JavaScript is disabled in your browser. Please enable JavaScript to view this website.
AB203282

Anti-RAMP1 antibody

5

(2 Reviews)

|

(6 Publications)

Rabbit Polyclonal RAMP1 antibody. Suitable for IHC-P and reacts with Human samples. Cited in 6 publications. Immunogen corresponding to Synthetic Peptide within Mouse Ramp1 aa 100 to C-terminus conjugated to Keyhole Limpet Haemocyanin.

View Alternative Names

Receptor activity-modifying protein 1, Calcitonin-receptor-like receptor activity-modifying protein 1, CRLR activity-modifying protein 1, RAMP1

1 Images
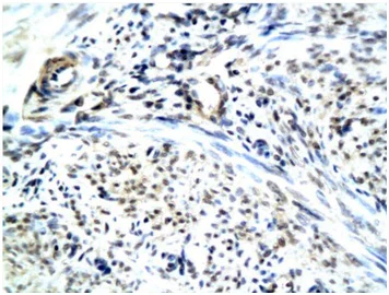
Immunohistochemistry (Formalin/PFA-fixed paraffin-embedded sections) - Anti-RAMP1 antibody (AB203282)
  • IHC-P

Supplier Data

Immunohistochemistry (Formalin/PFA-fixed paraffin-embedded sections) - Anti-RAMP1 antibody (AB203282)

Immunohistochemical analysis of formalin-fixed and paraffin embedded Human uterine endomysium tissue labeling RAMP1 using ab203282 at 1/100, followed by secondary detection and DAB staining.

Key facts

Host species

Rabbit

Clonality

Polyclonal

Isotype

IgG

Carrier free

No

Reacts with

Human

Applications

IHC-P

applications

Immunogen

Synthetic Peptide within Mouse Ramp1 aa 100 to C-terminus conjugated to Keyhole Limpet Haemocyanin. The exact immunogen used to generate this antibody is proprietary information.

Q9WTJ5

Reactivity data

{ "title": "Reactivity Data", "filters": { "stats": ["", "Species", "Dilution Info", "Notes"], "tabs": { "all-applications": {"fullname" : "All Applications", "shortname": "All Applications"}, "IHCP" : {"fullname" : "Immunohistochemistry (Formalin/PFA-fixed paraffin-embedded sections)", "shortname":"IHC-P"} }, "product-promise": { "all": "all", "testedAndGuaranteed": "tested", "guaranteed": "expected", "predicted": "predicted", "notRecommended": "not-recommended" } }, "values": { "Human": { "IHCP-species-checked": "testedAndGuaranteed", "IHCP-species-dilution-info": "1/100 - 1/500", "IHCP-species-notes": "<p>When using a fluorescent probe the recommended dilution is 1/50 – 1/200</p>" }, "Mouse": { "IHCP-species-checked": "predicted", "IHCP-species-dilution-info": "", "IHCP-species-notes": "" } } }

Properties and storage information

Form
Liquid
Purification technique
Affinity purification Protein A
Storage buffer
pH: 7.4 Preservative: 0.02% Proclin 300 Constituents: 50% Glycerol (glycerin, glycerine), 48.98% TBS, 1X, 1% BSA
Shipped at conditions
Blue Ice
Appropriate short-term storage duration
1-2 weeks
Appropriate short-term storage conditions
+4°C
Appropriate long-term storage conditions
-20°C
Aliquoting information
Upon delivery aliquot
Storage information
Avoid freeze / thaw cycle

Product protocols

For this product, it's our understanding that no specific protocols are required. You can visit:

Target data

Accessory protein that interacts with and modulates the function of G-protein coupled receptors including calcitonin gene-related peptide type 1 receptor (CALCRL) and calcitonin receptor (CALCR) (PubMed : 33602864, PubMed : 9620797, PubMed : 35324283, PubMed : 38603770). Required for the transport of CALCRL to the plasma membrane (PubMed : 9620797). Together with CALCRL, form the receptor complex for the calcitonin gene-related peptides CGRP1/CALCA and CGRP2/CALCB (PubMed : 33602864, PubMed : 9620797). Together with CALCR, form the AMYR1 receptor complex for amylin/IAPP and CGRP1/CALCA (PubMed : 35324283, PubMed : 38603770).
See full target information RAMP1

Publications (6)

Recent publications for all applications. Explore the full list and refine your search

Journal of clinical and translational hepatology 12:357-370 PubMed38638379

2024

RAMP1 Protects Hepatocytes against Ischemia-reperfusion Injury by Inhibiting the ERK/YAP Pathway.

