JavaScript is disabled in your browser. Please enable JavaScript to view this website.
AB236003

Anti-Raf1 antibody [EP4969] - BSA and Azide free

Be the first to review this product! Submit a review

|

(1 Publication)

Rabbit Recombinant Monoclonal RAF1 antibody. Carrier free. Suitable for WB, ICC/IF, Flow Cyt (Intra) and reacts with Mouse, Rat, Human samples. Cited in 1 publication.

View Alternative Names

RAF, RAF1, RAF proto-oncogene serine/threonine-protein kinase, Proto-oncogene c-RAF, Raf-1, cRaf

6 Images
Western blot - Anti-Raf1 antibody [EP4969] - BSA and Azide free (AB236003)
  • WB

Lab

Western blot - Anti-Raf1 antibody [EP4969] - BSA and Azide free (AB236003)

This data was developed using the same antibody clone in a different buffer formulation containing PBS, BSA, glycerol, and sodium azide (ab181115). Western blot : Anti-RAF1 antibody [EP4969] (ab181115) staining at 1/1000 dilution, shown in green; Mouse anti-GAPDH antibody [6C5] (ab8245) loading control staining at 1/20000 dilution, shown in red. In Western blot, ab181115 was shown to bind specifically to RAF1. A band was observed at 73 kDa in wild-type HCT 116 cell lysates with no signal observed at this size in RAF1 knockout cell line. To generate this image, wild-type and RAF1 knockout HCT 116 cell lysates were analysed. First, samples were run on an SDS-PAGE gel then transferred onto a nitrocellulose membrane. Membranes were blocked in 3 % milk in TBS-0.1 % Tween® 20 (TBS-T) before incubation with primary antibodies overnight at 4 °C. Blots were washed four times in TBS-T, incubated with secondary antibodies for 1 h at room temperature, washed again four times then imaged. Secondary antibodies used were Goat anti-Rabbit IgG H&L 800CW and Goat anti-Mouse IgG H&L 680RD at 1/20000 dilution.

All lanes:

Western blot - Anti-Raf1 antibody [EP4969] - N-terminal (<a href='/en-us/products/primary-antibodies/raf1-antibody-ep4969-n-terminal-ab181115'>ab181115</a>) at 1/1000 dilution

Lane 1:

Wild-type HCT 116 cell lysate at 20 µg

Lane 2:

Western blot - Human RAF1 knockout HCT116 cell line (<a href='/en-us/products/cell-lines/human-raf1-knockout-hct116-cell-line-ab286619'>ab286619</a>)

Lane 2:

RAF1 knockout HCT 116 cell lysate at 20 µg

Secondary

All lanes:

Goat anti-Rabbit IgG H&L 800CW and Goat anti-Mouse IgG H&L 680RD at 1/20000 dilution

Predicted band size: 73 kDa

Observed band size: 73 kDa

false

Immunocytochemistry/ Immunofluorescence - Anti-Raf1 antibody [EP4969] - BSA and Azide free (AB236003)
  • ICC/IF

Supplier Data

Immunocytochemistry/ Immunofluorescence - Anti-Raf1 antibody [EP4969] - BSA and Azide free (AB236003)

Immunofluorescent analysis of acetone-fixed K562 cells labeling Raf1 with ab181115 at 1/250 dilution, followed by Goat anti rabbit IgG (Alexa Fluor® 488) secondary antibody at 1/200 dilution. Counter stained with Dapi.

This data was developed using the same antibody clone in a different buffer formulation containing PBS, BSA, glycerol, and sodium azide (ab181115).

Flow Cytometry (Intracellular) - Anti-Raf1 antibody [EP4969] - BSA and Azide free (AB236003)
  • Flow Cyt (Intra)

Lab

Flow Cytometry (Intracellular) - Anti-Raf1 antibody [EP4969] - BSA and Azide free (AB236003)

Intracellular Flow Cytometry analysis of K-562 (Human chronic myelogenous leukemia lymphoblast) cells labelling with ab181115 at 1/100 dilution (10.79μg/mL) (red). Cells were fixed with 4% paraformaldehyde . Goat anti rabbit IgG (Alexa Fluor® 488, ab150077) was used as the secondary antibody at 1/2000 dilution. Isotype control - 90% methanol . Unlabeled control - Rabbit monoclonal IgG (ab172730) / Black.

