JavaScript is disabled in your browser. Please enable JavaScript to view this website.
AB243807

Anti-RABL5 antibody

Be the first to review this product! Submit a review

|

(0 Publication)

Rabbit Polyclonal RABL5 antibody. Suitable for IHC-P, WB, ICC/IF and reacts with Human samples. Immunogen corresponding to Recombinant Fragment Protein within Human IFT22 aa 1-100.

View Alternative Names

RABL5, IFT22, Intraflagellar transport protein 22 homolog, Rab-like protein 5

3 Images
Immunocytochemistry/ Immunofluorescence - Anti-RABL5 antibody (AB243807)
  • ICC/IF

Supplier Data

Immunocytochemistry/ Immunofluorescence - Anti-RABL5 antibody (AB243807)

PFA-fixed, Triton X-100 permeabilized U-251 MG (human brain glioma cell line) cells stained for RABL5 (green) using ab243807 at 4 μg/ml in ICC/IF.

Western blot - Anti-RABL5 antibody (AB243807)
  • WB

Supplier Data

Western blot - Anti-RABL5 antibody (AB243807)

All lanes:

Western blot - Anti-RABL5 antibody (ab243807) at 0.4 µg/mL

Lane 1:

Vector only transfected HEK-293T (human epithelial cell line from embryonic kidney transformed with large T antigen) cell lysate

Lane 2:

RABL5 overexpression HEK-293T cell lysate

Predicted band size: 21 kDa

false

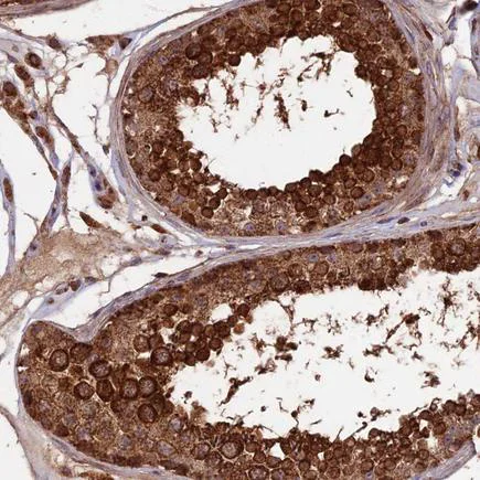
Immunohistochemistry (Formalin/PFA-fixed paraffin-embedded sections) - Anti-RABL5 antibody (AB243807)
  • IHC-P

Supplier Data

Immunohistochemistry (Formalin/PFA-fixed paraffin-embedded sections) - Anti-RABL5 antibody (AB243807)

Formalin-fixed, paraffin-embedded human testis tissue stained for RABL5 using ab243807 at 1/200 dilution in immunohistochemical analysis.

Key facts

Host species

Rabbit

Clonality

Polyclonal

Isotype

IgG

Carrier free

No

Reacts with

Human

Applications

ICC/IF, WB, IHC-P

applications

Immunogen

Recombinant Fragment Protein within Human IFT22 aa 1-100. The exact immunogen used to generate this antibody is proprietary information.

Q9H7X7

Reactivity data

{ "title": "Reactivity Data", "filters": { "stats": ["", "Species", "Dilution Info", "Notes"], "tabs": { "all-applications": {"fullname" : "All Applications", "shortname": "All Applications"}, "IHCP" : {"fullname" : "Immunohistochemistry (Formalin/PFA-fixed paraffin-embedded sections)", "shortname":"IHC-P"}, "WB" : {"fullname" : "Western blot", "shortname":"WB"}, "ICCIF" : {"fullname" : "Immunocytochemistry/ Immunofluorescence", "shortname":"ICC/IF"} }, "product-promise": { "all": "all", "testedAndGuaranteed": "tested", "guaranteed": "expected", "predicted": "predicted", "notRecommended": "not-recommended" } }, "values": { "Human": { "IHCP-species-checked": "testedAndGuaranteed", "IHCP-species-dilution-info": "1/200.00000 - 1/500.00000", "IHCP-species-notes": "<p></p> Perform heat-mediated antigen retrieval with citrate buffer pH 6 before commencing with IHC staining protocol.", "WB-species-checked": "testedAndGuaranteed", "WB-species-dilution-info": "0.04000-0.40000 µg/mL", "WB-species-notes": "<p></p>", "ICCIF-species-checked": "testedAndGuaranteed", "ICCIF-species-dilution-info": "0.25000-2.00000 µg/mL", "ICCIF-species-notes": "<p>Fixation/Permeabilization: PFA/Triton X-100.</p>" } } }

Properties and storage information

Form
Liquid
Purification technique
Affinity purification Immunogen
Storage buffer
pH: 7.2 Preservative: 0.02% Sodium azide Constituents: PBS, 40% Glycerol (glycerin, glycerine)
Shipped at conditions
Blue Ice
Appropriate short-term storage duration
1-2 weeks
Appropriate short-term storage conditions
+4°C
Appropriate long-term storage conditions
-20°C
Aliquoting information
Upon delivery aliquot
Storage information
Avoid freeze / thaw cycle

Supplementary information

This supplementary information is collated from multiple sources and compiled automatically.

RABL5 also known as RAB-like protein 5 is a member of the small GTPase superfamily. It weighs about 23 kDa and exhibits nucleotide-dependent switch activity similar to other Rab proteins. This protein is expressed in a variety of tissues with strong expression observed in the brain and reproductive organs. RABL5 plays roles in intracellular membrane trafficking and movement functioning as a molecular switch by cycling between active GTP-bound and inactive GDP-bound states.
Biological function summary

Research reveals important roles for RABL5 in vesicle movement and cellular communication. It functions as part of a larger complex involved in protein trafficking. It may work in concert with other small regulatory GTPases to modify signaling pathways. This protein assists in proper cellular distribution of proteins influencing processes such as growth and division and is especially relevant in cellular conditions that demand high energy or rapid turnover such as neural activities.

Pathways

There are two important biological contexts for RABL5. It influences the mTOR signaling pathway and the endocytosis pathway. In these pathways RABL5 seems to interact with proteins like RAB7 and RAB11. Its function in mTOR signaling is related to nutrient sensing and growth control while in endocytosis it contributes to managing vesicle trafficking and membrane recycling processes important for cellular homeostasis and communication.

Research connects RABL5 to neurodegenerative conditions and cancer. Dysregulation of this protein impacts synaptic function relevant to disorders like Alzheimer's disease where altered protein trafficking affects neuronal communication. Additionally abnormal regulation of the mTOR pathway by RABL5 can contribute to cancer as uncontrolled cell growth and division often result. The connection to these conditions highlights the importance of RABL5 interactions with proteins such as mTOR and factors involved in protein misfolding and synaptic dysfunction.

Product protocols

For this product, it's our understanding that no specific protocols are required. You can visit:

Target data

Small GTPase-like component of the intraflagellar transport (IFT) complex B.
See full target information IFT22

Product promise

We are committed to supporting your work with high-quality reagents, and we're here for you every step of the way. In the unlikely event that one of our products does not perform as expected, you're protected by our Product Promise.
For full details, please see our Terms & Conditions

Please note: All products are 'FOR RESEARCH USE ONLY. NOT FOR USE IN DIAGNOSTIC OR THERAPEUTIC PROCEDURES'.

For licensing inquiries, please contact partnerships@abcam.com