JavaScript is disabled in your browser. Please enable JavaScript to view this website.
AB126627

Anti-RALA antibody [EPR6468]

Be the first to review this product! Submit a review

|

(6 Publications)

Rabbit Recombinant Monoclonal RALA antibody. Suitable for IHC-P, WB, Flow Cyt (Intra) and reacts with Human samples. Cited in 6 publications.

View Alternative Names

RAL, RALA, Ras-related protein Ral-A

4 Images
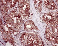
Immunohistochemistry (Formalin/PFA-fixed paraffin-embedded sections) - Anti-RALA antibody [EPR6468] (AB126627)
  • IHC-P

Unknown

Immunohistochemistry (Formalin/PFA-fixed paraffin-embedded sections) - Anti-RALA antibody [EPR6468] (AB126627)

ab126627, at 1/100, staining RALA in formalin fixed, paraffin embedded Human breast carcinoma tissue by Immunohistochemistry.

Perform heat mediated antigen retrieval with citrate buffer pH 6 before commencing with IHC staining protocol.

Flow Cytometry (Intracellular) - Anti-RALA antibody [EPR6468] (AB126627)
  • Flow Cyt (Intra)

Unknown

Flow Cytometry (Intracellular) - Anti-RALA antibody [EPR6468] (AB126627)

Overlay histogram showing MCF7 cells stained with ab126627 (red line). The cells were fixed with 4% paraformaldehyde (10 min) and then permeabilized with 0.1% PBS-Tween for 20 min. The cells were then incubated in 1x PBS / 10% normal goat serum / 0.3M glycine to block non-specific protein-protein interactions followed by the antibody (ab126627, 1/10000 dilution) for 30 min at 22°C. The secondary antibody used was Alexa Fluor® 488 goat anti-rabbit IgG (H&L) (ab150077) at 1/2000 dilution for 30 min at 22°C. Isotype control antibody (black line) was rabbit IgG (monoclonal) (0.1μg/1x106 cells) used under the same conditions. Unlabelled sample (blue line) was also used as a control. Acquisition of >5,000 events were collected using a 20mW Argon ion laser (488nm) and 525/30 bandpass filter. This antibody gave a positive signal in MCF7 cells fixed with 80% methanol (5 min)/permeabilized with 0.1% PBS-Tween for 20 min used under the same conditions.

Western blot - Anti-RALA antibody [EPR6468] (AB126627)
  • WB

Lab

Western blot - Anti-RALA antibody [EPR6468] (AB126627)

Lanes 1-3 : Merged signal (red and green). Green - ab126627 observed at 25 kDa. Red - loading control ab7291 observed at 50 kDa.

ab126627 Anti-RALA antibody [EPR6468] was shown to specifically react with RALA in wild-type HeLa cells. Loss of signal was observed when knockout cell line ab265092 (knockout cell lysate ab258165) was used. Wild-type and RALA knockout samples were subjected to SDS-PAGE. ab126627 and Anti-alpha Tubulin antibody [DM1A] - Loading Control (ab7291) were incubated overnight at 4°C at 1 in 1000 dilution and 1 in 20000 dilution respectively. Blots were developed with Goat anti-Rabbit IgG H&L (IRDye® 800CW) preadsorbed (ab216773) and Goat anti-Mouse IgG H&L (IRDye® 680RD) preadsorbed (ab216776) secondary antibodies at 1 in 20000 dilution for 1 hour at room temperature before imaging.

All lanes:

Western blot - Anti-RALA antibody [EPR6468] (ab126627) at 1/1000 dilution

Lane 1:

Wild-type HeLa cell lysate at 20 µg

Lane 2:

RALA knockout HeLa cell lysate at 20 µg

Lane 2:

Western blot - Human RALA knockout HeLa cell line (<a href='/en-us/products/cell-lines/human-rala-knockout-hela-cell-line-ab265092'>ab265092</a>)

Lane 3:

MCF7 cell lysate at 20 µg

Secondary

All lanes:

Western blot - Goat anti-Rabbit IgG H&L (IRDye® 800CW) preadsorbed (<a href='/en-us/products/secondary-antibodies/goat-rabbit-igg-h-l-irdye-800cw-preadsorbed-ab216773'>ab216773</a>) at 1/20000 dilution

Predicted band size: 24 kDa

Observed band size: 25 kDa

false

Western blot - Anti-RALA antibody [EPR6468] (AB126627)
  • WB

Unknown

Western blot - Anti-RALA antibody [EPR6468] (AB126627)

All lanes:

Western blot - Anti-RALA antibody [EPR6468] (ab126627) at 1/1000 dilution

Lane 1:

MCF7 cell lysate at 10 µg

Lane 2:

MOLT4 cell lysate at 10 µg

Lane 3:

BxPC3 cell lysate at 10 µg

Lane 4:

HepG2 cell lysate at 10 µg

Secondary

All lanes:

Goat anti-rabbit HRP conjugated antibody at 1/2000 dilution

Predicted band size: 24 kDa

false

  • Carrier free

    Anti-RALA antibody [EPR6468] - BSA and Azide free

Key facts

Host species

Rabbit

Clonality

Monoclonal

Clone number

EPR6468

Isotype

IgG

Carrier free

No

Reacts with

Human

Applications

Flow Cyt (Intra), IHC-P, WB

applications

Immunogen

The exact immunogen used to generate this antibody is proprietary information.