Applications

Unspecified application

Species

Unspecified reactive species

Yongsheng Tang,Zenan Yuan,Xu Lu,Yingqiu Song,Shuguang Zhu,Chunhui Qiu,Qi Zhang,Binsheng Fu,Changchang Jia,Hua Li

Advanced science (Weinheim, Baden-Wurttemberg, Germany) 9:e2202620 PubMed36047655

2022

Sensory Nerve Maintains Intervertebral Disc Extracellular Matrix Homeostasis Via CGRP/CHSY1 Axis.

Applications

Unspecified application

Species

Unspecified reactive species

Bo Hu,Xiao Lv,Leixin Wei,Yunhao Wang,Genjiang Zheng,Chen Yang,Fazhi Zang,Jianxi Wang,Jing Li,Xiaodong Wu,Zhihao Yue,Qiangqiang Xiao,Zengwu Shao,Wen Yuan,Jinsong Li,Peng Cao,Chen Xu,Huajiang Chen

The Journal of investigative dermatology 142:2173-2183.e6 PubMed35032503

2022

Lidocaine Ameliorates Psoriasis by Obstructing Pathogenic CGRP Signaling‒Mediated Sensory Neuron‒Dendritic Cell Communication.

Applications

Unspecified application

Species

Unspecified reactive species

Qianqian Yin,Libo Sun,Xiaojie Cai,Fangzhou Lou,Yang Sun,Bin Wang,Bowen Jiang,Lan Bao,Xia Li,Ningjing Song,Sibei Tang,Jing Bai,Zhikai Wang,Yue Wu,Hong Zhou,Hong Wang,Buwei Yu,Qifang Li,Honglin Wang

Reproductive biology and endocrinology : RB&E 19:25 PubMed33602248

2021

Possible involvement of neuropeptide and neurotransmitter receptors in Adenomyosis.

Applications

Unspecified application

Species

Unspecified reactive species

Xiaofang Xu,Xianjun Cai,Xishi Liu,Sun-Wei Guo

Scientific reports 9:2698 PubMed30804432

2019

Neuropeptides Substance P and Calcitonin Gene Related Peptide Accelerate the Development and Fibrogenesis of Endometriosis.

Applications

Unspecified application

Species

Unspecified reactive species

Dingmin Yan,Xishi Liu,Sun-Wei Guo

Nature medicine 22:1160-1169 PubMed27571347

2016

Implant-derived magnesium induces local neuronal production of CGRP to improve bone-fracture healing in rats.

Applications

Unspecified application

Species

Unspecified reactive species

Yifeng Zhang,Jiankun Xu,Ye Chun Ruan,Mei Kuen Yu,Micheal O'Laughlin,Helen Wise,Di Chen,Li Tian,Dufang Shi,Jiali Wang,Sihui Chen,Jian Q Feng,Dick Ho Kiu Chow,Xinhui Xie,Lizhen Zheng,Le Huang,Shuo Huang,Kwoksui Leung,Na Lu,Lan Zhao,Huafang Li,Dewei Zhao,Xia Guo,Kaiming Chan,Frank Witte,Hsiao Chang Chan,Yufeng Zheng,Ling Qin
View all publications

Product promise

We are committed to supporting your work with high-quality reagents, and we're here for you every step of the way. In the unlikely event that one of our products does not perform as expected, you're protected by our Product Promise.
For full details, please see our Terms & Conditions

Please note: All products are 'FOR RESEARCH USE ONLY. NOT FOR USE IN DIAGNOSTIC OR THERAPEUTIC PROCEDURES'.

For licensing inquiries, please contact partnerships@abcam.com