JavaScript is disabled in your browser. Please enable JavaScript to view this website.
AB218624

Anti-Rab5 antibody [EPR21801] - Early Endosome Marker

4

(2 Reviews)

|

(39 Publications)

Anti-Rab5 antibody [EPR21801] - Early Endosome Marker (ab218624) is a rabbit monoclonal antibody detecting Rab5 in Western Blot, Flow Cytometry (Intra), Flow Cytometry, IP, IHC-P, ICC/IF. Suitable for Human, Mouse, Rat.

- KO validated for confirmed specificity
- Biophysical QC for unrivalled batch-batch consistency
- Over 10 publications

View Alternative Names

RAB5, RAB5A, Ras-related protein Rab-5A

14 Images
Flow Cytometry (Intracellular) - Anti-Rab5 antibody [EPR21801] - Early Endosome Marker (AB218624)
  • Flow Cyt (Intra)

Lab

Flow Cytometry (Intracellular) - Anti-Rab5 antibody [EPR21801] - Early Endosome Marker (AB218624)

Flow cytometry overlay histogram showing wild-type Hap1 (green line) and Rab5A knockout Hap1 stained with ab218624 (red line). The cells were fixed with 80% methanol (5 min) and then permeabilised with 0.1% PBS-Triton X-100 for 15 min. The cells were then incubated in 1x PBS containing 10% normal goat serum to block non-specific protein-protein interaction followed by the antibody (ab218624) (1x 106 in 100μl at 0.2 μg/ml (1/10700)) for 30min at 22°C.

The secondary antibody Goat Anti-Rabbit IgG H&L (Alexa Fluor® 488) preadsorbed was incubated at 1/4000 for 30min at 22°C

Isotype control antibody Recombinant Rabbit IgG, monoclonal [EPR25A] - Isotype Control was used at the same concentration and conditions as the primary antibody (wild-type Hap1 - black line, Rab5A knockout Hap1 - grey line). Unlabelled sample was also used as a control (this line is not shown for the purpose of simplicity).

Acquisition of >5000 events were collected using a 50 mW Blue laser (488nm) and 525/40 bandpass filter.

This antibody gave a positive signal in Hap1 Fixed with 4% formaldehyde (10 min) / permeabilised with 0.1% PBS-Triton X-100 for 15 min under the same conditions.

Immunocytochemistry/ Immunofluorescence - Anti-Rab5 antibody [EPR21801] - Early Endosome Marker (AB218624)
  • ICC/IF

Supplier Data

Immunocytochemistry/ Immunofluorescence - Anti-Rab5 antibody [EPR21801] - Early Endosome Marker (AB218624)

Immunofluorescent analysis of 4% paraformaldehyde-fixed, 0.1% Triton X-100 permeabilzed HeLa (human epithelial cell line from cervix adenocarcinoma) cells labeling Rab5 with ab218624 at 1/1000 dilution, followed by Goat Anti-Rabbit IgG H&L (Alexa Fluor® 488) (ab150077) secondary antibody at 1/1000 dilution (green). Confocal image showing granular cytoplasmic staining in HeLa cell line.

The nuclear counter stain is DAPI (blue). Tubulin is detected with Anti-alpha Tubulin antibody [DM1A] - Microtubule Marker (Alexa Fluor® 594) (ab195889) (red) at 1/200 dilution.

Secondary antibody only control : Used PBS instead of primary antibody, secondary antibody is Goat Anti-Rabbit IgG H&L (Alexa Fluor® 488) (ab150077) secondary antibody at 1/1000 dilution.

Flow Cytometry (Intracellular) - Anti-Rab5 antibody [EPR21801] - Early Endosome Marker (AB218624)
  • Flow Cyt (Intra)

Supplier Data

Flow Cytometry (Intracellular) - Anti-Rab5 antibody [EPR21801] - Early Endosome Marker (AB218624)

Intracellular flow cytometric analysis of 4% paraformaldehyde-fixed, 90% methanol permeabilized MCF7 (human breast adenocarcinoma cell line) cell line labelling Rab5 with ab218624 at 1/50 dilution (red) compared with a Rabbit IgG, monoclonal [EPR25A] - Isotype Control (ab172730) (black) and an unlabeled control (cells without incubation with primary antibody and secondary antibody) (blue). Goat anti rabbit IgG (Alexa Fluor® 488, ab150077) at 1/2000 dilution was used as the secondary antibody.

