JavaScript is disabled in your browser. Please enable JavaScript to view this website.
AB313458

Anti-Rad1 Antibody [RP23040152]

Be the first to review this product! Submit a review

|

(0 Publication)

Rabbit Recombinant Multiclonal RAD1 antibody. Suitable for ICC/IF, WB and reacts with Human samples. Immunogen corresponding to Recombinant Fragment Protein within Human RAD1.

View Alternative Names

REC1, RAD1, Cell cycle checkpoint protein RAD1, hRAD1, Rad1-like DNA damage checkpoint protein

2 Images
Immunocytochemistry/ Immunofluorescence - Anti-Rad1 Antibody [RP23040152] (AB313458)
  • ICC/IF

Supplier Data

Immunocytochemistry/ Immunofluorescence - Anti-Rad1 Antibody [RP23040152] (AB313458)

For immunofluorescence analysis, HeLa cells were fixed and permeabilized for detection of endogenous Rad1 using ab313458 (2 ug/ml) and labeled with Goat anti-Rabbit IgG (H+L) Secondary Antibody, Alexa Fluor® 488 conjugate (1 : 2000). Panel a) shows representative cells that were stained for detection and localization of Rad1 (green), Panel b) is stained for nuclei (blue) using with DAPI. Panel c) represents cytoskeletal F-actin staining using Alexa Fluor® 555 Rhodamine Phalloidin (1 : 300). Panel d) is a composite image of Panels a, b and c clearly demonstrating nuclear localization of Rad1. Panel e) represents control cells with no primary antibody to assess background. The images were captured at 60X magnification.

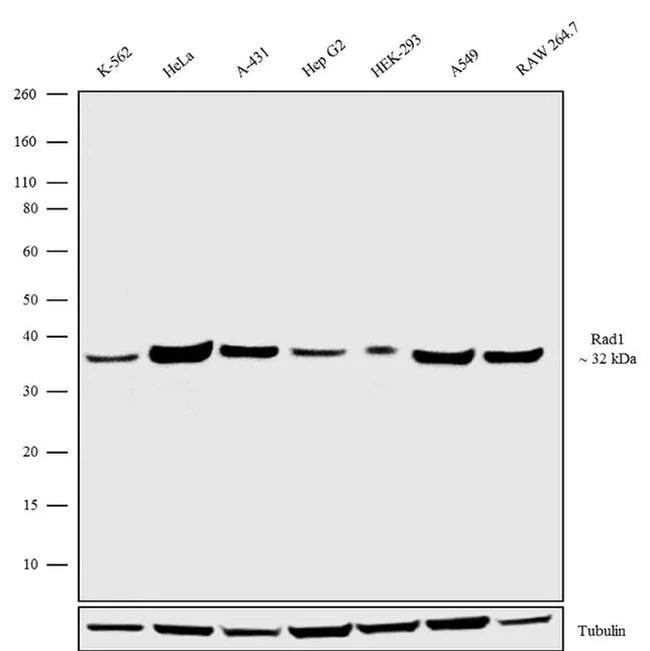
Western blot - Anti-Rad1 Antibody [RP23040152] (AB313458)
  • WB

Supplier Data

Western blot - Anti-Rad1 Antibody [RP23040152] (AB313458)

All lanes:

Western blot - Anti-Rad1 Antibody [RP23040152] (ab313458) at 2 µg/mL

Lane 1:

Nuclear enriched extracts of K-562 at 30 µg

Lane 2:

Nuclear enriched extracts of HeLa at 30 µg

Lane 3:

Nuclear enriched extracts of A-431 at 30 µg

Lane 4:

Nuclear enriched extracts of Hep G2 at 30 µg

Lane 5:

Nuclear enriched extracts of HEK-293 at 30 µg

Lane 6:

Nuclear enriched extracts of A549 at 30 µg

Lane 7:

Nuclear enriched extracts of RAW 264.7 at 30 µg

Secondary

All lanes:

Goat anti-Rabbit IgG (H+L) Secondary Antibody, HRP conjugate at 1/2500 dilution

true

Key facts

Host species

Rabbit

Clonality

Multiclonal

Clone number

RP23040152

Isotype

IgG

Carrier free

No

Reacts with

Human

Applications

ICC/IF, WB

applications

Immunogen

Recombinant Fragment Protein within Human RAD1.

