JavaScript is disabled in your browser. Please enable JavaScript to view this website.
AB133534

Anti-Rad51 antibody [EPR4030(3)]

4

(15 Reviews)

|

(260 Publications)

Anti-Rad51 antibody [EPR4030(3)] (ab133534) is a rabbit monoclonal antibody detecting Rad51 in Western Blot, Flow Cytometry (Intra), Flow Cytometry, IP, IHC-P, ICC/IF. Suitable for Human, Mouse, Rat.

- Biophysical QC for unrivalled batch-batch consistency
- Over 150 publications

View Alternative Names

RAD51A, RECA, RAD51, DNA repair protein RAD51 homolog 1, HsRAD51, hRAD51, RAD51 homolog A

16 Images
Immunohistochemistry (Formalin/PFA-fixed paraffin-embedded sections) - Anti-Rad51 antibody [EPR4030(3)] (AB133534)
  • IHC-P

Lab

Immunohistochemistry (Formalin/PFA-fixed paraffin-embedded sections) - Anti-Rad51 antibody [EPR4030(3)] (AB133534)

Immunohistochemistry (Formalin/PFA-fixed paraffin-embedded sections) analysis of human cervix carcinoma tissue labelling Rad51 with purified ab133534 at 1/500. Heat mediated antigen retrieval was performed using Tris/EDTA buffer pH 9. ab97051, a HRP-conjugated goat anti-rabbit IgG (H+L) was used as the secondary antibody (1/500). Negative control using PBS instead of primary antibody. Counterstained with hematoxylin.

Immunocytochemistry/ Immunofluorescence - Anti-Rad51 antibody [EPR4030(3)] (AB133534)
  • ICC/IF

Lab

Immunocytochemistry/ Immunofluorescence - Anti-Rad51 antibody [EPR4030(3)] (AB133534)

Immunofluorescent analysis of 100% Methanol-fixed, 0.1% TritonX-100 permeabilized HeLa (human cervical adenocarcinoma epithelial cell) cells labelling RAD51 with ab133534 at 1/250 dilution, followed by Goat Anti-Rabbit IgG H&L (Alexa Fluor® 488) preadsorbed (ab150081) antibody at 1/1000 dilution (Green).

Confocal image showing nuclear staining in HeLa cell line (shown in green).

The counterstain was observed in magenta.

Nuclear DNA was labelled with DAPI (shown in blue).

Image was taken with a confocal microscope (Leica-Microsystems, TCS SP8).

Anti-alpha Tubulin antibody [DM1A] - Microtubule Marker (Alexa Fluor® 594) (ab195889) was used to counterstain tubulin at 1/200 dilution (Magenta).

Secondary antibody only control : Secondary antibody is Goat Anti-Rabbit IgG H&L (Alexa Fluor® 488) preadsorbed (ab150081) at 1/1000 dilution.

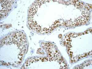
Immunohistochemistry (Formalin/PFA-fixed paraffin-embedded sections) - Anti-Rad51 antibody [EPR4030(3)] (AB133534)
  • IHC-P

Unknown

Immunohistochemistry (Formalin/PFA-fixed paraffin-embedded sections) - Anti-Rad51 antibody [EPR4030(3)] (AB133534)

Immunohistochemistry (Formalin/PFA-fixed paraffin-embedded sections) analysis of human testis tissue labelling Rad51 with unpurified ab133534 at a dilution of 1/100.

Perform heat mediated antigen retrieval before commencing with IHC staining protocol.

Immunocytochemistry/ Immunofluorescence - Anti-Rad51 antibody [EPR4030(3)] (AB133534)
  • ICC/IF

Lab

Immunocytochemistry/ Immunofluorescence - Anti-Rad51 antibody [EPR4030(3)] (AB133534)

Immunofluorescent analysis of 4% PFA-fixed 0.1% Triton X-100 permeabilized UV-treated HCT116 cells labelling Rad51 with ab133534 at 0.2 μg/ml (shown in green). ab303656 Anti-gamma H2A.X (phospho S139) antibody [N1-431] was used as a DNA-damage counterstain at 0.2 μg/ml (shown in red). The secondary antibodies used were ab150081 Goat Anti-Rabbit IgG H&L (Alexa Fluor® 488) preadsorbed and ab150120 Goat Anti-Mouse IgG H&L (Alexa Fluor® 594) preadsorbed, both were used at 1/1000 (2 μg/ml) dilution. Image shows selected areas of overlapping foci. The nuclear counterstain was DAPI.

