JavaScript is disabled in your browser. Please enable JavaScript to view this website.
AB181115

Anti-Raf1 antibody [EP4969] - N-terminal

  • KO Validated
  • RabMAb
  • Recombinant
  • Lab Essentials
  • 20ul selling size
  • What is this?

Be the first to review this product! Submit a review

|

(6 Publications)

Anti-Raf1 antibody [EP4969] - N-terminal (ab181115) is a rabbit monoclonal antibody detecting Raf1 in Western Blot, Flow Cytometry (Intra), Flow Cytometry, ICC/IF. Suitable for Human, Mouse, Rat.

- KO validated for confirmed specificity
- Biophysical QC for unrivalled batch-batch consistency

View Alternative Names

RAF, RAF1, RAF proto-oncogene serine/threonine-protein kinase, Proto-oncogene c-RAF, Raf-1, cRaf

12 Images
Immunocytochemistry/ Immunofluorescence - Anti-Raf1 antibody [EP4969] - N-terminal (AB181115)
  • ICC/IF

Supplier Data

Immunocytochemistry/ Immunofluorescence - Anti-Raf1 antibody [EP4969] - N-terminal (AB181115)

Immunofluorescent analysis of acetone-fixed K562 cells labeling Raf1 with unpurified ab181115 at 1/250 dilution, followed by Goat anti rabbit IgG (Alexa Fluor® 488) secondary antibody at 1/200 dilution. Counter stained with Dapi.

Western blot - Anti-Raf1 antibody [EP4969] - N-terminal (AB181115)
  • WB

Lab

Western blot - Anti-Raf1 antibody [EP4969] - N-terminal (AB181115)

Western blot : Anti-RAF1 antibody [EP4969] (ab181115) staining at 1/1000 dilution, shown in green; Mouse anti-GAPDH antibody [6C5] (ab8245) loading control staining at 1/20000 dilution, shown in red. In Western blot, ab181115 was shown to bind specifically to RAF1. A band was observed at 73 kDa in wild-type HCT 116 cell lysates with no signal observed at this size in RAF1 knockout cell line. To generate this image, wild-type and RAF1 knockout HCT 116 cell lysates were analysed. First, samples were run on an SDS-PAGE gel then transferred onto a nitrocellulose membrane. Membranes were blocked in 3 % milk in TBS-0.1 % Tween® 20 (TBS-T) before incubation with primary antibodies overnight at 4 °C. Blots were washed four times in TBS-T, incubated with secondary antibodies for 1 h at room temperature, washed again four times then imaged. Secondary antibodies used were Goat anti-Rabbit IgG H&L 800CW and Goat anti-Mouse IgG H&L 680RD at 1/20000 dilution.

All lanes:

Western blot - Anti-Raf1 antibody [EP4969] - N-terminal (ab181115) at 1/1000 dilution

Lane 1:

Wild-type HCT 116 cell lysate at 20 µg

Lane 2:

Western blot - Human RAF1 knockout HCT116 cell line (<a href='/en-us/products/cell-lines/human-raf1-knockout-hct116-cell-line-ab286619'>ab286619</a>)

Lane 2:

RAF1 knockout HCT 116 cell lysate at 20 µg

Secondary

All lanes:

Goat anti-Rabbit IgG H&L 800CW and Goat anti-Mouse IgG H&L 680RD at 1/20000 dilution

Predicted band size: 73 kDa

Observed band size: 73 kDa

false

Western blot - Anti-Raf1 antibody [EP4969] - N-terminal (AB181115)
  • WB

Supplier Data

Western blot - Anti-Raf1 antibody [EP4969] - N-terminal (AB181115)

All lanes:

Western blot - Anti-Raf1 antibody [EP4969] - N-terminal (ab181115) at 1/1000 dilution

Lane 1:

HeLa cell lysate at 20 µg

Lane 2:

K562 cell lysate at 20 µg

Secondary

All lanes:

Goat Anti-Rabbit IgG, (H+L), Peroxidase conjugate at 1/1000 dilution

Predicted band size: 73 kDa

Observed band size: 73 kDa

false

Western blot - Anti-Raf1 antibody [EP4969] - N-terminal (AB181115)
  • WB

Lab

Western blot - Anti-Raf1 antibody [EP4969] - N-terminal (AB181115)

