JavaScript is disabled in your browser. Please enable JavaScript to view this website.
AB236460

Anti-Rad50 antibody [EPR20968] - BSA and Azide free

Be the first to review this product! Submit a review

|

(1 Publication)

Rabbit Recombinant Monoclonal RAD50 antibody. Carrier free. Suitable for ChIP, WB, IHC-P and reacts with Human, Mouse, Rat samples. Cited in 1 publication.

View Alternative Names

DNA repair protein RAD50, hRAD50, RAD50

5 Images
Immunohistochemistry (Formalin/PFA-fixed paraffin-embedded sections) - Anti-Rad50 antibody [EPR20968] - BSA and Azide free (AB236460)
  • IHC-P

Unknown

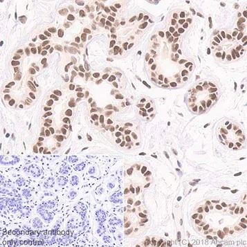
Immunohistochemistry (Formalin/PFA-fixed paraffin-embedded sections) - Anti-Rad50 antibody [EPR20968] - BSA and Azide free (AB236460)

Immunohistochemical analysis of paraffin-embedded human breast carcinoma tissue labeling Rad50 with ab208019 at 1/4000 dilution, followed by a ready to use Goat Anti-Rabbit IgG H&L (HRP). Nuclear staining in human breast carcinoma (PMID : 24642965) is observed. Counter stained with Hematoxylin.

Secondary antibody only control : Used PBS instead of primary antibody, secondary antibody is a ready to use Goat Anti-Rabbit IgG H&L (HRP).

Perform heat-mediated antigen retrieval using ab93684 (Tris/EDTA buffer, pH 9.0).

This data was developed using the same antibody clone in a different buffer formulation containing PBS, BSA, glycerol, and sodium azide (ab208019).

Immunohistochemistry (Formalin/PFA-fixed paraffin-embedded sections) - Anti-Rad50 antibody [EPR20968] - BSA and Azide free (AB236460)
  • IHC-P

Supplier Data

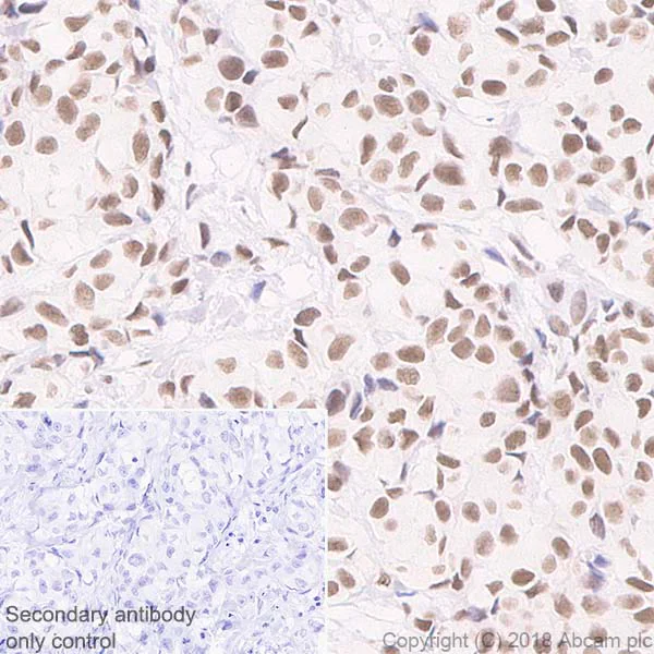
Immunohistochemistry (Formalin/PFA-fixed paraffin-embedded sections) - Anti-Rad50 antibody [EPR20968] - BSA and Azide free (AB236460)

Immunohistochemical analysis of paraffin-embedded human breast tissue labeling Rad50 with ab208019 at 1/4000 dilution, followed by a ready to use Goat Anti-Rabbit IgG H&L (HRP). Nuclear staining in human breast tissue (PMID : 15509680) is observed. Counter stained with Hematoxylin.

Secondary antibody only control : Used PBS instead of primary antibody, secondary antibody is a ready to use Goat Anti-Rabbit IgG H&L (HRP).

Perform heat-mediated antigen retrieval using ab93684 (Tris/EDTA buffer, pH 9.0).

