JavaScript is disabled in your browser. Please enable JavaScript to view this website.
AB313802

Rabbit IgG, multiclonal [RM1060] - Isotype control - BSA and Azide free

  • BOND RX™ Validated
  • Recombinant
  • Advanced Validation
  • RabMAb
  • What is this?

Be the first to review this product! Submit a review

|

(1 Publication)

Rabbit IgG, multiclonal [RM1060] - Isotype control - BSA and Azide free Suitable for ChIP-seq, Flow Cyt (Intra), WB, IHC-P, ICC/IF, IP and reacts with samples. Cited in 1 publication.
17 Images
ChIP-sequencing - Rabbit IgG, multiclonal [RM1060] - Isotype control - BSA and Azide free (AB313802)
  • ChIP-seq

Lab

ChIP-sequencing - Rabbit IgG, multiclonal [RM1060] - Isotype control - BSA and Azide free (AB313802)

Chromatin was prepared from HeLa cells. Cells were fixed with 1% formaldehyde for 10 minutes. ChIP was performed with 107 cells and 4 µg of ab313801 [RM1060]. Assay Quality Control was conducted using 8 µg CTCF control ab188408 on the same cell line. ChIP DNA was sequenced on the Illumina NovaSeq 6000 to a depth of 30 million reads. The Input control is also shown.

This data was developed using ab313801, the same antibody clone in a different buffer formulation.

ChIP-sequencing - Rabbit IgG, multiclonal [RM1060] - Isotype control - BSA and Azide free (AB313802)
  • ChIP-seq

Lab

ChIP-sequencing - Rabbit IgG, multiclonal [RM1060] - Isotype control - BSA and Azide free (AB313802)

Chromatin was prepared from HeLa cells. Cells were fixed with 1% formaldehyde for 10 minutes. ChIP was performed with 107 cells and 4 µg of ab313801 [RM1060]. Assay Quality Control was conducted using 8 µg CTCF control ab188408 on the same cell line. ChIP DNA was sequenced on the Illumina NovaSeq 6000 to a depth of 30 million reads. The Input control is also shown.

This data was developed using ab313801, the same antibody clone in a different buffer formulation.

Immunoprecipitation - Rabbit IgG, multiclonal [RM1060] - Isotype control - BSA and Azide free (AB313802)
  • IP

Supplier Data

Immunoprecipitation - Rabbit IgG, multiclonal [RM1060] - Isotype control - BSA and Azide free (AB313802)

This data was developed using ab313801, the same antibody clone in a different buffer formulation. Rabbit IgG, multiclonal [RM1060] - Isotype control was immunoprecipitated from 0.35 mg U-937 (human histiocytic lymphoma monocyte) whole cell lysate with ab313801 at 1/30 dilution (2ug in 0.35mg lysates). Western blot was performed on the immunoprecipitate using ab313801 at 1/1000 dilution. VeriBlot for IP secondary antibody(HRP)(ab131366) was used at 1/5000 dilution. Lane 1 : U-937 (human histiocytic lymphoma monocyte) whole cell lysate Lane 2 : ab313801 IP in U-937 (human histiocytic lymphoma monocyte) whole cell lysate Lane 3 : Rabbit IgG isotype control (ab313801) instead of ab307664 in U937 whole cell lysate Blocking and dilution buffer and concentration : 5% NFDM/TBST. Exposure time : 10 seconds The IP experiment was performed by ab307664 using U937 cells. ab313801 was used as the isotype control instead of ab307664 in Lane 3.

