JavaScript is disabled in your browser. Please enable JavaScript to view this website.
AB313801

Rabbit IgG, multiclonal [RM1060] - Isotype control

  • BOND RX™ Validated
  • 20ul selling size
  • Recombinant
  • Advanced Validation
  • RabMAb
  • What is this?

Be the first to review this product! Submit a review

|

(19 Publications)

Rabbit IgG, multiclonal [RM1060] - Isotype control Suitable for Flow Cyt (Intra), WB, IHC-P, ICC/IF, IP, ChIP-seq and reacts with samples. Cited in 19 publications.
17 Images
ChIP-sequencing - Rabbit IgG, multiclonal [RM1060] - Isotype control (AB313801)
  • ChIP-seq

Lab

ChIP-sequencing - Rabbit IgG, multiclonal [RM1060] - Isotype control (AB313801)

Chromatin was prepared from HeLa cells. Cells were fixed with 1% formaldehyde for 10 minutes. ChIP was performed with 107 cells and 4 µg of ab313801 [RM1060]. Assay Quality Control was conducted using 8 µg CTCF control ab188408 on the same cell line. ChIP DNA was sequenced on the Illumina NovaSeq 6000 to a depth of 30 million reads. The Input control is also shown.

ChIP-sequencing - Rabbit IgG, multiclonal [RM1060] - Isotype control (AB313801)
  • ChIP-seq

Lab

ChIP-sequencing - Rabbit IgG, multiclonal [RM1060] - Isotype control (AB313801)

Chromatin was prepared from HeLa cells. Cells were fixed with 1% formaldehyde for 10 minutes. ChIP was performed with 107 cells and 4 µg of ab313801 [RM1060]. Assay Quality Control was conducted using 8 µg CTCF control ab188408 on the same cell line. ChIP DNA was sequenced on the Illumina NovaSeq 6000 to a depth of 30 million reads. The Input control is also shown.

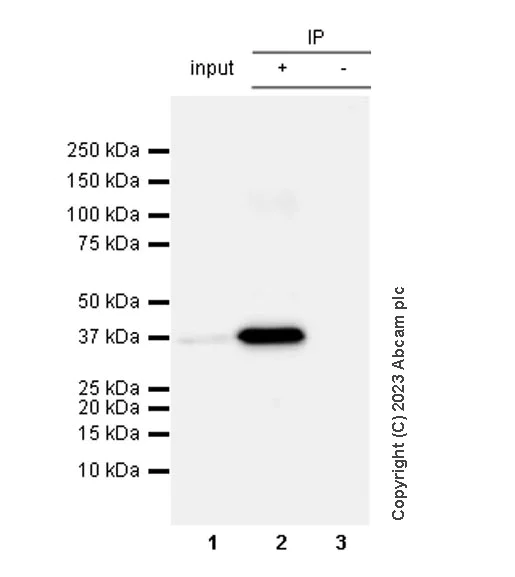
Immunoprecipitation - Rabbit IgG, multiclonal [RM1060] - Isotype control (AB313801)
  • IP

Supplier Data

Immunoprecipitation - Rabbit IgG, multiclonal [RM1060] - Isotype control (AB313801)

Rabbit IgG, multiclonal [RM1060] - Isotype control was immunoprecipitated from 0.35 mg U-937 (human histiocytic lymphoma monocyte) whole cell lysate with ab313801 at 1/30 dilution (2ug in 0.35mg lysates). Western blot was performed on the immunoprecipitate using ab313801 at 1/1000 dilution. VeriBlot for IP secondary antibody(HRP)(ab131366) was used at 1/5000 dilution. Lane 1 : U-937 (human histiocytic lymphoma monocyte) whole cell lysate Lane 2 : ab313801 IP in U-937 (human histiocytic lymphoma monocyte) whole cell lysate Lane 3 : Rabbit IgG isotype control (ab313801) instead of ab307664 in U937 whole cell lysate Blocking and dilution buffer and concentration : 5% NFDM/TBST. Exposure time : 10 seconds The IP experiment was performed by ab307664 using U937 cells. ab313801 was used as the isotype control instead of ab307664 in Lane 3.

