JavaScript is disabled in your browser. Please enable JavaScript to view this website.
AB271180

Rabbit monoclonal [EPR24334-118] to SARS-CoV-2 nucleocapsid protein

  • BOND RX™ Validated
  • 20ul selling size
  • RabMAb
  • Recombinant
  • What is this?

5

(4 Reviews)

|

(22 Publications)

Rabbit monoclonal [EPR24334-118] to SARS-CoV-2 nucleocapsid protein (ab271180) is a rabbit monoclonal antibody detecting SARS-CoV-2 nucleocapsid protein in Western Blot, Flow Cytometry, IP, IHC-P, ICC/IF, ELISA. Suitable for SARS-CoV-2.

- Biophysical QC for unrivalled batch-batch consistency

View Alternative Names

Nucleoprotein, N, Nucleocapsid protein, NC, Protein N

15 Images
Immunohistochemistry (Formalin/PFA-fixed paraffin-embedded sections) - Rabbit monoclonal [EPR24334-118] to SARS-CoV-2 nucleocapsid protein (AB271180)
  • IHC-P

Supplier Data

Immunohistochemistry (Formalin/PFA-fixed paraffin-embedded sections) - Rabbit monoclonal [EPR24334-118] to SARS-CoV-2 nucleocapsid protein (AB271180)

Immunohistochemical analysis of paraffin-embedded Human lung labeling SARS-CoV-2 with ab271180 at 1/4000 dilution followed by ready to use Goat Anti-Rabbit IgG H&L (HRP polymer). Negative control : No staining on human lung. The section was incubated with ab271180 for 30 mins at room temperature. The immunostaining was performed on a Leica Biosystems BOND® RX instrument. Counterstained with Hematoxylin.

Secondary antibody only control : Goat Anti-Rabbit IgG H&L (HRP polymer).

Heat mediated antigen retrieval with Tris-EDTA buffer (pH 9.0, epitope retrieval solution2) for 20 mins.

Immunocytochemistry/ Immunofluorescence - Rabbit monoclonal [EPR24334-118] to SARS-CoV-2 nucleocapsid protein (AB271180)
  • ICC/IF

Supplier Data

Immunocytochemistry/ Immunofluorescence - Rabbit monoclonal [EPR24334-118] to SARS-CoV-2 nucleocapsid protein (AB271180)

Immunofluorescent analysis of 4% Paraformaldehyde-fixed, 0.1% TritonX-100-permeabilized 293T cells transfected with myc-tagged SARS-CoV-2 Nucleocapsid protein expression vector labelling SARS-CoV-2 with ab271180 at 1/1000 dilution, followed by ab150080 Goat Anti-Rabbit IgG H&L (Alexa Fluor® 594) antibody at 1/1000 dilution (Red). ab202008 Anti-Myc tag mouse monoclonal antibody (Alexa Fluor® 488) was used to counterstain Myc tag at 1/200 dilution (Green). The nuclear counterstain was DAPI (Blue). Confocal image showing cytoplasmic staining in 293T cells transfected with myc-tagged SARS-CoV-2 Nucleocapsid protein expression vector.

Immunocytochemistry/ Immunofluorescence - Rabbit monoclonal [EPR24334-118] to SARS-CoV-2 nucleocapsid protein (AB271180)
  • ICC/IF

Supplier Data

Immunocytochemistry/ Immunofluorescence - Rabbit monoclonal [EPR24334-118] to SARS-CoV-2 nucleocapsid protein (AB271180)

Immunofluorescent analysis of 4% Paraformaldehyde-fixed, 0.1% TritonX-100-permeabilized 293T cells transfected with myc-tagged SARS-CoV-1 and MERS Nucleocapsid protein labelling SARS-CoV-2 with ab271180 at 1/1000 dilution, followed by ab150080 Goat Anti-Rabbit IgG H&L (Alexa Fluor® 594) antibody at 1/1000 dilution. ab202008 Anti-Myc tag mouse monoclonal antibody (Alexa Fluor® 488) was used to counterstain Myc tag at 1/200 dilution (Green). The nuclear counterstain was DAPI (Blue). Confocal image showing no staining in 293T cells transfected with myc-tagged SARS-CoV-1 and MERS Nucleocapsid protein, which are negative controls for SARS-CoV-2.

Flow Cytometry (Intracellular) - Rabbit monoclonal [EPR24334-118] to SARS-CoV-2 nucleocapsid protein (AB271180)
  • Flow Cyt (Intra)

Supplier Data

Flow Cytometry (Intracellular) - Rabbit monoclonal [EPR24334-118] to SARS-CoV-2 nucleocapsid protein (AB271180)

Flow cytometric analysis of 4% paraformaldehyde fixed 90% methanol permeabilized HEK-293T (human embryonic kidney) transfected with myc-tagged SARS-CoV-1 Nucleocapsid protein expression construct (Left)/ HEK-293T (human embryonic kidney) transfected with myc-tagged MERS Nucleocapsid protein expression construct (Right).

A Goat anti rabbit IgG (Alexa Fluor® 488, ab150077 at 1/2000 dilution was used as the secondary antibody.

