JavaScript is disabled in your browser. Please enable JavaScript to view this website.
AB249532

Anti-RALY antibody [EPR10121] - BSA and Azide free

Be the first to review this product! Submit a review

|

(1 Publication)

Rabbit Recombinant Monoclonal RALY antibody. Carrier free. Suitable for IHC-P, ICC/IF, WB and reacts with Human samples. Cited in 1 publication.

View Alternative Names

HNRPCL2, P542, RALY, RNA-binding protein Raly, Autoantigen p542, Heterogeneous nuclear ribonucleoprotein C-like 2, hnRNP associated with lethal yellow protein homolog, hnRNP core protein C-like 2

4 Images
Immunocytochemistry/ Immunofluorescence - Anti-RALY antibody [EPR10121] - BSA and Azide free (AB249532)
  • ICC/IF

Unknown

Immunocytochemistry/ Immunofluorescence - Anti-RALY antibody [EPR10121] - BSA and Azide free (AB249532)

This data was developed using ab170105, the same antibody clone in a different buffer formulation.Immunofluorescence analysis of HepG2 cells labeling RALY with ab170105 at a 1/250 dilution.

Immunohistochemistry (Formalin/PFA-fixed paraffin-embedded sections) - Anti-RALY antibody [EPR10121] - BSA and Azide free (AB249532)
  • IHC-P

Unknown

Immunohistochemistry (Formalin/PFA-fixed paraffin-embedded sections) - Anti-RALY antibody [EPR10121] - BSA and Azide free (AB249532)

This data was developed using ab170105, the same antibody clone in a different buffer formulation.

Immunohistochemical analysis of paraffin embedded Human heart tissue labeling RALY with ab170105 at a 1/100 dilution.

Perform heat mediated antigen retrieval before commencing with IHC staining protocol.

Immunohistochemistry (Formalin/PFA-fixed paraffin-embedded sections) - Anti-RALY antibody [EPR10121] - BSA and Azide free (AB249532)
  • IHC-P

Unknown

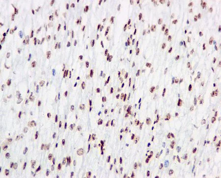
Immunohistochemistry (Formalin/PFA-fixed paraffin-embedded sections) - Anti-RALY antibody [EPR10121] - BSA and Azide free (AB249532)

This data was developed using ab170105, the same antibody clone in a different buffer formulation.

Immunohistochemical analysis of paraffin embedded Human brain tissue labeling RALY with ab170105 at a 1/100 dilution.

Perform heat mediated antigen retrieval before commencing with IHC staining protocol.

Western blot - Anti-RALY antibody [EPR10121] - BSA and Azide free (AB249532)
  • WB

Unknown

Western blot - Anti-RALY antibody [EPR10121] - BSA and Azide free (AB249532)

This data was developed using ab170105, the same antibody clone in a different buffer formulation.

All lanes:

Western blot - Anti-RALY antibody [EPR10121] (<a href='/en-us/products/primary-antibodies/raly-antibody-epr10121-ab170105'>ab170105</a>) at 1/1000 dilution

Lane 1:

HeLa cell lysate at 10 µg

Lane 2:

HepG2 cell lysate at 10 µg

Lane 3:

Jurkat cell lysate at 10 µg

Lane 4:

A549 cell lysate at 10 µg

Secondary

All lanes:

Goat anti-rabbit HRP at 1/2000 dilution

Predicted band size: 32 kDa

false

Key facts

Host species

Rabbit

Clonality

Monoclonal

Clone number

EPR10121

Isotype

IgG

Carrier free

Yes

Reacts with

Human

Applications

WB, ICC/IF, IHC-P

applications

Immunogen

The exact immunogen used to generate this antibody is proprietary information.