All lanes:

U-937 (human histiocytic lymphoma monocyte) whole cell lysate

Secondary

All lanes:

Immunoprecipitation - VeriBlot for IP Detection Reagent (HRP) (<a href='/en-us/products/reagents/veriblot-for-ip-detection-reagent-hrp-ab131366'>ab131366</a>) at 1/5000 dilution

false

Exposure time: 10s

ChIP-sequencing - Rabbit IgG, multiclonal [RM1060] - Isotype control (AB313801)
  • ChIP-seq

Lab

ChIP-sequencing - Rabbit IgG, multiclonal [RM1060] - Isotype control (AB313801)

Chromatin was prepared from HeLa cells. Cells were fixed with 1% formaldehyde for 10 minutes. ChIP was performed with 107 cells and 4 µg of ab313801 [RM1060]. Assay Quality Control was conducted using 8 µg CTCF control ab188408 on the same cell line. ChIP DNA was sequenced on the Illumina NovaSeq 6000 to a depth of 30 million reads. The Input control is also shown.

Immunoprecipitation - Rabbit IgG, multiclonal [RM1060] - Isotype control (AB313801)
  • IP

Supplier Data

Immunoprecipitation - Rabbit IgG, multiclonal [RM1060] - Isotype control (AB313801)

Rabbit IgG, multiclonal [RM1060] - Isotype control was immunoprecipitated from 0.35 mg NIH/3T3 (mouse embryonic fibroblast) whole cell lysate with ab313801 at 1/30 dilution (2ug in 0.35mg lysates). Western blot was performed on the immunoprecipitate using ab313801 at 1/1000 dilution. VeriBlot for IP secondary antibody(HRP)(ab131366) was used at 1/5000 dilution. Lane 1 : NIH/3T3 (mouse embryonic fibroblast) whole cell lysate Lane 2 : ab313801 IP in NIH/3T3 (mouse embryonic fibroblast) whole cell lysate Lane 3 : Rabbit IgG isotype control (ab313801) instead of ab307664 in NIH/3T3 whole cell lysate Blocking and dilution buffer and concentration : 5% NFDM/TBST. Exposure time : 10 seconds The IP experiment was performed by ab307664 using NIH/3T3 cells. ab313801 was used as the isotype control instead of ab307664 in Lane 3.

All lanes:

NIH/3T3 (mouse embryonic fibroblast) whole cell lysate

Secondary

All lanes:

Immunoprecipitation - VeriBlot for IP Detection Reagent (HRP) (<a href='/en-us/products/reagents/veriblot-for-ip-detection-reagent-hrp-ab131366'>ab131366</a>) at 1/5000 dilution

false

Exposure time: 10s

Immunoprecipitation - Rabbit IgG, multiclonal [RM1060] - Isotype control (AB313801)
  • IP

Supplier Data

Immunoprecipitation - Rabbit IgG, multiclonal [RM1060] - Isotype control (AB313801)

Rabbit IgG, multiclonal [RM1060] - Isotype control was immunoprecipitated from 0.35 mg C6 (rat glial tumor glial cell) whole cell lysate with ab313801 at 1/30 dilution (2ug in 0.35mg lysates). Western blot was performed on the immunoprecipitate using ab313801 at 1/1000 dilution. VeriBlot for IP secondary antibody(HRP)(ab131366) was used at 1/5000 dilution. Lane 1 : C6 (rat glial tumor glial cell) whole cell lysate Lane 2 : ab313801 IP in C6 (rat glial tumor glial cell) whole cell lysate Lane 3 : Rabbit IgG isotype control (ab313801) instead of ab307357 in C6 whole cell lysate Blocking and dilution buffer and concentration : 5% NFDM/TBST. Exposure time : 10 seconds The IP experiment was performed by ab307357 using C6 cells. ab313801 was used as the isotype control instead of ab307357 in Lane 3.