This data was developed using the same antibody clone in a different buffer formulation containing PBS, BSA, glycerol, and sodium azide (ab208019).

ChIP - Anti-Rad50 antibody [EPR20968] - BSA and Azide free (AB236460)
  • ChIP

Supplier Data

ChIP - Anti-Rad50 antibody [EPR20968] - BSA and Azide free (AB236460)

Chromatin was prepared from HeLa (human epithelial cell line from cervix adenocarcinoma) cells treated with 1% methymethanesulfonate (MMS) according to the Abcam X-ChIP protocol. Cells were fixed with formaldehyde for 10min. The ChIP was performed with 25 µg of chromatin, 2 µg of ab208019 (red), and 20 µl of Protein A/G sepharose beads. 2μg of rabbit normal IgG was added to the beads control (gray). The immunoprecipitated DNA was quantified by real time PCR (SYBR green approach). rDNA primers used are located in the region of ribosomal gene loci following the publication PMID : 21029860(rDNA 1 : rDNA 13017F/13068R ; rDNA 2 : rDNA 1125F/1201R ; rDNA 3 : rDNA 30409F/30566R).

This data was developed using the same antibody clone in a different buffer formulation containing PBS, BSA, glycerol, and sodium azide (ab208019).

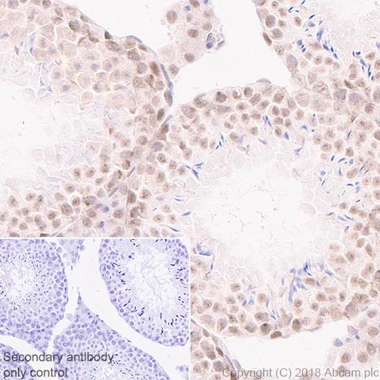
Immunohistochemistry (Formalin/PFA-fixed paraffin-embedded sections) - Anti-Rad50 antibody [EPR20968] - BSA and Azide free (AB236460)
  • IHC-P

Unknown

Immunohistochemistry (Formalin/PFA-fixed paraffin-embedded sections) - Anti-Rad50 antibody [EPR20968] - BSA and Azide free (AB236460)

Immunohistochemical analysis of paraffin-embedded mouse testis tissue labeling Rad50 with ab208019 at 1/4000 dilution, followed by a ready to use Goat Anti-Rabbit IgG H&L (HRP). Nuclear staining in mouse testis (PMID : 10908350) is observed. Counter stained with Hematoxylin.

Secondary antibody only control : Used PBS instead of primary antibody, secondary antibody is a ready to use Goat Anti-Rabbit IgG H&L (HRP).

Perform heat-mediated antigen retrieval using ab93684 (Tris/EDTA buffer, pH 9.0).

This data was developed using the same antibody clone in a different buffer formulation containing PBS, BSA, glycerol, and sodium azide (ab208019).

Immunohistochemistry (Formalin/PFA-fixed paraffin-embedded sections) - Anti-Rad50 antibody [EPR20968] - BSA and Azide free (AB236460)
  • IHC-P

Unknown

Immunohistochemistry (Formalin/PFA-fixed paraffin-embedded sections) - Anti-Rad50 antibody [EPR20968] - BSA and Azide free (AB236460)

Immunohistochemical analysis of paraffin-embedded rat testis tissue labeling Rad50 with ab208019 at 1/4000 dilution, followed by a ready to use Goat Anti-Rabbit IgG H&L (HRP). Nuclear staining in rat testis is observed. Counter stained with Hematoxylin.

Secondary antibody only control : Used PBS instead of primary antibody, secondary antibody is a ready to use Goat Anti-Rabbit IgG H&L (HRP).

Perform heat-mediated antigen retrieval using ab93684 (Tris/EDTA buffer, pH 9.0).

This data was developed using the same antibody clone in a different buffer formulation containing PBS, BSA, glycerol, and sodium azide (ab208019).

Key facts

Host species

Rabbit

Clonality

Monoclonal

Clone number

EPR20968

Isotype

IgG

Carrier free

Yes

Reacts with

Mouse, Rat, Human

Applications

WB, IHC-P, ChIP

applications

Immunogen

The exact immunogen used to generate this antibody is proprietary information.

