JavaScript is disabled in your browser. Please enable JavaScript to view this website.
AB137118

Anti-RAI14 antibody [EPR8518]

Be the first to review this product! Submit a review

|

(7 Publications)

Rabbit Recombinant Monoclonal RAI14 antibody. Suitable for IHC-P, WB and reacts with Human, Mouse, Rat samples. Cited in 7 publications.

View Alternative Names

KIAA1334, NORPEG, RAI14, Ankycorbin, Ankyrin repeat and coiled-coil structure-containing protein, Novel retinal pigment epithelial cell protein, Retinoic acid-induced protein 14

3 Images
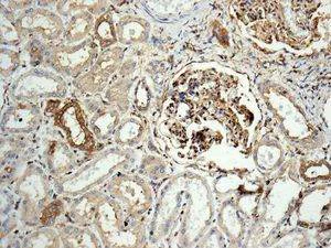
Immunohistochemistry (Formalin/PFA-fixed paraffin-embedded sections) - Anti-RAI14 antibody [EPR8518] (AB137118)
  • IHC-P

Unknown

Immunohistochemistry (Formalin/PFA-fixed paraffin-embedded sections) - Anti-RAI14 antibody [EPR8518] (AB137118)

Immunohistochemical analysis of paraffin embedded Human kidney tissue labelling RAI14 with ab137118 antibody at a dilution of 1/100.

Perform heat mediated antigen retrieval with citrate buffer pH 6 before commencing with IHC staining protocol.

Immunohistochemistry (Formalin/PFA-fixed paraffin-embedded sections) - Anti-RAI14 antibody [EPR8518] (AB137118)
  • IHC-P

Unknown

Immunohistochemistry (Formalin/PFA-fixed paraffin-embedded sections) - Anti-RAI14 antibody [EPR8518] (AB137118)

Immunohistochemical analysis of paraffin embedded Human testis tissue labelling RAI14 with ab137118 antibody at a dilution of 1/100.

Perform heat mediated antigen retrieval with citrate buffer pH 6 before commencing with IHC staining protocol.

Western blot - Anti-RAI14 antibody [EPR8518] (AB137118)
  • WB

Unknown

Western blot - Anti-RAI14 antibody [EPR8518] (AB137118)

All lanes:

Western blot - Anti-RAI14 antibody [EPR8518] (ab137118) at 1/1000 dilution

Lane 1:

HeLa cell lysate at 10 µg

Lane 2:

293T (Human embryonic kidney epithelial cell) cell lysate at 10 µg

Secondary

All lanes:

HRP labelled goat anti-rabbit at 1/2000 dilution

Predicted band size: 110 kDa

Observed band size: 110 kDa

false

Key facts

Host species

Rabbit

Clonality

Monoclonal

Clone number

EPR8518

Isotype

IgG

Carrier free

No

Reacts with

Human

Applications

WB, IHC-P

applications

Immunogen

The exact immunogen used to generate this antibody is proprietary information.

