JavaScript is disabled in your browser. Please enable JavaScript to view this website.
AB154711

Anti-RAC2 antibody

1

(1 Review)

|

(7 Publications)

Rabbit Polyclonal RAC2 antibody. Suitable for WB, IHC-P, ICC/IF and reacts with Human samples. Cited in 7 publications. Immunogen corresponding to Recombinant Fragment Protein within Human RAC2 aa 1 to C-terminus.

View Alternative Names

Ras-related C3 botulinum toxin substrate 2, GX, Small G protein, p21-Rac2, RAC2

2 Images
Immunocytochemistry/ Immunofluorescence - Anti-RAC2 antibody (AB154711)
  • ICC/IF

Supplier Data

Immunocytochemistry/ Immunofluorescence - Anti-RAC2 antibody (AB154711)

Immunofluorescence analysis of MOLT-4 cells fixed in 4% paraformaldehyde at RT for 15 min labelling RAC2 protein at cell membrane and cytoplasm using ab154711 at a 1/500 dilution (Green). DAPI was used for nuclear staining (Blue).

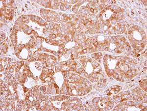
Immunohistochemistry (Formalin/PFA-fixed paraffin-embedded sections) - Anti-RAC2 antibody (AB154711)
  • IHC-P

Unknown

Immunohistochemistry (Formalin/PFA-fixed paraffin-embedded sections) - Anti-RAC2 antibody (AB154711)

Immunohistochemical analysis of paraffin-embedded Human NCI-N87 xenograft tissue labeling RAC2 with ab154711 at 1/500 dilution.

Key facts

Host species

Rabbit

Clonality

Polyclonal

Isotype

IgG

Carrier free

No

Reacts with

Human

Applications

WB, ICC/IF, IHC-P

applications

Immunogen

Recombinant Fragment Protein within Human RAC2 aa 1 to C-terminus. The exact immunogen used to generate this antibody is proprietary information.

P15153

Reactivity data

{ "title": "Reactivity Data", "filters": { "stats": ["", "Species", "Dilution Info", "Notes"], "tabs": { "all-applications": {"fullname" : "All Applications", "shortname": "All Applications"}, "WB" : {"fullname" : "Western blot", "shortname":"WB"}, "IHCP" : {"fullname" : "Immunohistochemistry (Formalin/PFA-fixed paraffin-embedded sections)", "shortname":"IHC-P"}, "ICCIF" : {"fullname" : "Immunocytochemistry/ Immunofluorescence", "shortname":"ICC/IF"} }, "product-promise": { "all": "all", "testedAndGuaranteed": "tested", "guaranteed": "expected", "predicted": "predicted", "notRecommended": "not-recommended" } }, "values": { "Human": { "WB-species-checked": "guaranteed", "WB-species-dilution-info": "1/500 - 1/3000", "WB-species-notes": "<p></p>", "IHCP-species-checked": "testedAndGuaranteed", "IHCP-species-dilution-info": "1/100 - 1/1000", "IHCP-species-notes": "<p>Perform heat mediated antigen retrieval before commencing with IHC staining protocol using 10mM Citrate buffer (pH6.0) or Tris-EDTA buffer (pH8.0).</p>", "ICCIF-species-checked": "testedAndGuaranteed", "ICCIF-species-dilution-info": "", "ICCIF-species-notes": "<p></p>" }, "Mouse": { "WB-species-checked": "predicted", "WB-species-dilution-info": "", "WB-species-notes": "", "IHCP-species-checked": "predicted", "IHCP-species-dilution-info": "", "IHCP-species-notes": "", "ICCIF-species-checked": "predicted", "ICCIF-species-dilution-info": "", "ICCIF-species-notes": "" }, "Rat": { "WB-species-checked": "predicted", "WB-species-dilution-info": "", "WB-species-notes": "", "IHCP-species-checked": "predicted", "IHCP-species-dilution-info": "", "IHCP-species-notes": "", "ICCIF-species-checked": "predicted", "ICCIF-species-dilution-info": "", "ICCIF-species-notes": "" }, "Chicken": { "WB-species-checked": "predicted", "WB-species-dilution-info": "", "WB-species-notes": "", "IHCP-species-checked": "predicted", "IHCP-species-dilution-info": "", "IHCP-species-notes": "", "ICCIF-species-checked": "predicted", "ICCIF-species-dilution-info": "", "ICCIF-species-notes": "" }, "Cow": { "WB-species-checked": "predicted", "WB-species-dilution-info": "", "WB-species-notes": "", "IHCP-species-checked": "predicted", "IHCP-species-dilution-info": "", "IHCP-species-notes": "", "ICCIF-species-checked": "predicted", "ICCIF-species-dilution-info": "", "ICCIF-species-notes": "" }, "Drosophila melanogaster": { "WB-species-checked": "predicted", "WB-species-dilution-info": "", "WB-species-notes": "", "IHCP-species-checked": "predicted", "IHCP-species-dilution-info": "", "IHCP-species-notes": "", "ICCIF-species-checked": "predicted", "ICCIF-species-dilution-info": "", "ICCIF-species-notes": "" }, "Xenopus laevis": { "WB-species-checked": "predicted", "WB-species-dilution-info": "", "WB-species-notes": "", "IHCP-species-checked": "predicted", "IHCP-species-dilution-info": "", "IHCP-species-notes": "", "ICCIF-species-checked": "predicted", "ICCIF-species-dilution-info": "", "ICCIF-species-notes": "" }, "Xenopus tropicalis": { "WB-species-checked": "predicted", "WB-species-dilution-info": "", "WB-species-notes": "", "IHCP-species-checked": "predicted", "IHCP-species-dilution-info": "", "IHCP-species-notes": "", "ICCIF-species-checked": "predicted", "ICCIF-species-dilution-info": "", "ICCIF-species-notes": "" }, "Zebrafish": { "WB-species-checked": "predicted", "WB-species-dilution-info": "", "WB-species-notes": "", "IHCP-species-checked": "predicted", "IHCP-species-dilution-info": "", "IHCP-species-notes": "", "ICCIF-species-checked": "predicted", "ICCIF-species-dilution-info": "", "ICCIF-species-notes": "" } } }