Immunohistochemistry (Formalin/PFA-fixed paraffin-embedded sections) - Anti-Rab5 antibody [EPR21801] - Early Endosome Marker (AB218624)
  • IHC-P

Supplier Data

Immunohistochemistry (Formalin/PFA-fixed paraffin-embedded sections) - Anti-Rab5 antibody [EPR21801] - Early Endosome Marker (AB218624)

Immunohistochemical analysis of paraffin-embedded human cerebrum tissue labeling Rab5 with ab218624 at 1/4000 dilution, followed by Goat Anti-Rabbit IgG H&L (HRP) Ready to use. Cytoplasmic staining in human cerebrum is observed (PMID 7789520). Counterstained with hematoxylin. Heat mediated antigen retrieval was performed using Tris/EDTA buffer pH 9.0 before commencing with IHC staining protocol.

Secondary antibody only control : Used PBS instead of primary antibody, secondary antibody is Goat Anti-Rabbit IgG H&L (HRP) Ready to use.

Immunocytochemistry/ Immunofluorescence - Anti-Rab5 antibody [EPR21801] - Early Endosome Marker (AB218624)
  • ICC/IF

Supplier Data

Immunocytochemistry/ Immunofluorescence - Anti-Rab5 antibody [EPR21801] - Early Endosome Marker (AB218624)

Immunofluorescent analysis of 4% paraformaldehyde-fixed, 0.1% Triton X-100 permeabilzed wild-type and RAB5A KO HAP1 cells labeling Rab5 with ab218624 at 1/1000 dilution, followed by Goat Anti-Rabbit IgG H&L (Alexa Fluor® 488) (ab150077) secondary antibody at 1/1000 dilution (green). Confocal image showing no staining in RAB5A KO HAP1 cell line and granular cytoplasmic staining in parental HAP1 cell line.

The nuclear counter stain is DAPI (blue). Tubulin is detected with Anti-alpha Tubulin antibody [DM1A] - Microtubule Marker (Alexa Fluor® 594) (ab195889) (red) at 1/200 dilution.

Secondary antibody only control : Used PBS instead of primary antibody, secondary antibody is Goat Anti-Rabbit IgG H&L (Alexa Fluor® 488) (ab150077) secondary antibody at 1/1000 dilution.

Immunohistochemistry (Formalin/PFA-fixed paraffin-embedded sections) - Anti-Rab5 antibody [EPR21801] - Early Endosome Marker (AB218624)
  • IHC-P

Supplier Data

Immunohistochemistry (Formalin/PFA-fixed paraffin-embedded sections) - Anti-Rab5 antibody [EPR21801] - Early Endosome Marker (AB218624)

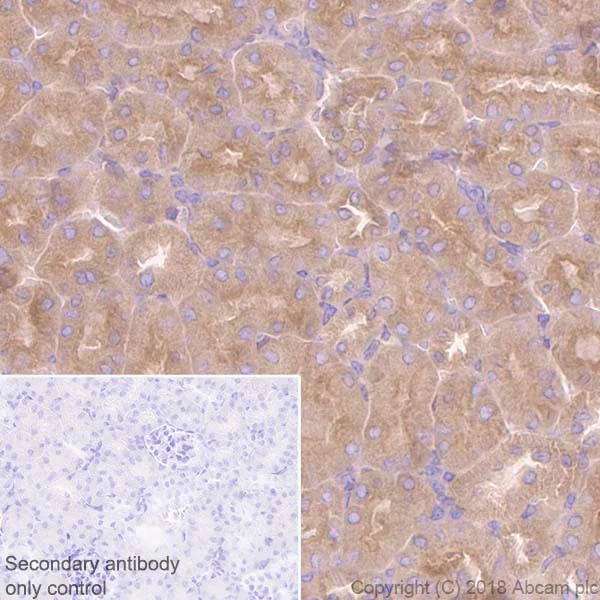
Immunohistochemical analysis of paraffin-embedded human kidney tissue labeling Rab5 with ab218624 at 1/4000 dilution, followed by Goat Anti-Rabbit IgG H&L (HRP) Ready to use. Cytoplasmic staining in human kidney is observed (PMID 7789520). Counterstained with hematoxylin. Heat mediated antigen retrieval was performed using Tris/EDTA buffer pH 9.0 before commencing with IHC staining protocol.

Secondary antibody only control : Used PBS instead of primary antibody, secondary antibody is Goat Anti-Rabbit IgG H&L (HRP) Ready to use.

