JavaScript is disabled in your browser. Please enable JavaScript to view this website.
AB97732

Anti-Rac1 antibody

2

(1 Review)

|

(14 Publications)

Rabbit Polyclonal RAC1 antibody. Suitable for WB, ICC/IF, IHC-P and reacts with Human samples. Cited in 14 publications. Immunogen corresponding to Synthetic Peptide within Human RAC1 aa 50-100.

View Alternative Names

TC25, MIG5, RAC1, Ras-related C3 botulinum toxin substrate 1, Cell migration-inducing gene 5 protein, Ras-like protein TC25, p21-Rac1

3 Images
Immunocytochemistry/ Immunofluorescence - Anti-Rac1 antibody (AB97732)
  • ICC/IF

Unknown

Immunocytochemistry/ Immunofluorescence - Anti-Rac1 antibody (AB97732)

ab97732 at 1/100 dilution staining Rac1 in methanol-fixed HeLa cells by Immunofluorescence.

Immunohistochemistry (Formalin/PFA-fixed paraffin-embedded sections) - Anti-Rac1 antibody (AB97732)
  • IHC-P

Supplier Data

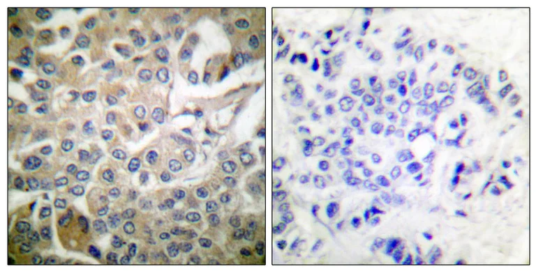
Immunohistochemistry (Formalin/PFA-fixed paraffin-embedded sections) - Anti-Rac1 antibody (AB97732)

Immunohistochemistry analysis of paraffin-embedded human breast carcinoma tissue. The picture on the right is blocked with the synthesized peptide

Western blot - Anti-Rac1 antibody (AB97732)
  • WB

Unknown

Western blot - Anti-Rac1 antibody (AB97732)

All lanes:

Western blot - Anti-Rac1 antibody (ab97732) at 1/500 dilution

Lane 1:

A431 cell extracts with immunizing peptide

Lane 2:

A431 cell extracts,

Predicted band size: 21 kDa

false

Key facts

Host species

Rabbit

Clonality

Polyclonal

Isotype

IgG

Carrier free

No

Reacts with

Human

Applications

IHC-P, WB, ICC/IF

applications

Immunogen

Synthetic Peptide within Human RAC1 aa 50-100. The exact immunogen used to generate this antibody is proprietary information.

P63000

Reactivity data

{ "title": "Reactivity Data", "filters": { "stats": ["", "Species", "Dilution Info", "Notes"], "tabs": { "all-applications": {"fullname" : "All Applications", "shortname": "All Applications"}, "WB" : {"fullname" : "Western blot", "shortname":"WB"}, "ICCIF" : {"fullname" : "Immunocytochemistry/ Immunofluorescence", "shortname":"ICC/IF"}, "IHCP" : {"fullname" : "Immunohistochemistry (Formalin/PFA-fixed paraffin-embedded sections)", "shortname":"IHC-P"} }, "product-promise": { "all": "all", "testedAndGuaranteed": "tested", "guaranteed": "expected", "predicted": "predicted", "notRecommended": "not-recommended" } }, "values": { "Human": { "WB-species-checked": "testedAndGuaranteed", "WB-species-dilution-info": "1/500 - 1/1000", "WB-species-notes": "<p></p>", "ICCIF-species-checked": "testedAndGuaranteed", "ICCIF-species-dilution-info": "1/100 - 1/200", "ICCIF-species-notes": "<p></p>", "IHCP-species-checked": "testedAndGuaranteed", "IHCP-species-dilution-info": "1/50 - 1/200", "IHCP-species-notes": "<p></p>" } } }

Properties and storage information

Form
Liquid
Purification technique
Affinity purification Immunogen
Purification notes
ab97732 was affinity purified from rabbit antiserum by affinity chromatography using epitope specific immunogen.
Storage buffer
pH: 7.4 Preservative: 0.02% Sodium azide Constituents: PBS, 50% Glycerol (glycerin, glycerine), 0.87% Sodium chloride
Shipped at conditions
Blue Ice
Appropriate short-term storage conditions
+4°C
Appropriate long-term storage conditions
-20°C
Storage information
Stable for 12 months at -20°C

Supplementary information

This supplementary information is collated from multiple sources and compiled automatically.