O60671

Reactivity data

{ "title": "Reactivity Data", "filters": { "stats": ["", "Species", "Dilution Info", "Notes"], "tabs": { "all-applications": {"fullname" : "All Applications", "shortname": "All Applications"}, "ICCIF" : {"fullname" : "Immunocytochemistry/ Immunofluorescence", "shortname":"ICC/IF"}, "WB" : {"fullname" : "Western blot", "shortname":"WB"} }, "product-promise": { "all": "all", "testedAndGuaranteed": "tested", "guaranteed": "expected", "predicted": "predicted", "notRecommended": "not-recommended" } }, "values": { "Human": { "ICCIF-species-checked": "testedAndGuaranteed", "ICCIF-species-dilution-info": "2 µg/mL", "ICCIF-species-notes": "<p></p>", "WB-species-checked": "testedAndGuaranteed", "WB-species-dilution-info": "1-2 µg/mL", "WB-species-notes": "<p></p>" } } }

Product details

What are recombinant multiclonals?
Recombinant multiclonals are a mixture of recombinant antibodies co-expressed from a library of heavy and light chains. They offer several advantages including:

  • - The sensitivity of polyclonal antibodies by recognising multiple epitopes
  • - High batch-to-batch consistency and reproducibility
  • - Improved sensitivity and specificity
  • - Long-term security of supply
  • - Animal-free batch production

View our range of recombinant multiclonal antibodies.

Properties and storage information

Form
Liquid
Purification technique
Affinity purification Protein A
Storage buffer
pH: 7.4 Preservative: 0.09% Sodium azide Constituents: 99.91% PBS
Shipped at conditions
Blue Ice
Appropriate short-term storage duration
1-2 weeks
Appropriate short-term storage conditions
+4°C
Appropriate long-term storage conditions
-20°C
Aliquoting information
Upon delivery aliquot
Storage information
Avoid freeze / thaw cycle

Supplementary information

This supplementary information is collated from multiple sources and compiled automatically.

Rad1 also known as RAD1 homolog 1 from Saccharomyces cerevisiae functions mechanically as an exonuclease involved in DNA repair processes. It forms a part of the 9-1-1 checkpoint complex which acts as a sensor for DNA damage. Rad1 has a molecular mass of approximately 34 kDa and is expressed in various tissues where cell division occurs. Its primary role is in maintaining genomic stability by participating in the recognition and repair of abnormal DNA structures.
Biological function summary

Rad1 plays an essential role in the DNA damage response by being part of the 9-1-1 complex which includes Rad9 and Hus1 proteins. This complex is an important player in activating the ATR signaling pathway which helps cells respond to DNA replication stress and damage. Rad1 helps ensure proper checkpoint activation preventing cells with damaged DNA from progressing through the cell cycle which further safeguards genomic integrity.

Pathways

The protein Rad1 functions critically within the ATR-Chk1 signaling pathway a significant route for controlling cell cycle checkpoints. In this context Rad1 associates with proteins such as ATR and Chk1 facilitating the signaling necessary for cell cycle arrest under conditions of DNA stress. Rad1 also interacts with the base excision repair pathway where it works with other repair proteins to rectify oxidative DNA damage and maintain cellular viability.

Rad1 has a connection with cancer due to its involvement in DNA repair pathways. Impaired Rad1 function can lead to accumulation of DNA damage contributing to carcinogenesis. Additionally Rad1’s participation in maintaining genomic stability links it to disorders like Fanconi anemia where DNA repair defects are evident. In these contexts Rad1's interactions with proteins like BRCA1 further highlight its importance in protective cellular mechanisms.

Product protocols

For this product, it's our understanding that no specific protocols are required. You can visit:

Target data

Component of the 9-1-1 cell-cycle checkpoint response complex that plays a major role in DNA repair (PubMed : 10846170, PubMed : 10884395). The 9-1-1 complex is recruited to DNA lesion upon damage by the RAD17-replication factor C (RFC) clamp loader complex (PubMed : 12578958). Acts then as a sliding clamp platform on DNA for several proteins involved in long-patch base excision repair (LP-BER) (PubMed : 15871698). The 9-1-1 complex stimulates DNA polymerase beta (POLB) activity by increasing its affinity for the 3'-OH end of the primer-template and stabilizes POLB to those sites where LP-BER proceeds; endonuclease FEN1 cleavage activity on substrates with double, nick, or gap flaps of distinct sequences and lengths; and DNA ligase I (LIG1) on long-patch base excision repair substrates (PubMed : 15314187, PubMed : 15556996, PubMed : 15871698). The 9-1-1 complex is necessary for the recruitment of RHNO1 to sites of double-stranded breaks (DSB) occurring during the S phase (PubMed : 21659603).
See full target information RAD1

Product promise

We are committed to supporting your work with high-quality reagents, and we're here for you every step of the way. In the unlikely event that one of our products does not perform as expected, you're protected by our Product Promise.
For full details, please see our Terms & Conditions

Please note: All products are 'FOR RESEARCH USE ONLY. NOT FOR USE IN DIAGNOSTIC OR THERAPEUTIC PROCEDURES'.

For licensing inquiries, please contact partnerships@abcam.com