All lanes:

Western blot - Anti-Raf1 antibody [EP4969] - N-terminal (ab181115) at 1/1000 dilution

Lane 1:

HeLa (Human cervix adenocarcinoma epithelial cell) whole cell lysates at 20 µg

Lane 2:

K-562 (Human chronic myelogenous leukemia lymphoblast) whole cell lysates at 20 µg

Secondary

All lanes:

Western blot - Goat Anti-Rabbit IgG H&L (HRP) (<a href='/en-us/products/secondary-antibodies/goat-rabbit-igg-h-l-hrp-ab97051'>ab97051</a>) at 1/20000 dilution

Predicted band size: 73 kDa

Observed band size: 73 kDa

false

Western blot - Anti-Raf1 antibody [EP4969] - N-terminal (AB181115)
  • WB

Lab

Western blot - Anti-Raf1 antibody [EP4969] - N-terminal (AB181115)

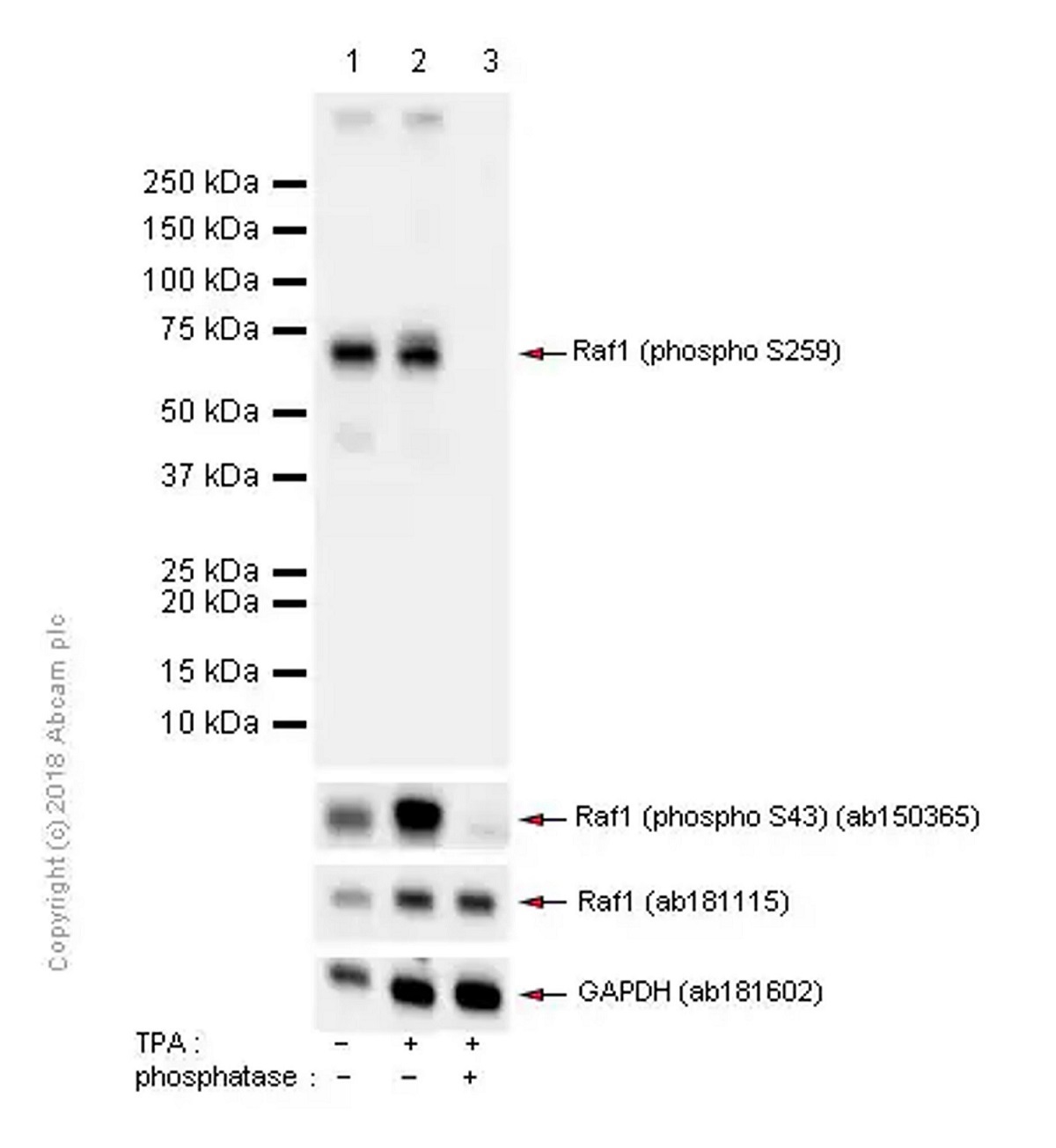
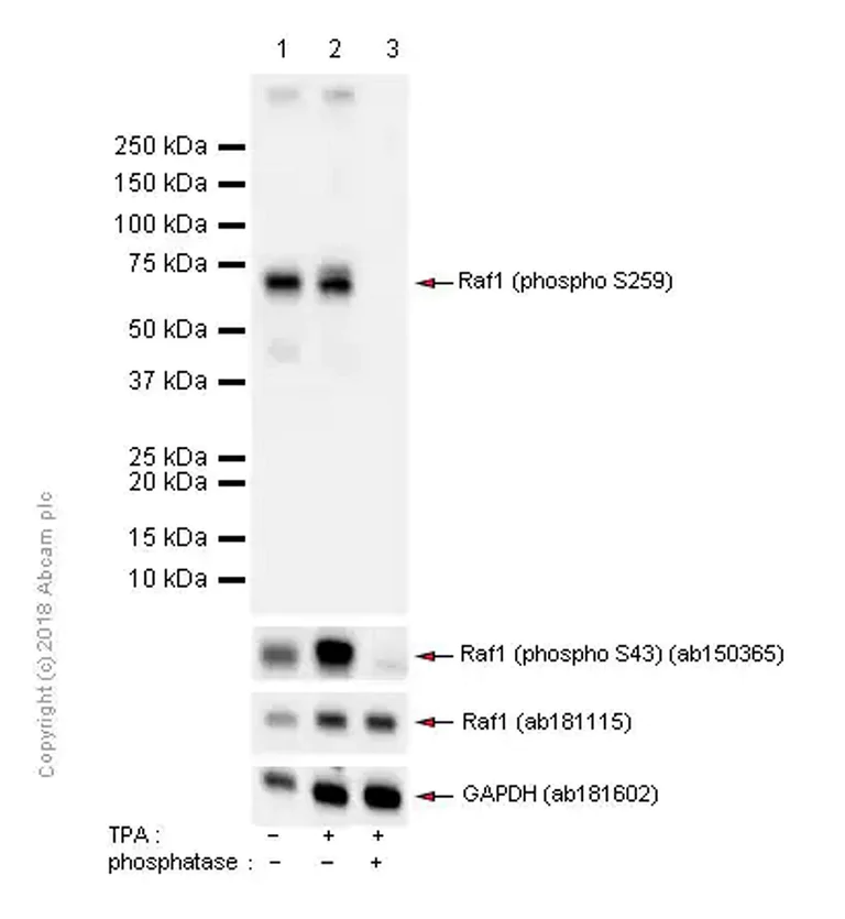
ab181602 was used as GAPDH loading control. ab181115 was used to detect Raf1. ab150365 was used to detect Raf1 phospho S43.