Rac1 also known as Ras-related C3 botulinum toxin substrate 1 is a small signaling GTPase belonging to the Rac subfamily of the Rho family of GTPases. It has a molecular mass of approximately 21 kDa. Rac1 functions as a molecular switch and is involved in transmitting signals within the cell. It is widely expressed across various cell types and tissues playing a role in actin cytoskeleton organization and cell migration. Rac1 activity is regulated by GEFs (guanine nucleotide exchange factors) and GAPs (GTPase-activating proteins) which facilitate its transition between an active GTP-bound state and an inactive GDP-bound state.
Biological function summary

Rac1 is involved in the regulation of various cellular processes such as cell growth motility and division. It also contributes to the formation of lamellipodia which are membrane protrusions involved in cell movement and adhesion. Rac1 is often found within complexes interacting with other proteins like EH domain-containing protein 1 (Ehop) and is an important player in signal transduction pathways involving the cytoskeleton. Inhibition of Rac1 activity is an important point of control in various cellular contexts impacting multiple downstream effects.

Pathways

Rac1 is an integral component of the Rho GTPase signaling pathway and the closely associated Wnt signaling pathway. It interacts with proteins such as GAP and GEF to regulate the dynamics of these pathways influencing cellular morphology and movement. These pathways further connect Rac1 to several downstream effectors demonstrating its role in intracellular communication and control. EHOP-016 is a known inhibitor that specifically targets Rac1 demonstrating potential for experimental modulation of pathways involving Rac1.

Rac1 has been implicated in cancer particularly in its role in cell proliferation and migration that contributes to tumor growth and metastasis. Rac1’s aberrant regulation is associated with other disorders like neurodegenerative diseases where disruptions in cytoskeletal dynamics contribute to pathogenesis. It shares pathways with other proteins such as GEFs and GAPs which are also relevant in these conditions. Rac1's interaction with its regulatory partners makes it a significant focus in therapeutic strategies aiming to mitigate its pathogenic effects.

Product protocols

For this product, it's our understanding that no specific protocols are required. You can visit:

Target data

Plasma membrane-associated small GTPase which cycles between active GTP-bound and inactive GDP-bound states. In its active state, binds to a variety of effector proteins to regulate cellular responses such as secretory processes, phagocytosis of apoptotic cells, epithelial cell polarization, neurons adhesion, migration and differentiation, and growth-factor induced formation of membrane ruffles (PubMed : 1643658, PubMed : 22843693, PubMed : 23512198, PubMed : 28886345). Rac1 p21/rho GDI heterodimer is the active component of the cytosolic factor sigma 1, which is involved in stimulation of the NADPH oxidase activity in macrophages. Essential for the SPATA13-mediated regulation of cell migration and adhesion assembly and disassembly. Stimulates PKN2 kinase activity (PubMed : 9121475). In concert with RAB7A, plays a role in regulating the formation of RBs (ruffled borders) in osteoclasts (PubMed : 1643658). In podocytes, promotes nuclear shuttling of NR3C2; this modulation is required for a proper kidney functioning. Required for atypical chemokine receptor ACKR2-induced LIMK1-PAK1-dependent phosphorylation of cofilin (CFL1) and for up-regulation of ACKR2 from endosomal compartment to cell membrane, increasing its efficiency in chemokine uptake and degradation. In neurons, is involved in dendritic spine formation and synaptic plasticity (By similarity). In hippocampal neurons, involved in spine morphogenesis and synapse formation, through local activation at synapses by guanine nucleotide exchange factors (GEFs), such as ARHGEF6/ARHGEF7/PIX (PubMed : 12695502). In synapses, seems to mediate the regulation of F-actin cluster formation performed by SHANK3. In neurons, plays a crucial role in regulating GABA(A) receptor synaptic stability and hence GABAergic inhibitory synaptic transmission through its role in PAK1 activation and eventually F-actin stabilization (By similarity). Required for DSG3 translocation to cell-cell junctions, DSG3-mediated organization of cortical F-actin bundles and anchoring of actin at cell junctions; via interaction with DSG3 (PubMed : 22796473).. Isoform B. Isoform B has an accelerated GEF-independent GDP/GTP exchange and an impaired GTP hydrolysis, which is restored partially by GTPase-activating proteins (PubMed : 14625275). It is able to bind to the GTPase-binding domain of PAK but not full-length PAK in a GTP-dependent manner, suggesting that the insertion does not completely abolish effector interaction (PubMed : 14625275).
See full target information RAC1

Publications (14)

Recent publications for all applications. Explore the full list and refine your search

Genetics research 2025:9994311 PubMed40904408

2025

The Correlation and Clinicopathological Significance of TNFAIP8L3 and RAC1 Expression in Lung Adenocarcinoma.

Applications

Unspecified application

Species

Unspecified reactive species

Xuexin Shi,Haitao Guo,Kaihua Tian

Nature communications 15:2989 PubMed38582902

2024

Gadd45g insufficiency drives the pathogenesis of myeloproliferative neoplasms.

