JavaScript is disabled in your browser. Please enable JavaScript to view this website.
AB214806

Anti-RAB7 antibody [EPR7589] - BSA and Azide free

Be the first to review this product! Submit a review

|

(2 Publications)

Rabbit Recombinant Monoclonal RAB7 antibody. Carrier free. Suitable for IHC-P, WB, ICC/IF, Flow Cyt (Intra) and reacts with Human, Mouse, Rat samples. Cited in 2 publications.

View Alternative Names

RAB7, RAB7A, Ras-related protein Rab-7a

7 Images
Immunocytochemistry/ Immunofluorescence - Anti-RAB7 antibody [EPR7589] - BSA and Azide free (AB214806)
  • ICC/IF

Unknown

Immunocytochemistry/ Immunofluorescence - Anti-RAB7 antibody [EPR7589] - BSA and Azide free (AB214806)

Immunocytochemistry/Immunofluorescence analysis of HeLa (human cervix adenocarcinoma) labelling RAB7 with purified ab137029 at 1/500. Cells were fixed with 100% methanol. An Alexa Fluor® 488-conjugated goat anti-rabbit IgG (1/1000) was used as the secondary antibody (ab150077). Nuclei counterstained with DAPI (blue).

This data was developed using the same antibody clone in a different buffer formulation containing PBS, BSA, glycerol, and sodium azide (ab137029).

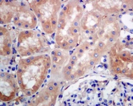
Immunohistochemistry (Formalin/PFA-fixed paraffin-embedded sections) - Anti-RAB7 antibody [EPR7589] - BSA and Azide free (AB214806)
  • IHC-P

Unknown

Immunohistochemistry (Formalin/PFA-fixed paraffin-embedded sections) - Anti-RAB7 antibody [EPR7589] - BSA and Azide free (AB214806)

Immunohistochemical analysis of paraffin embedded Human kidney tissue labelling RAB7 with ab137029 at 1/50 dilution.

This data was developed using the same antibody clone in a different buffer formulation containing PBS, BSA, glycerol, and sodium azide (ab137029).

Perform heat mediated antigen retrieval with citrate buffer pH 6 before commencing with IHC staining protocol.

Flow Cytometry (Intracellular) - Anti-RAB7 antibody [EPR7589] - BSA and Azide free (AB214806)
  • Flow Cyt (Intra)

Lab

Flow Cytometry (Intracellular) - Anti-RAB7 antibody [EPR7589] - BSA and Azide free (AB214806)

Intracellular Flow Cytometry analysis of A431 (human epidermoid carcinoma) cells labeling RAB7 with purified ab137029 at 1/20 dilution (10ug/ml) (red). Cells were fixed with 4% paraformaldehyde and permeabilised with 90% methanol. A Goat anti rabbit IgG (Alexa Fluor® 488) (1/2000 dilution) was used as the secondary antibody. Rabbit monoclonal IgG (Black) was used as the isotype control, cells without incubation with primary antibody and secondary antibody (Blue) was used as the unlabeled control.

This data was developed using the same antibody clone in a different buffer formulation containing PBS, BSA, glycerol, and sodium azide (ab137029).

Flow Cytometry (Intracellular) - Anti-RAB7 antibody [EPR7589] - BSA and Azide free (AB214806)
  • Flow Cyt (Intra)

Lab

Flow Cytometry (Intracellular) - Anti-RAB7 antibody [EPR7589] - BSA and Azide free (AB214806)

Overlay histogram showing HAP1 wildtype (green line) and HAP1-RAB7 knockout cells (red line) stained with ab137029. The cells were fixed with 4% formaldehyde (10 min) and then permeabilized with 0.1% PBS-Triton X-100 for 15 min. The cells were then incubated in 1x PBS / 10% normal goat serum to block non-specific protein-protein interactions followed by the antibody (ab137029, 0.1μg/ml) for 30 min at 22°C. The secondary antibody used was Alexa Fluor® 488 goat anti-rabbit IgG (H&L) (ab150081) at 1/2000 dilution for 30 min at 22°C. A rabbit IgG1 isotype control antibody (ab172730) was used at the same concentration and conditions as the primary antibody (HAP1 wildtype - black line, HAP1-RAB7 knockout - grey line). Unlabelled sample was also used as a control (this line is not shown for the purpose of simplicity). Acquisition of >5,000 events were collected using a 50 mW Blue laser (488nm) and 530/30 bandpass filter. This antibody can also be used in HAP1 cells fixed with 80% methanol (5 min) permeabilized with 0.1% PBS-Triton X-100 for 15 min under the same conditions.

