JavaScript is disabled in your browser. Please enable JavaScript to view this website.
AB302494

Anti-RAB7 (phospho S72) antibody [MJF-R38-1]

Be the first to review this product! Submit a review

|

(8 Publications)

Rabbit Recombinant Monoclonal RAB7 phospho S72 antibody. Suitable for IHC-P, WB, Dot and reacts with Human, Transfected cell lysate - Human samples. Cited in 8 publications.

View Alternative Names

RAB7, RAB7A, Ras-related protein Rab-7a

3 Images
Immunohistochemistry (Formalin/PFA-fixed paraffin-embedded sections) - Anti-RAB7 (phospho S72) antibody [MJF-R38-1] (AB302494)
  • IHC-P

Lab

Immunohistochemistry (Formalin/PFA-fixed paraffin-embedded sections) - Anti-RAB7 (phospho S72) antibody [MJF-R38-1] (AB302494)

Immunohistochemical analysis of paraffin-embedded human stomach labeling RAB7 (phospho S72) with ab302494 at 1/100 dilution followed by a ready to use Leica DS9800 (BOND Polymer Refine Detection) kit.

Positive staining on human stomach without alkaline phosphatase treatment (image A). No signal was detected when tissues were treated with alkaline phosphatase (image B).

The section was incubated with ab302494 for 30 mins at room temperature. The immunostaining was performed on a Leica Biosystems BOND® RX instrument.

Counterstained with Hematoxylin.

Secondary antibody only control : Secondary antibody is a ready to use LeicaDS9800 (BOND Polymer Refine Detection).

Heat mediated antigen retrieval with Tris-EDTA buffer (pH 9.0, epitope retrieval solution2) for 20 mins.

Immunohistochemistry (Formalin/PFA-fixed paraffin-embedded sections) - Anti-RAB7 (phospho S72) antibody [MJF-R38-1] (AB302494)
  • IHC-P

Lab

Immunohistochemistry (Formalin/PFA-fixed paraffin-embedded sections) - Anti-RAB7 (phospho S72) antibody [MJF-R38-1] (AB302494)

Immunohistochemical analysis of paraffin-embedded human bladder cancer labeling RAB7 (phospho S72) with ab302494 at 1/100 dilution followed by a ready to use Leica DS9800 (BOND Polymer Refine Detection) kit.

Positive staining on human bladder cancer without alkaline phosphatase treatment (image A). No signal was detected when tissues were treated with alkaline phosphatase (image B).

The section was incubated with ab302494 for 30 mins at room temperature. The immunostaining was performed on a Leica Biosystems BOND® RX instrument.

Counterstained with Hematoxylin.

Secondary antibody only control : Secondary antibody is a ready to use LeicaDS9800 (BOND Polymer Refine Detection).

Heat mediated antigen retrieval with Tris-EDTA buffer (pH 9.0, epitope retrieval solution2) for 20 mins.

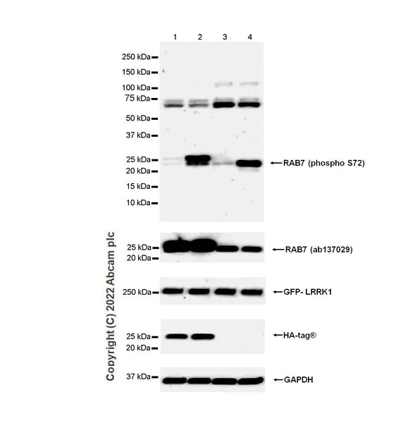
Western blot - Anti-RAB7 (phospho S72) antibody [MJF-R38-1] (AB302494)
  • WB

Lab

Western blot - Anti-RAB7 (phospho S72) antibody [MJF-R38-1] (AB302494)

Blocking and diluting buffer and concentration : 5% NFDM/TBST.

In Western blot, Anti-GAPDH antibody [EPR16891] - Loading Control (ab181602) staining.

The D1409A mutation of LRRK1 results in loss of its kinase activity while the K746G mutation results in enhanced kinase activity (PMID : 33459343).

25 kDa RAB7 represents the exogenous transfected HA-RAB7, while 23 kDa RAB7 represents the endogenous RAB7 in HEK-293T.

The identity of the bands at approximately 70 kDa is unknown.

All the lysates were kindly provided by Dr. Dario Alessi, University of Dundee.

