JavaScript is disabled in your browser. Please enable JavaScript to view this website.
AB221796

Anti-Rad51 antibody [EPR4030(3)] - BSA and Azide free

4

(1 Review)

|

(3 Publications)

Rabbit Recombinant Monoclonal Rad51 antibody. Carrier free. Suitable for IHC-P, IP, WB, ICC/IF, Flow Cyt (Intra) and reacts with Human, Rat, Mouse samples. Cited in 3 publications.

View Alternative Names

RAD51A, RECA, RAD51, DNA repair protein RAD51 homolog 1, HsRAD51, hRAD51, RAD51 homolog A

13 Images
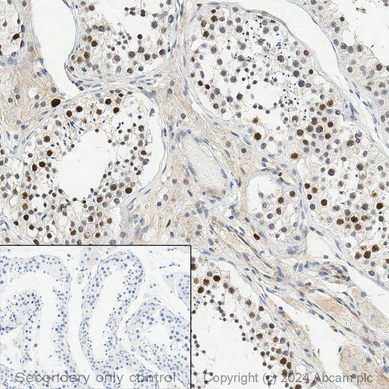
Immunohistochemistry (Formalin/PFA-fixed paraffin-embedded sections) - Anti-Rad51 antibody [EPR4030(3)] - BSA and Azide free (AB221796)
  • IHC-P

Lab

Immunohistochemistry (Formalin/PFA-fixed paraffin-embedded sections) - Anti-Rad51 antibody [EPR4030(3)] - BSA and Azide free (AB221796)

This data was produced using the same antibody clone but in a different formulation containing PBS, sodium azide, glycerol and BSA (ab133534).

Immunohistochemical analysis of formalin fixed paraffin embedded human testis labelling Rad51 with ab133534 at a concentration of 1 µg/ml. The immunostaining was performed on a Ventana DISCOVERY ULTRA (Roche Tissue Diagnostics) instrument with a OptiView DAB IHC Detection Kit. Heat mediated antigen retrieval was performed with DISCOVERY cell conditioning solution (CC1) 100°C, pH8.5 for 32mins.

ab133534 Anti-Rad51 antibody [EPR4030(3)] was incubated for 16mins at 37°C. Sections were counterstained with Hematoxylin II. Image inset shows absence of staining in secondary antibody only control.

Customers are encouraged to optimise antigen retrieval conditions, antibody concentration, incubation times and temperature for best results in their own IHC assay workflow (automated and manual)

Immunohistochemistry (Formalin/PFA-fixed paraffin-embedded sections) - Anti-Rad51 antibody [EPR4030(3)] - BSA and Azide free (AB221796)
  • IHC-P

Unknown

Immunohistochemistry (Formalin/PFA-fixed paraffin-embedded sections) - Anti-Rad51 antibody [EPR4030(3)] - BSA and Azide free (AB221796)

Immunohistochemistry (PFA-fixed paraffin-embedded sections) analysis of human lung carcinoma tissue labelling with ab221796 at 0.54μg/mL. Heat mediated antigen retrieval was performed using ab92684 (Tris/EDTA buffer pH 9). A HRP-conjugated goat anti-rabbit IgG (H+L) was used as the secondary antibody. Counterstained with hematoxylin.

Flow Cytometry (Intracellular) - Anti-Rad51 antibody [EPR4030(3)] - BSA and Azide free (AB221796)
  • Flow Cyt (Intra)

Unknown

Flow Cytometry (Intracellular) - Anti-Rad51 antibody [EPR4030(3)] - BSA and Azide free (AB221796)

Overlay histogram showing HeLa (human epithelial cell line from cervix adenocarcinoma) cells stained with unpurified ab133534 (red line). The cells were fixed with 80% methanol (5 minutes) and then permeabilized with 0.1% PBS-Tween for 20 minutes. The cells were then incubated in 1x PBS / 10% normal goat serum / 0.3M glycine to block non-specific protein-protein interactions followed by the antibody (unpurified ab133534, 1/1000 dilution) for 30 minutes at 22°C. The secondary antibody used was Alexa Fluor® 488 goat anti-rabbit IgG (H+L) (ab150077) at 1/2000 dilution for 30 minutes at 22°C. Isotype control antibody (black line) was rabbit IgG (monoclonal) (1 μg/1x106 cells) used under the same conditions. Unlabeled sample (blue line) was also used as a control. Acquisition of >5,000 events were collected using a 20mW Argon ion laser (488nm) and 525/30 bandpass filter.