All lanes:

Purified at 1/5000 dilution

Lane 1:

HEK-293 (Human embryonic kidney epithelial cell) whole cell lysates at 15 µg

Lane 2:

HEK-293 (Human embryonic kidney epithelial cell) treated with 100nM Phorbol-12-myristate-13-acetate for 1 hour whole cell lysates at 15 µg

Lane 3:

HEK-293 (Human embryonic kidney epithelial cell) treated with 100nM Phorbol-12-myristate-13-acetate for 1 hour whole cell lysates, then incubated with phosphatase at 15 µg

Secondary

All lanes:

Western blot - Goat Anti-Rabbit IgG H&L (HRP) (<a href='/en-us/products/secondary-antibodies/goat-rabbit-igg-h-l-hrp-ab97051'>ab97051</a>) at 1/20000 dilution

Predicted band size: 73 kDa

Observed band size: 73 kDa

false

Western blot - Anti-Raf1 antibody [EP4969] - N-terminal (AB181115)
  • WB

Lab

Western blot - Anti-Raf1 antibody [EP4969] - N-terminal (AB181115)

All lanes:

Western blot - Anti-Raf1 antibody [EP4969] - N-terminal (ab181115) at 1/1000 dilution

All lanes:

PC-12 (Rat adrenal gland pheochromocytoma) whole cell lysates at 20 µg

Secondary

All lanes:

Western blot - Goat Anti-Rabbit IgG H&L (HRP) (<a href='/en-us/products/secondary-antibodies/goat-rabbit-igg-h-l-hrp-ab97051'>ab97051</a>) at 1/20000 dilution

Predicted band size: 73 kDa

Observed band size: 73 kDa

false

Flow Cytometry (Intracellular) - Anti-Raf1 antibody [EP4969] - N-terminal (AB181115)
  • Flow Cyt (Intra)

Lab

Flow Cytometry (Intracellular) - Anti-Raf1 antibody [EP4969] - N-terminal (AB181115)

Intracellular Flow Cytometry analysis of K-562 (Human chronic myelogenous leukemia lymphoblast) cells labelling with unpurified ab181115 at 1/100 dilution (10.79μg/mL) (red). Cells were fixed with 4% paraformaldehyde . Goat anti rabbit IgG (Alexa Fluor® 488, ab150077) was used as the secondary antibody at 1/2000 dilution. Isotype control - 90% methanol . Unlabeled control - Rabbit monoclonal IgG (ab172730) / Black.

Immunocytochemistry/ Immunofluorescence - Anti-Raf1 antibody [EP4969] - N-terminal (AB181115)
  • ICC/IF

Unknown

Immunocytochemistry/ Immunofluorescence - Anti-Raf1 antibody [EP4969] - N-terminal (AB181115)

Immunocytochemistry/ Immunofluorescence analysis of HeLa (Human cervix adenocarcinoma epithelial cell) cells labeling Raf1 with purified ab181115 at 1/100 dilution (10 μg/ml). Cells were fixed in 4% Paraformaldehyde and permeabilized with 0.1% tritonX-100. Cells were counterstained with ab195889 Anti-alpha Tubulin antibody [DM1A] - Microtubule Marker (Alexa Fluor® 594) 1/200 (2.5 μg/ml). Goat anti rabbit IgG (Alexa Fluor® 488, ab150077) was used as the secondary antibody at 1/1000 (2 μg/ml) dilution. DAPI (blue) was used as nuclear counterstain. PBS instead of the primary antibody was used as the secondary antibody only control.

Western blot - Anti-Raf1 antibody [EP4969] - N-terminal (AB181115)
  • WB

Supplier Data

Western blot - Anti-Raf1 antibody [EP4969] - N-terminal (AB181115)

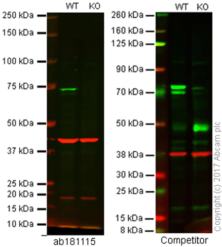
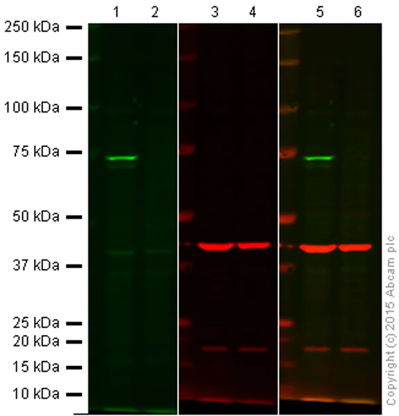
Lanes 1 and 2 : Green signal from target – ab181115 observed at 74 kDa
Lanes 3 and 4 : Red signal from loading control – ab8226 observed at 42 kDa
Lanes 5 and 6 : Merged (red and green) signal

Unpurified ab181115 was shown to specifically react with Raf1 when Raf1 knockout samples were used. Wild-type and Raf1 knockout samples were subjected to SDS-PAGE. ab181115 and ab8226 (loading control to beta actin) were both diluted 1/1000 and incubated overnight at 4°C. Blots were developed with Goat anti-Rabbit IgG H&L (IRDye® 800CW) preadsorbed (ab216773) and Goat anti-Mouse IgG H&L (IRDye® 680RD) preadsorbed (ab216776) secondary antibodies at 1/10000 dilution for 1 hour at room temperature before imaging.