All lanes:

Western blot - Anti-RAB7 (phospho S72) antibody [MJF-R38-1] (ab302494) at 1/1000 dilution

Lane 1:

HEK-293T (human embryonic kidney) co-transfected with a human LRRK1(D1409A mutation) expression vector containing a GFP-tag and a human RAB7 expression vector containing an HA-tag, whole cell lysate at 20 µg

Lane 2:

HEK-293T co-transfected with a human LRRK1(K746G mutation) expression vector containing a GFP-tag and a human RAB7 expression vector containing an HA-tag, whole cell lysate at 20 µg

Lane 3:

Untreated GFP-LRRK1 stably expressed HEK-293T whole cell lysate at 20 µg

Lane 4:

GFP-LRRK1 stably expressed HEK-293T treated with 100 ng/ml PMA for 30 minutes, whole cell lysate at 20 µg

Secondary

All lanes:

Western blot - Goat Anti-Rabbit IgG H&L (HRP) (<a href='/en-us/products/secondary-antibodies/goat-rabbit-igg-h-l-hrp-ab97051'>ab97051</a>) at 1/20000 dilution

Observed band size: 23 kDa,25 kDa

false

Exposure time: 3min

  • Carrier free

    Anti-RAB7 (phospho S72) antibody [MJF-R38-1] (BSA and Azide free)

Key facts

Host species

Rabbit

Clonality

Monoclonal

Clone number

MJF-R38-1

Isotype

IgG

Carrier free

No

Reacts with

Human

Applications

IHC-P, WB, Dot

applications

Immunogen

The exact immunogen used to generate this antibody is proprietary information.

Reactivity data

{ "title": "Reactivity Data", "filters": { "stats": ["", "Species", "Dilution Info", "Notes"], "tabs": { "all-applications": {"fullname" : "All Applications", "shortname": "All Applications"}, "IHCP" : {"fullname" : "Immunohistochemistry (Formalin/PFA-fixed paraffin-embedded sections)", "shortname":"IHC-P"}, "WB" : {"fullname" : "Western blot", "shortname":"WB"}, "Dot" : {"fullname" : "Dot Blot", "shortname":"Dot"}, "FlowCytIntra" : {"fullname" : "Flow Cytometry (Intracellular)", "shortname":"Flow Cyt (Intra)"}, "IP" : {"fullname" : "Immunoprecipitation", "shortname":"IP"} }, "product-promise": { "all": "all", "testedAndGuaranteed": "tested", "guaranteed": "expected", "predicted": "predicted", "notRecommended": "not-recommended" } }, "values": { "Human": { "IHCP-species-checked": "testedAndGuaranteed", "IHCP-species-dilution-info": "1/100", "IHCP-species-notes": "<p></p> Perform heat-mediated antigen retrieval with Tris/EDTA buffer pH 9.0 before commencing with IHC staining protocol.", "WB-species-checked": "testedAndGuaranteed", "WB-species-dilution-info": "1/1000", "WB-species-notes": "<p></p>", "Dot-species-checked": "testedAndGuaranteed", "Dot-species-dilution-info": "1/1000", "Dot-species-notes": "<p></p>", "FlowCytIntra-species-checked": "notRecommended", "FlowCytIntra-species-dilution-info": "", "FlowCytIntra-species-notes": "<p></p>", "IP-species-checked": "notRecommended", "IP-species-dilution-info": "", "IP-species-notes": "<p></p>" }, "Mouse": { "IHCP-species-checked": "notRecommended", "IHCP-species-dilution-info": "1/100", "IHCP-species-notes": "<p></p> Perform heat-mediated antigen retrieval with Tris/EDTA buffer pH 9.0 before commencing with IHC staining protocol.", "WB-species-checked": "notRecommended", "WB-species-dilution-info": "", "WB-species-notes": "", "Dot-species-checked": "notRecommended", "Dot-species-dilution-info": "", "Dot-species-notes": "", "FlowCytIntra-species-checked": "notRecommended", "FlowCytIntra-species-dilution-info": "", "FlowCytIntra-species-notes": "", "IP-species-checked": "notRecommended", "IP-species-dilution-info": "", "IP-species-notes": "" }, "Rat": { "IHCP-species-checked": "notRecommended", "IHCP-species-dilution-info": "1/100", "IHCP-species-notes": "<p></p> Perform heat-mediated antigen retrieval with Tris/EDTA buffer pH 9.0 before commencing with IHC staining protocol.", "WB-species-checked": "notRecommended", "WB-species-dilution-info": "", "WB-species-notes": "", "Dot-species-checked": "notRecommended", "Dot-species-dilution-info": "", "Dot-species-notes": "", "FlowCytIntra-species-checked": "notRecommended", "FlowCytIntra-species-dilution-info": "", "FlowCytIntra-species-notes": "", "IP-species-checked": "notRecommended", "IP-species-dilution-info": "", "IP-species-notes": "" }, "Transfected cell lysate - Human": { "IHCP-species-checked": "notRecommended", "IHCP-species-dilution-info": "", "IHCP-species-notes": "", "WB-species-checked": "testedAndGuaranteed", "WB-species-dilution-info": "1/1000", "WB-species-notes": "<p></p>", "Dot-species-checked": "notRecommended", "Dot-species-dilution-info": "", "Dot-species-notes": "", "FlowCytIntra-species-checked": "notRecommended", "FlowCytIntra-species-dilution-info": "", "FlowCytIntra-species-notes": "", "IP-species-checked": "notRecommended", "IP-species-dilution-info": "", "IP-species-notes": "" } } }

Product details

Patented technology
Our RabMAb® technology is a patented hybridoma-based technology for making rabbit monoclonal antibodies. For details on our patents, please refer to RabMAb® patents.