This data was developed using the same antibody clone in a different buffer formulation containing PBS, BSA, glycerol, and sodium azide (ab133534).

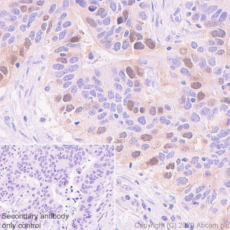
Immunohistochemistry (Formalin/PFA-fixed paraffin-embedded sections) - Anti-Rad51 antibody [EPR4030(3)] - BSA and Azide free (AB221796)
  • IHC-P

Unknown

Immunohistochemistry (Formalin/PFA-fixed paraffin-embedded sections) - Anti-Rad51 antibody [EPR4030(3)] - BSA and Azide free (AB221796)

Immunohistochemistry (PFA-fixed paraffin-embedded sections) analysis of human colonic carcinoma tissue labelling with ab221796 at 0.54μg/mL. Heat mediated antigen retrieval was performed using ab93684 (Tris/EDTA buffer pH 9). A HRP-conjugated goat anti-rabbit IgG (H+L) was used as the secondary antibody. Counterstained with hematoxylin.

Immunohistochemistry (Formalin/PFA-fixed paraffin-embedded sections) - Anti-Rad51 antibody [EPR4030(3)] - BSA and Azide free (AB221796)
  • IHC-P

Unknown

Immunohistochemistry (Formalin/PFA-fixed paraffin-embedded sections) - Anti-Rad51 antibody [EPR4030(3)] - BSA and Azide free (AB221796)

Immunohistochemistry (Formalin/PFA-fixed paraffin-embedded sections) analysis of human testis tissue labelling Rad51 with unpurified ab133534 at a dilution of 1/100.

This data was developed using the same antibody clone in a different buffer formulation containing PBS, BSA, glycerol, and sodium azide (ab133534).

Perform heat mediated antigen retrieval before commencing with IHC staining protocol.

Immunocytochemistry/ Immunofluorescence - Anti-Rad51 antibody [EPR4030(3)] - BSA and Azide free (AB221796)
  • ICC/IF

Lab

Immunocytochemistry/ Immunofluorescence - Anti-Rad51 antibody [EPR4030(3)] - BSA and Azide free (AB221796)

This data was developed using ab133534, the same antibody clone in a different buffer formulation.

Immunofluorescent analysis of 4% PFA-fixed 0.1% Triton X-100 permeabilized UV-treated HCT116 cells labelling Rad51 with ab133534 at 0.2 μg/ml (shown in green). ab303656 Anti-gamma H2A.X (phospho S139) antibody [N1-431] was used as a DNA-damage counterstain at 0.2 μg/ml (shown in red). The secondary antibodies used were ab150081 Goat Anti-Rabbit IgG H&L (Alexa Fluor® 488) preadsorbed and ab150120 Goat Anti-Mouse IgG H&L (Alexa Fluor® 594) preadsorbed, both were used at 1/1000 (2 μg/ml) dilution. Image shows selected areas of overlapping foci. The nuclear counterstain was DAPI.

Immunocytochemistry/ Immunofluorescence - Anti-Rad51 antibody [EPR4030(3)] - BSA and Azide free (AB221796)
  • ICC/IF

Lab

Immunocytochemistry/ Immunofluorescence - Anti-Rad51 antibody [EPR4030(3)] - BSA and Azide free (AB221796)

This data was developed using ab133534, the same antibody clone in a different buffer formulation.

Immunofluorescent analysis of 100% Methanol-fixed, 0.1% TritonX-100 permeabilized HeLa (human cervical adenocarcinoma epithelial cell) cells labelling RAD51 with ab133534 at 1/250 dilution, followed by Goat Anti-Rabbit IgG H&L (Alexa Fluor® 488) preadsorbed (ab150081) antibody at 1/1000 dilution (Green).

Confocal image showing nuclear staining in HeLa cell line (shown in green).

The counterstain was observed in magenta.

Nuclear DNA was labelled with DAPI (shown in blue).

Image was taken with a confocal microscope (Leica-Microsystems, TCS SP8).

