JavaScript is disabled in your browser. Please enable JavaScript to view this website.
AB188574

Anti-RAB8A antibody [EPR14873]

4

(8 Reviews)

|

(28 Publications)

Rabbit Recombinant Monoclonal RAB8A antibody. Suitable for WB, ICC/IF, Flow Cyt (Intra), IHC-P, IP and reacts with Mouse, Rat, Human samples. Cited in 28 publications.

View Alternative Names

MEL, RAB8, RAB8A, Ras-related protein Rab-8A, Oncogene c-mel

12 Images
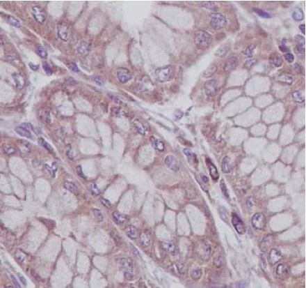
Immunohistochemistry (Formalin/PFA-fixed paraffin-embedded sections) - Anti-RAB8A antibody [EPR14873] (AB188574)
  • IHC-P

Supplier Data

Immunohistochemistry (Formalin/PFA-fixed paraffin-embedded sections) - Anti-RAB8A antibody [EPR14873] (AB188574)

Immunohistochemical analysis of paraffin-embedded Human stomach tissue labeling RAB8A with ab188574 at 1/500. A prediluted HRP Polymer for Rabbit IgG was used as the secondary antibody. Counter stained with Hematoxylin.

Perform heat mediated antigen retrieval with Tris/EDTA buffer pH 9.0 before commencing with IHC staining protocol.

Immunocytochemistry/ Immunofluorescence - Anti-RAB8A antibody [EPR14873] (AB188574)
  • ICC/IF

Supplier Data

Immunocytochemistry/ Immunofluorescence - Anti-RAB8A antibody [EPR14873] (AB188574)

Immunofluorescent analysis of 4% paraformaldehyde-fixed HepG2 cells labelling RAB8A with ab188574 at 1/500 followed by Goat anti rabbit IgG (Alexa Fluor® 488) and DAPI staining.

Immunohistochemistry (Formalin/PFA-fixed paraffin-embedded sections) - Anti-RAB8A antibody [EPR14873] (AB188574)
  • IHC-P

Supplier Data

Immunohistochemistry (Formalin/PFA-fixed paraffin-embedded sections) - Anti-RAB8A antibody [EPR14873] (AB188574)

Immunohistochemical analysis of paraffin-embedded Human adenocarcinoma of colon tissue labelling RAB8A with ab188574 at 1/500. A prediluted HRP Polymer for Rabbit IgG was used as the secondary antibody. Counter stained with Hematoxylin.

Perform heat mediated antigen retrieval with Tris/EDTA buffer pH 9.0 before commencing with IHC staining protocol.

Flow Cytometry (Intracellular) - Anti-RAB8A antibody [EPR14873] (AB188574)
  • Flow Cyt (Intra)

Supplier Data

Flow Cytometry (Intracellular) - Anti-RAB8A antibody [EPR14873] (AB188574)

Intracellular flow cytometrical analysis of HeLa cells labeling RAB8A with ab188574 at 1/260 (pink) compared to a Isotype control (green). FITC-conjugated goat-anti-rabbit secondary antibody at 1/150 were used for the analysis.

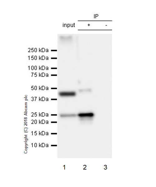
Immunoprecipitation - Anti-RAB8A antibody [EPR14873] (AB188574)
  • IP

Supplier Data

Immunoprecipitation - Anti-RAB8A antibody [EPR14873] (AB188574)

Immunoprecipitation of RAB8A in HeLa cells. Lysates were prepared and immunoprecipitation was performed using 2 ug of ab188574 pre-coupled to Protein A beads. Samples were then washed and processed for western blot.

This data was provided by YCharOS Inc., an open science company with the mission of characterizing commercially available antibody reagents for all human proteins. Abcam and YCharOS are working together to help address the reproducibility crisis by enabling the life science community to better evaluate commercially available antibodies.

Western blot - Anti-RAB8A antibody [EPR14873] (AB188574)
  • WB

Supplier Data

Western blot - Anti-RAB8A antibody [EPR14873] (AB188574)

ab188574 was shown to react with RAB8A in wild-type HeLa cells in Western blot with loss of signal observed in RAB8A knockout cell line ab264993. Wild-type HeLa and RAB8A knockout cell lysates were subjected to SDS-PAGE. Membranes were blocked in 5% milk in TBST for 1 hr before incubation with ab188574 overnight at 4 °C at a 1/1000 dilution. Blots were incubated with secondary antibodies at 0.2 µg/mL before imaging.

