JavaScript is disabled in your browser. Please enable JavaScript to view this website.
AB267492

Anti-RAB8A (phospho S111) antibody [MJF-R27-30]

Be the first to review this product! Submit a review

|

(1 Publication)

Rabbit Recombinant Monoclonal RAB8A phospho S111 antibody. Suitable for WB and reacts with Mouse, Human samples. Cited in 1 publication.

View Alternative Names

MEL, RAB8, RAB8A, Ras-related protein Rab-8A, Oncogene c-mel

2 Images
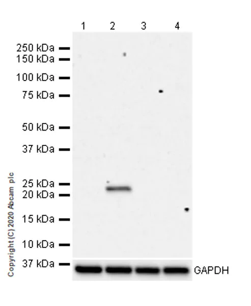
Western blot - Anti-RAB8A (phospho S111) antibody [MJF-R27-30] (AB267492)
  • WB

Lab

Western blot - Anti-RAB8A (phospho S111) antibody [MJF-R27-30] (AB267492)

Blocking and diluting buffer and concentration : 5% NFDM/TBST.

CCCP (carbonyl cyanide m-chlorophenyl hydrazone) inhibits oxidative phosphorylation.

The lysates were kindly provided by Pawan Singh Ph.D, University of Dundee.

Exposure time : 3min

All lanes:

Western blot - Anti-RAB8A (phospho S111) antibody [MJF-R27-30] (ab267492) at 1/1000 dilution

Lane 1:

Wild-type HeLa (human cervix adenocarcinoma epithelial cell) treated with DMSO at 20 µg

Lane 2:

Wild-type HeLa (human cervix adenocarcinoma epithelial cell) treated with 10 uM CCCP at 20 µg

Lane 3:

RAB8A knockout HeLa (human cervix adenocarcinoma epithelial cell) treated with DMSO at 20 µg

Lane 4:

RAB8A knockout HeLa (human cervix adenocarcinoma epithelial cell) treated with 10 uM CCCP at 20 µg

Secondary

All lanes:

Western blot - Goat Anti-Rabbit IgG H&L (HRP) (<a href='/en-us/products/secondary-antibodies/goat-rabbit-igg-h-l-hrp-ab97051'>ab97051</a>) at 1/100000 dilution

Predicted band size: 24 kDa

Observed band size: 23 kDa

false

Western blot - Anti-RAB8A (phospho S111) antibody [MJF-R27-30] (AB267492)
  • WB

Collaborator

Western blot - Anti-RAB8A (phospho S111) antibody [MJF-R27-30] (AB267492)

10 ug/well NIH/3T3 (Mouse embryonic fibroblast cell line) whole cell lysate. Anti-RAB8A (phospho S111) antibody (ab267492) and Anti-RAB8A antibody (ab188574) at 1/1000 dilution. Gel : 4-20% TGX gel Blocking buffer : 5% BSA blocking buffer

false

  • Carrier free

    Anti-RAB8A (phospho S111) antibody [MJF-R27-30] - BSA and Azide free

Key facts

Host species

Rabbit

Clonality

Monoclonal

Clone number

MJF-R27-30

Isotype

IgG

Carrier free

No

Reacts with

Mouse, Human

Applications

WB

applications

Immunogen

The exact immunogen used to generate this antibody is proprietary information.

Reactivity data

{ "title": "Reactivity Data", "filters": { "stats": ["", "Species", "Dilution Info", "Notes"], "tabs": { "all-applications": {"fullname" : "All Applications", "shortname": "All Applications"}, "WB" : {"fullname" : "Western blot", "shortname":"WB"} }, "product-promise": { "all": "all", "testedAndGuaranteed": "tested", "guaranteed": "expected", "predicted": "predicted", "notRecommended": "not-recommended" } }, "values": { "Human": { "WB-species-checked": "testedAndGuaranteed", "WB-species-dilution-info": "1/1000", "WB-species-notes": "<p></p>" }, "Mouse": { "WB-species-checked": "testedAndGuaranteed", "WB-species-dilution-info": "1/1000", "WB-species-notes": "<p></p>" } } }

Product details

Patented technology
Our RabMAb® technology is a patented hybridoma-based technology for making rabbit monoclonal antibodies. For details on our patents, please refer to RabMAb® patents.

What are the advantages of a recombinant monoclonal antibody?
This product is a recombinant monoclonal antibody, which offers several advantages including:

  • - High batch-to-batch consistency and reproducibility
  • - Improved sensitivity and specificity
  • - Long-term security of supply
  • - Animal-free batch production

For more information, read more on recombinant antibodies.

Collaborations
This antibody was developed with support from The Michael J. Fox Foundation.

Properties and storage information

Form
Liquid
Purification technique
Affinity purification Protein A
Storage buffer
pH: 7.2 - 7.4 Preservative: 0.01% Sodium azide Constituents: PBS, 40% Glycerol (glycerin, glycerine), 0.05% BSA
Shipped at conditions
Blue Ice
Appropriate short-term storage duration
1-2 weeks
Appropriate short-term storage conditions
+4°C
Appropriate long-term storage conditions
-20°C
Aliquoting information
Upon delivery aliquot
Storage information
Avoid freeze / thaw cycle

Supplementary information

This supplementary information is collated from multiple sources and compiled automatically.