Immunocytochemistry/ Immunofluorescence - Anti-Rab5 antibody [EPR21801] - Early Endosome Marker (AB218624)
  • ICC/IF

Lab

Immunocytochemistry/ Immunofluorescence - Anti-Rab5 antibody [EPR21801] - Early Endosome Marker (AB218624)

ab218624 was shown to react with RAB5A in wild-type HAP1 cells in immunocytochemistry with loss of signal observed in a RAB5A knockout cell line. Wild-type and knockout cells were mixed and pelleted at a 1 : 1 ratio on coverslips. The cells were fixed with 4% paraformaldehyde (15 min) then permeabilized with 0.1% Triton X-100 (10min) and then blocked with 1x PBS, 0.01% Triton X-100, 5% BSA, 5% NGS. The cells were then incubated with ab218624 overnight at 4°C followed by a further incubation at room temperature for 1h with a goat anti-rabbit secondary antibody to (Alexa Fluor® 555) at 0.5 ?g/ml. Acquisition of the green (wild-type), red (antibody staining) and far-red (knockout) channels was performed. Representative grayscale images of the red channel are shown. Wild-type and knockout cells are outlined with yellow and magenta dashed line, respectively. Schematic representation of the mosaic strategy used is shown on the bottom-right panel. Image was acquired with a Zeiss(LSM-880).

These data were provided by YCharOS Inc., an open science company with the mission of characterizing commercially available antibody reagents for all human proteins. Abcam and YCharOS are working together to help address the reproducibility crisis by enabling the life science community to better evaluate commercially available antibodies.

Immunoprecipitation - Anti-Rab5 antibody [EPR21801] - Early Endosome Marker (AB218624)
  • IP

Supplier Data

Immunoprecipitation - Anti-Rab5 antibody [EPR21801] - Early Endosome Marker (AB218624)

Rab5 was immunoprecipitated from 0.35 mg MCF7 (human breast adenocarcinoma cell line) whole cell lysate with ab218624 at 1/30 dilution. Western blot was performed from the immunoprecipitate using ab218624 at 1/1000 dilution. VeriBlot for IP Detection Reagent (HRP) (ab131366) was used for detection at 1/5000 dilution.

Lane 1 : MCF7 whole cell lysate 10 μg (input).

Lane 2 : ab218624 IP in MCF7 whole cell lysate.

Lane 3 : Rabbit monoclonal IgG (ab172730) instead of ab218624 in MCF7 whole cell lysate.

Blocking and dilution buffer and concentration : 5% NFDM/TBST.

Exposure time : 1 second.

All lanes:

Immunoprecipitation - Anti-Rab5 antibody [EPR21801] - Early Endosome Marker (ab218624)

Predicted band size: 24 kDa

false

Immunocytochemistry/ Immunofluorescence - Anti-Rab5 antibody [EPR21801] - Early Endosome Marker (AB218624)
  • ICC/IF

Supplier Data

Immunocytochemistry/ Immunofluorescence - Anti-Rab5 antibody [EPR21801] - Early Endosome Marker (AB218624)

Immunofluorescent analysis of 4% paraformaldehyde-fixed, 0.1% Triton X-100 permeabilzed NIH/3T3 (mouse embryo fibroblast cell line) cells labeling Rab5 with ab218624 at 1/1000 dilution, followed by Goat Anti-Rabbit IgG H&L (Alexa Fluor® 488) (ab150077) secondary antibody at 1/1000 dilution (green). Confocal image showing granular cytoplasmic staining in NIH/3T3 cell line.

The nuclear counter stain is DAPI (blue). Tubulin is detected with Anti-alpha Tubulin antibody [DM1A] - Microtubule Marker (Alexa Fluor® 594) (ab195889) (red) at 1/200 dilution.

Secondary antibody only control : Used PBS instead of primary antibody, secondary antibody is Goat Anti-Rabbit IgG H&L (Alexa Fluor® 488) (ab150077) secondary antibody at 1/1000 dilution.

Immunohistochemistry (Formalin/PFA-fixed paraffin-embedded sections) - Anti-Rab5 antibody [EPR21801] - Early Endosome Marker (AB218624)
  • IHC-P

Supplier Data

Immunohistochemistry (Formalin/PFA-fixed paraffin-embedded sections) - Anti-Rab5 antibody [EPR21801] - Early Endosome Marker (AB218624)

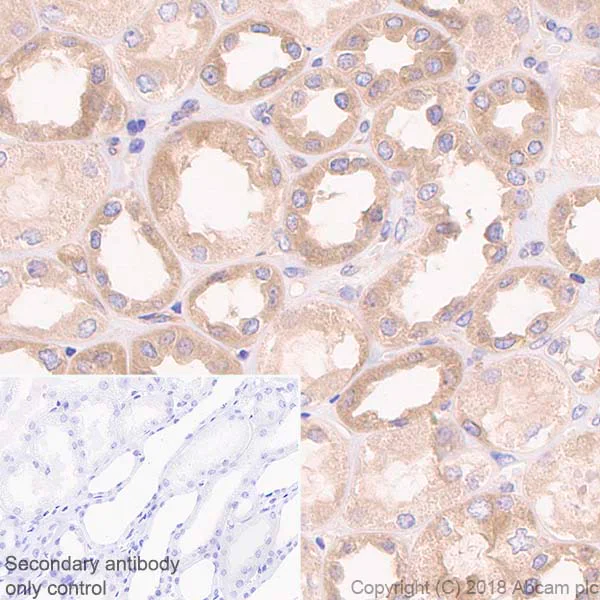
Immunohistochemical analysis of paraffin-embedded mouse kidney tissue labeling Rab5 with ab218624 at 1/4000 dilution, followed by Goat Anti-Rabbit IgG H&L (HRP) Ready to use. Cytoplasmic staining in mouse kidney is observed (PMID 7789520). Counterstained with hematoxylin. Heat mediated antigen retrieval was performed using Tris/EDTA buffer pH 9.0 before commencing with IHC staining protocol.

