JavaScript is disabled in your browser. Please enable JavaScript to view this website.
AB208019

Anti-Rad50 antibody [EPR20968] - ChIP Grade

Be the first to review this product! Submit a review

|

(3 Publications)

Rabbit Recombinant Monoclonal RAD50 antibody. Suitable for ChIP, WB, IHC-P and reacts with Human, Mouse, Rat samples. Cited in 3 publications.

View Alternative Names

DNA repair protein RAD50, hRAD50, RAD50

8 Images
Immunohistochemistry (Formalin/PFA-fixed paraffin-embedded sections) - Anti-Rad50 antibody [EPR20968] - ChIP Grade (AB208019)
  • IHC-P

Unknown

Immunohistochemistry (Formalin/PFA-fixed paraffin-embedded sections) - Anti-Rad50 antibody [EPR20968] - ChIP Grade (AB208019)

Immunohistochemical analysis of paraffin-embedded human breast tissue labeling Rad50 with ab208019 at 1/4000 dilution, followed by a ready to use Goat Anti-Rabbit IgG H&L (HRP). Nuclear staining in human breast tissue (PMID : 15509680) is observed. Counter stained with Hematoxylin.

Secondary antibody only control : Used PBS instead of primary antibody, secondary antibody is a ready to use Goat Anti-Rabbit IgG H&L (HRP).

Perform heat-mediated antigen retrieval using ab93684 (Tris/EDTA buffer, pH 9.0).

Immunohistochemistry (Formalin/PFA-fixed paraffin-embedded sections) - Anti-Rad50 antibody [EPR20968] - ChIP Grade (AB208019)
  • IHC-P

Unknown

Immunohistochemistry (Formalin/PFA-fixed paraffin-embedded sections) - Anti-Rad50 antibody [EPR20968] - ChIP Grade (AB208019)

Immunohistochemical analysis of paraffin-embedded human breast carcinoma tissue labeling Rad50 with ab208019 at 1/4000 dilution, followed by a ready to use Goat Anti-Rabbit IgG H&L (HRP). Nuclear staining in human breast carcinoma (PMID : 24642965) is observed. Counter stained with Hematoxylin.

Secondary antibody only control : Used PBS instead of primary antibody, secondary antibody is a ready to use Goat Anti-Rabbit IgG H&L (HRP).

Perform heat-mediated antigen retrieval using ab93684 (Tris/EDTA buffer, pH 9.0).

ChIP - Anti-Rad50 antibody [EPR20968] - ChIP Grade (AB208019)
  • ChIP

Supplier Data

ChIP - Anti-Rad50 antibody [EPR20968] - ChIP Grade (AB208019)

Chromatin was prepared from HeLa (human epithelial cell line from cervix adenocarcinoma) cells treated with 1% methymethanesulfonate (MMS) according to the Abcam X-ChIP protocol. Cells were fixed with formaldehyde for 10min. The ChIP was performed with 25 μg of chromatin, 2 μg of ab208019 (red), and 20 μl of Protein A/G sepharose beads. 2μg of rabbit normal IgG was added to the beads control (gray). The immunoprecipitated DNA was quantified by real time PCR (SYBR green approach). rDNA primers used are located in the region of ribosomal gene loci following the publication PMID : 21029860(rDNA 1 : rDNA 13017F/13068R ; rDNA 2 : rDNA 1125F/1201R ; rDNA 3 : rDNA 30409F/30566R).

Immunohistochemistry (Formalin/PFA-fixed paraffin-embedded sections) - Anti-Rad50 antibody [EPR20968] - ChIP Grade (AB208019)
  • IHC-P

Unknown

Immunohistochemistry (Formalin/PFA-fixed paraffin-embedded sections) - Anti-Rad50 antibody [EPR20968] - ChIP Grade (AB208019)

Immunohistochemical analysis of paraffin-embedded rat testis tissue labeling Rad50 with ab208019 at 1/4000 dilution, followed by a ready to use Goat Anti-Rabbit IgG H&L (HRP). Nuclear staining in rat testis is observed. Counter stained with Hematoxylin.