This data was provided by YCharOS Inc., an open science company with the mission of characterizing commercially available antibody reagents for all human proteins. Abcam and YCharOS are working together to help address the reproducibility crisis by enabling the life science community to better evaluate commercially available antibodies.

All lanes:

Western blot - Anti-RAB8A antibody [EPR14873] (ab188574) at 1/1000 dilution

Lane 1:

Wild-type HeLa lysate at 30 µg

Lane 2:

RAB8A knock-out HeLa lysate at 30 µg

Lane 2:

Western blot - Human RAB8A knockout HeLa cell line (<a href='/en-us/products/cell-lines/human-rab8a-knockout-hela-cell-line-ab264993'>ab264993</a>)

false

Western blot - Anti-RAB8A antibody [EPR14873] (AB188574)
  • WB

Supplier Data

Western blot - Anti-RAB8A antibody [EPR14873] (AB188574)

All lanes:

Western blot - Anti-RAB8A antibody [EPR14873] (ab188574) at 1/1000 dilution

All lanes:

HCT-116 lysate at 20 µg

Secondary

All lanes:

Goat Anti-Rabbit IgG, (H+L), Peroxidase conjugated

Predicted band size: 24 kDa

Observed band size: 24 kDa

false

Western blot - Anti-RAB8A antibody [EPR14873] (AB188574)
  • WB

Lab

Western blot - Anti-RAB8A antibody [EPR14873] (AB188574)

Lanes 1-4 : Merged signal (red and green). Green - ab188574 observed at 24 kDa. Red - loading control, ab8245 observed at 37 kDa.

ab188574 Anti-RAB8A antibody [EPR14873] was shown to specifically react with RAB8A in wild-type HeLa cells. Loss of signal was observed when knockout cell line ab264993 (knockout cell lysate ab257195) was used. Wild-type and RAB8A knockout samples were subjected to SDS-PAGE. ab188574 and Anti-GAPDH antibody [6C5] - Loading Control (ab8245) were incubated overnight at 4°C at 1 in 1000 dilution and 1 in 20000 dilution respectively. Blots were developed with Goat anti-Rabbit IgG H&L (IRDye® 800CW) preadsorbed (ab216773) and Goat anti-Mouse IgG H&L (IRDye® 680RD) preadsorbed (ab216776) secondary antibodies at 1 in 10000 dilution for 1 hour at room temperature before imaging.

All lanes:

Western blot - Anti-RAB8A antibody [EPR14873] (ab188574) at 1/1000 dilution

Lane 1:

Wild-type HeLa cell lysate at 20 µg

Lane 2:

RAB8A knockout HeLa cell lysate at 20 µg

Lane 2:

Western blot - Human RAB8A knockout HeLa cell line (<a href='/en-us/products/cell-lines/human-rab8a-knockout-hela-cell-line-ab264993'>ab264993</a>)

Lane 3:

HCT116 cell lysate at 20 µg

Lane 4:

Human brain tissue lysate at 20 µg

Predicted band size: 24 kDa

Observed band size: 24 kDa

false

Western blot - Anti-RAB8A antibody [EPR14873] (AB188574)
  • WB

Unknown

Western blot - Anti-RAB8A antibody [EPR14873] (AB188574)

Lanes 1-4 : Merged signal (red and green). Green - ab188574 observed at 24 kDa. Red - loading control, ab8245 observed at 37 kDa.

ab188574 Anti-RAB8A antibody [EPR14873] was shown to specifically react with RAB8A in wild-type HeLa cells. Loss of signal was observed when knockout cell line ab264993 (knockout cell lysate ab257195) was used. Wild-type and RAB8A knockout samples were subjected to SDS-PAGE. ab188574 and Anti-GAPDH antibody [6C5] - Loading Control (ab8245) were incubated overnight at 4°C at 1 in 1000 dilution and 1 in 20000 dilution respectively. Blots were developed with Goat anti-Rabbit IgG H&L (IRDye® 800CW) preadsorbed (ab216773) and Goat anti-Mouse IgG H&L (IRDye® 680RD) preadsorbed (ab216776) secondary antibodies at 1 in 10000 dilution for 1 hour at room temperature before imaging.