All lanes:

C6 (rat glial tumor glial cell) whole cell lysate

Secondary

All lanes:

Immunoprecipitation - VeriBlot for IP Detection Reagent (HRP) (<a href='/en-us/products/reagents/veriblot-for-ip-detection-reagent-hrp-ab131366'>ab131366</a>) at 1/5000 dilution

false

Exposure time: 10s

Flow Cytometry (Intracellular) - Rabbit IgG, multiclonal [RM1060] - Isotype control (AB313801)
  • Flow Cyt (Intra)

Supplier Data

Flow Cytometry (Intracellular) - Rabbit IgG, multiclonal [RM1060] - Isotype control (AB313801)

Flow cytometric analysis of 4% paraformaldehyde fixed 90% methanol permeabilized NIH/3T3 (mouse embryonic fibroblast) cells labelling Rabbit IgG, multiclonal [RM1060] - Isotype control with ab313801 at 1/500 dilution (0.1 ug)/Red (Red) compared with a Rabbit monoclonal IgG (ab172730) (Black) isotype control and an unlabelled control (cells without incubation with primary antibody and secondary antibody) (Blue). A Goat Anti-Rabbit IgG (Alexa Fluor® 488, ab150081) at 1/5000 dilution was used as the secondary antibody.

Immunocytochemistry/ Immunofluorescence - Rabbit IgG, multiclonal [RM1060] - Isotype control (AB313801)
  • ICC/IF

Supplier Data

Immunocytochemistry/ Immunofluorescence - Rabbit IgG, multiclonal [RM1060] - Isotype control (AB313801)

Immunofluorescent analysis of 4% Paraformaldehyde-fixed, 0.1% TritonX-100 permeabilized NIH/3T3 (mouse embryonic fibroblast cell) cells labelling Rabbit IgG, multiclonal [RM1060] - Isotype control with ab313801 at 1/50 (9.82 ug/ml) dilution, followed by ab150081 Goat Anti-Rabbit IgG H&L (Alexa Fluor® 488) preadsorbed antibody at 1/1000 2ug/ml dilution (Green). Confocal image showing negative staining in NIH/3T3 cell line. Image was taken with a confocal microscope(Leica-Microsystems, TCS SP8). ab195889 Anti-alpha Tubulin mouse monoclonal antibody - Microtubule Marker (Alexa Fluor® 594) was used to counterstain tubulin at 1/200 2.5ug/ml dilution (Red). The Nuclear counterstain was DAPI (Blue). Secondary antibody only control : Secondary antibody is ab150081 Goat Anti-Rabbit IgG H&L (Alexa Fluor® 488) preadsorbed at 1/1000 2ug/ml dilution.

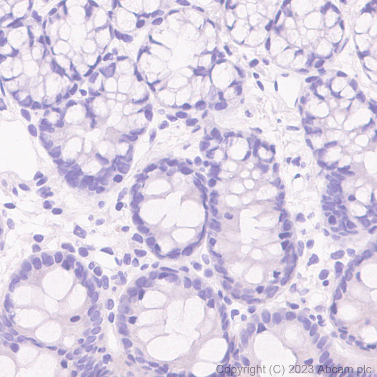
Immunohistochemistry (Formalin/PFA-fixed paraffin-embedded sections) - Rabbit IgG, multiclonal [RM1060] - Isotype control (AB313801)
  • IHC-P

Supplier Data

Immunohistochemistry (Formalin/PFA-fixed paraffin-embedded sections) - Rabbit IgG, multiclonal [RM1060] - Isotype control (AB313801)

Immunohistochemical analysis of paraffin-embedded Mouse colon tissue labeling Rabbit IgG, multiclonal [RM1060] - Isotype control with ab313801 at 1/100 (4.91 ug/ml) followed by a ready to use Rabbit specific IHC polymer detection kit HRP/DAB (ab209101). No staining on mouse colon.The section was incubated with ab313801 for 30 mins at room temperature.The immunostaining was performed on a Leica Biosystems BOND® RX instrument Counterstained with Hematoxylin. Secondary antibody only control : Secondary antibody is a ready to use Rabbit specific IHC polymer detection kit HRP/DAB (ab209101). Heat mediated antigen retrieval was performed with Tris-EDTA buffer (pH 9.0, Epitope Retrieval Solution2) for 20 mins

