JavaScript is disabled in your browser. Please enable JavaScript to view this website.
AB307608

Anti-RAB8A antibody [MJF-R22-79-3] - Mouse IgG2a (Chimeric) - BSA and Azide free

Be the first to review this product! Submit a review

|

(0 Publication)

Mouse Recombinant Monoclonal RAB8A antibody. Carrier free. Suitable for IP, Flow Cyt (Intra), ICC/IF, IHC-P, WB and reacts with Human samples.

View Alternative Names

MEL, RAB8, RAB8A, Ras-related protein Rab-8A, Oncogene c-mel

8 Images
Flow Cytometry (Intracellular) - Anti-RAB8A antibody [MJF-R22-79-3] - Mouse IgG2a (Chimeric) - BSA and Azide free (AB307608)
  • Flow Cyt (Intra)

Supplier Data

Flow Cytometry (Intracellular) - Anti-RAB8A antibody [MJF-R22-79-3] - Mouse IgG2a (Chimeric) - BSA and Azide free (AB307608)

This data was developed using ab307607, the same antibody clone in a different buffer formulation. Flow cytometric analysis of 4% paraformaldehyde-fixed 90% methanol-permeabilized RAB8A KO HeLa (ED010027, Left) / Parental HeLa (EDWT01, Right) cells labeling RAB8A with ab307607 at 1/800 dilution (0.1 ug) (Red) compared with a mouse monoclonal IgG (Black) isotype control and an unlabeled control (cells without incubation with primary antibody and secondary antibody) (Blue). A Goat anti-Mouse IgG (Alexa Fluor® 488, ab150113) at 1/2000 dilution was used as the secondary antibody.

Immunohistochemistry - Anti-RAB8A antibody [MJF-R22-79-3] - Mouse IgG2a (Chimeric) - BSA and Azide free (AB307608)
  • IHC

Supplier Data

Immunohistochemistry - Anti-RAB8A antibody [MJF-R22-79-3] - Mouse IgG2a (Chimeric) - BSA and Azide free (AB307608)

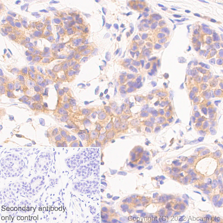
This data was developed using ab307607, the same antibody clone in a different buffer formulation. Immunohistochemical analysis of paraffin-embedded human breast tissue labeling RAB8A with ab307607 at 1/5000 dilution (0.167 µg/mL) followed by ready to use LeicaDS9800 (Bond™ Polymer Refine Detection). Cytoplasmic staining on human breast. The section was incubated with ab307607 for 30 mins at room temperature, followed by anti-mouse IgG2a antibody for 8 mins during the LeicaDS9800 kit staining procedure. The immunostaining was performed on a Leica Biosystems BOND® RX instrument. Counterstained with Hematoxylin. Secondary antibody only control : Secondary antibody is ready to use LeicaDS9800 (Bond™ Polymer Refine Detection). Heat mediated antigen retrieval was performed with Citrate buffer (pH 6.0, Epitope Retrieval Solution 1) for 20 mins.

Immunohistochemistry - Anti-RAB8A antibody [MJF-R22-79-3] - Mouse IgG2a (Chimeric) - BSA and Azide free (AB307608)
  • IHC

Supplier Data

Immunohistochemistry - Anti-RAB8A antibody [MJF-R22-79-3] - Mouse IgG2a (Chimeric) - BSA and Azide free (AB307608)

