JavaScript is disabled in your browser. Please enable JavaScript to view this website.
AB243568

Anti-RAB8A antibody [MJF-R22-79-3] - BSA and Azide free

Be the first to review this product! Submit a review

|

(1 Publication)

Rabbit Recombinant Monoclonal RAB8A antibody. Carrier free. Suitable for IP, WB, ICC/IF, Flow Cyt (Intra), IHC-P and reacts with Human samples. Cited in 1 publication.

View Alternative Names

MEL, RAB8, RAB8A, Ras-related protein Rab-8A, Oncogene c-mel

9 Images
Flow Cytometry (Intracellular) - Anti-RAB8A antibody [MJF-R22-79-3] - BSA and Azide free (AB243568)
  • Flow Cyt (Intra)

Unknown

Flow Cytometry (Intracellular) - Anti-RAB8A antibody [MJF-R22-79-3] - BSA and Azide free (AB243568)

Intracellular flow cytometric analysis of 4% paraformaldehyde-fixed, 90% methanol-permeabilized A549 (human lung carcinoma cell line) cell line labeling RAB8A with ab241061 at 1/600 dilution (red) compared with a Rabbit IgG, monoclonal [EPR25A] - Isotype Control (ab172730) (black) and an unlabeled control (cells without incubation with primary antibody and secondary antibody) (blue). Goat Anti-Rabbit IgG H&L (Alexa Fluor® 488) (ab150077) at 1/2000 dilution was used as the secondary antibody. This data was developed using the same antibody clone in a different buffer formulation containing PBS, BSA, glycerol, and sodium azide (ab241061).

Immunocytochemistry/ Immunofluorescence - Anti-RAB8A antibody [MJF-R22-79-3] - BSA and Azide free (AB243568)
  • ICC/IF

Unknown

Immunocytochemistry/ Immunofluorescence - Anti-RAB8A antibody [MJF-R22-79-3] - BSA and Azide free (AB243568)

Immunofluorescent analysis of 3% paraformaldehyde-fixed, 0.1% Saponin permeabilized A549 (human lung carcinoma cell line) and RAB8A knock-out A549 cells labeling RAB8A with ab241061 at 1/100 dilution.

This image is kindly provided by our collaborator Dr. Dario Alessi, University of Dundee.

This data was developed using the same antibody clone in a different buffer formulation containing PBS, BSA, glycerol, and sodium azide (ab241061).

Flow Cytometry (Intracellular) - Anti-RAB8A antibody [MJF-R22-79-3] - BSA and Azide free (AB243568)
  • Flow Cyt (Intra)

Unknown

Flow Cytometry (Intracellular) - Anti-RAB8A antibody [MJF-R22-79-3] - BSA and Azide free (AB243568)

Intracellular flow cytometric analysis of 4% paraformaldehyde-fixed, 90% methanol-permeabilized A549 (human lung carcinoma cell line) cell line labeling RAB8A with ab241061 at 1/600 dilution (red) compared with a Rabbit IgG, monoclonal [EPR25A] - Isotype Control (ab172730) (black) and an unlabeled control (cells without incubation with primary antibody and secondary antibody) (blue). Goat Anti-Rabbit IgG H&L (Alexa Fluor® 488) (ab150077) at 1/2000 dilution was used as the secondary antibody.

This data was developed using the same antibody clone in a different buffer formulation containing PBS, BSA, glycerol, and sodium azide (ab241061).

Immunocytochemistry/ Immunofluorescence - Anti-RAB8A antibody [MJF-R22-79-3] - BSA and Azide free (AB243568)
  • ICC/IF

Unknown

Immunocytochemistry/ Immunofluorescence - Anti-RAB8A antibody [MJF-R22-79-3] - BSA and Azide free (AB243568)

Immunofluorescent analysis of 4% paraformaldehyde-fixed, 0.1% Triton X-100 permeabilized HeLa (human epithelial cell line from cervix adenocarcinoma) cells labeling RAB8A with ab241061 at 1/500 dilution followed by Goat Anti-Rabbit IgG H&L (Alexa Fluor® 488) (ab150077) secondary antibody at 1/1000 dilution (green). Confocal image showing cytoplasmic staining in HeLa cells.