Properties and storage information

Form
Liquid
Purification technique
Affinity purification Immunogen
Storage buffer
pH: 7 Preservative: 0.01% Thimerosal (merthiolate) Constituents: 10% Glycerol (glycerin, glycerine), 1.21% Tris, 0.75% Glycine
Shipped at conditions
Blue Ice
Appropriate short-term storage conditions
+4°C
Appropriate long-term storage conditions
-20°C
Aliquoting information
Upon delivery aliquot
Storage information
Avoid freeze / thaw cycle

Supplementary information

This supplementary information is collated from multiple sources and compiled automatically.

RAC2 also known as Ras-related C3 botulinum toxin substrate 2 is a small GTPase with a molecular mass of approximately 21 kDa. RAC2 belongs to the Rho family and facilitates the exchange between active GTP-bound and inactive GDP-bound states influencing various cellular processes. This protein mainly expresses in hematopoietic cells playing essential roles in immune responses. RAC2 transmits signals that regulate cytoskeleton organization cell growth and production of reactive oxygen species particularly in cells of the immune system.
Biological function summary

RAC2 plays a role in modulating actin cytoskeleton dynamics. RAC2 functions as a part of the NADPH oxidase complex which is pivotal in producing reactive oxygen species in neutrophils. It also impacts cell motility and adhesion processes critical for immune system functionality. By being involved in these cellular processes RAC2 assists neutrophils and macrophages to effectively respond to pathogens. Its expression and function are essential for proper signaling especially in immune cells where rapid responses are necessary.

Pathways

RAC2 integrates into critical signaling pathways such as the MAPK and PI3K pathways. It interacts with proteins like PAK1 which is involved in cytoskeletal regulation suggesting RAC2's importance in signal transduction relating to cellular movement and immune response. Additionally RAC2 regulates actin polymerization and cellular migration translating external signals into cellular responses. This regulation is important for maintaining proper cellular function and adaptation to environmental changes.

RAC2 has a connection to chronic granulomatous disease (CGD) which results from an impairment in the NADPH oxidase complex leading to reduced ability to produce superoxide radicals. CGD manifests in recurrent infections due to this compromised immune function. Moreover RAC2's involvement in actin dynamics links it to various immunodeficiency disorders. Abnormal RAC2 activity might also connect to other hematological conditions as it influences signaling pathways critical for immune cell proliferation and differentiation.