Reactivity data

{ "title": "Reactivity Data", "filters": { "stats": ["", "Species", "Dilution Info", "Notes"], "tabs": { "all-applications": {"fullname" : "All Applications", "shortname": "All Applications"}, "IHCP" : {"fullname" : "Immunohistochemistry (Formalin/PFA-fixed paraffin-embedded sections)", "shortname":"IHC-P"}, "IP" : {"fullname" : "Immunoprecipitation", "shortname":"IP"}, "WB" : {"fullname" : "Western blot", "shortname":"WB"}, "ICCIF" : {"fullname" : "Immunocytochemistry/ Immunofluorescence", "shortname":"ICC/IF"}, "FlowCytIntra" : {"fullname" : "Flow Cytometry (Intracellular)", "shortname":"Flow Cyt (Intra)"} }, "product-promise": { "all": "all", "testedAndGuaranteed": "tested", "guaranteed": "expected", "predicted": "predicted", "notRecommended": "not-recommended" } }, "values": { "Human": { "IHCP-species-checked": "testedAndGuaranteed", "IHCP-species-dilution-info": "1/100 - 1/250", "IHCP-species-notes": "<p></p>", "IP-species-checked": "notRecommended", "IP-species-dilution-info": "", "IP-species-notes": "<p></p>", "WB-species-checked": "testedAndGuaranteed", "WB-species-dilution-info": "1/1000 - 1/10000", "WB-species-notes": "<p></p>", "ICCIF-species-checked": "notRecommended", "ICCIF-species-dilution-info": "", "ICCIF-species-notes": "<p></p>", "FlowCytIntra-species-checked": "testedAndGuaranteed", "FlowCytIntra-species-dilution-info": "1/1000 - 1/10000", "FlowCytIntra-species-notes": "<p><a href='/en-us/products/primary-antibodies/rabbit-igg-monoclonal-epr25a-isotype-control-ab172730'>ab172730</a> - Rabbit monoclonal IgG, is suitable for use as an isotype control with this antibody.</p>" } } }

Product details

Species reactivity
Mouse, Rat: We have preliminary internal testing data to indicate this antibody may not react with these species.
Please contact us for more information.

Patented technology
Our RabMAb® technology is a patented hybridoma-based technology for making rabbit monoclonal antibodies. For details on our patents, please refer to RabMAb® patents.

What are the advantages of a recombinant monoclonal antibody?
This product is a recombinant monoclonal antibody, which offers several advantages including:

  • - High batch-to-batch consistency and reproducibility
  • - Improved sensitivity and specificity
  • - Long-term security of supply
  • - Animal-free batch production

For more information, read more on recombinant antibodies.

Properties and storage information

Form
Liquid
Purification technique
Affinity purification Protein A
Storage buffer
pH: 7.2 - 7.4 Preservative: 0.01% Sodium azide Constituents: PBS, 50% Tissue culture supernatant, 40% Glycerol (glycerin, glycerine), 0.05% BSA
Shipped at conditions
Blue Ice
Appropriate short-term storage conditions
+4°C
Appropriate long-term storage conditions
-20°C
Storage information
Stable for 12 months at -20°C

Supplementary information

This supplementary information is collated from multiple sources and compiled automatically.

RALA also known as Ras-related protein Ral-A or RalA is a small GTPase involved in a variety of cellular processes. It has a molecular mass of approximately 23 kDa. RALA switches between inactive GDP-bound and active GTP-bound states facilitating the transduction of signals within the cell. This protein is found in a range of tissues with expression in the brain lung and kidney being notable. The ability of RALA to shuttle between membrane compartments highlights its mechanical versatility in cellular signaling.
Biological function summary

The interaction of RALA with effector proteins drives key processes like vesicle trafficking cytoskeletal dynamics and gene expression. RALA forms part of a signaling complex in its active state that mediates these functions. This protein is vital in the neurotransmitter release ensuring efficient communication between neurons. Additionally RALA impacts cell movement by influencing actin filament organization showing its role in cell motility.

Pathways

The engagement of RALA in Ral signaling and the phosphatidylinositol 3-kinase (PI3K) pathway showcases its importance. In Ral signaling RALA interacts closely with proteins like RalBP1 influencing endocytosis and exocytosis activities. In the PI3K pathway RALA helps regulate cell proliferation and survival showing interactions with proteins such as AKT1. These pathways highlight the integration of RALA into broad signal transduction networks important for cellular homeostasis.