Secondary antibody only control : Used PBS instead of primary antibody, secondary antibody is a ready to use Goat Anti-Rabbit IgG H&L (HRP).

Perform heat-mediated antigen retrieval using ab93684 (Tris/EDTA buffer, pH 9.0).

Immunohistochemistry (Formalin/PFA-fixed paraffin-embedded sections) - Anti-Rad50 antibody [EPR20968] - ChIP Grade (AB208019)
  • IHC-P

Unknown

Immunohistochemistry (Formalin/PFA-fixed paraffin-embedded sections) - Anti-Rad50 antibody [EPR20968] - ChIP Grade (AB208019)

Immunohistochemical analysis of paraffin-embedded mouse testis tissue labeling Rad50 with ab208019 at 1/4000 dilution, followed by a ready to use Goat Anti-Rabbit IgG H&L (HRP). Nuclear staining in mouse testis (PMID : 10908350) is observed. Counter stained with Hematoxylin.

Secondary antibody only control : Used PBS instead of primary antibody, secondary antibody is a ready to use Goat Anti-Rabbit IgG H&L (HRP).

Perform heat-mediated antigen retrieval using ab93684 (Tris/EDTA buffer, pH 9.0).

Western blot - Anti-Rad50 antibody [EPR20968] - ChIP Grade (AB208019)
  • WB

Unknown

Western blot - Anti-Rad50 antibody [EPR20968] - ChIP Grade (AB208019)

Blocking/Diluting buffer and concentration : 5% NFDM/TBST.

Exposure time : Lanes 1-4 : 8 seconds; Lanes 5-6 : 24 seconds.

The expression profile observed is consistent with what has been described in the literature (PMID : 26068589).

All lanes:

Western blot - Anti-Rad50 antibody [EPR20968] - ChIP Grade (ab208019) at 1/1000 dilution

Lane 1:

K562 (human chronic myelogenous leukemia cell line from bone marrow) whole cell lysate at 20 µg

Lane 2:

HeLa (human epithelial cell line from cervix adenocarcinoma) whole cell lysate at 20 µg

Lane 3:

HEK-293T (human epithelial cell line from embryonic kidney transformed with large T antigen) whole cell lysate at 20 µg

Lane 4:

HT-29 (human colorectal adenocarcinoma cell line) whole cell lysate at 20 µg

Lane 5:

NIH/3T3 (Mouse embryo fibroblast cell line) whole cell lysate at 20 µg

Lane 6:

ES-D3 (mouse embryonic multipotent stem Cell) whole cell lysate at 20 µg

Secondary

All lanes:

Western blot - Goat Anti-Rabbit IgG H&L (HRP) (<a href='/en-us/products/secondary-antibodies/goat-rabbit-igg-h-l-hrp-ab97051'>ab97051</a>) at 1/100000 dilution

Predicted band size: 153 kDa

false

Western blot - Anti-Rad50 antibody [EPR20968] - ChIP Grade (AB208019)
  • WB

Unknown

Western blot - Anti-Rad50 antibody [EPR20968] - ChIP Grade (AB208019)

Blocking/Diluting buffer and concentration : 5% NFDM/TBST.

Exposure time : Line 1 : 3 minutes; Line 2 : 41 seconds.

