JavaScript is disabled in your browser. Please enable JavaScript to view this website.
AB248272

Anti-RAC3 antibody [EPR6680] - BSA and Azide free

Be the first to review this product! Submit a review

|

(1 Publication)

Rabbit Recombinant Monoclonal RAC3 antibody. Carrier free. Suitable for IHC-P, WB and reacts with Rat, Mouse, Human samples. Cited in 1 publication.

View Alternative Names

Ras-related C3 botulinum toxin substrate 3, p21-Rac3, RAC3

4 Images
Immunohistochemistry (Formalin/PFA-fixed paraffin-embedded sections) - Anti-RAC3 antibody [EPR6680] - BSA and Azide free (AB248272)
  • IHC-P

Unknown

Immunohistochemistry (Formalin/PFA-fixed paraffin-embedded sections) - Anti-RAC3 antibody [EPR6680] - BSA and Azide free (AB248272)

Immunohistochemistry (Formalin/PFA-fixed paraffin-embedded sections) analysis of human cerebrum tissue sections labeling RAC3 with Purified ab129062 at 1 : 100 dilution (2.64 µg/ml). Heat mediated antigen retrieval using Bond™ Epitope Retrieval Solution 2 (pH 9.0). Rabbit specific IHC polymer detection kit HRP/DAB (ab209101) was used for detection. Negative control : PBS instead of the primary antibody. Hematoxylin was used as a counterstain.
This data was developed using the same antibody clone in a different buffer formulation containing PBS, BSA, glycerol, and sodium azide (ab129062)

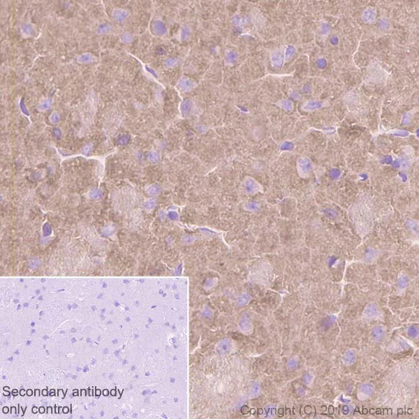
Immunohistochemistry (Formalin/PFA-fixed paraffin-embedded sections) - Anti-RAC3 antibody [EPR6680] - BSA and Azide free (AB248272)
  • IHC-P

Unknown

Immunohistochemistry (Formalin/PFA-fixed paraffin-embedded sections) - Anti-RAC3 antibody [EPR6680] - BSA and Azide free (AB248272)

Immunohistochemistry (Formalin/PFA-fixed paraffin-embedded sections) analysis of mouse cerebrum tissue sections labeling RAC3 with Purified ab129062 at 1 : 100 dilution (2.64 µg/ml). Heat mediated antigen retrieval using Bond™ Epitope Retrieval Solution 2 (pH 9.0). Rabbit specific IHC polymer detection kit HRP/DAB (ab209101) was used for detection. Negative control : PBS instead of the primary antibody. Hematoxylin was used as a counterstain.
This data was developed using the same antibody clone in a different buffer formulation containing PBS, BSA, glycerol, and sodium azide (ab129062)

Immunohistochemistry (Formalin/PFA-fixed paraffin-embedded sections) - Anti-RAC3 antibody [EPR6680] - BSA and Azide free (AB248272)
  • IHC-P

Unknown

Immunohistochemistry (Formalin/PFA-fixed paraffin-embedded sections) - Anti-RAC3 antibody [EPR6680] - BSA and Azide free (AB248272)

Immunohistochemistry (Formalin/PFA-fixed paraffin-embedded sections) analysis of rat cerebrum tissue sections labeling RAC3 with Purified ab129062 at 1 : 100 dilution (2.64 µg/ml). Heat mediated antigen retrieval using Bond™ Epitope Retrieval Solution 2 (pH 9.0). Rabbit specific IHC polymer detection kit HRP/DAB (ab209101) was used for detection. Negative control : PBS instead of the primary antibody. Hematoxylin was used as a counterstain.
This data was developed using the same antibody clone in a different buffer formulation containing PBS, BSA, glycerol, and sodium azide (ab129062)

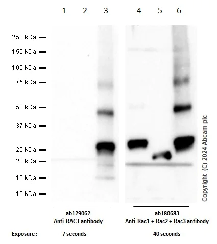
Western blot - Anti-RAC3 antibody [EPR6680] - BSA and Azide free (AB248272)
  • WB

Lab

Western blot - Anti-RAC3 antibody [EPR6680] - BSA and Azide free (AB248272)

This data was developed using the same antibody clone in a different buffer formulation containing PBS, BSA, glycerol, and sodium azide (ab129062)

Blocking and diluting buffer : 5% NFDM/TBST. Exposure time lanes 1-3 : 7 seconds, lanes 4-6 : 40 seconds.

