JavaScript is disabled in your browser. Please enable JavaScript to view this website.
AB137029

Anti-RAB7 antibody [EPR7589] - Late Endosome Marker

5

(24 Reviews)

|

(162 Publications)

Anti-RAB7 antibody [EPR7589] (ab137029) is a rabbit monoclonal antibody detecting RAB7 in Western Blot, Flow Cytometry (Intra), Flow Cytometry, IHC-P, ICC/IF. Suitable for Human, Mouse.

- KO validated for confirmed specificity
- Biophysical QC for unrivalled batch-batch consistency
- Over 100 publications

View Alternative Names

RAB7, RAB7A, Ras-related protein Rab-7a

14 Images
Immunocytochemistry/ Immunofluorescence - Anti-RAB7 antibody [EPR7589] - Late Endosome Marker (AB137029)
  • ICC/IF

Lab

Immunocytochemistry/ Immunofluorescence - Anti-RAB7 antibody [EPR7589] - Late Endosome Marker (AB137029)

Immunofluorescent analysis of 4% Paraformaldehyde-fixed, 0.1% tritonX-100 permeabilized NIH/3T3 (Mouse embryonic fibroblast cell line) cells labelling RAB7 with ab137029 at 1 : 250 dilution, followed by ab150077 AlexaFluor®488 Goat anti-Rabbit secondary antibody at 1 : 1000 dilution (Green). Confocal image showing cytoplasmic staining on NIH/3T3 cell line is observed. ab195889 Anti-alpha Tubulin antibody [DM1A] - Microtubule Marker (Alexa Fluor® 594) was used to counterstain tubulin at 1 : 200 dilution (Red). The Nuclear counterstain was DAPI (Blue). Secondary antibody only control : Used PBS instead of primary antibody, secondary antibody is ab150077 AlexaFluor®488 Goat anti-Rabbit secondary at 1 : 1000 dilution.

Immunocytochemistry/ Immunofluorescence - Anti-RAB7 antibody [EPR7589] - Late Endosome Marker (AB137029)
  • ICC/IF

Supplier Data

Immunocytochemistry/ Immunofluorescence - Anti-RAB7 antibody [EPR7589] - Late Endosome Marker (AB137029)

ab137029 was shown to react with RAB7 in wild-type HeLa cells in immunocytochemistry with loss of signal observed in RAB7 knockout cell line ab255423. Wild-type and knockout cells were mixed and pelleted at a 1 : 1 ratio on coverslips. The cells were fixed with 4% paraformaldehyde (15 min) then permeabilized with 0.1% Triton X-100 (10min) and then blocked with 1x PBS, 0.01% Triton X-100, 5% BSA, 5% NGS. The cells were then incubated with ab137029 at 1/100 dilution overnight at 4°C followed by a further incubation at room temperature for 1h with a goat anti-rabbit secondary antibody to (Alexa Fluor® 555) at 0.5 µg/ml. Acquisition of the green (wild-type), red (antibody staining) and far-red (knockout) channels was performed. Representative grayscale images of the red channel are shown. Wild-type and knockout cells are outlined with yellow and magenta dashed line, respectively. Schematic representation of the mosaic strategy used is shown on the bottom-right panel. Image was acquired with a Zeiss(LSM-880).

This data was provided by YCharOS Inc., an open science company with the mission of characterizing commercially available antibody reagents for all human proteins. Abcam and YCharOS are working together to help address the reproducibility crisis by enabling the life science community to better evaluate commercially available antibodies.

Flow Cytometry (Intracellular) - Anti-RAB7 antibody [EPR7589] - Late Endosome Marker (AB137029)
  • Flow Cyt (Intra)

Lab

Flow Cytometry (Intracellular) - Anti-RAB7 antibody [EPR7589] - Late Endosome Marker (AB137029)

Overlay histogram showing HAP1 wildtype (green line) and HAP1-RAB7 knockout cells (red line) stained with ab137029. The cells were fixed with 4% formaldehyde (10 min) and then permeabilized with 0.1% PBS-Triton X-100 for 15 min. The cells were then incubated in 1x PBS / 10% normal goat serum to block non-specific protein-protein interactions followed by the antibody (ab137029, 0.1μg/ml) for 30 min at 22°C. The secondary antibody used was Alexa Fluor® 488 goat anti-rabbit IgG (H&L) (ab150081) at 1/2000 dilution for 30 min at 22°C. A rabbit IgG1 isotype control antibody (ab172730) was used at the same concentration and conditions as the primary antibody (HAP1 wildtype - black line, HAP1-RAB7 knockout - grey line). Unlabelled sample was also used as a control (this line is not shown for the purpose of simplicity). Acquisition of >5,000 events were collected using a 50 mW Blue laser (488nm) and 530/30 bandpass filter. This antibody can also be used in HAP1 cells fixed with 80% methanol (5 min) permeabilized with 0.1% PBS-Triton X-100 for 15 min under the same conditions.

