JavaScript is disabled in your browser. Please enable JavaScript to view this website.
AB76012

Anti-Rad17 (phospho S656) antibody [EPR3145]

Be the first to review this product! Submit a review

|

(2 Publications)

Rabbit Recombinant Monoclonal RAD17 phospho S656 antibody. Suitable for IHC-P, WB, ICC/IF and reacts with Human samples. Cited in 2 publications.

View Alternative Names

R24L, RAD17, Cell cycle checkpoint protein RAD17, hRad17, RF-C/activator 1 homolog

3 Images
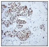
Immunohistochemistry (Formalin/PFA-fixed paraffin-embedded sections) - Anti-Rad17 (phospho S656) antibody [EPR3145] (AB76012)
  • IHC-P

Unknown

Immunohistochemistry (Formalin/PFA-fixed paraffin-embedded sections) - Anti-Rad17 (phospho S656) antibody [EPR3145] (AB76012)

ab76012 at 1/100-1/250 dilution staining Rad17 in human breast carcinoma by immunohistochemistry using paraffin-embedded tissue.

Perform heat mediated antigen retrieval before commencing with IHC staining protocol.

Immunocytochemistry/ Immunofluorescence - Anti-Rad17 (phospho S656) antibody [EPR3145] (AB76012)
  • ICC/IF

Unknown

Immunocytochemistry/ Immunofluorescence - Anti-Rad17 (phospho S656) antibody [EPR3145] (AB76012)

ab76012, at 1/100-1/250 dilution, staining Rad17 in HeLa cells by immunofluorescence.

Western blot - Anti-Rad17 (phospho S656) antibody [EPR3145] (AB76012)
  • WB

Unknown

Western blot - Anti-Rad17 (phospho S656) antibody [EPR3145] (AB76012)

All lanes:

Western blot - Anti-Rad17 (phospho S656) antibody [EPR3145] (ab76012) at 1/10000 dilution

Lane 1:

HeLa cell lysate, untreated at 10 µg

Lane 2:

HeLa cell lysate treated with Calyculin A at 10 µg

Secondary

All lanes:

Goat anti-rabbit HRP at 1/2000 dilution

Predicted band size: 77 kDa

Observed band size: 80 kDa

false

  • Carrier free

    Anti-Rad17 (phospho S656) antibody [EPR3145] - BSA and Azide free

Key facts

Host species

Rabbit

Clonality

Monoclonal

Clone number

EPR3145

Isotype

IgG

Carrier free

No

Reacts with

Human

Applications

WB, IHC-P, ICC/IF

applications

Immunogen

The exact immunogen used to generate this antibody is proprietary information.

Reactivity data

{ "title": "Reactivity Data", "filters": { "stats": ["", "Species", "Dilution Info", "Notes"], "tabs": { "all-applications": {"fullname" : "All Applications", "shortname": "All Applications"}, "IHCP" : {"fullname" : "Immunohistochemistry (Formalin/PFA-fixed paraffin-embedded sections)", "shortname":"IHC-P"}, "IP" : {"fullname" : "Immunoprecipitation", "shortname":"IP"}, "FlowCyt" : {"fullname" : "Flow Cytometry", "shortname":"Flow Cyt"}, "WB" : {"fullname" : "Western blot", "shortname":"WB"}, "ICCIF" : {"fullname" : "Immunocytochemistry/ Immunofluorescence", "shortname":"ICC/IF"} }, "product-promise": { "all": "all", "testedAndGuaranteed": "tested", "guaranteed": "expected", "predicted": "predicted", "notRecommended": "not-recommended" } }, "values": { "Human": { "IHCP-species-checked": "testedAndGuaranteed", "IHCP-species-dilution-info": "1/100 - 1/250", "IHCP-species-notes": "<p></p>", "IP-species-checked": "notRecommended", "IP-species-dilution-info": "", "IP-species-notes": "<p></p>", "FlowCyt-species-checked": "notRecommended", "FlowCyt-species-dilution-info": "", "FlowCyt-species-notes": "<p></p>", "WB-species-checked": "testedAndGuaranteed", "WB-species-dilution-info": "1/5000 - 1/10000", "WB-species-notes": "<p></p>", "ICCIF-species-checked": "testedAndGuaranteed", "ICCIF-species-dilution-info": "1/100 - 1/250", "ICCIF-species-notes": "<p></p>" } } }

Product details

Species reactivity
Mouse, Rat: We have preliminary internal testing data to indicate this antibody may not react with these species.
Please contact us for more information.

Patented technology
Our RabMAb® technology is a patented hybridoma-based technology for making rabbit monoclonal antibodies. For details on our patents, please refer to RabMAb® patents.

What are the advantages of a recombinant monoclonal antibody?
This product is a recombinant monoclonal antibody, which offers several advantages including:

  • - High batch-to-batch consistency and reproducibility
  • - Improved sensitivity and specificity
  • - Long-term security of supply
  • - Animal-free batch production

For more information, read more on recombinant antibodies.

