JavaScript is disabled in your browser. Please enable JavaScript to view this website.
AB157213

Anti-Ran antibody [EPR10790(B)]

Be the first to review this product! Submit a review

|

(3 Publications)

Rabbit Recombinant Monoclonal RAN antibody. Suitable for WB, ICC/IF and reacts with Human, Mouse, Rat samples. Cited in 3 publications.

View Alternative Names

ARA24, OK/SW-cl.81, RAN, GTP-binding nuclear protein Ran, Androgen receptor-associated protein 24, GTPase Ran, Ras-like protein TC4, Ras-related nuclear protein

3 Images
Immunocytochemistry/ Immunofluorescence - Anti-Ran antibody [EPR10790(B)] (AB157213)
  • ICC/IF

Unknown

Immunocytochemistry/ Immunofluorescence - Anti-Ran antibody [EPR10790(B)] (AB157213)

Immunofluorescent analysis of 293T cells, labeling Ran with ab157213 at 1/100 dilution.

Western blot - Anti-Ran antibody [EPR10790(B)] (AB157213)
  • WB

Unknown

Western blot - Anti-Ran antibody [EPR10790(B)] (AB157213)

All lanes:

Western blot - Anti-Ran antibody [EPR10790(B)] (ab157213) at 1/1000 dilution

Lane 1:

293T cell lysate at 10 µg

Lane 2:

HeLa cell lysate at 10 µg

Lane 3:

Jurkat cell lysate at 10 µg

Predicted band size: 24 kDa

false

Western blot - Anti-Ran antibody [EPR10790(B)] (AB157213)
  • WB

Lab

Western blot - Anti-Ran antibody [EPR10790(B)] (AB157213)

Blocking and diluting buffer and concentration : 5% NFDM/TBST.

The bands observed at 30kDa, 60kDa and 150kDa should be monomer, dimer and polymer respectively.

Lanes 1 - 2:

Western blot - Anti-Ran antibody [EPR10790(B)] (ab157213) at 1/1000 dilution

Lanes 1 - 2:

Western blot - Anti-Ran antibody [EPR10790(B)] - BSA and Azide free (<a href='/en-us/products/primary-antibodies/ran-antibody-epr10790b-bsa-and-azide-free-ab249315'>ab249315</a>) at 1/1000 dilution

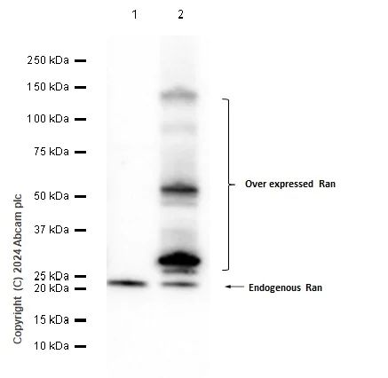
Lane 1:

HEK-293T transfected with an empty vector whole cell lysate at 20 µg

Lane 2:

HEK-293T transfected with a human Ran expression vector containing a Flag tag whole cell lysate at 20 µg

Secondary

All lanes:

Western blot - Goat Anti-Rabbit IgG H&L (HRP) (<a href='/en-us/products/secondary-antibodies/goat-rabbit-igg-h-l-hrp-ab97051'>ab97051</a>) at 1/20000 dilution

Observed band size: 24 kDa,30 kDa,60 kDa,150 kDa

false

Exposure time: 7s

  • Carrier free

    Anti-Ran antibody [EPR10790(B)] - BSA and Azide free

Key facts

Host species

Rabbit

Clonality

Monoclonal

Clone number

EPR10790(B)

Isotype

IgG

Carrier free

No

Reacts with

Human

Applications

WB, ICC/IF

applications

Immunogen

The exact immunogen used to generate this antibody is proprietary information.