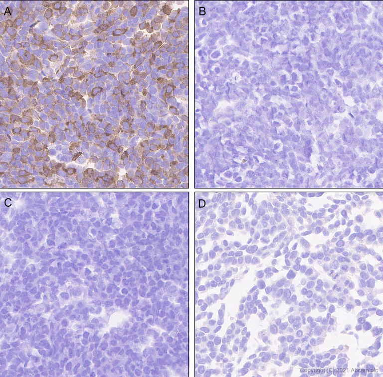
Immunohistochemistry (Formalin/PFA-fixed paraffin-embedded sections) - Rabbit monoclonal [EPR24334-118] to SARS-CoV-2 nucleocapsid protein (AB271180)
  • IHC-P

Supplier Data

Immunohistochemistry (Formalin/PFA-fixed paraffin-embedded sections) - Rabbit monoclonal [EPR24334-118] to SARS-CoV-2 nucleocapsid protein (AB271180)

Immunohistochemical analysis of paraffin-embedded HEK-293T (human epithelial cell line from embryonic kidney transformed with large T antigen) transfected with SARS-CoV-2 Nucleocapsid protein expression vector containing a myc-His-tag® (Panel A)
HEK-293T transfected with SARS-CoV-1 Nucleocapsid protein expression vector containing a myc-His-tag® (Panel B) HEK-293T transfected with MERS Nucleocapsid protein expression vector containing a myc-His-tag® (Panel C) HEK-293T transfected with control vector containing a myc-His-tag® (Panel D) with 271180 at 1/4000 dilution followed by ready to use Goat Anti-Rabbit IgG H&L (HRP polymer). Positive staining on (A) HEK-293T transfected with a SARS-CoV-2 Nucleocapsid protein expression vector is observed. No staining on (B) HEK-293T transfected with a SARS-CoV-1 Nucleocapsid protein expression vector, (C) HEK-293T transfected with MERS Nucleocapsid protein expression vector and (D) HEK-293T transfected with empty vector. The section was incubated with ab271180 for 30 mins at room temperature. The immunostaining was performed on a Leica Biosystems BOND® RX instrument. Counterstained with Hematoxylin.

Heat mediated antigen retrieval with Tris-EDTA buffer (pH 9.0, epitope retrieval solution2) for 20 mins

Flow Cytometry (Intracellular) - Rabbit monoclonal [EPR24334-118] to SARS-CoV-2 nucleocapsid protein (AB271180)
  • Flow Cyt (Intra)

Supplier Data

Flow Cytometry (Intracellular) - Rabbit monoclonal [EPR24334-118] to SARS-CoV-2 nucleocapsid protein (AB271180)

Flow cytometric analysis of 4% paraformaldehyde fixed 90% methanol permeabilized HEK-293T (human embryonic kidney) transfected with myc-tagged SARS-CoV-2 Nucleocapsid protein expression construct labelling SARS-CoV-2 with ab271180 at 1/500 dilution (Right) compared with a Rabbit monoclonal IgG (ab172730) (Left) isotype control.

A Goat anti rabbit IgG (Alexa Fluor® 488, ab150077 at 1/2000 dilution was used as the secondary antibody.

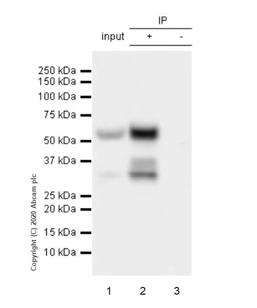
Immunoprecipitation - Rabbit monoclonal [EPR24334-118] to SARS-CoV-2 nucleocapsid protein (AB271180)
  • IP

Supplier Data

Immunoprecipitation - Rabbit monoclonal [EPR24334-118] to SARS-CoV-2 nucleocapsid protein (AB271180)

SARS-CoV-2 was immunoprecipitated from 0.35 mg HEK-293T (human embryonic kidney) transfected with SARS-CoV-2 Nucleocapsid protein expression vector containing a myc-His-tag®, whole cell lysate 5 μg with ab271180 at 1/30 dilution (2μg in 0.35mg lysates). Western blot was performed on the immunoprecipitate using ab271180 at 1/1000 dilution. VeriBlot for IP Detection Reagent (HRP)(ab131366) was used at 1/5000 dilution.

Lane 1 : HEK-293T (human embryonic kidney) transfected with SARS-CoV-2 Nucleocapsid protein expression vector containing a myc-His-tag® whole cell lysate 5 μg

Lane 2 : ab271180 IP in HEK-293T transfected with SARS-CoV-2 Nucleocapsid protein expression vector containing a myc-His-tag® whole cell lysate.

Lane 3 : Rabbit monoclonal IgG (ab172730) instead of ab271180 in HEK-293T transfected with SARS-CoV-2 Nucleocapsid protein expression vector containing a myc-His-tag® whole cell lysate

Blocking and dilution buffer and concentration : 5% NFDM/TBST.

Exposure time : 3.25 seconds.

