5 antibody [EPR21801] - BSA and Azide free (AB231095)
  • Flow Cyt (Intra)

Lab

Flow Cytometry (Intracellular) - Anti-Rab5 antibody [EPR21801] - BSA and Azide free (AB231095)

This data was developed using the same antibody clone in a different buffer formulation containing PBS, BSA, glycerol, and sodium azide (ab218624).

Flow cytometry overlay histogram showing wild-type Hap1 (green line) and Rab5A knockout Hap1 stained with ab218624 (red line). The cells were fixed with 80% methanol (5 min) and then permeabilised with 0.1% PBS-Triton X-100 for 15 min. The cells were then incubated in 1x PBS containing 10% normal goat serum to block non-specific protein-protein interaction followed by the antibody (ab218624) (1x 106 in 100μl at 0.2 μg/ml (1/10700)) for 30min at 22°C.

The secondary antibody Goat Anti-Rabbit IgG H&L (Alexa Fluor® 488) preadsorbed was incubated at 1/4000 for 30min at 22°C

Isotype control antibody Recombinant Rabbit IgG, monoclonal [EPR25A] - Isotype Control was used at the same concentration and conditions as the primary antibody (wild-type Hap1 - black line, Rab5A knockout Hap1 - grey line). Unlabelled sample was also used as a control (this line is not shown for the purpose of simplicity).

Acquisition of >5000 events were collected using a 50 mW Blue laser (488nm) and 525/40 bandpass filter.

This antibody gave a positive signal in Hap1 Fixed with 4% formaldehyde (10 min) / permeabilised with 0.1% PBS-Triton X-100 for 15 min under the same conditions.

Immunoprecipitation - Anti-Rab5 antibody [EPR21801] - BSA and Azide free (AB231095)
  • IP

Supplier Data

Immunoprecipitation - Anti-Rab5 antibody [EPR21801] - BSA and Azide free (AB231095)

Rab5 was immunoprecipitated from 0.35 mg MCF7 (human breast adenocarcinoma cell line) whole cell lysate with ab218624 at 1/30 dilution. Western blot was performed from the immunoprecipitate using ab218624 at 1/1000 dilution. VeriBlot for IP Detection Reagent (HRP) (ab131366) was used for detection at 1/5000 dilution.

Lane 1 : MCF7 whole cell lysate 10 μg (input).

Lane 2 : ab218624 IP in MCF7 whole cell lysate.

Lane 3 : Rabbit monoclonal IgG (ab172730) instead of ab218624 in MCF7 whole cell lysate.

Blocking and dilution buffer and concentration : 5% NFDM/TBST.

Exposure time : 1 second.

This data was developed using the same antibody clone in a different buffer formulation containing PBS, BSA, glycerol, and sodium azide (ab218624).

All lanes:

Immunoprecipitation - Anti-Rab5 antibody [EPR21801] - Early Endosome Marker (<a href='/en-us/products/primary-antibodies/rab5-antibody-epr21801-early-endosome-marker-ab218624'>ab218624</a>)

Predicted band size: 24 kDa

false

Immunocytochemistry/ Immunofluorescence - Anti-Rab5 antibody [EPR21801] - BSA and Azide free (AB231095)
  • ICC/IF

Supplier Data

Immunocytochemistry/ Immunofluorescence - Anti-Rab5 antibody [EPR21801] - BSA and Azide free (AB231095)

Immunofluorescent analysis of 4% paraformaldehyde-fixed, 0.1% Triton X-100 permeabilzed NIH/3T3 (mouse embryo fibroblast cell line) cells labeling Rab5 with ab218624 at 1/1000 dilution, followed by Goat Anti-Rabbit IgG H&L (Alexa Fluor® 488) (ab150077) secondary antibody at 1/1000 dilution (green). Confocal image showing granular cytoplasmic staining in NIH/3T3 cell line.

The nuclear counter stain is DAPI (blue). Tubulin is detected with Anti-alpha Tubulin antibody [DM1A] - Microtubule Marker (Alexa Fluor® 594) (ab195889) (red) at 1/200 dilution.