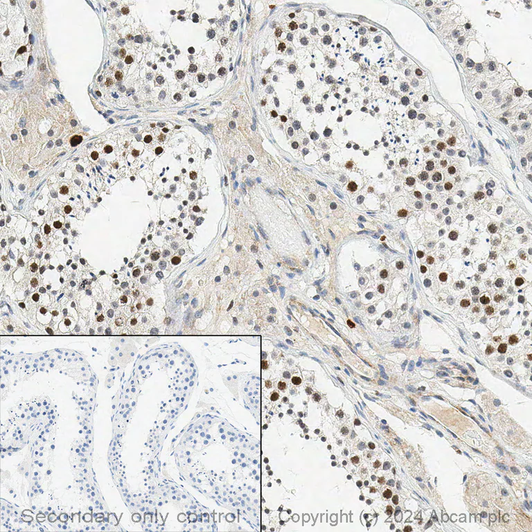
Immunohistochemistry (Formalin/PFA-fixed paraffin-embedded sections) - Anti-Rad51 antibody [EPR4030(3)] (AB133534)
  • IHC-P

Lab

Immunohistochemistry (Formalin/PFA-fixed paraffin-embedded sections) - Anti-Rad51 antibody [EPR4030(3)] (AB133534)

Immunohistochemical analysis of formalin fixed paraffin embedded human testis labelling Rad51 with ab133534 at a concentration of 1 µg/ml. The immunostaining was performed on a Ventana DISCOVERY ULTRA (Roche Tissue Diagnostics) instrument with a OptiView DAB IHC Detection Kit. Heat mediated antigen retrieval was performed with DISCOVERY cell conditioning solution (CC1) 100°C, pH8.5 for 32mins.

ab133534 Anti-Rad51 antibody [EPR4030(3)] was incubated for 16mins at 37°C. Sections were counterstained with Hematoxylin II. Image inset shows absence of staining in secondary antibody only control.

Customers are encouraged to optimise antigen retrieval conditions, antibody concentration, incubation times and temperature for best results in their own IHC assay workflow (automated and manual)

Flow Cytometry (Intracellular) - Anti-Rad51 antibody [EPR4030(3)] (AB133534)
  • Flow Cyt (Intra)

Unknown

Flow Cytometry (Intracellular) - Anti-Rad51 antibody [EPR4030(3)] (AB133534)

Overlay histogram showing HeLa (human epithelial cell line from cervix adenocarcinoma) cells stained with unpurified ab133534 (red line). The cells were fixed with 80% methanol (5 minutes) and then permeabilized with 0.1% PBS-Tween for 20 minutes. The cells were then incubated in 1x PBS / 10% normal goat serum / 0.3M glycine to block non-specific protein-protein interactions followed by the antibody (unpurified ab133534, 1/1000 dilution) for 30 minutes at 22°C. The secondary antibody used was Alexa Fluorr® 488 goat anti-rabbit IgG (H+L) (ab150077) at 1/2000 dilution for 30 minutes at 22°C. Isotype control antibody (black line) was rabbit IgG (monoclonal) (1 μg/1x106 cells) used under the same conditions. Unlabeled sample (blue line) was also used as a control. Acquisition of >5,000 events were collected using a 20mW Argon ion laser (488nm) and 525/30 bandpass filter.

Immunocytochemistry/ Immunofluorescence - Anti-Rad51 antibody [EPR4030(3)] (AB133534)
  • ICC/IF

Lab

Immunocytochemistry/ Immunofluorescence - Anti-Rad51 antibody [EPR4030(3)] (AB133534)

Immunofluorescent analysis of 100% Methanol-fixed, 0.1% TritonX-100 permeabilized NIH/3T3 (mouse embryonic fibroblast) cells labelling RAD51 with ab133534 at 1/250 dilution, followed by Goat Anti-Rabbit IgG H&L (Alexa Fluor® 488) preadsorbed (ab150081) antibody at 1/1000 dilution (Green).

