JavaScript is disabled in your browser. Please enable JavaScript to view this website.
AB5482

Anti-RAC1 + Cdc42 (phospho S71) antibody

1

(1 Review)

|

(9 Publications)

Rabbit Polyclonal RAC1 phospho S71 antibody. Suitable for IHC-P, WB and reacts with Human samples. Cited in 9 publications. Immunogen corresponding to Synthetic Peptide within Human RAC1 phospho S71.

View Alternative Names

TC25, MIG5, RAC1, Ras-related C3 botulinum toxin substrate 1, Cell migration-inducing gene 5 protein, Ras-like protein TC25, p21-Rac1

3 Images
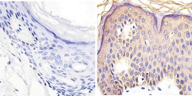
Immunohistochemistry (Formalin/PFA-fixed paraffin-embedded sections) - Anti-RAC1 + Cdc42 (phospho S71) antibody (AB5482)
  • IHC-P

Supplier Data

Immunohistochemistry (Formalin/PFA-fixed paraffin-embedded sections) - Anti-RAC1 + Cdc42 (phospho S71) antibody (AB5482)

Immunohistochemiscal analysis of paraffin-embedded human skin tissue labeling RAC1 + Cdc42 (phospho S71) with ab5482 at 1/100 dilution (right) compared to a negative control without primary antibody (left).

To expose target proteins, antigen retrieval was performed using 10mM sodium citrate (pH 6.0), microwaved for 8-15 min. Following antigen retrieval, tissues were blocked in 3% H2O2-methanol for 15 min at room temperature, washed with ddH2O and PBS, and then probed with ab5482 diluted in 3% BSA-PBS at a dilution of 1/100 overnight at 4°C in a humidified chamber. Tissues were washed extensively in PBST and detection was performed using an HRP-conjugated secondary antibody followed by colorimetric detection using a DAB kit. Tissues were counterstained with hematoxylin and dehydrated with ethanol and xylene to prep for mounting.

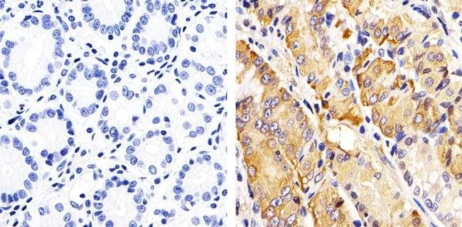
Immunohistochemistry (Formalin/PFA-fixed paraffin-embedded sections) - Anti-RAC1 + Cdc42 (phospho S71) antibody (AB5482)
  • IHC-P

Supplier Data

Immunohistochemistry (Formalin/PFA-fixed paraffin-embedded sections) - Anti-RAC1 + Cdc42 (phospho S71) antibody (AB5482)

Immunohistochemical analysis of paraffin-embedded human stomach tissue labeling RAC1 + Cdc42 (phospho S71) with ab5482 at 1/20 dilution (right) compared to a negative control without primary antibody (left).

To expose target proteins, antigen retrieval was performed using 10mM sodium citrate (pH 6.0), microwaved for 8-15 min. Following antigen retrieval, tissues were blocked in 3% H2O2-methanol for 15 min at room temperature, washed with ddH2O and PBS, and then probed with ab5482 diluted in 3% BSA-PBS at a dilution of 1/20 overnight at 4°C in a humidified chamber. Tissues were washed extensively in PBST and detection was performed using an HRP-conjugated secondary antibody followed by colorimetric detection using a DAB kit. Tissues were counterstained with hematoxylin and dehydrated with ethanol and xylene to prep for mounting.