All lanes:

Western blot - Anti-RAB8A antibody [EPR14873] (ab188574) at 1/1000 dilution

Lane 1:

Wild-type HeLa cell lysate at 20 µg

Lane 2:

RAB8A knockout HeLa cell lysate at 20 µg

Lane 3:

HCT116 cell lysate at 20 µg

Lane 4:

Human brain tissue lysate at 20 µg

Predicted band size: 24 kDa

Observed band size: 24 kDa

false

Western blot - Anti-RAB8A antibody [EPR14873] (AB188574)
  • WB

Lab

Western blot - Anti-RAB8A antibody [EPR14873] (AB188574)

Lanes 1 - 4 : Merged signal (red and green). Green - ab188574 observed at 24 kDa. Red - loading control, ab8245, observed at 37 kDa.

ab188574 was shown to specifically react with RAB8A when RAB8A knockout samples were used. Wild-type and RAB8A knockout samples were subjected to SDS-PAGE. ab188574 and ab8245 (loading control to GAPDH) were diluted 1/1000 and 1/2000 and incubated overnight at 4°C. Blots were developed with Goat anti-Rabbit IgG H&L (IRDye® 800CW) preadsorbed (ab216773) and Goat anti-Mouse IgG H&L (IRDye® 680RD) preadsorbed (ab216776) secondary antibodies at 1/10 000 dilution for 1 h at room temperature before imaging.

All lanes:

Western blot - Anti-RAB8A antibody [EPR14873] (ab188574) at 1/1000 dilution

Lane 1:

Wild-type HAP1 cell lysate at 20 µg

Lane 2:

RAB8A knockout HAP1 cell lysate at 20 µg

Lane 3:

HCT116 cell lysate at 20 µg

Lane 4:

NIH/3T3 cell lysate at 20 µg

Predicted band size: 24 kDa

false

Western blot - Anti-RAB8A antibody [EPR14873] (AB188574)
  • WB

Supplier Data

Western blot - Anti-RAB8A antibody [EPR14873] (AB188574)

All lanes:

Western blot - Anti-RAB8A antibody [EPR14873] (ab188574) at 1/10000 dilution

Lane 1:

HepG2 lysate at 20 µg

Lane 2:

HeLa lysate at 20 µg

Lane 3:

293T lysate at 20 µg

Secondary

All lanes:

Goat Anti-Rabbit IgG, (H+L), Peroxidase conjugated at 1/1000 dilution

Predicted band size: 24 kDa

Observed band size: 24 kDa

false

Western blot - Anti-RAB8A antibody [EPR14873] (AB188574)
  • WB

Supplier Data

Western blot - Anti-RAB8A antibody [EPR14873] (AB188574)

All lanes:

Western blot - Anti-RAB8A antibody [EPR14873] (ab188574) at 1/1000 dilution

Lane 1:

C6 lysate at 10 µg

Lane 2:

RAW264.7 lysate at 10 µg

Lane 3:

PC-12 lysate at 10 µg

Lane 4:

NIH3T3 lysate at 10 µg

Secondary

All lanes:

Goat Anti-Rabbit IgG, (H+L), Peroxidase conjugated at 1/1000 dilution

Predicted band size: 24 kDa

Observed band size: 24 kDa

false

  • 665 Alexa Fluor® 647

    Alexa Fluor® 647 Anti-RAB8A antibody [EPR14873] - C-terminal

  • 578 PE

    PE Anti-RAB8A antibody [EPR14873] - C-terminal

  • HRP

    HRP Anti-RAB8A antibody [EPR14873] - C-terminal

  • 617 Alexa Fluor® 594

    Alexa Fluor® 594 Anti-RAB8A antibody [EPR14873] - C-terminal

  • 565 Alexa Fluor® 555

    Alexa Fluor® 555 Anti-RAB8A antibody [EPR14873] - C-terminal

  • Carrier free

    Anti-RAB8A antibody [EPR14873] - BSA and Azide free

Key facts

Host species

Rabbit

Clonality

Monoclonal

Clone number

EPR14873

Isotype

IgG

Carrier free

No

Reacts with

Mouse, Rat, Human

Applications

Flow Cyt (Intra), ICC/IF, IHC-P, IP, WB

applications

Immunogen

The exact immunogen used to generate this antibody is proprietary information.