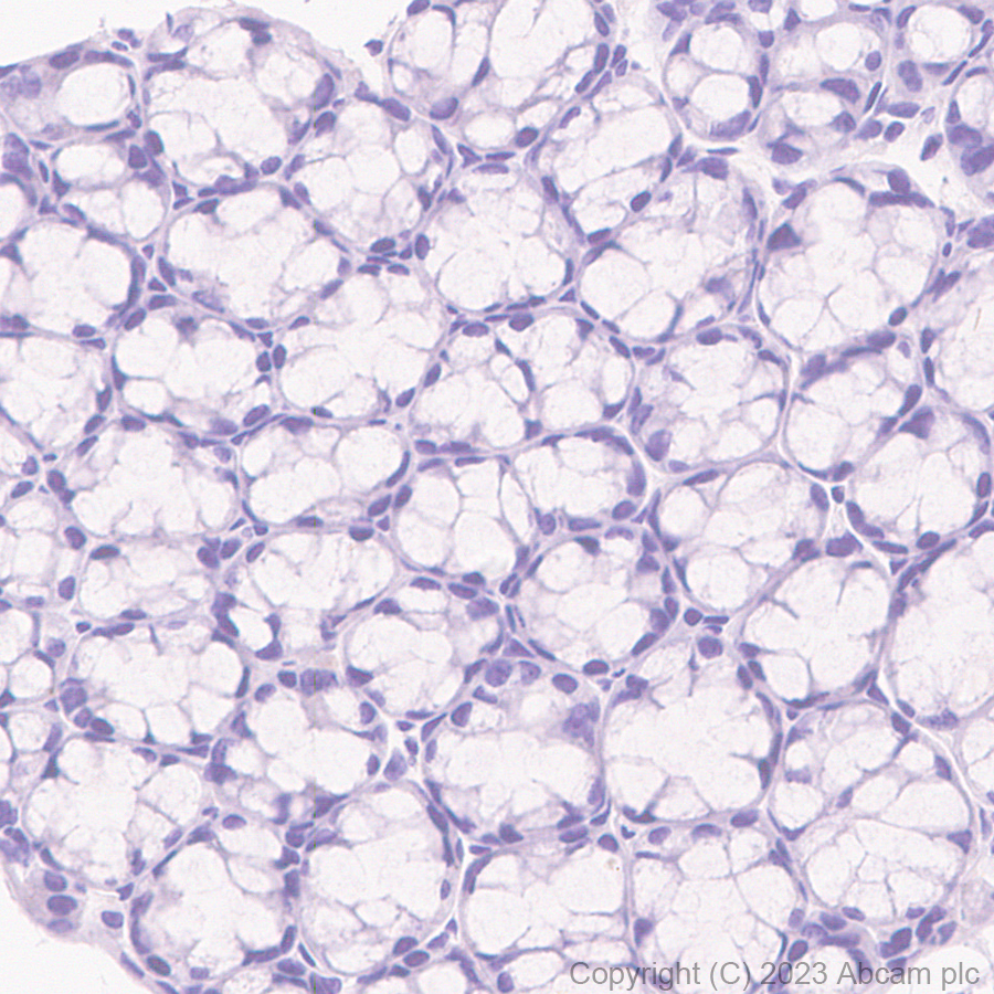
Immunohistochemistry (Formalin/PFA-fixed paraffin-embedded sections) - Rabbit IgG, multiclonal [RM1060] - Isotype control (AB313801)
  • IHC-P

Supplier Data

Immunohistochemistry (Formalin/PFA-fixed paraffin-embedded sections) - Rabbit IgG, multiclonal [RM1060] - Isotype control (AB313801)

Immunohistochemical analysis of paraffin-embedded Rat colon tissue labeling Rabbit IgG, multiclonal [RM1060] - Isotype control with ab313801 at 1/100 (4.91 ug/ml) followed by a ready to use Rabbit specific IHC polymer detection kit HRP/DAB (ab209101). No staining on rat colon.The section was incubated with ab313801 for 30 mins at room temperature.The immunostaining was performed on a Leica Biosystems BOND® RX instrument Counterstained with Hematoxylin. Secondary antibody only control : Secondary antibody is a ready to use Rabbit specific IHC polymer detection kit HRP/DAB (ab209101). Heat mediated antigen retrieval was performed with Tris-EDTA buffer (pH 9.0, Epitope Retrieval Solution2) for 20 mins