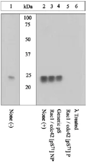
Western blot - Anti-RAC1 + Cdc42 (phospho S71) antibody (AB5482)
  • WB

Unknown

Western blot - Anti-RAC1 + Cdc42 (phospho S71) antibody (AB5482)

Peptide Competition and Phosphatase Treatment :
Lysates prepared from A431 cells left unstimulated (1) or stimulated with EGF (2-6) were resolved by SDS-PAGE on a 10% polyacrylamide gel and transferred to PVDF. Membranes were either not treated (1-5) or treated with lambda phosphatase (6), blocked with a 5% BSA-TBST buffer for one hour at room temperature, and incubated with ab5482 antibody for two hours at room temperature in a 3% BSATBST buffer, following prior incubation with : no peptide (1, 2, 6), the nonphosphopeptide corresponding to the immunogen (3), a generic phosphoserine containing peptide (4), or, the phosphopeptide immunogen (5), After washing, membranes were incubated with goat F(ab’)2 anti-rabbit IgG HRP conjugate and bands were detected using the Pierce SuperSignal method. The data show that the peptide corresponding to ab5482 blocks the antibody signal. The data also shows that phosphatase stripping eliminates the signal, verifying that the antibody is pho

All lanes:

Western blot - Anti-RAC1 + Cdc42 (phospho S71) antibody (ab5482)

Predicted band size: 21 kDa

false

Key facts

Host species

Rabbit

Clonality

Polyclonal

Isotype

IgG

Carrier free

No

Reacts with

Human

Applications

WB, IHC-P

applications

Immunogen

Synthetic Peptide within Human RAC1 phospho S71. The exact immunogen used to generate this antibody is proprietary information.

P63000

Specificity

Cdc 42 [pS71] (100% homologous) and Rho A/B/C [pS73] (92% homologous) are expected to react.

Reactivity data

{ "title": "Reactivity Data", "filters": { "stats": ["", "Species", "Dilution Info", "Notes"], "tabs": { "all-applications": {"fullname" : "All Applications", "shortname": "All Applications"}, "IHCP" : {"fullname" : "Immunohistochemistry (Formalin/PFA-fixed paraffin-embedded sections)", "shortname":"IHC-P"}, "WB" : {"fullname" : "Western blot", "shortname":"WB"} }, "product-promise": { "all": "all", "testedAndGuaranteed": "tested", "guaranteed": "expected", "predicted": "predicted", "notRecommended": "not-recommended" } }, "values": { "Human": { "IHCP-species-checked": "testedAndGuaranteed", "IHCP-species-dilution-info": "1/20 - 1/100", "IHCP-species-notes": "<p></p> Perform heat-mediated antigen retrieval with citrate buffer pH 6 before commencing with IHC staining protocol.", "WB-species-checked": "testedAndGuaranteed", "WB-species-dilution-info": "1/1000", "WB-species-notes": "<p></p>" } } }

Product details

RAC, Cdc 42 and Rho A, B, and C are members of a small RhoGTPase family that bind and hydrolyze GTP. GTP bound RAC 1 and cdc 42 play a pivotal role in controlling cell shape, adhesion, growth and transformation. Active Rac 1 is implicated in regulating serum response element (SRE), NFAT 1 and nuclear factor kappa B (NF kappa B) transcription activities. Activated RAC 1 and Cdc 42 bind and activate PAK 1, which in turn activates key downstream signaling proteins including MEKK 1 and JNK. RAC 1 and Cdc 42 are phosphorylated on serine 71, a putative Akt site located between the protein binding domain and GTP binding domain. Phosphorylation of RAC 1 on serine 71 regulates its GTP binding and GTPase activity.

Properties and storage information

Form
Liquid
Purification technique
Affinity purification Immunogen
Purification notes
The antibody has been negatively preadsorbed using a non-phosphopeptide corresponding to the site of phosphorylation to remove antibody that is reactive with non-phosphorylated RAC 1. The final product is generated by affinity chromatography using a RAC 1 derived peptide that is phosphorylated at serine 71.
Storage buffer
pH: 7.3 Preservative: 0.05% Sodium azide Constituents: PBS, 50% Glycerol (glycerin, glycerine), 0.1% BSA
Shipped at conditions
Blue Ice
Appropriate short-term storage conditions
+4°C
Appropriate long-term storage conditions
-20°C
Aliquoting information
Upon delivery aliquot
Storage information
Avoid freeze / thaw cycle

Supplementary information

This supplementary information is collated from multiple sources and compiled automatically.

