JavaScript is disabled in your browser. Please enable JavaScript to view this website.
AB124783

Anti-RAE1 antibody [EPR6923]

Be the first to review this product! Submit a review

|

(5 Publications)

Rabbit Recombinant Monoclonal RAE1 antibody. Suitable for IHC-P, WB and reacts with Human samples. Cited in 5 publications.

View Alternative Names

MRNP41, RAE1, mRNA export factor RAE1, Rae1 protein homolog, mRNA-associated protein mrnp 41

2 Images
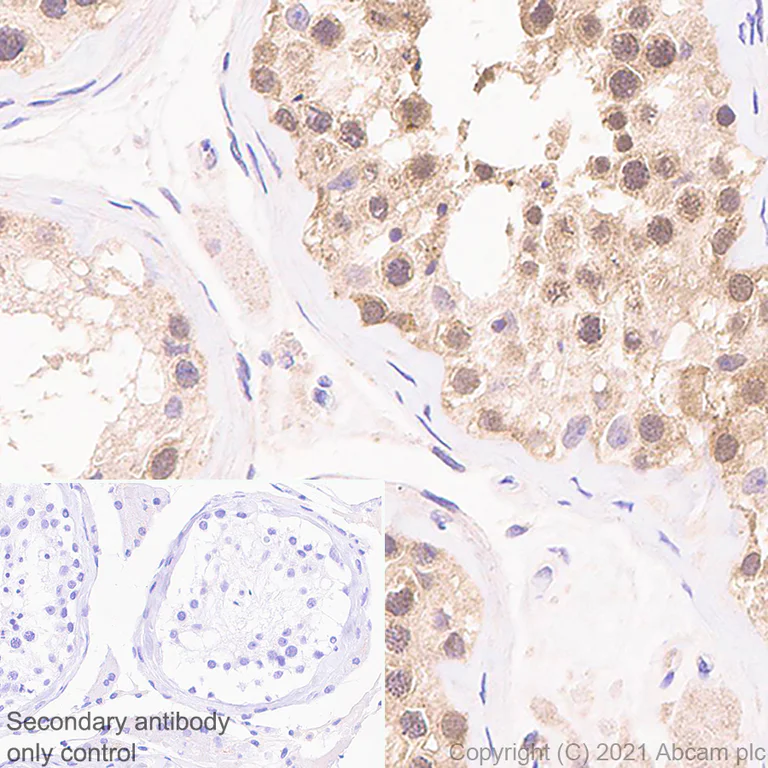
Immunohistochemistry (Formalin/PFA-fixed paraffin-embedded sections) - Anti-RAE1 antibody [EPR6923] (AB124783)
  • IHC-P

Supplier Data

Immunohistochemistry (Formalin/PFA-fixed paraffin-embedded sections) - Anti-RAE1 antibody [EPR6923] (AB124783)

Immunohistochemistry (Formalin/PFA-fixed paraffin-embedded sections) analysis of human testis tissue sections labeling RAE1 with Purified ab124783 at 1 : 200 (0.51 μg/ml). Heat mediated antigen retrieval was performed using Bond™ Epitope Retrieval Solution 2 (pH 9.0). Tissue was counterstained with Hematoxylin. Rabbit specific IHC polymer detection kit HRP/DAB (ab209101) secondary antibody was used at 1 : 0 dilution. PBS instead of the primary antibody was used as the negative control. The immunostaining was performed on a Leica Biosystems BOND® RX instrument.

