JavaScript is disabled in your browser. Please enable JavaScript to view this website.
AB236144

Anti-Rad51D antibody [EPR16205] - BSA and Azide free

Be the first to review this product! Submit a review

|

(1 Publication)

Rabbit Recombinant Monoclonal Rad51D antibody. Carrier free. Suitable for IP, WB, IHC-P and reacts with Human, Rat samples. Cited in 1 publication.

View Alternative Names

RAD51L3, RAD51D, DNA repair protein RAD51 homolog 4, R51H3, RAD51 homolog D, RAD51-like protein 3, TRAD

5 Images
Immunohistochemistry (Formalin/PFA-fixed paraffin-embedded sections) - Anti-Rad51D antibody [EPR16205] - BSA and Azide free (AB236144)
  • IHC-P

Supplier Data

Immunohistochemistry (Formalin/PFA-fixed paraffin-embedded sections) - Anti-Rad51D antibody [EPR16205] - BSA and Azide free (AB236144)

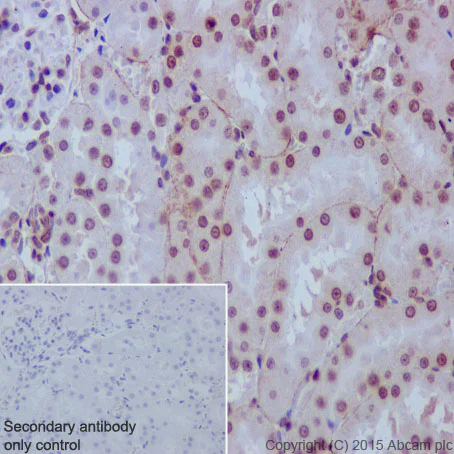
Immunohistochemical analysis of paraffin-embedded Rat kidney tissue labeling Rad51D with ab202063 at 1/100 dilution, followed by Goat Anti-Rabbit IgG H&L (HRP) (ab97051) secondary antibody at 1/500 dilution.

Nuclear staining on rat kidney tissue is observed. Counter stained with Hematoxylin.

Secondary antibody only control : Used PBS instead of primary antibody, secondary antibody is Goat Anti-Rabbit IgG H&L (HRP) (ab97051) at 1/500 dilution.

This data was developed using the same antibody clone in a different buffer formulation containing PBS, BSA, glycerol, and sodium azide (ab202063).

Heat mediated antigen retrieval was performed with Tris/EDTA buffer pH 9.0 before commencing with IHC staining protocol.

Immunohistochemistry (Formalin/PFA-fixed paraffin-embedded sections) - Anti-Rad51D antibody [EPR16205] - BSA and Azide free (AB236144)
  • IHC-P

Supplier Data

Immunohistochemistry (Formalin/PFA-fixed paraffin-embedded sections) - Anti-Rad51D antibody [EPR16205] - BSA and Azide free (AB236144)

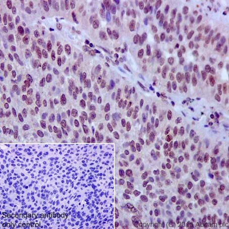
Immunohistochemical analysis of paraffin-embedded human lung carcinoma tissue labeling Rad51D with ab202063 at 1/100 dilution, followed by Goat Anti-Rabbit IgG H&L (HRP) (ab97051) secondary antibody at 1/500 dilution. Nuclear staining on Human lung carcinoma tissue is observed. Counter stained with Hematoxylin.

Secondary antibody only control : Used PBS instead of primary antibody, secondary antibody is Goat Anti-Rabbit IgG H&L (HRP) (ab97051) at 1/500 dilution.

This data was developed using the same antibody clone in a different buffer formulation containing PBS, BSA, glycerol, and sodium azide (ab202063).

Heat mediated antigen retrieval was performed with Tris/EDTA buffer pH 9.0 before commencing with IHC staining protocol.