RAC1 and Cdc42 are small Rho GTPases involved in regulating various cellular processes related to the cytoskeleton. RAC1 also known as Ras-related C3 botulinum toxin substrate 1 has a molecular mass of approximately 21 kDa. These proteins are found in a wide range of tissues displaying high expression levels in places like the brain and immune cells. They function as molecular switches cycling between an active GTP-bound state and an inactive GDP-bound state facilitating signal transduction for numerous cellular responses.
Biological function summary

RAC1 and Cdc42 critically influence actin cytoskeleton dynamics and cell morphology. They are part of the Rho family small GTPase interactive with downstream effectors to control cell shape movement and division. These proteins play significant roles in membrane trafficking cell cycle progression and apoptosis. RAC1 along with Cdc42 forms part of a complex network that is essential for functional cytoskeleton reorganization important in neuronal activity and immune cell functioning.

Pathways

RAC1 and Cdc42 mediate signal transduction in the PI3K/AKT pathway and the Wnt signaling pathway. In the PI3K/AKT pathway these proteins interact with other components like PAK proteins which serve as essential mediators for survival and growth signals. In the Wnt pathway RAC1 and Cdc42 influence gene transcription helping control cellular proliferation and differentiation. Their roles in these pathways show their importance in maintaining cellular homeostasis.

RAC1 and Cdc42 connect to cancer and neurological disorders. Alterations in their activity can contribute to tumor growth and metastasis as their dysregulation affects cell migration and invasion. RAC1 is especially noted for its role in various cancer types. Additionally their imbalance may lead to neurological disorders due to their effect on nerve growth and branching. RAC1 and Cdc42's interactions with proteins like RhoA and β-catenin underline their significance in pathophysiological conditions making them critical targets for therapeutic exploration.

Product protocols

For this product, it's our understanding that no specific protocols are required. You can visit:

Target data

Plasma membrane-associated small GTPase which cycles between active GTP-bound and inactive GDP-bound states. In its active state, binds to a variety of effector proteins to regulate cellular responses such as secretory processes, phagocytosis of apoptotic cells, epithelial cell polarization, neurons adhesion, migration and differentiation, and growth-factor induced formation of membrane ruffles (PubMed : 1643658, PubMed : 22843693, PubMed : 23512198, PubMed : 28886345). Rac1 p21/rho GDI heterodimer is the active component of the cytosolic factor sigma 1, which is involved in stimulation of the NADPH oxidase activity in macrophages. Essential for the SPATA13-mediated regulation of cell migration and adhesion assembly and disassembly. Stimulates PKN2 kinase activity (PubMed : 9121475). In concert with RAB7A, plays a role in regulating the formation of RBs (ruffled borders) in osteoclasts (PubMed : 1643658). In podocytes, promotes nuclear shuttling of NR3C2; this modulation is required for a proper kidney functioning. Required for atypical chemokine receptor ACKR2-induced LIMK1-PAK1-dependent phosphorylation of cofilin (CFL1) and for up-regulation of ACKR2 from endosomal compartment to cell membrane, increasing its efficiency in chemokine uptake and degradation. In neurons, is involved in dendritic spine formation and synaptic plasticity (By similarity). In hippocampal neurons, involved in spine morphogenesis and synapse formation, through local activation at synapses by guanine nucleotide exchange factors (GEFs), such as ARHGEF6/ARHGEF7/PIX (PubMed : 12695502). In synapses, seems to mediate the regulation of F-actin cluster formation performed by SHANK3. In neurons, plays a crucial role in regulating GABA(A) receptor synaptic stability and hence GABAergic inhibitory synaptic transmission through its role in PAK1 activation and eventually F-actin stabilization (By similarity). Required for DSG3 translocation to cell-cell junctions, DSG3-mediated organization of cortical F-actin bundles and anchoring of actin at cell junctions; via interaction with DSG3 (PubMed : 22796473).. Isoform B. Isoform B has an accelerated GEF-independent GDP/GTP exchange and an impaired GTP hydrolysis, which is restored partially by GTPase-activating proteins (PubMed : 14625275). It is able to bind to the GTPase-binding domain of PAK but not full-length PAK in a GTP-dependent manner, suggesting that the insertion does not completely abolish effector interaction (PubMed : 14625275).
See full target information RAC1 phospho S71

Publications (9)

Recent publications for all applications. Explore the full list and refine your search

Journal of Alzheimer's disease : JAD 102:670-682 PubMed39610278

2024

Spatial and planar profiling of Rac1/Cdc42 signaling in Alzheimer's disease brain.

