JavaScript is disabled in your browser. Please enable JavaScript to view this website.
AB234634

Anti-Rad51 antibody [EPR4031(23)] - BSA and Azide free

Be the first to review this product! Submit a review

|

(1 Publication)

Rabbit Recombinant Monoclonal Rad51 antibody. Carrier free. Suitable for IHC-P, Flow Cyt (Intra) and reacts with Human samples. Cited in 1 publication.

View Alternative Names

RAD51A, RECA, RAD51, DNA repair protein RAD51 homolog 1, HsRAD51, hRAD51, RAD51 homolog A

4 Images
Immunohistochemistry (Formalin/PFA-fixed paraffin-embedded sections) - Anti-Rad51 antibody [EPR4031(23)] - BSA and Azide free (AB234634)
  • IHC-P

Unknown

Immunohistochemistry (Formalin/PFA-fixed paraffin-embedded sections) - Anti-Rad51 antibody [EPR4031(23)] - BSA and Azide free (AB234634)

This data was developed using ab133553, the same antibody clone in a different buffer formulation.

Immunohistochemical analysis of paraffin-embedded Human prostate adenocarcinoma tissue labelling Rad51 with ab133553 antibody at a dilution of 1/250.

Perform heat mediated antigen retrieval with citrate buffer pH 6 before commencing with IHC staining protocol.

Flow Cytometry (Intracellular) - Anti-Rad51 antibody [EPR4031(23)] - BSA and Azide free (AB234634)
  • Flow Cyt (Intra)

Unknown

Flow Cytometry (Intracellular) - Anti-Rad51 antibody [EPR4031(23)] - BSA and Azide free (AB234634)

This data was developed using ab133553, the same antibody clone in a different buffer formulation.

Intracellular Flow Cytometry analysis of Jurkat (human acute T cell leukemia) cells labeling Rad51 (red) with ab133553 at a 1/400 dilution. Cells were fixed with 4% paraformaldehyde and permeabilized with 90% methanol. A goat anti-rabbit IgG (Alexa Fluor® 488) (ab150077) was used as the secondary antibody at a 1/2000 dilution. Black - Rabbit monoclonal IgG (ab172730). Blue (unlabeled control) - Cells without incubation with the primary and secondary antibodies.

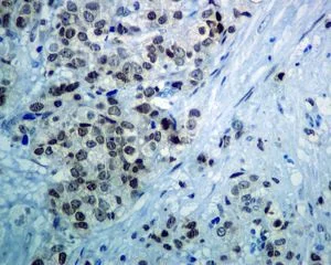
Immunohistochemistry (Formalin/PFA-fixed paraffin-embedded sections) - Anti-Rad51 antibody [EPR4031(23)] - BSA and Azide free (AB234634)
  • IHC-P

Unknown

Immunohistochemistry (Formalin/PFA-fixed paraffin-embedded sections) - Anti-Rad51 antibody [EPR4031(23)] - BSA and Azide free (AB234634)

This data was developed using ab133553, the same antibody clone in a different buffer formulation.

Immunohistochemical analysis of paraffin embedded Human testis tissue labelling Rad51 with ab133553 antibody at a dilution of 1/250.

Perform heat mediated antigen retrieval with citrate buffer pH 6 before commencing with IHC staining protocol.

OI-RD Scanning - Anti-Rad51 antibody [EPR4031(23)] - BSA and Azide free (AB234634)
  • OI-RD Scanning

Unknown

OI-RD Scanning - Anti-Rad51 antibody [EPR4031(23)] - BSA and Azide free (AB234634)

We have systematically measured KD (the equilibrium dissociation constant between the antibody and its antigen), of more than 840 recombinant antibodies to assess not only their individual KD values but also to see the average affinity of antibody. Based on the comparison with published literature values for mouse monoclonal antibodies, Recombinant antibodies appear to be on average 1-2 order of magnitude higher affinity.

Key facts

Host species

Rabbit

Clonality

Monoclonal

Clone number

EPR4031(23)

Isotype

IgG

Carrier free

Yes

Reacts with

Human

Applications

IHC-P, Flow Cyt (Intra)

applications

Immunogen

The exact immunogen used to generate this antibody is proprietary information.

Reactivity data

{ "title": "Reactivity Data", "filters": { "stats": ["", "Species", "Dilution Info", "Notes"], "tabs": { "all-applications": {"fullname" : "All Applications", "shortname": "All Applications"}, "IHCP" : {"fullname" : "Immunohistochemistry (Formalin/PFA-fixed paraffin-embedded sections)", "shortname":"IHC-P"}, "FlowCytIntra" : {"fullname" : "Flow Cytometry (Intracellular)", "shortname":"Flow Cyt (Intra)"} }, "product-promise": { "all": "all", "testedAndGuaranteed": "tested", "guaranteed": "expected", "predicted": "predicted", "notRecommended": "not-recommended" } }, "values": { "Human": { "IHCP-species-checked": "testedAndGuaranteed", "IHCP-species-dilution-info": "", "IHCP-species-notes": "<p></p>", "FlowCytIntra-species-checked": "testedAndGuaranteed", "FlowCytIntra-species-dilution-info": "", "FlowCytIntra-species-notes": "<p></p>" } } }

Product details

ab234634 is the carrier-free version of ab133553.

Patented technology
Our RabMAb® technology is a patented hybridoma-based technology for making rabbit monoclonal antibodies. For details on our patents, please refer to RabMAb® patents.