Secondary antibody only control : Used PBS instead of primary antibody, secondary antibody is Goat Anti-Rabbit IgG H&L (Alexa Fluor® 488) (ab150077) secondary antibody at 1/1000 dilution.

This data was developed using the same antibody clone in a different buffer formulation containing PBS, BSA, glycerol, and sodium azide (ab218624).

Immunohistochemistry (Formalin/PFA-fixed paraffin-embedded sections) - Anti-Rab5 antibody [EPR21801] - BSA and Azide free (AB231095)
  • IHC-P

Supplier Data

Immunohistochemistry (Formalin/PFA-fixed paraffin-embedded sections) - Anti-Rab5 antibody [EPR21801] - BSA and Azide free (AB231095)

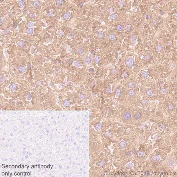
Immunohistochemical analysis of paraffin-embedded mouse kidney tissue labeling Rab5 with ab218624 at 1/4000 dilution, followed by Goat Anti-Rabbit IgG H&L (HRP) Ready to use. Cytoplasmic staining in mouse kidney is observed (PMID 7789520). Counterstained with hematoxylin.

Secondary antibody only control : Used PBS instead of primary antibody, secondary antibody is Goat Anti-Rabbit IgG H&L (HRP) Ready to use.

This data was developed using the same antibody clone in a different buffer formulation containing PBS, BSA, glycerol, and sodium azide (ab218624).

Perform heat mediated antigen retrieval with Tris/EDTA buffer pH 9.0 before commencing with IHC staining protocol.

Immunohistochemistry (Formalin/PFA-fixed paraffin-embedded sections) - Anti-Rab5 antibody [EPR21801] - BSA and Azide free (AB231095)
  • IHC-P

Supplier Data

Immunohistochemistry (Formalin/PFA-fixed paraffin-embedded sections) - Anti-Rab5 antibody [EPR21801] - BSA and Azide free (AB231095)

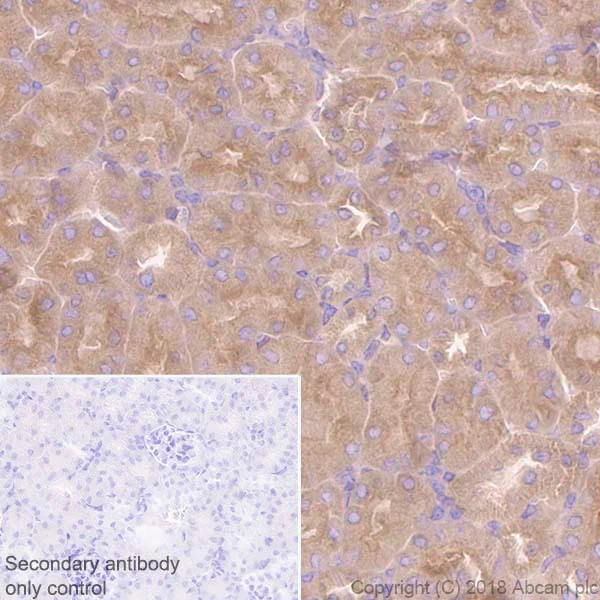
Immunohistochemical analysis of paraffin-embedded rat liver tissue labeling Rab5 with ab218624 at 1/4000 dilution, followed by Goat Anti-Rabbit IgG H&L (HRP) Ready to use. Cytoplasmic staining in rat liver is observed (PMID 7789520). Counterstained with hematoxylin.

Secondary antibody only control : Used PBS instead of primary antibody, secondary antibody is Goat Anti-Rabbit IgG H&L (HRP) Ready to use.

This data was developed using the same antibody clone in a different buffer formulation containing PBS, BSA, glycerol, and sodium azide (ab218624).

Perform heat mediated antigen retrieval with Tris/EDTA buffer pH 9.0 before commencing with IHC staining protocol.

Western blot - Anti-Rab5 antibody [EPR21801] - BSA and Azide free (AB231095)
  • WB

Supplier Data

Western blot - Anti-Rab5 antibody [EPR21801] - BSA and Azide free (AB231095)

Blocking/Dilution buffer : 5% NFDM/TBST.