Applications

Unspecified application

Species

Unspecified reactive species

Shayan Nik Akhtar,Tuan D Tran,Yan-Hua Chen,Qun Lu

Antioxidants (Basel, Switzerland) 11: PubMed35204171

2022

Na/K-ATPase Alpha 2 Isoform Elicits Rac1-Dependent Oxidative Stress and TLR4-Induced Inflammation in the Hypothalamic Paraventricular Nucleus in High Salt-Induced Hypertension.

Applications

Unspecified application

Species

Unspecified reactive species

Qing Su,Xiao-Jing Yu,Xiao-Min Wang,Bo Peng,Juan Bai,Hong-Bao Li,Ying Li,Wen-Jie Xia,Li-Yan Fu,Kai-Li Liu,Jin-Jun Liu,Yu-Ming Kang

Frontiers in pharmacology 10:53 PubMed30837867

2019

LPM580098, a Novel Triple Reuptake Inhibitor of Serotonin, Noradrenaline, and Dopamine, Attenuates Neuropathic Pain.

Applications

Unspecified application

Species

Unspecified reactive species

Nannan Li,Chunmei Li,Rui Han,Yu Wang,Mina Yang,Hongbo Wang,Jingwei Tian

EMBO reports 19: PubMed30224412

2018

Netrin-1/DCC-mediated PLCγ1 activation is required for axon guidance and brain structure development.

Applications

Unspecified application

Species

Unspecified reactive species

Du-Seock Kang,Yong Ryoul Yang,Cheol Lee,BumWoo Park,Kwang Il Park,Jeong Kon Seo,Young Kyo Seo,HyungJoon Cho,Cocco Lucio,Pann-Ghill Suh

Glia 64:620-34 PubMed26663135

2015

Pyk2 is essential for astrocytes mobility following brain lesion.

Applications

Unspecified application

Species

Unspecified reactive species

Albert Giralt,Renata Coura,Jean-Antoine Girault

Journal of ovarian research 7:32 PubMed24628852

2014

Expression and activity of Rac1 is negatively affected in the dehydroepiandrosterone induced polycystic ovary of mouse.

Applications

Unspecified application

Species

Unspecified reactive species

Vineet Kumar Maurya,Chadchan Sangappa,Vijay Kumar,Sahil Mahfooz,Archana Singh,Singh Rajender,Rajesh Kumar Jha

PloS one 7:e31669 PubMed22384053

2012

DIGE proteome analysis reveals suitability of ischemic cardiac in vitro model for studying cellular response to acute ischemia and regeneration.

Applications

WB

Species

Mouse

Sina Haas,Heinz-Georg Jahnke,Nora Moerbt,Martin von Bergen,Seyedhossein Aharinejad,Olena Andrukhova,Andrea A Robitzki

The Journal of neuroscience : the official journal of the Society for Neuroscience 28:13173-83 PubMed19052208

2008

Neuropathic pain memory is maintained by Rac1-regulated dendritic spine remodeling after spinal cord injury.

Applications

WB

Species

Rat

Andrew M Tan,Severine Stamboulian,Yu-Wen Chang,Peng Zhao,Avis B Hains,Stephen G Waxman,Bryan C Hains

Oncogene 28:461-8 PubMed18978815

2008

Comparison of 3D and 2D tumor models reveals enhanced HER2 activation in 3D associated with an increased response to trastuzumab.

Applications

WB

Species

Human

M Pickl,C H Ries
View all publications

Product promise

We are committed to supporting your work with high-quality reagents, and we're here for you every step of the way. In the unlikely event that one of our products does not perform as expected, you're protected by our Product Promise.
For full details, please see our Terms & Conditions

Please note: All products are 'FOR RESEARCH USE ONLY. NOT FOR USE IN DIAGNOSTIC OR THERAPEUTIC PROCEDURES'.

For licensing inquiries, please contact partnerships@abcam.com