Anti-alpha Tubulin antibody [DM1A] - Microtubule Marker (Alexa Fluor® 594) (ab195889) was used to counterstain tubulin at 1/200 dilution (Magenta). The Nuclear counterstain was DAPI (Blue).

Secondary antibody only control : Secondary antibody is Goat Anti-Rabbit IgG H&L (Alexa Fluor® 488) preadsorbed (ab150081) at 1/1000 dilution.

Immunocytochemistry/ Immunofluorescence - Anti-Rad51 antibody [EPR4030(3)] - BSA and Azide free (AB221796)
  • ICC/IF

Lab

Immunocytochemistry/ Immunofluorescence - Anti-Rad51 antibody [EPR4030(3)] - BSA and Azide free (AB221796)

This data was developed using ab133534, the same antibody clone in a different buffer formulation.

Immunofluorescent analysis of 100% Methanol-fixed, 0.1% TritonX-100 permeabilized NIH/3T3 (mouse embryonic fibroblast) cells labelling RAD51 with ab133534 at 1/250 dilution, followed by Goat Anti-Rabbit IgG H&L (Alexa Fluor® 488) preadsorbed (ab150081) antibody at 1/1000 dilution (Green).

Confocal image showing nuclear staining in NIH/3T3 cell line (shown in green).

The counterstain was observed in magenta.

Nuclear DNA was labelled with DAPI (shown in blue).

Image was taken with a confocal microscope (Leica-Microsystems, TCS SP8).

Anti-alpha Tubulin antibody [DM1A] - Microtubule Marker (Alexa Fluor® 594) (ab195889) was used to counterstain tubulin at 1/200 dilution (Magenta).

Secondary antibody only control : Secondary antibody is Goat Anti-Rabbit IgG H&L (Alexa Fluor® 488) preadsorbed (ab150081) at 1/1000 dilution.

Immunohistochemistry (Formalin/PFA-fixed paraffin-embedded sections) - Anti-Rad51 antibody [EPR4030(3)] - BSA and Azide free (AB221796)
  • IHC-P

Lab

Immunohistochemistry (Formalin/PFA-fixed paraffin-embedded sections) - Anti-Rad51 antibody [EPR4030(3)] - BSA and Azide free (AB221796)

Immunohistochemistry (Formalin/PFA-fixed paraffin-embedded sections) analysis of human cervix carcinoma tissue labelling Rad51 with purified ab133534 at 1/500. Heat mediated antigen retrieval was performed using Tris/EDTA buffer pH 9. ab97051, a HRP-conjugated goat anti-rabbit IgG (H+L) was used as the secondary antibody (1/500). Negative control using PBS instead of primary antibody. Counterstained with hematoxylin.

This data was developed using the same antibody clone in a different buffer formulation containing PBS, BSA, glycerol, and sodium azide (ab133534).

Flow Cytometry (Intracellular) - Anti-Rad51 antibody [EPR4030(3)] - BSA and Azide free (AB221796)
  • Flow Cyt (Intra)

Lab

Flow Cytometry (Intracellular) - Anti-Rad51 antibody [EPR4030(3)] - BSA and Azide free (AB221796)

Intracellular Flow Cytometry analysis of HeLa (human epithelial cell line from cervix adenocarcinoma) cells labelling Rad51 with purified ab133534 at 1/350 (red). Cells were fixed with 2% paraformaldehyde. A FITC-conjugated goat anti-rabbit IgG (1/500) was used as the secondary antibody. Black - Isotype control, rabbit monoclonal IgG. Blue - Unlabelled control, cells without incubation with primary and secondary antibodies.

This data was developed using the same antibody clone in a different buffer formulation containing PBS, BSA, glycerol, and sodium azide (ab133534).

Immunoprecipitation - Anti-Rad51 antibody [EPR4030(3)] - BSA and Azide free (AB221796)
  • IP

Lab

Immunoprecipitation - Anti-Rad51 antibody [EPR4030(3)] - BSA and Azide free (AB221796)

ab133534 (purified) at 1/100 immunoprecipitating Rad51 in HEK-293 (human epithelial cell line from embryonic kidney) whole cell lysate.

Lane 1 (input) : HEK-293 whole cell lysate (10µg)

Lane 2 (+) : ab133534 + HEK-293 whole cell lysate.