This data was developed using the same antibody clone in a different buffer formulation containing PBS, BSA, glycerol, and sodium azide (ab218624).

All lanes:

Western blot - Anti-Rab5 antibody [EPR21801] - Early Endosome Marker (<a href='/en-us/products/primary-antibodies/rab5-antibody-epr21801-early-endosome-marker-ab218624'>ab218624</a>) at 1/1000 dilution

Lane 1:

Wild type HAP1 whole cell lysate at 20 µg

Lane 2:

Rab5 knockout HAP1 whole cell lysate at 20 µg

Lane 3:

HeLa (Human epithelial cell line from cervix adenocarcinoma) whole cell lysate at 20 µg

Lane 4:

MCF7 (Human breast adenocarcinoma cell line) whole cell lysate at 20 µg

Secondary

All lanes:

Western blot - Goat Anti-Rabbit IgG H&L (HRP) (<a href='/en-us/products/secondary-antibodies/goat-rabbit-igg-h-l-hrp-ab97051'>ab97051</a>) at 1/100000 dilution

Predicted band size: 24 kDa

Observed band size: 25 kDa

false

Exposure time: 15s

Western blot - Anti-Rab5 antibody [EPR21801] - BSA and Azide free (AB231095)
  • WB

Lab

Western blot - Anti-Rab5 antibody [EPR21801] - BSA and Azide free (AB231095)

ab218624 was shown to react with RAB5A in wild-type HAP1 cells in Western blot with loss of signal observed in a RAB5A knockout cell line. Wild-type HAP1 and RAB5A knockout cell lysates were subjected to SDS-PAGE. Membranes were blocked in 5% milk in TBST for 1 hr before incubation with ab218624 overnight at 4 °C at a 1000 dilution. Blots were incubated with secondary antibodies at 0.2ug/mL before imaging.

These data were provided by YCharOS Inc., an open science company with the mission of characterizing commercially available antibody reagents for all human proteins. Abcam and YCharOS are working together to help address the reproducibility crisis by enabling the life science community to better evaluate commercially available antibodies.

All lanes:

Western blot - Anti-Rab5 antibody [EPR21801] - Early Endosome Marker (<a href='/en-us/products/primary-antibodies/rab5-antibody-epr21801-early-endosome-marker-ab218624'>ab218624</a>) at 1/1000 dilution

Lane 1:

Wild-type HAP1 lysate at 20 µg

Lane 2:

RAB5A Knockout HAP1 lysate at 20 µg

Observed band size: 24 kDa

false

  • Unconjugated

    Anti-Rab5 antibody [EPR21801] - Early Endosome Marker

  • 775 Alexa Fluor® 750

    Alexa Fluor® 750 Anti-Rab5 antibody [EPR21801] - Early Endosome Marker

  • 519 Alexa Fluor® 488

    Alexa Fluor® 488 Anti-Rab5 antibody [EPR21801] - Early Endosome Marker

  • 578 PE

    PE Anti-Rab5 antibody [EPR21801] - Early Endosome Marker

  • 660 APC

    APC Anti-Rab5 antibody [EPR21801] - Early Endosome Marker

  • HRP

    HRP Anti-Rab5 antibody [EPR21801] - Early Endosome Marker

  • 665 Alexa Fluor® 647

    Alexa Fluor® 647 Anti-Rab5 antibody [EPR21801]

  • 617 Alexa Fluor® 594

    Alexa Fluor® 594 Anti-Rab5 antibody [EPR21801] - Early Endosome Marker

  • 565 Alexa Fluor® 555

    Alexa Fluor® 555 Anti-Rab5 antibody [EPR21801] - Early Endosome Marker

  • 603 Alexa Fluor® 568

    Alexa Fluor® 568 Anti-Rab5 antibody [EPR21801] - Early Endosome Marker

Key facts

Host species

Rabbit

Clonality

Monoclonal

Clone number

EPR21801

Isotype

IgG

Carrier free

Yes

Reacts with

Mouse, Rat, Human

Applications

IP, IHC-P, ICC/IF, Flow Cyt (Intra), WB

applications

Immunogen

The exact immunogen used to generate this antibody is proprietary information.