All lanes:

Immunoprecipitation - Rabbit monoclonal [EPR24334-118] to SARS-CoV-2 nucleocapsid protein (ab271180)

Observed band size: 51 kDa

false

ELISA - Rabbit monoclonal [EPR24334-118] to SARS-CoV-2 nucleocapsid protein (AB271180)
  • ELISA

Lab

ELISA - Rabbit monoclonal [EPR24334-118] to SARS-CoV-2 nucleocapsid protein (AB271180)

Plates were coated with Recombinant Human coronavirus SARS-CoV-2 nucleocapsid protein (His tag, ab273530) and Recombinant Human coronavirus SARS Nucleocapsid Protein (ab270829) at 500 ng/ml.

Primary antibody (ab271180) concentration range 0.045-100 ng /ml.

Pre-adsorbed secondary antibody, goat anti-rabbit IgG H&L (HRP, ab97080) used at 1/2000 dilution.

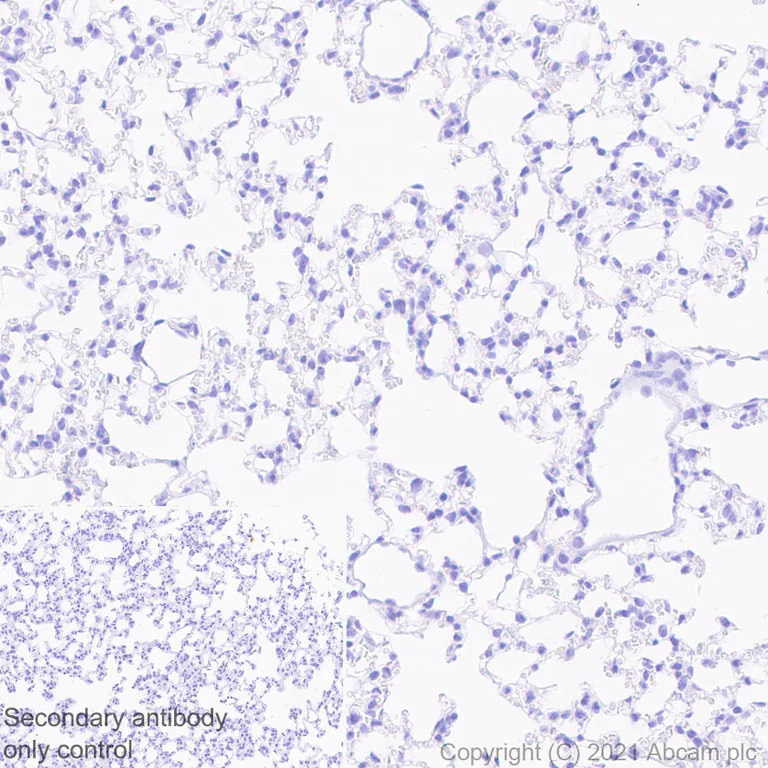
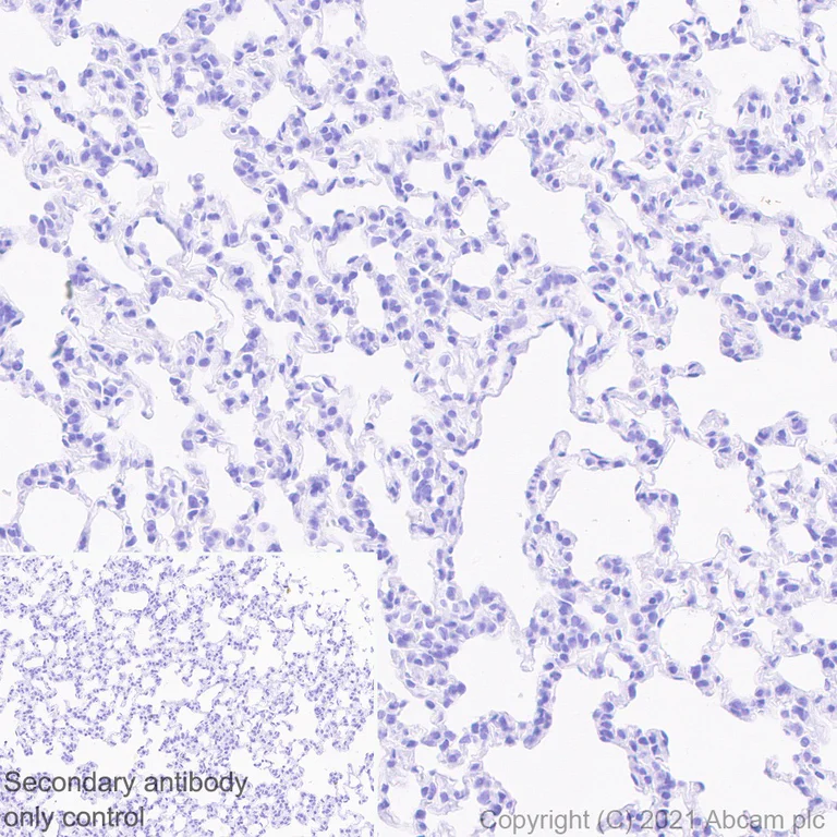
Immunohistochemistry (Formalin/PFA-fixed paraffin-embedded sections) - Rabbit monoclonal [EPR24334-118] to SARS-CoV-2 nucleocapsid protein (AB271180)
  • IHC-P

Supplier Data

Immunohistochemistry (Formalin/PFA-fixed paraffin-embedded sections) - Rabbit monoclonal [EPR24334-118] to SARS-CoV-2 nucleocapsid protein (AB271180)

Immunohistochemical analysis of paraffin-embedded Mouse lung labeling SARS-CoV-2 with ab271180 at 1/4000 dilution followed by ready to use Goat Anti-Rabbit IgG H&L (HRP polymer). Negative control : No staining on Mouse lung. The section was incubated with ab271180 for 30 mins at room temperature. The immunostaining was performed on a Leica Biosystems BOND® RX instrument. Counterstained with Hematoxylin.