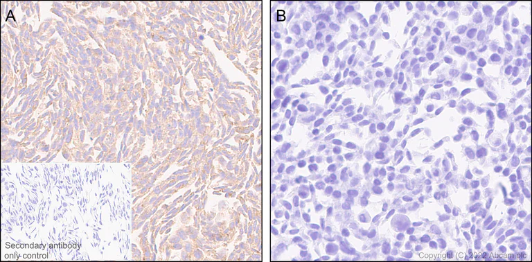
This data was developed using ab307607, the same antibody clone in a different buffer formulation. Immunohistochemical analysis of paraffin-embedded cell pellets labeling RAB8A with ab307607 at 1/5000 dilution (0.167 µg/mL) followed by ready to use LeicaDS9800 (Bond™ Polymer Refine Detection). Cytoplasmic staining on (A) Wild-type HeLa cell pellets, no staining on (B) RAB8A knockout HeLa (ab264993) cell pellets. The section was incubated with ab307607 for 30 mins at room temperature, followed by anti-mouse IgG2a antibody for 8 mins during the LeicaDS9800 kit staining procedure. The immunostaining was performed on a Leica Biosystems BOND® RX instrument. Counterstained with Hematoxylin. Secondary antibody only control : Secondary antibody is ready to use LeicaDS9800 (Bond™ Polymer Refine Detection). Heat mediated antigen retrieval was performed with Citrate buffer (pH 6.0, Epitope Retrieval Solution 1) for 20 mins.

Immunohistochemistry - Anti-RAB8A antibody [MJF-R22-79-3] - Mouse IgG2a (Chimeric) - BSA and Azide free (AB307608)
  • IHC

Supplier Data

Immunohistochemistry - Anti-RAB8A antibody [MJF-R22-79-3] - Mouse IgG2a (Chimeric) - BSA and Azide free (AB307608)

This data was developed using ab307607, the same antibody clone in a different buffer formulation. Immunohistochemical analysis of paraffin-embedded human bladder carcinoma tissue labeling RAB8A with ab307607 at 1/5000 dilution (0.167 µg/mL) followed by ready to use LeicaDS9800 (Bond™ Polymer Refine Detection). Cytoplasmic staining on human bladder carcinoma. The section was incubated with ab307607 for 30 mins at room temperature, followed by anti-mouse IgG2a antibody for 8 mins during the LeicaDS9800 kit staining procedure. The immunostaining was performed on a Leica Biosystems BOND® RX instrument. Counterstained with Hematoxylin. Secondary antibody only control : Secondary antibody is ready to use LeicaDS9800 (Bond™ Polymer Refine Detection). Heat mediated antigen retrieval was performed with Citrate buffer (pH 6.0, Epitope Retrieval Solution 1) for 20 mins.

Immunocytochemistry/ Immunofluorescence - Anti-RAB8A antibody [MJF-R22-79-3] - Mouse IgG2a (Chimeric) - BSA and Azide free (AB307608)
  • ICC/IF

Supplier Data

Immunocytochemistry/ Immunofluorescence - Anti-RAB8A antibody [MJF-R22-79-3] - Mouse IgG2a (Chimeric) - BSA and Azide free (AB307608)

This data was developed using ab307607, the same antibody clone in a different buffer formulation. Immunofluorescent analysis of 4% Paraformaldehyde-fixed, 0.1% Triton X-100 permeabilized A549 (human lung carcinoma epithelial cell) cells labeling RAB8A with ab307607 at 1/500 dilution, followed by ab98712 Goat Anti-Mouse IgG Fc (DyLight® 488) preadsorbed antibody at 1/1000 dilution (2 µg/ml) (Green). Confocal image showing cytoplasmic staining in A549 cell line. Image was taken with a confocal microscope (Leica-Microsystems, TCS SP8). ab202272 Recombinant Alexa Fluor® 594 Anti-alpha Tubulin antibody [EP1332Y] - Microtubule Marker (ab202272) was used to counterstain tubulin at 1/50 dilution (10 ug/ml) (Red). Nuclear counterstain was DAPI (Blue). Secondary antibody only control : Secondary antibody is ab98712 Goat Anti-Mouse IgG Fc (DyLight® 488) preadsorbed at 1/1000 dilution (2 µg/ml).

