JavaScript is disabled in your browser. Please enable JavaScript to view this website.
AB2810

Anti-Rab9 antibody [Mab9] - Late Endosome Marker

4

(12 Reviews)

|

(32 Publications)

Mouse Monoclonal Rab9 antibody. Suitable for IHC-P, WB and reacts with Human samples. Cited in 32 publications.

View Alternative Names

RAB9, RAB9A, Ras-related protein Rab-9A

5 Images
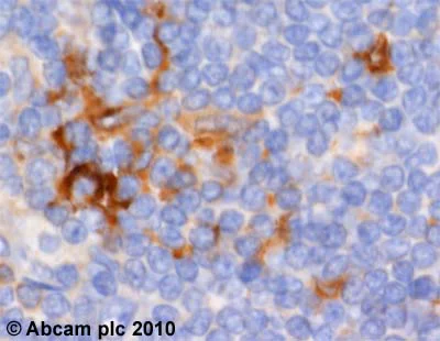
Immunohistochemistry (Formalin/PFA-fixed paraffin-embedded sections) - Anti-Rab9 antibody [Mab9] - Late Endosome Marker (AB2810)
  • IHC-P

Unknown

Immunohistochemistry (Formalin/PFA-fixed paraffin-embedded sections) - Anti-Rab9 antibody [Mab9] - Late Endosome Marker (AB2810)

IHC image of Rab9 staining in human normal tonsil FFPE section, performed on a BondTM system using the standard protocol F. The section was pre-treated using heat mediated antigen retrieval with sodium citrate buffer (pH6, epitope retrieval solution 1) for 20 mins. The section was then incubated with ab2810, 5µg/ml, for 15 mins at room temperature and detected using an HRP conjugated compact polymer system. DAB was used as the chromogen. The section was then counterstained with haematoxylin and mounted with DPX

Immunohistochemistry (Formalin/PFA-fixed paraffin-embedded sections) - Anti-Rab9 antibody [Mab9] - Late Endosome Marker (AB2810)
  • IHC-P

Unknown

Immunohistochemistry (Formalin/PFA-fixed paraffin-embedded sections) - Anti-Rab9 antibody [Mab9] - Late Endosome Marker (AB2810)

ab2810 (2µg/ml) staining Rab9 in human spleen, using an automated system (DAKO Autostainer Plus). Using this protocol there is strong cytoplasmic and cell membrane staining.
Sections were rehydrated and antigen retrieved with the Dako 3 in 1 AR buffer citrate pH6.1 in a DAKO PT link. Slides were peroxidase blocked in 3% H2O2 in methanol for 10 mins. They were then blocked with Dako Protein block for 10 minutes (containing casein 0.25% in PBS) then incubated with primary antibody for 20 min and detected with Dako envision flex amplification kit for 30 minutes. Colorimetric detection was completed with Diaminobenzidine for 5 minutes. Slides were counterstained with Haematoxylin and coverslipped under DePeX. Please note that, for manual staining, optimization of primary antibody concentration and incubation time is recommended. Signal amplification may be required.

Immunohistochemistry (Formalin/PFA-fixed paraffin-embedded sections) - Anti-Rab9 antibody [Mab9] - Late Endosome Marker (AB2810)
  • IHC-P

AbReview35316****

Immunohistochemistry (Formalin/PFA-fixed paraffin-embedded sections) - Anti-Rab9 antibody [Mab9] - Late Endosome Marker (AB2810)

ab2810 staining Rab9 in Mouse adult testes tissue sections by Immunohistochemistry (IHC-P - paraformaldehyde-fixed, paraffin-embedded sections). Tissue was fixed with 4% paraformaldehyde and blocked with 5% BSA for 60 minutes at 25°C; antigen retrieval was by heat mediation in a citrate buffer. Samples were incubated with primary antibody (1/100 in 1% BSA) for 15 hours at 4°C. A TRITC-conjugated Donkey anti-mouse IgG polyclonal (1/200) was used as the secondary antibody.