Lane 3 (-) : Rabbit monoclonal IgG (ab172730) instead of ab133534 in HEK-293 whole cell lysate.

For western blotting, a HRP-conjugated anti-rabbit IgG, specific to the non-reduced form of IgG was used as the secondary antibody (1/1500).

Blocking buffer and concentration : 5% NFDM/TBST.

Diluting buffer and concentration : 5% NFDM /TBST.

This data was developed using the same antibody clone in a different buffer formulation containing PBS, BSA, glycerol, and sodium azide (ab133534).

All lanes:

Immunoprecipitation - Anti-Rad51 antibody [EPR4030(3)] (<a href='/en-us/products/primary-antibodies/rad51-antibody-epr40303-ab133534'>ab133534</a>)

Predicted band size: 36 kDa

Observed band size: 37 kDa

false

Western blot - Anti-Rad51 antibody [EPR4030(3)] - BSA and Azide free (AB221796)
  • WB

Lab

Western blot - Anti-Rad51 antibody [EPR4030(3)] - BSA and Azide free (AB221796)

This data was developed using ab133534, the same antibody clone in a different buffer formulation. Different batches of ab133534 were tested on HEK-293 (Human embryonic kidney epithelial cell) lysate at 2.1 µg/ml. 15 µg of lysate was loaded in each lane. Bands observed at 37 kDa.

All lanes:

Western blot - Anti-Rad51 antibody [EPR4030(3)] (<a href='/en-us/products/primary-antibodies/rad51-antibody-epr40303-ab133534'>ab133534</a>)

Predicted band size: 36 kDa

false

OI-RD Scanning - Anti-Rad51 antibody [EPR4030(3)] - BSA and Azide free (AB221796)
  • OI-RD Scanning

Unknown

OI-RD Scanning - Anti-Rad51 antibody [EPR4030(3)] - BSA and Azide free (AB221796)

We have systematically measured KD (the equilibrium dissociation constant between the antibody and its antigen), of more than 840 recombinant antibodies to assess not only their individual KD values but also to see the average affinity of antibody. Based on the comparison with published literature values for mouse monoclonal antibodies, Recombinant antibodies appear to be on average 1-2 order of magnitude higher affinity.

  • Unconjugated

    Anti-Rad51 antibody [EPR4030(3)]

  • 578 PE

    PE Anti-Rad51 antibody [EPR4030(3)]

  • 660 APC

    APC Anti-Rad51 antibody [EPR4030(3)]

  • HRP

    HRP Anti-Rad51 antibody [EPR4030(3)]

  • 617 Alexa Fluor® 594

    Alexa Fluor® 594 Anti-Rad51 antibody [EPR4030(3)]

  • 519 Alexa Fluor® 488

    Alexa Fluor® 488 Anti-Rad51 antibody [EPR4030(3)]

  • 665 Alexa Fluor® 647

    Alexa Fluor® 647 Anti-Rad51 antibody [EPR4030(3)]

  • 565 Alexa Fluor® 555

    Alexa Fluor® 555 Anti-Rad51 antibody [EPR4030(3)]

Key facts

Host species

Rabbit

Clonality

Monoclonal

Clone number

EPR4030(3)

Isotype

IgG

Carrier free

Yes

Reacts with

Mouse, Rat, Human

Applications

IP, WB, Flow Cyt (Intra), IHC-P, ICC/IF

applications

Immunogen

The exact immunogen used to generate this antibody is proprietary information.