Immunocytochemistry/ Immunofluorescence - Anti-RAB7 antibody [EPR7589] - Late Endosome Marker (AB137029)
  • ICC/IF

Unknown

Immunocytochemistry/ Immunofluorescence - Anti-RAB7 antibody [EPR7589] - Late Endosome Marker (AB137029)

Immunocytochemistry/Immunofluorescence analysis of HeLa (human epithelial cell line from cervix adenocarcinoma) labelling RAB7 with purified ab137029 at 1/500. Cells were fixed with 100% methanol. An Alexa Fluor® 488-conjugated goat anti-rabbit IgG (1/1000) was used as the secondary antibody (ab150077). Nuclei counterstained with DAPI (blue).

Immunocytochemistry/ Immunofluorescence - Anti-RAB7 antibody [EPR7589] - Late Endosome Marker (AB137029)
  • ICC/IF

AbReview36175****

Immunocytochemistry/ Immunofluorescence - Anti-RAB7 antibody [EPR7589] - Late Endosome Marker (AB137029)

ab137029 staining RAB7 in Human HepaRG cell by ICC/IF (Immunocytochemistry/immunofluorescence). Cells were fixed with formaldehyde, permeabilized with 0.1% Triton X-100 in PBS and blocked with 1% milk for 30 minutes at room temperature. Samples were incubated with primary antibody (1/200 in 1% milk) for 30 minutes. An Alexa Fluor®488-conjugated Donkey anti-rabbit IgG polyclonal (1/400) was used as the secondary antibody.

This image is courtesy of an Abreview submitted by Alina Macovei

Immunohistochemistry (Formalin/PFA-fixed paraffin-embedded sections) - Anti-RAB7 antibody [EPR7589] - Late Endosome Marker (AB137029)
  • IHC-P

Unknown

Immunohistochemistry (Formalin/PFA-fixed paraffin-embedded sections) - Anti-RAB7 antibody [EPR7589] - Late Endosome Marker (AB137029)

Immunohistochemical analysis of paraffin embedded Human kidney tissue labelling RAB7 with ab137029 at 1/50 dilution.

Perform heat mediated antigen retrieval with citrate buffer pH 6 before commencing with IHC staining protocol.

Flow Cytometry (Intracellular) - Anti-RAB7 antibody [EPR7589] - Late Endosome Marker (AB137029)
  • Flow Cyt (Intra)

Lab

Flow Cytometry (Intracellular) - Anti-RAB7 antibody [EPR7589] - Late Endosome Marker (AB137029)

Intracellular Flow Cytometry analysis of A431 (human epidermoid carcinoma cell line) cells labeling RAB7 with purified ab137029 at 1/20 dilution (10ug/ml) (red). Cells were fixed with 4% paraformaldehyde and permeabilised with 90% methanol. A Goat anti rabbit IgG (Alexa Fluor® 488) (1/2000 dilution) was used as the secondary antibody. Rabbit monoclonal IgG (Black) was used as the isotype control, cells without incubation with primary antibody and secondary antibody (Blue) was used as the unlabeled control.

Immunohistochemistry (Formalin/PFA-fixed paraffin-embedded sections) - Anti-RAB7 antibody [EPR7589] - Late Endosome Marker (AB137029)
  • IHC-P

Lab

Immunohistochemistry (Formalin/PFA-fixed paraffin-embedded sections) - Anti-RAB7 antibody [EPR7589] - Late Endosome Marker (AB137029)

Immunohistochemical analysis of formalin fixed paraffin embedded human kidney labelling RAB7 with ab137029 at a concentration of 0.5µg/ml. The immunostaining was performed on a Ventana DISCOVERY ULTRA (Roche Tissue Diagnostics) instrument with a ChromoMap DAB kit and anti-rabbit HQ and anti-HQ HRP detection. Heat mediated antigen retrieval was performed with DISCOVERY cell conditioning solution (CC1) 100°C, pH8.5 for 32mins. ab137029 Anti-RAB7 antibody [EPR7589] was incubated for 16mins at 37°C. Sections were counterstained with Hematoxylin II. Image inset shows absence of staining in secondary antibody only control.