All lanes:

U-937 (human histiocytic lymphoma monocyte) whole cell lysate

Secondary

All lanes:

Immunoprecipitation - VeriBlot for IP Detection Reagent (HRP) (<a href='/en-us/products/reagents/veriblot-for-ip-detection-reagent-hrp-ab131366'>ab131366</a>) at 1/5000 dilution

false

Exposure time: 10s

ChIP-sequencing - Rabbit IgG, multiclonal [RM1060] - Isotype control - BSA and Azide free (AB313802)
  • ChIP-seq

Lab

ChIP-sequencing - Rabbit IgG, multiclonal [RM1060] - Isotype control - BSA and Azide free (AB313802)

Chromatin was prepared from HeLa cells. Cells were fixed with 1% formaldehyde for 10 minutes. ChIP was performed with 107 cells and 4 µg of ab313801 [RM1060]. Assay Quality Control was conducted using 8 µg CTCF control ab188408 on the same cell line. ChIP DNA was sequenced on the Illumina NovaSeq 6000 to a depth of 30 million reads. The Input control is also shown.

This data was developed using ab313801, the same antibody clone in a different buffer formulation.

Immunoprecipitation - Rabbit IgG, multiclonal [RM1060] - Isotype control - BSA and Azide free (AB313802)
  • IP

Supplier Data

Immunoprecipitation - Rabbit IgG, multiclonal [RM1060] - Isotype control - BSA and Azide free (AB313802)

This data was developed using ab313801, the same antibody clone in a different buffer formulation. Rabbit IgG, multiclonal [RM1060] - Isotype control was immunoprecipitated from 0.35 mg NIH/3T3 (mouse embryonic fibroblast) whole cell lysate with ab313801 at 1/30 dilution (2ug in 0.35mg lysates). Western blot was performed on the immunoprecipitate using ab313801 at 1/1000 dilution. VeriBlot for IP secondary antibody(HRP)(ab131366) was used at 1/5000 dilution. Lane 1 : NIH/3T3 (mouse embryonic fibroblast) whole cell lysate Lane 2 : ab313801 IP in NIH/3T3 (mouse embryonic fibroblast) whole cell lysate Lane 3 : Rabbit IgG isotype control (ab313801) instead of ab307664 in NIH/3T3 whole cell lysate Blocking and dilution buffer and concentration : 5% NFDM/TBST. Exposure time : 10 seconds The IP experiment was performed by ab307664 using NIH/3T3 cells. ab313801 was used as the isotype control instead of ab307664 in Lane 3.

All lanes:

NIH/3T3 (mouse embryonic fibroblast) whole cell lysate

Secondary

All lanes:

Immunoprecipitation - VeriBlot for IP Detection Reagent (HRP) (<a href='/en-us/products/reagents/veriblot-for-ip-detection-reagent-hrp-ab131366'>ab131366</a>) at 1/5000 dilution

false

Exposure time: 10s

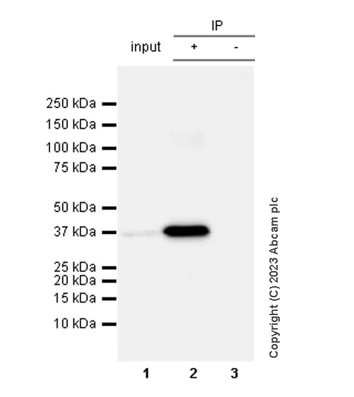
Immunoprecipitation - Rabbit IgG, multiclonal [RM1060] - Isotype control - BSA and Azide free (AB313802)
  • IP

Supplier Data

Immunoprecipitation - Rabbit IgG, multiclonal [RM1060] - Isotype control - BSA and Azide free (AB313802)

This data was developed using ab313801, the same antibody clone in a different buffer formulation. Rabbit IgG, multiclonal [RM1060] - Isotype control was immunoprecipitated from 0.35 mg C6 (rat glial tumor glial cell) whole cell lysate with ab313801 at 1/30 dilution (2ug in 0.35mg lysates). Western blot was performed on the immunoprecipitate using ab313801 at 1/1000 dilution. VeriBlot for IP secondary antibody(HRP)(ab131366) was used at 1/5000 dilution. Lane 1 : C6 (rat glial tumor glial cell) whole cell lysate Lane 2 : ab313801 IP in C6 (rat glial tumor glial cell) whole cell lysate Lane 3 : Rabbit IgG isotype control (ab313801) instead of ab307357 in C6 whole cell lysate Blocking and dilution buffer and concentration : 5% NFDM/TBST. Exposure time : 10 seconds The IP experiment was performed by ab307357 using C6 cells. ab313801 was used as the isotype control instead of ab307357 in Lane 3.