Lanes 1 - 3:

Western blot - Anti-RAC3 antibody [EPR6680] (<a href='/en-us/products/primary-antibodies/rac3-antibody-epr6680-ab129062'>ab129062</a>) at 1/1000 dilution

Lanes 4 - 6:

Western blot - Anti-Rac1 + Rac2 + Rac3 antibody [EPR18631] (<a href='/en-us/products/primary-antibodies/rac1-rac2-rac3-antibody-epr18631-ab180683'>ab180683</a>) at 1/1000 dilution

Lanes 1 and 4:

C-Myc/DDK tagged Human full length RAC1 recombinant protein at 10 ng

Lanes 2 and 5:

His-tagged Human full length RAC2 recombinant protein at 10 ng

Lanes 3 and 6:

C-Myc/DDK tagged Human full length RAC3 recombinant protein at 10 ng

Secondary

All lanes:

Western blot - Goat Anti-Rabbit IgG H&L (HRP) (<a href='/en-us/products/secondary-antibodies/goat-rabbit-igg-h-l-hrp-ab97051'>ab97051</a>) at 1/20000 dilution

Observed band size: 20 kDa,25 kDa

false

Key facts

Host species

Rabbit

Clonality

Monoclonal

Clone number

EPR6680

Isotype

IgG

Carrier free

Yes

Reacts with

Mouse, Rat, Human

Applications

IHC-P, WB

applications

Immunogen

The exact immunogen used to generate this antibody is proprietary information.

Reactivity data

{ "title": "Reactivity Data", "filters": { "stats": ["", "Species", "Dilution Info", "Notes"], "tabs": { "all-applications": {"fullname" : "All Applications", "shortname": "All Applications"}, "IHCP" : {"fullname" : "Immunohistochemistry (Formalin/PFA-fixed paraffin-embedded sections)", "shortname":"IHC-P"}, "WB" : {"fullname" : "Western blot", "shortname":"WB"} }, "product-promise": { "all": "all", "testedAndGuaranteed": "tested", "guaranteed": "expected", "predicted": "predicted", "notRecommended": "not-recommended" } }, "values": { "Human": { "IHCP-species-checked": "predicted", "IHCP-species-dilution-info": "", "IHCP-species-notes": "", "WB-species-checked": "guaranteed", "WB-species-dilution-info": "", "WB-species-notes": "<p></p>" }, "Mouse": { "IHCP-species-checked": "predicted", "IHCP-species-dilution-info": "", "IHCP-species-notes": "", "WB-species-checked": "guaranteed", "WB-species-dilution-info": "", "WB-species-notes": "<p></p>" }, "Rat": { "IHCP-species-checked": "testedAndGuaranteed", "IHCP-species-dilution-info": "", "IHCP-species-notes": "<p></p>", "WB-species-checked": "guaranteed", "WB-species-dilution-info": "", "WB-species-notes": "<p></p>" } } }

Product details

ab248272 is the carrier-free version of ab129062.

Patented technology
Our RabMAb® technology is a patented hybridoma-based technology for making rabbit monoclonal antibodies. For details on our patents, please refer to RabMAb® patents.

What are the advantages of a recombinant monoclonal antibody?
This product is a recombinant monoclonal antibody, which offers several advantages including:

  • - High batch-to-batch consistency and reproducibility
  • - Improved sensitivity and specificity
  • - Long-term security of supply
  • - Animal-free batch production

For more information, read more on recombinant antibodies.