Customers are encouraged to optimise antigen retrieval conditions, antibody concentration, incubation times and temperature for best results in their own IHC assay workflow (automated and manual)

Western blot - Anti-RAB7 antibody [EPR7589] - Late Endosome Marker (AB137029)
  • WB

Lab

Western blot - Anti-RAB7 antibody [EPR7589] - Late Endosome Marker (AB137029)

Lane 1 : Wild-type HAP1 cell lysate (20 μg)
Lane 2 : RAB7 knockout HAP1 cell lysate (20 μg)
Lane 3 : A431 cell lysate (20 μg)
Lane 4 : Human fetal brain tissue lysate (20 μg)
Lanes 1 - 4 : Merged signal (red and green). Green - ab137029 observed at 24 kDa. Red - loading control, ab8245, observed at 37 kDa.

ab137029 was shown to specifically react with RAB7 in wild-type HAP1 cells. No band was observed when RAB7 knockout samples were examined. Wild-type and RAB7 knockout samples were subjected to SDS-PAGE. ab137029 and ab8245 (loading control to GAPDH) were both diluted 1/1000 and incubated overnight at 4°C. Blots were developed with Goat anti-Rabbit IgG H&L (IRDye® 800CW) preadsorbed (ab216773) and Goat anti-Mouse IgG H&L (IRDye® 680RD) preadsorbed (ab216776) secondary antibodies at 1/10 000 dilution for 1 hour at room temperature before imaging.

All lanes:

Western blot - Anti-RAB7 antibody [EPR7589] - Late Endosome Marker (ab137029)

false

Western blot - Anti-RAB7 antibody [EPR7589] - Late Endosome Marker (AB137029)
  • WB

Lab

Western blot - Anti-RAB7 antibody [EPR7589] - Late Endosome Marker (AB137029)

Lanes 1 - 2 : Merged signal (red and green). Green - ab137029 observed at 23 kDa. Red - loading control ab7291 (Mouse anti-Alpha Tubulin [DM1A]) observed at 55 kDa.

ab137029 was shown to react with RAB7 in wild-type HeLa cells in Western blot with loss of signal observed in RAB7A knockout cell line ab255423 (RAB7A knockout cell lysate ab263831). Wild-type HeLa and RAB7A knockout cell lysates were subjected to SDS-PAGE. Membranes were blocked in 3 % milk in TBS-T (0.1 % Tween®) before incubation with ab137029 and ab7291 (Mouse anti-Alpha Tubulin [DM1A]) overnight at 4 °C at a 1 in 1000 dilution and a 1 in 20000 dilution respectively. Blots were incubated with Goat anti-Rabbit IgG H&L (IRDye® 800CW) preabsorbed (ab216773) and Goat anti-Mouse IgG H&L (IRDye® 680RD) preabsorbed (ab216776) secondary antibodies at 1 in 20000 dilution for 1 h at room temperature before imaging.

All lanes:

Western blot - Anti-RAB7 antibody [EPR7589] - Late Endosome Marker (ab137029) at 1/1000 dilution

Lane 1:

Wild-type HeLa cell lysate at 20 µg

Lane 2:

RAB7A knockout HeLa cell lysate at 20 µg

Lane 2:

Western blot - Human RAB7A (RAB7) knockout HeLa cell line (<a href='/en-us/products/cell-lines/human-rab7a-rab7-knockout-hela-cell-line-ab255423'>ab255423</a>)

Observed band size: 23 kDa

false

Western blot - Anti-RAB7 antibody [EPR7589] - Late Endosome Marker (AB137029)
  • WB

Supplier Data

Western blot - Anti-RAB7 antibody [EPR7589] - Late Endosome Marker (AB137029)

ab137029 was shown to react with RAB7 in wild-type HeLa cells in Western blot with loss of signal observed in RAB7 knockout cell line ab255423. Wild-type HeLa and RAB7 knockout cell lysates were subjected to SDS-PAGE. Membranes were blocked in 5% milk in TBST for 1 hour before incubation with ab137029 overnight at 4°C at a 1/1000 dilution. Blots were incubated with secondary antibodies at 0.2 µg/mL before imaging.

This data was provided by YCharOS Inc., an open science company with the mission of characterizing commercially available antibody reagents for all human proteins. Abcam and YCharOS are working together to help address the reproducibility crisis by enabling the life science community to better evaluate commercially available antibodies.