The nuclear counter stain is DAPI (blue). Tubulin is detected with Anti-alpha Tubulin antibody [DM1A] - Microtubule Marker (Alexa Fluor® 594) (ab195889) (red) at 1/200 dilution.

Secondary antibody only control : Used PBS instead of primary antibody, secondary antibody is Goat Anti-Rabbit IgG H&L (Alexa Fluor® 488) (ab150077) secondary antibody at 1/1000 dilution.

This data was developed using the same antibody clone in a different buffer formulation containing PBS, BSA, glycerol, and sodium azide (ab241061).

Immunocytochemistry/ Immunofluorescence - Anti-RAB8A antibody [MJF-R22-79-3] - BSA and Azide free (AB243568)
  • ICC/IF

Unknown

Immunocytochemistry/ Immunofluorescence - Anti-RAB8A antibody [MJF-R22-79-3] - BSA and Azide free (AB243568)

Immunofluorescent analysis of 4% paraformaldehyde-fixed, 0.1% Triton X-100 permeabilized A549 (human lung carcinoma cell line) cells labeling RAB8A with ab241061 at 1/500 dilution followed by Goat Anti-Rabbit IgG H&L (Alexa Fluor® 488) (ab150077) secondary antibody at 1/1000 dilution (green). Confocal image showing cytoplasmic staining in A549 cells.

The nuclear counter stain is DAPI (blue). Tubulin is detected with Anti-alpha Tubulin antibody [DM1A] - Microtubule Marker (Alexa Fluor® 594) (ab195889) (red) at 1/200 dilution.

Secondary antibody only control : Used PBS instead of primary antibody, secondary antibody is Goat Anti-Rabbit IgG H&L (Alexa Fluor® 488) (ab150077) secondary antibody at 1/1000 dilution.

This data was developed using the same antibody clone in a different buffer formulation containing PBS, BSA, glycerol, and sodium azide (ab241061).

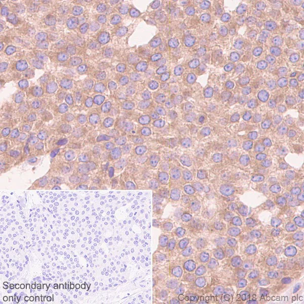
Immunohistochemistry (Formalin/PFA-fixed paraffin-embedded sections) - Anti-RAB8A antibody [MJF-R22-79-3] - BSA and Azide free (AB243568)
  • IHC-P

Unknown

Immunohistochemistry (Formalin/PFA-fixed paraffin-embedded sections) - Anti-RAB8A antibody [MJF-R22-79-3] - BSA and Azide free (AB243568)

Immunohistochemical analysis of paraffin-embedded human bladder cancer tissue labeling RAB8A with ab241061 at 1/1000 dilution, followed by Goat Anti-Rabbit IgG H&L (HRP) Ready to use. Cytoplasmic staining on human bladder cancer (PMID : 14581456). Counter stained with hematoxylin.

Secondary antibody only control : Used PBS instead of primary antibody, secondary antibody is Goat Anti-Rabbit IgG H&L (HRP) Ready to use.

This data was developed using the same antibody clone in a different buffer formulation containing PBS, BSA, glycerol, and sodium azide (ab241061).

Perform heat mediated antigen retrieval with Tris/EDTA buffer pH 9.0 before commencing with IHC staining protocol.

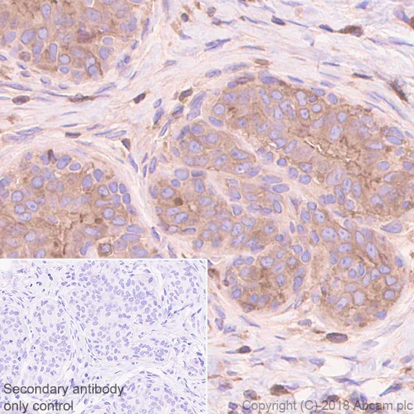
Immunohistochemistry (Formalin/PFA-fixed paraffin-embedded sections) - Anti-RAB8A antibody [MJF-R22-79-3] - BSA and Azide free (AB243568)
  • IHC-P

Unknown

Immunohistochemistry (Formalin/PFA-fixed paraffin-embedded sections) - Anti-RAB8A antibody [MJF-R22-79-3] - BSA and Azide free (AB243568)

Immunohistochemical analysis of paraffin-embedded human breast tissue labeling RAB8A with ab241061 at 1/1000 dilution, followed by Goat Anti-Rabbit IgG H&L (HRP) Ready to use. Cytoplasmic staining on human breast (PMID : 14581456). Counter stained with hematoxylin.