This data was developed using the same antibody clone in a different buffer formulation containing PBS, BSA, glycerol, and sodium azide (ab181115).

Immunocytochemistry/ Immunofluorescence - Anti-Raf1 antibody [EP4969] - BSA and Azide free (AB236003)
  • ICC/IF

Unknown

Immunocytochemistry/ Immunofluorescence - Anti-Raf1 antibody [EP4969] - BSA and Azide free (AB236003)

Immunocytochemistry/ Immunofluorescence analysis of HeLa (Human cervix adenocarcinoma epithelial cell) cells labeling Raf1 with purified ab181115 at 1/100 dilution (10 µg/ml). Cells were fixed in 4% Paraformaldehyde and permeabilized with 0.1% tritonX-100. Cells were counterstained with ab195889 Anti-alpha Tubulin antibody [DM1A] - Microtubule Marker (Alexa Fluor® 594) 1/200 (2.5 µg/ml). Goat anti rabbit IgG (Alexa Fluor® 488, ab150077) was used as the secondary antibody at 1/1000 (2 µg/ml) dilution. DAPI (blue) was used as nuclear counterstain. PBS instead of the primary antibody was used as the secondary antibody only control.
This data was developed using the same antibody clone in a different buffer formulation containing PBS, BSA, glycerol, and sodium azide (ab181115)

Western blot - Anti-Raf1 antibody [EP4969] - BSA and Azide free (AB236003)
  • WB

Lab

Western blot - Anti-Raf1 antibody [EP4969] - BSA and Azide free (AB236003)

This data was developed using the same antibody clone in a different buffer formulation (ab181115).

Lanes 1- 2 : Merged signal (red and green). Green - ab181115 observed at 73 kDa. Red - Anti-GAPDH antibody [6C5] - Loading Control (ab8245) observed at 37 kDa.

ab181115 was shown to react with Raf1 in wild-type HeLa cells in western blot. Loss of signal was observed when knockout cell line ab264978 (knockout cell lysate ab257126) was used. Wild-type HeLa and RAF1 knockout HeLa cell lysates were subjected to SDS-PAGE. Membrane was blocked for 1 hour at room temperature in 0.1% TBST with 3% non-fat dried milk. ab181115 and Anti-GAPDH antibody [6C5] - Loading Control (ab8245) overnight at 4°C at a 1 in 20000 Dilution and a 1 in 20000 dilution respectively. Blots were developed with Goat anti-Rabbit IgG H&L (IRDye®800CW) preadsorbed (ab216773) and Goat anti-Mouse IgG H&L (IRDye®680RD) preadsorbed (ab216776) secondary antibodies at 1 in 20000 dilution for 1 hour at room temperature before imaging.

All lanes:

Western blot - Anti-Raf1 antibody [EP4969] - N-terminal (<a href='/en-us/products/primary-antibodies/raf1-antibody-ep4969-n-terminal-ab181115'>ab181115</a>) at 1/20000 dilution

Lane 1:

Wild-type HeLa cell lysate at 20 µg

Lane 2:

RAF1 knockout HeLa cell lysate at 20 µg

Lane 2:

Western blot - Human RAF1 knockout HeLa cell line (<a href='/en-us/products/cell-lines/human-raf1-knockout-hela-cell-line-ab264978'>ab264978</a>)

