JavaScript is disabled in your browser. Please enable JavaScript to view this website.
AB208334

Rabbit IgG, monoclonal [SP137] - isotype control (BSA and Azide free)

Be the first to review this product! Submit a review

|

(5 Publications)

Rabbit IgG, monoclonal [SP137] - isotype control (BSA and Azide free) Suitable for Flow Cyt (Intra), ICC/IF, IHC-P, WB and reacts with samples. Cited in 5 publications.

View Alternative Names

Ig gamma chain C region

7 Images
Immunohistochemistry (Formalin/PFA-fixed paraffin-embedded sections) - Rabbit IgG, monoclonal [SP137] - isotype control (BSA and Azide free) (AB208334)
  • IHC-P

Unknown

Immunohistochemistry (Formalin/PFA-fixed paraffin-embedded sections) - Rabbit IgG, monoclonal [SP137] - isotype control (BSA and Azide free) (AB208334)

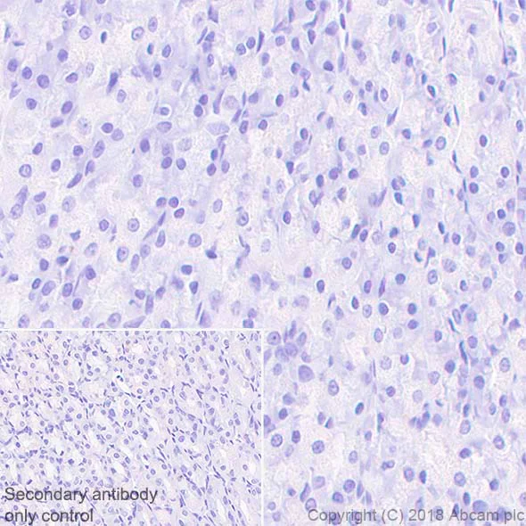
Immunohistochemistry (Formalin/PFA-fixed paraffin-embedded sections) analysis of Mouse stomach tissue sections labeling Rabbit IgG with ab125938 at 1/100 dilution (2.02 μg/ml). Heat mediated antigen retrieval was performed Heat mediated antigen retrieval with Tris-EDTA buffer (pH 9.0, epitope retrieval solution 2) for 10 mins. Rabbit specific IHC polymer detection kit HRP/DAB (ab209101) was used as the secondary antibody. Negative control : PBS instead of the primary antibody. Hematoxylin was used as a counterstain.

This data was developed using the same antibody clone in a different buffer formulation containing PBS, BSA, glycerol, and sodium azide (ab125938).

Western blot - Rabbit IgG, monoclonal [SP137] - isotype control (BSA and Azide free) (AB208334)
  • WB

Supplier Data

Western blot - Rabbit IgG, monoclonal [SP137] - isotype control (BSA and Azide free) (AB208334)

This data was developed using the same antibody clone in a different buffer formulation containing PBS, BSA, glycerol, and sodium azide (ab172730).

Negative Control.

Blocking and dilution buffer and concentration : 5% NFDM/TBST

In Western blot, anti-GAPDH antibody (ab181602) loading control staining at 1/200000 dilution.

Lane 1:

HeLa (human cervical adenocarcinoma epithelial cell) whole cell lysate at 20 µg

Lane 2:

293T (human embryonic kidney epithelial cell) whole cell lysate at 20 µg

Lane 3:

NIH/3T3 (mouse embryonic fibroblast) whole cell lysate at 20 µg

Lane 4:

PC-12 (rat adrenal gland pheochromocytoma cell) whole cell lysate at 20 µg

Secondary

All lanes:

Western blot - Goat Anti-Rabbit IgG H&L (HRP) (<a href='/en-us/products/secondary-antibodies/goat-rabbit-igg-h-l-hrp-ab97051'>ab97051</a>) at 1/100000 dilution

false

Immunohistochemistry (Formalin/PFA-fixed paraffin-embedded sections) - Rabbit IgG, monoclonal [SP137] - isotype control (BSA and Azide free) (AB208334)
  • IHC-P

Unknown

Immunohistochemistry (Formalin/PFA-fixed paraffin-embedded sections) - Rabbit IgG, monoclonal [SP137] - isotype control (BSA and Azide free) (AB208334)