Properties and storage information

Form
Liquid
Purification technique
Affinity purification Protein A
Storage buffer
pH: 7.2 - 7.4 Preservative: 0.05% Sodium azide Constituents: 50% Tissue culture supernatant, 40% Glycerol (glycerin, glycerine), 9.85% Tris glycine, 0.1% BSA
Shipped at conditions
Blue Ice
Appropriate short-term storage conditions
+4°C
Appropriate long-term storage conditions
-20°C
Aliquoting information
Upon delivery aliquot
Storage information
Avoid freeze / thaw cycle

Supplementary information

This supplementary information is collated from multiple sources and compiled automatically.

Rad17 also known as CCYC1 is a protein involved in DNA damage checkpoint control. It has an approximate molecular weight of 75 kDa. Rad17 is expressed in various tissues with higher levels in proliferating cells such as cancerous tissues. It functions as a part of the replication factor C (RFC) complex delivering its essential role during the DNA replication and damage response.
Biological function summary

Rad17 plays an important role in maintaining genome stability by activating cell cycle checkpoints. It belongs to the RFC-like complex which identifies DNA damage and initiates the DNA repair process. The complex binds to chromatin and helps recruit the 9-1-1 complex (Rad9-Rad1-Hus1) to sites of DNA damage. This action is important for the cell to halt the cell cycle and commence repair preventing mutations from being passed on during cell division.

Pathways

Rad17 functions in the DNA damage response pathway and is involved in the ATR-Chk1 pathway. Rad17 recruits ATR (ataxia-telangiectasia and Rad3-related protein) to stalled replication forks facilitating the phosphorylation and activation of Chk1 a checkpoint kinase. This signal allows cells to pause the replication process and repair DNA before continuing the cell cycle. Rad17 is closely related to proteins such as ATR and Chk1 through these pathways as they work together to maintain cellular integrity.

Rad17 has links to cancer and genomic instability syndromes. Mutations or malfunctions in Rad17 can disrupt normal checkpoint control and repair mechanisms leading to uncontrolled cell proliferation and tumor development. In cancer Rad17 interacts with proteins such as BRCA1 in pathways that emphasize DNA repair and checkpoint activation. BRCA1 and Rad17 coordinate to preserve genomic stability and disruptions in these proteins' functions can contribute to the onset of certain breast and ovarian cancers.

Product protocols

For this product, it's our understanding that no specific protocols are required. You can visit:

Target data

Essential for sustained cell growth, maintenance of chromosomal stability, and ATR-dependent checkpoint activation upon DNA damage (PubMed : 10208430, PubMed : 11418864, PubMed : 11687627, PubMed : 11799063, PubMed : 12672690, PubMed : 14624239, PubMed : 15235112). Has a weak ATPase activity required for binding to chromatin (PubMed : 10208430, PubMed : 11418864, PubMed : 11687627, PubMed : 11799063, PubMed : 12672690, PubMed : 14624239, PubMed : 15235112). Participates in the recruitment of the 9-1-1 (RAD1-RAD9-HUS1) complex and RHNO1 onto chromatin, and in CHEK1 activation (PubMed : 21659603). Involved in homologous recombination by mediating recruitment of the MRN complex to DNA damage sites (PubMed : 24534091). May also serve as a sensor of DNA replication progression (PubMed : 12578958, PubMed : 14500819, PubMed : 15538388).
See full target information RAD17 phospho S656

Publications (2)

Recent publications for all applications. Explore the full list and refine your search

Cancer & metabolism 13:41 PubMed41068982

2025

The integration of single-cell and metabolomics reveals the increase of oxidative phosphorylation during the liver metastasis of colorectal cancer.

Applications

Unspecified application

Species

Unspecified reactive species

Tianyu Liu,Sizheng Sun,Yicheng Huang,Yiming E,Wenyuan Li,Fanggui Xu,Zhengxia Liu,Xiagang Luo,Chen Lu,Chunzhao Yu

JCI insight 9: PubMed38478516

2024

A distinct tumor microenvironment makes anaplastic thyroid cancer more lethal but immunotherapy sensitive than papillary thyroid cancer.

Applications

Unspecified application

Species

Unspecified reactive species

Pei-Zhen Han,Wei-Dong Ye,Peng-Cheng Yu,Li-Cheng Tan,Xiao Shi,Xu-Feng Chen,Cong He,Jia-Qian Hu,Wen-Jun Wei,Zhong-Wu Lu,Ning Qu,Yu Wang,Qing-Hai Ji,Dong-Mei Ji,Yu-Long Wang
View all publications

Product promise

We are committed to supporting your work with high-quality reagents, and we're here for you every step of the way. In the unlikely event that one of our products does not perform as expected, you're protected by our Product Promise.
For full details, please see our Terms & Conditions

Please note: All products are 'FOR RESEARCH USE ONLY. NOT FOR USE IN DIAGNOSTIC OR THERAPEUTIC PROCEDURES'.

For licensing inquiries, please contact partnerships@abcam.com