All lanes:

C6 (rat glial tumor glial cell) whole cell lysate

Secondary

All lanes:

Immunoprecipitation - VeriBlot for IP Detection Reagent (HRP) (<a href='/en-us/products/reagents/veriblot-for-ip-detection-reagent-hrp-ab131366'>ab131366</a>) at 1/5000 dilution

false

Exposure time: 10s

Flow Cytometry (Intracellular) - Rabbit IgG, multiclonal [RM1060] - Isotype control - BSA and Azide free (AB313802)
  • Flow Cyt (Intra)

Supplier Data

Flow Cytometry (Intracellular) - Rabbit IgG, multiclonal [RM1060] - Isotype control - BSA and Azide free (AB313802)

This data was developed using ab313801, the same antibody clone in a different buffer formulation. Flow cytometric analysis of 4% paraformaldehyde fixed 90% methanol permeabilized NIH/3T3 (mouse embryonic fibroblast) cells labelling Rabbit IgG, multiclonal [RM1060] - Isotype control with ab313801 at 1/500 dilution (0.1 ug)/Red (Red) compared with a Rabbit monoclonal IgG (ab172730) (Black) isotype control and an unlabelled control (cells without incubation with primary antibody and secondary antibody) (Blue). A Goat Anti-Rabbit IgG (Alexa Fluor® 488, ab150081) at 1/5000 dilution was used as the secondary antibody.

Immunocytochemistry/ Immunofluorescence - Rabbit IgG, multiclonal [RM1060] - Isotype control - BSA and Azide free (AB313802)
  • ICC/IF

Supplier Data

Immunocytochemistry/ Immunofluorescence - Rabbit IgG, multiclonal [RM1060] - Isotype control - BSA and Azide free (AB313802)

This data was developed using ab313801, the same antibody clone in a different buffer formulation. Immunofluorescent analysis of 4% Paraformaldehyde-fixed, 0.1% TritonX-100 permeabilized NIH/3T3 (mouse embryonic fibroblast cell) cells labelling Rabbit IgG, multiclonal [RM1060] - Isotype control with ab313801 at 1/50 (9.82 ug/ml) dilution, followed by ab150081 Goat Anti-Rabbit IgG H&L (Alexa Fluor® 488) preadsorbed antibody at 1/1000 2ug/ml dilution (Green). Confocal image showing negative staining in NIH/3T3 cell line. Image was taken with a confocal microscope(Leica-Microsystems, TCS SP8). ab195889 Anti-alpha Tubulin mouse monoclonal antibody - Microtubule Marker (Alexa Fluor® 594) was used to counterstain tubulin at 1/200 2.5ug/ml dilution (Red). The Nuclear counterstain was DAPI (Blue). Secondary antibody only control : Secondary antibody is ab150081 Goat Anti-Rabbit IgG H&L (Alexa Fluor® 488) preadsorbed at 1/1000 2ug/ml dilution.

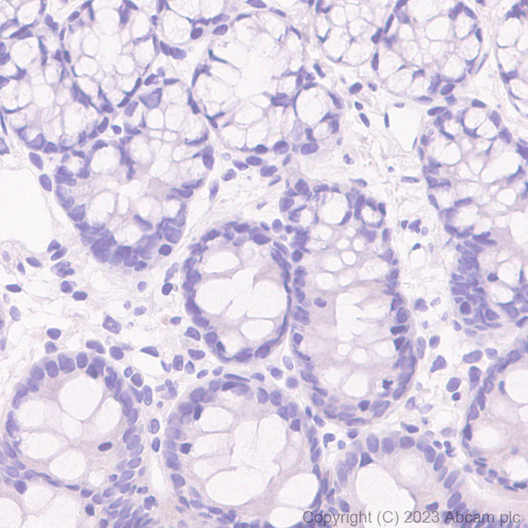
Immunohistochemistry (Formalin/PFA-fixed paraffin-embedded sections) - Rabbit IgG, multiclonal [RM1060] - Isotype control - BSA and Azide free (AB313802)
  • IHC-P