All lanes:

Western blot - Anti-Rad50 antibody [EPR20968] - ChIP Grade (ab208019) at 1/1000 dilution

Lane 1:

Human fetal brain lysate at 10 µg

Lane 2:

Human fetal kidney lysate at 10 µg

Secondary

All lanes:

Western blot - VeriBlot for IP Detection Reagent (HRP) (<a href='/en-us/products/reagents/veriblot-for-ip-detection-reagent-hrp-ab131366'>ab131366</a>) at 1/4000 dilution

Predicted band size: 153 kDa

false

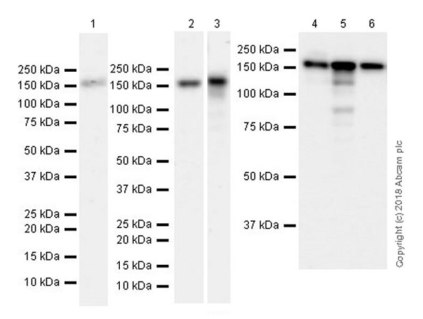
Western blot - Anti-Rad50 antibody [EPR20968] - ChIP Grade (AB208019)
  • WB

Unknown

Western blot - Anti-Rad50 antibody [EPR20968] - ChIP Grade (AB208019)

Blocking/Diluting buffer and concentration : 5% NFDM/TBST.

Exposure time : Lanes 1-3 : 3 minutes; Lanes 4-6 : 41 seconds.

The expression profile observed is consistent with what has been described in the literature (PMID : 26068589).

All lanes:

Western blot - Anti-Rad50 antibody [EPR20968] - ChIP Grade (ab208019) at 1/1000 dilution

Lane 1:

Mouse kidney lysate at 10 µg

Lane 2:

Rat brain lysate at 10 µg

Lane 3:

Rat spleen lysate at 10 µg

Lane 4:

C6 (rat glial tumor cell line) whole cell lysate at 20 µg

Lane 5:

RAW 364.7 (mouse macrophage cell line transformed with Abelson murine leukemia virus) whole cell lysate at 20 µg

Lane 6:

PC-12 (rat adrenal gland pheochromocytoma cell line) whole cell lysate at 20 µg

Secondary

All lanes:

Western blot - Goat Anti-Rabbit IgG H&L (HRP) (<a href='/en-us/products/secondary-antibodies/goat-rabbit-igg-h-l-hrp-ab97051'>ab97051</a>) at 1/100000 dilution

Predicted band size: 153 kDa

Observed band size: 154 kDa

false

  • Carrier free

    Anti-Rad50 antibody [EPR20968] - BSA and Azide free

Key facts

Host species

Rabbit

Clonality

Monoclonal

Clone number

EPR20968

Isotype

IgG

Carrier free

No

Reacts with

Mouse, Rat, Human

Applications

ChIP, IHC-P, WB

applications

Immunogen

The exact immunogen used to generate this antibody is proprietary information.

Reactivity data

{ "title": "Reactivity Data", "filters": { "stats": ["", "Species", "Dilution Info", "Notes"], "tabs": { "all-applications": {"fullname" : "All Applications", "shortname": "All Applications"}, "ChIP" : {"fullname" : "ChIP", "shortname":"ChIP"}, "WB" : {"fullname" : "Western blot", "shortname":"WB"}, "IHCP" : {"fullname" : "Immunohistochemistry (Formalin/PFA-fixed paraffin-embedded sections)", "shortname":"IHC-P"} }, "product-promise": { "all": "all", "testedAndGuaranteed": "tested", "guaranteed": "expected", "predicted": "predicted", "notRecommended": "not-recommended" } }, "values": { "Human": { "ChIP-species-checked": "testedAndGuaranteed", "ChIP-species-dilution-info": "2 µg for 25 µg chromatin", "ChIP-species-notes": "<p></p>", "WB-species-checked": "testedAndGuaranteed", "WB-species-dilution-info": "1/1000", "WB-species-notes": "<p></p>", "IHCP-species-checked": "testedAndGuaranteed", "IHCP-species-dilution-info": "1/4000", "IHCP-species-notes": "<p></p>" }, "Mouse": { "ChIP-species-checked": "guaranteed", "ChIP-species-dilution-info": "", "ChIP-species-notes": "", "WB-species-checked": "testedAndGuaranteed", "WB-species-dilution-info": "1/1000", "WB-species-notes": "<p></p>", "IHCP-species-checked": "testedAndGuaranteed", "IHCP-species-dilution-info": "1/4000", "IHCP-species-notes": "<p></p>" }, "Rat": { "ChIP-species-checked": "guaranteed", "ChIP-species-dilution-info": "", "ChIP-species-notes": "", "WB-species-checked": "testedAndGuaranteed", "WB-species-dilution-info": "1/1000", "WB-species-notes": "<p></p>", "IHCP-species-checked": "testedAndGuaranteed", "IHCP-species-dilution-info": "1/4000", "IHCP-species-notes": "<p></p>" } } }