Secondary antibody only control : Goat Anti-Rabbit IgG H&L (HRP polymer).

Heat mediated antigen retrieval with Tris-EDTA buffer (pH 9.0, epitope retrieval solution2) for 20 mins.

Immunohistochemistry (Formalin/PFA-fixed paraffin-embedded sections) - Rabbit monoclonal [EPR24334-118] to SARS-CoV-2 nucleocapsid protein (AB271180)
  • IHC-P

Supplier Data

Immunohistochemistry (Formalin/PFA-fixed paraffin-embedded sections) - Rabbit monoclonal [EPR24334-118] to SARS-CoV-2 nucleocapsid protein (AB271180)

Immunohistochemical analysis of paraffin-embedded Rat lung labeling SARS-CoV-2 with ab271180 at 1/4000 dilution followed by ready to use Goat Anti-Rabbit IgG H&L (HRP polymer). Negative control : No staining on Rat lung. The section was incubated with ab271180 for 30 mins at room temperature. The immunostaining was performed on a Leica Biosystems BOND® RX instrument. Counterstained with Hematoxylin.

Secondary antibody only control : Goat Anti-Rabbit IgG H&L (HRP polymer).

Heat mediated antigen retrieval with Tris-EDTA buffer (pH 9.0, epitope retrieval solution2) for 20 mins.

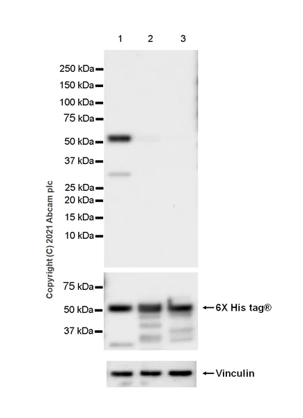
Western blot - Rabbit monoclonal [EPR24334-118] to SARS-CoV-2 nucleocapsid protein (AB271180)
  • WB

Lab

Western blot - Rabbit monoclonal [EPR24334-118] to SARS-CoV-2 nucleocapsid protein (AB271180)

Samples

Lanes 1 & 3 : Recombinant Human coronavirus SARS-CoV-2 Nucleocapsid Protein (His tag) (ab273530) (0.2 μg)

Lanes 2 & 4 : Recombinant Human coronavirus SARS-CoV-2 Nucleocapsid Protein (His tag) (ab272107) (0.2 μg)

Green : Rabbit monoclonal [EPR24334-118] to SARS-CoV-2 nucleocapsid protein (ab271180)

Red : Mouse monoclonal [HIS.H8] to 6X His tag® (ab18184)

Lanes 1 & 2 : Green - ab271180 observed at 50 kDa.

Lanes 3 & 4 : Red - loading control Mouse anti-6x HisTag observed at 50 kDa.

ab271180 was shown to react with SARS-CoV-2 nucleocapsid protein in Western blot. Membranes were blocked in 3% milk before incubation with ab271180 and Mouse anti-6x HisTag (ab18184) overnight at 4 °C at a 1/1000 dilution. Blots were incubated with Goat anti-Rabbit IgG H&L (IRDye® 800CW) preabsorbed (ab216773) and Goat anti-Mouse IgG H&L (IRDye® 680RD) preabsorbed (ab216776) secondary antibodies at 1/20000 dilution for 1 h at room temperature before imaging.

All lanes:

Western blot - Rabbit monoclonal [EPR24334-118] to SARS-CoV-2 nucleocapsid protein (ab271180)

All lanes:

Western blot - Recombinant Human coronavirus SARS-CoV-2 nucleocapsid protein (His tag) (<a href='/en-us/products/proteins-peptides/recombinant-human-coronavirus-sars-cov-2-nucleocapsid-protein-his-tag-ab273530'>ab273530</a>)

Observed band size: 50 kDa

false

Immunocytochemistry/ Immunofluorescence - Rabbit monoclonal [EPR24334-118] to SARS-CoV-2 nucleocapsid protein (AB271180)
  • ICC/IF

Supplier Data

Immunocytochemistry/ Immunofluorescence - Rabbit monoclonal [EPR24334-118] to SARS-CoV-2 nucleocapsid protein (AB271180)

Immunofluorescent analysis of 4% Paraformaldehyde-fixed, 0.1% TritonX-100-permeabilized Vero cells labelling SARS-CoV-2 with ab271180 at 1/1000 dilution, followed by ab150077 Goat Anti-Rabbit IgG H&L (Alexa Fluor® 488) antibody at 1/500 dilution. Fluorescent image showing positve staining in Vero cells after infecting with SARS-CoV-2 virus for 48 h. Nuclear counter stain DAPI.
Two indenpendent optical fields were captured for imaging at each given antibody dilution.