What are the advantages of a recombinant monoclonal antibody?
This product is a recombinant monoclonal antibody, which offers several advantages including:

  • - High batch-to-batch consistency and reproducibility
  • - Improved sensitivity and specificity
  • - Long-term security of supply
  • - Animal-free batch production

For more information, read more on recombinant antibodies.

Collaborations
This antibody was developed with support from The Michael J. Fox Foundation.

Properties and storage information

Form
Liquid
Purification technique
Affinity purification Protein A
Storage buffer
pH: 7.2 - 7.4 Preservative: 0.01% Sodium azide Constituents: PBS, 40% Glycerol (glycerin, glycerine), 0.05% BSA
Shipped at conditions
Blue Ice
Appropriate short-term storage duration
1-2 weeks
Appropriate short-term storage conditions
+4°C
Appropriate long-term storage conditions
-20°C
Aliquoting information
Upon delivery aliquot
Storage information
Avoid freeze / thaw cycle

Supplementary information

This supplementary information is collated from multiple sources and compiled automatically.

RAB7 also known as RAB7A is a small GTPase belonging to the RAS oncogene family. It has a molecular mass of approximately 23 kDa. This protein plays an important role in the regulation of late endocytic trafficking. It is prominently expressed in the cytoplasmic compartments of various cell types and serves as an important late endosome marker. RAB7 controls the maturation of early endosomes into late endosomes and their subsequent fusion with lysosomes therefore influencing degradation pathways.
Biological function summary

RAB7 affects various processes including autophagy cell signaling and pathogen infection response. It often functions as part of the endosomal machinery and forms complexes with other proteins like RAB3GAP1 and RILP. These complexes help mediate vesicle transport and membrane trafficking processes which are essential for the maintenance of cellular homeostasis. RAB7 is significant in ensuring proper lysosomal positioning and function which is critical for cellular metabolism and degradation.

Pathways

RAB7 integrates into the endocytic and autophagic pathways by facilitating the transport between endosomes and lysosomes. It connects with the PI3K/AKT pathway impacting cell proliferation and survival. RAB7 also interacts with the retromer complex influencing the retrieval of receptors from endosomes. Proteins like FYCO1 and Prostaglandin E2 synthase can also cooperate with RAB7 in these pathways further establishing its role in cellular dynamics and signaling.

RAB7 has associations with Charcot-Marie-Tooth disease type 2B and cancer progression. Mutations in the RAB7 gene have been linked to neuropathic conditions leading to impaired motor and sensory function. In the context of cancer dysregulation of RAB7 expression can contribute to increased tumor growth and metastasis. RAB7 interacts with proteins such as MAPK and ARL8B which are involved in these diseases highlighting its importance in pathological conditions.

Product protocols

For this product, it's our understanding that no specific protocols are required. You can visit:

Target data

Small GTPase which cycles between active GTP-bound and inactive GDP-bound states. In its active state, binds to a variety of effector proteins playing a key role in the regulation of endo-lysosomal trafficking. Governs early-to-late endosomal maturation, microtubule minus-end as well as plus-end directed endosomal migration and positioning, and endosome-lysosome transport through different protein-protein interaction cascades. Plays a central role, not only in endosomal traffic, but also in many other cellular and physiological events, such as growth-factor-mediated cell signaling, nutrient-transportor mediated nutrient uptake, neurotrophin transport in the axons of neurons and lipid metabolism. Also involved in regulation of some specialized endosomal membrane trafficking, such as maturation of melanosomes, pathogen-induced phagosomes (or vacuoles) and autophagosomes. Plays a role in the maturation and acidification of phagosomes that engulf pathogens, such as S.aureus and M.tuberculosis. Plays a role in the fusion of phagosomes with lysosomes. Plays important roles in microbial pathogen infection and survival, as well as in participating in the life cycle of viruses. Microbial pathogens possess survival strategies governed by RAB7A, sometimes by employing RAB7A function (e.g. Salmonella) and sometimes by excluding RAB7A function (e.g. Mycobacterium). In concert with RAC1, plays a role in regulating the formation of RBs (ruffled borders) in osteoclasts. Controls the endosomal trafficking and neurite outgrowth signaling of NTRK1/TRKA (PubMed : 11179213, PubMed : 12944476, PubMed : 14617358, PubMed : 20028791, PubMed : 21255211). Regulates the endocytic trafficking of the EGF-EGFR complex by regulating its lysosomal degradation. Involved in the ADRB2-stimulated lipolysis through lipophagy, a cytosolic lipase-independent autophagic pathway (By similarity). Required for the exosomal release of SDCBP, CD63 and syndecan (PubMed : 22660413). Required for vesicular trafficking and cell surface expression of ACE2 (PubMed : 33147445). May play a role in PRPH neuronal intermediate filament assembly (By similarity).
See full target information RAB7A phospho S72