Confocal image showing nuclear staining in NIH/3T3 cell line (shown in green).

The counterstain was observed in magenta.

Nuclear DNA was labelled with DAPI (shown in blue).

Image was taken with a confocal microscope (Leica-Microsystems, TCS SP8).

Anti-alpha Tubulin antibody [DM1A] - Microtubule Marker (Alexa Fluor® 594) (ab195889) was used to counterstain tubulin at 1/200 dilution (Magenta).

Secondary antibody only control : Secondary antibody is Goat Anti-Rabbit IgG H&L (Alexa Fluor® 488) preadsorbed (ab150081) at 1/1000 dilution.

Western blot - Anti-Rad51 antibody [EPR4030(3)] (AB133534)
  • WB

Lab

Western blot - Anti-Rad51 antibody [EPR4030(3)] (AB133534)

Blocking and dilution buffer : 5% NFDM/TBST.

All lanes:

Western blot - Anti-Rad51 antibody [EPR4030(3)] (ab133534) at 1/10000 dilution

All lanes:

K562 (human chronic myelogenous leukemia cell line from bone marrow ) whole cell lysate at 20 µg

Secondary

All lanes:

Western blot - Goat Anti-Rabbit IgG H&L (HRP) (<a href='/en-us/products/secondary-antibodies/goat-rabbit-igg-h-l-hrp-ab97051'>ab97051</a>) at 1/50000 dilution

Predicted band size: 36 kDa

Observed band size: 37 kDa

false

Western blot - Anti-Rad51 antibody [EPR4030(3)] (AB133534)
  • WB

Lab

Western blot - Anti-Rad51 antibody [EPR4030(3)] (AB133534)

Blocking and dilution buffer : 5% NFDM/TBST.

All lanes:

Western blot - Anti-Rad51 antibody [EPR4030(3)] (ab133534) at 1/20000 dilution

Lane 1:

HEK-293 (human epithelial cell line from embryonic kidney) whole cell lysate at 20 µg

Lane 2:

Jurkat (human T cell leukemia cell line from peripheral blood) whole cell lysate at 20 µg

Secondary

All lanes:

Western blot - Goat Anti-Rabbit IgG H&L (HRP) (<a href='/en-us/products/secondary-antibodies/goat-rabbit-igg-h-l-hrp-ab97051'>ab97051</a>) at 1/50000 dilution

Predicted band size: 21 kDa,36 kDa

Observed band size: 22 kDa,37 kDa

false

Flow Cytometry (Intracellular) - Anti-Rad51 antibody [EPR4030(3)] (AB133534)
  • Flow Cyt (Intra)

Lab

Flow Cytometry (Intracellular) - Anti-Rad51 antibody [EPR4030(3)] (AB133534)

Intracellular Flow Cytometry analysis of HeLa (human epithelial cell line from cervix adenocarcinoma) cells labelling Rad51 with purified ab133534 at 1/350 (red). Cells were fixed with 2% paraformaldehyde. A FITC-conjugated goat anti-rabbit IgG (1/500) was used as the secondary antibody. Black - Isotype control, rabbit monoclonal IgG. Blue - Unlabelled control, cells without incubation with primary and secondary antibodies.

Immunocytochemistry/ Immunofluorescence - Anti-Rad51 antibody [EPR4030(3)] (AB133534)
  • ICC/IF

PubMed

Immunocytochemistry/ Immunofluorescence - Anti-Rad51 antibody [EPR4030(3)] (AB133534)

Immunocytochemical analysis of DT40 cells (WT and the indicated KOs) labeling Rad51 using ab133534 at 1/200 dilution.

From Figure 5d of gao et al.

Gao et al. Nat Commun. 2018; 9 : 3925. Published online 2018 Sep 25. Published online 2018 Sep 25. doi : 10.1038/s41467-018-06407-7; PMID : 30254264

Reproduced under the Creative Commons Licence http : //creativecommons.org/licenses/by/4.0/.

