JavaScript is disabled in your browser. Please enable JavaScript to view this website.
AB2244

Anti-RAC2 antibody

Be the first to review this product! Submit a review

|

(13 Publications)

Goat Polyclonal RAC2 antibody. Suitable for IHC-P, WB and reacts with Human samples. Cited in 13 publications. Immunogen corresponding to Synthetic Peptide within Human RAC2 aa 150 to C-terminus.

View Alternative Names

Ras-related C3 botulinum toxin substrate 2, GX, Small G protein, p21-Rac2, RAC2

3 Images
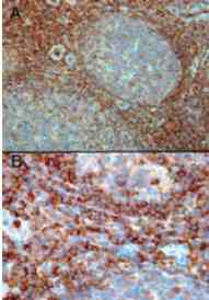
Immunohistochemistry (Formalin/PFA-fixed paraffin-embedded sections) - Anti-RAC2 antibody (AB2244)
  • IHC-P

Unknown

Immunohistochemistry (Formalin/PFA-fixed paraffin-embedded sections) - Anti-RAC2 antibody (AB2244)

Immunohistochemical analysis of paraffin embedded Human Tonsil tissue section labelling RAC2 with ab2244 (0.3μg/ml). Microwaved antigen retrieval with Tris/EDTA buffer pH9, HRP-staining. A) Strong staining in the interfollicular area and mantle zone but the majority of cells in germinal centre are negative. B) Higher magnification of interfollicular area showing positive cells.

Western blot - Anti-RAC2 antibody (AB2244)
  • WB

Unknown

Western blot - Anti-RAC2 antibody (AB2244)

Primary incubated for 1 hour. Detected by western blot using chemiluminescence.

All lanes:

Western blot - Anti-RAC2 antibody (ab2244) at 0.3 µg/mL

All lanes:

MOLT4 cell lysate at 35 µg

Predicted band size: 21 kDa

Observed band size: 20 kDa

false

Western blot - Anti-RAC2 antibody (AB2244)
  • WB

Supplier Data

Western blot - Anti-RAC2 antibody (AB2244)

Primary incubation was 1 hour. Detected by chemiluminescence.

All lanes:

Western blot - Anti-RAC2 antibody (ab2244) at 0.1 µg/mL

Lane 1:

Human thymus tissue lysate at 35 µg

Lane 2:

Human tonsil tissue lysate at 35 µg

Predicted band size: 21 kDa

false

Key facts

Host species

Goat

Clonality

Polyclonal

Isotype

IgG

Carrier free

No

Reacts with

Human

Applications

WB, IHC-P

applications

Immunogen

Synthetic Peptide within Human RAC2 aa 150 to C-terminus. The exact immunogen used to generate this antibody is proprietary information.

P15153

Reactivity data

{ "title": "Reactivity Data", "filters": { "stats": ["", "Species", "Dilution Info", "Notes"], "tabs": { "all-applications": {"fullname" : "All Applications", "shortname": "All Applications"}, "IHCP" : {"fullname" : "Immunohistochemistry (Formalin/PFA-fixed paraffin-embedded sections)", "shortname":"IHC-P"}, "WB" : {"fullname" : "Western blot", "shortname":"WB"} }, "product-promise": { "all": "all", "testedAndGuaranteed": "tested", "guaranteed": "expected", "predicted": "predicted", "notRecommended": "not-recommended" } }, "values": { "Human": { "IHCP-species-checked": "testedAndGuaranteed", "IHCP-species-dilution-info": "0.3 µg/mL", "IHCP-species-notes": "<p>In Human Tonsil most cells in the mantle zone and interfollicular area are stained whilst those in the germinal centres remain negative.</p> Perform heat-mediated antigen retrieval before commencing with IHC staining protocol.", "WB-species-checked": "testedAndGuaranteed", "WB-species-dilution-info": "0.1-1 µg/mL", "WB-species-notes": "<p>A 1 hour primary incubation is recommended for this product.</p>" } } }

Product details

Principal Names - RAC2; ras-related C3 botulinum toxin substrate 2 (rho family, small GTP binding protein Rac2); EN-7; Ras-related C3 botulinum toxin substrate 2; rho family, small GTP binding protein Rac2; Ras-related C3 botulinum toxin substrate 3 (rho family, small GTP); Gx; HSPC022. Official Gene Symbol - RAC2. GenBank Accession Number – NP_002863. LocusLink ID - 5880.