Product details

Patented technology
Our RabMAb® technology is a patented hybridoma-based technology for making rabbit monoclonal antibodies. For details on our patents, please refer to RabMAb® patents.

What are the advantages of a recombinant monoclonal antibody?
This product is a recombinant monoclonal antibody, which offers several advantages including:

  • - High batch-to-batch consistency and reproducibility
  • - Improved sensitivity and specificity
  • - Long-term security of supply
  • - Animal-free batch production

For more information, read more on recombinant antibodies.

Properties and storage information

Form
Liquid
Purification technique
Affinity purification Protein A
Storage buffer
pH: 7.2 - 7.4 Preservative: 0.01% Sodium azide Constituents: PBS, 40% Glycerol (glycerin, glycerine), 0.05% BSA
Shipped at conditions
Blue Ice
Appropriate short-term storage duration
1-2 weeks
Appropriate short-term storage conditions
+4°C
Appropriate long-term storage conditions
-20°C
Aliquoting information
Upon delivery aliquot
Storage information
Avoid freeze / thaw cycle

Supplementary information

This supplementary information is collated from multiple sources and compiled automatically.

Rad50 is an important component of the MRN complex with its partners MRE11 and NBS1. This protein plays an important role in DNA double-strand break repair and telomere maintenance. Rad50 also known by its molecular weight of approximately 153 kDa possesses ATPase activity that facilitates the bridging of DNA ends during repair processes. It is expressed in a variety of tissues with higher levels observed in rapidly dividing cells such as those found in testes and lymphoid organs.
Biological function summary

Rad50 contributes to genomic stability by participating in non-homologous end joining (NHEJ) and homologous recombination (HR) both of which are DNA repair mechanisms. It is part of the MRN complex a multi-protein assembly that detects DNA breaks and aids in processing and signaling them for repair. This complex acts at the early stages of DNA damage response assisting in the recruitment of other repair enzymes and proteins to the site of DNA lesions.

Pathways

Rad50 is integral to DNA damage response signaling and repair pathways like Ataxia Telangiectasia Mutated (ATM) signaling. The MRN complex activates ATM a kinase that phosphorylates key substrates involved in controlling cell cycle checkpoints and promoting repair of damaged DNA. This relationship positions Rad50 and its complex members as significant participants in maintaining cellular integrity by preventing the accumulation of genetic mutations.

Rad50 mutations have links to cancer development due to their effect on genomic instability. Deficiencies in Rad50 or the MRN complex can impair DNA repair leading to an increased risk for neoplastic transformations. Additionally Rad50 interactions with proteins such as p53 a tumor suppressor underline its potential role in the mechanisms behind cancers like breast and ovarian cancer. These connections highlight the importance of Rad50 in understanding disease progression and developing therapeutic strategies.