Conjugation ready
Our carrier-free antibodies are typically supplied in a PBS-only formulation, purified and free of BSA, sodium azide and glycerol. This conjugation-ready format is designed for use with fluorochromes, metal isotopes, oligonucleotides, and enzymes, which makes them ideal for antibody labelling, functional and cell-based assays, flow-based assays (e.g. mass cytometry) and Multiplex Imaging applications.

Use our conjugation kits for antibody conjugates that are ready-to-use in as little as 20 minutes with 1 minute hands-on-time and 100% antibody recovery: available for fluorescent dyes, HRP, biotin and gold.

Compatibility
This product is compatible with the Maxpar® Antibody Labeling Kit from Fluidigm, without the need for antibody preparation. Maxpar® is a trademark of Fluidigm Canada Inc.

Properties and storage information

Form
Liquid
Purification technique
Affinity purification Protein A
Storage buffer
pH: 7.2 - 7.4 Constituents: PBS
Shipped at conditions
Blue Ice
Appropriate short-term storage conditions
+4°C
Appropriate long-term storage conditions
+4°C
Storage information
Do Not Freeze

Supplementary information

This supplementary information is collated from multiple sources and compiled automatically.

The protein RAC3 also known as p21-activated kinase 3 or PAK3 is a member of the Rho family of small GTPases. RAC3 has an approximate mass of 22 kDa. This protein functions as a molecular switch that cycles between an active GTP-bound state and an inactive GDP-bound state regulating a variety of cellular processes. RAC3 is expressed in many tissues with prominent expression in the brain muscle and heart. It plays a significant role in controlling the actin cytoskeleton influencing cell shape motility and growth.
Biological function summary

RAC3 influences cell signaling pathways by interacting with other proteins and forming complexes. It participates in the regulation of a variety of physiological processes including cell polarity migration and growth. RAC3 interacts with proteins such as PAK which is important for the phosphorylation of substrates involved in actin reorganization. This activity allows RAC3 to coordinate with other cellular components affecting processes like the migration of neurons during development and immune cell responses.

Pathways

RAC3 is involved in the MAPK/ERK and PI3K/AKT signaling pathways. These pathways play important roles in cell proliferation survival and differentiation. Through the MAPK/ERK pathway RAC3 interacts with proteins like Ras and Raf facilitating the signaling cascade that leads to gene expression changes. In the PI3K/AKT pathway RAC3 contributes to cellular survival and metabolism by interacting with PI3K and AKT promoting pathway signaling important for maintaining cell health under stress.

RAC3 has been linked to cancer and neurodevelopmental disorders. Its role in actin cytoskeleton dynamics and cell signaling makes it relevant in the progression of cancers where its overexpression can enhance metastatic capabilities. RAC3 has connections with the epidermal growth factor receptor (EGFR) which enhances proliferative signals in tumor cells. In neurodevelopmental disorders alterations in RAC3 function can impact neuronal migration and brain development. This connection involves RAC3's interplay with proteins such as PAK3 influencing synaptic development and cognitive functions.

Product protocols

For this product, it's our understanding that no specific protocols are required. You can visit:

Target data

Plasma membrane-associated small GTPase which cycles between an active GTP-bound and inactive GDP-bound state. In active state binds to a variety of effector proteins to regulate cellular responses, such as cell spreading and the formation of actin-based protusions including lamellipodia and membrane ruffles. Promotes cell adhesion and spreading on fibrinogen in a CIB1 and alpha-IIb/beta3 integrin-mediated manner.
See full target information RAC3

Publications (1)

Recent publications for all applications. Explore the full list and refine your search

PeerJ 10:e13735 PubMed35891648

2022

Identification and validation of immune related core transcription factors in NAFLD.

Applications

Unspecified application

Species

Unspecified reactive species

Minbo Zhang,Yu Zhang,Xiaoxiao Jiao,Linying Lai,Yiting Qian,Bo Sun,Wenzhuo Yang
View all publications

Product promise

We are committed to supporting your work with high-quality reagents, and we're here for you every step of the way. In the unlikely event that one of our products does not perform as expected, you're protected by our Product Promise.
For full details, please see our Terms & Conditions

Please note: All products are 'FOR RESEARCH USE ONLY. NOT FOR USE IN DIAGNOSTIC OR THERAPEUTIC PROCEDURES'.

For licensing inquiries, please contact partnerships@abcam.com