Predicted band size: 73 kDa

Observed band size: 73 kDa

false

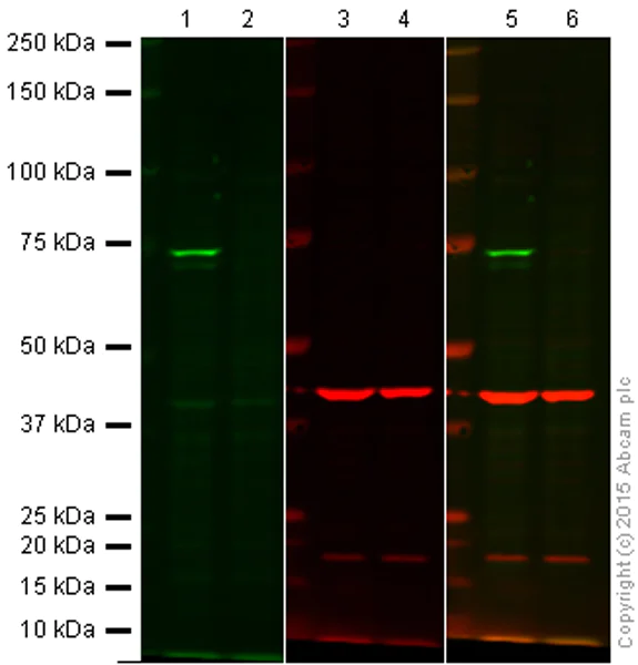
Western blot - Anti-Raf1 antibody [EP4969] - BSA and Azide free (AB236003)
  • WB

Supplier Data

Western blot - Anti-Raf1 antibody [EP4969] - BSA and Azide free (AB236003)

Lanes 1 and 2 : Green signal from target – ab181115 observed at 74 kDa
Lanes 3 and 4 : Red signal from loading control – ab8226 observed at 42 kDa
Lanes 5 and 6 : Merged (red and green) signal

ab181115 was shown to specifically react with Raf1 when Raf1 knockout samples were used. Wild-type and Raf1 knockout samples were subjected to SDS-PAGE. ab181115 and ab8226 (loading control to beta actin) were both diluted 1/1000 and incubated overnight at 4°C. Blots were developed with Goat anti-Rabbit IgG H&L (IRDye® 800CW) preadsorbed (ab216773) and Goat anti-Mouse IgG H&L (IRDye® 680RD) preadsorbed (ab216776) secondary antibodies at 1/10000 dilution for 1 hour at room temperature before imaging.

This data was developed using the same antibody clone in a different buffer formulation containing PBS, BSA, glycerol, and sodium azide (ab181115).

Lanes 1 - 4:

Western blot - Anti-Raf1 antibody [EP4969] - N-terminal (<a href='/en-us/products/primary-antibodies/raf1-antibody-ep4969-n-terminal-ab181115'>ab181115</a>) at 1/1000 dilution

Lanes 5 - 6:

Western blot - Anti-Raf1 antibody [EP4969] - N-terminal (<a href='/en-us/products/primary-antibodies/raf1-antibody-ep4969-n-terminal-ab181115'>ab181115</a>)

Lanes 1, 3 and 5:

Wild-type HAP1 cell lysate at 20 µg

Lanes 2, 4 and 6:

Raf1 knockout HAP1 cell lysate at 20 µg

Predicted band size: 73 kDa

false

  • Unconjugated

    Anti-Raf1 antibody [EP4969] - N-terminal

  • 603 Alexa Fluor® 568

    Alexa Fluor® 568 Anti-Raf1 antibody [EP4969] - N-terminal

  • 565 Alexa Fluor® 555

    Alexa Fluor® 555 Anti-Raf1 antibody [EP4969] - N-terminal

  • 660 APC

    APC Anti-Raf1 antibody [EP4969] - N-terminal

  • 578 PE

    PE Anti-Raf1 antibody [EP4969] - N-terminal

  • 617 Alexa Fluor® 594

    Alexa Fluor® 594 Anti-Raf1 antibody [EP4969] - N-terminal

Key facts

Host species

Rabbit

Clonality

Monoclonal

Clone number

EP4969

Isotype

IgG

Carrier free

Yes

Reacts with

Mouse, Rat, Human

Applications

WB, Flow Cyt (Intra), ICC/IF

applications

Immunogen

The exact immunogen used to generate this antibody is proprietary information.