Secondary antibody only control : Used PBS instead of primary antibody, secondary antibody is Goat Anti-Rabbit IgG H&L (HRP) Ready to use.

This data was developed using the same antibody clone in a different buffer formulation containing PBS, BSA, glycerol, and sodium azide (ab241061).

Perform heat mediated antigen retrieval with Tris/EDTA buffer pH 9.0 before commencing with IHC staining protocol.

Immunoprecipitation - Anti-RAB8A antibody [MJF-R22-79-3] - BSA and Azide free (AB243568)
  • IP

Unknown

Immunoprecipitation - Anti-RAB8A antibody [MJF-R22-79-3] - BSA and Azide free (AB243568)

RAB8A was immunoprecipitated from 0.35 mg of A549 (human lung carcinoma cell line) whole cell lysate with ab241061 at 1/30 dilution. Western blot was performed from the immunoprecipitate using ab241061 at 1/1000 dilution. VeriBlot for IP Detection Reagent (HRP) (ab131366), was used for detection at 1/5000 dilution.

Lane 1 : A549 whole cell lysate 10 μg (Input).

Lane 2 : ab241061 IP in A549 whole cell lysate .

Lane 3 : Rabbit monoclonal IgG (ab172730) instead of ab241061 in A549 whole cell lysate .

Blocking and dilution buffer and concentration : 5% NFDM/TBST.

Exposure time : 8 seconds.

This data was developed using the same antibody clone in a different buffer formulation containing PBS, BSA, glycerol, and sodium azide (ab241061).

All lanes:

Immunoprecipitation - Anti-RAB8A antibody [MJF-R22-79-3] (<a href='/en-us/products/primary-antibodies/rab8a-antibody-mjf-r22-79-3-ab241061'>ab241061</a>)

Predicted band size: 24 kDa

false

Western blot - Anti-RAB8A antibody [MJF-R22-79-3] - BSA and Azide free (AB243568)
  • WB

Supplier Data

Western blot - Anti-RAB8A antibody [MJF-R22-79-3] - BSA and Azide free (AB243568)

This data was developed using the same antibody clone in a different buffer formulation (ab241061).

Lanes 1-4 : Merged signal (red and green). Green - ab241061 observed at 24 kDa. Red - loading control, ab8245 observed at 37 kDa.

ab241061 Anti-RAB8A antibody [MJF-R22-79-3] was shown to specifically react with RAB8A in wild-type HeLa cells. Loss of signal was observed when knockout cell line ab264993 (knockout cell lysate ab257195) was used. Wild-type and RAB8A knockout samples were subjected to SDS-PAGE. ab ab241061 and Anti-GAPDH antibody [6C5] - Loading Control (ab8245) were incubated overnight at 4°C at 1 in 1000 dilution and 1 in 20000 dilution respectively. Blots were developed with Goat anti-Rabbit IgG H&L (IRDye® 800CW) preadsorbed (ab216773) and Goat anti-Mouse IgG H&L (IRDye® 680RD) preadsorbed (ab216776) secondary antibodies at 1 in 10000 dilution for 1 hour at room temperature before imaging.

All lanes:

Western blot - Anti-RAB8A antibody [MJF-R22-79-3] (<a href='/en-us/products/primary-antibodies/rab8a-antibody-mjf-r22-79-3-ab241061'>ab241061</a>) at 1/1000 dilution

Lane 1:

Wild-type HeLa cell lysate at 20 µg

Lane 2:

RAB8A knockout HeLa cell lysate at 20 µg

Lane 2:

Western blot - Human RAB8A knockout HeLa cell line (<a href='/en-us/products/cell-lines/human-rab8a-knockout-hela-cell-line-ab264993'>ab264993</a>)

Lane 3:

HCT116 cell lysate at 20 µg

Lane 4:

Human brain tissue lysate at 20 µg

Predicted band size: 24 kDa

Observed band size: 24 kDa

false

  • Unconjugated

    Anti-RAB8A antibody [MJF-R22-79-3]

  • Carrier free

    Anti-RAB8A antibody [MJF-R22-79-3] - BSA and Azide free (Capture)

Key facts

Host species

Rabbit

Clonality

Monoclonal

Clone number

MJF-R22-79-3

Isotype

IgG

Carrier free

Yes

Reacts with

Human

Applications

Flow Cyt (Intra), WB, IP, ICC/IF, IHC-P

applications

Immunogen

The exact immunogen used to generate this antibody is proprietary information.