Supplier Data

Immunohistochemistry (Formalin/PFA-fixed paraffin-embedded sections) - Rabbit IgG, multiclonal [RM1060] - Isotype control - BSA and Azide free (AB313802)

This data was developed using ab313801, the same antibody clone in a different buffer formulation. Immunohistochemical analysis of paraffin-embedded Mouse colon tissue labeling Rabbit IgG, multiclonal [RM1060] - Isotype control with ab313801 at 1/100 (4.91 ug/ml) followed by a ready to use Rabbit specific IHC polymer detection kit HRP/DAB (ab209101). No staining on mouse colon.The section was incubated with ab313801 for 30 mins at room temperature.The immunostaining was performed on a Leica Biosystems BOND® RX instrument Counterstained with Hematoxylin. Secondary antibody only control : Secondary antibody is a ready to use Rabbit specific IHC polymer detection kit HRP/DAB (ab209101). Heat mediated antigen retrieval was performed with Tris-EDTA buffer (pH 9.0, Epitope Retrieval Solution2) for 20 mins

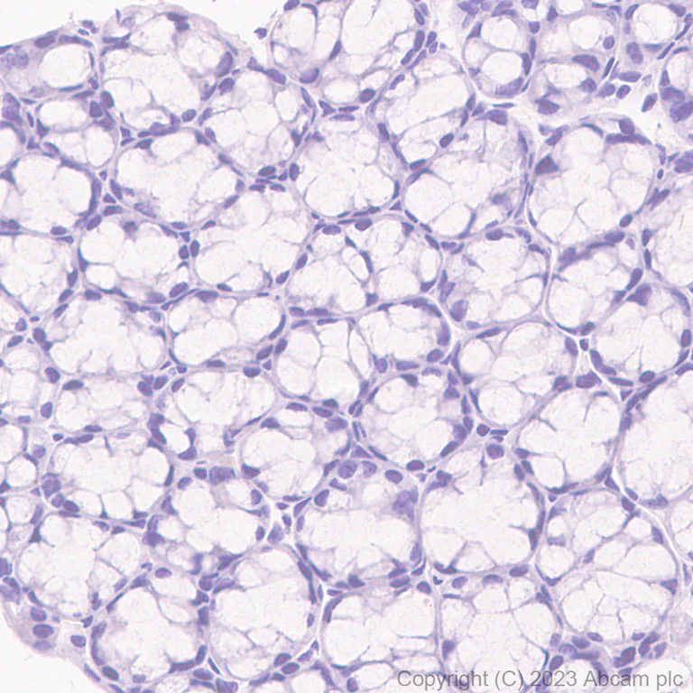
Immunohistochemistry (Formalin/PFA-fixed paraffin-embedded sections) - Rabbit IgG, multiclonal [RM1060] - Isotype control - BSA and Azide free (AB313802)
  • IHC-P

Supplier Data

Immunohistochemistry (Formalin/PFA-fixed paraffin-embedded sections) - Rabbit IgG, multiclonal [RM1060] - Isotype control - BSA and Azide free (AB313802)