This piece of data was kindly provided by Dr. Hangping Yao, State Key Laboratory for Diagnosis and Treatment of Infectious Diseases in Zhejiang University, School of Medicine

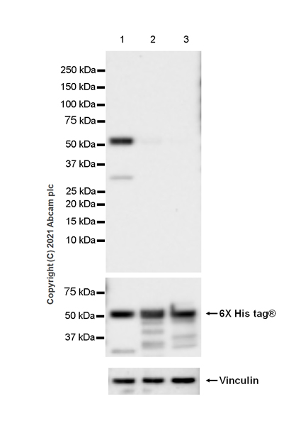
Western blot - Rabbit monoclonal [EPR24334-118] to SARS-CoV-2 nucleocapsid protein (AB271180)
  • WB

Supplier Data

Western blot - Rabbit monoclonal [EPR24334-118] to SARS-CoV-2 nucleocapsid protein (AB271180)

Blocking and diluting buffer and concentration : 5% NFDM/TBST.

Data was kindly provided by Dr. Hangping Yao, State Key Laboratory for Diagnosis and Treatment of Infectious Diseases in Zhejiang University, School of Medicine.

All lanes:

Western blot - Rabbit monoclonal [EPR24334-118] to SARS-CoV-2 nucleocapsid protein (ab271180) at 1/1000 dilution

Lane 1:

SARS-CoV-2 Nucleocapsid Recombinant Protein at 0.1 µg

Lane 2:

SARS-CoV-2 infected Vero for 48 hours

Lane 3:

Uninfected Vero

Observed band size: 51 kDa

false

Western blot - Rabbit monoclonal [EPR24334-118] to SARS-CoV-2 nucleocapsid protein (AB271180)
  • WB

Lab

Western blot - Rabbit monoclonal [EPR24334-118] to SARS-CoV-2 nucleocapsid protein (AB271180)

Lanes 1 - 3 : Green - ab271180 observed at 51 kDa. Lanes 4 - 6 : Red - loading control ab18184 (Mouse monoclonal [HIS.H8] to 6X His tag®) observed at 51 kDa.

ab271180 was shown to react with SARS-CoV-2 nucleocapsid protein in Western blot. Membranes were blocked in 3 % milk in TBS-T (0.1 % Tween®) before incubation with ab271180 and ab18184 (Mouse monoclonal [HIS.H8] to 6X His tag®) overnight at 4 °C at a 1 in 1000 dilution of both antibodies. Blots were incubated with Goat anti-Rabbit IgG H&L (IRDye® 800CW) preabsorbed (ab216773) and Goat anti-Mouse IgG H&L (IRDye® 680RD) preabsorbed (ab216776) secondary antibodies at 1 in 20000 dilution for 1 h at room temperature before imaging.

All lanes:

Western blot - Rabbit monoclonal [EPR24334-118] to SARS-CoV-2 nucleocapsid protein (ab271180) at 1/1000 dilution

Lanes 1 and 4:

Western blot - Recombinant Human coronavirus SARS-CoV-2 nucleocapsid protein (His tag) (<a href='/en-us/products/proteins-peptides/recombinant-human-coronavirus-sars-cov-2-nucleocapsid-protein-his-tag-ab273530'>ab273530</a>) at 0.1 µg

Lanes 2 and 5:

Recombinant Human coronavirus SARS Nucleocapsid Protein (ab270829) at 0.1 µg

Lanes 3 and 6:

Western blot - Recombinant Human coronavirus SARS-CoV-2 Nucleocapsid Protein (His tag) (<a href='/en-us/products/proteins-peptides/recombinant-human-coronavirus-sars-cov-2-nucleocapsid-protein-his-tag-ab272107'>ab272107</a>) at 0.1 µg

Observed band size: 51 kDa

false

Western blot - Rabbit monoclonal [EPR24334-118] to SARS-CoV-2 nucleocapsid protein (AB271180)
  • WB

Collaborator

Western blot - Rabbit monoclonal [EPR24334-118] to SARS-CoV-2 nucleocapsid protein (AB271180)

Blocking and diluting buffer and concentration : 5% NFDM/TBST.