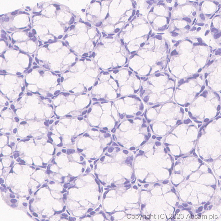
Immunohistochemistry (Formalin/PFA-fixed paraffin-embedded sections) - Rabbit IgG, multiclonal [RM1060] - Isotype control (AB313801)
  • IHC-P

Supplier Data

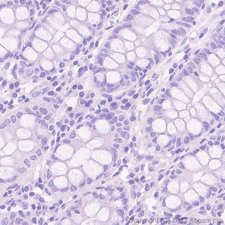
Immunohistochemistry (Formalin/PFA-fixed paraffin-embedded sections) - Rabbit IgG, multiclonal [RM1060] - Isotype control (AB313801)

Immunohistochemical analysis of paraffin-embedded Human colon tissue labeling Rabbit IgG, multiclonal [RM1060] - Isotype control with ab313801 at 1/100 (4.91 ug/ml) followed by a ready to use Rabbit specific IHC polymer detection kit HRP/DAB (ab209101). No staining on human colon.The section was incubated with ab313801 for 30 mins at room temperature.The immunostaining was performed on a Leica Biosystems BOND® RX instrument Counterstained with Hematoxylin. Secondary antibody only control : Secondary antibody is a ready to use Rabbit specific IHC polymer detection kit HRP/DAB (ab209101). Heat mediated antigen retrieval was performed with Tris-EDTA buffer (pH 9.0, Epitope Retrieval Solution2) for 20 mins

Immunocytochemistry/ Immunofluorescence - Rabbit IgG, multiclonal [RM1060] - Isotype control (AB313801)
  • ICC/IF

Supplier Data

Immunocytochemistry/ Immunofluorescence - Rabbit IgG, multiclonal [RM1060] - Isotype control (AB313801)

Immunofluorescent analysis of 4% Paraformaldehyde-fixed, 0.1% TritonX-100 permeabilized HeLa (human cervical adenocarcinoma epithelial cell) cells labelling Rabbit IgG, multiclonal [RM1060] - Isotype control with ab313801 at 1/50 (9.82 ug/ml) dilution, followed by ab150081 Goat Anti-Rabbit IgG H&L (Alexa Fluor® 488) preadsorbed antibody at 1/1000 2ug/ml dilution (Green). Confocal image showing negative staining in Hela cell line. Image was taken with a confocal microscope(Leica-Microsystems, TCS SP8). ab195889 Anti-alpha Tubulin mouse monoclonal antibody - Microtubule Marker (Alexa Fluor® 594) was used to counterstain tubulin at 1/200 2.5ug/ml dilution (Red). The Nuclear counterstain was DAPI (Blue). Secondary antibody only control : Secondary antibody is ab150081 Goat Anti-Rabbit IgG H&L (Alexa Fluor® 488) preadsorbed at 1/1000 2ug/ml dilution.

Immunocytochemistry/ Immunofluorescence - Rabbit IgG, multiclonal [RM1060] - Isotype control (AB313801)
  • ICC/IF

Supplier Data

Immunocytochemistry/ Immunofluorescence - Rabbit IgG, multiclonal [RM1060] - Isotype control (AB313801)

Immunofluorescent analysis of 4% Paraformaldehyde-fixed, 0.1% TritonX-100 permeabilized C6 (rat glial tumor glial cell) cells labelling Rabbit IgG, multiclonal [RM1060] - Isotype control with ab313801 at 1/50 (9.82 ug/ml) dilution, followed by ab150081 Goat Anti-Rabbit IgG H&L (Alexa Fluor® 488) preadsorbed antibody at 1/1000 2ug/ml dilution (Green). Confocal image showing negative staining in C6 cell line. Image was taken with a confocal microscope(Leica-Microsystems, TCS SP8). ab195889 Anti-alpha Tubulin mouse monoclonal antibody - Microtubule Marker (Alexa Fluor® 594) was used to counterstain tubulin at 1/200 2.5ug/ml dilution (Red). The Nuclear counterstain was DAPI (Blue). Secondary antibody only control : Secondary antibody is ab150081 Goat Anti-Rabbit IgG H&L (Alexa Fluor® 488) preadsorbed at 1/1000 2ug/ml dilution.