Immunocytochemistry/ Immunofluorescence - Anti-RAB8A antibody [MJF-R22-79-3] - Mouse IgG2a (Chimeric) - BSA and Azide free (AB307608)
  • ICC/IF

Supplier Data

Immunocytochemistry/ Immunofluorescence - Anti-RAB8A antibody [MJF-R22-79-3] - Mouse IgG2a (Chimeric) - BSA and Azide free (AB307608)

This data was developed using ab307607, the same antibody clone in a different buffer formulation. Immunofluorescent analysis of 4% Paraformaldehyde-fixed, 0.1% Triton X-100 permeabilized RAB8A KO HeLa (RAB8A knockout human cervical adenocarcinoma epithelial cell) (ab264993) cells labeling RAB8A with ab307607 at 1/500 dilution, followed by ab98712 Goat Anti-Mouse IgG Fc (DyLight® 488) preadsorbed antibody at 1/1000 dilution (2 µg/ml) (Green). Confocal image showing cytoplasmic staining in Parental HeLa cell line, and no staining in RAB8A KO HeLa cell line. Image was taken with a confocal microscope (Leica-Microsystems, TCS SP8). ab202272 Recombinant Alexa Fluor® 594 Anti-alpha Tubulin antibody [EP1332Y] - Microtubule Marker (ab202272) was used to counterstain tubulin at 1/50 dilution (10 µg/ml) (Red). Nuclear counterstain was DAPI (Blue). Secondary antibody only control : Secondary antibody is ab98712 Goat Anti-Mouse IgG Fc (DyLight® 488) preadsorbed at 1/1000 dilution (2 µg/ml).

Immunoprecipitation - Anti-RAB8A antibody [MJF-R22-79-3] - Mouse IgG2a (Chimeric) - BSA and Azide free (AB307608)
  • IP

Supplier Data

Immunoprecipitation - Anti-RAB8A antibody [MJF-R22-79-3] - Mouse IgG2a (Chimeric) - BSA and Azide free (AB307608)

This data was developed using ab307607, the same antibody clone in a different buffer formulation. RAB8A was immunoprecipitated from 0.35 mg A549 (human lung carcinoma epithelial cell) whole cell lysate 10 ug with ab307607 at 1/30 dilution (2µg in 0.35mg lysates). Western blot was performed on the immunoprecipitate using ab307607 at 1/1000 dilution. VeriBlot for IP secondary antibody(HRP)(ab131366) was used at 1/5000 dilution. Lane 1 : A549 whole cell lysate 10 ug Lane 2 : ab307607 IP in A549 whole cell lysate Lane 3 : Mouse IgG2a monoclonal isotype control (ab18413) instead of ab307607 in A549 whole cell lysate Blocking and dilution buffer and concentration : 5% NFDM/TBST. Exposure time : 24 seconds.

All lanes:

Immunoprecipitation - Anti-RAB8A antibody [MJF-R22-79-3] - Mouse IgG2a (Chimeric) (<a href='/en-us/products/primary-antibodies/rab8a-antibody-mjf-r22-79-3-mouse-igg2a-chimeric-ab307607'>ab307607</a>) at 1/1000 dilution

Lane 1:

A549 (human lung carcinoma epithelial cell) whole cell lysate 10 μg

Lane 2:

A549 whole cell lysate

Observed band size: 23 kDa

false

Exposure time: 24s

Western blot - Anti-RAB8A antibody [MJF-R22-79-3] - Mouse IgG2a (Chimeric) - BSA and Azide free (AB307608)
  • WB

Supplier Data

Western blot - Anti-RAB8A antibody [MJF-R22-79-3] - Mouse IgG2a (Chimeric) - BSA and Azide free (AB307608)

This data was developed using ab307607, the same antibody clone in a different buffer formulation. Blocking and diluting buffer and concentration : 5% NFDM/TBST. In Western blot, ab307607 was shown to bind specifically to RAB8A. A band was observed at 23 kDa in wild-type HeLa cell lysates with whereas no signal observed at this size in RAB8A knockout cell line ab264993 (knockout cell lysate ab257195). Exposure time : 48 seconds.