Reactivity data

{ "title": "Reactivity Data", "filters": { "stats": ["", "Species", "Dilution Info", "Notes"], "tabs": { "all-applications": {"fullname" : "All Applications", "shortname": "All Applications"}, "WB" : {"fullname" : "Western blot", "shortname":"WB"}, "ICCIF" : {"fullname" : "Immunocytochemistry/ Immunofluorescence", "shortname":"ICC/IF"}, "FlowCytIntra" : {"fullname" : "Flow Cytometry (Intracellular)", "shortname":"Flow Cyt (Intra)"}, "IHCP" : {"fullname" : "Immunohistochemistry (Formalin/PFA-fixed paraffin-embedded sections)", "shortname":"IHC-P"}, "IP" : {"fullname" : "Immunoprecipitation", "shortname":"IP"} }, "product-promise": { "all": "all", "testedAndGuaranteed": "tested", "guaranteed": "expected", "predicted": "predicted", "notRecommended": "not-recommended" } }, "values": { "Human": { "WB-species-checked": "testedAndGuaranteed", "WB-species-dilution-info": "1/1000 - 1/10000", "WB-species-notes": "<p></p>", "ICCIF-species-checked": "testedAndGuaranteed", "ICCIF-species-dilution-info": "1/500", "ICCIF-species-notes": "<p></p>", "FlowCytIntra-species-checked": "testedAndGuaranteed", "FlowCytIntra-species-dilution-info": "1/260", "FlowCytIntra-species-notes": "<p><a href='/en-us/products/primary-antibodies/rabbit-igg-monoclonal-epr25a-isotype-control-ab172730'>ab172730</a> - Rabbit monoclonal IgG, is suitable for use as an isotype control with this antibody.</p>", "IHCP-species-checked": "testedAndGuaranteed", "IHCP-species-dilution-info": "1/250 - 1/500", "IHCP-species-notes": "<p></p>", "IP-species-checked": "testedAndGuaranteed", "IP-species-dilution-info": "", "IP-species-notes": "<p></p>" }, "Mouse": { "WB-species-checked": "testedAndGuaranteed", "WB-species-dilution-info": "1/1000 - 1/10000", "WB-species-notes": "<p></p>", "ICCIF-species-checked": "guaranteed", "ICCIF-species-dilution-info": "", "ICCIF-species-notes": "", "FlowCytIntra-species-checked": "guaranteed", "FlowCytIntra-species-dilution-info": "", "FlowCytIntra-species-notes": "", "IHCP-species-checked": "guaranteed", "IHCP-species-dilution-info": "", "IHCP-species-notes": "", "IP-species-checked": "guaranteed", "IP-species-dilution-info": "", "IP-species-notes": "" }, "Rat": { "WB-species-checked": "testedAndGuaranteed", "WB-species-dilution-info": "1/1000 - 1/10000", "WB-species-notes": "<p></p>", "ICCIF-species-checked": "guaranteed", "ICCIF-species-dilution-info": "", "ICCIF-species-notes": "", "FlowCytIntra-species-checked": "guaranteed", "FlowCytIntra-species-dilution-info": "", "FlowCytIntra-species-notes": "", "IHCP-species-checked": "guaranteed", "IHCP-species-dilution-info": "", "IHCP-species-notes": "", "IP-species-checked": "guaranteed", "IP-species-dilution-info": "", "IP-species-notes": "" } } }

Product details

Patented technology
Our RabMAb® technology is a patented hybridoma-based technology for making rabbit monoclonal antibodies. For details on our patents, please refer to RabMAb® patents.

What are the advantages of a recombinant monoclonal antibody?
This product is a recombinant monoclonal antibody, which offers several advantages including:

  • - High batch-to-batch consistency and reproducibility
  • - Improved sensitivity and specificity
  • - Long-term security of supply
  • - Animal-free batch production

For more information, read more on recombinant antibodies.

Properties and storage information

Form
Liquid
Purification technique
Affinity purification Protein A
Storage buffer
pH: 7.2 - 7.4 Preservative: 0.01% Sodium azide Constituents: PBS, 40% Glycerol (glycerin, glycerine), 0.05% BSA
Shipped at conditions
Blue Ice
Appropriate short-term storage duration
1-2 weeks
Appropriate short-term storage conditions
+4°C
Appropriate long-term storage conditions
-20°C
Aliquoting information
Upon delivery aliquot
Storage information
Avoid freeze / thaw cycle

Supplementary information

This supplementary information is collated from multiple sources and compiled automatically.