Gao et al Nat Commun. 2018; 9: 3925. Published online 2018 Sep 25. doi: 10.1038/s41467-018-06407-7

Immunoprecipitation - Anti-Rad51 antibody [EPR4030(3)] (AB133534)
  • IP

Lab

Immunoprecipitation - Anti-Rad51 antibody [EPR4030(3)] (AB133534)

ab133534 (purified) at 1/100 immunoprecipitating Rad51 in HEK-293 (human epithelial cell line from embryonic kidney) whole cell lysate.

Lane 1 (input) : HEK-293 whole cell lysate (10μg)

Lane 2 (+) : ab133534 + HEK-293 whole cell lysate.

Lane 3 (-) : Rabbit monoclonal IgG (ab172730) instead of ab133534 in HEK-293 whole cell lysate.

For western blotting, a HRP-conjugated anti-rabbit IgG, specific to the non-reduced form of IgG was used as the secondary antibody (1/1500).

Blocking buffer and concentration : 5% NFDM/TBST.

Diluting buffer and concentration : 5% NFDM /TBST.

All lanes:

Immunoprecipitation - Anti-Rad51 antibody [EPR4030(3)] (ab133534)

Predicted band size: 36 kDa

Observed band size: 37 kDa

false

Western blot - Anti-Rad51 antibody [EPR4030(3)] (AB133534)
  • WB

Lab

Western blot - Anti-Rad51 antibody [EPR4030(3)] (AB133534)

Blocking and dilution buffer : 5% NFDM/TBST.

All lanes:

Western blot - Anti-Rad51 antibody [EPR4030(3)] (ab133534) at 1/10000 dilution

Lane 1:

C6 (rat glial tumor cell line) whole cell lysate at 20 µg

Lane 2:

Mouse spleen tissue lysate at 20 µg

Lane 3:

NIH/3T3 (mouse embryo fibroblast cell line) whole cell lysate at 20 µg

Secondary

All lanes:

Western blot - Goat Anti-Rabbit IgG H&L (HRP) (<a href='/en-us/products/secondary-antibodies/goat-rabbit-igg-h-l-hrp-ab97051'>ab97051</a>) at 1/50000 dilution

Predicted band size: 36 kDa

Observed band size: 37 kDa

false

Western blot - Anti-Rad51 antibody [EPR4030(3)] (AB133534)
  • WB

Lab

Western blot - Anti-Rad51 antibody [EPR4030(3)] (AB133534)

Different batches of ab133534 were tested on HEK-293 (Human embryonic kidney epithelial cell) lysate at 2.1 µg/ml. 15 µg of lysate was loaded in each lane. Bands observed at 37 kDa.

All lanes:

Western blot - Anti-Rad51 antibody [EPR4030(3)] (ab133534)

Predicted band size: 36 kDa

false

Western blot - Anti-Rad51 antibody [EPR4030(3)] (AB133534)
  • WB

Unknown

Western blot - Anti-Rad51 antibody [EPR4030(3)] (AB133534)

All lanes:

Western blot - Anti-Rad51 antibody [EPR4030(3)] (ab133534) at 1/10000 dilution

Lane 1:

C6 (rat glial tumor cell line) cell lysate at 10 µg

Lane 2:

HEK-293T (human epithelial cell line from embryonic kidney transformed with large T antigen) cell lysate at 10 µg

Lane 3:

Jurkat (human T cell leukemia cell line from peripheral blood) cell lysate at 10 µg

Lane 4:

HeLa (human epithelial cell line from cervix adenocarcinoma) cell lysate at 10 µg

Lane 5:

K562 (human chronic myelogenous leukemia cell line from bone marrow ) cell lysate at 10 µg

Secondary

All lanes:

HRP-conjugated goat anti-rabbit IgG at 1/2000 dilution

Predicted band size: 36 kDa

Observed band size: 37 kDa

false

OI-RD Scanning - Anti-Rad51 antibody [EPR4030(3)] (AB133534)
  • OI-RD Scanning

Unknown

OI-RD Scanning - Anti-Rad51 antibody [EPR4030(3)] (AB133534)

We have systematically measured KD (the equilibrium dissociation constant between the antibody and its antigen), of more than 840 recombinant antibodies to assess not only their individual KD values but also to see the average affinity of antibody. Based on the comparison with published literature values for mouse monoclonal antibodies, Recombinant antibodies appear to be on average 1-2 order of magnitude higher affinity.