Lanes 1 - 4:

Western blot - Anti-Raf1 antibody [EP4969] - N-terminal (ab181115) at 1/1000 dilution

Lanes 5 - 6:

Western blot - Anti-Raf1 antibody [EP4969] - N-terminal (ab181115)

Lanes 1, 3 and 5:

Wild-type HAP1 cell lysate at 20 µg

Lanes 2, 4 and 6:

Raf1 knockout HAP1 cell lysate at 20 µg

Predicted band size: 73 kDa

false

Western blot - Anti-Raf1 antibody [EP4969] - N-terminal (AB181115)
  • WB

Lab

Western blot - Anti-Raf1 antibody [EP4969] - N-terminal (AB181115)

Lanes 1- 2 : Merged signal (red and green). Green - ab181115 observed at 73 kDa. Red - Anti-GAPDH antibody [6C5] - Loading Control (ab8245) observed at 37 kDa.

ab181115 was shown to react with Raf1 in wild-type HeLa cells in western blot. Loss of signal was observed when knockout cell line ab264978 (knockout cell lysate ab257126) was used. Wild-type HeLa and Raf1 knockout HeLa cell lysates were subjected to SDS-PAGE. Membrane was blocked for 1 hour at room temperature in 0.1% TBST with 3% non-fat dried milk. ab181115 and Anti-GAPDH antibody [6C5] - Loading Control (ab8245) overnight at 4°C at a 1 in 20000 dilution and a 1 in 20000 dilution respectively. Blots were developed with Goat anti-Rabbit IgG H&L (IRDye®800CW) preadsorbed (ab216773) and Goat anti-Mouse IgG H&L (IRDye®680RD) preadsorbed (ab216776) secondary antibodies at 1 in 20000 dilution for 1 hour at room temperature before imaging.

All lanes:

Western blot - Anti-Raf1 antibody [EP4969] - N-terminal (ab181115) at 1/20000 dilution

Lane 1:

Wild-type HeLa cell lysate at 20 µg

Lane 2:

RAF1 knockout HeLa cell lysate at 20 µg

Lane 2:

Western blot - Human RAF1 knockout HeLa cell line (<a href='/en-us/products/cell-lines/human-raf1-knockout-hela-cell-line-ab264978'>ab264978</a>)

Predicted band size: 73 kDa

Observed band size: 73 kDa

false

Western blot - Anti-Raf1 antibody [EP4969] - N-terminal (AB181115)
  • WB

Lab

Western blot - Anti-Raf1 antibody [EP4969] - N-terminal (AB181115)

All lanes:

Western blot - Anti-Raf1 antibody [EP4969] - N-terminal (ab181115) at 1/1000 dilution

Lane 1:

RAW 264.7(Mouse Abelson murine leukemia virus-induced tumor macrophage) whole cell lysates at 20 µg

Lane 2:

C2C12 (Mouse myoblasts myoblast) whole cell lysates at 20 µg

Lane 3:

NIH/3T3 (Mouse embryonic fibroblast) whole cell lysates at 20 µg

Secondary

All lanes:

Western blot - Goat Anti-Rabbit IgG H&L (HRP) (<a href='/en-us/products/secondary-antibodies/goat-rabbit-igg-h-l-hrp-ab97051'>ab97051</a>) at 1/20000 dilution

Predicted band size: 73 kDa

Observed band size: 73 kDa

false

Western blot - Anti-Raf1 antibody [EP4969] - N-terminal (AB181115)
  • WB

Lab

Western blot - Anti-Raf1 antibody [EP4969] - N-terminal (AB181115)

Lanes 1 : Wild-type HAP1 cell lysate (20 μg)
Lanes 2 : Raf1 knockout HAP1 cell lysate (20 μg)
Lanes 1 and 2 : Merged signal (red and green).