This data was developed using the same antibody clone in a different buffer formulation containing PBS, BSA, glycerol, and sodium azide (ab137029).

Immunocytochemistry/ Immunofluorescence - Anti-RAB7 antibody [EPR7589] - BSA and Azide free (AB214806)
  • ICC/IF

AbReview36175****

Immunocytochemistry/ Immunofluorescence - Anti-RAB7 antibody [EPR7589] - BSA and Azide free (AB214806)

ab137029 staining RAB7 in Human HepaRG cell by ICC/IF (Immunocytochemistry/immunofluorescence). Cells were fixed with formaldehyde, permeabilized with 0.1% Triton X-100 in PBS and blocked with 1% milk for 30 minutes at room temperature. Samples were incubated with primary antibody (1/200 in 1% milk) for 30 minutes. An Alexa Fluor®488-conjugated Donkey anti-rabbit IgG polyclonal (1/400) was used as the secondary antibody.

This data was developed using the same antibody clone in a different buffer formulation containing PBS, BSA, glycerol, and sodium azide (ab137029).

This image is courtesy of an Abreview submitted by Alina Macovei

Western blot - Anti-RAB7 antibody [EPR7589] - BSA and Azide free (AB214806)
  • WB

Lab

Western blot - Anti-RAB7 antibody [EPR7589] - BSA and Azide free (AB214806)

Lanes 1 - 2 : Merged signal (red and green). Green - ab137029 observed at 23 kDa. Red - loading control ab7291 (Mouse anti-Alpha Tubulin [DM1A]) observed at 55 kDa.

ab137029 was shown to react with RAB7 in wild-type HeLa cells in Western blot with loss of signal observed in RAB7A knockout cell line ab255423 (RAB7A knockout cell lysate ab263831). Wild-type HeLa and RAB7A knockout cell lysates were subjected to SDS-PAGE. Membranes were blocked in 3 % milk in TBS-T (0.1 % Tween®) before incubation with ab137029 and ab7291 (Mouse anti-Alpha Tubulin [DM1A]) overnight at 4 °C at a 1 in 1000 dilution and a 1 in 20000 dilution respectively. Blots were incubated with Goat anti-Rabbit IgG H&L (IRDye® 800CW) preabsorbed (ab216773) and Goat anti-Mouse IgG H&L (IRDye® 680RD) preabsorbed (ab216776) secondary antibodies at 1 in 20000 dilution for 1 h at room temperature before imaging.

All lanes:

Western blot - Anti-RAB7 antibody [EPR7589] - BSA and Azide free (ab214806) at 1/1000 dilution

Lane 1:

Wild-type HeLa cell lysate at 20 µg

Lane 2:

RAB7A knockout HeLa cell lysate at 20 µg

Observed band size: 23 kDa

false

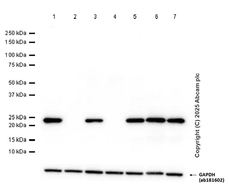
Western blot - Anti-RAB7 antibody [EPR7589] - BSA and Azide free (AB214806)
  • WB

Lab

Western blot - Anti-RAB7 antibody [EPR7589] - BSA and Azide free (AB214806)

This data was developed using ab137029, the same antibody clone in a different buffer formulation.

Blocking and diluting buffer and concentration : 5% NFDM/TBST.

In Western blot, Anti-GAPDH antibody [EPR16891] - Loading Control (ab181602) staining at 1/1000000 dilution.