Western blot - Anti-RAE1 antibody [EPR6923] (AB124783)
  • WB

Supplier Data

Western blot - Anti-RAE1 antibody [EPR6923] (AB124783)

All lanes:

Western blot - Anti-RAE1 antibody [EPR6923] (ab124783) at 1/10000 dilution

Lane 1:

MCF7 (Human breast adenocarcinoma epithelial cell) whole cell lysates at 15 µg

Lane 2:

HeLa (Human cervix adenocarcinoma epithelial cell) whole cell lysate at 20 µg

Lane 3:

HEK-293 (Human embryonic kidney epithelial cell) whole cell lysate at 20 µg

Secondary

All lanes:

Western blot - Goat Anti-Rabbit IgG H&L (HRP) (<a href='/en-us/products/secondary-antibodies/goat-rabbit-igg-h-l-hrp-ab97051'>ab97051</a>) at 1/20000 dilution

Predicted band size: 41 kDa

Observed band size: 41 kDa

false

Key facts

Host species

Rabbit

Clonality

Monoclonal

Clone number

EPR6923

Isotype

IgG

Carrier free

No

Reacts with

Human

Applications

WB, IHC-P

applications

Immunogen

The exact immunogen used to generate this antibody is proprietary information.

Reactivity data

{ "title": "Reactivity Data", "filters": { "stats": ["", "Species", "Dilution Info", "Notes"], "tabs": { "all-applications": {"fullname" : "All Applications", "shortname": "All Applications"}, "IHCP" : {"fullname" : "Immunohistochemistry (Formalin/PFA-fixed paraffin-embedded sections)", "shortname":"IHC-P"}, "WB" : {"fullname" : "Western blot", "shortname":"WB"} }, "product-promise": { "all": "all", "testedAndGuaranteed": "tested", "guaranteed": "expected", "predicted": "predicted", "notRecommended": "not-recommended" } }, "values": { "Human": { "IHCP-species-checked": "testedAndGuaranteed", "IHCP-species-dilution-info": "1/200", "IHCP-species-notes": "<p>Heat up to 98 degrees C, below boiling, and then let cool for 10-20 min</p>", "WB-species-checked": "testedAndGuaranteed", "WB-species-dilution-info": "1/1000 - 1/10000", "WB-species-notes": "<p></p>" } } }

Product details

Species reactivity
Mouse, Rat: We have preliminary internal testing data to indicate this antibody may not react with these species.
Please contact us for more information.

Patented technology
Our RabMAb® technology is a patented hybridoma-based technology for making rabbit monoclonal antibodies. For details on our patents, please refer to RabMAb® patents.

What are the advantages of a recombinant monoclonal antibody?
This product is a recombinant monoclonal antibody, which offers several advantages including:

  • - High batch-to-batch consistency and reproducibility
  • - Improved sensitivity and specificity
  • - Long-term security of supply
  • - Animal-free batch production

For more information, read more on recombinant antibodies.

Properties and storage information

Form
Liquid
Purification technique
Affinity purification Protein A
Storage buffer
pH: 7.2 - 7.4 Preservative: 0.01% Sodium azide Constituents: PBS, 40% Glycerol (glycerin, glycerine), 0.05% BSA
Shipped at conditions
Blue Ice
Appropriate short-term storage duration
1-2 weeks
Appropriate short-term storage conditions
+4°C
Appropriate long-term storage conditions
-20°C
Aliquoting information
Upon delivery aliquot
Storage information
Avoid freeze / thaw cycle|Stable for 12 months at -20°C

Supplementary information

This supplementary information is collated from multiple sources and compiled automatically.

RAE1 also known as Regulator of Chromosome Condensation 1 is a protein with a molecular mass of approximately 44 kDa. This protein primarily binds to mRNA facilitating its export from the nucleus to the cytoplasm. Expressed abundantly in multiple tissues RAE1 plays an integral role in the cellular machinery that governs mRNA transport. It directly interacts with the nuclear pore complex exhibiting specific binding with the nucleoporins a component essential for mRNA export.
Biological function summary

RAE1 functions as a part of the mRNA export machinery ensuring accurate and efficient mRNA transfer to the cytoplasm. It forms a complex with Nup98 an important player in nucleocytoplasmic transport. This interaction highlights its significance in mRNA processing and maintaining RNA stability within cells. By collaborating with other export factors RAE1 supports mRNA maturation processes that are critical for subsequent translation into proteins.