Reactivity data

{ "title": "Reactivity Data", "filters": { "stats": ["", "Species", "Dilution Info", "Notes"], "tabs": { "all-applications": {"fullname" : "All Applications", "shortname": "All Applications"}, "IHCP" : {"fullname" : "Immunohistochemistry (Formalin/PFA-fixed paraffin-embedded sections)", "shortname":"IHC-P"}, "ICCIF" : {"fullname" : "Immunocytochemistry/ Immunofluorescence", "shortname":"ICC/IF"}, "FlowCyt" : {"fullname" : "Flow Cytometry", "shortname":"Flow Cyt"}, "WB" : {"fullname" : "Western blot", "shortname":"WB"} }, "product-promise": { "all": "all", "testedAndGuaranteed": "tested", "guaranteed": "expected", "predicted": "predicted", "notRecommended": "not-recommended" } }, "values": { "Human": { "IHCP-species-checked": "testedAndGuaranteed", "IHCP-species-dilution-info": "1/100 - 1/250", "IHCP-species-notes": "<p></p>", "ICCIF-species-checked": "notRecommended", "ICCIF-species-dilution-info": "", "ICCIF-species-notes": "<p></p>", "FlowCyt-species-checked": "notRecommended", "FlowCyt-species-dilution-info": "", "FlowCyt-species-notes": "<p></p>", "WB-species-checked": "testedAndGuaranteed", "WB-species-dilution-info": "1/1000 - 1/10000", "WB-species-notes": "<p></p>" }, "Mouse": { "IHCP-species-checked": "predicted", "IHCP-species-dilution-info": "", "IHCP-species-notes": "", "ICCIF-species-checked": "notRecommended", "ICCIF-species-dilution-info": "", "ICCIF-species-notes": "", "FlowCyt-species-checked": "notRecommended", "FlowCyt-species-dilution-info": "", "FlowCyt-species-notes": "", "WB-species-checked": "guaranteed", "WB-species-dilution-info": "", "WB-species-notes": "<p></p>" }, "Rat": { "IHCP-species-checked": "predicted", "IHCP-species-dilution-info": "", "IHCP-species-notes": "", "ICCIF-species-checked": "notRecommended", "ICCIF-species-dilution-info": "", "ICCIF-species-notes": "", "FlowCyt-species-checked": "notRecommended", "FlowCyt-species-dilution-info": "", "FlowCyt-species-notes": "", "WB-species-checked": "guaranteed", "WB-species-dilution-info": "", "WB-species-notes": "<p></p>" } } }

Product details

Patented technology
Our RabMAb® technology is a patented hybridoma-based technology for making rabbit monoclonal antibodies. For details on our patents, please refer to RabMAb® patents.

What are the advantages of a recombinant monoclonal antibody?
This product is a recombinant monoclonal antibody, which offers several advantages including:

  • - High batch-to-batch consistency and reproducibility
  • - Improved sensitivity and specificity
  • - Long-term security of supply
  • - Animal-free batch production

For more information, read more on recombinant antibodies.

Properties and storage information

Form
Liquid
Purification technique
Affinity purification Protein A
Storage buffer
pH: 7.2 - 7.4 Preservative: 0.01% Sodium azide Constituents: PBS, 50% Tissue culture supernatant, 40% Glycerol (glycerin, glycerine), 0.05% BSA
Shipped at conditions
Blue Ice
Appropriate short-term storage conditions
+4°C
Appropriate long-term storage conditions
-20°C
Aliquoting information
Upon delivery aliquot
Storage information
Avoid freeze / thaw cycle

Supplementary information

This supplementary information is collated from multiple sources and compiled automatically.

RAI14 also known as Ankycorbin or Norpeg is a protein that plays a role in cytoskeletal organization and cellular architecture. The protein has a molecular mass of approximately 110 kDa. Researchers have found RAI14 to be expressed in several tissues including testis heart and retina. In these tissues RAI14 functions to maintain cell structure and stability by interacting with actin filaments which are important components of the cell cytoskeleton. This interaction suggests RAI14’s involvement in regulating actin dynamics.
Biological function summary

Researchers believe RAI14 contributes to cellular processes by participating in complex formation with other proteins like actin. It modulates the arrangement of the actin cytoskeleton which affects cell shape movement and mechanical stability. The involvement of RAI14 in actin dynamics indicates its role in providing cellular elasticity and adaptability important for cells undergoing morphological changes. Studies also suggest that RAI14 might influence processes like cell adhesion which is key for maintaining tissue integrity.

Pathways

Scientists link RAI14 to actin-related pathways and cellular morphogenesis. It works alongside proteins such as filamin A and vinculin that interact with the actin cytoskeleton to manage cell shape and mechanical responses. RAI14’s function in these pathways is important for understanding how cells migrate and how they respond to mechanical stress. These processes are important for tissue development and repair highlighting the significance of RAI14 in maintaining cellular homeostasis.