This image is courtesy of an Abreview submitted by Qin Wen

Western blot - Anti-Rab9 antibody [Mab9] - Late Endosome Marker (AB2810)
  • WB

Lab

Western blot - Anti-Rab9 antibody [Mab9] - Late Endosome Marker (AB2810)

Lanes 1-4 : Merged signal (red and green). Green - ab2810 observed at 25 kDa. Red - loading control ab181602 observed at 36 kDa.

ab2810 Anti-Rab9 antibody [Mab9] was shown to specifically react with Rab9 in wild-type HeLa cells. Loss of signal was observed when knockout cell line ab265693 (knockout cell lysate ab257625) was used. Wild-type and Rab9 knockout samples were subjected to SDS-PAGE. ab2810 and Anti-GAPDH antibody[EPR16891] - Loading Control (ab181602) were incubated at room temperature for 2. 5 hours at 1 in 1000 dilution and 1 in 20000 dilution respectively. Blots were developed with Goat anti-Rabbit IgG H&L (IRDye® 800CW) preadsorbed (ab216773) and Goat anti-Mouse IgG H&L (IRDye® 680RD) preadsorbed (ab216776) secondary antibodies at 1 in 20000 dilution for 1 hour at room temperature before imaging.

All lanes:

Western blot - Anti-Rab9 antibody [Mab9] - Late Endosome Marker (ab2810) at 1/1000 dilution

Lane 1:

Wild-type HeLa cell lysate at 20 µg

Lane 2:

RAB9A knockout HeLa cell lysate at 20 µg

Lane 2:

Western blot - Human RAB9A (Rab9) knockout HeLa cell line (<a href='/en-us/products/cell-lines/human-rab9a-rab9-knockout-hela-cell-line-ab265693'>ab265693</a>)

Lane 3:

MCF7 cell lysate at 20 µg

Lane 4:

MDA-MB-231 cell lysate at 20 µg

Secondary

All lanes:

Western blot - Goat Anti-Rabbit IgG H&L (IRDye® 680RD) preadsorbed (<a href='/en-us/products/secondary-antibodies/goat-rabbit-igg-h-l-irdye-680rd-preadsorbed-ab216777'>ab216777</a>) at 1/10000 dilution

Predicted band size: 23 kDa

Observed band size: 25 kDa

false

Western blot - Anti-Rab9 antibody [Mab9] - Late Endosome Marker (AB2810)
  • WB

Project

Western blot - Anti-Rab9 antibody [Mab9] - Late Endosome Marker (AB2810)

All lanes:

Western blot - Anti-Rab9 antibody [Mab9] - Late Endosome Marker (ab2810) at 10 µg/mL

Lane 1:

HeLa (Human epithelial carcinoma cell line) Whole Cell Lysate at 10 µg

Lane 2:

HEK293 (Human embryonic kidney cell line) Whole Cell Lysate at 10 µg

Lane 3:

Jurkat (Human T cell lymphoblast-like cell line) Whole Cell Lysate at 10 µg

Lane 4:

HepG2 (Human hepatocellular liver carcinoma cell line) Whole Cell Lysate at 10 µg

Lane 5:

K562 (Human erythromyeloblastoid leukemia cell line) Whole Cell Lysate at 10 µg

Secondary

All lanes:

Western blot - Goat Anti-Mouse IgG H&L (HRP) preadsorbed (<a href='/en-us/products/secondary-antibodies/goat-mouse-igg-h-l-hrp-preadsorbed-ab97040'>ab97040</a>) at 1/5000 dilution

Predicted band size: 23 kDa

Observed band size: 22 kDa,48 kDa,70 kDa

true

Exposure time: 20min

Key facts

Host species

Mouse

Clonality

Monoclonal

Clone number

Mab9

Isotype

IgG1

Carrier free

No

Reacts with

Human

Applications

IHC-P, WB

applications

Immunogen

The exact immunogen used to generate this antibody is proprietary information.