Reactivity data

{ "title": "Reactivity Data", "filters": { "stats": ["", "Species", "Dilution Info", "Notes"], "tabs": { "all-applications": {"fullname" : "All Applications", "shortname": "All Applications"}, "IP" : {"fullname" : "Immunoprecipitation", "shortname":"IP"}, "FlowCyt" : {"fullname" : "Flow Cytometry", "shortname":"Flow Cyt"}, "WB" : {"fullname" : "Western blot", "shortname":"WB"}, "IHCP" : {"fullname" : "Immunohistochemistry (Formalin/PFA-fixed paraffin-embedded sections)", "shortname":"IHC-P"}, "ICCIF" : {"fullname" : "Immunocytochemistry/ Immunofluorescence", "shortname":"ICC/IF"} }, "product-promise": { "all": "all", "testedAndGuaranteed": "tested", "guaranteed": "expected", "predicted": "predicted", "notRecommended": "not-recommended" } }, "values": { "Human": { "IP-species-checked": "notRecommended", "IP-species-dilution-info": "", "IP-species-notes": "<p></p>", "FlowCyt-species-checked": "notRecommended", "FlowCyt-species-dilution-info": "", "FlowCyt-species-notes": "<p></p>", "WB-species-checked": "testedAndGuaranteed", "WB-species-dilution-info": "1/1000 - 1/5000", "WB-species-notes": "<p></p>", "IHCP-species-checked": "notRecommended", "IHCP-species-dilution-info": "", "IHCP-species-notes": "<p></p>", "ICCIF-species-checked": "testedAndGuaranteed", "ICCIF-species-dilution-info": "1/100 - 1/250", "ICCIF-species-notes": "<p></p>" }, "Mouse": { "IP-species-checked": "notRecommended", "IP-species-dilution-info": "", "IP-species-notes": "", "FlowCyt-species-checked": "notRecommended", "FlowCyt-species-dilution-info": "", "FlowCyt-species-notes": "", "WB-species-checked": "guaranteed", "WB-species-dilution-info": "", "WB-species-notes": "<p></p>", "IHCP-species-checked": "notRecommended", "IHCP-species-dilution-info": "", "IHCP-species-notes": "", "ICCIF-species-checked": "predicted", "ICCIF-species-dilution-info": "", "ICCIF-species-notes": "" }, "Rat": { "IP-species-checked": "notRecommended", "IP-species-dilution-info": "", "IP-species-notes": "", "FlowCyt-species-checked": "notRecommended", "FlowCyt-species-dilution-info": "", "FlowCyt-species-notes": "", "WB-species-checked": "guaranteed", "WB-species-dilution-info": "", "WB-species-notes": "<p></p>", "IHCP-species-checked": "notRecommended", "IHCP-species-dilution-info": "", "IHCP-species-notes": "", "ICCIF-species-checked": "predicted", "ICCIF-species-dilution-info": "", "ICCIF-species-notes": "" } } }

Product details

Patented technology
Our RabMAb® technology is a patented hybridoma-based technology for making rabbit monoclonal antibodies. For details on our patents, please refer to RabMAb® patents.

What are the advantages of a recombinant monoclonal antibody?
This product is a recombinant monoclonal antibody, which offers several advantages including:

  • - High batch-to-batch consistency and reproducibility
  • - Improved sensitivity and specificity
  • - Long-term security of supply
  • - Animal-free batch production

For more information, read more on recombinant antibodies.

Properties and storage information

Form
Liquid
Purity
Tissue culture supernatant
Storage buffer
pH: 7.2 - 7.4 Preservative: 0.01% Sodium azide Constituents: PBS, 50% Tissue culture supernatant, 40% Glycerol (glycerin, glycerine), 0.05% BSA
Shipped at conditions
Blue Ice
Appropriate short-term storage conditions
+4°C
Appropriate long-term storage conditions
-20°C
Aliquoting information
Upon delivery aliquot
Storage information
Avoid freeze / thaw cycle

Supplementary information

This supplementary information is collated from multiple sources and compiled automatically.

Ran also known as Ras-related nuclear protein is a small GTP-binding protein with a mass of approximately 24 kDa. It localizes mainly in the nucleus and cytoplasm of cells and is highly expressed in actively dividing cells including various types of tumors. Ran plays a mechanical role in nucleocytoplasmic transport by facilitating the transport of proteins and ribonucleic acids through the nuclear pore complex. This protein belongs to the Ras superfamily of small GTPases which cycle between active GTP-bound and inactive GDP-bound states.
Biological function summary

Ran is a central part of the nucleocytoplasmic transport complex and directly participates in the regulation of genome organization and cell cycle progression. Ran's GTP-bound state helps maintain nuclear import and export balance supporting chromatin condensation and mitotic spindle assembly. This protein's complex involvement in the chromosomal region maintenance highlights its importance in cellular homeostasis emphasizing its role in organisms' growth and development.

Pathways

The mechanical functions of Ran impact the Ran GTPase pathway known for regulating nucleocytoplasmic transport and mitotic spindle organization. In the Ran cycle the protein works closely with RCC1 its guanine nucleotide exchange factor and RanGAP1 the GTPase-activating protein. These interactions are essential during cell division particularly for spindle assembly. Ran also aligns with pathways involving importins and exportins affecting protein export and nuclear import rates vital for cellular cyclic processes.