Exposure time 7.75 seconds

All lanes:

Western blot - Rabbit monoclonal [EPR24334-118] to SARS-CoV-2 nucleocapsid protein (ab271180) at 1/1000 dilution

Lane 1:

HEK-293T (human embryonic kidney) transfected with SARS-CoV-2 Nucleocapsid protein expression vector containing a myc-His-tag®, whole cell lysate at 10 µg

Lane 2:

HEK-293T (human embryonic kidney) transfected with SARS-CoV-1 Nucleocapsid protein expression vector containing a myc-His-tag®, whole cell lysate at 10 µg

Lane 3:

HEK-293T (human embryonic kidney) transfected with MERS Nucleocapsid protein expression vector containing a myc-His-tag®, whole cell lysate at 10 µg

Secondary

All lanes:

Western blot - Goat Anti-Rabbit IgG H&L (HRP) (<a href='/en-us/products/secondary-antibodies/goat-rabbit-igg-h-l-hrp-ab97051'>ab97051</a>) at 1/100000 dilution

Observed band size: 51 kDa

false

  • Carrier free

    Anti-SARS-CoV-2 nucleocapsid protein antibody [EPR24334-118] - BSA and Azide free

  • 578 PE

    PE Anti-SARS-CoV-2 nucleocapsid protein antibody [EPR24334-118]

  • 665 Alexa Fluor® 647

    Alexa Fluor® 647 Anti-SARS-CoV-2 nucleocapsid protein antibody [EPR24334-118]

  • 519 Alexa Fluor® 488

    Alexa Fluor® 488 Anti-SARS-CoV-2 nucleocapsid protein antibody [EPR24334-118]

Key facts

Host species

Rabbit

Clonality

Monoclonal

Clone number

EPR24334-118

Isotype

IgG

Carrier free

No

Reacts with

SARS-CoV-2

Applications

WB, ELISA, IP, ICC/IF, Flow Cyt (Intra), IHC-P

applications

Immunogen

The exact immunogen used to generate this antibody is proprietary information.

Reactivity data

{ "title": "Reactivity Data", "filters": { "stats": ["", "Species", "Dilution Info", "Notes"], "tabs": { "all-applications": {"fullname" : "All Applications", "shortname": "All Applications"}, "ICCIF" : {"fullname" : "Immunocytochemistry/ Immunofluorescence", "shortname":"ICC/IF"}, "IP" : {"fullname" : "Immunoprecipitation", "shortname":"IP"}, "ELISA" : {"fullname" : "ELISA", "shortname":"ELISA"}, "WB" : {"fullname" : "Western blot", "shortname":"WB"}, "FlowCytIntra" : {"fullname" : "Flow Cytometry (Intracellular)", "shortname":"Flow Cyt (Intra)"}, "IHCP" : {"fullname" : "Immunohistochemistry (Formalin/PFA-fixed paraffin-embedded sections)", "shortname":"IHC-P"} }, "product-promise": { "all": "all", "testedAndGuaranteed": "tested", "guaranteed": "expected", "predicted": "predicted", "notRecommended": "not-recommended" } }, "values": { "Recombinant fragment - SARS-CoV-2": { "ICCIF-species-checked": "testedAndGuaranteed", "ICCIF-species-dilution-info": "1/1000", "ICCIF-species-notes": "<p></p>", "IP-species-checked": "testedAndGuaranteed", "IP-species-dilution-info": "1/30", "IP-species-notes": "<p></p>", "ELISA-species-checked": "testedAndGuaranteed", "ELISA-species-dilution-info": "", "ELISA-species-notes": "<p>Use at 31.25 ng /ml</p>", "WB-species-checked": "testedAndGuaranteed", "WB-species-dilution-info": "1/1000", "WB-species-notes": "<p></p>", "FlowCytIntra-species-checked": "testedAndGuaranteed", "FlowCytIntra-species-dilution-info": "1/500", "FlowCytIntra-species-notes": "<p></p>", "IHCP-species-checked": "testedAndGuaranteed", "IHCP-species-dilution-info": "1/4000", "IHCP-species-notes": "<p></p>" }, "SARS-CoV-2": { "ICCIF-species-checked": "predicted", "ICCIF-species-dilution-info": "", "ICCIF-species-notes": "", "IP-species-checked": "predicted", "IP-species-dilution-info": "", "IP-species-notes": "", "ELISA-species-checked": "predicted", "ELISA-species-dilution-info": "", "ELISA-species-notes": "", "WB-species-checked": "predicted", "WB-species-dilution-info": "", "WB-species-notes": "", "FlowCytIntra-species-checked": "predicted", "FlowCytIntra-species-dilution-info": "", "FlowCytIntra-species-notes": "", "IHCP-species-checked": "predicted", "IHCP-species-dilution-info": "", "IHCP-species-notes": "" } } }

Product details

What is this antibody validated in?
Rabbit monoclonal [EPR24334-118] to SARS-CoV-2 nucleocapsid protein (ab271180) is a rabbit recombinant monoclonal antibody and is validated for use in Western Blot (WB), Flow Cytometry (Intra), Flow Cytometry (Flow Cyt), Immunoprecipitation (IP), Immunohistochemistry (IHC-P), Immunocytochemistry/immunofluorescence (ICC/IF), ELISA in SARS-CoV-2 samples.

Trial sizes available!
Test your antibody or perform pre-screening before committing to a larger quantity. Sold in 10µl. Discover our selection of trial-size antibodies.

Other related products
We have a range of other formats of antibody clone [EPR24334-118] also available for your convenience: ab271180, Carrier free - ab280201, Alexa Fluor® 488 - ab283243, PE - ab283244, Alexa Fluor® 647 - ab302552

Patented technology
Our RabMAb® technology is a patented hybridoma-based technology for making rabbit monoclonal antibodies. For details on our patents, please refer to RabMAb® patents.