Flow Cytometry (Intracellular) - Rabbit IgG, multiclonal [RM1060] - Isotype control (AB313801)
  • Flow Cyt (Intra)

Supplier Data

Flow Cytometry (Intracellular) - Rabbit IgG, multiclonal [RM1060] - Isotype control (AB313801)

Flow cytometric analysis of 4% paraformaldehyde fixed 90% methanol permeabilized Hela (human cervical adenocarcinoma epithelial cell) cells labelling Rabbit IgG, multiclonal [RM1060] - Isotype control with ab313801 at 1/500 dilution (0.1 ug)/Red (Red) compared with a Rabbit monoclonal IgG (ab172730) (Black) isotype control and an unlabelled control (cells without incubation with primary antibody and secondary antibody) (Blue). A Goat Anti-Rabbit IgG (Alexa Fluor® 488, ab150081) at 1/5000 dilution was used as the secondary antibody.

Flow Cytometry (Intracellular) - Rabbit IgG, multiclonal [RM1060] - Isotype control (AB313801)
  • Flow Cyt (Intra)

Supplier Data

Flow Cytometry (Intracellular) - Rabbit IgG, multiclonal [RM1060] - Isotype control (AB313801)

Flow cytometric analysis of 4% paraformaldehyde fixed 90% methanol permeabilized C6 (rat glial tumor glial cell) cells labelling Rabbit IgG, multiclonal [RM1060] - Isotype control with ab313801 at 1/500 dilution (0.1 ug)/Red (Red) compared with a Rabbit monoclonal IgG (ab172730) (Black) isotype control and an unlabelled control (cells without incubation with primary antibody and secondary antibody) (Blue). A Goat Anti-Rabbit IgG (Alexa Fluor® 488, ab150081) at 1/5000 dilution was used as the secondary antibody.

Western blot - Rabbit IgG, multiclonal [RM1060] - Isotype control (AB313801)
  • WB

Supplier Data

Western blot - Rabbit IgG, multiclonal [RM1060] - Isotype control (AB313801)

Blocking and diluting buffer and concentration : 5% NFDM/TBST In Western blot, anti-GAPDH antibody (ab181602) loading control staining at 1/200000 dilution. Exposure time : 180 seconds

Lane 1:

C6 (rat glial tumor glial cell) whole cell lysate at 20 µg

Lane 2:

RAW 264.7 (mouse Abelson murine leukemia virus-induced tumor macrophage) whole cell lysate at 20 µg

Lane 3:

PC-12 (rat adrenal gland pheochromocytoma cell) whole cell lysate at 20 µg

Secondary

All lanes:

Western blot - Goat Anti-Rabbit IgG H&L (HRP) (<a href='/en-us/products/secondary-antibodies/goat-rabbit-igg-h-l-hrp-ab97051'>ab97051</a>) at 1/20000 dilution

false

Exposure time: 180s

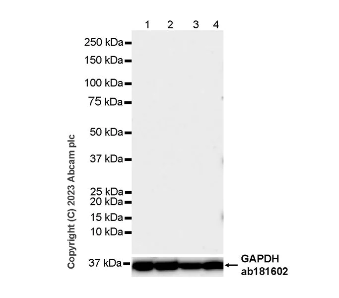
Western blot - Rabbit IgG, multiclonal [RM1060] - Isotype control (AB313801)
  • WB

Supplier Data

Western blot - Rabbit IgG, multiclonal [RM1060] - Isotype control (AB313801)

Blocking and diluting buffer and concentration : 5% NFDM/TBST In Western blot, anti-GAPDH antibody (ab181602) loading control staining at 1/200000 dilution. Exposure time : 59 seconds

Lane 1:

HeLa (human cervical adenocarcinoma epithelial cell) whole cell lysate at 20 µg

Lane 2:

Jurkat (human T cell leukemia T lymphocyte from peripheral blood) whole cell lysate at 20 µg

Lane 3:

293T (human embryonic kidney epithelial cell) whole cell lysate at 20 µg

Lane 4:

NIH/3T3 (mouse embryonic fibroblast) whole cell lysate at 20 µg

Secondary

All lanes:

Western blot - Goat Anti-Rabbit IgG H&L (HRP) (<a href='/en-us/products/secondary-antibodies/goat-rabbit-igg-h-l-hrp-ab97051'>ab97051</a>) at 1/20000 dilution

false

Exposure time: 59s

Key facts

Host species

Rabbit

Clonality

Multiclonal

Clone number

RM1060

Isotype

IgG

Carrier free

No

Applications

Flow Cyt (Intra), IHC-P, WB, ChIP-seq, IP, ICC/IF

applications

Reactivity data

{ "title": "Reactivity Data", "filters": { "stats": ["", "Species", "Dilution Info", "Notes"], "tabs": { "all-applications": {"fullname" : "All Applications", "shortname": "All Applications"}, "FlowCytIntra" : {"fullname" : "Flow Cytometry (Intracellular)", "shortname":"Flow Cyt (Intra)"}, "WB" : {"fullname" : "Western blot", "shortname":"WB"}, "IHCP" : {"fullname" : "Immunohistochemistry (Formalin/PFA-fixed paraffin-embedded sections)", "shortname":"IHC-P"}, "ICCIF" : {"fullname" : "Immunocytochemistry/ Immunofluorescence", "shortname":"ICC/IF"}, "IP" : {"fullname" : "Immunoprecipitation", "shortname":"IP"}, "ChIPseq" : {"fullname" : "ChIP-sequencing", "shortname":"ChIP-seq"} }, "product-promise": { "all": "all", "testedAndGuaranteed": "tested", "guaranteed": "expected", "predicted": "predicted", "notRecommended": "not-recommended" } }, "values": { "": { "FlowCytIntra-species-checked": "testedAndGuaranteed", "FlowCytIntra-species-dilution-info": "1/500", "FlowCytIntra-species-notes": "<p></p>", "WB-species-checked": "testedAndGuaranteed", "WB-species-dilution-info": "1/1000", "WB-species-notes": "<p></p>", "IHCP-species-checked": "testedAndGuaranteed", "IHCP-species-dilution-info": "1/100", "IHCP-species-notes": "<p></p> Perform heat-mediated antigen retrieval with Tris/EDTA buffer pH 9.0 before commencing with IHC staining protocol.", "ICCIF-species-checked": "testedAndGuaranteed", "ICCIF-species-dilution-info": "1/50", "ICCIF-species-notes": "<p></p>", "IP-species-checked": "testedAndGuaranteed", "IP-species-dilution-info": "1/30", "IP-species-notes": "<p></p>", "ChIPseq-species-checked": "testedAndGuaranteed", "ChIPseq-species-dilution-info": "4 µg for 10^7 Cells", "ChIPseq-species-notes": "<p></p>" } } }

Product details

What are recombinant multiclonals?
Recombinant multiclonals are a mixture of recombinant antibodies co-expressed from a library of heavy and light chains. They offer several advantages including:

  • - The sensitivity of polyclonal antibodies by recognising multiple epitopes
  • - High batch-to-batch consistency and reproducibility
  • - Improved sensitivity and specificity
  • - Long-term security of supply
  • - Animal-free batch production

View our range of recombinant multiclonal antibodies.

Patented technology
Our RabMAb® technology is a patented hybridoma-based technology for making rabbit monoclonal antibodies. For details on our patents, please refer to RabMAb® patents.

Properties and storage information

Form
Liquid
Purification technique
Affinity purification Protein A
Storage buffer
pH: 7.2 - 7.4 Preservative: 0.01% Sodium azide Constituents: PBS, 40% Glycerol (glycerin, glycerine), 0.05% BSA
Shipped at conditions
Blue Ice
Appropriate short-term storage duration
1-2 weeks
Appropriate short-term storage conditions
+4°C
Appropriate long-term storage conditions
-20°C
Aliquoting information
Upon delivery aliquot
Storage information
Avoid freeze / thaw cycle

Product protocols

For this product, it's our understanding that no specific protocols are required. You can visit:

Target data

Publications (19)

Recent publications for all applications. Explore the full list and refine your search

Neoplasma 72:229-241 PubMed40958520

2025

Synergistic effects of histone deacetylase inhibitor chidamide and BCL-2 inhibitor venetoclax in activating the p53 pathway in diffuse large B-cell lymphoma.