Reactivity data

{ "title": "Reactivity Data", "filters": { "stats": ["", "Species", "Dilution Info", "Notes"], "tabs": { "all-applications": {"fullname" : "All Applications", "shortname": "All Applications"}, "IHCP" : {"fullname" : "Immunohistochemistry (Formalin/PFA-fixed paraffin-embedded sections)", "shortname":"IHC-P"}, "IP" : {"fullname" : "Immunoprecipitation", "shortname":"IP"}, "WB" : {"fullname" : "Western blot", "shortname":"WB"}, "ICCIF" : {"fullname" : "Immunocytochemistry/ Immunofluorescence", "shortname":"ICC/IF"}, "FlowCytIntra" : {"fullname" : "Flow Cytometry (Intracellular)", "shortname":"Flow Cyt (Intra)"} }, "product-promise": { "all": "all", "testedAndGuaranteed": "tested", "guaranteed": "expected", "predicted": "predicted", "notRecommended": "not-recommended" } }, "values": { "Human": { "IHCP-species-checked": "testedAndGuaranteed", "IHCP-species-dilution-info": "", "IHCP-species-notes": "<p></p> Perform heat-mediated antigen retrieval before commencing with IHC staining protocol.", "IP-species-checked": "testedAndGuaranteed", "IP-species-dilution-info": "", "IP-species-notes": "<p></p>", "WB-species-checked": "testedAndGuaranteed", "WB-species-dilution-info": "", "WB-species-notes": "<p></p>", "ICCIF-species-checked": "testedAndGuaranteed", "ICCIF-species-dilution-info": "", "ICCIF-species-notes": "<p></p>", "FlowCytIntra-species-checked": "testedAndGuaranteed", "FlowCytIntra-species-dilution-info": "", "FlowCytIntra-species-notes": "<p><a href='/en-us/products/primary-antibodies/rabbit-igg-monoclonal-epr25a-isotype-control-low-endotoxin-azide-free-ab199376'>ab199376</a> - Rabbit monoclonal IgG, is suitable for use as an isotype control with this antibody.</p>" }, "Mouse": { "IHCP-species-checked": "guaranteed", "IHCP-species-dilution-info": "", "IHCP-species-notes": "", "IP-species-checked": "guaranteed", "IP-species-dilution-info": "", "IP-species-notes": "", "WB-species-checked": "testedAndGuaranteed", "WB-species-dilution-info": "", "WB-species-notes": "<p></p>", "ICCIF-species-checked": "guaranteed", "ICCIF-species-dilution-info": "", "ICCIF-species-notes": "", "FlowCytIntra-species-checked": "guaranteed", "FlowCytIntra-species-dilution-info": "", "FlowCytIntra-species-notes": "" }, "Rat": { "IHCP-species-checked": "guaranteed", "IHCP-species-dilution-info": "", "IHCP-species-notes": "", "IP-species-checked": "guaranteed", "IP-species-dilution-info": "", "IP-species-notes": "", "WB-species-checked": "testedAndGuaranteed", "WB-species-dilution-info": "", "WB-species-notes": "<p></p>", "ICCIF-species-checked": "guaranteed", "ICCIF-species-dilution-info": "", "ICCIF-species-notes": "", "FlowCytIntra-species-checked": "guaranteed", "FlowCytIntra-species-dilution-info": "", "FlowCytIntra-species-notes": "" } } }

Product details

ab221796 is the carrier-free version of ab133534.

Patented technology
Our RabMAb® technology is a patented hybridoma-based technology for making rabbit monoclonal antibodies. For details on our patents, please refer to RabMAb® patents.

Conjugation ready
Our carrier-free antibodies are typically supplied in a PBS-only formulation, purified and free of BSA, sodium azide and glycerol. This conjugation-ready format is designed for use with fluorochromes, metal isotopes, oligonucleotides, and enzymes, which makes them ideal for antibody labelling, functional and cell-based assays, flow-based assays (e.g. mass cytometry) and Multiplex Imaging applications.

Use our conjugation kits for antibody conjugates that are ready-to-use in as little as 20 minutes with 1 minute hands-on-time and 100% antibody recovery: available for fluorescent dyes, HRP, biotin and gold.

Compatibility
This product is compatible with the Maxpar® Antibody Labeling Kit from Fluidigm, without the need for antibody preparation. Maxpar® is a trademark of Fluidigm Canada Inc.

Properties and storage information

Form
Liquid
Purification technique
Affinity purification Protein A
Storage buffer
pH: 7.2 - 7.4 Constituents: PBS
Shipped at conditions
Blue Ice
Appropriate short-term storage conditions
+4°C
Appropriate long-term storage conditions
+4°C
Storage information
Do Not Freeze

Supplementary information

This supplementary information is collated from multiple sources and compiled automatically.

RAD51 also known as recombination protein A or Novus RAD51 is a DNA repair protein with a molecular mass of approximately 37 kDa. This protein plays a significant role in homologous recombination and is active in the repair of double-strand breaks in DNA. It is expressed in various tissues with high levels seen in rapidly dividing cells. RAD51 acts by forming nucleoprotein filaments on single-stranded DNA and facilitates the search for homology and strand pairing during the repair process.
Biological function summary

Processes involving RAD51 are essential for genomic stability and cellular response to DNA damage. RAD51 often functions as part of a repair complex along with other proteins such as BRCA2 and RPA. This complex binds and stabilizes single-stranded DNA during search and strand invasion which is vital for successful recombination repair. Such repair mechanisms are important for preventing chromosomal aberrations and maintaining genetic integrity.