All lanes:

Western blot - Anti-RAB7 antibody [EPR7589] - Late Endosome Marker (ab137029) at 1/1000 dilution

Lane 1:

Wild-type HeLa lysate at 40 µg

Lane 2:

RAB7 knock-out HeLa lysate at 40 µg

false

Western blot - Anti-RAB7 antibody [EPR7589] - Late Endosome Marker (AB137029)
  • WB

Unknown

Western blot - Anti-RAB7 antibody [EPR7589] - Late Endosome Marker (AB137029)

All lanes:

Western blot - Anti-RAB7 antibody [EPR7589] - Late Endosome Marker (ab137029) at 1/1000 dilution

Lane 1:

A375 (human malignant melanoma cell line) cell lysate at 10 µg

Lane 2:

A431 (human epidermoid carcinoma cell line) cell lysate at 10 µg

Lane 3:

U87 MG (human glioblastoma-astrocytoma epithelial cell line) cell lysate at 10 µg

Lane 4:

HT 1080 (human fibrosarcoma cell line) cell lysate at 10 µg

Lane 5:

L929 (mouse connective tissue fibroblast cell line) cell lysate at 10 µg

Lane 6:

NIH 3T3 (mouse embyro fibroblast cell line) cell lysate at 10 µg

Lane 7:

Raw 264.7 (mouse macrophage cell line transformed with Abelson murine leukemia virus) cell lysate at 10 µg

Lane 8:

C2C12 (mouse myoblast cell line) cell lysate at 10 µg

Secondary

All lanes:

HRP conjugated Goat anti Rabbit IgG at 1/2000 dilution

false

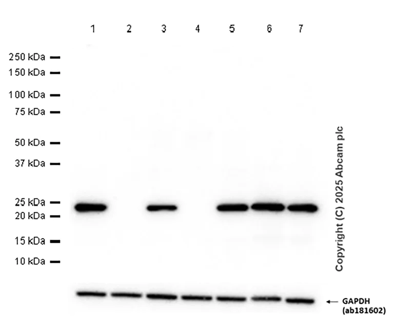
Western blot - Anti-RAB7 antibody [EPR7589] - Late Endosome Marker (AB137029)
  • WB

Lab

Western blot - Anti-RAB7 antibody [EPR7589] - Late Endosome Marker (AB137029)

All lanes:

Western blot - Anti-RAB7 antibody [EPR7589] - Late Endosome Marker (ab137029) at 1/1000 dilution

Lane 1:

A375 (Human malignant melanoma epithelial cell) whole cell lysates at 15 µg

Lane 2:

HT-1080 (Human fibrosarcoma epithelial cell) whole cell lysates at 15 µg

Secondary

All lanes:

Western blot - Goat Anti-Rabbit IgG H&L (HRP) (<a href='/en-us/products/secondary-antibodies/goat-rabbit-igg-h-l-hrp-ab97051'>ab97051</a>) at 1/20000 dilution

Observed band size: 23 kDa

false

Western blot - Anti-RAB7 antibody [EPR7589] - Late Endosome Marker (AB137029)
  • WB

Lab

Western blot - Anti-RAB7 antibody [EPR7589] - Late Endosome Marker (AB137029)

Blocking and diluting buffer and concentration : 5% NFDM/TBST.

In Western blot, Anti-GAPDH antibody [EPR16891] - Loading Control (ab181602) staining at 1/1000000 dilution.

All lanes:

Western blot - Anti-RAB7 antibody [EPR7589] - Late Endosome Marker (ab137029) at 1/1000 dilution

Lane 1:

Wild-type HAP1 whole cell lysate at 20 µg

Lane 2:

RAB7 knockout HAP1 whole cell lysate at 20 µg

Lane 3:

Wild-type HeLa whole cell lysate at 20 µg

Lane 4:

RAB7A knockout HeLa whole cell lysate at 20 µg

Lane 5:

A375 (human malignant melanoma cell line) cell lysate at 20 µg

Lane 6:

C6 (rat glial tumor glial cell), whole cell lysate at 20 µg

Lane 7:

Raw 264.7 (mouse macrophage cell line transformed with Abelson murine leukemia virus) cell lysate at 20 µg

Secondary

All lanes:

Western blot - Goat Anti-Rabbit IgG H&L (HRP) (<a href='/en-us/products/secondary-antibodies/goat-rabbit-igg-h-l-hrp-ab97051'>ab97051</a>) at 1/20000 dilution