Reactivity data

{ "title": "Reactivity Data", "filters": { "stats": ["", "Species", "Dilution Info", "Notes"], "tabs": { "all-applications": {"fullname" : "All Applications", "shortname": "All Applications"}, "IHCP" : {"fullname" : "Immunohistochemistry (Formalin/PFA-fixed paraffin-embedded sections)", "shortname":"IHC-P"}, "FlowCytIntra" : {"fullname" : "Flow Cytometry (Intracellular)", "shortname":"Flow Cyt (Intra)"}, "WB" : {"fullname" : "Western blot", "shortname":"WB"} }, "product-promise": { "all": "all", "testedAndGuaranteed": "tested", "guaranteed": "expected", "predicted": "predicted", "notRecommended": "not-recommended" } }, "values": { "Human": { "IHCP-species-checked": "testedAndGuaranteed", "IHCP-species-dilution-info": "5 µg/mL", "IHCP-species-notes": "<p></p> Perform heat-mediated antigen retrieval before commencing with IHC staining protocol.", "FlowCytIntra-species-checked": "notRecommended", "FlowCytIntra-species-dilution-info": "1/100", "FlowCytIntra-species-notes": "<p><a href='/en-us/products/primary-antibodies/mouse-igg1-kappa-monoclonal-15-6e10a7-isotype-control-ab170190'>ab170190</a> - Mouse monoclonal IgG1, is suitable for use as an isotype control with this antibody.</p>", "WB-species-checked": "testedAndGuaranteed", "WB-species-dilution-info": "10 µg/mL", "WB-species-notes": "<p></p>" }, "Mouse": { "IHCP-species-checked": "predicted", "IHCP-species-dilution-info": "", "IHCP-species-notes": "", "FlowCytIntra-species-checked": "notRecommended", "FlowCytIntra-species-dilution-info": "", "FlowCytIntra-species-notes": "", "WB-species-checked": "predicted", "WB-species-dilution-info": "", "WB-species-notes": "" }, "Rat": { "IHCP-species-checked": "predicted", "IHCP-species-dilution-info": "", "IHCP-species-notes": "", "FlowCytIntra-species-checked": "notRecommended", "FlowCytIntra-species-dilution-info": "", "FlowCytIntra-species-notes": "", "WB-species-checked": "predicted", "WB-species-dilution-info": "", "WB-species-notes": "" }, "Cow": { "IHCP-species-checked": "predicted", "IHCP-species-dilution-info": "", "IHCP-species-notes": "", "FlowCytIntra-species-checked": "notRecommended", "FlowCytIntra-species-dilution-info": "", "FlowCytIntra-species-notes": "", "WB-species-checked": "predicted", "WB-species-dilution-info": "", "WB-species-notes": "" }, "Dog": { "IHCP-species-checked": "predicted", "IHCP-species-dilution-info": "", "IHCP-species-notes": "", "FlowCytIntra-species-checked": "notRecommended", "FlowCytIntra-species-dilution-info": "", "FlowCytIntra-species-notes": "", "WB-species-checked": "predicted", "WB-species-dilution-info": "", "WB-species-notes": "" }, "Hamster": { "IHCP-species-checked": "predicted", "IHCP-species-dilution-info": "", "IHCP-species-notes": "", "FlowCytIntra-species-checked": "notRecommended", "FlowCytIntra-species-dilution-info": "", "FlowCytIntra-species-notes": "", "WB-species-checked": "predicted", "WB-species-dilution-info": "", "WB-species-notes": "" }, "Primates": { "IHCP-species-checked": "predicted", "IHCP-species-dilution-info": "", "IHCP-species-notes": "", "FlowCytIntra-species-checked": "notRecommended", "FlowCytIntra-species-dilution-info": "", "FlowCytIntra-species-notes": "", "WB-species-checked": "predicted", "WB-species-dilution-info": "", "WB-species-notes": "" } } }

Product details

Want a custom formulation?
This antibody clone is manufactured by Abcam. If you require a custom buffer formulation or conjugation for your experiments, please contact orders@abcam.com

Properties and storage information

Form
Liquid
Purification technique
Affinity purification
Storage buffer
pH: 7.4 Preservative: 0.02% Sodium azide Constituents: PBS, 6.97% L-Arginine
Shipped at conditions
Blue Ice
Appropriate short-term storage conditions
+4°C
Appropriate long-term storage conditions
-20°C
Aliquoting information
Upon delivery aliquot
Storage information
Avoid freeze / thaw cycle

Supplementary information

This supplementary information is collated from multiple sources and compiled automatically.

