JavaScript is disabled in your browser. Please enable JavaScript to view this website.
AB282581

Anti-Rac1 + Rac2 + Rac3 antibody [102/Rac1]

Be the first to review this product! Submit a review

|

(2 Publications)

Mouse Recombinant Monoclonal Rac1 + Rac2 + Rac3 antibody. Suitable for WB and reacts with Mouse, Rat, Human samples. Cited in 2 publications.

View Alternative Names

TC25, MIG5, RAC1, Ras-related C3 botulinum toxin substrate 1, Cell migration-inducing gene 5 protein, Ras-like protein TC25, p21-Rac1

2 Images
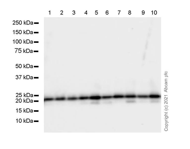
Western blot - Anti-Rac1 + Rac2 + Rac3 antibody [102/Rac1] (AB282581)
  • WB

Lab

Western blot - Anti-Rac1 + Rac2 + Rac3 antibody [102/Rac1] (AB282581)

Blocking and diluting buffer and concentration : 5% NFDM/TBST

The expression profile/ molecular weight observed is consistent with what has been described in the literature (PMID : 12897143)

Exposure time : 3 seconds.

All lanes:

Western blot - Anti-Rac1 + Rac2 + Rac3 antibody [102/Rac1] (ab282581) at 1/1000 dilution

Lane 1:

HeLa (human cervix adenocarcinoma epithelial cell), whole cell lysate at 10 µg

Lane 2:

HEK-293 (human embryonic kidney epithelial cell), whole cell lysate at 10 µg

Lane 3:

SW480 (human colorectal adenocarcinoma epithelial cell), whole cell lysate at 10 µg

Lane 4:

C2C12 (mouse myoblasts myoblast), whole cell lysate at 10 µg

Lane 5:

L6 (rat skeletal muscle myoblast), whole cell lysate at 10 µg

Lane 6:

C6 (rat glial tumor glial cell), whole cell lysate at 10 µg

Lane 7:

Human brain lysate at 10 µg

Lane 8:

Rat brain lysate at 10 µg

Lane 9:

Rat skin lysate at 10 µg

Lane 10:

Mouse brain lysate at 10 µg

Secondary

All lanes:

Peroxidase-Conjugated Goat anti-Mouse IgG (H+L) at 1/10000 dilution

Observed band size: 20 kDa,24 kDa

false

Western blot - Anti-Rac1 + Rac2 + Rac3 antibody [102/Rac1] (AB282581)
  • WB

Lab

Western blot - Anti-Rac1 + Rac2 + Rac3 antibody [102/Rac1] (AB282581)

Blocking and diluting buffer and concentration : 5% NFDM/TBST

Exposure time : 1 second.

All lanes:

Western blot - Anti-Rac1 + Rac2 + Rac3 antibody [102/Rac1] (ab282581) at 1/1000 dilution

Lane 1:

GST-tagged human Rac1 recombinant protein (aa1-189) at 0.01 µg

Lane 2:

His-tagged human Rac2 recombinant protein (aa1-189) at 0.01 µg

Lane 3:

Human Rac3 recombinant protein (aa1-189) at 0.01 µg

Secondary

All lanes:

Peroxidase-Conjugated Goat anti-Mouse IgG (H+L) at 1/10000 dilution

Observed band size: 20 kDa,46 kDa

false

  • Carrier free

    Anti-Rac1 + Rac2 + Rac3 antibody [102/Rac1] - BSA and Azide free

Key facts

Host species

Mouse

Clonality

Monoclonal

Clone number

102/Rac1

Isotype

IgG2b

Light chain type

kappa

Carrier free

No

Reacts with

Mouse, Human, Rat

Applications

WB

applications

Reactivity data

{ "title": "Reactivity Data", "filters": { "stats": ["", "Species", "Dilution Info", "Notes"], "tabs": { "all-applications": {"fullname" : "All Applications", "shortname": "All Applications"}, "WB" : {"fullname" : "Western blot", "shortname":"WB"}, "IHCP" : {"fullname" : "Immunohistochemistry (Formalin/PFA-fixed paraffin-embedded sections)", "shortname":"IHC-P"}, "ICCIF" : {"fullname" : "Immunocytochemistry/ Immunofluorescence", "shortname":"ICC/IF"} }, "product-promise": { "all": "all", "testedAndGuaranteed": "tested", "guaranteed": "expected", "predicted": "predicted", "notRecommended": "not-recommended" } }, "values": { "Human": { "WB-species-checked": "testedAndGuaranteed", "WB-species-dilution-info": "1/1000", "WB-species-notes": "<p></p>", "IHCP-species-checked": "notRecommended", "IHCP-species-dilution-info": "", "IHCP-species-notes": "<p></p>", "ICCIF-species-checked": "notRecommended", "ICCIF-species-dilution-info": "", "ICCIF-species-notes": "<p></p>" }, "Mouse": { "WB-species-checked": "testedAndGuaranteed", "WB-species-dilution-info": "1/1000", "WB-species-notes": "<p></p>", "IHCP-species-checked": "notRecommended", "IHCP-species-dilution-info": "", "IHCP-species-notes": "<p></p>", "ICCIF-species-checked": "notRecommended", "ICCIF-species-dilution-info": "", "ICCIF-species-notes": "<p></p>" }, "Rat": { "WB-species-checked": "testedAndGuaranteed", "WB-species-dilution-info": "1/1000", "WB-species-notes": "<p></p>", "IHCP-species-checked": "notRecommended", "IHCP-species-dilution-info": "", "IHCP-species-notes": "<p></p>", "ICCIF-species-checked": "notRecommended", "ICCIF-species-dilution-info": "", "ICCIF-species-notes": "<p></p>" } } }

Product details

What are the advantages of a recombinant monoclonal antibody?
This product is a recombinant monoclonal antibody, which offers several advantages including:

  • - High batch-to-batch consistency and reproducibility
  • - Improved sensitivity and specificity
  • - Long-term security of supply
  • - Animal-free batch production

For more information, read more on recombinant antibodies.

Want a custom formulation?
This antibody clone is manufactured by Abcam. If you require a custom buffer formulation or conjugation for your experiments, please contact orders@abcam.com

Properties and storage information

Form
Liquid
Purification technique
Affinity purification Protein A
Storage buffer
pH: 7.2 - 7.4 Preservative: 0.01% Sodium azide Constituents: PBS, 40% Glycerol (glycerin, glycerine), 0.05% BSA
Shipped at conditions
Blue Ice
Appropriate short-term storage duration
1-2 weeks
Appropriate short-term storage conditions
+4°C
Appropriate long-term storage conditions
-20°C
Aliquoting information
Upon delivery aliquot
Storage information
Avoid freeze / thaw cycle

Supplementary information

This supplementary information is collated from multiple sources and compiled automatically.

Rac1 Rac2 and Rac3 are small GTPases belonging to the Rho family of proteins often referred to as Rac GTPases. These proteins are involved mechanically in the regulation of cell growth cytoskeletal reorganization and the generation of reactive oxygen species. Rac1 has a molecular mass of approximately 21 kDa and Rac proteins share a highly conserved amino acid sequence. Rac1 is ubiquitously expressed while Rac2 is mostly found in hematopoietic cells and Rac3 is expressed in the brain and other tissues.
Biological function summary

Rac proteins play key roles in cell movement adhesion and proliferation. Rac1 Rac2 and Rac3 participate in the formation of lamellipodia which are cellular protrusions important for migration. These proteins are part of complexes involved in actin cytoskeleton dynamics affecting how cells interact with their environment. Different Rac isoforms contribute to the precise control and timing of cellular responses to external stimuli influencing processes such as immune cell function and neuronal development.

Pathways

The Rac proteins integrate into the signaling processes that control actin organization and cell cycle progression. The Rac GTPases interact with pathways such as the PI3K/Akt and MAPK pathways. In these pathways they partner with proteins like PAK (p21-activated kinase) to facilitate changes in the cytoskeleton and promote survival signals. These interactions allow cells to modify their shape and migrate in response to different stimuli enabling a connection between cell signaling and movement.