Immunohistochemistry (Formalin/PFA-fixed paraffin-embedded sections) - Anti-Rad51D antibody [EPR16205] - BSA and Azide free (AB236144)
  • IHC-P

Supplier Data

Immunohistochemistry (Formalin/PFA-fixed paraffin-embedded sections) - Anti-Rad51D antibody [EPR16205] - BSA and Azide free (AB236144)

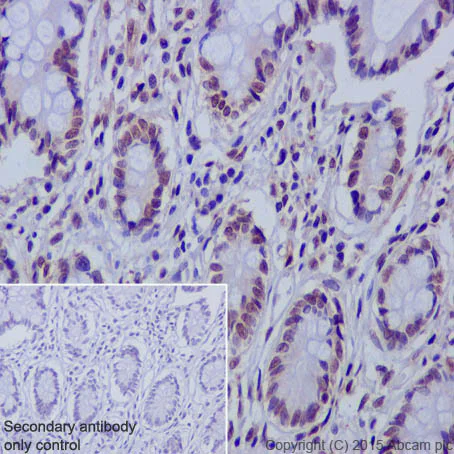
Immunohistochemical analysis of paraffin-embedded Human small intestine tissue labeling Rad51D with ab202063 at 1/100 dilution, followed by Goat Anti-Rabbit IgG H&L (HRP) (ab97051) secondary antibody at 1/500 dilution.

Nuclear staining on Human small intestine tissue is observed. Counter stained with Hematoxylin.

Secondary antibody only control : Used PBS instead of primary antibody, secondary antibody is Goat Anti-Rabbit IgG H&L (HRP) (ab97051) at 1/500 dilution.

This data was developed using the same antibody clone in a different buffer formulation containing PBS, BSA, glycerol, and sodium azide (ab202063).

Heat mediated antigen retrieval was performed with Tris/EDTA buffer pH 9.0 before commencing with IHC staining protocol.

Immunohistochemistry (Formalin/PFA-fixed paraffin-embedded sections) - Anti-Rad51D antibody [EPR16205] - BSA and Azide free (AB236144)
  • IHC-P

Supplier Data

Immunohistochemistry (Formalin/PFA-fixed paraffin-embedded sections) - Anti-Rad51D antibody [EPR16205] - BSA and Azide free (AB236144)

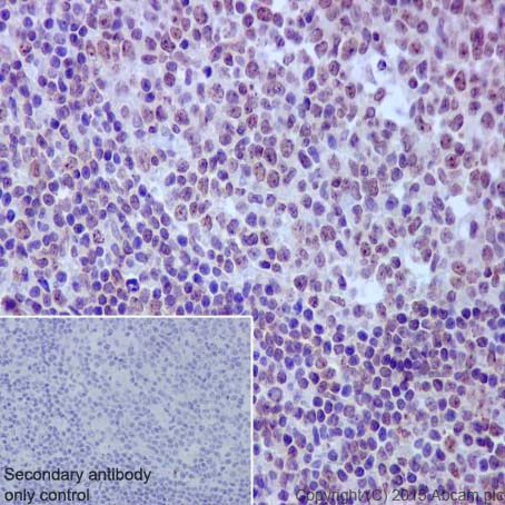
Immunohistochemical analysis of paraffin-embedded Human tonsil tissue labeling Rad51D with ab202063 at 1/100 dilution, followed by Goat Anti-Rabbit IgG H&L (HRP) (ab97051) secondary antibody at 1/500 dilution.

Nuclear staining on Human tonsil tissue is observed. Counter stained with Hematoxylin.

Secondary antibody only control : Used PBS instead of primary antibody, secondary antibody is Goat Anti-Rabbit IgG H&L (HRP) (ab97051) at 1/500 dilution.

This data was developed using the same antibody clone in a different buffer formulation containing PBS, BSA, glycerol, and sodium azide (ab202063).

Heat mediated antigen retrieval was performed with Tris/EDTA buffer pH 9.0 before commencing with IHC staining protocol.

Immunoprecipitation - Anti-Rad51D antibody [EPR16205] - BSA and Azide free (AB236144)
  • IP

Supplier Data

Immunoprecipitation - Anti-Rad51D antibody [EPR16205] - BSA and Azide free (AB236144)

Rad51D was immunoprecipitated from 1mg of HeLa (Human epithelial cells from cervix adenocarcinoma) whole cell lysate with ab202063 at 1/50 dilution.