  • Carrier free

    Anti-Rad51 antibody [EPR4030(3)] - BSA and Azide free

  • 578 PE

    PE Anti-Rad51 antibody [EPR4030(3)]

  • 660 APC

    APC Anti-Rad51 antibody [EPR4030(3)]

  • HRP

    HRP Anti-Rad51 antibody [EPR4030(3)]

  • 617 Alexa Fluor® 594

    Alexa Fluor® 594 Anti-Rad51 antibody [EPR4030(3)]

  • 519 Alexa Fluor® 488

    Alexa Fluor® 488 Anti-Rad51 antibody [EPR4030(3)]

  • 665 Alexa Fluor® 647

    Alexa Fluor® 647 Anti-Rad51 antibody [EPR4030(3)]

  • 565 Alexa Fluor® 555

    Alexa Fluor® 555 Anti-Rad51 antibody [EPR4030(3)]

Key facts

Host species

Rabbit

Clonality

Monoclonal

Clone number

EPR4030(3)

Isotype

IgG

Carrier free

No

Reacts with

Mouse, Rat, Human

Applications

WB, IP, ICC/IF, IHC-P, Flow Cyt (Intra)

applications

Immunogen

The exact immunogen used to generate this antibody is proprietary information.

Reactivity data

{ "title": "Reactivity Data", "filters": { "stats": ["", "Species", "Dilution Info", "Notes"], "tabs": { "all-applications": {"fullname" : "All Applications", "shortname": "All Applications"}, "IHCP" : {"fullname" : "Immunohistochemistry (Formalin/PFA-fixed paraffin-embedded sections)", "shortname":"IHC-P"}, "IP" : {"fullname" : "Immunoprecipitation", "shortname":"IP"}, "WB" : {"fullname" : "Western blot", "shortname":"WB"}, "ICCIF" : {"fullname" : "Immunocytochemistry/ Immunofluorescence", "shortname":"ICC/IF"}, "FlowCytIntra" : {"fullname" : "Flow Cytometry (Intracellular)", "shortname":"Flow Cyt (Intra)"} }, "product-promise": { "all": "all", "testedAndGuaranteed": "tested", "guaranteed": "expected", "predicted": "predicted", "notRecommended": "not-recommended" } }, "values": { "Human": { "IHCP-species-checked": "testedAndGuaranteed", "IHCP-species-dilution-info": "1/100 - 1/500", "IHCP-species-notes": "<p></p> Perform heat-mediated antigen retrieval before commencing with IHC staining protocol.", "IP-species-checked": "testedAndGuaranteed", "IP-species-dilution-info": "1/10 - 1/100", "IP-species-notes": "<p></p>", "WB-species-checked": "testedAndGuaranteed", "WB-species-dilution-info": "1/10000 - 1/50000", "WB-species-notes": "<p></p>", "ICCIF-species-checked": "testedAndGuaranteed", "ICCIF-species-dilution-info": "1/250", "ICCIF-species-notes": "<p><strong>For unpurified use at 1/100 - 1/250.</strong></p>", "FlowCytIntra-species-checked": "testedAndGuaranteed", "FlowCytIntra-species-dilution-info": "1/100 - 1/1000", "FlowCytIntra-species-notes": "<p><a href='/en-us/products/primary-antibodies/rabbit-igg-monoclonal-epr25a-isotype-control-ab172730'>ab172730</a> - Rabbit monoclonal IgG, is suitable for use as an isotype control with this antibody.</p>" }, "Mouse": { "IHCP-species-checked": "guaranteed", "IHCP-species-dilution-info": "", "IHCP-species-notes": "", "IP-species-checked": "guaranteed", "IP-species-dilution-info": "", "IP-species-notes": "", "WB-species-checked": "testedAndGuaranteed", "WB-species-dilution-info": "1/10000 - 1/50000", "WB-species-notes": "<p></p>", "ICCIF-species-checked": "guaranteed", "ICCIF-species-dilution-info": "", "ICCIF-species-notes": "", "FlowCytIntra-species-checked": "guaranteed", "FlowCytIntra-species-dilution-info": "", "FlowCytIntra-species-notes": "" }, "Rat": { "IHCP-species-checked": "guaranteed", "IHCP-species-dilution-info": "", "IHCP-species-notes": "", "IP-species-checked": "guaranteed", "IP-species-dilution-info": "", "IP-species-notes": "", "WB-species-checked": "testedAndGuaranteed", "WB-species-dilution-info": "1/10000 - 1/50000", "WB-species-notes": "<p></p>", "ICCIF-species-checked": "guaranteed", "ICCIF-species-dilution-info": "", "ICCIF-species-notes": "", "FlowCytIntra-species-checked": "guaranteed", "FlowCytIntra-species-dilution-info": "", "FlowCytIntra-species-notes": "" } } }