Reactivity data

{ "title": "Reactivity Data", "filters": { "stats": ["", "Species", "Dilution Info", "Notes"], "tabs": { "all-applications": {"fullname" : "All Applications", "shortname": "All Applications"}, "WB" : {"fullname" : "Western blot", "shortname":"WB"}, "ICCIF" : {"fullname" : "Immunocytochemistry/ Immunofluorescence", "shortname":"ICC/IF"}, "FlowCytIntra" : {"fullname" : "Flow Cytometry (Intracellular)", "shortname":"Flow Cyt (Intra)"} }, "product-promise": { "all": "all", "testedAndGuaranteed": "tested", "guaranteed": "expected", "predicted": "predicted", "notRecommended": "not-recommended" } }, "values": { "Human": { "WB-species-checked": "testedAndGuaranteed", "WB-species-dilution-info": "", "WB-species-notes": "<p></p>", "ICCIF-species-checked": "testedAndGuaranteed", "ICCIF-species-dilution-info": "", "ICCIF-species-notes": "<p></p>", "FlowCytIntra-species-checked": "testedAndGuaranteed", "FlowCytIntra-species-dilution-info": "", "FlowCytIntra-species-notes": "<p></p>" }, "Mouse": { "WB-species-checked": "testedAndGuaranteed", "WB-species-dilution-info": "", "WB-species-notes": "<p></p>", "ICCIF-species-checked": "guaranteed", "ICCIF-species-dilution-info": "", "ICCIF-species-notes": "", "FlowCytIntra-species-checked": "guaranteed", "FlowCytIntra-species-dilution-info": "", "FlowCytIntra-species-notes": "" }, "Rat": { "WB-species-checked": "testedAndGuaranteed", "WB-species-dilution-info": "", "WB-species-notes": "<p></p>", "ICCIF-species-checked": "guaranteed", "ICCIF-species-dilution-info": "", "ICCIF-species-notes": "", "FlowCytIntra-species-checked": "guaranteed", "FlowCytIntra-species-dilution-info": "", "FlowCytIntra-species-notes": "" } } }

Product details

ab236003 is the carrier-free version of ab181115.

Patented technology
Our RabMAb® technology is a patented hybridoma-based technology for making rabbit monoclonal antibodies. For details on our patents, please refer to RabMAb® patents.

What are the advantages of a recombinant monoclonal antibody?
This product is a recombinant monoclonal antibody, which offers several advantages including:

  • - High batch-to-batch consistency and reproducibility
  • - Improved sensitivity and specificity
  • - Long-term security of supply
  • - Animal-free batch production

For more information, read more on recombinant antibodies.

Conjugation ready
Our carrier-free antibodies are typically supplied in a PBS-only formulation, purified and free of BSA, sodium azide and glycerol. This conjugation-ready format is designed for use with fluorochromes, metal isotopes, oligonucleotides, and enzymes, which makes them ideal for antibody labelling, functional and cell-based assays, flow-based assays (e.g. mass cytometry) and Multiplex Imaging applications.

Use our conjugation kits for antibody conjugates that are ready-to-use in as little as 20 minutes with 1 minute hands-on-time and 100% antibody recovery: available for fluorescent dyes, HRP, biotin and gold.

Compatibility
This product is compatible with the Maxpar® Antibody Labeling Kit from Fluidigm, without the need for antibody preparation. Maxpar® is a trademark of Fluidigm Canada Inc.

Properties and storage information

Form
Liquid
Purification technique
Affinity purification Protein A
Storage buffer
pH: 7.2 - 7.4 Constituents: PBS
Shipped at conditions
Blue Ice
Appropriate short-term storage conditions
+4°C
Appropriate long-term storage conditions
+4°C
Storage information
Do Not Freeze

Supplementary information

This supplementary information is collated from multiple sources and compiled automatically.