Secondary antibody only control : Used PBS instead of primary antibody, secondary antibody is Goat Anti-Rabbit IgG H&L (HRP) Ready to use.

Immunohistochemistry (Formalin/PFA-fixed paraffin-embedded sections) - Anti-Rab5 antibody [EPR21801] - Early Endosome Marker (AB218624)
  • IHC-P

Supplier Data

Immunohistochemistry (Formalin/PFA-fixed paraffin-embedded sections) - Anti-Rab5 antibody [EPR21801] - Early Endosome Marker (AB218624)

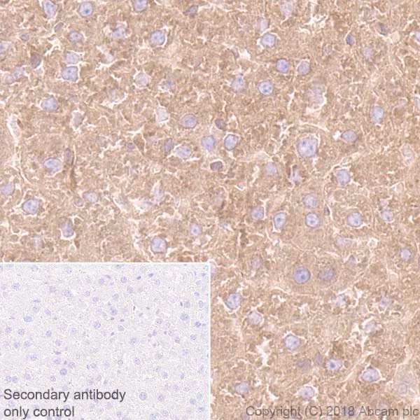
Immunohistochemical analysis of paraffin-embedded rat liver tissue labeling Rab5 with ab218624 at 1/4000 dilution, followed by Goat Anti-Rabbit IgG H&L (HRP) Ready to use. Cytoplasmic staining in rat liver is observed (PMID 7789520). Counterstained with hematoxylin. Heat mediated antigen retrieval was performed using Tris/EDTA buffer pH 9.0 before commencing with IHC staining protocol.

Secondary antibody only control : Used PBS instead of primary antibody, secondary antibody is Goat Anti-Rabbit IgG H&L (HRP) Ready to use.

Western blot - Anti-Rab5 antibody [EPR21801] - Early Endosome Marker (AB218624)
  • WB

Lab

Western blot - Anti-Rab5 antibody [EPR21801] - Early Endosome Marker (AB218624)

ab218624 was shown to react with RAB5A in wild-type HAP1 cells in Western blot with loss of signal observed in a RAB5A knockout cell line. Wild-type HAP1 and RAB5A knockout cell lysates were subjected to SDS-PAGE. Membranes were blocked in 5% milk in TBST for 1 hr before incubation with ab218624 overnight at 4 °C at a 1000 dilution. Blots were incubated with secondary antibodies at 0.2ug/mL before imaging.

These data were provided by YCharOS Inc., an open science company with the mission of characterizing commercially available antibody reagents for all human proteins. Abcam and YCharOS are working together to help address the reproducibility crisis by enabling the life science community to better evaluate commercially available antibodies.

All lanes:

Western blot - Anti-Rab5 antibody [EPR21801] - Early Endosome Marker (ab218624) at 1/1000 dilution

Lane 1:

Wild-type HAP1 lysate at 20 µg

Lane 2:

RAB5A Knockout HAP1 lysate at 20 µg

Observed band size: 24 kDa

false

Western blot - Anti-Rab5 antibody [EPR21801] - Early Endosome Marker (AB218624)
  • WB

Supplier Data

Western blot - Anti-Rab5 antibody [EPR21801] - Early Endosome Marker (AB218624)

ab218624 was shown to specifically react with Rab5 in wild-type HAP1 cells as signal was lost in Rab5 knockout cells. Wild-type and Rab5 knockout samples were subjected to SDS-PAGE. ab218624 and ab181602 (Human anti-GAPDH loading control) were incubated overnight at 4°C at 1/1000 dilution and 1/200000 dilution respectively. Blots were developed with Goat Anti-Rabbit IgG, (H+L), Peroxidase conjugated (ab97051) secondary antibody at 1/100,000 dilution for 1 hour at room temperature before imaging. The blot was developed on a BIO-RAD® ChemiDoc™ MP instrumentusing the ECL technique.