Green - Target observed at 74 kDa. Red - loading control, ab8226, observed at 42 kDa

This western blot image is a comparison between unpurified ab181115 and a competitor's top cited discontinued rabbit polyclonal antibody.

All lanes:

Western blot - Anti-Raf1 antibody [EP4969] - N-terminal (ab181115)

Predicted band size: 73 kDa

false

  • Carrier free

    Anti-Raf1 antibody [EP4969] - BSA and Azide free

  • 565 Alexa Fluor® 555

    Alexa Fluor® 555 Anti-Raf1 antibody [EP4969] - N-terminal

  • 660 APC

    APC Anti-Raf1 antibody [EP4969] - N-terminal

  • 578 PE

    PE Anti-Raf1 antibody [EP4969] - N-terminal

  • 603 Alexa Fluor® 568

    Alexa Fluor® 568 Anti-Raf1 antibody [EP4969] - N-terminal

  • 617 Alexa Fluor® 594

    Alexa Fluor® 594 Anti-Raf1 antibody [EP4969] - N-terminal

Key facts

Host species

Rabbit

Clonality

Monoclonal

Clone number

EP4969

Isotype

IgG

Carrier free

No

Reacts with

Mouse, Rat, Human

Applications

WB, ICC/IF, Flow Cyt (Intra)

applications

Immunogen

The exact immunogen used to generate this antibody is proprietary information.

Reactivity data

{ "title": "Reactivity Data", "filters": { "stats": ["", "Species", "Dilution Info", "Notes"], "tabs": { "all-applications": {"fullname" : "All Applications", "shortname": "All Applications"}, "WB" : {"fullname" : "Western blot", "shortname":"WB"}, "ICCIF" : {"fullname" : "Immunocytochemistry/ Immunofluorescence", "shortname":"ICC/IF"}, "FlowCytIntra" : {"fullname" : "Flow Cytometry (Intracellular)", "shortname":"Flow Cyt (Intra)"} }, "product-promise": { "all": "all", "testedAndGuaranteed": "tested", "guaranteed": "expected", "predicted": "predicted", "notRecommended": "not-recommended" } }, "values": { "Human": { "WB-species-checked": "testedAndGuaranteed", "WB-species-dilution-info": "1/1000", "WB-species-notes": "<p></p>", "ICCIF-species-checked": "testedAndGuaranteed", "ICCIF-species-dilution-info": "1/100 - 1/250", "ICCIF-species-notes": "<p></p>", "FlowCytIntra-species-checked": "testedAndGuaranteed", "FlowCytIntra-species-dilution-info": "1/100", "FlowCytIntra-species-notes": "<p></p>" }, "Mouse": { "WB-species-checked": "testedAndGuaranteed", "WB-species-dilution-info": "1/1000", "WB-species-notes": "<p></p>", "ICCIF-species-checked": "guaranteed", "ICCIF-species-dilution-info": "", "ICCIF-species-notes": "", "FlowCytIntra-species-checked": "guaranteed", "FlowCytIntra-species-dilution-info": "", "FlowCytIntra-species-notes": "" }, "Rat": { "WB-species-checked": "testedAndGuaranteed", "WB-species-dilution-info": "1/1000", "WB-species-notes": "<p></p>", "ICCIF-species-checked": "guaranteed", "ICCIF-species-dilution-info": "", "ICCIF-species-notes": "", "FlowCytIntra-species-checked": "guaranteed", "FlowCytIntra-species-dilution-info": "", "FlowCytIntra-species-notes": "" } } }

Product details

What is this antibody validated in?
Anti-Raf1 antibody [EP4969] - N-terminal (ab181115) is a rabbit recombinant monoclonal antibody and is validated for use in Western Blot (WB), Flow Cytometry (Intra), Flow Cytometry (Flow Cyt), Immunocytochemistry/immunofluorescence (ICC/IF) in Human, Mouse, Rat samples.