Reactivity data

{ "title": "Reactivity Data", "filters": { "stats": ["", "Species", "Dilution Info", "Notes"], "tabs": { "all-applications": {"fullname" : "All Applications", "shortname": "All Applications"}, "ChIP" : {"fullname" : "ChIP", "shortname":"ChIP"}, "WB" : {"fullname" : "Western blot", "shortname":"WB"}, "IHCP" : {"fullname" : "Immunohistochemistry (Formalin/PFA-fixed paraffin-embedded sections)", "shortname":"IHC-P"} }, "product-promise": { "all": "all", "testedAndGuaranteed": "tested", "guaranteed": "expected", "predicted": "predicted", "notRecommended": "not-recommended" } }, "values": { "Human": { "ChIP-species-checked": "testedAndGuaranteed", "ChIP-species-dilution-info": "", "ChIP-species-notes": "<p></p>", "WB-species-checked": "guaranteed", "WB-species-dilution-info": "", "WB-species-notes": "<p></p>", "IHCP-species-checked": "guaranteed", "IHCP-species-dilution-info": "", "IHCP-species-notes": "" }, "Mouse": { "ChIP-species-checked": "guaranteed", "ChIP-species-dilution-info": "", "ChIP-species-notes": "", "WB-species-checked": "guaranteed", "WB-species-dilution-info": "", "WB-species-notes": "<p></p>", "IHCP-species-checked": "testedAndGuaranteed", "IHCP-species-dilution-info": "", "IHCP-species-notes": "<p></p>" }, "Rat": { "ChIP-species-checked": "predicted", "ChIP-species-dilution-info": "", "ChIP-species-notes": "", "WB-species-checked": "guaranteed", "WB-species-dilution-info": "", "WB-species-notes": "<p></p>", "IHCP-species-checked": "predicted", "IHCP-species-dilution-info": "", "IHCP-species-notes": "" } } }

Product details

ab236460 is the carrier-free version of ab208019.

Patented technology
Our RabMAb® technology is a patented hybridoma-based technology for making rabbit monoclonal antibodies. For details on our patents, please refer to RabMAb® patents.

What are the advantages of a recombinant monoclonal antibody?
This product is a recombinant monoclonal antibody, which offers several advantages including:

  • - High batch-to-batch consistency and reproducibility
  • - Improved sensitivity and specificity
  • - Long-term security of supply
  • - Animal-free batch production

For more information, read more on recombinant antibodies.

Conjugation ready
Our carrier-free antibodies are typically supplied in a PBS-only formulation, purified and free of BSA, sodium azide and glycerol. This conjugation-ready format is designed for use with fluorochromes, metal isotopes, oligonucleotides, and enzymes, which makes them ideal for antibody labelling, functional and cell-based assays, flow-based assays (e.g. mass cytometry) and Multiplex Imaging applications.

Use our conjugation kits for antibody conjugates that are ready-to-use in as little as 20 minutes with 1 minute hands-on-time and 100% antibody recovery: available for fluorescent dyes, HRP, biotin and gold.

Compatibility
This product is compatible with the Maxpar® Antibody Labeling Kit from Fluidigm, without the need for antibody preparation. Maxpar® is a trademark of Fluidigm Canada Inc.

Properties and storage information

Form
Liquid
Purification technique
Affinity purification Protein A
Storage buffer
pH: 7.2 - 7.4 Constituents: PBS
Shipped at conditions
Blue Ice
Appropriate short-term storage conditions
+4°C
Appropriate long-term storage conditions
+4°C
Storage information
Do Not Freeze

Supplementary information

This supplementary information is collated from multiple sources and compiled automatically.

Rad50 is an important component of the MRN complex with its partners MRE11 and NBS1. This protein plays an important role in DNA double-strand break repair and telomere maintenance. Rad50 also known by its molecular weight of approximately 153 kDa possesses ATPase activity that facilitates the bridging of DNA ends during repair processes. It is expressed in a variety of tissues with higher levels observed in rapidly dividing cells such as those found in testes and lymphoid organs.
Biological function summary

Rad50 contributes to genomic stability by participating in non-homologous end joining (NHEJ) and homologous recombination (HR) both of which are DNA repair mechanisms. It is part of the MRN complex a multi-protein assembly that detects DNA breaks and aids in processing and signaling them for repair. This complex acts at the early stages of DNA damage response assisting in the recruitment of other repair enzymes and proteins to the site of DNA lesions.