Rab9 also known as Ras-related protein Rab-9A is a small GTPase and part of the Rab family with a mass of around 23 kDa. This protein mainly resides in the trans-Golgi network and late endosomes. Rab9 plays an important role in the transport of mannose 6-phosphate receptors between late endosomes and the Golgi apparatus facilitating cargo sorting and vesicular trafficking in cells.
Biological function summary

Rab9 coordinates several intracellular trafficking processes aiding in the regulation of membrane identity. It associates with other effectors such as tail-interacting protein (TIP47) to form complexes on the endosomal surface. These complexes help in vesicular transport ensuring efficient recycling of receptors. Rab9 impacts endosome maturation and transport making it an essential endosome marker.

Pathways

Rab9 influences and is involved in the regulation of the endocytic and secretory pathways. It interacts with proteins like Rab7 another GTPase to manage late endosome and lysosome transport. These interactions underline Rab9's functionalities in intracellular trafficking and recycling processes relying on cooperative interactions with other Rabs and their effectors.

Rab9 plays a role in conditions like Niemann-Pick disease type C and some neurological disorders. Disruption in Rab9 function may affect lipid trafficking and lead to accumulation of cholesterol in late endosomes. This links Rab9 indirectly to proteins such as NPC1 which is known to be implicated in cholesterol homeostasis. Understanding Rab9's involvement can help inform therapeutic strategies targeting these pathways in related diseases.

Product protocols

For this product, it's our understanding that no specific protocols are required. You can visit:

Target data

Involved in the transport of proteins between the endosomes and the trans Golgi network. Involved in the recruitment of SGSM2 to melanosomes and is required for the proper trafficking of melanogenic enzymes TYR, TYRP1 and DCT/TYRP2 to melanosomes in melanocytes.
See full target information RAB9A

Publications (32)

Recent publications for all applications. Explore the full list and refine your search

Developmental cell 60:2744-2760.e9 PubMed40460835

2025

ATG9A and ARFIP2 cooperate to control PI4P levels for lysosomal repair.

Applications

Unspecified application

Species

Unspecified reactive species

Stefano De Tito,Eugenia Almacellas,Daniel Dai Yu,Emily Millard,Wenxin Zhang,Cecilia de Heus,Christophe Queval,Javier H Hervás,Enrica Pellegrino,Ioanna Panagi,Ditte Fogde,Teresa L M Thurston,Judith Klumperman,Maximiliano Gutierrez,Sharon A Tooze

Cellular and molecular life sciences : CMLS 82:128 PubMed40128454

2025

The HBV large envelope protein initiates virion assembly by recruiting capsids at membrane rich domains related to late endosome.

Applications

Unspecified application

Species

Unspecified reactive species

Florian Seigneuret,Sébastien Eymieux,Vanessa Sarabia-Vega,Roxane Lemoine,Julien Burlaud-Gaillard,Pierre Raynal,Christophe Hourioux,Camille Sureau,Philippe Roingeard,Hugues de Rocquigny

Small (Weinheim an der Bergstrasse, Germany) 19:e2204238 PubMed36494177

2022

One Stone, Two Birds: A Peptide-Au(I) Infinite Coordination Supermolecule for the Confederate Physical and Biological Radiosensitization in Cancer Radiation Therapy.

Applications

Unspecified application

Species

Unspecified reactive species

Jing Wang,Jing Zhao,Fang Ma,Liuyun Gong,Yinliang Lu,Weiping Xiao,Hanmin Tang,Chengyi Gao,Yuetong Chen,Jun Ma,Zhan Gao,Jin Yan,Suxia Han

Cellular and molecular gastroenterology and hepatology 15:533-558 PubMed36270602

2022

Hepatitis B Virus Utilizes a Retrograde Trafficking Route via the Trans-Golgi Network to Avoid Lysosomal Degradation.