Ran has implications in cancer and neurodegenerative conditions. The protein's overexpression or dysfunction often correlate with various cancers due to its role in cell division and genetic material organization making it a focal point for cancer research. Additionally changes in Ran's regulatory pathways may influence neurodegenerative diseases by affecting nucleocytoplasmic transport in neurons. In these disorders Ran interacts with proteins such as CRM1 and others involved in the transport machinery highlighting its potential as a therapeutic target.

Product protocols

For this product, it's our understanding that no specific protocols are required. You can visit:

Target data

GTPase involved in nucleocytoplasmic transport, participating both to the import and the export from the nucleus of proteins and RNAs (PubMed : 10400640, PubMed : 17209048, PubMed : 26272610, PubMed : 27306458, PubMed : 8276887, PubMed : 8636225, PubMed : 8692944, PubMed : 8896452, PubMed : 9351834, PubMed : 9428644, PubMed : 9822603). Switches between a cytoplasmic GDP- and a nuclear GTP-bound state by nucleotide exchange and GTP hydrolysis (PubMed : 11336674, PubMed : 26272610, PubMed : 29040603, PubMed : 7819259, PubMed : 8636225, PubMed : 8692944, PubMed : 8896452, PubMed : 9351834, PubMed : 9428644, PubMed : 9822603). Nuclear import receptors such as importin beta bind their substrates only in the absence of GTP-bound RAN and release them upon direct interaction with GTP-bound RAN, while export receptors behave in the opposite way. Thereby, RAN controls cargo loading and release by transport receptors in the proper compartment and ensures the directionality of the transport (PubMed : 8896452, PubMed : 9351834, PubMed : 9428644). Interaction with RANBP1 induces a conformation change in the complex formed by XPO1 and RAN that triggers the release of the nuclear export signal of cargo proteins (PubMed : 20485264). RAN (GTP-bound form) triggers microtubule assembly at mitotic chromosomes and is required for normal mitotic spindle assembly and chromosome segregation (PubMed : 10408446, PubMed : 29040603). Required for normal progress through mitosis (PubMed : 12194828, PubMed : 29040603, PubMed : 8421051). The complex with BIRC5/survivin plays a role in mitotic spindle formation by serving as a physical scaffold to help deliver the RAN effector molecule TPX2 to microtubules (PubMed : 18591255). Acts as a negative regulator of the kinase activity of VRK1 and VRK2 (PubMed : 18617507). Enhances AR-mediated transactivation. Transactivation decreases as the poly-Gln length within AR increases (PubMed : 10400640).
See full target information RAN

Publications (3)

Recent publications for all applications. Explore the full list and refine your search

The Journal of biological chemistry 294:8918-8929 PubMed31006653

2019

Disruption of valosin-containing protein activity causes cardiomyopathy and reveals pleiotropic functions in cardiac homeostasis.

Applications

Unspecified application

Species

Unspecified reactive species

Matthew J Brody,Davy Vanhoutte,Chinmay V Bakshi,Ruije Liu,Robert N Correll,Michelle A Sargent,Jeffery D Molkentin

Molecular medicine reports 19:2115-2124 PubMed30664187

2019

HepaCAM inhibits cell proliferation and invasion in prostate cancer by suppressing nuclear translocation of the androgen receptor via its cytoplasmic domain.

Applications

Unspecified application

Species

Unspecified reactive species

Qingfu Deng,Li Luo,Zhen Quan,Nanjing Liu,Zhongbo Du,Wei Sun,Chunli Luo,Xiaohou Wu

Oncotarget 6:21468-78 PubMed26056081

2015

Nuclear translocation of fibroblast growth factor-2 (FGF2) is regulated by Karyopherin-β2 and Ran GTPase in human glioblastoma cells.

Applications

Unspecified application

Species

Unspecified reactive species

Feng Wang,Lijun Yang,Lin Shi,Qian Li,Gengshen Zhang,Jianliang Wu,Jun Zheng,Baohua Jiao
View all publications

Product promise

We are committed to supporting your work with high-quality reagents, and we're here for you every step of the way. In the unlikely event that one of our products does not perform as expected, you're protected by our Product Promise.
For full details, please see our Terms & Conditions

Please note: All products are 'FOR RESEARCH USE ONLY. NOT FOR USE IN DIAGNOSTIC OR THERAPEUTIC PROCEDURES'.

For licensing inquiries, please contact partnerships@abcam.com