Observed band size: 23 kDa

false

Exposure time: 20s

  • 665 Alexa Fluor® 647

    Alexa Fluor® 647 Anti-RAB7 antibody [EPR7589] - Late Endosome Marker

  • Carrier free

    Anti-RAB7 antibody [EPR7589] - BSA and Azide free

  • 578 PE

    PE Anti-RAB7 antibody [EPR7589] - Late Endosome Marker

  • 660 APC

    APC Anti-RAB7 antibody [EPR7589] - Late Endosome Marker

  • HRP

    HRP Anti-RAB7 antibody [EPR7589] - Late Endosome Marker

  • 617 Alexa Fluor® 594

    Alexa Fluor® 594 Anti-RAB7 antibody [EPR7589] - Late Endosome Marker

  • 519 Alexa Fluor® 488

    Alexa Fluor® 488 Anti-RAB7 antibody [EPR7589] - Late Endosome Marker

  • 603 Alexa Fluor® 568

    Alexa Fluor® 568 Anti-RAB7 antibody [EPR7589] - Late Endosome Marker

  • 565 Alexa Fluor® 555

    Alexa Fluor® 555 Anti-RAB7 antibody [EPR7589] - Late Endosome Marker

  • 775 Alexa Fluor® 750

    Alexa Fluor® 750 Anti-RAB7 antibody [EPR7589] - Late Endosome Marker

Key facts

Host species

Rabbit

Clonality

Monoclonal

Clone number

EPR7589

Isotype

IgG

Carrier free

No

Reacts with

Mouse, Rat, Human

Applications

ICC/IF, Flow Cyt (Intra), IHC-P, WB

applications

Immunogen

The exact immunogen used to generate this antibody is proprietary information.

Reactivity data

{ "title": "Reactivity Data", "filters": { "stats": ["", "Species", "Dilution Info", "Notes"], "tabs": { "all-applications": {"fullname" : "All Applications", "shortname": "All Applications"}, "IHCP" : {"fullname" : "Immunohistochemistry (Formalin/PFA-fixed paraffin-embedded sections)", "shortname":"IHC-P"}, "IP" : {"fullname" : "Immunoprecipitation", "shortname":"IP"}, "WB" : {"fullname" : "Western blot", "shortname":"WB"}, "ICCIF" : {"fullname" : "Immunocytochemistry/ Immunofluorescence", "shortname":"ICC/IF"}, "FlowCytIntra" : {"fullname" : "Flow Cytometry (Intracellular)", "shortname":"Flow Cyt (Intra)"} }, "product-promise": { "all": "all", "testedAndGuaranteed": "tested", "guaranteed": "expected", "predicted": "predicted", "notRecommended": "not-recommended" } }, "values": { "Human": { "IHCP-species-checked": "testedAndGuaranteed", "IHCP-species-dilution-info": "1/50 - 1/100", "IHCP-species-notes": "<p></p> Perform heat-mediated antigen retrieval with citrate buffer pH 6 before commencing with IHC staining protocol.", "IP-species-checked": "notRecommended", "IP-species-dilution-info": "", "IP-species-notes": "<p></p>", "WB-species-checked": "testedAndGuaranteed", "WB-species-dilution-info": "1/1000 - 1/10000", "WB-species-notes": "<p></p>", "ICCIF-species-checked": "testedAndGuaranteed", "ICCIF-species-dilution-info": "1/100 - 1/500", "ICCIF-species-notes": "<p></p>", "FlowCytIntra-species-checked": "testedAndGuaranteed", "FlowCytIntra-species-dilution-info": "1/10 - 1/100", "FlowCytIntra-species-notes": "<p><a href='/en-us/products/primary-antibodies/rabbit-igg-monoclonal-epr25a-isotype-control-ab172730'>ab172730</a> - Rabbit monoclonal IgG, is suitable for use as an isotype control with this antibody.</p>" }, "Mouse": { "IHCP-species-checked": "guaranteed", "IHCP-species-dilution-info": "", "IHCP-species-notes": "", "IP-species-checked": "notRecommended", "IP-species-dilution-info": "", "IP-species-notes": "<p></p>", "WB-species-checked": "testedAndGuaranteed", "WB-species-dilution-info": "1/1000", "WB-species-notes": "<p></p>", "ICCIF-species-checked": "testedAndGuaranteed", "ICCIF-species-dilution-info": "1/100 - 1/500", "ICCIF-species-notes": "<p></p>", "FlowCytIntra-species-checked": "guaranteed", "FlowCytIntra-species-dilution-info": "", "FlowCytIntra-species-notes": "" }, "Rat": { "IHCP-species-checked": "guaranteed", "IHCP-species-dilution-info": "", "IHCP-species-notes": "", "IP-species-checked": "notRecommended", "IP-species-dilution-info": "", "IP-species-notes": "", "WB-species-checked": "testedAndGuaranteed", "WB-species-dilution-info": "1/1000", "WB-species-notes": "<p></p>", "ICCIF-species-checked": "guaranteed", "ICCIF-species-dilution-info": "", "ICCIF-species-notes": "", "FlowCytIntra-species-checked": "guaranteed", "FlowCytIntra-species-dilution-info": "", "FlowCytIntra-species-notes": "" } } }

Product details

Product Specifications
Anti-RAB7 antibody [EPR7589] (ab137029) was developed by Abcam using patented rabbit monoclonal antibody technology and is validated for use in Flow Cyt (Intra), ICC/IF, IHC-P, WB in human, mouse samples.
Anti-RAB7 antibody [EPR7589] (ab137029) specifically detects RAB7 (UniProt ID: P51149; Molecular weight: 23kDa) and is sold in 100 µL and 1 mL selling sizes.