Applications

Unspecified application

Species

Unspecified reactive species

Ying-Yi Li,Kazuyuki Kuroki,Tetsuro Shimakami,Kazuhisa Murai,Kazunori Kawaguchi,Takayoshi Shirasaki,Kouki Nio,Saiho Sugimoto,Tomoki Nishikawa,Hikari Okada,Noriaki Orita,Hideo Takayama,Ying Wang,Phuong Doan Thi Bich,Astuya Ishida,Sadahiro Iwabuchi,Shinichi Hashimoto,Takeshi Shimaoka,Noriko Tabata,Miho Watanabe-Takahashi,Kiyotaka Nishikawa,Hiroshi Yanagawa,Motoharu Seiki,Kouji Matsushima,Taro Yamashita,Shuichi Kaneko,Masao Honda

International journal of molecular sciences 23: PubMed35628504

2022

The Amyotrophic Lateral Sclerosis M114T PFN1 Mutation Deregulates Alternative Autophagy Pathways and Mitochondrial Homeostasis.

Applications

Unspecified application

Species

Unspecified reactive species

Elisa Teyssou,Laura Chartier,Delphine Roussel,Nirma D Perera,Ivan Nemazanyy,Dominique Langui,Mélanie Albert,Thierry Larmonier,Safaa Saker,François Salachas,Pierre-François Pradat,Vincent Meininger,Philippe Ravassard,Francine Côté,Christian S Lobsiger,Séverine Boillée,Bradley J Turner,Danielle Seilhean,Stéphanie Millecamps

Frontiers in cardiovascular medicine 8:788655 PubMed34869701

2021

Association of Lectin-Like Oxidized Low-Density Lipoprotein Receptor-1 With Angiotensin II Type 1 Receptor Impacts Mitochondrial Quality Control, Offering Promise for the Treatment of Vascular Senescence.

Applications

Unspecified application

Species

Unspecified reactive species

Yoshihiro Uchikado,Yoshiyuki Ikeda,Yuichi Sasaki,Masaaki Iwabayashi,Yuichi Akasaki,Mitsuru Ohishi

Cellular and molecular gastroenterology and hepatology 13:599-622 PubMed34610499

2021

Rab9 Mediates Pancreatic Autophagy Switch From Canonical to Noncanonical, Aggravating Experimental Pancreatitis.

Applications

Unspecified application

Species

Unspecified reactive species

Olga A Mareninova,Dustin L Dillon,Carli J M Wightman,Iskandar Yakubov,Toshimasa Takahashi,Herbert Y Gaisano,Keith Munson,Masaki Ohmuraya,David Dawson,Ilya Gukovsky,Anna S Gukovskaya

Journal of Alzheimer's disease : JAD 83:833-852 PubMed34366358

2021

A Super-Resolved View of the Alzheimer's Disease-Related Amyloidogenic Pathway in Hippocampal Neurons.

Applications

Unspecified application

Species

Unspecified reactive species

Yang Yu,Yang Gao,Bengt Winblad,Lars O Tjernberg,Sophia Schedin-Weiss

The Journal of clinical investigation 131: PubMed34128834

2021

Dysregulation of mannose-6-phosphate-dependent cholesterol homeostasis in acinar cells mediates pancreatitis.

Applications

Unspecified application

Species

Unspecified reactive species

Olga A Mareninova,Eszter T Vegh,Natalia Shalbueva,Carli Jm Wightman,Dustin L Dillon,Sudarshan Malla,Yan Xie,Toshimasa Takahashi,Zoltan Rakonczay,Samuel W French,Herbert Y Gaisano,Fred S Gorelick,Stephen J Pandol,Steven J Bensinger,Nicholas O Davidson,David W Dawson,Ilya Gukovsky,Anna S Gukovskaya

Journal of the American Heart Association 10:e019310 PubMed33719502

2021

Estrogen Plays a Crucial Role in Rab9-Dependent Mitochondrial Autophagy, Delaying Arterial Senescence.

Applications

Unspecified application

Species

Unspecified reactive species

Yuichi Sasaki,Yoshiyuki Ikeda,Yoshihiro Uchikado,Yuichi Akasaki,Junichi Sadoshima,Mitsuru Ohishi
View all publications

Product promise

We are committed to supporting your work with high-quality reagents, and we're here for you every step of the way. In the unlikely event that one of our products does not perform as expected, you're protected by our Product Promise.
For full details, please see our Terms & Conditions

Please note: All products are 'FOR RESEARCH USE ONLY. NOT FOR USE IN DIAGNOSTIC OR THERAPEUTIC PROCEDURES'.

For licensing inquiries, please contact partnerships@abcam.com