Properties and storage information

Form
Liquid
Purification technique
Affinity purification Immunogen
Purification notes
Purified from goat serum by ammonium sulphate precipitation followed by antigen affinity chromatography using the immunizing peptide.
Storage buffer
pH: 7.3 Preservative: 0.02% Sodium azide Constituents: Tris buffered saline, 0.5% BSA
Shipped at conditions
Blue Ice
Appropriate short-term storage conditions
+4°C
Appropriate long-term storage conditions
-20°C
Aliquoting information
Upon delivery aliquot
Storage information
Avoid freeze / thaw cycle

Supplementary information

This supplementary information is collated from multiple sources and compiled automatically.

RAC2 also known as Ras-related C3 botulinum toxin substrate 2 is a small GTPase with a molecular mass of approximately 21 kDa. RAC2 belongs to the Rho family and facilitates the exchange between active GTP-bound and inactive GDP-bound states influencing various cellular processes. This protein mainly expresses in hematopoietic cells playing essential roles in immune responses. RAC2 transmits signals that regulate cytoskeleton organization cell growth and production of reactive oxygen species particularly in cells of the immune system.
Biological function summary

RAC2 plays a role in modulating actin cytoskeleton dynamics. RAC2 functions as a part of the NADPH oxidase complex which is pivotal in producing reactive oxygen species in neutrophils. It also impacts cell motility and adhesion processes critical for immune system functionality. By being involved in these cellular processes RAC2 assists neutrophils and macrophages to effectively respond to pathogens. Its expression and function are essential for proper signaling especially in immune cells where rapid responses are necessary.

Pathways

RAC2 integrates into critical signaling pathways such as the MAPK and PI3K pathways. It interacts with proteins like PAK1 which is involved in cytoskeletal regulation suggesting RAC2's importance in signal transduction relating to cellular movement and immune response. Additionally RAC2 regulates actin polymerization and cellular migration translating external signals into cellular responses. This regulation is important for maintaining proper cellular function and adaptation to environmental changes.

RAC2 has a connection to chronic granulomatous disease (CGD) which results from an impairment in the NADPH oxidase complex leading to reduced ability to produce superoxide radicals. CGD manifests in recurrent infections due to this compromised immune function. Moreover RAC2's involvement in actin dynamics links it to various immunodeficiency disorders. Abnormal RAC2 activity might also connect to other hematological conditions as it influences signaling pathways critical for immune cell proliferation and differentiation.

Product protocols

For this product, it's our understanding that no specific protocols are required. You can visit:

Target data

Plasma membrane-associated small GTPase which cycles between an active GTP-bound and inactive GDP-bound state. In active state binds to a variety of effector proteins to regulate cellular responses, such as secretory processes, phagocytose of apoptotic cells and epithelial cell polarization. Augments the production of reactive oxygen species (ROS) by NADPH oxidase.
See full target information RAC2

Publications (13)

Recent publications for all applications. Explore the full list and refine your search

Journal of oncology 2022:3625790 PubMed36059808

2022

The Pyroptosis-Related Risk Genes APOBEC3D, TNFRSF14, and RAC2 Were Used to Evaluate Prognosis and as Tumor Suppressor Genes in Breast Cancer.

Applications

Unspecified application

Species

Unspecified reactive species

Qian Chen,He Jun,ChengGuang Yang,Feng Yang,YingJie Xu

Oxidative medicine and cellular longevity 2021:8899274 PubMed34007409

2021

Proteomic Analysis Revealed the Characteristics of Key Proteins Involved in the Regulation of Inflammatory Response, Leukocyte Transendothelial Migration, Phagocytosis, and Immune Process during Early Lung Blast Injury.

Applications

Unspecified application

Species

Unspecified reactive species

Yunen Liu,Changci Tong,Peifang Cong,Ying Liu,Xiuyun Shi,Lin Shi,Shun Mao,Yan Zhao,Hongxu Jin,Mingxiao Hou

Frontiers in pharmacology 12:632414 PubMed33995034

2021

Transcriptomic Analysis of the Mechanisms for Alleviating Psoriatic Dermatitis Using Taodan Granules in an Imiquimod-Induced Psoriasis-like Mouse Model.