Product details

Anti-Rad51 antibody [EPR4030(3)] (ab133534) was developed by Abcam using patented rabbit monoclonal antibody technology and is validated for use in Flow Cyt (Intra), ICC/IF, IHC-P, IP and WB.

Anti-Rad51 antibody [EPR4030(3)] (ab133534) was first used in a scientific publication in 2013 and has been cited over 151 times in peer reviewed journals. It's performance in Western Blot and immunofluorescence in human samples is trusted by the scientific community.

Abcam's high quality manufacturing and validation processes ensure Anti-Rad51 antibody [EPR4030(3)] (ab133534) has high sensitivity and specificity alongside high lot-to-lot consistency and reproducibility.

Anti-Rad51 antibody [EPR4030(3)] (ab133534) has 13 independent reviews from customers.

Anti-Rad51 antibody [EPR4030(3)] (ab133534) specifically detects Rad51 (UniProt ID: Q06609; Molecular weight: 37kDa) and is sold in 100 µL and 1 mL selling sizes.

Conjugation-ready, carrier free format available for antibody clone EPR4030(3) - ab221796.

Antibody clone EPR4030(3) is also available pre-conjugated to a variety of labels for your convenience - PE, APC, HRP, Alkaline Phosphatase, Alexa Fluor® 488, Alexa Fluor® 647, Alexa Fluor® 594, Alexa Fluor® 555, Alexa Fluor® 568, Alexa Fluor® 750 (ab303002, ab303003, ab303004, ab308698, ab309674, ab310037, ab310418, ab311945, ab312416, ab321050).

Highly-cited antibody with >250 citations. A highly validated Rad51 antibody, essential for researchers studying DNA repair and homologous recombination. This antibody is crucial in genome stability research, particularly in understanding the DNA damage response. It is widely used in studies of Rad51 foci, cancer therapy and Rad51 inhibitors.

Patented technology
Our RabMAb® technology is a patented hybridoma-based technology for making rabbit monoclonal antibodies. For details on our patents, please refer to RabMAb® patents.

What are the advantages of a recombinant monoclonal antibody?
This product is a recombinant monoclonal antibody, which offers several advantages including:

  • - High batch-to-batch consistency and reproducibility
  • - Improved sensitivity and specificity
  • - Long-term security of supply
  • - Animal-free batch production

For more information, read more on recombinant antibodies.

Properties and storage information

Form
Liquid
Purification technique
Affinity purification Protein A
Storage buffer
pH: 7.2 - 7.4 Preservative: 0.01% Sodium azide Constituents: PBS, 40% Glycerol (glycerin, glycerine), 0.05% BSA
Shipped at conditions
Blue Ice
Appropriate short-term storage duration
1-2 weeks
Appropriate short-term storage conditions
+4°C
Appropriate long-term storage conditions
-20°C
Aliquoting information
Upon delivery aliquot
Storage information
Stable for 12 months at -20°C

Supplementary information

This supplementary information is collated from multiple sources and compiled automatically.

RAD51 also known as recombination protein A or Novus RAD51 is a DNA repair protein with a molecular mass of approximately 37 kDa. This protein plays a significant role in homologous recombination and is active in the repair of double-strand breaks in DNA. It is expressed in various tissues with high levels seen in rapidly dividing cells. RAD51 acts by forming nucleoprotein filaments on single-stranded DNA and facilitates the search for homology and strand pairing during the repair process.
Biological function summary

Processes involving RAD51 are essential for genomic stability and cellular response to DNA damage. RAD51 often functions as part of a repair complex along with other proteins such as BRCA2 and RPA. This complex binds and stabilizes single-stranded DNA during search and strand invasion which is vital for successful recombination repair. Such repair mechanisms are important for preventing chromosomal aberrations and maintaining genetic integrity.