What is the molecular weight of Raf1?
Anti-Raf1 [EP4969] - N-terminal (ab181115) specifically detects a band for Raf1 (UniProt: P04049) at a molecular weight of 73kDa.

Trial sizes available!
Test your antibody or perform pre-screening before committing to a larger quantity. Sold in 10µl. Discover our selection of trial-size antibodies.

Specificity confirmed
The specificity of Anti-Raf1 antibody [EP4969] - N-terminal (ab181115) has been confirmed by Western blot testing in RAF1 Knockout HAP1 cells.

Other related products
We have a range of other formats of antibody clone [EP4969] also available for your convenience: ab181115, Carrier free - ab236003, APC - ab310836, PE - ab310911, Alexa Fluor® 594 - ab311715, Alexa Fluor® 568 - ab312991, Alexa Fluor® 555 - ab313196

Patented technology
Our RabMAb® technology is a patented hybridoma-based technology for making rabbit monoclonal antibodies. For details on our patents, please refer to RabMAb® patents.

What are the advantages of a recombinant monoclonal antibody?
This product is a recombinant monoclonal antibody, which offers several advantages including:

  • - High batch-to-batch consistency and reproducibility
  • - Improved sensitivity and specificity
  • - Long-term security of supply
  • - Animal-free batch production

For more information, read more on recombinant antibodies.

Properties and storage information

Form
Liquid
Purification technique
Affinity purification Protein A
Storage buffer
Preservative: 0.01% Sodium azide Constituents: PBS, 40% Glycerol (glycerin, glycerine), 0.05% BSA
Shipped at conditions
Blue Ice
Appropriate short-term storage duration
1-2 weeks
Appropriate short-term storage conditions
+4°C
Appropriate long-term storage conditions
-20°C
Aliquoting information
Upon delivery aliquot
Storage information
Avoid freeze / thaw cycle

Supplementary information

This supplementary information is collated from multiple sources and compiled automatically.

Raf1 also known as c-Raf or Raf-1 is a serine/threonine-protein kinase that plays an important role in cell division differentiation and survival. Its molecular weight is approximately 74 kDa. Raf1 is part of the MAPK/ERK signaling pathway and is ubiquitously expressed in many tissues including the brain heart and liver. As a component of the signaling cascade its activation translates extracellular signals into intracellular responses.
Biological function summary

Raf1 regulates important cellular processes by activating downstream kinases in response to external stimuli. Raf1 forms a complex with other proteins such as Ras facilitating its role as an essential component of the MAPK/ERK pathway. Upon activation by Ras Raf1 phosphorylates and activates MEK1 and MEK2 which in turn activate the ERK1 and ERK2. This signaling axis is involved in controlling gene expression and cellular proliferation.

Pathways

Raf1 is integrally involved in the MAPK/ERK pathway which is critical for transducing signals from growth factors and mitogens. It relates closely with proteins such as Ras MEK and ERK in this pathway. The pathway is important for regulating cellular responses to various stimuli and is particularly involved in processes such as cell cycle control and apoptosis.

Raf1 has associations with certain types of cancer and Noonan syndrome. In various cancers mutations or dysregulation of Raf1 or related components such as Ras can lead to uncontrolled cellular proliferation. In Noonan syndrome Raf1 mutations result in anomalies in the Ras/MAPK pathway which can impact normal development. Raf1's interactions in these pathways indicate its relevance as a potential target for therapeutic intervention.

Product protocols

For this product, it's our understanding that no specific protocols are required. You can visit:

