JavaScript is disabled in your browser. Please enable JavaScript to view this website.
AB60985

Anti-Raf1 (phospho S296) antibody

Be the first to review this product! Submit a review

|

(2 Publications)

Rabbit Polyclonal RAF1 phospho S296 antibody. Suitable for WB, IHC-P and reacts with Human samples. Cited in 2 publications. Immunogen corresponding to Synthetic Peptide within Human RAF1 phospho S296.

View Alternative Names

RAF, RAF1, RAF proto-oncogene serine/threonine-protein kinase, Proto-oncogene c-RAF, Raf-1, cRaf

2 Images
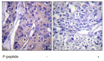
Immunohistochemistry (Formalin/PFA-fixed paraffin-embedded sections) - Anti-Raf1 (phospho S296) antibody (AB60985)
  • IHC-P

Unknown

Immunohistochemistry (Formalin/PFA-fixed paraffin-embedded sections) - Anti-Raf1 (phospho S296) antibody (AB60985)

Immunohistochemistry analysis of paraffin-embedded human breast carcinoma tissue using ab60985 at 1/50-1/100 dilution, with and without the immunising peptide.

Western blot - Anti-Raf1 (phospho S296) antibody (AB60985)
  • WB

Unknown

Western blot - Anti-Raf1 (phospho S296) antibody (AB60985)

All lanes:

Western blot - Anti-Raf1 (phospho S296) antibody (ab60985) at 1/500 dilution

Lane 1:

Extracts from 293 cells treated with PMA (125ng/ml, 30mins).

Lane 2:

Extracts from 293 cells treated with PMA (125ng/ml, 30mins), and the immunising phosphopeptide.

Predicted band size: 73 kDa

Observed band size: 73 kDa

false

Key facts

Host species

Rabbit

Clonality

Polyclonal

Isotype

IgG

Carrier free

No

Reacts with

Human

Applications

WB, IHC-P

applications

Immunogen

Synthetic Peptide within Human RAF1 phospho S296. The exact immunogen used to generate this antibody is proprietary information.

P04049

Reactivity data

{ "title": "Reactivity Data", "filters": { "stats": ["", "Species", "Dilution Info", "Notes"], "tabs": { "all-applications": {"fullname" : "All Applications", "shortname": "All Applications"}, "WB" : {"fullname" : "Western blot", "shortname":"WB"}, "IHCP" : {"fullname" : "Immunohistochemistry (Formalin/PFA-fixed paraffin-embedded sections)", "shortname":"IHC-P"} }, "product-promise": { "all": "all", "testedAndGuaranteed": "tested", "guaranteed": "expected", "predicted": "predicted", "notRecommended": "not-recommended" } }, "values": { "Human": { "WB-species-checked": "testedAndGuaranteed", "WB-species-dilution-info": "1/500 - 1/1000", "WB-species-notes": "<p></p>", "IHCP-species-checked": "testedAndGuaranteed", "IHCP-species-dilution-info": "1/50 - 1/100", "IHCP-species-notes": "<p></p>" }, "Mouse": { "WB-species-checked": "predicted", "WB-species-dilution-info": "", "WB-species-notes": "", "IHCP-species-checked": "predicted", "IHCP-species-dilution-info": "", "IHCP-species-notes": "" }, "Rat": { "WB-species-checked": "predicted", "WB-species-dilution-info": "", "WB-species-notes": "", "IHCP-species-checked": "predicted", "IHCP-species-dilution-info": "", "IHCP-species-notes": "" } } }

Properties and storage information

Form
Liquid
Purification technique
Affinity purification Immunogen
Purification notes
The antibody was affinity-purified from rabbit antiserum by affinity-chromatography using epitope-specific phosphopeptide. The antibody against non-phosphopeptide was removed by chromatography using non-phosphopeptide corresponding to the phosphorylation site.
Storage buffer
pH: 7.4 Preservative: 0.02% Sodium azide Constituents: PBS, 50% Glycerol (glycerin, glycerine), 0.87% Sodium chloride
Shipped at conditions
Blue Ice
Appropriate short-term storage conditions
+4°C
Appropriate long-term storage conditions
-20°C
Aliquoting information
Upon delivery aliquot
Storage information
Avoid freeze / thaw cycle

Supplementary information

This supplementary information is collated from multiple sources and compiled automatically.