All lanes:

Western blot - Anti-RAB7 antibody [EPR7589] - Late Endosome Marker (<a href='/en-us/products/primary-antibodies/rab7-antibody-epr7589-late-endosome-marker-ab137029'>ab137029</a>) at 1/1000 dilution

Lane 1:

Wild-type HAP1 whole cell lysate at 20 µg

Lane 2:

RAB7 knockout HAP1 whole cell lysate at 20 µg

Lane 3:

Wild-type HeLa whole cell lysate at 20 µg

Lane 4:

RAB7A knockout HeLa whole cell lysate at 20 µg

Lane 5:

A375 (human malignant melanoma cell line) cell lysate at 20 µg

Lane 6:

C6 (rat glial tumor glial cell), whole cell lysate at 20 µg

Lane 7:

Raw 264.7 (mouse macrophage cell line transformed with Abelson murine leukemia virus) cell lysate at 20 µg

Secondary

All lanes:

Western blot - Goat Anti-Rabbit IgG H&L (HRP) (<a href='/en-us/products/secondary-antibodies/goat-rabbit-igg-h-l-hrp-ab97051'>ab97051</a>) at 1/20000 dilution

Observed band size: 23 kDa

false

Exposure time: 20s

  • Unconjugated

    Anti-RAB7 antibody [EPR7589] - Late Endosome Marker

  • 775 Alexa Fluor® 750

    Alexa Fluor® 750 Anti-RAB7 antibody [EPR7589] - Late Endosome Marker

  • 665 Alexa Fluor® 647

    Alexa Fluor® 647 Anti-RAB7 antibody [EPR7589] - Late Endosome Marker

  • 578 PE

    PE Anti-RAB7 antibody [EPR7589] - Late Endosome Marker

  • 660 APC

    APC Anti-RAB7 antibody [EPR7589] - Late Endosome Marker

  • HRP

    HRP Anti-RAB7 antibody [EPR7589] - Late Endosome Marker

  • 617 Alexa Fluor® 594

    Alexa Fluor® 594 Anti-RAB7 antibody [EPR7589] - Late Endosome Marker

  • 519 Alexa Fluor® 488

    Alexa Fluor® 488 Anti-RAB7 antibody [EPR7589] - Late Endosome Marker

  • 603 Alexa Fluor® 568

    Alexa Fluor® 568 Anti-RAB7 antibody [EPR7589] - Late Endosome Marker

  • 565 Alexa Fluor® 555

    Alexa Fluor® 555 Anti-RAB7 antibody [EPR7589] - Late Endosome Marker

Key facts

Host species

Rabbit

Clonality

Monoclonal

Clone number

EPR7589

Isotype

IgG

Carrier free

Yes

Reacts with

Mouse, Rat, Human

Applications

ICC/IF, Flow Cyt (Intra), IHC-P, WB

applications

Immunogen

The exact immunogen used to generate this antibody is proprietary information.