Specificity

This antibody could cross-react with RAB5C, but affinity is very low.

Reactivity data

{ "title": "Reactivity Data", "filters": { "stats": ["", "Species", "Dilution Info", "Notes"], "tabs": { "all-applications": {"fullname" : "All Applications", "shortname": "All Applications"}, "IP" : {"fullname" : "Immunoprecipitation", "shortname":"IP"}, "WB" : {"fullname" : "Western blot", "shortname":"WB"}, "ICCIF" : {"fullname" : "Immunocytochemistry/ Immunofluorescence", "shortname":"ICC/IF"}, "FlowCytIntra" : {"fullname" : "Flow Cytometry (Intracellular)", "shortname":"Flow Cyt (Intra)"}, "IHCP" : {"fullname" : "Immunohistochemistry (Formalin/PFA-fixed paraffin-embedded sections)", "shortname":"IHC-P"} }, "product-promise": { "all": "all", "testedAndGuaranteed": "tested", "guaranteed": "expected", "predicted": "predicted", "notRecommended": "not-recommended" } }, "values": { "Human": { "IP-species-checked": "testedAndGuaranteed", "IP-species-dilution-info": "", "IP-species-notes": "<p></p>", "WB-species-checked": "testedAndGuaranteed", "WB-species-dilution-info": "", "WB-species-notes": "<p></p>", "ICCIF-species-checked": "testedAndGuaranteed", "ICCIF-species-dilution-info": "", "ICCIF-species-notes": "<p></p>", "FlowCytIntra-species-checked": "testedAndGuaranteed", "FlowCytIntra-species-dilution-info": "", "FlowCytIntra-species-notes": "<p></p>", "IHCP-species-checked": "testedAndGuaranteed", "IHCP-species-dilution-info": "", "IHCP-species-notes": "<p></p>" }, "Mouse": { "IP-species-checked": "guaranteed", "IP-species-dilution-info": "", "IP-species-notes": "", "WB-species-checked": "testedAndGuaranteed", "WB-species-dilution-info": "", "WB-species-notes": "<p></p>", "ICCIF-species-checked": "testedAndGuaranteed", "ICCIF-species-dilution-info": "", "ICCIF-species-notes": "<p></p>", "FlowCytIntra-species-checked": "guaranteed", "FlowCytIntra-species-dilution-info": "", "FlowCytIntra-species-notes": "", "IHCP-species-checked": "testedAndGuaranteed", "IHCP-species-dilution-info": "", "IHCP-species-notes": "<p></p>" }, "Rat": { "IP-species-checked": "guaranteed", "IP-species-dilution-info": "", "IP-species-notes": "", "WB-species-checked": "testedAndGuaranteed", "WB-species-dilution-info": "", "WB-species-notes": "<p></p>", "ICCIF-species-checked": "guaranteed", "ICCIF-species-dilution-info": "", "ICCIF-species-notes": "", "FlowCytIntra-species-checked": "guaranteed", "FlowCytIntra-species-dilution-info": "", "FlowCytIntra-species-notes": "", "IHCP-species-checked": "testedAndGuaranteed", "IHCP-species-dilution-info": "", "IHCP-species-notes": "<p></p>" } } }

Product details

ab231095 is the carrier-free version of ab218624.

Conjugation ready
Our carrier-free antibodies are typically supplied in a PBS-only formulation, purified and free of BSA, sodium azide and glycerol. This conjugation-ready format is designed for use with fluorochromes, metal isotopes, oligonucleotides, and enzymes, which makes them ideal for antibody labelling, functional and cell-based assays, flow-based assays (e.g. mass cytometry) and Multiplex Imaging applications.

Use our conjugation kits for antibody conjugates that are ready-to-use in as little as 20 minutes with 1 minute hands-on-time and 100% antibody recovery: available for fluorescent dyes, HRP, biotin and gold.