Applications

Unspecified application

Species

Unspecified reactive species

Peiwen Zhang,Na You,Yiyi Ding,Wenqi Zhu,Nan Wang,Yueqiao Xie,Wanling Huang,Qian Ren,Tiejun Qin,Rongfeng Fu,Lei Zhang,Zhijian Xiao,Tao Cheng,Xiaotong Ma

Nutrients 14: PubMed35893859

2022

Mulberry Leaf and Neochlorogenic Acid Alleviates Glucolipotoxicity-Induced Oxidative Stress and Inhibits Proliferation/Migration via Downregulating Ras and FAK Signaling Pathway in Vascular Smooth Muscle Cell.

Applications

Unspecified application

Species

Unspecified reactive species

Tsung-Yuan Yang,Yi-Liang Wu,Meng-Hsun Yu,Tung-Wei Hung,Kuei-Chuan Chan,Chau-Jong Wang

The Journal of clinical investigation 132: PubMed35104805

2022

Targeting the ASMase/S1P pathway protects from sortilin-evoked vascular damage in hypertension.

Applications

Unspecified application

Species

Unspecified reactive species

Paola Di Pietro,Albino Carrizzo,Eduardo Sommella,Marco Oliveti,Licia Iacoviello,Augusto Di Castelnuovo,Fausto Acernese,Antonio Damato,Massimiliano De Lucia,Fabrizio Merciai,Paola Iesu,Eleonora Venturini,Raffaele Izzo,Valentina Trimarco,Michele Ciccarelli,Giuseppe Giugliano,Roberto Carnevale,Vittoria Cammisotto,Serena Migliarino,Nicola Virtuoso,Andrea Strianese,Viviana Izzo,Pietro Campiglia,Elena Ciaglia,Bodo Levkau,Annibale A Puca,Carmine Vecchione

Microbiology spectrum 9:e0064621 PubMed34730435

2021

6-Thioguanine Inhibits Herpes Simplex Virus 1 Infection of Eyes.

Applications

Unspecified application

Species

Unspecified reactive species

Deyan Chen,Ye Liu,Fang Zhang,Qiao You,Wenyuan Ma,Jing Wu,Zhiwei Wu

Frontiers in molecular biosciences 8:729789 PubMed34621787

2021

Development of a Toll-Like Receptor-Based Gene Signature That Can Predict Prognosis, Tumor Microenvironment, and Chemotherapy Response for Hepatocellular Carcinoma.

Applications

Unspecified application

Species

Unspecified reactive species

Lixia Liu,Bin Liu,Jie Yu,Dongyun Zhang,Jianhong Shi,Ping Liang

Journal of applied toxicology : JAT 41:1937-1951 PubMed33890316

2021

Maduramicin induces cardiotoxicity via Rac1 signaling-independent methuosis in H9c2 cells.

Applications

Unspecified application

Species

Unspecified reactive species

Xiuge Gao,Chunlei Ji,Junqi Wang,Xinhao Song,Runan Zuo,Jingjing Zhang,Xiaorong Chen,Hui Ji,Lin Peng,Dawei Guo,Shanxiang Jiang

Neural regeneration research 15:1937-1946 PubMed32246643

2020

Rac1 relieves neuronal injury induced by oxygenglucose deprivation and re-oxygenation via regulation of mitochondrial biogenesis and function.

Applications

Unspecified application

Species

Unspecified reactive species

Ping-Ping Xia,Fan Zhang,Cheng Chen,Zhi-Hua Wang,Na Wang,Long-Yan Li,Qu-Lian Guo,Zhi Ye

Artificial cells, nanomedicine, and biotechnology 47:2507-2515 PubMed31213092

2019

Knockdown of lncRNA LSINCT5 suppresses growth and metastasis of human glioma cells via up-regulating miR-451.

Applications

Unspecified application

Species

Unspecified reactive species

Bin Liu,Wei Cao,Hui Ma

Medical science monitor : international medical jo 25:4082-4093 PubMed31152645

2019

Acupuncture Administration Improves Cognitive Functions and Alleviates Inflammation and Nuclear Damage by Regulating Phosphatidylinositol 3 Kinase (PI3K)/Phosphoinositol-Dependent Kinase 1 (PDK1)/Novel Protein Kinase C (nPKC)/Rac 1 Signaling Pathway in Senescence-Accelerated Prone 8 (SAM-P8) Mice.

Applications

Unspecified application

Species

Unspecified reactive species

Guomin Li,Lirong Zeng,Haiyan Cheng,Jingxian Han,Xuezhu Zhang,Hui Xie
View all publications

Product promise

We are committed to supporting your work with high-quality reagents, and we're here for you every step of the way. In the unlikely event that one of our products does not perform as expected, you're protected by our Product Promise.
For full details, please see our Terms & Conditions

Please note: All products are 'FOR RESEARCH USE ONLY. NOT FOR USE IN DIAGNOSTIC OR THERAPEUTIC PROCEDURES'.

For licensing inquiries, please contact partnerships@abcam.com