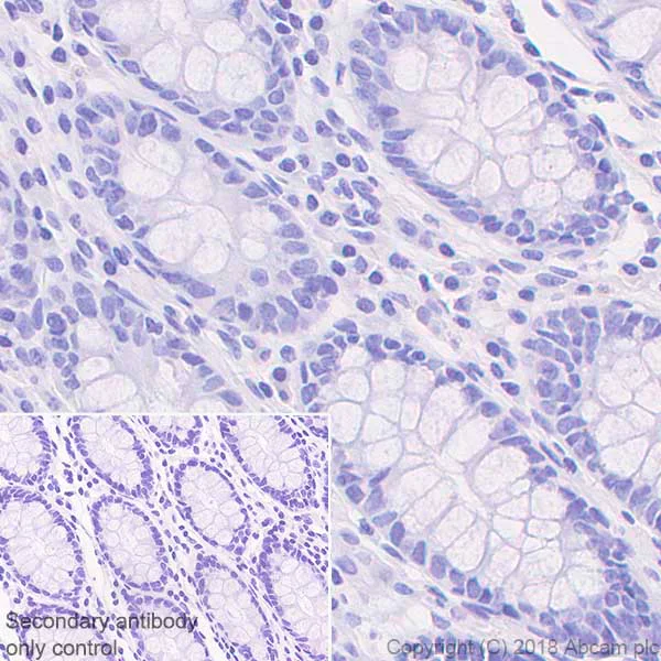
Immunohistochemistry (Formalin/PFA-fixed paraffin-embedded sections) analysis of Human colon tissue sections labeling Rabbit with ab125938 at 1/100 dilution (2.02 μg/ml). Heat mediated antigen retrieval was performed Heat mediated antigen retrieval with Tris-EDTA buffer (pH 9.0, epitope retrieval solution 2) for 10 mins. Rabbit specific IHC polymer detection kit HRP/DAB (ab209101) was used as the secondary antibody. Negative control : PBS instead of the primary antibody. Hematoxylin was used as a counterstain.

This data was developed using the same antibody clone in a different buffer formulation containing PBS, BSA, glycerol, and sodium azide (ab125938).

Immunocytochemistry/ Immunofluorescence - Rabbit IgG, monoclonal [SP137] - isotype control (BSA and Azide free) (AB208334)
  • ICC/IF

Unknown

Immunocytochemistry/ Immunofluorescence - Rabbit IgG, monoclonal [SP137] - isotype control (BSA and Azide free) (AB208334)

Immunocytochemistry/ Immunofluorescence analysis of HeLa (human cervix adenocarcinoma epithelial cell) cells showing staining with purified ab125938 at 1 : 20 (10 μg/ml). Cells were fixed in 4% paraformaldehyde and permeabilized with 0.1% Triton X-100. Cells were counterstained with ab195889 Anti-alpha Tubulin antibody [DM1A] - Microtubule Marker (Alexa Fluor® 594) 1 : 200 (2.5 μg/ml). Goat anti rabbit IgG (Alexa Fluor® 488, ab150077) was used as the secondary antibody at 1 : 1000 (2 μg/ml) dilution. DAPI (blue) was used as nuclear counterstain. PBS instead of the primary antibody was used as the secondary antibody only control.

This data was developed using the same antibody clone in a different buffer formulation containing PBS, BSA, glycerol, and sodium azide (ab125938).

Flow Cytometry (Intracellular) - Rabbit IgG, monoclonal [SP137] - isotype control (BSA and Azide free) (AB208334)
  • Flow Cyt (Intra)

Unknown

Flow Cytometry (Intracellular) - Rabbit IgG, monoclonal [SP137] - isotype control (BSA and Azide free) (AB208334)

Flow Cytometry analysis of Jurkat (human acute T cell leukemia) cells labeling EPF with ab108611 at 1 : 100 dilution (red). Cells were fixed with 4% paraformaldehyde and permeabilised with 90% methanol. A Goat anti rabbit IgG (Alexa Fluor® 488, ab150077) secondary antibody was used at 1 : 2000 dilution. Isotype control - Rabbit monoclonal IgG (ab125938) at 1 : 20 dilution (10.1 μg/ml)/ Black. Unlabeled control - Unlabelled cells / blue.

This data was developed using the same antibody clone in a different buffer formulation containing PBS, BSA, glycerol, and sodium azide (ab125938).

Immunocytochemistry/ Immunofluorescence - Rabbit IgG, monoclonal [SP137] - isotype control (BSA and Azide free) (AB208334)
  • ICC/IF

Unknown

Immunocytochemistry/ Immunofluorescence - Rabbit IgG, monoclonal [SP137] - isotype control (BSA and Azide free) (AB208334)

Immunocytochemistry/ Immunofluorescence analysis of Jurkat ( human T cell leukemia T lymphocyte) cells showing staining with purified ab125938 at 1 : 20 (10 μg/ml). Cells were fixed in 4% paraformaldehyde and permeabilized with 0.1% Triton X-100. Cells were counterstained with ab195889 Anti-alpha Tubulin antibody [DM1A] - Microtubule Marker (Alexa Fluor® 594) 1 : 200 (2.5 μg/ml). Goat anti rabbit IgG (Alexa Fluor® 488, ab150077) was used as the secondary antibody at 1 : 1000 (2 μg/ml) dilution. DAPI (blue) was used as nuclear counterstain. PBS instead of the primary antibody was used as the secondary antibody only control.