This data was developed using ab313801, the same antibody clone in a different buffer formulation. Immunohistochemical analysis of paraffin-embedded Rat colon tissue labeling Rabbit IgG, multiclonal [RM1060] - Isotype control with ab313801 at 1/100 (4.91 ug/ml) followed by a ready to use Rabbit specific IHC polymer detection kit HRP/DAB (ab209101). No staining on rat colon.The section was incubated with ab313801 for 30 mins at room temperature.The immunostaining was performed on a Leica Biosystems BOND® RX instrument Counterstained with Hematoxylin. Secondary antibody only control : Secondary antibody is a ready to use Rabbit specific IHC polymer detection kit HRP/DAB (ab209101). Heat mediated antigen retrieval was performed with Tris-EDTA buffer (pH 9.0, Epitope Retrieval Solution2) for 20 mins

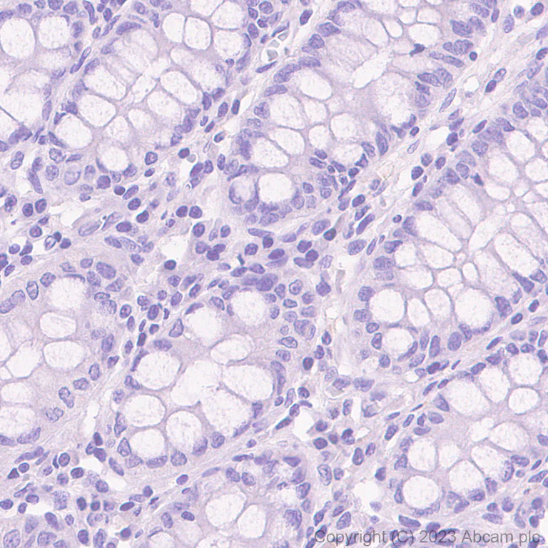
Immunohistochemistry (Formalin/PFA-fixed paraffin-embedded sections) - Rabbit IgG, multiclonal [RM1060] - Isotype control - BSA and Azide free (AB313802)
  • IHC-P

Supplier Data

Immunohistochemistry (Formalin/PFA-fixed paraffin-embedded sections) - Rabbit IgG, multiclonal [RM1060] - Isotype control - BSA and Azide free (AB313802)

This data was developed using ab313801, the same antibody clone in a different buffer formulation. Immunohistochemical analysis of paraffin-embedded Human colon tissue labeling Rabbit IgG, multiclonal [RM1060] - Isotype control with ab313801 at 1/100 (4.91 ug/ml) followed by a ready to use Rabbit specific IHC polymer detection kit HRP/DAB (ab209101). No staining on human colon.The section was incubated with ab313801 for 30 mins at room temperature.The immunostaining was performed on a Leica Biosystems BOND® RX instrument Counterstained with Hematoxylin. Secondary antibody only control : Secondary antibody is a ready to use Rabbit specific IHC polymer detection kit HRP/DAB (ab209101). Heat mediated antigen retrieval was performed with Tris-EDTA buffer (pH 9.0, Epitope Retrieval Solution2) for 20 mins

Immunocytochemistry/ Immunofluorescence - Rabbit IgG, multiclonal [RM1060] - Isotype control - BSA and Azide free (AB313802)
  • ICC/IF

Supplier Data

Immunocytochemistry/ Immunofluorescence - Rabbit IgG, multiclonal [RM1060] - Isotype control - BSA and Azide free (AB313802)

This data was developed using ab313801, the same antibody clone in a different buffer formulation. Immunofluorescent analysis of 4% Paraformaldehyde-fixed, 0.1% TritonX-100 permeabilized HeLa (human cervical adenocarcinoma epithelial cell) cells labelling Rabbit IgG, multiclonal [RM1060] - Isotype control with ab313801 at 1/50 (9.82 ug/ml) dilution, followed by ab150081 Goat Anti-Rabbit IgG H&L (Alexa Fluor® 488) preadsorbed antibody at 1/1000 2ug/ml dilution (Green). Confocal image showing negative staining in Hela cell line. Image was taken with a confocal microscope(Leica-Microsystems, TCS SP8). ab195889 Anti-alpha Tubulin mouse monoclonal antibody - Microtubule Marker (Alexa Fluor® 594) was used to counterstain tubulin at 1/200 2.5ug/ml dilution (Red). The Nuclear counterstain was DAPI (Blue). Secondary antibody only control : Secondary antibody is ab150081 Goat Anti-Rabbit IgG H&L (Alexa Fluor® 488) preadsorbed at 1/1000 2ug/ml dilution.