Compatibility
This product is compatible with the Maxpar® Antibody Labeling Kit from Fluidigm, without the need for antibody preparation. Maxpar® is a trademark of Fluidigm Canada Inc.

Properties and storage information

Form
Liquid
Purification technique
Affinity purification Protein A
Storage buffer
pH: 7.2 - 7.4 Constituents: PBS
Shipped at conditions
Blue Ice
Appropriate short-term storage conditions
+4°C
Appropriate long-term storage conditions
+4°C
Storage information
Do Not Freeze

Supplementary information

This supplementary information is collated from multiple sources and compiled automatically.

Rab5 also known as Ras-related protein Rab-5A is a small GTPase of approximately 24 kDa. It is part of the Rab family of proteins and functions as an endosomal marker in cells. Rab5 is ubiquitously expressed but shows enriched expression in tissues with a high rate of endocytosis like the brain and liver. This protein plays a significant role in early endosome fusion and trafficking acting as an essential regulator of vesicular transport processes within the cell.
Biological function summary

Rab5 regulates the early endocytic pathway by mediating vesicle docking and fusion processes. It is not a part of a large complex but interacts with a range of effector proteins that facilitate endosome maturation. Rab5's role as an endosomal marker makes it important for membrane trafficking receptor recycling and signal transduction. Researchers often identify Rab5 in cellular studies using endosome staining techniques or specific antibodies like Drosophila antibodies to visualize its function and distribution.

Pathways

The endocytic network heavily involves Rab5 particularly influencing the endocytosis and endosomal signaling pathways. It frequently interacts with proteins such as EEA1 (Early Endosome Antigen 1) and Rabaptin-5 which are critical for endosomal membrane fusion. This mechanistic involvement ensures the correct transfer and processing of endocytic vesicles facilitating the continual cycle of membrane and receptor turnover in cells.

Rab5 dysfunction associates with neurological conditions such as Alzheimer's disease and cancer. Alterations in Rab5 levels or function can disrupt normal endosomal trafficking leading to amyloid beta peptide accumulation in Alzheimer's. Additionally Rab5's role in cancer relates to its regulation of growth factor receptors where its interaction with proteins like the PE marker influences tumor progression. Understanding Rab5 pathways and interactions paves the way for developing targeted therapeutics in these disorders.

Product protocols

For this product, it's our understanding that no specific protocols are required. You can visit:

Target data

Small GTPase which cycles between active GTP-bound and inactive GDP-bound states. In its active state, binds to a variety of effector proteins to regulate cellular responses such as of intracellular membrane trafficking, from the formation of transport vesicles to their fusion with membranes. Active GTP-bound form is able to recruit to membranes different sets of downstream effectors directly responsible for vesicle formation, movement, tethering and fusion. RAB5A is required for the fusion of plasma membranes and early endosomes (PubMed : 10818110, PubMed : 14617813, PubMed : 15378032, PubMed : 16410077). Contributes to the regulation of filopodia extension (PubMed : 14978216). Required for the exosomal release of SDCBP, CD63, PDCD6IP and syndecan (PubMed : 22660413). Regulates maturation of apoptotic cell-containing phagosomes, probably downstream of DYN2 and PIK3C3 (By similarity).
See full target information RAB5A

Publications (1)

Recent publications for all applications. Explore the full list and refine your search

Scientific reports 14:3517 PubMed38347040

2024

Aqueous humor TGFβ and fibrillin-1 in Tsk mice reveal clues to POAG pathogenesis.

Applications

Unspecified application

Species

Unspecified reactive species

James C Tan,MinHee K Ko,Jeong-Im Woo,Kenneth L Lu,Jonathan A Kelber
View all publications

Product promise

We are committed to supporting your work with high-quality reagents, and we're here for you every step of the way. In the unlikely event that one of our products does not perform as expected, you're protected by our Product Promise.
For full details, please see our Terms & Conditions

Please note: All products are 'FOR RESEARCH USE ONLY. NOT FOR USE IN DIAGNOSTIC OR THERAPEUTIC PROCEDURES'.

For licensing inquiries, please contact partnerships@abcam.com