All lanes:

Western blot - Anti-RAB8A antibody [MJF-R22-79-3] - Mouse IgG2a (Chimeric) (<a href='/en-us/products/primary-antibodies/rab8a-antibody-mjf-r22-79-3-mouse-igg2a-chimeric-ab307607'>ab307607</a>) at 1/5000 dilution

Lane 1:

Wild-type HeLa (human cervix adenocarcinoma epithelial cell), whole cell lysate 20 μg

Lane 2:

RAB8A knockout HeLa (human cervix adenocarcinoma epithelial cell), whole cell lysate 20 μg

Lane 3:

HCT116 (human colorectal carcinoma epithelial cell)whole cell lysate 20 μg

Lane 4:

A549 (human lung carcinoma epithelial cell), whole cell lysate 20 μg

Observed band size: 23 kDa

false

Exposure time: 48s

Key facts

Host species

Mouse

Clonality

Monoclonal

Clone number

MJF-R22-79-3

Isotype

IgG2a

Carrier free

Yes

Reacts with

Human

Applications

WB, IP, IHC-P, Flow Cyt (Intra), ICC/IF

applications

Immunogen

The exact immunogen used to generate this antibody is proprietary information.

Reactivity data

{ "title": "Reactivity Data", "filters": { "stats": ["", "Species", "Dilution Info", "Notes"], "tabs": { "all-applications": {"fullname" : "All Applications", "shortname": "All Applications"}, "IP" : {"fullname" : "Immunoprecipitation", "shortname":"IP"}, "FlowCytIntra" : {"fullname" : "Flow Cytometry (Intracellular)", "shortname":"Flow Cyt (Intra)"}, "ICCIF" : {"fullname" : "Immunocytochemistry/ Immunofluorescence", "shortname":"ICC/IF"}, "IHCP" : {"fullname" : "Immunohistochemistry (Formalin/PFA-fixed paraffin-embedded sections)", "shortname":"IHC-P"}, "WB" : {"fullname" : "Western blot", "shortname":"WB"} }, "product-promise": { "all": "all", "testedAndGuaranteed": "tested", "guaranteed": "expected", "predicted": "predicted", "notRecommended": "not-recommended" } }, "values": { "Human": { "IP-species-checked": "testedAndGuaranteed", "IP-species-dilution-info": "", "IP-species-notes": "<p></p>", "FlowCytIntra-species-checked": "testedAndGuaranteed", "FlowCytIntra-species-dilution-info": "", "FlowCytIntra-species-notes": "<p></p>", "ICCIF-species-checked": "testedAndGuaranteed", "ICCIF-species-dilution-info": "", "ICCIF-species-notes": "<p></p>", "IHCP-species-checked": "testedAndGuaranteed", "IHCP-species-dilution-info": "", "IHCP-species-notes": "<p></p>", "WB-species-checked": "testedAndGuaranteed", "WB-species-dilution-info": "", "WB-species-notes": "<p></p>" } } }

Product details

This mouse monoclonal chimeric antibody (ab307608) is a carrier free version of ab307607

What are the advantages of a recombinant monoclonal antibody?
This product is a recombinant monoclonal antibody, which offers several advantages including:

  • - High batch-to-batch consistency and reproducibility
  • - Improved sensitivity and specificity
  • - Long-term security of supply
  • - Animal-free batch production

For more information, read more on recombinant antibodies.

Conjugation ready
Our carrier-free antibodies are typically supplied in a PBS-only formulation, purified and free of BSA, sodium azide and glycerol. This conjugation-ready format is designed for use with fluorochromes, metal isotopes, oligonucleotides, and enzymes, which makes them ideal for antibody labelling, functional and cell-based assays, flow-based assays (e.g. mass cytometry) and Multiplex Imaging applications.

Use our conjugation kits for antibody conjugates that are ready-to-use in as little as 20 minutes with 1 minute hands-on-time and 100% antibody recovery: available for fluorescent dyes, HRP, biotin and gold.

Compatibility
This product is compatible with the Maxpar® Antibody Labeling Kit from Fluidigm, without the need for antibody preparation. Maxpar® is a trademark of Fluidigm Canada Inc.

Patented technology
Our RabMAb® technology is a patented hybridoma-based technology for making rabbit monoclonal antibodies. For details on our patents, please refer to RabMAb® patents.