Scientists have associated RAI14 with conditions affecting cell structure and motility. For instance RAI14 dysregulation has been observed in certain types of cancer where changes in cell adhesion and migration contribute to tumor progression. Additionally abnormalities in the expression or function of actin-related proteins like RAI14 can also lead to retinal diseases due to its expression in retinal tissue. These connections highlight the importance of RAI14 in understanding and potentially targeting cytoskeletal disorders.

Product protocols

For this product, it's our understanding that no specific protocols are required. You can visit:

Target data

Plays a role in actin regulation at the ectoplasmic specialization, a type of cell junction specific to testis. Important for establishment of sperm polarity and normal spermatid adhesion. May also promote integrity of Sertoli cell tight junctions at the blood-testis barrier.
See full target information RAI14

Publications (7)

Recent publications for all applications. Explore the full list and refine your search

EMBO reports 25:4033-4061 PubMed39160347

2024

Retinoic acid-induced protein 14 links mechanical forces to Hippo signaling.

Applications

Unspecified application

Species

Unspecified reactive species

Wonyoung Jeong,Hyeryun Kwon,Sang Ki Park,In-Seob Lee,Eek-Hoon Jho

Frontiers in immunology 14:1182180 PubMed37545539

2023

Rai14 is a novel interactor of Invariant chain that regulates macropinocytosis.

Applications

Unspecified application

Species

Unspecified reactive species

Natacha Lobos Patorniti,Khalisah Liyana Zulkefli,Martin E McAdam,Pablo Vargas,Oddmund Bakke,Cinzia Progida

World journal of surgical oncology 21:61 PubMed36823639

2023

Identification of critical prognosis signature associated with lymph node metastasis of stomach adenocarcinomas.

Applications

Unspecified application

Species

Unspecified reactive species

Xiaohui Wang,Wei Zhang,Yulin Guo,Yifei Zhang,Xiaofeng Bai,Yibin Xie

Experimental & molecular medicine 54:2047-2059 PubMed36434041

2022

The deubiquitinating enzyme STAMBP is a newly discovered driver of triple-negative breast cancer progression that maintains RAI14 protein stability.

Applications

Unspecified application

Species

Unspecified reactive species

Qianqian Yang,Ding Yan,Chaoying Zou,Qian Xue,Shuhui Lin,Qingtian Huang,Xiaofen Li,Daolin Tang,Xin Chen,Jinbao Liu

International journal of molecular sciences 23: PubMed36233342

2022

RAI14 Promotes Melanoma Progression by Regulating the FBXO32/c-MYC Pathway.

Applications

Unspecified application

Species

Unspecified reactive species

Jie Xu,Pengfei Shi,Fanwei Xia,Xuan Zhao,Junfan Chen,Rui Geng,Hongjuan Cui,Liqun Yang

BMC cancer 20:258 PubMed32228518

2020

Long non-coding RNA AFAP1-AS1 accelerates the progression of melanoma by targeting miR-653-5p/RAI14 axis.

Applications

Unspecified application

Species

Unspecified reactive species

Fei Liu,Lanting Hu,Yi Pei,Ke Zheng,Wei Wang,Shenglong Li,Enduo Qiu,Guanning Shang,Jiaming Zhang,Xiaojing Zhang

Medical science monitor : international medical jo 24:2244-2251 PubMed29654694

2018

High Expression of Retinoic Acid Induced 14 (RAI14) in Gastric Cancer and Its Prognostic Value.

Applications

Unspecified application

Species

Unspecified reactive species

Xin-Yang He,Jun Zhao,Zhi-Qiang Chen,Rong Jin,Cheng-Ye Liu
View all publications

Product promise

We are committed to supporting your work with high-quality reagents, and we're here for you every step of the way. In the unlikely event that one of our products does not perform as expected, you're protected by our Product Promise.
For full details, please see our Terms & Conditions

Please note: All products are 'FOR RESEARCH USE ONLY. NOT FOR USE IN DIAGNOSTIC OR THERAPEUTIC PROCEDURES'.

For licensing inquiries, please contact partnerships@abcam.com