Reactivity data

{ "title": "Reactivity Data", "filters": { "stats": ["", "Species", "Dilution Info", "Notes"], "tabs": { "all-applications": {"fullname" : "All Applications", "shortname": "All Applications"}, "IHCP" : {"fullname" : "Immunohistochemistry (Formalin/PFA-fixed paraffin-embedded sections)", "shortname":"IHC-P"}, "WB" : {"fullname" : "Western blot", "shortname":"WB"}, "ICCIF" : {"fullname" : "Immunocytochemistry/ Immunofluorescence", "shortname":"ICC/IF"}, "FlowCytIntra" : {"fullname" : "Flow Cytometry (Intracellular)", "shortname":"Flow Cyt (Intra)"} }, "product-promise": { "all": "all", "testedAndGuaranteed": "tested", "guaranteed": "expected", "predicted": "predicted", "notRecommended": "not-recommended" } }, "values": { "Human": { "IHCP-species-checked": "testedAndGuaranteed", "IHCP-species-dilution-info": "", "IHCP-species-notes": "<p></p> Perform heat-mediated antigen retrieval with citrate buffer pH 6 before commencing with IHC staining protocol.", "WB-species-checked": "testedAndGuaranteed", "WB-species-dilution-info": "", "WB-species-notes": "<p></p>", "ICCIF-species-checked": "guaranteed", "ICCIF-species-dilution-info": "", "ICCIF-species-notes": "", "FlowCytIntra-species-checked": "testedAndGuaranteed", "FlowCytIntra-species-dilution-info": "", "FlowCytIntra-species-notes": "<p><a href='/en-us/products/primary-antibodies/rabbit-igg-monoclonal-epr25a-isotype-control-low-endotoxin-azide-free-ab199376'>ab199376</a> - Rabbit monoclonal IgG, is suitable for use as an isotype control with this antibody.</p>" }, "Mouse": { "IHCP-species-checked": "guaranteed", "IHCP-species-dilution-info": "", "IHCP-species-notes": "", "WB-species-checked": "testedAndGuaranteed", "WB-species-dilution-info": "", "WB-species-notes": "<p></p>", "ICCIF-species-checked": "testedAndGuaranteed", "ICCIF-species-dilution-info": "", "ICCIF-species-notes": "<p></p>", "FlowCytIntra-species-checked": "guaranteed", "FlowCytIntra-species-dilution-info": "", "FlowCytIntra-species-notes": "" }, "Rat": { "IHCP-species-checked": "guaranteed", "IHCP-species-dilution-info": "", "IHCP-species-notes": "", "WB-species-checked": "testedAndGuaranteed", "WB-species-dilution-info": "", "WB-species-notes": "<p></p>", "ICCIF-species-checked": "guaranteed", "ICCIF-species-dilution-info": "", "ICCIF-species-notes": "", "FlowCytIntra-species-checked": "guaranteed", "FlowCytIntra-species-dilution-info": "", "FlowCytIntra-species-notes": "" } } }

Product details

ab214806 is the carrier-free version of ab137029.

Patented technology
Our RabMAb® technology is a patented hybridoma-based technology for making rabbit monoclonal antibodies. For details on our patents, please refer to RabMAb® patents.

What are the advantages of a recombinant monoclonal antibody?
This product is a recombinant monoclonal antibody, which offers several advantages including:

  • - High batch-to-batch consistency and reproducibility
  • - Improved sensitivity and specificity
  • - Long-term security of supply
  • - Animal-free batch production

For more information, read more on recombinant antibodies.

Conjugation ready
Our carrier-free antibodies are typically supplied in a PBS-only formulation, purified and free of BSA, sodium azide and glycerol. This conjugation-ready format is designed for use with fluorochromes, metal isotopes, oligonucleotides, and enzymes, which makes them ideal for antibody labelling, functional and cell-based assays, flow-based assays (e.g. mass cytometry) and Multiplex Imaging applications.

Use our conjugation kits for antibody conjugates that are ready-to-use in as little as 20 minutes with 1 minute hands-on-time and 100% antibody recovery: available for fluorescent dyes, HRP, biotin and gold.

Compatibility
This product is compatible with the Maxpar® Antibody Labeling Kit from Fluidigm, without the need for antibody preparation. Maxpar® is a trademark of Fluidigm Canada Inc.

Properties and storage information

Form
Liquid
Purification technique
Affinity purification Protein A
Storage buffer
pH: 7.2 - 7.4 Constituents: PBS
Shipped at conditions
Blue Ice
Appropriate short-term storage conditions
+4°C
Appropriate long-term storage conditions
+4°C
Storage information
Do Not Freeze

Supplementary information

This supplementary information is collated from multiple sources and compiled automatically.

RAB7 also known as RAB7A is a small GTPase belonging to the RAS oncogene family. It has a molecular mass of approximately 23 kDa. This protein plays an important role in the regulation of late endocytic trafficking. It is prominently expressed in the cytoplasmic compartments of various cell types and serves as an important late endosome marker. RAB7 controls the maturation of early endosomes into late endosomes and their subsequent fusion with lysosomes therefore influencing degradation pathways.
Biological function summary

RAB7 affects various processes including autophagy cell signaling and pathogen infection response. It often functions as part of the endosomal machinery and forms complexes with other proteins like RAB3GAP1 and RILP. These complexes help mediate vesicle transport and membrane trafficking processes which are essential for the maintenance of cellular homeostasis. RAB7 is significant in ensuring proper lysosomal positioning and function which is critical for cellular metabolism and degradation.