All lanes:

Western blot - Anti-Rab5 antibody [EPR21801] - Early Endosome Marker (ab218624) at 1/1000 dilution

Lane 1:

Wild type HAP1 whole cell lysate at 20 µg

Lane 2:

Rab5 knockout HAP1 whole cell lysate at 20 µg

Lane 3:

HeLa (Human epithelial cell line from cervix adenocarcinoma) whole cell lysate at 20 µg

Lane 4:

MCF7 (Human breast adenocarcinoma cell line) whole cell lysate at 20 µg

Secondary

All lanes:

Western blot - Goat Anti-Rabbit IgG H&L (HRP) (<a href='/en-us/products/secondary-antibodies/goat-rabbit-igg-h-l-hrp-ab97051'>ab97051</a>) at 1/100000 dilution

Predicted band size: 24 kDa

Observed band size: 25 kDa

false

Exposure time: 15s

Western blot - Anti-Rab5 antibody [EPR21801] - Early Endosome Marker (AB218624)
  • WB

Supplier Data

Western blot - Anti-Rab5 antibody [EPR21801] - Early Endosome Marker (AB218624)

Exposure time : Lane 1 : 5 seconds; Lanes 2/8 : 15 seconds; Lanes 3/4 : 6 seconds; Lanes 5/7 : 3 seconds; Lane 6 : 26 seconds.

Blocking/Dilution buffer : 5% NFDM/TBST.

All lanes:

Western blot - Anti-Rab5 antibody [EPR21801] - Early Endosome Marker (ab218624) at 1/1000 dilution

Lane 1:

Neuro-2a (mouse neuroblastoma cell line) whole cell lysate at 10 µg

Lane 2:

Human fetal brain lysate at 10 µg

Lane 3:

Human fetal heart lysate at 10 µg

Lane 4:

Human fetal spleen lysate at 10 µg

Lane 5:

Rat brain lysate at 10 µg

Lane 6:

Rat heart lysate at 10 µg

Lane 7:

Mouse brain lysate at 10 µg

Lane 8:

Mouse heart lysate at 10 µg

Secondary

All lanes:

Western blot - Goat Anti-Rabbit IgG H&L (HRP) (<a href='/en-us/products/secondary-antibodies/goat-rabbit-igg-h-l-hrp-ab97051'>ab97051</a>) at 1/100000 dilution

Predicted band size: 24 kDa

Observed band size: 25 kDa

false

  • 519 Alexa Fluor® 488

    Alexa Fluor® 488 Anti-Rab5 antibody [EPR21801] - Early Endosome Marker

  • Carrier free

    Anti-Rab5 antibody [EPR21801] - BSA and Azide free

  • 578 PE

    PE Anti-Rab5 antibody [EPR21801] - Early Endosome Marker

  • HRP

    HRP Anti-Rab5 antibody [EPR21801] - Early Endosome Marker

  • 617 Alexa Fluor® 594

    Alexa Fluor® 594 Anti-Rab5 antibody [EPR21801] - Early Endosome Marker

  • 665 Alexa Fluor® 647

    Alexa Fluor® 647 Anti-Rab5 antibody [EPR21801]

  • 565 Alexa Fluor® 555

    Alexa Fluor® 555 Anti-Rab5 antibody [EPR21801] - Early Endosome Marker

  • 603 Alexa Fluor® 568

    Alexa Fluor® 568 Anti-Rab5 antibody [EPR21801] - Early Endosome Marker

  • 660 APC

    APC Anti-Rab5 antibody [EPR21801] - Early Endosome Marker

  • 775 Alexa Fluor® 750

    Alexa Fluor® 750 Anti-Rab5 antibody [EPR21801] - Early Endosome Marker

Key facts

Host species

Rabbit

Clonality

Monoclonal

Clone number

EPR21801

Isotype

IgG

Carrier free

No

Reacts with

Rat, Human, Mouse

Applications

ICC/IF, Flow Cyt (Intra), IHC-P, IP, WB

applications

Immunogen

The exact immunogen used to generate this antibody is proprietary information.

Specificity

This antibody could cross-react with RAB5C, but affinity is very low.