Raf1 also known as c-Raf or Raf-1 is a serine/threonine-protein kinase that plays an important role in cell division differentiation and survival. Its molecular weight is approximately 74 kDa. Raf1 is part of the MAPK/ERK signaling pathway and is ubiquitously expressed in many tissues including the brain heart and liver. As a component of the signaling cascade its activation translates extracellular signals into intracellular responses.
Biological function summary

Raf1 regulates important cellular processes by activating downstream kinases in response to external stimuli. Raf1 forms a complex with other proteins such as Ras facilitating its role as an essential component of the MAPK/ERK pathway. Upon activation by Ras Raf1 phosphorylates and activates MEK1 and MEK2 which in turn activate the ERK1 and ERK2. This signaling axis is involved in controlling gene expression and cellular proliferation.

Pathways

Raf1 is integrally involved in the MAPK/ERK pathway which is critical for transducing signals from growth factors and mitogens. It relates closely with proteins such as Ras MEK and ERK in this pathway. The pathway is important for regulating cellular responses to various stimuli and is particularly involved in processes such as cell cycle control and apoptosis.

Raf1 has associations with certain types of cancer and Noonan syndrome. In various cancers mutations or dysregulation of Raf1 or related components such as Ras can lead to uncontrolled cellular proliferation. In Noonan syndrome Raf1 mutations result in anomalies in the Ras/MAPK pathway which can impact normal development. Raf1’s interactions in these pathways indicate its relevance as a potential target for therapeutic intervention.

Product protocols

For this product, it's our understanding that no specific protocols are required. You can visit:

Target data

Serine/threonine-protein kinase that acts as a regulatory link between the membrane-associated Ras GTPases and the MAPK/ERK cascade, and this critical regulatory link functions as a switch determining cell fate decisions including proliferation, differentiation, apoptosis, survival and oncogenic transformation. RAF1 activation initiates a mitogen-activated protein kinase (MAPK) cascade that comprises a sequential phosphorylation of the dual-specific MAPK kinases (MAP2K1/MEK1 and MAP2K2/MEK2) and the extracellular signal-regulated kinases (MAPK3/ERK1 and MAPK1/ERK2). The phosphorylated form of RAF1 (on residues Ser-338 and Ser-339, by PAK1) phosphorylates BAD/Bcl2-antagonist of cell death at 'Ser-75'. Phosphorylates adenylyl cyclases : ADCY2, ADCY5 and ADCY6, resulting in their activation. Phosphorylates PPP1R12A resulting in inhibition of the phosphatase activity. Phosphorylates TNNT2/cardiac muscle troponin T. Can promote NF-kB activation and inhibit signal transducers involved in motility (ROCK2), apoptosis (MAP3K5/ASK1 and STK3/MST2), proliferation and angiogenesis (RB1). Can protect cells from apoptosis also by translocating to the mitochondria where it binds BCL2 and displaces BAD/Bcl2-antagonist of cell death. Regulates Rho signaling and migration, and is required for normal wound healing. Plays a role in the oncogenic transformation of epithelial cells via repression of the TJ protein, occludin (OCLN) by inducing the up-regulation of a transcriptional repressor SNAI2/SLUG, which induces down-regulation of OCLN. Restricts caspase activation in response to selected stimuli, notably Fas stimulation, pathogen-mediated macrophage apoptosis, and erythroid differentiation.
See full target information RAF1 phospho S296

Publications (2)

Recent publications for all applications. Explore the full list and refine your search

Scientific reports 10:11158 PubMed32636458

2020

Blocking C-Raf alleviated high-dose small-volume radiation-induced epithelial mesenchymal transition in mice lung.

Applications

Unspecified application

Species

Unspecified reactive species

Zhen-Yu Hong,Sanke Li,Xiaomei Liu,Xiao-Min Leng,Zhanhui Miao,Xiaohong Kang,Hongrui Niu,Ming-Qing Gao,Ping Lu

Journal of vascular research 54:259-271 PubMed28810262

2017

Fetal Sheep Mesenteric Resistance Arteries: Functional and Structural Maturation.

Applications

Unspecified application

Species

Unspecified reactive species

Julia J Müller,Matthias Schwab,Charles R Rosenfeld,Iwa Antonow-Schlorke,Peter W Nathanielsz,Florian Rakers,Harald Schubert,Otto W Witte,Sven Rupprecht
View all publications

Product promise

We are committed to supporting your work with high-quality reagents, and we're here for you every step of the way. In the unlikely event that one of our products does not perform as expected, you're protected by our Product Promise.
For full details, please see our Terms & Conditions

Please note: All products are 'FOR RESEARCH USE ONLY. NOT FOR USE IN DIAGNOSTIC OR THERAPEUTIC PROCEDURES'.

For licensing inquiries, please contact partnerships@abcam.com