This data was developed using the same antibody clone in a different buffer formulation containing PBS, BSA, glycerol, and sodium azide (ab125938).

Immunohistochemistry (Formalin/PFA-fixed paraffin-embedded sections) - Rabbit IgG, monoclonal [SP137] - isotype control (BSA and Azide free) (AB208334)
  • IHC-P

Unknown

Immunohistochemistry (Formalin/PFA-fixed paraffin-embedded sections) - Rabbit IgG, monoclonal [SP137] - isotype control (BSA and Azide free) (AB208334)

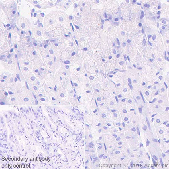
Immunohistochemistry (Formalin/PFA-fixed paraffin-embedded sections) analysis of Rat stomach tissue sections labeling Rabbit with ab125938 at 1/100 dilution (2.02 μg/ml). Heat mediated antigen retrieval was performed Heat mediated antigen retrieval with Tris-EDTA buffer (pH 9.0, epitope retrieval solution 2) for 10 mins. Rabbit specific IHC polymer detection kit HRP/DAB (ab209101) was used as the secondary antibody. Negative control : PBS instead of the primary antibody. Hematoxylin was used as a counterstain.

This data was developed using the same antibody clone in a different buffer formulation containing PBS, BSA, glycerol, and sodium azide (ab125938).

  • Unconjugated

    Rabbit IgG, monoclonal [SP137] - isotype control

  • 519 Alexa Fluor® 488

    Alexa Fluor® 488 Anti-Rabbit IgG antibody [SP137]

  • HRP

    HRP Anti-Rabbit IgG antibody [SP137]

Key facts

Host species

Rabbit

Clonality

Monoclonal

Clone number

SP137

Isotype

IgG

Carrier free

Yes

Applications

WB, IHC-P, ICC/IF, Flow Cyt (Intra)

applications

Reactivity data

{ "title": "Reactivity Data", "filters": { "stats": ["", "Species", "Dilution Info", "Notes"], "tabs": { "all-applications": {"fullname" : "All Applications", "shortname": "All Applications"}, "FlowCytIntra" : {"fullname" : "Flow Cytometry (Intracellular)", "shortname":"Flow Cyt (Intra)"}, "ICCIF" : {"fullname" : "Immunocytochemistry/ Immunofluorescence", "shortname":"ICC/IF"}, "IHCP" : {"fullname" : "Immunohistochemistry (Formalin/PFA-fixed paraffin-embedded sections)", "shortname":"IHC-P"}, "WB" : {"fullname" : "Western blot", "shortname":"WB"} }, "product-promise": { "all": "all", "testedAndGuaranteed": "tested", "guaranteed": "expected", "predicted": "predicted", "notRecommended": "not-recommended" } }, "values": { "": { "FlowCytIntra-species-checked": "testedAndGuaranteed", "FlowCytIntra-species-dilution-info": "", "FlowCytIntra-species-notes": "<p></p>", "ICCIF-species-checked": "testedAndGuaranteed", "ICCIF-species-dilution-info": "", "ICCIF-species-notes": "<p></p>", "IHCP-species-checked": "testedAndGuaranteed", "IHCP-species-dilution-info": "", "IHCP-species-notes": "<p>Antigen Retrieval: Boil tissue section in EDTA buffer for 10 min followed by cooling at RT for 20 min.</p>", "WB-species-checked": "testedAndGuaranteed", "WB-species-dilution-info": "", "WB-species-notes": "<p></p>" } } }

Product details

ab208334 is the carrier-free version of ab125938.

Immunogen
Chemical / Small Molecule.

What are the advantages of a recombinant monoclonal antibody?
This product is a recombinant monoclonal antibody, which offers several advantages including:

  • - High batch-to-batch consistency and reproducibility
  • - Improved sensitivity and specificity
  • - Long-term security of supply
  • - Animal-free batch production

For more information, read more on recombinant antibodies.

Conjugation ready
Our carrier-free antibodies are typically supplied in a PBS-only formulation, purified and free of BSA, sodium azide and glycerol. This conjugation-ready format is designed for use with fluorochromes, metal isotopes, oligonucleotides, and enzymes, which makes them ideal for antibody labelling, functional and cell-based assays, flow-based assays (e.g. mass cytometry) and Multiplex Imaging applications.