Reactivity data

{ "title": "Reactivity Data", "filters": { "stats": ["", "Species", "Dilution Info", "Notes"], "tabs": { "all-applications": {"fullname" : "All Applications", "shortname": "All Applications"}, "IP" : {"fullname" : "Immunoprecipitation", "shortname":"IP"}, "WB" : {"fullname" : "Western blot", "shortname":"WB"}, "ICCIF" : {"fullname" : "Immunocytochemistry/ Immunofluorescence", "shortname":"ICC/IF"}, "FlowCytIntra" : {"fullname" : "Flow Cytometry (Intracellular)", "shortname":"Flow Cyt (Intra)"}, "IHCP" : {"fullname" : "Immunohistochemistry (Formalin/PFA-fixed paraffin-embedded sections)", "shortname":"IHC-P"} }, "product-promise": { "all": "all", "testedAndGuaranteed": "tested", "guaranteed": "expected", "predicted": "predicted", "notRecommended": "not-recommended" } }, "values": { "Human": { "IP-species-checked": "testedAndGuaranteed", "IP-species-dilution-info": "", "IP-species-notes": "<p></p>", "WB-species-checked": "testedAndGuaranteed", "WB-species-dilution-info": "", "WB-species-notes": "<p></p>", "ICCIF-species-checked": "testedAndGuaranteed", "ICCIF-species-dilution-info": "", "ICCIF-species-notes": "<p></p>", "FlowCytIntra-species-checked": "testedAndGuaranteed", "FlowCytIntra-species-dilution-info": "", "FlowCytIntra-species-notes": "<p></p>", "IHCP-species-checked": "testedAndGuaranteed", "IHCP-species-dilution-info": "", "IHCP-species-notes": "<p></p>" } } }

Product details

ab243568 is the carrier-free version of ab241061.

Patented technology
Our RabMAb® technology is a patented hybridoma-based technology for making rabbit monoclonal antibodies. For details on our patents, please refer to RabMAb® patents.

What are the advantages of a recombinant monoclonal antibody?
This product is a recombinant monoclonal antibody, which offers several advantages including:

  • - High batch-to-batch consistency and reproducibility
  • - Improved sensitivity and specificity
  • - Long-term security of supply
  • - Animal-free batch production

For more information, read more on recombinant antibodies.

Conjugation ready
Our carrier-free antibodies are typically supplied in a PBS-only formulation, purified and free of BSA, sodium azide and glycerol. This conjugation-ready format is designed for use with fluorochromes, metal isotopes, oligonucleotides, and enzymes, which makes them ideal for antibody labelling, functional and cell-based assays, flow-based assays (e.g. mass cytometry) and Multiplex Imaging applications.

Use our conjugation kits for antibody conjugates that are ready-to-use in as little as 20 minutes with 1 minute hands-on-time and 100% antibody recovery: available for fluorescent dyes, HRP, biotin and gold.

Compatibility
This product is compatible with the Maxpar® Antibody Labeling Kit from Fluidigm, without the need for antibody preparation. Maxpar® is a trademark of Fluidigm Canada Inc.

Collaborations
This antibody was developed with support from The Michael J. Fox Foundation.

Properties and storage information

Form
Liquid
Purification technique
Affinity purification Protein A
Storage buffer
pH: 7.2 - 7.4 Constituents: PBS
Shipped at conditions
Blue Ice
Appropriate short-term storage conditions
+4°C
Appropriate long-term storage conditions
+4°C
Storage information
Do Not Freeze

Supplementary information

This supplementary information is collated from multiple sources and compiled automatically.