RAB8A is a small GTPase also referred to as Ras-related protein Rab-8A involved in intracellular membrane trafficking. It plays a critical role in the regulation of exocytosis the process by which cells release substances to the extracellular space. RAB8A mainly functions by cycling between an inactive GDP-bound form and an active GTP-bound form facilitating vesicle budding transport and fusion with target membranes. This protein is expressed in various tissues including the brain and pancreas where it assists in important cellular functions. RAB8A has a molecular mass of approximately 24 kDa.
Biological function summary

The small GTPase RAB8A contributes to the biosynthetic transport from the trans-Golgi network to the plasma membrane. It performs this activity in coordination with other proteins as part of a larger complex. RAB8A also plays an essential role in cilia formation and maintenance affecting cell polarity and signaling functions. The protein's ability to regulate vesicle movement makes it important for cellular homeostasis and communication.

Pathways

The regulatory function of RAB8A is significant in the ciliary membrane trafficking pathway and the insulin signaling pathway. Within these pathways RAB8A interacts closely with other proteins like Rab11 and Rabin8 which help support its roles in directing vesicle transport. These interactions are essential for proper cellular signaling and the maintenance of polarized cellular structures further supporting the function of various cellular pathways.

The dysfunction of RAB8A has associations with certain ciliopathies notably Bardet-Biedl syndrome. This condition involves abnormalities in cilia structure and function leading to symptoms like kidney disease vision impairment and obesity. Moreover disruptions in RAB8A have connections with insulin resistance implicating it in metabolic disorders. In the context of these diseases proteins such as BBS proteins and Rab11 play a role in mediating the effects of dysfunctional RAB8A-related pathways.

Product protocols

For this product, it's our understanding that no specific protocols are required. You can visit:

Target data

The small GTPases Rab are key regulators of intracellular membrane trafficking, from the formation of transport vesicles to their fusion with membranes. Rabs cycle between an inactive GDP-bound form and an active GTP-bound form that is able to recruit to membranes different sets of downstream effectors directly responsible for vesicle formation, movement, tethering and fusion. That Rab is involved in polarized vesicular trafficking and neurotransmitter release. Together with RAB11A, RAB3IP, the exocyst complex, PARD3, PRKCI, ANXA2, CDC42 and DNMBP promotes transcytosis of PODXL to the apical membrane initiation sites (AMIS), apical surface formation and lumenogenesis (PubMed : 20890297). Regulates the compacted morphology of the Golgi (PubMed : 26209634). Together with MYO5B and RAB11A participates in epithelial cell polarization (PubMed : 21282656). Also involved in membrane trafficking to the cilium and ciliogenesis (PubMed : 21844891, PubMed : 30398148). Together with MICALL2, may also regulate adherens junction assembly (By similarity). May play a role in insulin-induced transport to the plasma membrane of the glucose transporter GLUT4 and therefore play a role in glucose homeostasis (By similarity). Involved in autophagy (PubMed : 27103069). Participates in the export of a subset of neosynthesized proteins through a Rab8-Rab10-Rab11-dependent endososomal export route (PubMed : 32344433). Targeted to and stabilized on stressed lysosomes through LRRK2 phosphorylation (PubMed : 30209220). Suppresses stress-induced lysosomal enlargement through EHBP1 and EHNP1L1 effector proteins (PubMed : 30209220).
See full target information RAB8A

Publications (28)

Recent publications for all applications. Explore the full list and refine your search

Cell & bioscience 15:126 PubMed41013680

2025

PINK1 functions in mitophagy and mitochondrial homeostasis during mice oocyte maturation.

Applications

Unspecified application

Species

Unspecified reactive species

Shiwei Wang,Xuan Wu,Mengmeng Zhang,Yixiao Zhu,Yajun Guo,Shuang Song,Shenming Zeng

Advanced science (Weinheim, Baden-Wurttemberg, Germany) 12:e2409870 PubMed40056029

2025

Osteosarcoma Cell-Derived Migrasomes Promote Macrophage M2 Polarization to Aggravate Osteosarcoma Proliferation and Metastasis.

Applications

Unspecified application

Species

Unspecified reactive species

Wanshun Liu,Lei Li,Xiaoming Bai,Mengxue Zhang,Wei Lv,Yongbin Ma,Yuzhi Sun,Hongjing Zhang,Qing Jiang,Qingqiang Yao,Zhi-Yuan Zhang

Cells 13: PubMed38920696

2024

Reduced Retinal Pigment Epithelial Autophagy Due to Loss of Rab12 Prenylation in a Human iPSC-RPE Model of Choroideremia.