Use our conjugation kits for antibody conjugates that are ready-to-use in as little as 20 minutes with 1 minute hands-on-time and 100% antibody recovery: available for fluorescent dyes, HRP, biotin and gold.

Compatibility
This product is compatible with the Maxpar® Antibody Labeling Kit from Fluidigm, without the need for antibody preparation. Maxpar® is a trademark of Fluidigm Canada Inc.

Properties and storage information

Form
Liquid
Purification technique
Affinity purification Protein A/G
Purification notes
Purified from TCS by protein A/G.
Storage buffer
pH: 7.2 - 7.4 Constituents: PBS
Shipped at conditions
Blue Ice
Appropriate short-term storage conditions
+4°C
Appropriate long-term storage conditions
+4°C
Storage information
Do Not Freeze

Product protocols

For this product, it's our understanding that no specific protocols are required. You can visit:

Publications (5)

Recent publications for all applications. Explore the full list and refine your search

Signal transduction and targeted therapy 9:98 PubMed38609366

2024

Infection with SARS-CoV-2 can cause pancreatic impairment.

Applications

Unspecified application

Species

Unspecified reactive species

Wei Deng,Linlin Bao,Zhiqi Song,Ling Zhang,Pin Yu,Yanfeng Xu,Jue Wang,Wenjie Zhao,Xiuqin Zhang,Yunlin Han,Yanhong Li,Jiangning Liu,Qi Lv,Xujian Liang,Fengdi Li,Feifei Qi,Ran Deng,Siyuan Wang,Yibai Xiong,Ruiping Xiao,Hongyang Wang,Chuan Qin

Signal transduction and targeted therapy 7:29 PubMed35091528

2022

Integrated histopathological, lipidomic, and metabolomic profiles reveal mink is a useful animal model to mimic the pathogenicity of severe COVID-19 patients.

Applications

Unspecified application

Species

Unspecified reactive species

Zhiqi Song,Linlin Bao,Wei Deng,Jiangning Liu,Erjun Ren,Qi Lv,Mingya Liu,Feifei Qi,Ting Chen,Ran Deng,Fengdi Li,Yunpeng Liu,Qiang Wei,Hong Gao,Pin Yu,Yunlin Han,Wenjie Zhao,Junjun Zheng,Xujian Liang,Fuhe Yang,Chuan Qin

Frontiers in microbiology 11:618891 PubMed33510731

2021

SARS-CoV-2 Causes a Systemically Multiple Organs Damages and Dissemination in Hamsters.

Applications

Unspecified application

Species

Unspecified reactive species

Zhiqi Song,Linlin Bao,Pin Yu,Feifei Qi,Shuran Gong,Jie Wang,Binbin Zhao,Mingya Liu,Yunlin Han,Wei Deng,Jiangning Liu,Qiang Wei,Jing Xue,Wenjie Zhao,Chuan Qin

Antioxidants (Basel, Switzerland) 9: PubMed32316111

2020

Triple Combination of Ascorbate, Menadione and the Inhibition of Peroxiredoxin-1 Produces Synergistic Cytotoxic Effects in Triple-Negative Breast Cancer Cells.

Applications

Unspecified application

Species

Unspecified reactive species

Malgorzata Bajor,Agnieszka Graczyk-Jarzynka,Katsiaryna Marhelava,Malgorzata Kurkowiak,Arman Rahman,Claudia Aura,Niamh Russell,Agata O Zych,Malgorzata Firczuk,Magdalena Winiarska,William M Gallagher,Radoslaw Zagozdzon

Cell death & disease 11:124 PubMed32054850

2020

Low expression of pro-apoptotic proteins Bax, Bak and Smac indicates prolonged progression-free survival in chemotherapy-treated metastatic melanoma.

Applications

Unspecified application

Species

Unspecified reactive species

Cristiano Guttà,Arman Rahman,Claudia Aura,Peter Dynoodt,Emilie M Charles,Elodie Hirschenhahn,Jesuchristopher Joseph,Jasper Wouters,Ciaran de Chaumont,Mairin Rafferty,Madhuri Warren,Joost J van den Oord,William M Gallagher,Markus Rehm
View all publications

Product promise

We are committed to supporting your work with high-quality reagents, and we're here for you every step of the way. In the unlikely event that one of our products does not perform as expected, you're protected by our Product Promise.
For full details, please see our Terms & Conditions

Please note: All products are 'FOR RESEARCH USE ONLY. NOT FOR USE IN DIAGNOSTIC OR THERAPEUTIC PROCEDURES'.

For licensing inquiries, please contact partnerships@abcam.com