The altered regulation of RALA links it to cancer and neuronal disorders. In cancer the dysregulation of RALA can drive tumorigenesis often acting alongside proteins like KRAS in promoting oncogenic signaling. In neuronal disorders improper functioning of RALA has been associated with synaptic dysfunctions potentially affecting proteins like Synapsin I which are important to synaptic vesicle trafficking. Understanding RALA's role in these contexts helps in developing targeted therapeutic strategies.

Product protocols

For this product, it's our understanding that no specific protocols are required. You can visit:

Target data

Multifunctional GTPase involved in a variety of cellular processes including gene expression, cell migration, cell proliferation, oncogenic transformation and membrane trafficking. Accomplishes its multiple functions by interacting with distinct downstream effectors (PubMed : 18756269, PubMed : 19306925, PubMed : 20005108, PubMed : 21822277, PubMed : 30500825). Acts as a GTP sensor for GTP-dependent exocytosis of dense core vesicles. The RALA-exocyst complex regulates integrin-dependent membrane raft exocytosis and growth signaling (PubMed : 20005108). Key regulator of LPAR1 signaling and competes with GRK2 for binding to LPAR1 thus affecting the signaling properties of the receptor. Required for anchorage-independent proliferation of transformed cells (PubMed : 19306925). During mitosis, supports the stabilization and elongation of the intracellular bridge between dividing cells. Cooperates with EXOC2 to recruit other components of the exocyst to the early midbody (PubMed : 18756269). During mitosis, also controls mitochondrial fission by recruiting to the mitochondrion RALBP1, which mediates the phosphorylation and activation of DNM1L by the mitotic kinase cyclin B-CDK1 (PubMed : 21822277).
See full target information RALA

Publications (6)

Recent publications for all applications. Explore the full list and refine your search

Cancers 16: PubMed39272901

2024

The RAL Small G Proteins Are Clinically Relevant Targets in Triple Negative Breast Cancer.

Applications

Unspecified application

Species

Unspecified reactive species

David Han,Jonathan M Spehar,Dillon S Richardson,Sumudu Leelananda,Prathik Chakravarthy,Samantha Grecco,Jesse Reardon,Daniel G Stover,Chad Bennett,Gina M Sizemore,Zaibo Li,Steffen Lindert,Steven T Sizemore

Breast cancer research : BCR 23:65 PubMed34118960

2021

The small G-protein RalA promotes progression and metastasis of triple-negative breast cancer.

Applications

Unspecified application

Species

Unspecified reactive species

Katie A Thies,Matthew W Cole,Rachel E Schafer,Jonathan M Spehar,Dillon S Richardson,Sarah A Steck,Manjusri Das,Arthur W Lian,Alo Ray,Reena Shakya,Sue E Knoblaugh,Cynthia D Timmers,Michael C Ostrowski,Arnab Chakravarti,Gina M Sizemore,Steven T Sizemore

Molecular cell 74:701-712.e9 PubMed30948266

2019

Gain of Additional BIRC3 Protein Functions through 3'-UTR-Mediated Protein Complex Formation.

Applications

Unspecified application

Species

Unspecified reactive species

Shih-Han Lee,Christine Mayr

Oncology reports 39:2171-2177 PubMed29532894

2018

Subcellular localization of aquaporin 3 in prostate cancer is regulated by RalA.

Applications

Unspecified application

Species

Unspecified reactive species

Qiwei Chen,Liang Zhu,Huafeng Zong,Xishuang Song,Lina Wang,Xuejian Wang,Deyong Yang,Jianbo Wang

Oncotarget 8:7946-7963 PubMed27974700

2016

Tunneling nanotube (TNT) formation is downregulated by cytarabine and NF-κB inhibition in acute myeloid leukemia (AML).

Applications

Unspecified application

Species

Unspecified reactive species

Maria Omsland,Øystein Bruserud,Bjørn T Gjertsen,Vibeke Andresen

Genes & development 27:2380-96 PubMed24145798

2013

Ubiquitously transcribed genes use alternative polyadenylation to achieve tissue-specific expression.

Applications

WB

Species

Human

Steve Lianoglou,Vidur Garg,Julie L Yang,Christina S Leslie,Christine Mayr
View all publications

Product promise

We are committed to supporting your work with high-quality reagents, and we're here for you every step of the way. In the unlikely event that one of our products does not perform as expected, you're protected by our Product Promise.
For full details, please see our Terms & Conditions

Please note: All products are 'FOR RESEARCH USE ONLY. NOT FOR USE IN DIAGNOSTIC OR THERAPEUTIC PROCEDURES'.

For licensing inquiries, please contact partnerships@abcam.com