Pathways

RAD51's activity fits into the broader context of DNA damage repair pathways notably the homologous recombination (HR) pathway. This pathway is important for repairing double-strand breaks utilizing other proteins such as ATM and ATR to signal repair processes. Furthermore RAD51 interacts with various members of the BRCA protein family combining efforts to ensure proper DNA damage response and repair.

RAD51 mutations or dysregulation are linked to various types of cancer including breast and ovarian cancers. These cancers may involve mutations in BRCA1 and BRCA2 genes which affect RAD51's ability to effectively perform homologous recombination. Additionally disruptions in RAD51 function are associated with Fanconi anemia a disorder characterized by DNA repair defects. This condition demonstrates the importance of RAD51's interaction with FA pathway proteins in maintaining genomic stability and preventing disease.

Product protocols

For this product, it's our understanding that no specific protocols are required. You can visit:

Target data

The protein expressed by the RAD51 gene plays an important role in homologous strand exchange, a critical step in DNA repair through homologous recombination (HR). It binds to single and double-stranded DNA and exhibits DNA-dependent ATPase activity, catalyzing the recognition of homology and strand exchange between homologous DNA partners to form a joint molecule between a processed DNA break and the repair template. RAD51 binds to single-stranded DNA in an ATP-dependent manner to form nucleoprotein filaments essential for the homology search and strand exchange. It is part of a PALB2-scaffolded HR complex containing BRCA2 and RAD51C, which is thought to play a role in DNA repair by HR. RAD51 also plays a role in regulating mitochondrial DNA copy number under conditions of oxidative stress in the presence of RAD51C and XRCC3 and is involved in interstrand cross-link repair. This supplementary information is collated from multiple sources and compiled automatically.
See full target information RAD51

Publications (3)

Recent publications for all applications. Explore the full list and refine your search

Endocrine-related cancer 29:225-239 PubMed35171113

2022

Loss of MEN1 function impairs DNA repair capability of pancreatic neuroendocrine tumors.

Applications

Unspecified application

Species

Unspecified reactive species

Olga Lakiza,Julian Lutze,Alyx Vogle,Jelani Williams,Abde Abukdheir,Paul Miller,Chih-Yi 'Andy' Liao,Sean P Pitroda,Carlos Martinez,Andrea Olivas,Namrata Setia,Stephen J Kron,Ralph R Weichselbaum,Xavier M Keutgen

eLife 4: PubMed26374986

2015

SPOP mutation leads to genomic instability in prostate cancer.

Applications

WB

Species

Unspecified reactive species

Gunther Boysen,Christopher E Barbieri,Davide Prandi,Mirjam Blattner,Sung-Suk Chae,Arun Dahija,Srilakshmi Nataraj,Dennis Huang,Clarisse Marotz,Limei Xu,Julie Huang,Paola Lecca,Sagar Chhangawala,Deli Liu,Pengbo Zhou,Andrea Sboner,Johann S de Bono,Francesca Demichelis,Yariv Houvras,Mark A Rubin

Clinical cancer research : an official journal of 19:5003-15 PubMed23881923

2013

BMN 673, a novel and highly potent PARP1/2 inhibitor for the treatment of human cancers with DNA repair deficiency.

Applications

ICC/IF

Species

Unspecified reactive species

Yuqiao Shen,Farah L Rehman,Ying Feng,Julia Boshuizen,Ilirjana Bajrami,Richard Elliott,Bing Wang,Christopher J Lord,Leonard E Post,Alan Ashworth
View all publications

Product promise

We are committed to supporting your work with high-quality reagents, and we're here for you every step of the way. In the unlikely event that one of our products does not perform as expected, you're protected by our Product Promise.
For full details, please see our Terms & Conditions

Please note: All products are 'FOR RESEARCH USE ONLY. NOT FOR USE IN DIAGNOSTIC OR THERAPEUTIC PROCEDURES'.

For licensing inquiries, please contact partnerships@abcam.com