Western blot was performed from the immunoprecipitate using ab202063 at 1/1000 dilution.

Anti-Rabbit IgG (HRP), specific to the non-reduced form of IgG was used as secondary antibody at 1/1500 dilution.

Lane 1 : HeLa whole cell lysate 10 µg (Input).

Lane 2 : ab202063 IP in HeLa whole cell lysate.

Lane 3 : Rabbit monoclonal IgG (ab172730) instead of ab202063 in HeLa whole cell lysate.
Blocking and dilution buffer and concentration : 5% NFDM/TBST.

Exposure time : 30 seconds.

This data was developed using the same antibody clone in a different buffer formulation containing PBS, BSA, glycerol, and sodium azide (ab202063).

All lanes:

Immunoprecipitation - Anti-Rad51D antibody [EPR16205] (<a href='/en-us/products/primary-antibodies/rad51d-antibody-epr16205-ab202063'>ab202063</a>)

Predicted band size: 35 kDa

false

Key facts

Host species

Rabbit

Clonality

Monoclonal

Clone number

EPR16205

Isotype

IgG

Carrier free

Yes

Reacts with

Rat, Human

Applications

IP, WB, IHC-P

applications

Immunogen

The exact immunogen used to generate this antibody is proprietary information.

Reactivity data

{ "title": "Reactivity Data", "filters": { "stats": ["", "Species", "Dilution Info", "Notes"], "tabs": { "all-applications": {"fullname" : "All Applications", "shortname": "All Applications"}, "IP" : {"fullname" : "Immunoprecipitation", "shortname":"IP"}, "WB" : {"fullname" : "Western blot", "shortname":"WB"}, "IHCP" : {"fullname" : "Immunohistochemistry (Formalin/PFA-fixed paraffin-embedded sections)", "shortname":"IHC-P"} }, "product-promise": { "all": "all", "testedAndGuaranteed": "tested", "guaranteed": "expected", "predicted": "predicted", "notRecommended": "not-recommended" } }, "values": { "Human": { "IP-species-checked": "testedAndGuaranteed", "IP-species-dilution-info": "", "IP-species-notes": "<p></p> Perform heat-mediated antigen retrieval with Tris/EDTA buffer pH 9.0 before commencing with IHC staining protocol.", "WB-species-checked": "guaranteed", "WB-species-dilution-info": "", "WB-species-notes": "<p></p>", "IHCP-species-checked": "testedAndGuaranteed", "IHCP-species-dilution-info": "", "IHCP-species-notes": "<p></p> Perform heat-mediated antigen retrieval with Tris/EDTA buffer pH 9.0 before commencing with IHC staining protocol." }, "Rat": { "IP-species-checked": "predicted", "IP-species-dilution-info": "", "IP-species-notes": "", "WB-species-checked": "guaranteed", "WB-species-dilution-info": "", "WB-species-notes": "<p></p>", "IHCP-species-checked": "predicted", "IHCP-species-dilution-info": "", "IHCP-species-notes": "" } } }

Product details

ab236144 is the carrier-free version of ab202063.

Patented technology
Our RabMAb® technology is a patented hybridoma-based technology for making rabbit monoclonal antibodies. For details on our patents, please refer to RabMAb® patents.

What are the advantages of a recombinant monoclonal antibody?
This product is a recombinant monoclonal antibody, which offers several advantages including:

  • - High batch-to-batch consistency and reproducibility
  • - Improved sensitivity and specificity
  • - Long-term security of supply
  • - Animal-free batch production

For more information, read more on recombinant antibodies.

Conjugation ready
Our carrier-free antibodies are typically supplied in a PBS-only formulation, purified and free of BSA, sodium azide and glycerol. This conjugation-ready format is designed for use with fluorochromes, metal isotopes, oligonucleotides, and enzymes, which makes them ideal for antibody labelling, functional and cell-based assays, flow-based assays (e.g. mass cytometry) and Multiplex Imaging applications.

Use our conjugation kits for antibody conjugates that are ready-to-use in as little as 20 minutes with 1 minute hands-on-time and 100% antibody recovery: available for fluorescent dyes, HRP, biotin and gold.