Pathways

RAD51's activity fits into the broader context of DNA damage repair pathways notably the homologous recombination (HR) pathway. This pathway is important for repairing double-strand breaks utilizing other proteins such as ATM and ATR to signal repair processes. Furthermore RAD51 interacts with various members of the BRCA protein family combining efforts to ensure proper DNA damage response and repair.

RAD51 mutations or dysregulation are linked to various types of cancer including breast and ovarian cancers. These cancers may involve mutations in BRCA1 and BRCA2 genes which affect RAD51's ability to effectively perform homologous recombination. Additionally disruptions in RAD51 function are associated with Fanconi anemia a disorder characterized by DNA repair defects. This condition demonstrates the importance of RAD51's interaction with FA pathway proteins in maintaining genomic stability and preventing disease.

Product protocols

For this product, it's our understanding that no specific protocols are required. You can visit:

Target data

The protein expressed by the RAD51 gene plays an important role in homologous strand exchange, a critical step in DNA repair through homologous recombination (HR). It binds to single and double-stranded DNA and exhibits DNA-dependent ATPase activity, catalyzing the recognition of homology and strand exchange between homologous DNA partners to form a joint molecule between a processed DNA break and the repair template. RAD51 binds to single-stranded DNA in an ATP-dependent manner to form nucleoprotein filaments essential for the homology search and strand exchange. It is part of a PALB2-scaffolded HR complex containing BRCA2 and RAD51C, which is thought to play a role in DNA repair by HR. RAD51 also plays a role in regulating mitochondrial DNA copy number under conditions of oxidative stress in the presence of RAD51C and XRCC3 and is involved in interstrand cross-link repair. This supplementary information is collated from multiple sources and compiled automatically.
See full target information RAD51

Publications (260)

Recent publications for all applications. Explore the full list and refine your search

Journal of experimental & clinical cancer research : CR 44:282 PubMed41057919

2025

Long-term patient-derived ovarian cancer organoids closely recapitulate tumor of origin and clinical response.

Applications

Unspecified application

Species

Unspecified reactive species

Lucie Thorel,Enora Dolivet,Pierre-Marie Morice,Romane Florent,Jordane Divoux,Marion Perréard,Lucie Lecouflet,Guillaume Desmartin,Chloé Marde Alagama,Florence Giffard,Alexandra Leconte,Justine Lequesne,Bénédicte Clarisse,Mélanie Briand,Alimatou Traoré,Céline Villenet,Jean-Pascal Meneboo,Guillaume Babin,Léopold Gaichies,Sandrine Martin-Françoise,Jean-François Le Brun,Roman Rouzier,Emilie Brotin,Christophe Denoyelle,Nicolas Vigneron,Raphaël Leman,Dominique Vaur,Laurent Castera,Cécile Blanc-Fournier,Nicolas Elie,Benoit Plancoulaine,Florence Joly,Matthieu Meryet-Figuière,Martin Figeac,Louis-Bastien Weiswald,Laurent Poulain

Research (Washington, D.C.) 8:0908 PubMed41049615

2025

ARID1A Governs Genomic Stability and Proliferation in SCLC via c-MYC/PARP1 Suppression Driving Vulnerability to BET Inhibitors.

Applications

Unspecified application

Species

Unspecified reactive species

Guozhen Cao,Liying Ma, Xueqin Dai,Peng Hou,Xinhuang Yao,Gongfeng Li,Jiahui Zhang,Ceshi Chen,Wenchu Lin

Nature cell biology 27:1771-1784 PubMed40913148

2025

Phase separation of ERCC6L2-CtIP regulates the extent of DNA end resection.

Applications

Unspecified application

Species

Unspecified reactive species

Yixin Yin,Jinlong Lin,Xiaoxia Cai,Runcong Nie,Jiliang Lin,Shuting Li,Zhicheng Xiang,Yihong Ling,Yiyang Zhang,Jie Zhou,Jiewei Chen,Wenping Lin,Jinling Duan,Xueyi Zheng,Dan Xie,Muyan Cai

Hereditas 162:177 PubMed40883807

2025

RBM15 promotes COAD progression by regulating the m6A modification of TMC5.