Immunocytochemistry/ Immunofluorescence - Rabbit IgG, multiclonal [RM1060] - Isotype control - BSA and Azide free (AB313802)
  • ICC/IF

Supplier Data

Immunocytochemistry/ Immunofluorescence - Rabbit IgG, multiclonal [RM1060] - Isotype control - BSA and Azide free (AB313802)

This data was developed using ab313801, the same antibody clone in a different buffer formulation. Immunofluorescent analysis of 4% Paraformaldehyde-fixed, 0.1% TritonX-100 permeabilized C6 (rat glial tumor glial cell) cells labelling Rabbit IgG, multiclonal [RM1060] - Isotype control with ab313801 at 1/50 (9.82 ug/ml) dilution, followed by ab150081 Goat Anti-Rabbit IgG H&L (Alexa Fluor® 488) preadsorbed antibody at 1/1000 2ug/ml dilution (Green). Confocal image showing negative staining in C6 cell line. Image was taken with a confocal microscope(Leica-Microsystems, TCS SP8). ab195889 Anti-alpha Tubulin mouse monoclonal antibody - Microtubule Marker (Alexa Fluor® 594) was used to counterstain tubulin at 1/200 2.5ug/ml dilution (Red). The Nuclear counterstain was DAPI (Blue). Secondary antibody only control : Secondary antibody is ab150081 Goat Anti-Rabbit IgG H&L (Alexa Fluor® 488) preadsorbed at 1/1000 2ug/ml dilution.

Flow Cytometry (Intracellular) - Rabbit IgG, multiclonal [RM1060] - Isotype control - BSA and Azide free (AB313802)
  • Flow Cyt (Intra)

Supplier Data

Flow Cytometry (Intracellular) - Rabbit IgG, multiclonal [RM1060] - Isotype control - BSA and Azide free (AB313802)

This data was developed using ab313801, the same antibody clone in a different buffer formulation. Flow cytometric analysis of 4% paraformaldehyde fixed 90% methanol permeabilized Hela (human cervical adenocarcinoma epithelial cell) cells labelling Rabbit IgG, multiclonal [RM1060] - Isotype control with ab313801 at 1/500 dilution (0.1 ug)/Red (Red) compared with a Rabbit monoclonal IgG (ab172730) (Black) isotype control and an unlabelled control (cells without incubation with primary antibody and secondary antibody) (Blue). A Goat Anti-Rabbit IgG (Alexa Fluor® 488, ab150081) at 1/5000 dilution was used as the secondary antibody.

Flow Cytometry (Intracellular) - Rabbit IgG, multiclonal [RM1060] - Isotype control - BSA and Azide free (AB313802)
  • Flow Cyt (Intra)

Supplier Data

Flow Cytometry (Intracellular) - Rabbit IgG, multiclonal [RM1060] - Isotype control - BSA and Azide free (AB313802)

This data was developed using ab313801, the same antibody clone in a different buffer formulation. Flow cytometric analysis of 4% paraformaldehyde fixed 90% methanol permeabilized C6 (rat glial tumor glial cell) cells labelling Rabbit IgG, multiclonal [RM1060] - Isotype control with ab313801 at 1/500 dilution (0.1 ug)/Red (Red) compared with a Rabbit monoclonal IgG (ab172730) (Black) isotype control and an unlabelled control (cells without incubation with primary antibody and secondary antibody) (Blue). A Goat Anti-Rabbit IgG (Alexa Fluor® 488, ab150081) at 1/5000 dilution was used as the secondary antibody.