What are the advantages of a recombinant monoclonal antibody?
This product is a recombinant monoclonal antibody, which offers several advantages including:

  • - High batch-to-batch consistency and reproducibility
  • - Improved sensitivity and specificity
  • - Long-term security of supply
  • - Animal-free batch production

For more information, read more on recombinant antibodies.

Conjugation ready
Our carrier-free antibodies are typically supplied in a PBS-only formulation, purified and free of BSA, sodium azide and glycerol. This conjugation-ready format is designed for use with fluorochromes, metal isotopes, oligonucleotides, and enzymes, which makes them ideal for antibody labelling, functional and cell-based assays, flow-based assays (e.g. mass cytometry) and Multiplex Imaging applications.

Use our conjugation kits for antibody conjugates that are ready-to-use in as little as 20 minutes with 1 minute hands-on-time and 100% antibody recovery: available for fluorescent dyes, HRP, biotin and gold.

Compatibility
This product is compatible with the Maxpar® Antibody Labeling Kit from Fluidigm, without the need for antibody preparation. Maxpar® is a trademark of Fluidigm Canada Inc.

Properties and storage information

Form
Liquid
Purification technique
Affinity purification Protein A
Storage buffer
pH: 7.2 - 7.4 Constituents: PBS
Shipped at conditions
Blue Ice
Appropriate short-term storage conditions
+4°C
Appropriate long-term storage conditions
+4°C
Storage information
Do Not Freeze

Supplementary information

This supplementary information is collated from multiple sources and compiled automatically.

RAD51 also known as recombination protein A or Novus RAD51 is a DNA repair protein with a molecular mass of approximately 37 kDa. This protein plays a significant role in homologous recombination and is active in the repair of double-strand breaks in DNA. It is expressed in various tissues with high levels seen in rapidly dividing cells. RAD51 acts by forming nucleoprotein filaments on single-stranded DNA and facilitates the search for homology and strand pairing during the repair process.
Biological function summary

Processes involving RAD51 are essential for genomic stability and cellular response to DNA damage. RAD51 often functions as part of a repair complex along with other proteins such as BRCA2 and RPA. This complex binds and stabilizes single-stranded DNA during search and strand invasion which is vital for successful recombination repair. Such repair mechanisms are important for preventing chromosomal aberrations and maintaining genetic integrity.

Pathways

RAD51's activity fits into the broader context of DNA damage repair pathways notably the homologous recombination (HR) pathway. This pathway is important for repairing double-strand breaks utilizing other proteins such as ATM and ATR to signal repair processes. Furthermore RAD51 interacts with various members of the BRCA protein family combining efforts to ensure proper DNA damage response and repair.

RAD51 mutations or dysregulation are linked to various types of cancer including breast and ovarian cancers. These cancers may involve mutations in BRCA1 and BRCA2 genes which affect RAD51's ability to effectively perform homologous recombination. Additionally disruptions in RAD51 function are associated with Fanconi anemia a disorder characterized by DNA repair defects. This condition demonstrates the importance of RAD51's interaction with FA pathway proteins in maintaining genomic stability and preventing disease.

Product protocols

For this product, it's our understanding that no specific protocols are required. You can visit:

Target data

Plays an important role in homologous strand exchange, a key step in DNA repair through homologous recombination (HR) (PubMed : 12205100, PubMed : 18417535, PubMed : 20231364, PubMed : 20348101, PubMed : 22325354, PubMed : 23509288, PubMed : 23754376, PubMed : 26681308, PubMed : 28575658, PubMed : 32640219). Binds to single-stranded DNA in an ATP-dependent manner to form nucleoprotein filaments which are essential for the homology search and strand exchange (PubMed : 12205100, PubMed : 18417535, PubMed : 15226506, PubMed : 20231364, PubMed : 20348101, PubMed : 23509288, PubMed : 23754376, PubMed : 26681308, PubMed : 28575658). Catalyzes the recognition of homology and strand exchange between homologous DNA partners to form a joint molecule between a processed DNA break and the repair template (PubMed : 12205100, PubMed : 18417535, PubMed : 20231364, PubMed : 20348101, PubMed : 23509288, PubMed : 23754376, PubMed : 26681308, PubMed : 28575658, PubMed : 38459011). Recruited to resolve stalled replication forks during replication stress (PubMed : 27797818, PubMed : 31844045). Part of a PALB2-scaffolded HR complex containing BRCA2 and RAD51C and which is thought to play a role in DNA repair by HR (PubMed : 12442171, PubMed : 24141787). Plays a role in regulating mitochondrial DNA copy number under conditions of oxidative stress in the presence of RAD51C and XRCC3 (PubMed : 20413593). Also involved in interstrand cross-link repair (PubMed : 26253028).
See full target information RAD51

Publications (1)

Recent publications for all applications. Explore the full list and refine your search

Cells 11: PubMed35159267

2022

Effect of Withanolide A on 7-Ketocholesterol Induced Cytotoxicity in hCMEC/D3 Brain Endothelial Cells.

Applications

Unspecified application

Species

Unspecified reactive species

Sandra Soh,Wei-Yi Ong
View all publications

Product promise

We are committed to supporting your work with high-quality reagents, and we're here for you every step of the way. In the unlikely event that one of our products does not perform as expected, you're protected by our Product Promise.
For full details, please see our Terms & Conditions

Please note: All products are 'FOR RESEARCH USE ONLY. NOT FOR USE IN DIAGNOSTIC OR THERAPEUTIC PROCEDURES'.

For licensing inquiries, please contact partnerships@abcam.com