Applications

Unspecified application

Species

Unspecified reactive species

Zhengrong Song,Zhengyan Song,Liyuan Ren,Xinzhi Han,Xuejun Zhang,Shupeng Wen

Cell communication and signaling : CCS 23:364 PubMed40760493

2025

Lactylation modification of HIF-1α enhances its stability by blocking VHL recognition.

Applications

Unspecified application

Species

Unspecified reactive species

Chengyu Li,Chen Fu,Wenhan Zhou,Hongmin Li,Zhaojun Liu,Gang Wu,Tong He,Ming Shen,Honglin Liu

Cell death discovery 11:294 PubMed40592832

2025

N6-methyladenosine modification of MEF2A weakens cetuximab sensitivity in colorectal cancer via PD-L1/SOX12 axis.

Applications

Unspecified application

Species

Unspecified reactive species

Cao Gao,Jiajia He,Jiemin Zhao,Xuefeng Ni,Yanjie Xu

Frontiers in oncology 15:1529657 PubMed40510136

2025

METTL3-mediated SNHG1 mA modification promotes proliferation and migration through transcriptional regulation of WDR74 in osteosarcoma.

Applications

Unspecified application

Species

Unspecified reactive species

Guanzhen Qiu,Yuxin Bao,Yuanzhuang Zhang,Yeqiu Xu,Tianhua Qiao,Chenghao Li,Hanjie Zhai,Zhenjun Chen,Fu Ren,Yong Wang

PLoS genetics 21:e1011664 PubMed40305565

2025

Heat inducible nuclear translocation of Kdm6bb drives temperature dependent sex reversal in Nile tilapia.

Applications

Unspecified application

Species

Unspecified reactive species

Jigang Lu,Siqi Huang,Shicen Wei,Jiangbo Cheng,Wei Li,Yueyue Fei,Jihui Yang,Ruiqin Hu,Songqian Huang,Wanying Zhai,Zhichao Wu,Mingli Liu,Qianghua Xu,Peng Hu,Liangbiao Chen

European journal of medical research 30:144 PubMed40022250

2025

The mechanism of high mobility group box-1 in the proliferation and macrophage polarization in esophageal squamous cell carcinoma cells.

Applications

Unspecified application

Species

Unspecified reactive species

Liling Luo,Chao Jiang,Songxi Xie

Discover oncology 16:118 PubMed39907925

2025

Cancer-associated fibroblast-derived COL17A1 promotes gemcitabine resistance and tumorigenesis in pancreatic cancer cells by interacting with ACTN4.

Applications

Unspecified application

Species

Unspecified reactive species

Rongyu Shi,Ning Zhang,Han Li,Hu Zhong,Chengcheng Zhong,Wei Du,Xi Yang

Physiological research 73:985-999 PubMed39903889

2025

LDHA- Mediated Histone Lactylation Promotes the Nonalcoholic Fatty Liver Disease Progression Through Targeting The METTL3/ YTHDF1/SCD1 m6A Axis.

Applications

Unspecified application

Species

Unspecified reactive species

J Meng,C Yan,J Liu

Cell biology and toxicology 41:14 PubMed39707003

2024

NMF typing and machine learning algorithm-based exploration of preeclampsia-related mechanisms on ferroptosis signature genes.

Applications

Unspecified application

Species

Unspecified reactive species

Xuemin Liu,Di Zhang,Hui Qiu

Histology and histopathology 40:1295-1307 PubMed39698827

2024

TRIM22 mechanism promoting KAT2A ubiquitination degradation to regulate ferroptosis in hepatocellular carcinoma cell invasion and metastasis.

Applications

Unspecified application

Species

Unspecified reactive species

Wei Wang,Xiaoshan Chen,Wei Wei
View all publications

Product promise

We are committed to supporting your work with high-quality reagents, and we're here for you every step of the way. In the unlikely event that one of our products does not perform as expected, you're protected by our Product Promise.
For full details, please see our Terms & Conditions

Please note: All products are 'FOR RESEARCH USE ONLY. NOT FOR USE IN DIAGNOSTIC OR THERAPEUTIC PROCEDURES'.

For licensing inquiries, please contact partnerships@abcam.com