Raf1 also known as c-Raf or Raf-1 is a serine/threonine-protein kinase that plays an important role in cell division differentiation and survival. Its molecular weight is approximately 74 kDa. Raf1 is part of the MAPK/ERK signaling pathway and is ubiquitously expressed in many tissues including the brain heart and liver. As a component of the signaling cascade its activation translates extracellular signals into intracellular responses.
Biological function summary

Raf1 regulates important cellular processes by activating downstream kinases in response to external stimuli. Raf1 forms a complex with other proteins such as Ras facilitating its role as an essential component of the MAPK/ERK pathway. Upon activation by Ras Raf1 phosphorylates and activates MEK1 and MEK2 which in turn activate the ERK1 and ERK2. This signaling axis is involved in controlling gene expression and cellular proliferation.

Pathways

Raf1 is integrally involved in the MAPK/ERK pathway which is critical for transducing signals from growth factors and mitogens. It relates closely with proteins such as Ras MEK and ERK in this pathway. The pathway is important for regulating cellular responses to various stimuli and is particularly involved in processes such as cell cycle control and apoptosis.

Raf1 has associations with certain types of cancer and Noonan syndrome. In various cancers mutations or dysregulation of Raf1 or related components such as Ras can lead to uncontrolled cellular proliferation. In Noonan syndrome Raf1 mutations result in anomalies in the Ras/MAPK pathway which can impact normal development. Raf1’s interactions in these pathways indicate its relevance as a potential target for therapeutic intervention.

Product protocols

For this product, it's our understanding that no specific protocols are required. You can visit:

Target data

Serine/threonine-protein kinase that acts as a regulatory link between the membrane-associated Ras GTPases and the MAPK/ERK cascade, and this critical regulatory link functions as a switch determining cell fate decisions including proliferation, differentiation, apoptosis, survival and oncogenic transformation. RAF1 activation initiates a mitogen-activated protein kinase (MAPK) cascade that comprises a sequential phosphorylation of the dual-specific MAPK kinases (MAP2K1/MEK1 and MAP2K2/MEK2) and the extracellular signal-regulated kinases (MAPK3/ERK1 and MAPK1/ERK2). The phosphorylated form of RAF1 (on residues Ser-338 and Ser-339, by PAK1) phosphorylates BAD/Bcl2-antagonist of cell death at 'Ser-75'. Phosphorylates adenylyl cyclases : ADCY2, ADCY5 and ADCY6, resulting in their activation. Phosphorylates PPP1R12A resulting in inhibition of the phosphatase activity. Phosphorylates TNNT2/cardiac muscle troponin T. Can promote NF-kB activation and inhibit signal transducers involved in motility (ROCK2), apoptosis (MAP3K5/ASK1 and STK3/MST2), proliferation and angiogenesis (RB1). Can protect cells from apoptosis also by translocating to the mitochondria where it binds BCL2 and displaces BAD/Bcl2-antagonist of cell death. Regulates Rho signaling and migration, and is required for normal wound healing. Plays a role in the oncogenic transformation of epithelial cells via repression of the TJ protein, occludin (OCLN) by inducing the up-regulation of a transcriptional repressor SNAI2/SLUG, which induces down-regulation of OCLN. Restricts caspase activation in response to selected stimuli, notably Fas stimulation, pathogen-mediated macrophage apoptosis, and erythroid differentiation.
See full target information RAF1

Publications (1)

Recent publications for all applications. Explore the full list and refine your search

BioMed research international 2021:6631533 PubMed33816622

2021

The Promotional Effect of Hollow MnO with Brucea Javanica Oil Emulsion (BJOE) on Endometrial Cancer Apoptosis.