Compatibility
This product is compatible with the Maxpar® Antibody Labeling Kit from Fluidigm, without the need for antibody preparation. Maxpar® is a trademark of Fluidigm Canada Inc.

Properties and storage information

Form
Liquid
Purification technique
Affinity purification Protein A
Storage buffer
pH: 7.2 - 7.4 Constituents: PBS
Shipped at conditions
Blue Ice
Appropriate short-term storage conditions
+4°C
Appropriate long-term storage conditions
+4°C
Storage information
Do Not Freeze

Supplementary information

This supplementary information is collated from multiple sources and compiled automatically.

Rad51D also known as RAD51L3 is a protein involved in homologous recombination repair of DNA. It has a molecular weight of approximately 37 kDa. Rad51D is primarily expressed in tissues with high cell division rates such as the testis and thymus. This protein belongs to the RAD51 family which is responsible for repairing DNA double-strand breaks (DSBs) that can arise during replication or after exposure to genotoxic agents. Rad51D's role centers on promoting the exchange of DNA strands during repair processes which helps maintain genome stability.
Biological function summary

Rad51D plays a significant role in maintaining genomic integrity by facilitating homologous recombination. It interacts with Rad51 paralogs like Rad51C as part of the BCDX2 complex which also includes Rad51B and XRCC2. This complex is essential in the early steps of homologous recombination especially in forming the synaptic complex that searches for homology. The interactions among these proteins enable efficient strand invasion and exchange essential for error-free DNA repair.

Pathways

Rad51D is an important component in DNA repair and damage response pathways. It primarily functions within the homologous recombination repair pathway. In this pathway Rad51D works closely with the RAD52 epistasis group including proteins such as BRCA1 and BRCA2 which assist in the proper localization and functioning of RAD51 recombinase. Rad51D's involvement in these pathways ensures accurate and effective DNA repair preventing genomic instability that could lead to cellular dysfunction.

Rad51D mutations have been linked to a higher risk of breast and ovarian cancer. Its association with the BRCA1 and BRCA2 proteins suggests a shared pathway in hereditary breast and ovarian cancer syndromes where deficient DNA repair leads to genomic mutations and tumorigenesis. Further research continues to explore Rad51D's potential as a biomarker for cancer susceptibility and its utility in developing targeted therapies.

Product protocols

For this product, it's our understanding that no specific protocols are required. You can visit:

Target data

Involved in the homologous recombination repair (HRR) pathway of double-stranded DNA breaks arising during DNA replication or induced by DNA-damaging agents. Bind to single-stranded DNA (ssDNA) and has DNA-dependent ATPase activity. Part of the RAD51 paralog protein complex BCDX2 which acts in the BRCA1-BRCA2-dependent HR pathway. Upon DNA damage, BCDX2 acts downstream of BRCA2 recruitment and upstream of RAD51 recruitment. BCDX2 binds predominantly to the intersection of the four duplex arms of the Holliday junction and to junction of replication forks. The BCDX2 complex was originally reported to bind single-stranded DNA, single-stranded gaps in duplex DNA and specifically to nicks in duplex DNA. Involved in telomere maintenance. The BCDX2 subcomplex XRCC2 : RAD51D can stimulate Holliday junction resolution by BLM.
See full target information RAD51D

Publications (1)

Recent publications for all applications. Explore the full list and refine your search

iScience 26:105667 PubMed36624844

2023

EMC3 regulates mesenchymal cell survival via control of the mitotic spindle assembly.

Applications

Unspecified application

Species

Unspecified reactive species

Xiaofang Tang,Wei Wei,John M Snowball,Ernesto S Nakayasu,Sheila M Bell,Charles Ansong,Xinhua Lin,Jeffrey A Whitsett
View all publications

Product promise

We are committed to supporting your work with high-quality reagents, and we're here for you every step of the way. In the unlikely event that one of our products does not perform as expected, you're protected by our Product Promise.
For full details, please see our Terms & Conditions

Please note: All products are 'FOR RESEARCH USE ONLY. NOT FOR USE IN DIAGNOSTIC OR THERAPEUTIC PROCEDURES'.

For licensing inquiries, please contact partnerships@abcam.com