Rac proteins link to several pathological conditions including cancer and immune-related disorders. Rac1 is often implicated in cancer where its activity affects tumor growth and metastasis through alterations in the cell cycle and motility. Rac2 mutations can lead to immune system dysfunctions impacting immune cell migration and response contributing to conditions like chronic granulomatous disease. The dysregulation of Rac activity often involves interactions with other protein partners like Nox enzymes which are responsible for reactive oxygen species production playing a part in disease progression.

Product protocols

For this product, it's our understanding that no specific protocols are required. You can visit:

Target data

Plasma membrane-associated small GTPase which cycles between active GTP-bound and inactive GDP-bound states. In its active state, binds to a variety of effector proteins to regulate cellular responses such as secretory processes, phagocytosis of apoptotic cells, epithelial cell polarization, neurons adhesion, migration and differentiation, and growth-factor induced formation of membrane ruffles (PubMed : 1643658, PubMed : 22843693, PubMed : 23512198, PubMed : 28886345). Rac1 p21/rho GDI heterodimer is the active component of the cytosolic factor sigma 1, which is involved in stimulation of the NADPH oxidase activity in macrophages. Essential for the SPATA13-mediated regulation of cell migration and adhesion assembly and disassembly. Stimulates PKN2 kinase activity (PubMed : 9121475). In concert with RAB7A, plays a role in regulating the formation of RBs (ruffled borders) in osteoclasts (PubMed : 1643658). In podocytes, promotes nuclear shuttling of NR3C2; this modulation is required for a proper kidney functioning. Required for atypical chemokine receptor ACKR2-induced LIMK1-PAK1-dependent phosphorylation of cofilin (CFL1) and for up-regulation of ACKR2 from endosomal compartment to cell membrane, increasing its efficiency in chemokine uptake and degradation. In neurons, is involved in dendritic spine formation and synaptic plasticity (By similarity). In hippocampal neurons, involved in spine morphogenesis and synapse formation, through local activation at synapses by guanine nucleotide exchange factors (GEFs), such as ARHGEF6/ARHGEF7/PIX (PubMed : 12695502). In synapses, seems to mediate the regulation of F-actin cluster formation performed by SHANK3. In neurons, plays a crucial role in regulating GABA(A) receptor synaptic stability and hence GABAergic inhibitory synaptic transmission through its role in PAK1 activation and eventually F-actin stabilization (By similarity). Required for DSG3 translocation to cell-cell junctions, DSG3-mediated organization of cortical F-actin bundles and anchoring of actin at cell junctions; via interaction with DSG3 (PubMed : 22796473).. Isoform B. Isoform B has an accelerated GEF-independent GDP/GTP exchange and an impaired GTP hydrolysis, which is restored partially by GTPase-activating proteins (PubMed : 14625275). It is able to bind to the GTPase-binding domain of PAK but not full-length PAK in a GTP-dependent manner, suggesting that the insertion does not completely abolish effector interaction (PubMed : 14625275).
See full target information RAC1

Additional targets

RAC2,RAC3

Publications (2)

Recent publications for all applications. Explore the full list and refine your search

Journal of virology 98:e0060624 PubMed38809020

2024

RABV induces biphasic actin cytoskeletal rearrangement through Rac1 activity modulation.

Applications

Unspecified application

Species

Unspecified reactive species

Xiaomin Liu,Jing Xu,Maolin Zhang,Hualei Wang,Xin Guo,Mingxin Zhao,Ming Duan,Zhenhong Guan,Yidi Guo

Cardiovascular drugs and therapy 38:861-872 PubMed36892683

2023

Pharmacological Inhibition of P-Rex1/Rac1 Axis Blocked Angiotensin II-Induced Cardiac Fibrosis.

Applications

Unspecified application

Species

Unspecified reactive species

Jianyuan Pan,Ming Liu,Huimin Su,Hao Hu,Hongwu Chen,Likun Ma
View all publications

Product promise

We are committed to supporting your work with high-quality reagents, and we're here for you every step of the way. In the unlikely event that one of our products does not perform as expected, you're protected by our Product Promise.
For full details, please see our Terms & Conditions

Please note: All products are 'FOR RESEARCH USE ONLY. NOT FOR USE IN DIAGNOSTIC OR THERAPEUTIC PROCEDURES'.

For licensing inquiries, please contact partnerships@abcam.com