Applications

Unspecified application

Species

Unspecified reactive species

Qin Hu,Shu Zhang,Jun Zhu,Lina Yin,Suping Liu,Xiaowei Huang,Guihao Ke
View all publications

Product promise

We are committed to supporting your work with high-quality reagents, and we're here for you every step of the way. In the unlikely event that one of our products does not perform as expected, you're protected by our Product Promise.
For full details, please see our Terms & Conditions

Associated Products

Select an associated product type
Alternative Product
Primary Antibodies

AB30570

Anti-Raf1 (phospho S301) antibody

primary-antibodies

raf1-phospho-s301-antibody-ab30570

0

(0 reviews)

Alternative Product
Primary Antibodies

AB137435

Anti-Raf1 antibody

primary-antibodies

raf1-antibody-ab137435

5

(2 reviews)

Alternative Product
Primary Antibodies

AB60985

Anti-Raf1 (phospho S296) antibody

primary-antibodies

raf1-phospho-s296-antibody-ab60985

0

(0 reviews)

Alternative Product
Primary Antibodies

AB111829

Anti-Raf1 (phospho S289) antibody

primary-antibodies

raf1-phospho-s289-antibody-ab111829

0

(0 reviews)

Alternative Product
Primary Antibodies

AB59223

Anti-Raf1 (phospho Y341) antibody

primary-antibodies

raf1-phospho-y341-antibody-ab59223

0

(0 reviews)

Alternative Product
Primary Antibodies

AB4767

Anti-Raf1 (phospho S621) antibody

primary-antibodies

raf1-phospho-s621-antibody-ab4767

0

(0 reviews)

Alternative Product
Primary Antibodies

AB224817

Anti-Raf1 antibody

primary-antibodies

raf1-antibody-ab224817

0

(0 reviews)

Alternative Product
Primary Antibodies

AB173539

Anti-Raf1 (phospho S259) antibody [EPR3433(2)]

primary-antibodies

raf1-phospho-s259-antibody-epr34332-ab173539

0

(0 reviews)

Alternative Product
Primary Antibodies

AB51042

Anti-Raf1 (phospho S338) antibody

primary-antibodies

raf1-phospho-s338-antibody-ab51042

0

(0 reviews)

Alternative Product
Primary Antibodies

AB192664

Anti-Raf1 (phospho S642) antibody

primary-antibodies

raf1-phospho-s642-antibody-ab192664

0

(0 reviews)

Alternative Product
Primary Antibodies

AB157201

Anti-Raf1 (phospho S621) antibody [EPR1521(2)]

primary-antibodies

raf1-phospho-s621-antibody-epr15212-ab157201

0

(0 reviews)

Alternative Product
Primary Antibodies

AB50858

Anti-Raf1 antibody [RNP1]

primary-antibodies

raf1-antibody-rnp1-ab50858

0

(0 reviews)

Alternative Product
Primary Antibodies

AB240957

Anti-Raf1 (phospho S259) antibody [EPR3433(2)] - BSA and Azide free

primary-antibodies

raf1-phospho-s259-antibody-epr34332-bsa-and-azide-free-ab240957

0

(0 reviews)

Alternative Version
Primary Antibodies

AB313196

Alexa Fluor® 555 Anti-Raf1 antibody [EP4969] - N-terminal

primary-antibodies

alexa-fluor-555-raf1-antibody-ep4969-n-terminal-ab313196

0

(0 reviews)

Alternative Version
Primary Antibodies

AB310836

APC Anti-Raf1 antibody [EP4969] - N-terminal

primary-antibodies

apc-raf1-antibody-ep4969-n-terminal-ab310836

0

(0 reviews)

Alternative Version
Primary Antibodies

AB310911

PE Anti-Raf1 antibody [EP4969] - N-terminal

primary-antibodies

pe-raf1-antibody-ep4969-n-terminal-ab310911

0

(0 reviews)

Alternative Version
Primary Antibodies

AB311715

Alexa Fluor® 594 Anti-Raf1 antibody [EP4969] - N-terminal

primary-antibodies

alexa-fluor-594-raf1-antibody-ep4969-n-terminal-ab311715

0

(0 reviews)

Please note: All products are 'FOR RESEARCH USE ONLY. NOT FOR USE IN DIAGNOSTIC OR THERAPEUTIC PROCEDURES'.

For licensing inquiries, please contact partnerships@abcam.com