Pathways

RAB7 integrates into the endocytic and autophagic pathways by facilitating the transport between endosomes and lysosomes. It connects with the PI3K/AKT pathway impacting cell proliferation and survival. RAB7 also interacts with the retromer complex influencing the retrieval of receptors from endosomes. Proteins like FYCO1 and Prostaglandin E2 synthase can also cooperate with RAB7 in these pathways further establishing its role in cellular dynamics and signaling.

RAB7 has associations with Charcot-Marie-Tooth disease type 2B and cancer progression. Mutations in the RAB7 gene have been linked to neuropathic conditions leading to impaired motor and sensory function. In the context of cancer dysregulation of RAB7 expression can contribute to increased tumor growth and metastasis. RAB7 interacts with proteins such as MAPK and ARL8B which are involved in these diseases highlighting its importance in pathological conditions.

Product protocols

For this product, it's our understanding that no specific protocols are required. You can visit:

Target data

Small GTPase which cycles between active GTP-bound and inactive GDP-bound states. In its active state, binds to a variety of effector proteins playing a key role in the regulation of endo-lysosomal trafficking. Governs early-to-late endosomal maturation, microtubule minus-end as well as plus-end directed endosomal migration and positioning, and endosome-lysosome transport through different protein-protein interaction cascades. Plays a central role, not only in endosomal traffic, but also in many other cellular and physiological events, such as growth-factor-mediated cell signaling, nutrient-transportor mediated nutrient uptake, neurotrophin transport in the axons of neurons and lipid metabolism. Also involved in regulation of some specialized endosomal membrane trafficking, such as maturation of melanosomes, pathogen-induced phagosomes (or vacuoles) and autophagosomes. Plays a role in the maturation and acidification of phagosomes that engulf pathogens, such as S.aureus and M.tuberculosis. Plays a role in the fusion of phagosomes with lysosomes. Plays important roles in microbial pathogen infection and survival, as well as in participating in the life cycle of viruses. Microbial pathogens possess survival strategies governed by RAB7A, sometimes by employing RAB7A function (e.g. Salmonella) and sometimes by excluding RAB7A function (e.g. Mycobacterium). In concert with RAC1, plays a role in regulating the formation of RBs (ruffled borders) in osteoclasts. Controls the endosomal trafficking and neurite outgrowth signaling of NTRK1/TRKA (PubMed : 11179213, PubMed : 12944476, PubMed : 14617358, PubMed : 20028791, PubMed : 21255211). Regulates the endocytic trafficking of the EGF-EGFR complex by regulating its lysosomal degradation. Involved in the ADRB2-stimulated lipolysis through lipophagy, a cytosolic lipase-independent autophagic pathway (By similarity). Required for the exosomal release of SDCBP, CD63 and syndecan (PubMed : 22660413). Required for vesicular trafficking and cell surface expression of ACE2 (PubMed : 33147445). May play a role in PRPH neuronal intermediate filament assembly (By similarity).
See full target information RAB7A

Publications (2)

Recent publications for all applications. Explore the full list and refine your search

Autophagy :1-17 PubMed32397873

2020

Involvement of CASP9 (caspase 9) in IGF2R/CI-MPR endosomal transport.

Applications

Unspecified application

Species

Unspecified reactive species

Jie Han,Leslie A Goldstein,Wen Hou,Simon C Watkins,Hannah Rabinowich

Journal of virology 87:13053-8 PubMed24049170

2013

The human interferon-induced MxA protein inhibits early stages of influenza A virus infection by retaining the incoming viral genome in the cytoplasm.

Applications

ICC/IF

Species

Unspecified reactive species

Han Xiao,Marian J Killip,Peter Staeheli,Richard E Randall,David Jackson
View all publications

Product promise

We are committed to supporting your work with high-quality reagents, and we're here for you every step of the way. In the unlikely event that one of our products does not perform as expected, you're protected by our Product Promise.
For full details, please see our Terms & Conditions

Please note: All products are 'FOR RESEARCH USE ONLY. NOT FOR USE IN DIAGNOSTIC OR THERAPEUTIC PROCEDURES'.

For licensing inquiries, please contact partnerships@abcam.com