Pathways

Rad50 is integral to DNA damage response signaling and repair pathways like Ataxia Telangiectasia Mutated (ATM) signaling. The MRN complex activates ATM a kinase that phosphorylates key substrates involved in controlling cell cycle checkpoints and promoting repair of damaged DNA. This relationship positions Rad50 and its complex members as significant participants in maintaining cellular integrity by preventing the accumulation of genetic mutations.

Rad50 mutations have links to cancer development due to their effect on genomic instability. Deficiencies in Rad50 or the MRN complex can impair DNA repair leading to an increased risk for neoplastic transformations. Additionally Rad50 interactions with proteins such as p53 a tumor suppressor underline its potential role in the mechanisms behind cancers like breast and ovarian cancer. These connections highlight the importance of Rad50 in understanding disease progression and developing therapeutic strategies.

Product protocols

For this product, it's our understanding that no specific protocols are required. You can visit:

Target data

Component of the MRN complex, which plays a central role in double-strand break (DSB) repair, DNA recombination, maintenance of telomere integrity and meiosis (PubMed : 15064416, PubMed : 21757780, PubMed : 27889449, PubMed : 28134932, PubMed : 28867292, PubMed : 9590181, PubMed : 9651580, PubMed : 9705271). The MRN complex is involved in the repair of DNA double-strand breaks (DSBs) via homologous recombination (HR), an error-free mechanism which primarily occurs during S and G2 phases (PubMed : 15064416, PubMed : 21757780, PubMed : 27889449, PubMed : 28867292, PubMed : 9590181, PubMed : 9651580, PubMed : 9705271). The complex (1) mediates the end resection of damaged DNA, which generates proper single-stranded DNA, a key initial steps in HR, and is (2) required for the recruitment of other repair factors and efficient activation of ATM and ATR upon DNA damage (PubMed : 15064416, PubMed : 27889449, PubMed : 28867292, PubMed : 9590181, PubMed : 9651580, PubMed : 9705271). The MRN complex possesses single-strand endonuclease activity and double-strand-specific 3'-5' exonuclease activity, which are provided by MRE11, to initiate end resection, which is required for single-strand invasion and recombination (PubMed : 11741547, PubMed : 9590181, PubMed : 9651580, PubMed : 9705271). Within the complex, RAD50 is both required to bind DNA ends and hold them in close proximity and regulate the activity of MRE11 (PubMed : 11741547, PubMed : 12805565, PubMed : 28134932). RAD50 provides an ATP-dependent control of MRE11 by positioning DNA ends into the MRE11 active site : ATP-binding induces a large structural change from an open form with accessible MRE11 nuclease sites into a closed form (By similarity). The MRN complex is also required for DNA damage signaling via activation of the ATM and ATR kinases : the nuclease activity of MRE11 is not required to activate ATM and ATR (PubMed : 15064416, PubMed : 15790808, PubMed : 16622404). The MRN complex is also required for the processing of R-loops (PubMed : 31537797). In telomeres the MRN complex may modulate t-loop formation (PubMed : 10888888).
See full target information RAD50

Publications (1)

Recent publications for all applications. Explore the full list and refine your search

Acta neuropathologica communications 11:181 PubMed37964332

2023

Tau seed amplification assay reveals relationship between seeding and pathological forms of tau in Alzheimer's disease brain.

Applications

Unspecified application

Species

Unspecified reactive species

Bryan Frey,David Holzinger,Keenan Taylor,Dagmar E Ehrnhoefer,Andreas Striebinger,Sandra Biesinger,Laura Gasparini,Michael J O'Neill,Florian Wegner,Stefan Barghorn,Günter U Höglinger,Roland G Heym
View all publications

Product promise

We are committed to supporting your work with high-quality reagents, and we're here for you every step of the way. In the unlikely event that one of our products does not perform as expected, you're protected by our Product Promise.
For full details, please see our Terms & Conditions

Please note: All products are 'FOR RESEARCH USE ONLY. NOT FOR USE IN DIAGNOSTIC OR THERAPEUTIC PROCEDURES'.

For licensing inquiries, please contact partnerships@abcam.com