Reactivity data

{ "title": "Reactivity Data", "filters": { "stats": ["", "Species", "Dilution Info", "Notes"], "tabs": { "all-applications": {"fullname" : "All Applications", "shortname": "All Applications"}, "IP" : {"fullname" : "Immunoprecipitation", "shortname":"IP"}, "WB" : {"fullname" : "Western blot", "shortname":"WB"}, "ICCIF" : {"fullname" : "Immunocytochemistry/ Immunofluorescence", "shortname":"ICC/IF"}, "FlowCytIntra" : {"fullname" : "Flow Cytometry (Intracellular)", "shortname":"Flow Cyt (Intra)"}, "IHCP" : {"fullname" : "Immunohistochemistry (Formalin/PFA-fixed paraffin-embedded sections)", "shortname":"IHC-P"} }, "product-promise": { "all": "all", "testedAndGuaranteed": "tested", "guaranteed": "expected", "predicted": "predicted", "notRecommended": "not-recommended" } }, "values": { "Human": { "IP-species-checked": "testedAndGuaranteed", "IP-species-dilution-info": "1/30", "IP-species-notes": "<p></p>", "WB-species-checked": "testedAndGuaranteed", "WB-species-dilution-info": "1/1000", "WB-species-notes": "<p></p>", "ICCIF-species-checked": "testedAndGuaranteed", "ICCIF-species-dilution-info": "1/1000", "ICCIF-species-notes": "<p></p>", "FlowCytIntra-species-checked": "testedAndGuaranteed", "FlowCytIntra-species-dilution-info": "1/50", "FlowCytIntra-species-notes": "<p></p>", "IHCP-species-checked": "testedAndGuaranteed", "IHCP-species-dilution-info": "1/4000", "IHCP-species-notes": "<p></p>" }, "Mouse": { "IP-species-checked": "guaranteed", "IP-species-dilution-info": "", "IP-species-notes": "", "WB-species-checked": "testedAndGuaranteed", "WB-species-dilution-info": "1/1000", "WB-species-notes": "<p></p>", "ICCIF-species-checked": "testedAndGuaranteed", "ICCIF-species-dilution-info": "1/1000", "ICCIF-species-notes": "<p></p>", "FlowCytIntra-species-checked": "guaranteed", "FlowCytIntra-species-dilution-info": "", "FlowCytIntra-species-notes": "", "IHCP-species-checked": "testedAndGuaranteed", "IHCP-species-dilution-info": "1/4000", "IHCP-species-notes": "<p></p>" }, "Rat": { "IP-species-checked": "guaranteed", "IP-species-dilution-info": "", "IP-species-notes": "", "WB-species-checked": "testedAndGuaranteed", "WB-species-dilution-info": "1/1000", "WB-species-notes": "<p></p>", "ICCIF-species-checked": "guaranteed", "ICCIF-species-dilution-info": "", "ICCIF-species-notes": "", "FlowCytIntra-species-checked": "guaranteed", "FlowCytIntra-species-dilution-info": "", "FlowCytIntra-species-notes": "", "IHCP-species-checked": "testedAndGuaranteed", "IHCP-species-dilution-info": "1/4000", "IHCP-species-notes": "<p></p>" } } }

Product details

What is this antibody validated in?
Anti-Rab5 antibody [EPR21801] - Early Endosome Marker (ab218624) is a rabbit recombinant monoclonal antibody and is validated for use in Western Blot (WB), Flow Cytometry (Intra), Flow Cytometry (Flow Cyt), Immunoprecipitation (IP), Immunohistochemistry (IHC-P), Immunocytochemistry/immunofluorescence (ICC/IF) in Human, Mouse, Rat samples.

What is the molecular weight of Rab5?
Anti-Rab5 [EPR21801] - Early Endosome Marker (ab218624) specifically detects a band for Rab5 (UniProt: P20339) at a molecular weight of 24kDa.

Trusted by the scientific community
Anti-Rab5 [EPR21801] - Early Endosome Marker (ab218624) was first used in a scientific publication in 2018 and has been cited over 10 times in peer-reviewed journals.

Trial sizes available!
Test your antibody or perform pre-screening before committing to a larger quantity. Sold in 10µl. Discover our selection of trial-size antibodies.

Specificity confirmed
The specificity of Anti-Rab5 antibody [EPR21801] - Early Endosome Marker (ab218624) has been confirmed by Immunocytochemistry/ Immunofluorescence testing in RAB5A Knockout HAP1 cells.

Other related products
We have a range of other formats of antibody clone [EPR21801] also available for your convenience: ab218624, Carrier free - ab231095, Alexa Fluor® 488 - ab270094, PE - ab302987, APC - ab302988, HRP - ab302989, Alkaline Phosphatase - ab308673, Alexa Fluor® 647 - ab310008, Alexa Fluor® 594 - ab310375, Alexa Fluor® 555 - ab311900, Alexa Fluor® 568 - ab312371, Alexa Fluor® 750 - ab321399

Patented technology
Our RabMAb® technology is a patented hybridoma-based technology for making rabbit monoclonal antibodies. For details on our patents, please refer to RabMAb® patents.

What are the advantages of a recombinant monoclonal antibody?
This product is a recombinant monoclonal antibody, which offers several advantages including:

  • - High batch-to-batch consistency and reproducibility
  • - Improved sensitivity and specificity
  • - Long-term security of supply
  • - Animal-free batch production

For more information, read more on recombinant antibodies.