Target data

Serine/threonine-protein kinase that acts as a regulatory link between the membrane-associated Ras GTPases and the MAPK/ERK cascade, and this critical regulatory link functions as a switch determining cell fate decisions including proliferation, differentiation, apoptosis, survival and oncogenic transformation. RAF1 activation initiates a mitogen-activated protein kinase (MAPK) cascade that comprises a sequential phosphorylation of the dual-specific MAPK kinases (MAP2K1/MEK1 and MAP2K2/MEK2) and the extracellular signal-regulated kinases (MAPK3/ERK1 and MAPK1/ERK2). The phosphorylated form of RAF1 (on residues Ser-338 and Ser-339, by PAK1) phosphorylates BAD/Bcl2-antagonist of cell death at 'Ser-75'. Phosphorylates adenylyl cyclases : ADCY2, ADCY5 and ADCY6, resulting in their activation. Phosphorylates PPP1R12A resulting in inhibition of the phosphatase activity. Phosphorylates TNNT2/cardiac muscle troponin T. Can promote NF-kB activation and inhibit signal transducers involved in motility (ROCK2), apoptosis (MAP3K5/ASK1 and STK3/MST2), proliferation and angiogenesis (RB1). Can protect cells from apoptosis also by translocating to the mitochondria where it binds BCL2 and displaces BAD/Bcl2-antagonist of cell death. Regulates Rho signaling and migration, and is required for normal wound healing. Plays a role in the oncogenic transformation of epithelial cells via repression of the TJ protein, occludin (OCLN) by inducing the up-regulation of a transcriptional repressor SNAI2/SLUG, which induces down-regulation of OCLN. Restricts caspase activation in response to selected stimuli, notably Fas stimulation, pathogen-mediated macrophage apoptosis, and erythroid differentiation.
See full target information RAF1

Publications (6)

Recent publications for all applications. Explore the full list and refine your search

Journal of experimental & clinical cancer research : CR 42:45 PubMed36759880

2023

Procoxacin bidirectionally inhibits osteoblastic and osteoclastic activity in bone and suppresses bone metastasis of prostate cancer.

Applications

Unspecified application

Species

Unspecified reactive species

Depei Kong,Chen Ye,Chenxi Zhang,Xiaochen Sun,Fubo Wang,Rui Chen,Guangan Xiao,Shipeng He,Jianrong Xu,Xiwu Rao,Jianzhong Ai,Xu Gao,Hong Li,Li Su

Hereditas 159:29 PubMed35836300

2022

Arecoline promotes proliferation and migration of human HepG2 cells through activation of the PI3K/AKT/mTOR pathway.

Applications

Unspecified application

Species

Unspecified reactive species

Hai Xie,Ren Jing,Xiaoting Liao,Haishao Chen,Xianlong Xie,Huijun Dai,Linghui Pan

Pharmaceutical biology 60:764-773 PubMed35387566

2022

Caudatin blocks the proliferation, stemness and glycolysis of non-small cell lung cancer cells through the Raf/MEK/ERK pathway.

Applications

Unspecified application

Species

Unspecified reactive species

Juan Hou,Qing Chen,Yufeng Huang,Zhiwei Wu,De Ma

Journal of Cancer 13:1972-1984 PubMed35399719

2022

METTL3 Facilitates Tumor Progression by COL12A1/MAPK Signaling Pathway in Esophageal Squamous Cell Carcinoma.

Applications

Unspecified application

Species

Unspecified reactive species

Jiali Li,Zhenhua Li,Yanzhao Xu,Chao Huang,Baoen Shan

The American journal of Chinese medicine 48:651-678 PubMed32349518

2020

Cinobufagin Triggers Defects in Spindle Formation and Cap-Dependent Translation in Liver Cancer Cells by Inhibiting the AURKA-mTOR-eIF4E Axis.

Applications

Unspecified application

Species

Unspecified reactive species

Xiaohan Jin,Jiabao Wang,Shuang Zou,Ruicheng Xu,Jin Cao,Yan Zhang,Jia Guo,Xiaochang Wen,Sanmin Deng,Yupiao Zheng,Yu Zhu,Fengmei Wang,Zhongwei Xu

Genes 10: PubMed31075853

2019

A Premature Stop Codon in RAF1 Is the Priority Candidate Causative Mutation of the Inherited Chicken Developmental Syndrome.

Applications

Unspecified application

Species

Unspecified reactive species

Ingrid Youngworth,Mary E Delany
View all publications

Product promise

We are committed to supporting your work with high-quality reagents, and we're here for you every step of the way. In the unlikely event that one of our products does not perform as expected, you're protected by our Product Promise.
For full details, please see our Terms & Conditions

Please note: All products are 'FOR RESEARCH USE ONLY. NOT FOR USE IN DIAGNOSTIC OR THERAPEUTIC PROCEDURES'.

For licensing inquiries, please contact partnerships@abcam.com