Publications (8)

Recent publications for all applications. Explore the full list and refine your search

Science advances 11:eadt2050 PubMed40465731

2025

Type II kinase inhibitors that target Parkinson's disease-associated LRRK2.

Applications

Unspecified application

Species

Unspecified reactive species

Nicolai D Raig,Katherine J Surridge,Marta Sanz-Murillo,Verena Dederer,Andreas Krämer,Martin P Schwalm,Nicholas M Lattal,Lewis Elson,Deep Chatterjee,Sebastian Mathea,Thomas Hanke,Andres E Leschziner,Samara L Reck-Peterson,Stefan Knapp

Nature cell biology 27:776-789 PubMed40211074

2025

The bridge-like lipid transport protein VPS13C/PARK23 mediates ER-lysosome contacts following lysosome damage.

Applications

Unspecified application

Species

Unspecified reactive species

Xinbo Wang,Peng Xu,Amanda Bentley-DeSousa,William Hancock-Cerutti,Shujun Cai,Benjamin T Johnson,Francesca Tonelli,Lin Shao,Gabriel Talaia,Dario R Alessi,Shawn M Ferguson,Pietro De Camilli

International journal of molecular sciences 26: PubMed40141286

2025

Methamphetamine and Methamphetamine-Induced Neuronal Exosomes Modulate the Activity of Rab7a via PTEN to Exert an Influence on the Disordered Autophagic Flux Induced in Neurons.

Applications

Unspecified application

Species

Unspecified reactive species

Hai Qiu,Manting Zhang,Minchun Li,Chuanxiang Chen,Huijun Wang,Xia Yue

Journal of cell science 138: PubMed39584231

2024

Phosphorylation on serine 72 modulates Rab7A palmitoylation and retromer recruitment.

Applications

Unspecified application

Species

Unspecified reactive species

Graziana Modica,Laura Tejeda-Valencia,Etienne Sauvageau,Seda Yasa,Juliette Maes,Olga Skorobogata,Stephane Lefrancois

The Journal of cell biology 223: PubMed38728007

2024

A RAB7A phosphoswitch coordinates Rubicon Homology protein regulation of Parkin-dependent mitophagy.

Applications

Unspecified application

Species

Unspecified reactive species

Dan A Tudorica,Bishal Basak,Alexia S Puerta Cordova,Grace Khuu,Kevin Rose,Michael Lazarou,Erika L F Holzbaur,James H Hurley

eLife 12: PubMed37874635

2023

Genome-wide screen reveals Rab12 GTPase as a critical activator of Parkinson's disease-linked LRRK2 kinase.

Applications

Unspecified application

Species

Unspecified reactive species

Herschel S Dhekne,Francesca Tonelli,Wondwossen M Yeshaw,Claire Y Chiang,Charles Limouse,Ebsy Jaimon,Elena Purlyte,Dario R Alessi,Suzanne R Pfeffer

Nature communications 14:4797 PubMed37558661

2023

Structure and regulation of full-length human leucine-rich repeat kinase 1.

Applications

Unspecified application

Species

Unspecified reactive species

Riley D Metcalfe,Juliana A Martinez Fiesco,Luis Bonet-Ponce,Jillian H Kluss,Mark R Cookson,Ping Zhang

The Biochemical journal 479:1941-1965 PubMed36040231

2022

PKC isoforms activate LRRK1 kinase by phosphorylating conserved residues (Ser1064, Ser1074 and Thr1075) within the CORB GTPase domain.

Applications

Unspecified application

Species

Unspecified reactive species

Asad U Malik,Athanasios Karapetsas,Raja S Nirujogi,Deep Chatterjee,Toan K Phung,Melanie Wightman,Robert Gourlay,Nick Morrice,Sebastian Mathea,Stefan Knapp,Dario R Alessi
View all publications

Product promise

We are committed to supporting your work with high-quality reagents, and we're here for you every step of the way. In the unlikely event that one of our products does not perform as expected, you're protected by our Product Promise.
For full details, please see our Terms & Conditions

Please note: All products are 'FOR RESEARCH USE ONLY. NOT FOR USE IN DIAGNOSTIC OR THERAPEUTIC PROCEDURES'.

For licensing inquiries, please contact partnerships@abcam.com