JavaScript is disabled in your browser. Please enable JavaScript to view this website.
AB86599

Anti-RAI1 antibody

Be the first to review this product! Submit a review

|

(3 Publications)

Rabbit Polyclonal RAI1 antibody. Suitable for IHC-P, IP, WB and reacts with Human samples. Cited in 3 publications. Immunogen corresponding to Synthetic Peptide within Human RAI1 aa 1-100.

View Alternative Names

KIAA1820, RAI1, Retinoic acid-induced protein 1

3 Images
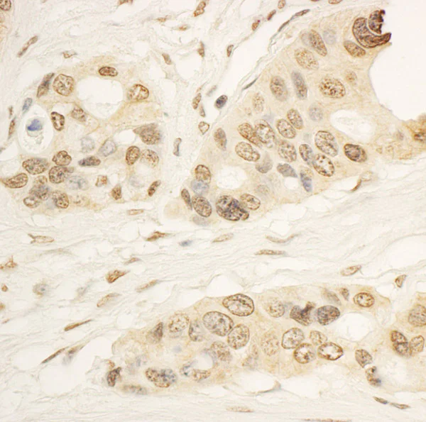
Immunohistochemistry (Formalin/PFA-fixed paraffin-embedded sections) - Anti-RAI1 antibody (AB86599)
  • IHC-P

Unknown

Immunohistochemistry (Formalin/PFA-fixed paraffin-embedded sections) - Anti-RAI1 antibody (AB86599)

Immunohistochemistry (Formalin/PFA-fixed paraffin-embedded sections) analysis of human ovarian carcinoma tissue labelling RAI1 with ab86599 at 1/1000 (1µg/ml). Detection : DAB.

Immunoprecipitation - Anti-RAI1 antibody (AB86599)
  • IP

Unknown

Immunoprecipitation - Anti-RAI1 antibody (AB86599)

Western Blot detection of RAI1 in Immunoprecipitates of Whole cell lysate of HeLa cells (1 mg for IP, 20% of IP loaded) using ab86599 at 10 µg/mg lysate for IP and at 1 µg/ml for subsequent Western blot detection. Lane 2 represents control IgG IP.
Detection : Chemiluminescence with an exposure time of 30 seconds.

All lanes:

Immunoprecipitation - Anti-RAI1 antibody (ab86599)

Predicted band size: 203 kDa

false

Western blot - Anti-RAI1 antibody (AB86599)
  • WB

Unknown

Western blot - Anti-RAI1 antibody (AB86599)

All lanes:

Western blot - Anti-RAI1 antibody (ab86599) at 0.1 µg/mL

Lane 1:

Whole cell lysate from HeLa cells at 50 µg

Lane 2:

Whole cell lysate from HeLa cells at 15 µg

Lane 3:

Whole cell lysate from HeLa cells at 5 µg

Predicted band size: 203 kDa

Observed band size: 280 kDa

true

Exposure time: 3min

Key facts

Host species

Rabbit

Clonality

Polyclonal

Isotype

IgG

Carrier free

No

Reacts with

Human

Applications

IP, IHC-P, WB

applications

Immunogen

Synthetic Peptide within Human RAI1 aa 1-100. The exact immunogen used to generate this antibody is proprietary information.

Q7Z5J4

Reactivity data

{ "title": "Reactivity Data", "filters": { "stats": ["", "Species", "Dilution Info", "Notes"], "tabs": { "all-applications": {"fullname" : "All Applications", "shortname": "All Applications"}, "IHCP" : {"fullname" : "Immunohistochemistry (Formalin/PFA-fixed paraffin-embedded sections)", "shortname":"IHC-P"}, "IP" : {"fullname" : "Immunoprecipitation", "shortname":"IP"}, "WB" : {"fullname" : "Western blot", "shortname":"WB"} }, "product-promise": { "all": "all", "testedAndGuaranteed": "tested", "guaranteed": "expected", "predicted": "predicted", "notRecommended": "not-recommended" } }, "values": { "Human": { "IHCP-species-checked": "testedAndGuaranteed", "IHCP-species-dilution-info": "1/500 - 1/2000", "IHCP-species-notes": "<p></p> Perform heat-mediated antigen retrieval with citrate buffer pH 6 before commencing with IHC staining protocol.", "IP-species-checked": "testedAndGuaranteed", "IP-species-dilution-info": "10 µg/mg of lysate", "IP-species-notes": "<p></p>", "WB-species-checked": "testedAndGuaranteed", "WB-species-dilution-info": "1/2000 - 1/10000", "WB-species-notes": "<p></p>" }, "Chimpanzee": { "IHCP-species-checked": "predicted", "IHCP-species-dilution-info": "", "IHCP-species-notes": "", "IP-species-checked": "predicted", "IP-species-dilution-info": "", "IP-species-notes": "", "WB-species-checked": "predicted", "WB-species-dilution-info": "", "WB-species-notes": "" }, "Gorilla": { "IHCP-species-checked": "predicted", "IHCP-species-dilution-info": "", "IHCP-species-notes": "", "IP-species-checked": "predicted", "IP-species-dilution-info": "", "IP-species-notes": "", "WB-species-checked": "predicted", "WB-species-dilution-info": "", "WB-species-notes": "" }, "Orangutan": { "IHCP-species-checked": "predicted", "IHCP-species-dilution-info": "", "IHCP-species-notes": "", "IP-species-checked": "predicted", "IP-species-dilution-info": "", "IP-species-notes": "", "WB-species-checked": "predicted", "WB-species-dilution-info": "", "WB-species-notes": "" } } }