Product protocols

For this product, it's our understanding that no specific protocols are required. You can visit:

Target data

Plasma membrane-associated small GTPase which cycles between an active GTP-bound and inactive GDP-bound state. In active state binds to a variety of effector proteins to regulate cellular responses, such as secretory processes, phagocytose of apoptotic cells and epithelial cell polarization. Augments the production of reactive oxygen species (ROS) by NADPH oxidase.
See full target information RAC2

Publications (7)

Recent publications for all applications. Explore the full list and refine your search

Biomedicines 12: PubMed38540147

2024

Circulating Exosomes from Septic Mice Activate NF-κB/MIR17HG Pathway in Macrophages.

Applications

Unspecified application

Species

Unspecified reactive species

Shao-Chun Wu,Cheng-Shyuan Rau,Yi-Chan Wu,Chia-Jung Wu,Chia-Wen Tsai,Lien-Hung Huang,Chia-Wei Lin,Tsu-Hsiang Lu,Ming-Yu Yang,Ching-Hua Hsieh

Journal of clinical immunology 42:1280-1292 PubMed35596857

2022

Combined Immunodeficiency Caused by a Novel De Novo Gain-of-Function RAC2 Mutation.

Applications

Unspecified application

Species

Unspecified reactive species

Liang Zhang,Zhi Chen,Wenyan Li,Qiao Liu,Yanping Wang,Xuemei Chen,Zhirui Tian,Qiuyun Yang,Yunfei An,Zhiyong Zhang,Huawei Mao,Xuemei Tang,Ge Lv,Xiaodong Zhao

iScience 24:102724 PubMed34337357

2021

Microscopic image-based covariation network analysis for actin scaffold-modified insulin signaling.

Applications

Unspecified application

Species

Unspecified reactive species

Yoshiyuki Noguchi,Fumi Kano,Nobuhiko Maiya,Chisako Iwamoto,Shoko Yamasaki,Yosuke Otsubo,Daiki Nakatsu,Rina Kunishige,Masayuki Murata

Haematologica 106:404-411 PubMed31919089

2021

A gain-of-function RAC2 mutation is associated with bone-marrow hypoplasia and an autosomal dominant form of severe combined immunodeficiency.

Applications

Unspecified application

Species

Unspecified reactive species

Chantal Lagresle-Peyrou,Aurélien Olichon,Hanem Sadek,Philippe Roche,Claudine Tardy,Cindy Da Silva,Alexandrine Garrigue,Alain Fischer,Despina Moshous,Yves Collette,Capucine Picard,Jean Laurent Casanova,Isabelle André,Marina Cavazzana

Medical science monitor : international medical jo 26:e919150 PubMed32052794

2020

Effect of Grilled Nux Vomica on Differential RNA Expression Profile of Gastrocnemius Muscle and Toll‑Like Receptor 4 (TLR-4)/Nuclear Factor kappa B (NF-κB) Signaling in Experimental Autoimmune Myasthenia Gravis Rats.

Applications

Unspecified application

Species

Unspecified reactive species

Xu Hong Jiang,Yi Chen,Yang Yang Ding,Hui Qiu,Di Yi Zhou,Chang Lin Qiu

FASEB journal : official publication of the Federa 33:14221-14233 PubMed31659914

2019

Dazl determines primordial follicle formation through the translational regulation of Tex14.

Applications

Unspecified application

Species

Unspecified reactive species

Roseanne Rosario,James H Crichton,Hazel L Stewart,Andrew J Childs,Ian R Adams,Richard A Anderson

International journal of biological macromolecules 137:1221-1231 PubMed31279058

2019

Down-regulation of RAC2 by small interfering RNA restrains the progression of osteosarcoma by suppressing the Wnt signaling pathway.

Applications

Unspecified application

Species

Unspecified reactive species

Peng Xia,Xu Gao,Liwei Shao,Qi Chen,Fang Li,Changyan Wu,Wei Zhang,Yifu Sun
View all publications

Product promise

We are committed to supporting your work with high-quality reagents, and we're here for you every step of the way. In the unlikely event that one of our products does not perform as expected, you're protected by our Product Promise.
For full details, please see our Terms & Conditions

Please note: All products are 'FOR RESEARCH USE ONLY. NOT FOR USE IN DIAGNOSTIC OR THERAPEUTIC PROCEDURES'.

For licensing inquiries, please contact partnerships@abcam.com