RAB8A is a small GTPase also referred to as Ras-related protein Rab-8A involved in intracellular membrane trafficking. It plays a critical role in the regulation of exocytosis the process by which cells release substances to the extracellular space. RAB8A mainly functions by cycling between an inactive GDP-bound form and an active GTP-bound form facilitating vesicle budding transport and fusion with target membranes. This protein is expressed in various tissues including the brain and pancreas where it assists in important cellular functions. RAB8A has a molecular mass of approximately 24 kDa.
Biological function summary

The small GTPase RAB8A contributes to the biosynthetic transport from the trans-Golgi network to the plasma membrane. It performs this activity in coordination with other proteins as part of a larger complex. RAB8A also plays an essential role in cilia formation and maintenance affecting cell polarity and signaling functions. The protein's ability to regulate vesicle movement makes it important for cellular homeostasis and communication.

Pathways

The regulatory function of RAB8A is significant in the ciliary membrane trafficking pathway and the insulin signaling pathway. Within these pathways RAB8A interacts closely with other proteins like Rab11 and Rabin8 which help support its roles in directing vesicle transport. These interactions are essential for proper cellular signaling and the maintenance of polarized cellular structures further supporting the function of various cellular pathways.

The dysfunction of RAB8A has associations with certain ciliopathies notably Bardet-Biedl syndrome. This condition involves abnormalities in cilia structure and function leading to symptoms like kidney disease vision impairment and obesity. Moreover disruptions in RAB8A have connections with insulin resistance implicating it in metabolic disorders. In the context of these diseases proteins such as BBS proteins and Rab11 play a role in mediating the effects of dysfunctional RAB8A-related pathways.

Product protocols

For this product, it's our understanding that no specific protocols are required. You can visit:

Target data

The small GTPases Rab are key regulators of intracellular membrane trafficking, from the formation of transport vesicles to their fusion with membranes. Rabs cycle between an inactive GDP-bound form and an active GTP-bound form that is able to recruit to membranes different sets of downstream effectors directly responsible for vesicle formation, movement, tethering and fusion. RAB8A is involved in polarized vesicular trafficking and neurotransmitter release. Together with RAB11A, RAB3IP, the exocyst complex, PARD3, PRKCI, ANXA2, CDC42 and DNMBP promotes transcytosis of PODXL to the apical membrane initiation sites (AMIS), apical surface formation and lumenogenesis (PubMed : 20890297). Regulates the compacted morphology of the Golgi (PubMed : 26209634). Together with MYO5B and RAB11A participates in epithelial cell polarization (PubMed : 21282656). Also involved in membrane trafficking to the cilium and ciliogenesis (PubMed : 21844891, PubMed : 30398148, PubMed : 20631154). Together with MICALL2, may also regulate adherens junction assembly (By similarity). May play a role in insulin-induced transport to the plasma membrane of the glucose transporter GLUT4 and therefore play a role in glucose homeostasis (By similarity). Involved in autophagy (PubMed : 27103069). Participates in the export of a subset of neosynthesized proteins through a Rab8-Rab10-Rab11-dependent endososomal export route (PubMed : 32344433). Targeted to and stabilized on stressed lysosomes through LRRK2 phosphorylation (PubMed : 30209220). Suppresses stress-induced lysosomal enlargement through EHBP1 and EHNP1L1 effector proteins (PubMed : 30209220).
See full target information RAB8A

Publications (1)

Recent publications for all applications. Explore the full list and refine your search

NPJ precision oncology 7:95 PubMed37723227

2023

Targeted single-cell proteomic analysis identifies new liquid biopsy biomarkers associated with multiple myeloma.

Applications

Unspecified application

Species

Unspecified reactive species

Sonia M Setayesh,Libere J Ndacayisaba,Kate E Rappard,Valerie Hennes,Luz Yurany Moreno Rueda,Guilin Tang,Pei Lin,Robert Z Orlowski,David E Symer,Elisabet E Manasanch,Stephanie N Shishido,Peter Kuhn
View all publications

Product promise

We are committed to supporting your work with high-quality reagents, and we're here for you every step of the way. In the unlikely event that one of our products does not perform as expected, you're protected by our Product Promise.
For full details, please see our Terms & Conditions

Please note: All products are 'FOR RESEARCH USE ONLY. NOT FOR USE IN DIAGNOSTIC OR THERAPEUTIC PROCEDURES'.

For licensing inquiries, please contact partnerships@abcam.com