Properties and storage information

Form
Liquid
Purification technique
Affinity purification Immunogen
Storage buffer
pH: 7 - 8 Preservative: 0.09% Sodium azide Constituents: Tris citrate/phosphate
Shipped at conditions
Blue Ice
Appropriate short-term storage conditions
+4°C
Appropriate long-term storage conditions
+4°C
Aliquoting information
Upon delivery aliquot
Storage information
Avoid freeze / thaw cycle

Supplementary information

This supplementary information is collated from multiple sources and compiled automatically.

RAI1 also known as Retinoic Acid-Induced 1 is a protein encoded by the RAI1 gene on chromosome 17. This protein has an approximate mass of 190 kDa and is widely expressed particularly in the brain and liver. Mechanically RAI1 interacts with DNA as a transcription regulator influencing the expression of numerous genes. The protein plays a role in chromatin remodeling and its mutations can impact neural development indicating its involvement in precise genetic processes.
Biological function summary

RAI1 influences gene expression by acting as a transcription factor and is involved in neuronal differentiation and functionality. It doesn't typically form a complex but interacts with other transcription factors and histone modifying proteins. This function is critical for maintaining regular circadian rhythm and energy balance in the body highlighting its importance in lifestyle regulation.

Pathways

RAI1 is a significant part of the circadian clock regulatory network and the nervous system development pathways. It works closely with other transcription factors such as CLOCK and BMAL1 which are integral to maintaining circadian rhythms. RAI1's modulation of gene expression also relates it to the MAPK signaling pathway though indirectly influencing neurodevelopmental processes.

Mutations in RAI1 are strongly associated with Smith-Magenis syndrome a genetic disorder affecting various developmental processes. Furthermore alterations in RAI1 expression levels relate to obesity as the protein plays a role in controlling appetite and energy balance. Researchers connect RAI1 with genes like BDNF and MC4R in the study of these conditions suggesting its broader impact on dysregulation in neuropsychiatric and metabolic disorders.

Product protocols

For this product, it's our understanding that no specific protocols are required. You can visit:

Target data

Transcriptional regulator of the circadian clock components : CLOCK, BMAL1, BMAL2, PER1/3, CRY1/2, NR1D1/2 and RORA/C. Positively regulates the transcriptional activity of CLOCK a core component of the circadian clock. Regulates transcription through chromatin remodeling by interacting with other proteins in chromatin as well as proteins in the basic transcriptional machinery. May be important for embryonic and postnatal development. May be involved in neuronal differentiation.
See full target information RAI1

Publications (3)

Recent publications for all applications. Explore the full list and refine your search

Nature communications 14:5685 PubMed37709746

2023

KMT2A associates with PHF5A-PHF14-HMG20A-RAI1 subcomplex in pancreatic cancer stem cells and epigenetically regulates their characteristics.

Applications

Unspecified application

Species

Unspecified reactive species

Mai Abdel Mouti,Siwei Deng,Martin Pook,Jessica Malzahn,Aniko Rendek,Stefania Militi,Reshma Nibhani,Zahir Soonawalla,Udo Oppermann,Chang-Il Hwang,Siim Pauklin

The Journal of biological chemistry 299:102728 PubMed36410433

2022

rAAV-CRISPRa therapy corrects Rai1 haploinsufficiency and rescues selective disease features in Smith-Magenis syndrome mice.

Applications

Unspecified application

Species

Unspecified reactive species

Hao-Cheng Chang,Yu-Ju Lee,Sehrish Javed,Minza Haque,Ya-Ting Chang,Yu Cheng Lin,Cameron Oram,Wei-Hsiang Huang

Molecular cancer therapeutics 13:2073-80 PubMed24899684

2014

Overexpression of DDX43 mediates MEK inhibitor resistance through RAS Upregulation in uveal melanoma cells.

Applications

Unspecified application

Species

Unspecified reactive species

Grazia Ambrosini,Raya Khanin,Richard D Carvajal,Gary K Schwartz
View all publications

Product promise

We are committed to supporting your work with high-quality reagents, and we're here for you every step of the way. In the unlikely event that one of our products does not perform as expected, you're protected by our Product Promise.
For full details, please see our Terms & Conditions

Please note: All products are 'FOR RESEARCH USE ONLY. NOT FOR USE IN DIAGNOSTIC OR THERAPEUTIC PROCEDURES'.

For licensing inquiries, please contact partnerships@abcam.com