Quality and Validation
Abcam's high quality manufacturing and validation processes ensure Anti-RAB7 antibody [EPR7589] (ab137029) has high sensitivity and specificity alongside high lot-to-lot consistency and reproducibility.
The specificity of Anti-RAB7 antibody [EPR7589] (ab137029) has been confirmed by testing in knockout samples.
Anti-RAB7 antibody [EPR7589] (ab137029) has been cited over 108 times in peer reviewed journals and is trusted by the scientific community.
Anti-RAB7 antibody [EPR7589] (ab137029) has 23 independent reviews from customers.

Related Products
Antibody clone EPR7589 is also available pre-conjugated to a variety of labels for your convenience - Alexa Fluor® 647, PE, APC, HRP, Alkaline Phosphatase, Alexa Fluor® 488, Alexa Fluor® 594, Alexa Fluor® 555, Alexa Fluor® 568, Alexa Fluor® 750 (ab198337, ab303025, ab303026, ab303027, ab308807, ab309756, ab310537, ab312068, ab312545, ab321100).

Patented technology
Our RabMAb® technology is a patented hybridoma-based technology for making rabbit monoclonal antibodies. For details on our patents, please refer to RabMAb® patents.

What are the advantages of a recombinant monoclonal antibody?
This product is a recombinant monoclonal antibody, which offers several advantages including:

  • - High batch-to-batch consistency and reproducibility
  • - Improved sensitivity and specificity
  • - Long-term security of supply
  • - Animal-free batch production

For more information, read more on recombinant antibodies.

Properties and storage information

Form
Liquid
Purification technique
Affinity purification Protein A
Storage buffer
pH: 7.2 - 7.4 Preservative: 0.01% Sodium azide Constituents: PBS, 40% Glycerol (glycerin, glycerine), 0.31% Sodium citrate, 0.175% Sodium chloride, 0.05% BSA, 0.0172% EDTA
Shipped at conditions
Blue Ice
Appropriate short-term storage conditions
+4°C
Appropriate long-term storage conditions
-20°C
Storage information
Stable for 12 months at -20°C

Supplementary information

This supplementary information is collated from multiple sources and compiled automatically.

RAB7 also known as RAB7A is a small GTPase belonging to the RAS oncogene family. It has a molecular mass of approximately 23 kDa. This protein plays an important role in the regulation of late endocytic trafficking. It is prominently expressed in the cytoplasmic compartments of various cell types and serves as an important late endosome marker. RAB7 controls the maturation of early endosomes into late endosomes and their subsequent fusion with lysosomes therefore influencing degradation pathways.
Biological function summary

RAB7 affects various processes including autophagy cell signaling and pathogen infection response. It often functions as part of the endosomal machinery and forms complexes with other proteins like RAB3GAP1 and RILP. These complexes help mediate vesicle transport and membrane trafficking processes which are essential for the maintenance of cellular homeostasis. RAB7 is significant in ensuring proper lysosomal positioning and function which is critical for cellular metabolism and degradation.

Pathways

RAB7 integrates into the endocytic and autophagic pathways by facilitating the transport between endosomes and lysosomes. It connects with the PI3K/AKT pathway impacting cell proliferation and survival. RAB7 also interacts with the retromer complex influencing the retrieval of receptors from endosomes. Proteins like FYCO1 and Prostaglandin E2 synthase can also cooperate with RAB7 in these pathways further establishing its role in cellular dynamics and signaling.

RAB7 has associations with Charcot-Marie-Tooth disease type 2B and cancer progression. Mutations in the RAB7 gene have been linked to neuropathic conditions leading to impaired motor and sensory function. In the context of cancer dysregulation of RAB7 expression can contribute to increased tumor growth and metastasis. RAB7 interacts with proteins such as MAPK and ARL8B which are involved in these diseases highlighting its importance in pathological conditions.