Properties and storage information

Form
Liquid
Purification technique
Affinity purification Protein A
Storage buffer
pH: 7.2 - 7.4 Preservative: 0.01% Sodium azide Constituents: PBS, 40% Glycerol (glycerin, glycerine), 0.05% BSA
Shipped at conditions
Blue Ice
Appropriate short-term storage duration
1-2 weeks
Appropriate short-term storage conditions
+4°C
Appropriate long-term storage conditions
-20°C
Aliquoting information
Upon delivery aliquot
Storage information
Avoid freeze / thaw cycle

Supplementary information

This supplementary information is collated from multiple sources and compiled automatically.

Rab5 also known as Ras-related protein Rab-5A is a small GTPase of approximately 24 kDa. It is part of the Rab family of proteins and functions as an endosomal marker in cells. Rab5 is ubiquitously expressed but shows enriched expression in tissues with a high rate of endocytosis like the brain and liver. This protein plays a significant role in early endosome fusion and trafficking acting as an essential regulator of vesicular transport processes within the cell.
Biological function summary

Rab5 regulates the early endocytic pathway by mediating vesicle docking and fusion processes. It is not a part of a large complex but interacts with a range of effector proteins that facilitate endosome maturation. Rab5's role as an endosomal marker makes it important for membrane trafficking receptor recycling and signal transduction. Researchers often identify Rab5 in cellular studies using endosome staining techniques or specific antibodies like Drosophila antibodies to visualize its function and distribution.

Pathways

The endocytic network heavily involves Rab5 particularly influencing the endocytosis and endosomal signaling pathways. It frequently interacts with proteins such as EEA1 (Early Endosome Antigen 1) and Rabaptin-5 which are critical for endosomal membrane fusion. This mechanistic involvement ensures the correct transfer and processing of endocytic vesicles facilitating the continual cycle of membrane and receptor turnover in cells.

Rab5 dysfunction associates with neurological conditions such as Alzheimer's disease and cancer. Alterations in Rab5 levels or function can disrupt normal endosomal trafficking leading to amyloid beta peptide accumulation in Alzheimer's. Additionally Rab5's role in cancer relates to its regulation of growth factor receptors where its interaction with proteins like the PE marker influences tumor progression. Understanding Rab5 pathways and interactions paves the way for developing targeted therapeutics in these disorders.

Product protocols

For this product, it's our understanding that no specific protocols are required. You can visit:

Target data

Small GTPase which cycles between active GTP-bound and inactive GDP-bound states. In its active state, binds to a variety of effector proteins to regulate cellular responses such as of intracellular membrane trafficking, from the formation of transport vesicles to their fusion with membranes. Active GTP-bound form is able to recruit to membranes different sets of downstream effectors directly responsible for vesicle formation, movement, tethering and fusion. RAB5A is required for the fusion of plasma membranes and early endosomes (PubMed : 10818110, PubMed : 14617813, PubMed : 15378032, PubMed : 16410077). Contributes to the regulation of filopodia extension (PubMed : 14978216). Required for the exosomal release of SDCBP, CD63, PDCD6IP and syndecan (PubMed : 22660413). Regulates maturation of apoptotic cell-containing phagosomes, probably downstream of DYN2 and PIK3C3 (By similarity).
See full target information RAB5A

Publications (39)

Recent publications for all applications. Explore the full list and refine your search

Science advances 11:eady6386 PubMed40991712

2025

Site-specific adaptive nanovesicles for oral insulin delivery.

Applications

Unspecified application

Species

Unspecified reactive species

Bozhang Xia,Fengfei Xu,Junge Chen,Shaobo Shan,Jiuheng Shen,Yuxuan Zhang,Jinjin Wang,Ziran Zhou,Weilun Sun,Yaru Jia,Ya-Li Zhang,Jie Zhong,Gang Zhang,Yichen Wan,Zhongbo Hu,Wenlin An,Yubo Fan,Massimo Bottini,Jinqiang Wang,Xing-Jie Liang

The Journal of neuroscience : the official journal of the Society for Neuroscience 45: PubMed40514243

2025

Increased Neuronal Expression of the Early Endosomal Adaptor APPL1 Replicates Alzheimer's Disease-Related Endosomal and Synaptic Dysfunction with Cholinergic Neurodegeneration.

Applications

Unspecified application

Species

Unspecified reactive species

Ying Jiang,Kuldeep Sachdeva,Chris N Goulbourne,Martin J Berg,James Peddy,Philip H Stavrides,Anna Pensalfini,Monika Pawlik,Sandeep Malampati,Lauren Whyte,Balapal S Basavarajappa,Shivakumar Subbanna,Cynthia Bleiwas,John F Smiley,Paul M Mathews,Ralph A Nixon

Exploration (Beijing, China) 5:20230174 PubMed40395754

2025

Palladium Nanoparticles Degrade Advanced Glycation End Products via Valosin-Containing Protein Mediated Autophagy to Attenuate High-Glucose/High-Fat-Induced Intervertebral Disc Degeneration.