Applications

Unspecified application

Species

Unspecified reactive species

Maide Ö Raeker,Nirosha D Perera,Athanasios J Karoukis,Lisheng Chen,Kecia L Feathers,Robin R Ali,Debra A Thompson,Abigail T Fahim

iScience 27:108893 PubMed38313055

2024

Lysosomal stress drives the release of pathogenic α-synuclein from macrophage lineage cells via the LRRK2-Rab10 pathway.

Applications

Unspecified application

Species

Unspecified reactive species

Tetsuro Abe,Tomoki Kuwahara,Shoichi Suenaga,Maria Sakurai,Sho Takatori,Takeshi Iwatsubo

Disease markers 2023:8143581 PubMed36815135

2023

Transcription Activation of Rab8A by PEA3 Augments Progression of Esophagus Cancer by Activating the Wnt/-Catenin Signaling Pathway.

Applications

Unspecified application

Species

Unspecified reactive species

Shusheng Cai,Xiumei Liu,Weiran Gao,Lianhua Ye,Qiming Zhong,Xin Zhang

Acta neuropathologica 144:81-106 PubMed35596783

2022

Trafficking of the glutamate transporter is impaired in LRRK2-related Parkinson's disease.

Applications

Unspecified application

Species

Unspecified reactive species

Ludovica Iovino,Veronica Giusti,Francesca Pischedda,Elena Giusto,Nicoletta Plotegher,Antonella Marte,Ilaria Battisti,Angela Di Iacovo,Algerta Marku,Giovanni Piccoli,Rina Bandopadhyay,Carla Perego,Tiziana Bonifacino,Giambattista Bonanno,Cristina Roseti,Elena Bossi,Giorgio Arrigoni,Luigi Bubacco,Elisa Greggio,Sabine Hilfiker,Laura Civiero

EMBO reports 23:e54090 PubMed35301795

2022

ENKD1 promotes CP110 removal through competing with CEP97 to initiate ciliogenesis.

Applications

Unspecified application

Species

Unspecified reactive species

Ting Song,Yunfan Yang,Peng Zhou,Jie Ran,Liang Zhang,Xiaofan Wu,Wei Xie,Tao Zhong,Hongbin Liu,Min Liu,Dengwen Li,Huijie Zhao,Jun Zhou

Frontiers in cell and developmental biology 10:834964 PubMed35295848

2022

Acrylamide Exposure Destroys the Distribution and Functions of Organelles in Mouse Oocytes.

Applications

Unspecified application

Species

Unspecified reactive species

Chao-Ying Zhao,Lin-Lin Hu,Chun-Hua Xing,Xiang Lu,Shao-Chen Sun,Yu-Xia Wei,Yan-Ping Ren

Nature protocols 16:5083-5122 PubMed34707257

2021

Proteome-wide analysis of protein lipidation using chemical probes: in-gel fluorescence visualization, identification and quantification of N-myristoylation, N- and S-acylation, O-cholesterylation, S-farnesylation and S-geranylgeranylation.

Applications

Unspecified application

Species

Unspecified reactive species

Wouter W Kallemeijn,Thomas Lanyon-Hogg,Nattawadee Panyain,Andrea Goya Grocin,Paulina Ciepla,Julia Morales-Sanfrutos,Edward W Tate

Cell 184:5089-5106.e21 PubMed34555357

2021

Microglia jointly degrade fibrillar alpha-synuclein cargo by distribution through tunneling nanotubes.

Applications

Unspecified application

Species

Unspecified reactive species

Hannah Scheiblich,Cira Dansokho,Dilek Mercan,Susanne V Schmidt,Luc Bousset,Lena Wischhof,Frederik Eikens,Alexandru Odainic,Jasper Spitzer,Angelika Griep,Stephanie Schwartz,Daniele Bano,Eicke Latz,Ronald Melki,Michael T Heneka
View all publications

Product promise

We are committed to supporting your work with high-quality reagents, and we're here for you every step of the way. In the unlikely event that one of our products does not perform as expected, you're protected by our Product Promise.
For full details, please see our Terms & Conditions

Please note: All products are 'FOR RESEARCH USE ONLY. NOT FOR USE IN DIAGNOSTIC OR THERAPEUTIC PROCEDURES'.

For licensing inquiries, please contact partnerships@abcam.com