Reactivity data

{ "title": "Reactivity Data", "filters": { "stats": ["", "Species", "Dilution Info", "Notes"], "tabs": { "all-applications": {"fullname" : "All Applications", "shortname": "All Applications"}, "IHCP" : {"fullname" : "Immunohistochemistry (Formalin/PFA-fixed paraffin-embedded sections)", "shortname":"IHC-P"}, "ICCIF" : {"fullname" : "Immunocytochemistry/ Immunofluorescence", "shortname":"ICC/IF"}, "FlowCyt" : {"fullname" : "Flow Cytometry", "shortname":"Flow Cyt"}, "WB" : {"fullname" : "Western blot", "shortname":"WB"} }, "product-promise": { "all": "all", "testedAndGuaranteed": "tested", "guaranteed": "expected", "predicted": "predicted", "notRecommended": "not-recommended" } }, "values": { "Human": { "IHCP-species-checked": "testedAndGuaranteed", "IHCP-species-dilution-info": "", "IHCP-species-notes": "<p>Use of a HRP/AP polymerized secondary antibody is recommended.</p>", "ICCIF-species-checked": "testedAndGuaranteed", "ICCIF-species-dilution-info": "", "ICCIF-species-notes": "<p></p>", "FlowCyt-species-checked": "notRecommended", "FlowCyt-species-dilution-info": "", "FlowCyt-species-notes": "<p></p>", "WB-species-checked": "testedAndGuaranteed", "WB-species-dilution-info": "", "WB-species-notes": "<p></p>" }, "Mouse": { "IHCP-species-checked": "predicted", "IHCP-species-dilution-info": "", "IHCP-species-notes": "", "ICCIF-species-checked": "predicted", "ICCIF-species-dilution-info": "", "ICCIF-species-notes": "", "FlowCyt-species-checked": "notRecommended", "FlowCyt-species-dilution-info": "", "FlowCyt-species-notes": "", "WB-species-checked": "predicted", "WB-species-dilution-info": "", "WB-species-notes": "" }, "Rat": { "IHCP-species-checked": "predicted", "IHCP-species-dilution-info": "", "IHCP-species-notes": "", "ICCIF-species-checked": "predicted", "ICCIF-species-dilution-info": "", "ICCIF-species-notes": "", "FlowCyt-species-checked": "notRecommended", "FlowCyt-species-dilution-info": "", "FlowCyt-species-notes": "", "WB-species-checked": "predicted", "WB-species-dilution-info": "", "WB-species-notes": "" } } }

Product details

ab249532 is the carrier-free version of ab170105.

Patented technology
Our RabMAb® technology is a patented hybridoma-based technology for making rabbit monoclonal antibodies. For details on our patents, please refer to RabMAb® patents.

What are the advantages of a recombinant monoclonal antibody?
This product is a recombinant monoclonal antibody, which offers several advantages including:

  • - High batch-to-batch consistency and reproducibility
  • - Improved sensitivity and specificity
  • - Long-term security of supply
  • - Animal-free batch production

For more information, read more on recombinant antibodies.

Conjugation ready
Our carrier-free antibodies are typically supplied in a PBS-only formulation, purified and free of BSA, sodium azide and glycerol. This conjugation-ready format is designed for use with fluorochromes, metal isotopes, oligonucleotides, and enzymes, which makes them ideal for antibody labelling, functional and cell-based assays, flow-based assays (e.g. mass cytometry) and Multiplex Imaging applications.

Use our conjugation kits for antibody conjugates that are ready-to-use in as little as 20 minutes with 1 minute hands-on-time and 100% antibody recovery: available for fluorescent dyes, HRP, biotin and gold.

Compatibility
This product is compatible with the Maxpar® Antibody Labeling Kit from Fluidigm, without the need for antibody preparation. Maxpar® is a trademark of Fluidigm Canada Inc.

Properties and storage information

Form
Liquid
Purification technique
Affinity purification
Storage buffer
pH: 7.2 - 7.4 Constituents: PBS
Shipped at conditions
Blue Ice
Appropriate short-term storage conditions
+4°C
Appropriate long-term storage conditions
+4°C
Storage information
Do Not Freeze

Product protocols

For this product, it's our understanding that no specific protocols are required. You can visit:

Target data

RNA-binding protein that acts as a transcriptional cofactor for cholesterol biosynthetic genes in the liver. Binds the lipid-responsive non-coding RNA LeXis and is required for LeXis-mediated effect on cholesterogenesis (By similarity). May be a heterogeneous nuclear ribonucleoprotein (hnRNP) (PubMed : 9376072).
See full target information RALY

Publications (1)

Recent publications for all applications. Explore the full list and refine your search

Oncotarget 7:78242-78254 PubMed27793041

2016

CPI-17 drives oncogenic Ras signaling in human melanomas via Ezrin-Radixin-Moesin family proteins.

Applications

Unspecified application

Species

Unspecified reactive species

Lars Björn Riecken,Ansgar Zoch,Ulrike Wiehl,Sabine Reichert,Ingmar Scholl,Yan Cui,Mirjana Ziemer,Ulf Anderegg,Christian Hagel,Helen Morrison
View all publications

Product promise

We are committed to supporting your work with high-quality reagents, and we're here for you every step of the way. In the unlikely event that one of our products does not perform as expected, you're protected by our Product Promise.
For full details, please see our Terms & Conditions

Please note: All products are 'FOR RESEARCH USE ONLY. NOT FOR USE IN DIAGNOSTIC OR THERAPEUTIC PROCEDURES'.

For licensing inquiries, please contact partnerships@abcam.com