What are the advantages of a recombinant monoclonal antibody?
This product is a recombinant monoclonal antibody, which offers several advantages including:

  • - High batch-to-batch consistency and reproducibility
  • - Improved sensitivity and specificity
  • - Long-term security of supply
  • - Animal-free batch production

For more information, read more on recombinant antibodies.

Properties and storage information

Form
Liquid
Purification technique
Affinity purification Protein A
Storage buffer
Preservative: 0.01% Sodium azide Constituents: PBS, 40% Glycerol (glycerin, glycerine), 0.05% BSA
Shipped at conditions
Blue Ice
Appropriate short-term storage duration
1-2 weeks
Appropriate short-term storage conditions
+4°C
Appropriate long-term storage conditions
-20°C
Aliquoting information
Upon delivery aliquot
Storage information
Avoid freeze / thaw cycle

Supplementary information

This supplementary information is collated from multiple sources and compiled automatically.

The SARS-CoV-2 nucleocapsid protein also known as N protein plays a central role in the packaging and replication of the viral RNA genome. It functions mechanically by binding to the viral RNA to facilitate its replication and encapsidation. The nucleocapsid protein is expressed within the virus-infected cells particularly in the cytoplasm. It is a highly conserved structural protein of the virus and has a molecular weight of approximately 50 kDa. Additionally the nucleocapsid protein aids in RNA binding and is essential for the virus's structural stability.
Biological function summary

The nucleocapsid protein of SARS-CoV-2 is involved in maintaining the integrity of the viral genome. It forms a ribonucleoprotein complex with the viral RNA which is necessary for viral replication. The nucleocapsid protein is integral in the formation of the virus's structure and assists in the assembly and release of new virus particles. It interacts with other viral proteins contributing to the stability and functioning of the virus.

Pathways

The nucleocapsid protein is involved in the viral life cycle and replication pathways. The protein participates in the RNA replication and transcription complex working alongside proteins such as the RNA-dependent RNA polymerase and other non-structural proteins. These interactions within the pathways are essential for the efficient replication of the viral genome and production of new viral particles which are key steps in the virus's lifecycle.

The nucleocapsid protein is directly linked to COVID-19 the disease caused by the SARS-CoV-2 virus. It is a target for various diagnostic tests such as the COVID ELISA test and corona IgA test due to its immunogenic properties. The presence of nucleocapsid antibodies in patients is often measured through tests like the ELISA test which helps in diagnosing COVID-19. The nucleocapsid protein's involvement in COVID-19 progression connects it with other viral proteins highlighting its significance in disease mechanisms and potential therapeutic targeting.

Product protocols

For this product, it's our understanding that no specific protocols are required. You can visit:

Target data

Packages the positive strand viral genome RNA into a helical ribonucleocapsid (RNP) and plays a fundamental role during virion assembly through its interactions with the viral genome and membrane protein M (PubMed : 33264373). Plays an important role in enhancing the efficiency of subgenomic viral RNA transcription as well as viral replication. Attenuates the stress granules formation by reducing host G3BP1 access to host mRNAs under stress conditions (PubMed : 34901782, PubMed : 36534661).. May block host chemokine function in vivo, facilitating viral replication and transmission (PubMed : 35921414). Acts by being secreted into the extracellular space where it competes to host chemokines for binding to host glycosaminoglycans (GAG) (PubMed : 35921414).. May induce inflammasome responses in cultured cells and mice. Acts by interacting with host NLRP3 to facilitate inflammasome assembly, which induces cytokine release that may play a role in COVID lung injury.
See full target information N

Publications (22)

Recent publications for all applications. Explore the full list and refine your search

Frontiers in microbiology 16:1654224 PubMed40933128

2025

Isolation of a SARS-CoV-2 strain from pediatric patients in South Korea: biologic and genetic characterization.

Applications

Unspecified application

Species

Unspecified reactive species

Hee Chun Chung,Sung Jae Kim,Su Jin Hwang,Sung Hoon Park,Kyoung Min Park,Hyeon Woo Chung,Si Hwan Ko,Dong Il Park,Jun-Yeop Shim,Van Giap Nguyen,Jae Myun Lee

Frontiers in cellular and infection microbiology 15:1625928 PubMed40861496

2025

Ferroptosis and mitochondrial ROS are central to SARS-CoV-2-induced hepatocyte death.

Applications

Unspecified application

Species

Unspecified reactive species

Cintia Cevallos,Patricio Jarmoluk,Franco Sviercz,Rosa Nicole Freiberger,Cynthia Alicia Marcela López,M Victoria Delpino,Jorge Quarleri

Oncology letters 30:453 PubMed40747381

2025

KIAA1429-mediated ZFPM2-AS1 mA modification promotes the proliferation, migration and invasion of osteosarcoma cells.

Applications

Unspecified application

Species

Unspecified reactive species

Yuanzhuang Zhang,Yuxin Bao,Hanjie Zhai,Chenghao Li,Hongchao Shi,Keyang Gong,Xiaohe Bao

Frontiers in cellular and infection microbiology 15:1538461 PubMed40496014

2025

SARS-CoV-2 exploits steroidogenic machinery, triggers lipid metabolism for viral replication and induces immune response in Leydig cells of K18-hACE2 mice.