Pathways

RAE1 takes an active role in the nucleocytoplasmic transport pathway and influences the gene expression regulation pathway. Both these pathways are vital for converting genetic information into functional proteins. RAE1 also collaborates with proteins such as Nup98 and CRM1 which further illustrates its importance in the complex network of cellular transport systems. These pathways integrate signals that ensure the appropriate expression and localization of mRNA thereby forming an essential link between transcription and translation.

Abnormalities in RAE1 function can relate to cancer and neurological disorders. Disruptions in mRNA transport where RAE1 is a critical component have been observed in several cancer types highlighting its relationship with oncogenic processes. Additionally improper interaction between RAE1 and Nup98 may contribute to conditions affecting neural function suggesting potential connections with neurodegenerative diseases. Understanding RAE1's role in these pathologies may provide insights into developing new therapeutic strategies.

Product protocols

For this product, it's our understanding that no specific protocols are required. You can visit:

Target data

Acts as a mRNA export factor involved in nucleocytoplasmic transport (PubMed : 20498086, PubMed : 33849972). Plays a role in mitotic bipolar spindle formation (PubMed : 17172455). May function in attaching cytoplasmic mRNPs to the cytoskeleton both directly or indirectly (PubMed : 17172455).
See full target information RAE1

Publications (5)

Recent publications for all applications. Explore the full list and refine your search

Chinese medicine 20:71 PubMed40420092

2025

Evodiamine induces ferroptosis in prostate cancer cells by inhibiting TRIM26-mediated stabilization of GPX4.

Applications

Unspecified application

Species

Unspecified reactive species

Lanlan Li,Jianzhong Lu,Shengjun Fu,Wenyan Li,Ying Wang,Ke Wang,Yan Tao,Shanhui Liu

PLoS pathogens 18:e1010349 PubMed36007063

2022

SARS-CoV-2 ORF6 disrupts innate immune signalling by inhibiting cellular mRNA export.

Applications

Unspecified application

Species

Unspecified reactive species

Ross Hall,Anabel Guedán,Melvyn W Yap,George R Young,Ruth Harvey,Jonathan P Stoye,Kate N Bishop

Cell reports 34:108916 PubMed33765414

2021

Sarbecovirus ORF6 proteins hamper induction of interferon signaling.

Applications

Unspecified application

Species

Unspecified reactive species

Izumi Kimura,Yoriyuki Konno,Keiya Uriu,Kristina Hopfensperger,Daniel Sauter,So Nakagawa,Kei Sato

Science advances 7: PubMed33627431

2021

The deacetylation-phosphorylation regulation of SIRT2-SMC1A axis as a mechanism of antimitotic catastrophe in early tumorigenesis.

Applications

Unspecified application

Species

Unspecified reactive species

Fei Yi,Ying Zhang,Zhijun Wang,Zhuo Wang,Ziwei Li,Tingting Zhou,Hongde Xu,Jingwei Liu,Bo Jiang,Xiaoman Li,Liang Wang,Ning Bai,Qiqiang Guo,Yi Guan,Yanling Feng,Zhiyong Mao,Guangjian Fan,Shengping Zhang,Chuangui Wang,Longyue Cao,Brian P O'Rourke,Yang Wang,Yanmei Wu,Boquan Wu,Shilong You,Naijin Zhang,Junlin Guan,Xiaoyu Song,Yingxian Sun,Shi Wei,Liu Cao

eLife 7: PubMed30084827

2018

Nuclear pore heterogeneity influences HIV-1 infection and the antiviral activity of MX2.

Applications

Unspecified application

Species

Unspecified reactive species

Melissa Kane,Stephanie V Rebensburg,Matthew A Takata,Trinity M Zang,Masahiro Yamashita,Mamuka Kvaratskhelia,Paul D Bieniasz
View all publications

Product promise

We are committed to supporting your work with high-quality reagents, and we're here for you every step of the way. In the unlikely event that one of our products does not perform as expected, you're protected by our Product Promise.
For full details, please see our Terms & Conditions

Please note: All products are 'FOR RESEARCH USE ONLY. NOT FOR USE IN DIAGNOSTIC OR THERAPEUTIC PROCEDURES'.

For licensing inquiries, please contact partnerships@abcam.com