RAB8A is a small GTPase also referred to as Ras-related protein Rab-8A involved in intracellular membrane trafficking. It plays a critical role in the regulation of exocytosis the process by which cells release substances to the extracellular space. RAB8A mainly functions by cycling between an inactive GDP-bound form and an active GTP-bound form facilitating vesicle budding transport and fusion with target membranes. This protein is expressed in various tissues including the brain and pancreas where it assists in important cellular functions. RAB8A has a molecular mass of approximately 24 kDa.
Biological function summary

The small GTPase RAB8A contributes to the biosynthetic transport from the trans-Golgi network to the plasma membrane. It performs this activity in coordination with other proteins as part of a larger complex. RAB8A also plays an essential role in cilia formation and maintenance affecting cell polarity and signaling functions. The protein's ability to regulate vesicle movement makes it important for cellular homeostasis and communication.

Pathways

The regulatory function of RAB8A is significant in the ciliary membrane trafficking pathway and the insulin signaling pathway. Within these pathways RAB8A interacts closely with other proteins like Rab11 and Rabin8 which help support its roles in directing vesicle transport. These interactions are essential for proper cellular signaling and the maintenance of polarized cellular structures further supporting the function of various cellular pathways.

The dysfunction of RAB8A has associations with certain ciliopathies notably Bardet-Biedl syndrome. This condition involves abnormalities in cilia structure and function leading to symptoms like kidney disease vision impairment and obesity. Moreover disruptions in RAB8A have connections with insulin resistance implicating it in metabolic disorders. In the context of these diseases proteins such as BBS proteins and Rab11 play a role in mediating the effects of dysfunctional RAB8A-related pathways.

Product protocols

For this product, it's our understanding that no specific protocols are required. You can visit:

Target data

The small GTPases Rab are key regulators of intracellular membrane trafficking, from the formation of transport vesicles to their fusion with membranes. Rabs cycle between an inactive GDP-bound form and an active GTP-bound form that is able to recruit to membranes different sets of downstream effectors directly responsible for vesicle formation, movement, tethering and fusion. That Rab is involved in polarized vesicular trafficking and neurotransmitter release. Together with RAB11A, RAB3IP, the exocyst complex, PARD3, PRKCI, ANXA2, CDC42 and DNMBP promotes transcytosis of PODXL to the apical membrane initiation sites (AMIS), apical surface formation and lumenogenesis (PubMed : 20890297). Regulates the compacted morphology of the Golgi (PubMed : 26209634). Together with MYO5B and RAB11A participates in epithelial cell polarization (PubMed : 21282656). Also involved in membrane trafficking to the cilium and ciliogenesis (PubMed : 21844891, PubMed : 30398148). Together with MICALL2, may also regulate adherens junction assembly (By similarity). May play a role in insulin-induced transport to the plasma membrane of the glucose transporter GLUT4 and therefore play a role in glucose homeostasis (By similarity). Involved in autophagy (PubMed : 27103069). Participates in the export of a subset of neosynthesized proteins through a Rab8-Rab10-Rab11-dependent endososomal export route (PubMed : 32344433). Targeted to and stabilized on stressed lysosomes through LRRK2 phosphorylation (PubMed : 30209220). Suppresses stress-induced lysosomal enlargement through EHBP1 and EHNP1L1 effector proteins (PubMed : 30209220).
See full target information RAB8A phospho S111

Publications (1)

Recent publications for all applications. Explore the full list and refine your search

Autophagy 19:1711-1732 PubMed36469690

2022

Substitution of PINK1 Gly411 modulates substrate receptivity and turnover.

Applications

Unspecified application

Species

Unspecified reactive species

Fabienne C Fiesel,Dominika Fričová,Caleb S Hayes,Mathew A Coban,Roman Hudec,Jenny M Bredenberg,Benjamin J Broadway,Briana N Markham,Tingxiang Yan,Paige K Boneski,Gabriella Fiorino,Jens O Watzlawik,Xu Hou,Arthur M McCarty,Laura J Lewis-Tuffin,Jun Zhong,Benjamin J Madden,Alban Ordureau,Heeseon An,Andreas Puschmann,Zbigniew K Wszolek,Owen A Ross,J Wade Harper,Thomas R Caulfield,Wolfdieter Springer
View all publications

Product promise

We are committed to supporting your work with high-quality reagents, and we're here for you every step of the way. In the unlikely event that one of our products does not perform as expected, you're protected by our Product Promise.
For full details, please see our Terms & Conditions

Please note: All products are 'FOR RESEARCH USE ONLY. NOT FOR USE IN DIAGNOSTIC OR THERAPEUTIC PROCEDURES'.

For licensing inquiries, please contact partnerships@abcam.com