Properties and storage information

Form
Liquid
Purification technique
Affinity purification Protein A
Storage buffer
pH: 7.2 - 7.4 Constituents: PBS
Shipped at conditions
Blue Ice
Appropriate short-term storage conditions
+4°C
Appropriate long-term storage conditions
+4°C

Supplementary information

This supplementary information is collated from multiple sources and compiled automatically.

RAB8A is a small GTPase also referred to as Ras-related protein Rab-8A involved in intracellular membrane trafficking. It plays a critical role in the regulation of exocytosis the process by which cells release substances to the extracellular space. RAB8A mainly functions by cycling between an inactive GDP-bound form and an active GTP-bound form facilitating vesicle budding transport and fusion with target membranes. This protein is expressed in various tissues including the brain and pancreas where it assists in important cellular functions. RAB8A has a molecular mass of approximately 24 kDa.
Biological function summary

The small GTPase RAB8A contributes to the biosynthetic transport from the trans-Golgi network to the plasma membrane. It performs this activity in coordination with other proteins as part of a larger complex. RAB8A also plays an essential role in cilia formation and maintenance affecting cell polarity and signaling functions. The protein's ability to regulate vesicle movement makes it important for cellular homeostasis and communication.

Pathways

The regulatory function of RAB8A is significant in the ciliary membrane trafficking pathway and the insulin signaling pathway. Within these pathways RAB8A interacts closely with other proteins like Rab11 and Rabin8 which help support its roles in directing vesicle transport. These interactions are essential for proper cellular signaling and the maintenance of polarized cellular structures further supporting the function of various cellular pathways.

The dysfunction of RAB8A has associations with certain ciliopathies notably Bardet-Biedl syndrome. This condition involves abnormalities in cilia structure and function leading to symptoms like kidney disease vision impairment and obesity. Moreover disruptions in RAB8A have connections with insulin resistance implicating it in metabolic disorders. In the context of these diseases proteins such as BBS proteins and Rab11 play a role in mediating the effects of dysfunctional RAB8A-related pathways.

Product protocols

For this product, it's our understanding that no specific protocols are required. You can visit:

Target data

The small GTPases Rab are key regulators of intracellular membrane trafficking, from the formation of transport vesicles to their fusion with membranes. Rabs cycle between an inactive GDP-bound form and an active GTP-bound form that is able to recruit to membranes different sets of downstream effectors directly responsible for vesicle formation, movement, tethering and fusion. That Rab is involved in polarized vesicular trafficking and neurotransmitter release. Together with RAB11A, RAB3IP, the exocyst complex, PARD3, PRKCI, ANXA2, CDC42 and DNMBP promotes transcytosis of PODXL to the apical membrane initiation sites (AMIS), apical surface formation and lumenogenesis (PubMed : 20890297). Regulates the compacted morphology of the Golgi (PubMed : 26209634). Together with MYO5B and RAB11A participates in epithelial cell polarization (PubMed : 21282656). Also involved in membrane trafficking to the cilium and ciliogenesis (PubMed : 21844891, PubMed : 30398148). Together with MICALL2, may also regulate adherens junction assembly (By similarity). May play a role in insulin-induced transport to the plasma membrane of the glucose transporter GLUT4 and therefore play a role in glucose homeostasis (By similarity). Involved in autophagy (PubMed : 27103069). Participates in the export of a subset of neosynthesized proteins through a Rab8-Rab10-Rab11-dependent endososomal export route (PubMed : 32344433). Targeted to and stabilized on stressed lysosomes through LRRK2 phosphorylation (PubMed : 30209220). Suppresses stress-induced lysosomal enlargement through EHBP1 and EHNP1L1 effector proteins (PubMed : 30209220).
See full target information RAB8A

Product promise

We are committed to supporting your work with high-quality reagents, and we're here for you every step of the way. In the unlikely event that one of our products does not perform as expected, you're protected by our Product Promise.
For full details, please see our Terms & Conditions

Please note: All products are 'FOR RESEARCH USE ONLY. NOT FOR USE IN DIAGNOSTIC OR THERAPEUTIC PROCEDURES'.

For licensing inquiries, please contact partnerships@abcam.com