Applications

Unspecified application

Species

Unspecified reactive species

Le Kuai,Ying Luo,Keshen Qu,Yi Ru,Yue Luo,Xiaojie Ding,Meng Xing,Liu Liu,Xiaoying Sun,Xin Li,Bin Li

Nature microbiology 6:401-412 PubMed33432150

2021

Escherichia coli Rho GTPase-activating toxin CNF1 mediates NLRP3 inflammasome activation via p21-activated kinases-1/2 during bacteraemia in mice.

Applications

Unspecified application

Species

Unspecified reactive species

Océane Dufies,Anne Doye,Johan Courjon,Cédric Torre,Gregory Michel,Celine Loubatier,Arnaud Jacquel,Paul Chaintreuil,Alissa Majoor,Rodolphe R Guinamard,Alexandre Gallerand,Pedro H V Saavedra,Els Verhoeyen,Amaury Rey,Sandrine Marchetti,Raymond Ruimy,Dorota Czerucka,Mohamed Lamkanfi,Bénédicte F Py,Patrick Munro,Orane Visvikis,Laurent Boyer

JCI insight 4: PubMed31661463

2019

Mevastatin promotes healing by targeting caveolin-1 to restore EGFR signaling.

Applications

Unspecified application

Species

Unspecified reactive species

Andrew P Sawaya,Ivan Jozic,Rivka C Stone,Irena Pastar,Andjela N Egger,Olivera Stojadinovic,George D Glinos,Robert S Kirsner,Marjana Tomic-Canic

International journal of biological macromolecules 137:1221-1231 PubMed31279058

2019

Down-regulation of RAC2 by small interfering RNA restrains the progression of osteosarcoma by suppressing the Wnt signaling pathway.

Applications

Unspecified application

Species

Unspecified reactive species

Peng Xia,Xu Gao,Liwei Shao,Qi Chen,Fang Li,Changyan Wu,Wei Zhang,Yifu Sun

Frontiers in immunology 8:1264 PubMed29056938

2017

The Small Rho GTPases Rac1 and Rac2 Are Important for T-Cell Independent Antigen Responses and for Suppressing Switching to IgG2b in Mice.

Applications

Unspecified application

Species

Unspecified reactive species

Natalija Gerasimčik,Minghui He,Carin I M Dahlberg,Nikolai V Kuznetsov,Eva Severinson,Lisa S Westerberg

Scientific reports 7:43441 PubMed28240310

2017

Interleukin-27 Enhances the Potential of Reactive Oxygen Species Generation from Monocyte-derived Macrophages and Dendritic cells by Induction of p47.

Applications

Unspecified application

Species

Unspecified reactive species

Bharatwaj Sowrirajan,Yoshiro Saito,Deepak Poudyal,Qian Chen,Hongyan Sui,Suk See DeRavin,Hiromi Imamichi,Toyotaka Sato,Douglas B Kuhns,Noriko Noguchi,Harry L Malech,H Clifford Lane,Tomozumi Imamichi

Journal of immunology (Baltimore, Md. : 1950) 198:1985-1994 PubMed28093527

2017

Human Cystic Fibrosis Macrophages Have Defective Calcium-Dependent Protein Kinase C Activation of the NADPH Oxidase, an Effect Augmented by .

Applications

Unspecified application

Species

Unspecified reactive species

Kaivon Assani,Chandra L Shrestha,Frank Robledo-Avila,Murugesan V Rajaram,Santiago Partida-Sanchez,Larry S Schlesinger,Benjamin T Kopp

International journal of molecular sciences 16:11196-212 PubMed25993291

2015

Immunohistochemical analysis of the natural killer cell cytotoxicity pathway in human abdominal aortic aneurysms.

Applications

Unspecified application

Species

Unspecified reactive species

Irene Hinterseher,Charles M Schworer,John H Lillvis,Elizabeth Stahl,Robert Erdman,Zoran Gatalica,Gerard Tromp,Helena Kuivaniemi
View all publications

Product promise

We are committed to supporting your work with high-quality reagents, and we're here for you every step of the way. In the unlikely event that one of our products does not perform as expected, you're protected by our Product Promise.
For full details, please see our Terms & Conditions

Please note: All products are 'FOR RESEARCH USE ONLY. NOT FOR USE IN DIAGNOSTIC OR THERAPEUTIC PROCEDURES'.

For licensing inquiries, please contact partnerships@abcam.com