JavaScript is disabled in your browser. Please enable JavaScript to view this website.
AB197372

Anti-RAMP3 antibody

Be the first to review this product! Submit a review

|

(2 Publications)

Rabbit Polyclonal RAMP3 antibody. Suitable for IHC-P and reacts with Human samples. Cited in 2 publications. Immunogen corresponding to Recombinant Fragment Protein within Human Receptor activity-modifying protein 3 aa 1 to C-terminus.

View Alternative Names

Receptor activity-modifying protein 3, Calcitonin-receptor-like receptor activity-modifying protein 3, CRLR activity-modifying protein 3, RAMP3

2 Images
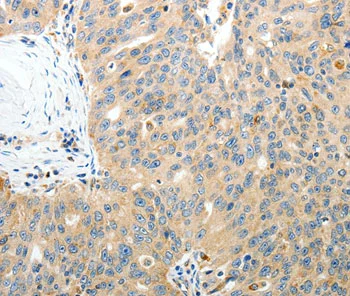
Immunohistochemistry (Formalin/PFA-fixed paraffin-embedded sections) - Anti-RAMP3 antibody (AB197372)
  • IHC-P

Supplier Data

Immunohistochemistry (Formalin/PFA-fixed paraffin-embedded sections) - Anti-RAMP3 antibody (AB197372)

Immunohistochemical analysis of paraffin-embedded Human thyroid cancer tissue, labeling RAMP3 with ab197372 at 1/40 dilution.

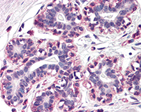
Immunohistochemistry (Formalin/PFA-fixed paraffin-embedded sections) - Anti-RAMP3 antibody (AB197372)
  • IHC-P

Supplier Data

Immunohistochemistry (Formalin/PFA-fixed paraffin-embedded sections) - Anti-RAMP3 antibody (AB197372)

Immunohistochemical analysis of paraffin-embedded Human ovarian cancer tissue, labeling RAMP3 with ab197372 at 1/40 dilution.

Key facts

Host species

Rabbit

Clonality

Polyclonal

Isotype

IgG

Carrier free

No

Reacts with

Human

Applications

IHC-P

applications

Immunogen

Recombinant Fragment Protein within Human Receptor activity-modifying protein 3 aa 1 to C-terminus. The exact immunogen used to generate this antibody is proprietary information.

O60896

Reactivity data

{ "title": "Reactivity Data", "filters": { "stats": ["", "Species", "Dilution Info", "Notes"], "tabs": { "all-applications": {"fullname" : "All Applications", "shortname": "All Applications"}, "IHCP" : {"fullname" : "Immunohistochemistry (Formalin/PFA-fixed paraffin-embedded sections)", "shortname":"IHC-P"} }, "product-promise": { "all": "all", "testedAndGuaranteed": "tested", "guaranteed": "expected", "predicted": "predicted", "notRecommended": "not-recommended" } }, "values": { "Human": { "IHCP-species-checked": "testedAndGuaranteed", "IHCP-species-dilution-info": "1/50 - 1/200", "IHCP-species-notes": "<p></p>" }, "Mouse": { "IHCP-species-checked": "predicted", "IHCP-species-dilution-info": "", "IHCP-species-notes": "" }, "Rat": { "IHCP-species-checked": "predicted", "IHCP-species-dilution-info": "", "IHCP-species-notes": "" } } }

Properties and storage information

Form
Liquid
Purification technique
Affinity purification Immunogen
Storage buffer
pH: 7.4 Preservative: 0.05% Sodium azide Constituents: PBS, 50% Glycerol (glycerin, glycerine)
Shipped at conditions
Blue Ice
Appropriate short-term storage duration
1-2 weeks
Appropriate short-term storage conditions
+4°C
Appropriate long-term storage conditions
-20°C
Aliquoting information
Upon delivery aliquot
Storage information
Avoid freeze / thaw cycle

Product protocols

For this product, it's our understanding that no specific protocols are required. You can visit:

Target data

Accessory protein that interacts with and modulates the function of G-protein coupled receptors including calcitonin gene-related peptide type 1 receptor (CALCRL), calcitonin receptor (CALCR) and G-protein coupled estrogen receptor 1 (GPER1) (PubMed : 23674134, PubMed : 9620797). Required for the transport of CALCRL and GPER1 receptors to the plasma membrane (PubMed : 23674134, PubMed : 9620797). Plays a role in cardioprotection by reducing cardiac hypertrophy and perivascular fibrosis in a GPER1-dependent manner (PubMed : 23674134). Together with CALCRL, form a receptor complex for adrenomedullin/ADM and intermedin/ADM2 (PubMed : 32296767). Together with CALCR, act as a receptor complex for amylin/IAPP (PubMed : 35324283).
See full target information Receptor activity-modifying protein 3

Publications (2)

Recent publications for all applications. Explore the full list and refine your search

International journal of molecular sciences 20: PubMed31466304

2019

Intermedin in Paraventricular Nucleus Attenuates Ang II-Induced Sympathoexcitation through the Inhibition of NADPH Oxidase-Dependent ROS Generation in Obese Rats with Hypertension.

Applications

Unspecified application

Species

Unspecified reactive species

Ying Kang,Lei Ding,Hangbing Dai,Fangzheng Wang,Hong Zhou,Qing Gao,Xiaoqing Xiong,Feng Zhang,Tianrun Song,Yan Yuan,Guoqing Zhu,Yebo Zhou

Journal of neuroinflammation 14:199 PubMed28985759

2017

Role of microglial amylin receptors in mediating beta amyloid (Aβ)-induced inflammation.

Applications

Unspecified application

Species

Unspecified reactive species

Wen Fu,Vlatka Vukojevic,Aarti Patel,Rania Soudy,David MacTavish,David Westaway,Kamaljit Kaur,Valeri Goncharuk,Jack Jhamandas
View all publications

Product promise

We are committed to supporting your work with high-quality reagents, and we're here for you every step of the way. In the unlikely event that one of our products does not perform as expected, you're protected by our Product Promise.
For full details, please see our Terms & Conditions

Please note: All products are 'FOR RESEARCH USE ONLY. NOT FOR USE IN DIAGNOSTIC OR THERAPEUTIC PROCEDURES'.

For licensing inquiries, please contact partnerships@abcam.com