Product protocols

For this product, it's our understanding that no specific protocols are required. You can visit:

Target data

Component of the MRN complex, which plays a central role in double-strand break (DSB) repair, DNA recombination, maintenance of telomere integrity and meiosis (PubMed : 15064416, PubMed : 21757780, PubMed : 27889449, PubMed : 28134932, PubMed : 28867292, PubMed : 9590181, PubMed : 9651580, PubMed : 9705271). The MRN complex is involved in the repair of DNA double-strand breaks (DSBs) via homologous recombination (HR), an error-free mechanism which primarily occurs during S and G2 phases (PubMed : 15064416, PubMed : 21757780, PubMed : 27889449, PubMed : 28867292, PubMed : 9590181, PubMed : 9651580, PubMed : 9705271). The complex (1) mediates the end resection of damaged DNA, which generates proper single-stranded DNA, a key initial steps in HR, and is (2) required for the recruitment of other repair factors and efficient activation of ATM and ATR upon DNA damage (PubMed : 15064416, PubMed : 27889449, PubMed : 28867292, PubMed : 9590181, PubMed : 9651580, PubMed : 9705271). The MRN complex possesses single-strand endonuclease activity and double-strand-specific 3'-5' exonuclease activity, which are provided by MRE11, to initiate end resection, which is required for single-strand invasion and recombination (PubMed : 11741547, PubMed : 9590181, PubMed : 9651580, PubMed : 9705271). Within the complex, RAD50 is both required to bind DNA ends and hold them in close proximity and regulate the activity of MRE11 (PubMed : 11741547, PubMed : 12805565, PubMed : 28134932). RAD50 provides an ATP-dependent control of MRE11 by positioning DNA ends into the MRE11 active site : ATP-binding induces a large structural change from an open form with accessible MRE11 nuclease sites into a closed form (By similarity). The MRN complex is also required for DNA damage signaling via activation of the ATM and ATR kinases : the nuclease activity of MRE11 is not required to activate ATM and ATR (PubMed : 15064416, PubMed : 15790808, PubMed : 16622404). The MRN complex is also required for the processing of R-loops (PubMed : 31537797). In telomeres the MRN complex may modulate t-loop formation (PubMed : 10888888).
See full target information RAD50

Publications (3)

Recent publications for all applications. Explore the full list and refine your search

Nature communications 15:1446 PubMed38365788

2024

PAF1c links S-phase progression to immune evasion and MYC function in pancreatic carcinoma.

Applications

Unspecified application

Species

Unspecified reactive species

Abdallah Gaballa,Anneli Gebhardt-Wolf,Bastian Krenz,Greta Mattavelli,Mara John,Giacomo Cossa,Silvia Andreani,Christina Schülein-Völk,Francisco Montesinos,Raphael Vidal,Carolin Kastner,Carsten P Ade,Burkhard Kneitz,Georg Gasteiger,Peter Gallant,Mathias Rosenfeldt,Angela Riedel,Martin Eilers

Phenomics (Cham, Switzerland) 2:404-418 PubMed36939777

2022

Large-Scale Proteomics Data Reveal Integrated Prognosis-Related Protein Signatures and Role of SMAD4 and RAD50 in Prognosis and Immune Infiltrations of Prostate Cancer Microenvironment.

Applications

Unspecified application

Species

Unspecified reactive species

Aihetaimujiang Anwaier,Shu-Xuan Zhu,Xi Tian,Wen-Hao Xu,Yue Wang,Maierdan Palihati,Wei-Yue Wang,Guo-Hai Shi,Yuan-Yuan Qu,Hai-Liang Zhang,Ding-Wei Ye

Cancer management and research 12:5749-5758 PubMed32765078

2020

miR-331-3p Inhibits Tumor Cell Proliferation, Metastasis, Invasion by Targeting MLLT10 in Non-Small Cell Lung Cancer.

Applications

Unspecified application

Species

Unspecified reactive species

Qing-Qing Tian,Jing Xia,Xin Zhang,Bao-Qin Gao,Wei Wang
View all publications

Product promise

We are committed to supporting your work with high-quality reagents, and we're here for you every step of the way. In the unlikely event that one of our products does not perform as expected, you're protected by our Product Promise.
For full details, please see our Terms & Conditions

Please note: All products are 'FOR RESEARCH USE ONLY. NOT FOR USE IN DIAGNOSTIC OR THERAPEUTIC PROCEDURES'.

For licensing inquiries, please contact partnerships@abcam.com