Product protocols

For this product, it's our understanding that no specific protocols are required. You can visit:

Target data

Small GTPase which cycles between active GTP-bound and inactive GDP-bound states. In its active state, binds to a variety of effector proteins playing a key role in the regulation of endo-lysosomal trafficking. Governs early-to-late endosomal maturation, microtubule minus-end as well as plus-end directed endosomal migration and positioning, and endosome-lysosome transport through different protein-protein interaction cascades. Plays a central role, not only in endosomal traffic, but also in many other cellular and physiological events, such as growth-factor-mediated cell signaling, nutrient-transportor mediated nutrient uptake, neurotrophin transport in the axons of neurons and lipid metabolism. Also involved in regulation of some specialized endosomal membrane trafficking, such as maturation of melanosomes, pathogen-induced phagosomes (or vacuoles) and autophagosomes. Plays a role in the maturation and acidification of phagosomes that engulf pathogens, such as S.aureus and M.tuberculosis. Plays a role in the fusion of phagosomes with lysosomes. Plays important roles in microbial pathogen infection and survival, as well as in participating in the life cycle of viruses. Microbial pathogens possess survival strategies governed by RAB7A, sometimes by employing RAB7A function (e.g. Salmonella) and sometimes by excluding RAB7A function (e.g. Mycobacterium). In concert with RAC1, plays a role in regulating the formation of RBs (ruffled borders) in osteoclasts. Controls the endosomal trafficking and neurite outgrowth signaling of NTRK1/TRKA (PubMed : 11179213, PubMed : 12944476, PubMed : 14617358, PubMed : 20028791, PubMed : 21255211). Regulates the endocytic trafficking of the EGF-EGFR complex by regulating its lysosomal degradation. Involved in the ADRB2-stimulated lipolysis through lipophagy, a cytosolic lipase-independent autophagic pathway (By similarity). Required for the exosomal release of SDCBP, CD63 and syndecan (PubMed : 22660413). Required for vesicular trafficking and cell surface expression of ACE2 (PubMed : 33147445). May play a role in PRPH neuronal intermediate filament assembly (By similarity).
See full target information RAB7A

Publications (162)

Recent publications for all applications. Explore the full list and refine your search

Frontiers in oncology 15:1616519 PubMed41059303

2025

Targeting RAB7 in human B lymphoma by a small molecule inhibitor arrests tumor cell growth.

Applications

Unspecified application

Species

Unspecified reactive species

Maria Fernandez,Rui Wang,Jingwei Wang,Shuai Wu,Kenneth Holder,Alia Nazarullah,Ricardo C T Aguiar,Zijun Y Xu-Monette,Ken H Young,Hui Yan,Zhenming Xu

Acta neuropathologica communications 13:203 PubMed41024170

2025

Rab7a is required to degrade select blood-brain barrier junctional proteins after ischemic stroke.

Applications

Unspecified application

Species

Unspecified reactive species

Azzurra Cottarelli,Danny Jamoul,Mary Claire Tuohy,Sanjid Shahriar,Michael Glendinning,Grace Prochilo,Aimee L Edinger,Ahmet Arac,Dritan Agalliu

Frontiers in cell and developmental biology 13:1621648 PubMed40995561

2025

Tcirg1 deficiency delays osteoarthritis progression by impairing lysosome acidification and peripheral accumulation in osteoclasts.

Applications

Unspecified application

Species

Unspecified reactive species

Rui Sun,Yang Yang,Qi Ma,Gang Wu,Zhibin Lan,Di Xue,Zhirong Chen,Yajing Su,Zhaopu Tuo,Jiangbo Yan,Long Ma,Xin Zhao,Kuanmin Tian,Xiaoxin He,Ye Ma,Xue Lin,Qunhua Jin

Nature protocols : PubMed40940523

2025

Labeling, isolation and characterization of cell-type-specific exosomes derived from mouse skin tissue.

Applications

Unspecified application

Species

Unspecified reactive species

Anita Yadav,Anu Sharma,Mohini Moulick,Parmeshwar V Gavande,Aparajita Nandy,Yi Xuan,Chandan K Sen,Subhadip Ghatak

Scientific reports 15:31799 PubMed40877447

2025

AntimiR uptake by human proximal tubule epithelial cells is predominantly by macropinocytosis.

Applications

Unspecified application

Species

Unspecified reactive species

Emily K Glover,Rolando Berlinguer-Palmini,Emily R Thompson,Colin Wilson,Laura Denby,Gary Reynolds,Simi Ali,Martin Lowe,Rachel Lennon,Neil S Sheerin

iScience 28:112974 PubMed40687831

2025

Mutation T9I in Envelope confers autophagy resistance to SARS-CoV-2 Omicron.