Applications

Unspecified application

Species

Unspecified reactive species

Xiao Yang,Xiankun Cao,Xin Wang,Jiadong Guo,Yangzi Yang,Liqiang Lu,Pu Zhang,Huan Yang,Kewei Rong,Tangjun Zhou,Yongqiang Hao,Jie Zhao,Jingke Fu,Kai Zhang

Alzheimer's & dementia : the journal of the Alzheimer's Association 21:e70046 PubMed40339170

2025

Hyperactivation of RAB5 disrupts the endosomal Rab cascade leading to endolysosomal dysregulation in Down syndrome: A necessary role for increased APP gene dose.

Applications

Unspecified application

Species

Unspecified reactive species

Xu-Qiao Chen,Xinxin Zuo,Ann Becker,William C Mobley

Cell research 35:437-452 PubMed40164768

2025

Signal-induced NLRP3 phase separation initiates inflammasome activation.

Applications

Unspecified application

Species

Unspecified reactive species

Gonglu Zou,Yuluan Tang,Jie Yang,Shuo Fu,Yuheng Li,Xuanyao Ren,Nanhai Zhou,Wenlong Zhao,Juyi Gao,Ziran Ruan,Zhengfan Jiang

Science advances 11:eadr9266 PubMed39970222

2025

Bioengineered protein nanocarrier facilitating siRNA escape from lysosomes for targeted RNAi therapy in glioblastoma.

Applications

Unspecified application

Species

Unspecified reactive species

Yiliang Jin,Baoli Zhang,Jianru Li,Zhenxi Guo,Chen Zhang,Xuehui Chen,Long Ma,Zhuoran Wang,Haiyin Yang,Yong Li,Yuhua Weng,Yuanyu Huang,Xiyun Yan,Kelong Fan

iScience 28:111515 PubMed39758816

2025

TBC1D24 interacts with the v-ATPase and regulates intraorganellar pH in neurons.

Applications

Unspecified application

Species

Unspecified reactive species

Sara Pepe,Davide Aprile,Enrico Castroflorio,Antonella Marte,Simone Giubbolini,Samir Hopestone,Anna Parsons,Tânia Soares,Fabio Benfenati,Peter L Oliver,Anna Fassio

American journal of physiology. Gastrointestinal and liver physiology 327:G267-G283 PubMed38860860

2024

Specific binding sites on Rhesus rotavirus capsid protein dictate the method of endocytosis inducing the murine model of biliary atresia.

Applications

Unspecified application

Species

Unspecified reactive species

Haley Temple,Bryan Donnelly,Sujit K Mohanty,Sarah Mowery,Holly M Poling,Rajamouli Pasula,Stephen Hartman,Akaljot Singh,Reena Mourya,Alexander Bondoc,Jaroslaw Meller,Anil G Jegga,Kei Oyama,Monica McNeal,Paul Spearman,Greg Tiao

Traffic (Copenhagen, Denmark) 25:e12937 PubMed38777335

2024

Apolipoprotein E2 Expression Alters Endosomal Pathways in a Mouse Model With Increased Brain Exosome Levels During Aging.

Applications

Unspecified application

Species

Unspecified reactive species

Katherine Y Peng,Braison Liemisa,Jonathan Pasato,Pasquale D'Acunzo,Monika Pawlik,Adriana Heguy,Sai C Penikalapati,Amanda Labuza,Harshitha Pidikiti,Melissa J Alldred,Stephen D Ginsberg,Efrat Levy,Paul M Mathews

Virulence 15:2350893 PubMed38725096

2024

effector CvpE maintains biogenesis of -containing vacuoles by suppressing lysosome tubulation through binding PI(3)P and perturbing PIKfyve activity on lysosomes.

Applications

Unspecified application

Species

Unspecified reactive species

Mingliang Zhao,Shan Zhang,Weiqiang Wan,Chunyu Zhou,Nana Li,Ruxi Cheng,Yonghui Yu,Xuan Ouyang,Dongsheng Zhou,Jun Jiao,Xiaolu Xiong
View all publications

Product promise

We are committed to supporting your work with high-quality reagents, and we're here for you every step of the way. In the unlikely event that one of our products does not perform as expected, you're protected by our Product Promise.
For full details, please see our Terms & Conditions

Please note: All products are 'FOR RESEARCH USE ONLY. NOT FOR USE IN DIAGNOSTIC OR THERAPEUTIC PROCEDURES'.

For licensing inquiries, please contact partnerships@abcam.com