Applications

Unspecified application

Species

Unspecified reactive species

Salmo Azambuja de Oliveira,André Acácio Souza da Silva,Barry T Hinton,Giovanni Freitas Gomes,Thiago Mattar Cunha,Paulo Sérgio Cerri,Estela Sasso-Cerri

iScience 28:112501 PubMed40475258

2025

The HDL-transporting scavenger receptor B1 promotes viral infection through endolysosomal acidification.

Applications

Unspecified application

Species

Unspecified reactive species

Jill McConnell,Sun-Young Lim,Thomas Cicuto,Ping Liu,Pyae Phyo Kyawe,Manish Kandpal,Evan S Bradley,Kendi Okuda,Neal Silverman,Jennifer P Wang,William M McDougall

Nature communications 16:2900 PubMed40180914

2025

A novel PLpro inhibitor improves outcomes in a pre-clinical model of long COVID.

Applications

Unspecified application

Species

Unspecified reactive species

Stefanie M Bader,Dale J Calleja,Shane M Devine,Nathan W Kuchel,Bernadine G C Lu,Xinyu Wu,Richard W Birkinshaw,Reet Bhandari,Katie Loi,Rohan Volpe,Yelena Khakham,Amanda E Au,Timothy R Blackmore,Liana Mackiewicz,Merle Dayton,Jan Schaefer,Lena Scherer,Angus T Stock,James P Cooney,Kael Schoffer,Ana Maluenda,Elizabeth A Kleeman,Kathryn C Davidson,Cody C Allison,Gregor Ebert,Gong Chen,Kasiram Katneni,Theresa A Klemm,Ueli Nachbur,Smitha Rose Georgy,Peter E Czabotar,Anthony J Hannan,Tracy L Putoczki,Maria Tanzer,Marc Pellegrini,Bernhard C Lechtenberg,Susan A Charman,Melissa J Call,Jeffrey P Mitchell,Kym N Lowes,Guillaume Lessene,Marcel Doerflinger,David Komander

Cell death and differentiation 32:1353-1366 PubMed40016339

2025

IL-1β drives SARS-CoV-2-induced disease independently of the inflammasome and pyroptosis signalling.

Applications

Unspecified application

Species

Unspecified reactive species

Stefanie M Bader,Lena Scherer,Jan Schaefer,James P Cooney,Liana Mackiewicz,Merle Dayton,Smitha Rose Georgy,Kathryn C Davidson,Cody C Allison,Marco J Herold,Andreas Strasser,Marc Pellegrini,Marcel Doerflinger

EMBO molecular medicine 17:414-440 PubMed39843629

2025

FABP4 as a therapeutic host target controlling SARS-CoV-2 infection.

Applications

Unspecified application

Species

Unspecified reactive species

Hatoon Baazim,Emre Koyuncu,Gürol Tuncman,M Furkan Burak,Lea Merkel,Nadine Bahour,Ezgi Simay Karabulut,Grace Yankun Lee,Alireza Hanifehnezhad,Zehra Firat Karagoz,Katalin Földes,Ilayda Engin,Ayse Gokce Erman,Sidika Oztop,Nazlican Filazi,Buket Gul,Ahmet Ceylan,Ozge Ozgenc Cinar,Fusun Can,Hahn Kim,Ali Al-Hakeem,Hui Li,Fatih Semerci,Xihong Lin,Erkan Yilmaz,Onder Ergonul,Aykut Ozkul,Gökhan S Hotamisligil

Nature communications 15:10607 PubMed39638802

2024

SARS-CoV-2 N protein recruits G3BP to double membrane vesicles to promote translation of viral mRNAs.

Applications

Unspecified application

Species

Unspecified reactive species

Siwen Long,Mykhailo Guzyk,Laura Perez Vidakovics,Xiao Han,Renhua Sun,Megan Wang,Marc D Panas,Egon Urgard,Jonathan M Coquet,Andres Merits,Adnane Achour,Gerald M McInerney

Frontiers in immunology 15:1450114 PubMed39416782

2024

M protein ectodomain-specific immunity restrains SARS-CoV-2 variants replication.

Applications

Unspecified application

Species

Unspecified reactive species

Yibo Tang,Kaiming Tang,Yunqi Hu,Zi-Wei Ye,Wanyu Luo,Cuiting Luo,Hehe Cao,Ran Wang,Xinyu Yue,Dejian Liu,Cuicui Liu,Xingyi Ge,Tianlong Liu,Yaoqing Chen,Shuofeng Yuan,Lei Deng
View all publications

Product promise

We are committed to supporting your work with high-quality reagents, and we're here for you every step of the way. In the unlikely event that one of our products does not perform as expected, you're protected by our Product Promise.
For full details, please see our Terms & Conditions

Please note: All products are 'FOR RESEARCH USE ONLY. NOT FOR USE IN DIAGNOSTIC OR THERAPEUTIC PROCEDURES'.

For licensing inquiries, please contact partnerships@abcam.com