Applications

Unspecified application

Species

Unspecified reactive species

Susanne Klute,Rayhane Nchioua,Arne Cordsmeier,Jyoti Vishwakarma,Lennart Koepke,Hala Alshammary,Christoph Jung,Maximilian Hirschenberger,Helene Hoenigsperger,Jana-Romana Fischer,Rinu Sivarajan,Fabian Zech,Steffen Stenger,Ruth Serra-Moreno,Ana Silvia Gonzalez-Reiche,Emilia Mia Sordillo,Harm van Bakel,Viviana Simon,Frank Kirchhoff,Timo Jacob,Dorota Kmiec,Andreas Pichlmair,Armin Ensser,Konstantin Maria Johannes Sparrer

Nature 644:516-526 PubMed40681898

2025

Pathology-oriented multiplexing enables integrative disease mapping.

Applications

Unspecified application

Species

Unspecified reactive species

Malte Kuehl,Yusuke Okabayashi,Milagros N Wong,Lukas Gernhold,Gabriele Gut,Nico Kaiser,Maria Schwerk,Stefanie K Gräfe,Frank Y Ma,Jovan Tanevski,Philipp S L Schäfer,Sam Mezher,Jacobo Sarabia Del Castillo,Thiago Goldbeck-Strieder,Olga Zolotareva,Michael Hartung,Fernando M Delgado Chaves,Lukas Klinkert,Ann-Christin Gnirck,Marc Spehr,David Fleck,Mehdi Joodaki,Victor Parra,Mina Shaigan,Martin Diebold,Marco Prinz,Jennifer Kranz,Johan M Kux,Fabian Braun,Oliver Kretz,Hui Wu,Florian Grahammer,Sven Heins,Marina Zimmermann,Fabian Haas,Dominik Kylies,Nicola Wanner,Jan Czogalla,Bernhard Dumoulin,Nikolay Zolotarev,Maja Lindenmeyer,Pall Karlson,Jens R Nyengaard,Marcial Sebode,Sören Weidemann,Thorsten Wiech,Hermann-Josef Groene,Nicola M Tomas,Catherine Meyer-Schwesinger,Christoph Kuppe,Rafael Kramann,Alexandre Karras,Patrick Bruneval,Pierre-Louis Tharaux,Diego Pastene,Benito Yard,Jennifer A Schaub,Phillip J McCown,Laura Pyle,Ye Ji Choi,Takashi Yokoo,Jan Baumbach,Pablo J Sáez,Ivan Costa,Jan-Eric Turner,Jeffrey B Hodgin,Julio Saez-Rodriguez,Tobias B Huber,Petter Bjornstad,Matthias Kretzler,Olivia Lenoir,David J Nikolic-Paterson,Lucas Pelkmans,Stefan Bonn,Victor G Puelles

Proceedings of the National Academy of Sciences of the United States of America 122:e2501111122 PubMed40587794

2025

Identification of a VPS29 isoform with restricted association to Retriever and Retromer accessory proteins through autoinhibition.

Applications

Unspecified application

Species

Unspecified reactive species

James L Daly,Kai-En Chen,Rebeka Butkovič,Qian Guo,Michael D Healy,Eva Pennink,Georgia Gamble-Strutt,Zara Higham,Edmund R R Moody,Philip A Lewis,Kate J Heesom,Tom A Williams,Kirsty J McMillan,Brett M Collins,Peter J Cullen

International journal of molecular sciences 26: PubMed40141286

2025

Methamphetamine and Methamphetamine-Induced Neuronal Exosomes Modulate the Activity of Rab7a via PTEN to Exert an Influence on the Disordered Autophagic Flux Induced in Neurons.

Applications

Unspecified application

Species

Unspecified reactive species

Hai Qiu,Manting Zhang,Minchun Li,Chuanxiang Chen,Huijun Wang,Xia Yue

Cell death & disease 16:201 PubMed40133274

2025

ATP6AP1 promotes cell proliferation and tamoxifen resistance in luminal breast cancer by inducing autophagy.

Applications

Unspecified application

Species

Unspecified reactive species

Zhengwei Yan,Aidi Huang,Dongwen Ma,Chenao Hong,Shengmiao Zhang,Luling He,Hai Rao,Shiwen Luo
View all publications

Product promise

We are committed to supporting your work with high-quality reagents, and we're here for you every step of the way. In the unlikely event that one of our products does not perform as expected, you're protected by our Product Promise.
For full details, please see our Terms & Conditions

Please note: All products are 'FOR RESEARCH USE ONLY. NOT FOR USE IN DIAGNOSTIC OR THERAPEUTIC PROCEDURES'.

For licensing inquiries, please contact partnerships@abcam.com