Applications

Unspecified application

Species

Unspecified reactive species

Errong Tian,Li Gao,Lan Wu,Limin Qin

Cell death discovery 11:397 PubMed40846737

2025

WTAP participates in the DNA damage response via an mA-FOXM1-dependent manner in hepatocellular carcinoma.

Applications

Unspecified application

Species

Unspecified reactive species

Nan Huang,Zhixuan Bian,Chang Xu,Yue Zhang,Li Liu,Zhongqi Cui,Shasha Zhao,Qiangyuan Fan,Shaobo Xue,Yan Chen,Qiuhui Pan,Fenyong Sun

Molecular cancer 24:217 PubMed40819058

2025

Jab1 regulates HRR mRNA stability to modulate PARP inhibitor sensitivity in triple-negative breast cancer.

Applications

Unspecified application

Species

Unspecified reactive species

Xin Peng,Yingying Wang,Zixiang Yu,Shengfan Huang,Shaolu Zhang,Zhenxing Zhong,Yongzhe Wang,Shanshan Liu,Kailin Wang,Christophe Nicot,Francois X Claret,Dexin Kong

International journal of molecular sciences 26: PubMed40806549

2025

Assessing Determinants of Response to PARP Inhibition in Germline Mutant Melanoma.

Applications

Unspecified application

Species

Unspecified reactive species

Eleonora Allavena,Michela Croce,Bruna Dalmasso,Cecilia Profumo,Valentina Rigo,Virginia Andreotti,Irene Vanni,Benedetta Pellegrino,Antonino Musolino,Nicoletta Campanini,William Bruno,Luca Mastracci,Gabriele Zoppoli,Enrica Teresa Tanda,Francesco Spagnolo,Paola Ghiorzo,Lorenza Pastorino

NAR cancer 7:zcaf025 PubMed40809943

2025

Automated machine learning profiling with MAP-HR for quantifying homologous recombination foci in patient samples.

Applications

Unspecified application

Species

Unspecified reactive species

Tugba Y Ozmen,Matthew J Rames,Gabriel M Zangirolani,Furkan Ozmen,Kangjin Jeong,Connor Frankston,Gordon B Mills

Nature communications 16:6999 PubMed40738898

2025

Tumor-associated neutrophil precursors impair homologous DNA repair and promote sensitivity to PARP inhibition.

Applications

Unspecified application

Species

Unspecified reactive species

Siddhartha Mukherjee,Cindy Garda,Letizia Boffa,Angela Rita Elia,Matteo Massara,Maria Teresa Balia,Daniela Brina,Simone Mosole,Anna Campagnari,Giada Andrea Cassanmagnago,Andrea Rinaldi,Giacomo Lazzaroni,David Jarrossay,Diego Morone,Ilaria Ceppi,Riccardo De Sillo,Isabella Giacomini,Ilaria Craparotta,Laura Di Rito,Simon Barry,Endre Laczko,Sebastian Streb,Francesco Meani,Simona Di Lascio,Nancy Hynes,Enrico Lugli,Simone Puccio,Stephen-John Sammut,Ulrike Perriard,Yves Harder,Lorenzo Rossi,Maria Luisa Gasparri,Marco Bolis,Petr Cejka,Arianna Calcinotto

BMC cancer 25:1183 PubMed40676600

2025

Alterations and correlation between DNA damage and repair response and PD-L1 expression in non-small cell lung cancers.

Applications

Unspecified application

Species

Unspecified reactive species

Jiali Peng,Jiayu Zhou,Gang Liu,Poming Kang,Xi Tang,Ziyue Luo,Yu Jiang
View all publications

Product promise

We are committed to supporting your work with high-quality reagents, and we're here for you every step of the way. In the unlikely event that one of our products does not perform as expected, you're protected by our Product Promise.
For full details, please see our Terms & Conditions

Please note: All products are 'FOR RESEARCH USE ONLY. NOT FOR USE IN DIAGNOSTIC OR THERAPEUTIC PROCEDURES'.

For licensing inquiries, please contact partnerships@abcam.com