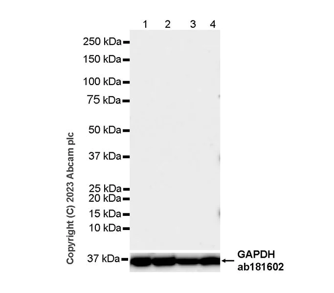
Western blot - Rabbit IgG, multiclonal [RM1060] - Isotype control - BSA and Azide free (AB313802)
  • WB

Supplier Data

Western blot - Rabbit IgG, multiclonal [RM1060] - Isotype control - BSA and Azide free (AB313802)

This data was developed using ab313801, the same antibody clone in a different buffer formulation. Blocking and diluting buffer and concentration : 5% NFDM/TBST In Western blot, anti-GAPDH antibody (ab181602) loading control staining at 1/200000 dilution. Exposure time : 180 seconds

Lane 1:

C6 (rat glial tumor glial cell) whole cell lysate at 20 µg

Lane 2:

RAW 264.7 (mouse Abelson murine leukemia virus-induced tumor macrophage) whole cell lysate at 20 µg

Lane 3:

PC-12 (rat adrenal gland pheochromocytoma cell) whole cell lysate at 20 µg

Secondary

All lanes:

Western blot - Goat Anti-Rabbit IgG H&L (HRP) (<a href='/en-us/products/secondary-antibodies/goat-rabbit-igg-h-l-hrp-ab97051'>ab97051</a>) at 1/20000 dilution

false

Exposure time: 180s

Western blot - Rabbit IgG, multiclonal [RM1060] - Isotype control - BSA and Azide free (AB313802)
  • WB

Supplier Data

Western blot - Rabbit IgG, multiclonal [RM1060] - Isotype control - BSA and Azide free (AB313802)

This data was developed using ab313801, the same antibody clone in a different buffer formulation. Blocking and diluting buffer and concentration : 5% NFDM/TBST In Western blot, anti-GAPDH antibody (ab181602) loading control staining at 1/200000 dilution. Exposure time : 59 seconds

Lane 1:

HeLa (human cervical adenocarcinoma epithelial cell) whole cell lysate at 20 µg

Lane 2:

Jurkat (human T cell leukemia T lymphocyte from peripheral blood) whole cell lysate at 20 µg

Lane 3:

293T (human embryonic kidney epithelial cell) whole cell lysate at 20 µg

Lane 4:

NIH/3T3 (mouse embryonic fibroblast) whole cell lysate at 20 µg

Secondary

All lanes:

Western blot - Goat Anti-Rabbit IgG H&L (HRP) (<a href='/en-us/products/secondary-antibodies/goat-rabbit-igg-h-l-hrp-ab97051'>ab97051</a>) at 1/20000 dilution

false

Exposure time: 59s

  • Unconjugated

    Rabbit IgG, multiclonal [RM1060] - Isotype control

Key facts

Host species

Rabbit

Clonality

Multiclonal

Clone number

RM1060

Isotype

IgG

Carrier free

Yes

Applications

Flow Cyt (Intra), ICC/IF, ChIP-seq, IP, IHC-P, WB

applications

Reactivity data

{ "title": "Reactivity Data", "filters": { "stats": ["", "Species", "Dilution Info", "Notes"], "tabs": { "all-applications": {"fullname" : "All Applications", "shortname": "All Applications"}, "ChIPseq" : {"fullname" : "ChIP-sequencing", "shortname":"ChIP-seq"}, "FlowCytIntra" : {"fullname" : "Flow Cytometry (Intracellular)", "shortname":"Flow Cyt (Intra)"}, "WB" : {"fullname" : "Western blot", "shortname":"WB"}, "IHCP" : {"fullname" : "Immunohistochemistry (Formalin/PFA-fixed paraffin-embedded sections)", "shortname":"IHC-P"}, "ICCIF" : {"fullname" : "Immunocytochemistry/ Immunofluorescence", "shortname":"ICC/IF"}, "IP" : {"fullname" : "Immunoprecipitation", "shortname":"IP"} }, "product-promise": { "all": "all", "testedAndGuaranteed": "tested", "guaranteed": "expected", "predicted": "predicted", "notRecommended": "not-recommended" } }, "values": { "": { "ChIPseq-species-checked": "testedAndGuaranteed", "ChIPseq-species-dilution-info": "", "ChIPseq-species-notes": "<p></p>", "FlowCytIntra-species-checked": "testedAndGuaranteed", "FlowCytIntra-species-dilution-info": "", "FlowCytIntra-species-notes": "<p></p>", "WB-species-checked": "testedAndGuaranteed", "WB-species-dilution-info": "", "WB-species-notes": "<p></p>", "IHCP-species-checked": "testedAndGuaranteed", "IHCP-species-dilution-info": "", "IHCP-species-notes": "<p></p>", "ICCIF-species-checked": "testedAndGuaranteed", "ICCIF-species-dilution-info": "", "ICCIF-species-notes": "<p></p>", "IP-species-checked": "testedAndGuaranteed", "IP-species-dilution-info": "", "IP-species-notes": "<p></p>" } } }

Product details

What are recombinant multiclonals?
Recombinant multiclonals are a mixture of recombinant antibodies co-expressed from a library of heavy and light chains. They offer several advantages including:

  • - The sensitivity of polyclonal antibodies by recognising multiple epitopes
  • - High batch-to-batch consistency and reproducibility
  • - Improved sensitivity and specificity
  • - Long-term security of supply
  • - Animal-free batch production

View our range of recombinant multiclonal antibodies.

Patented technology
Our RabMAb® technology is a patented hybridoma-based technology for making rabbit monoclonal antibodies. For details on our patents, please refer to RabMAb® patents.

Conjugation ready
Our carrier-free antibodies are typically supplied in a PBS-only formulation, purified and free of BSA, sodium azide and glycerol. This conjugation-ready format is designed for use with fluorochromes, metal isotopes, oligonucleotides, and enzymes, which makes them ideal for antibody labelling, functional and cell-based assays, flow-based assays (e.g. mass cytometry) and Multiplex Imaging applications.

Use our conjugation kits for antibody conjugates that are ready-to-use in as little as 20 minutes with 1 minute hands-on-time and 100% antibody recovery: available for fluorescent dyes, HRP, biotin and gold.

Compatibility
This product is compatible with the Maxpar® Antibody Labeling Kit from Fluidigm, without the need for antibody preparation. Maxpar® is a trademark of Fluidigm Canada Inc.

Properties and storage information

Form
Liquid
Purification technique
Affinity purification Protein A
Storage buffer
pH: 7.2 - 7.4 Constituents: PBS
Shipped at conditions
Blue Ice
Appropriate short-term storage conditions
+4°C
Appropriate long-term storage conditions
+4°C

Product protocols

For this product, it's our understanding that no specific protocols are required. You can visit:

Target data

Publications (1)

Recent publications for all applications. Explore the full list and refine your search

Communications biology 8:751 PubMed40369110

2025

ATF1 and miR-27b-3p drive intervertebral disc degeneration through the PPARG/NF-κB signaling axis.

Applications

Unspecified application

Species

Unspecified reactive species

Wei Guo,Kun Mu,Jing-Chao Geng,Hai-Yang Xing,Yu Dong,Wen-Dong Liu,Shuan-Chi Wang,Jia-Xiao Shi,Bao-Rui Xing,Jian-Yong Zhao,Xiao-Ming Li
View all publications

Product promise

We are committed to supporting your work with high-quality reagents, and we're here for you every step of the way. In the unlikely event that one of our products does not perform as expected, you're protected by our Product Promise.
For full details, please see our Terms & Conditions

Please note: All products are 'FOR RESEARCH USE ONLY. NOT FOR USE IN DIAGNOSTIC OR THERAPEUTIC PROCEDURES'.

For licensing inquiries, please contact partnerships@abcam.com